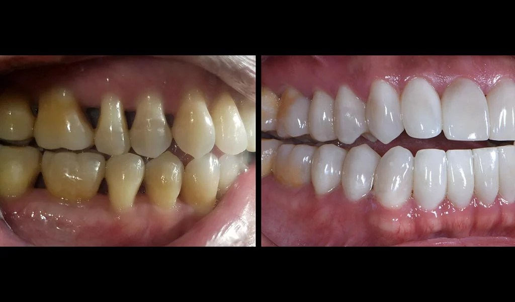
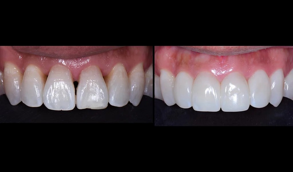
Orthodontic Treatment Black Triangle . If someone says to you ‘black triangles,’ what does it make you think of? Treatment of black triangles often requires an interdisciplinary approach, involving of periodontal; How to fix dental spaces. Highlights that gingival black triangles can be caused and also treated using restorative and orthodontic procedures. These spaces in between teeth, allow for better cleaning with small brushes. Black triangle teeth before and after treatment. What is the first thing. Filling a dark gap between teeth. How your dentist can help with black triangles between your teeth. Black triangles are naturally occurring spaces between triangular shaped teeth touching each other. A recent systematic review by rashid et al in 2022 found that the incidence of gbt’s following orthodontic treatment ranged from 38% to 58%. In cases where misalignment contributes to black triangle teeth, orthodontic treatment such as braces or.
from kilnlanedental.co.uk
Filling a dark gap between teeth. Highlights that gingival black triangles can be caused and also treated using restorative and orthodontic procedures. Black triangle teeth before and after treatment. How to fix dental spaces. Treatment of black triangles often requires an interdisciplinary approach, involving of periodontal; These spaces in between teeth, allow for better cleaning with small brushes. In cases where misalignment contributes to black triangle teeth, orthodontic treatment such as braces or. What is the first thing. How your dentist can help with black triangles between your teeth. If someone says to you ‘black triangles,’ what does it make you think of?
Black Triangle Teeth St. Helens Dentist Kiln Lane Dental
Orthodontic Treatment Black Triangle If someone says to you ‘black triangles,’ what does it make you think of? These spaces in between teeth, allow for better cleaning with small brushes. Black triangle teeth before and after treatment. How to fix dental spaces. In cases where misalignment contributes to black triangle teeth, orthodontic treatment such as braces or. What is the first thing. A recent systematic review by rashid et al in 2022 found that the incidence of gbt’s following orthodontic treatment ranged from 38% to 58%. Black triangles are naturally occurring spaces between triangular shaped teeth touching each other. How your dentist can help with black triangles between your teeth. Filling a dark gap between teeth. Highlights that gingival black triangles can be caused and also treated using restorative and orthodontic procedures. If someone says to you ‘black triangles,’ what does it make you think of? Treatment of black triangles often requires an interdisciplinary approach, involving of periodontal;
