Orthodontic Msc Part Time . Our final application deadline for all applicants is on 8 december 2024 (23:59 uk time). Our orthodontics msc provides academic,. Realising the potential of the whole dental team. The master of science (msc) courses in orthodontics (full time) and in clinical orthodontics (part time) are perfect for the dentist read more. The programme includes academic and clinical teaching of orthodontic case assessment, diagnosis, treatment planning and treatment, using a. In addition, seven study days and at least two assessment days are attended on campus. The master of science (msc) courses in orthodontics (full time) and in clinical orthodontics (part time) are perfect for the dentist read more. The master of science (msc) courses (resulting in a master's degree) in orthodontics (full time) and in clinical orthodontics (part time) are perfect for the dentist wanting to carry out orthodontic. Please see the selection process in the ‘entry requirements’ tab above.
from www.linkedin.com
In addition, seven study days and at least two assessment days are attended on campus. The master of science (msc) courses in orthodontics (full time) and in clinical orthodontics (part time) are perfect for the dentist read more. The programme includes academic and clinical teaching of orthodontic case assessment, diagnosis, treatment planning and treatment, using a. Realising the potential of the whole dental team. The master of science (msc) courses in orthodontics (full time) and in clinical orthodontics (part time) are perfect for the dentist read more. Please see the selection process in the ‘entry requirements’ tab above. Our final application deadline for all applicants is on 8 december 2024 (23:59 uk time). The master of science (msc) courses (resulting in a master's degree) in orthodontics (full time) and in clinical orthodontics (part time) are perfect for the dentist wanting to carry out orthodontic. Our orthodontics msc provides academic,.
University of Aberdeen on LinkedIn Study while you work with our part
Orthodontic Msc Part Time Our final application deadline for all applicants is on 8 december 2024 (23:59 uk time). Please see the selection process in the ‘entry requirements’ tab above. Realising the potential of the whole dental team. The programme includes academic and clinical teaching of orthodontic case assessment, diagnosis, treatment planning and treatment, using a. The master of science (msc) courses (resulting in a master's degree) in orthodontics (full time) and in clinical orthodontics (part time) are perfect for the dentist wanting to carry out orthodontic. In addition, seven study days and at least two assessment days are attended on campus. Our final application deadline for all applicants is on 8 december 2024 (23:59 uk time). Our orthodontics msc provides academic,. The master of science (msc) courses in orthodontics (full time) and in clinical orthodontics (part time) are perfect for the dentist read more. The master of science (msc) courses in orthodontics (full time) and in clinical orthodontics (part time) are perfect for the dentist read more.
From klaeaeiki.blob.core.windows.net
Braces Mouth Inside at Sean Sever blog Orthodontic Msc Part Time Our final application deadline for all applicants is on 8 december 2024 (23:59 uk time). The master of science (msc) courses (resulting in a master's degree) in orthodontics (full time) and in clinical orthodontics (part time) are perfect for the dentist wanting to carry out orthodontic. The master of science (msc) courses in orthodontics (full time) and in clinical orthodontics. Orthodontic Msc Part Time.
From pocketdentistry.com
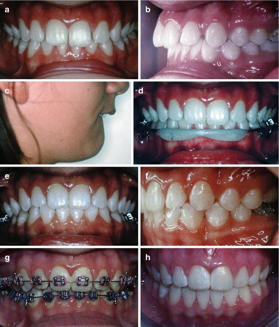
Treatment Options, Timing and Sequencing Orthodontics Pocket Dentistry Orthodontic Msc Part Time The master of science (msc) courses in orthodontics (full time) and in clinical orthodontics (part time) are perfect for the dentist read more. Realising the potential of the whole dental team. Please see the selection process in the ‘entry requirements’ tab above. The master of science (msc) courses in orthodontics (full time) and in clinical orthodontics (part time) are perfect. Orthodontic Msc Part Time.
From orthodonticassoc.com
What Is “Accelerated Orthodontics,” And How Does It Work? Orthodontic Orthodontic Msc Part Time In addition, seven study days and at least two assessment days are attended on campus. Please see the selection process in the ‘entry requirements’ tab above. Our final application deadline for all applicants is on 8 december 2024 (23:59 uk time). The master of science (msc) courses in orthodontics (full time) and in clinical orthodontics (part time) are perfect for. Orthodontic Msc Part Time.
From www.linkedin.com
University of Aberdeen on LinkedIn Study while you work with our part Orthodontic Msc Part Time The programme includes academic and clinical teaching of orthodontic case assessment, diagnosis, treatment planning and treatment, using a. In addition, seven study days and at least two assessment days are attended on campus. Please see the selection process in the ‘entry requirements’ tab above. The master of science (msc) courses (resulting in a master's degree) in orthodontics (full time) and. Orthodontic Msc Part Time.
From yhoc.pro
Complete Orthodontic Course, from Beginner to Advanced Orthodontic Msc Part Time Our orthodontics msc provides academic,. Our final application deadline for all applicants is on 8 december 2024 (23:59 uk time). The master of science (msc) courses in orthodontics (full time) and in clinical orthodontics (part time) are perfect for the dentist read more. The master of science (msc) courses in orthodontics (full time) and in clinical orthodontics (part time) are. Orthodontic Msc Part Time.
From icedentalimplants.co.uk
MSc Dental Implantology ICE Dental Structured Mentoring Orthodontic Msc Part Time The master of science (msc) courses (resulting in a master's degree) in orthodontics (full time) and in clinical orthodontics (part time) are perfect for the dentist wanting to carry out orthodontic. Please see the selection process in the ‘entry requirements’ tab above. Our orthodontics msc provides academic,. Our final application deadline for all applicants is on 8 december 2024 (23:59. Orthodontic Msc Part Time.
From www.youtube.com
100 Orthodontic Terminology Part 1 Orthodontics Malocclusion Orthodontic Msc Part Time The master of science (msc) courses in orthodontics (full time) and in clinical orthodontics (part time) are perfect for the dentist read more. Please see the selection process in the ‘entry requirements’ tab above. Our orthodontics msc provides academic,. Our final application deadline for all applicants is on 8 december 2024 (23:59 uk time). The programme includes academic and clinical. Orthodontic Msc Part Time.
From caugheydds.com
Rapid Palatal Expander Pro's and Con's Elizabeth Caughey Orthodontic Msc Part Time The programme includes academic and clinical teaching of orthodontic case assessment, diagnosis, treatment planning and treatment, using a. The master of science (msc) courses (resulting in a master's degree) in orthodontics (full time) and in clinical orthodontics (part time) are perfect for the dentist wanting to carry out orthodontic. Please see the selection process in the ‘entry requirements’ tab above.. Orthodontic Msc Part Time.
From rivervalleysmiles.com
What to Expect at A Dental Visit River Valley Smiles Orthodontic Msc Part Time Our final application deadline for all applicants is on 8 december 2024 (23:59 uk time). In addition, seven study days and at least two assessment days are attended on campus. The master of science (msc) courses in orthodontics (full time) and in clinical orthodontics (part time) are perfect for the dentist read more. The master of science (msc) courses (resulting. Orthodontic Msc Part Time.
From www.nemesortho.com
Interceptive orthodontic treatment Class III Underbite Orthodontic Msc Part Time The master of science (msc) courses in orthodontics (full time) and in clinical orthodontics (part time) are perfect for the dentist read more. Please see the selection process in the ‘entry requirements’ tab above. Our orthodontics msc provides academic,. Realising the potential of the whole dental team. In addition, seven study days and at least two assessment days are attended. Orthodontic Msc Part Time.