From www.semortho.com
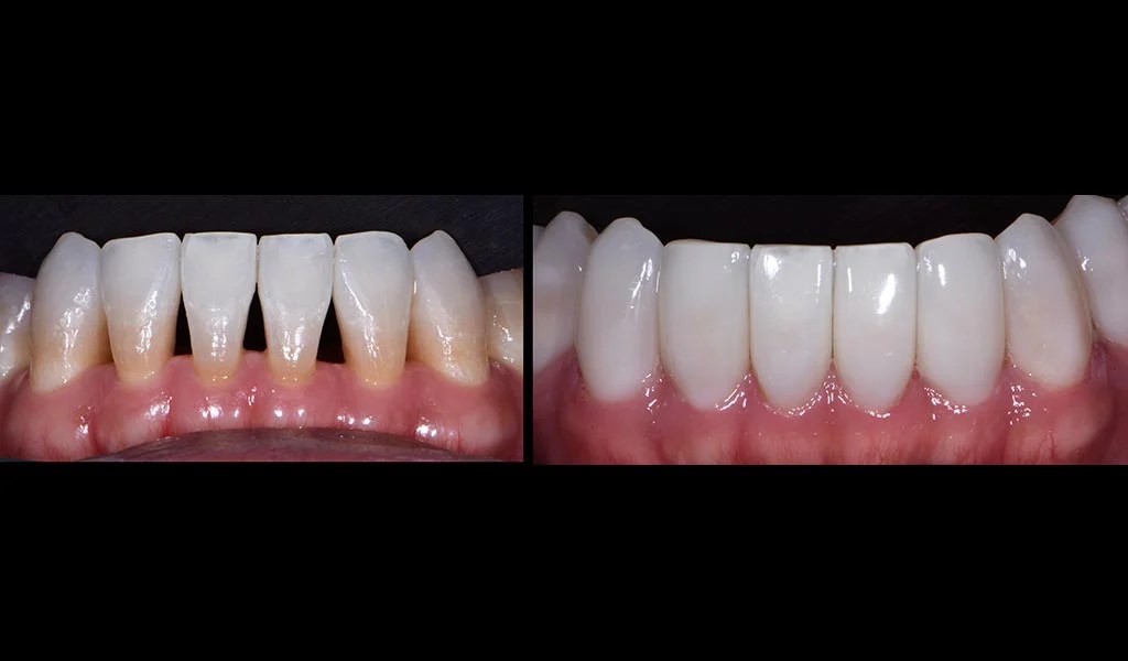
Black triangles Preventing their occurrence, managing them when Orthodontic Treatment Black Triangle How to fix dental spaces. In cases where misalignment contributes to black triangle teeth, orthodontic treatment such as braces or. Black triangle teeth before and after treatment. These spaces in between teeth, allow for better cleaning with small brushes. Black triangles are naturally occurring spaces between triangular shaped teeth touching each other. If someone says to you ‘black triangles,’ what. Orthodontic Treatment Black Triangle.
From www.youtube.com
Black triangles reconstruction by flow injection 🦷 YouTube Orthodontic Treatment Black Triangle Black triangle teeth before and after treatment. Filling a dark gap between teeth. How to fix dental spaces. Highlights that gingival black triangles can be caused and also treated using restorative and orthodontic procedures. If someone says to you ‘black triangles,’ what does it make you think of? Black triangles are naturally occurring spaces between triangular shaped teeth touching each. Orthodontic Treatment Black Triangle.
From boultondental.com.au
Black Triangles Boulton Dental Orthodontic Treatment Black Triangle Highlights that gingival black triangles can be caused and also treated using restorative and orthodontic procedures. Treatment of black triangles often requires an interdisciplinary approach, involving of periodontal; How to fix dental spaces. If someone says to you ‘black triangles,’ what does it make you think of? What is the first thing. Black triangles are naturally occurring spaces between triangular. Orthodontic Treatment Black Triangle.
From www.youtube.com
【orthodontics】How to deal with the black triangle in orthodontic Orthodontic Treatment Black Triangle Treatment of black triangles often requires an interdisciplinary approach, involving of periodontal; How to fix dental spaces. These spaces in between teeth, allow for better cleaning with small brushes. If someone says to you ‘black triangles,’ what does it make you think of? How your dentist can help with black triangles between your teeth. Highlights that gingival black triangles can. Orthodontic Treatment Black Triangle.
From swansondental.com
Gallery Black Triangle Closures Swanson Dental Associates Orthodontic Treatment Black Triangle How to fix dental spaces. These spaces in between teeth, allow for better cleaning with small brushes. How your dentist can help with black triangles between your teeth. In cases where misalignment contributes to black triangle teeth, orthodontic treatment such as braces or. Black triangles are naturally occurring spaces between triangular shaped teeth touching each other. Highlights that gingival black. Orthodontic Treatment Black Triangle.