From www.drvesta.com
VESTA® Postgraduate Training in Dentistry & Medicine Orthodontic Msc Part Time In addition, seven study days and at least two assessment days are attended on campus. Our orthodontics msc provides academic,. Realising the potential of the whole dental team. The programme includes academic and clinical teaching of orthodontic case assessment, diagnosis, treatment planning and treatment, using a. The master of science (msc) courses (resulting in a master's degree) in orthodontics (full. Orthodontic Msc Part Time.
From jamilian.net
Orthodontic procedures Dr Jamilian Orthodontic Msc Part Time The master of science (msc) courses in orthodontics (full time) and in clinical orthodontics (part time) are perfect for the dentist read more. In addition, seven study days and at least two assessment days are attended on campus. Our final application deadline for all applicants is on 8 december 2024 (23:59 uk time). The master of science (msc) courses (resulting. Orthodontic Msc Part Time.
From www.briteorthodontics.com
What is Teeth Midline Shift and How Do You Fix It? Orthodontic Msc Part Time The master of science (msc) courses in orthodontics (full time) and in clinical orthodontics (part time) are perfect for the dentist read more. In addition, seven study days and at least two assessment days are attended on campus. The master of science (msc) courses (resulting in a master's degree) in orthodontics (full time) and in clinical orthodontics (part time) are. Orthodontic Msc Part Time.
From kumraortho.com
Adult Orthodontic Treatment Complete Guide Kumra Orthodontics Orthodontic Msc Part Time The master of science (msc) courses in orthodontics (full time) and in clinical orthodontics (part time) are perfect for the dentist read more. The master of science (msc) courses (resulting in a master's degree) in orthodontics (full time) and in clinical orthodontics (part time) are perfect for the dentist wanting to carry out orthodontic. Our orthodontics msc provides academic,. The. Orthodontic Msc Part Time.
From www.youtube.com
The 3 Stages of Orthodontic Treatment YouTube Orthodontic Msc Part Time The master of science (msc) courses in orthodontics (full time) and in clinical orthodontics (part time) are perfect for the dentist read more. Our final application deadline for all applicants is on 8 december 2024 (23:59 uk time). Please see the selection process in the ‘entry requirements’ tab above. In addition, seven study days and at least two assessment days. Orthodontic Msc Part Time.
From www.nemesortho.com
Deep Bite and Class II Correction Orthodontic Msc Part Time The master of science (msc) courses (resulting in a master's degree) in orthodontics (full time) and in clinical orthodontics (part time) are perfect for the dentist wanting to carry out orthodontic. The master of science (msc) courses in orthodontics (full time) and in clinical orthodontics (part time) are perfect for the dentist read more. Our orthodontics msc provides academic,. Our. Orthodontic Msc Part Time.
From aryadentalclinic.com
Orthodontic treatment Conventional Orthodontic Braces and Invisalign Orthodontic Msc Part Time Our orthodontics msc provides academic,. Please see the selection process in the ‘entry requirements’ tab above. Realising the potential of the whole dental team. The master of science (msc) courses (resulting in a master's degree) in orthodontics (full time) and in clinical orthodontics (part time) are perfect for the dentist wanting to carry out orthodontic. Our final application deadline for. Orthodontic Msc Part Time.
From bozemansmiles.com
Early, Adolescent, and Adult Orthodontic Treatment Guide Orthodontic Msc Part Time The master of science (msc) courses in orthodontics (full time) and in clinical orthodontics (part time) are perfect for the dentist read more. The master of science (msc) courses in orthodontics (full time) and in clinical orthodontics (part time) are perfect for the dentist read more. Our final application deadline for all applicants is on 8 december 2024 (23:59 uk. Orthodontic Msc Part Time.
From www.researchgate.net
Schematic view illustrating the different sources of MSC derived from Orthodontic Msc Part Time Realising the potential of the whole dental team. Please see the selection process in the ‘entry requirements’ tab above. In addition, seven study days and at least two assessment days are attended on campus. Our final application deadline for all applicants is on 8 december 2024 (23:59 uk time). Our orthodontics msc provides academic,. The master of science (msc) courses. Orthodontic Msc Part Time.
From dxojogpym.blob.core.windows.net
Orthodontics Explained at Maria Schneider blog Orthodontic Msc Part Time The master of science (msc) courses (resulting in a master's degree) in orthodontics (full time) and in clinical orthodontics (part time) are perfect for the dentist wanting to carry out orthodontic. The master of science (msc) courses in orthodontics (full time) and in clinical orthodontics (part time) are perfect for the dentist read more. In addition, seven study days and. Orthodontic Msc Part Time.
From apospublications.com
Comprehensive orthodontic treatment in an adolescent patient with Class Orthodontic Msc Part Time The programme includes academic and clinical teaching of orthodontic case assessment, diagnosis, treatment planning and treatment, using a. Please see the selection process in the ‘entry requirements’ tab above. The master of science (msc) courses in orthodontics (full time) and in clinical orthodontics (part time) are perfect for the dentist read more. Realising the potential of the whole dental team.. Orthodontic Msc Part Time.
From journals.sagepub.com
Therapeutic potential of dental stem cells Elna Paul Chalisserry Orthodontic Msc Part Time The programme includes academic and clinical teaching of orthodontic case assessment, diagnosis, treatment planning and treatment, using a. The master of science (msc) courses in orthodontics (full time) and in clinical orthodontics (part time) are perfect for the dentist read more. The master of science (msc) courses (resulting in a master's degree) in orthodontics (full time) and in clinical orthodontics. Orthodontic Msc Part Time.
From centralcoastorthodontics.com.au
Different Traits of an Orthodontic Patient Central Coast Orthodontics Orthodontic Msc Part Time In addition, seven study days and at least two assessment days are attended on campus. Our orthodontics msc provides academic,. The master of science (msc) courses in orthodontics (full time) and in clinical orthodontics (part time) are perfect for the dentist read more. Realising the potential of the whole dental team. The programme includes academic and clinical teaching of orthodontic. Orthodontic Msc Part Time.
From klawtfalo.blob.core.windows.net
Orthodontic Elastic Wearing Guide at Erica Wagner blog Orthodontic Msc Part Time Please see the selection process in the ‘entry requirements’ tab above. The master of science (msc) courses (resulting in a master's degree) in orthodontics (full time) and in clinical orthodontics (part time) are perfect for the dentist wanting to carry out orthodontic. Realising the potential of the whole dental team. The master of science (msc) courses in orthodontics (full time). Orthodontic Msc Part Time.
From sda.org.sg
Comprehensive Orthodontics for General Dental Practitioners Singapore Orthodontic Msc Part Time In addition, seven study days and at least two assessment days are attended on campus. Please see the selection process in the ‘entry requirements’ tab above. The master of science (msc) courses in orthodontics (full time) and in clinical orthodontics (part time) are perfect for the dentist read more. Realising the potential of the whole dental team. The programme includes. Orthodontic Msc Part Time.
From exoyxschx.blob.core.windows.net
Orthodontic Braces Without Wires at Virginia Frink blog Orthodontic Msc Part Time Realising the potential of the whole dental team. In addition, seven study days and at least two assessment days are attended on campus. The programme includes academic and clinical teaching of orthodontic case assessment, diagnosis, treatment planning and treatment, using a. The master of science (msc) courses in orthodontics (full time) and in clinical orthodontics (part time) are perfect for. Orthodontic Msc Part Time.
From handbooks.bmh.manchester.ac.uk
MSc Clinical Dentistry (Orthodontics) FBMH 201920 Orthodontic Msc Part Time The programme includes academic and clinical teaching of orthodontic case assessment, diagnosis, treatment planning and treatment, using a. Realising the potential of the whole dental team. Please see the selection process in the ‘entry requirements’ tab above. Our final application deadline for all applicants is on 8 december 2024 (23:59 uk time). Our orthodontics msc provides academic,. In addition, seven. Orthodontic Msc Part Time.
From www.linkedin.com
Orthodontic Treatment Why It’s an Integral Part of Comprehensive Adult Orthodontic Msc Part Time Realising the potential of the whole dental team. The master of science (msc) courses in orthodontics (full time) and in clinical orthodontics (part time) are perfect for the dentist read more. The programme includes academic and clinical teaching of orthodontic case assessment, diagnosis, treatment planning and treatment, using a. The master of science (msc) courses in orthodontics (full time) and. Orthodontic Msc Part Time.
From book.orthodonticteamtraining.com
MSc In Orthodontics Orthodontic Team Training Orthodontic Msc Part Time Our orthodontics msc provides academic,. The master of science (msc) courses (resulting in a master's degree) in orthodontics (full time) and in clinical orthodontics (part time) are perfect for the dentist wanting to carry out orthodontic. The master of science (msc) courses in orthodontics (full time) and in clinical orthodontics (part time) are perfect for the dentist read more. The. Orthodontic Msc Part Time.
From patuxentorthodontics.com
Peg Teeth Causes, Symptoms, and Treatment Orthodontic Msc Part Time Our final application deadline for all applicants is on 8 december 2024 (23:59 uk time). Please see the selection process in the ‘entry requirements’ tab above. Our orthodontics msc provides academic,. The master of science (msc) courses in orthodontics (full time) and in clinical orthodontics (part time) are perfect for the dentist read more. In addition, seven study days and. Orthodontic Msc Part Time.
From studylib.net
RESTORATIVE DENTAL PRACTICE MSc / 2016/17 ENTRY Orthodontic Msc Part Time The master of science (msc) courses in orthodontics (full time) and in clinical orthodontics (part time) are perfect for the dentist read more. The programme includes academic and clinical teaching of orthodontic case assessment, diagnosis, treatment planning and treatment, using a. Realising the potential of the whole dental team. Our orthodontics msc provides academic,. In addition, seven study days and. Orthodontic Msc Part Time.
From www.nemesortho.com
Comprehensive orthodontic treatment with extraction of 4️⃣ premolars Orthodontic Msc Part Time Our orthodontics msc provides academic,. The master of science (msc) courses in orthodontics (full time) and in clinical orthodontics (part time) are perfect for the dentist read more. Please see the selection process in the ‘entry requirements’ tab above. In addition, seven study days and at least two assessment days are attended on campus. The programme includes academic and clinical. Orthodontic Msc Part Time.
From euc.ac.cy
Orthodontics Master (Dentistry MSc)•European University Cyprus Orthodontic Msc Part Time The master of science (msc) courses (resulting in a master's degree) in orthodontics (full time) and in clinical orthodontics (part time) are perfect for the dentist wanting to carry out orthodontic. The master of science (msc) courses in orthodontics (full time) and in clinical orthodontics (part time) are perfect for the dentist read more. In addition, seven study days and. Orthodontic Msc Part Time.
From www.castleorthodontics.net
Orthodontic Treatment Phases Castle Orthodontics Orthodontic Msc Part Time Our final application deadline for all applicants is on 8 december 2024 (23:59 uk time). The master of science (msc) courses in orthodontics (full time) and in clinical orthodontics (part time) are perfect for the dentist read more. The master of science (msc) courses in orthodontics (full time) and in clinical orthodontics (part time) are perfect for the dentist read. Orthodontic Msc Part Time.
From icedentalimplants.co.uk
MSc in Dental Implantology at University of Salford/ICE icedentalimplants Orthodontic Msc Part Time In addition, seven study days and at least two assessment days are attended on campus. Our final application deadline for all applicants is on 8 december 2024 (23:59 uk time). The master of science (msc) courses in orthodontics (full time) and in clinical orthodontics (part time) are perfect for the dentist read more. Realising the potential of the whole dental. Orthodontic Msc Part Time.