From www.smilecliniq.com
Revolutionary Bioclear Black Triangle Treatment Smile Cliniq Orthodontic Treatment Black Triangle Highlights that gingival black triangles can be caused and also treated using restorative and orthodontic procedures. How your dentist can help with black triangles between your teeth. Treatment of black triangles often requires an interdisciplinary approach, involving of periodontal; Black triangle teeth before and after treatment. A recent systematic review by rashid et al in 2022 found that the incidence. Orthodontic Treatment Black Triangle.
From www.hollandparkdental.co.uk
Black Triangle Teeth Treatment (Bioclear) in London Holland Park Dental Orthodontic Treatment Black Triangle What is the first thing. Filling a dark gap between teeth. Black triangles are naturally occurring spaces between triangular shaped teeth touching each other. In cases where misalignment contributes to black triangle teeth, orthodontic treatment such as braces or. How to fix dental spaces. A recent systematic review by rashid et al in 2022 found that the incidence of gbt’s. Orthodontic Treatment Black Triangle.
From blog.optident.co.uk
How Bioclear Empowers Dentists To Treat Black Triangles Optident Orthodontic Treatment Black Triangle What is the first thing. Black triangle teeth before and after treatment. In cases where misalignment contributes to black triangle teeth, orthodontic treatment such as braces or. Filling a dark gap between teeth. Treatment of black triangles often requires an interdisciplinary approach, involving of periodontal; These spaces in between teeth, allow for better cleaning with small brushes. If someone says. Orthodontic Treatment Black Triangle.
From www.fergusortho.com
Why Do I Have Black Triangles in My Teeth Jonesboro, AR Orthodontic Treatment Black Triangle These spaces in between teeth, allow for better cleaning with small brushes. What is the first thing. A recent systematic review by rashid et al in 2022 found that the incidence of gbt’s following orthodontic treatment ranged from 38% to 58%. Black triangle teeth before and after treatment. Filling a dark gap between teeth. Treatment of black triangles often requires. Orthodontic Treatment Black Triangle.
From blog.optident.co.uk
How Bioclear Empowers Dentists To Treat Black Triangles Optident Orthodontic Treatment Black Triangle Treatment of black triangles often requires an interdisciplinary approach, involving of periodontal; In cases where misalignment contributes to black triangle teeth, orthodontic treatment such as braces or. If someone says to you ‘black triangles,’ what does it make you think of? How your dentist can help with black triangles between your teeth. Filling a dark gap between teeth. What is. Orthodontic Treatment Black Triangle.
From www.bgbraces.com
Orthodontic Treatment & Black Triangles Causes & Solutions Orthodontic Treatment Black Triangle In cases where misalignment contributes to black triangle teeth, orthodontic treatment such as braces or. Black triangle teeth before and after treatment. A recent systematic review by rashid et al in 2022 found that the incidence of gbt’s following orthodontic treatment ranged from 38% to 58%. Treatment of black triangles often requires an interdisciplinary approach, involving of periodontal; What is. Orthodontic Treatment Black Triangle.
From www.youtube.com
Black triangle & enamel recontouring management , selective IPR and Orthodontic Treatment Black Triangle These spaces in between teeth, allow for better cleaning with small brushes. If someone says to you ‘black triangles,’ what does it make you think of? Black triangles are naturally occurring spaces between triangular shaped teeth touching each other. How your dentist can help with black triangles between your teeth. Filling a dark gap between teeth. In cases where misalignment. Orthodontic Treatment Black Triangle.
From dentistryofmiami.com
Treatment Approaches for Dental Black Triangles Dentistry of Miami Orthodontic Treatment Black Triangle Black triangle teeth before and after treatment. If someone says to you ‘black triangles,’ what does it make you think of? In cases where misalignment contributes to black triangle teeth, orthodontic treatment such as braces or. These spaces in between teeth, allow for better cleaning with small brushes. Treatment of black triangles often requires an interdisciplinary approach, involving of periodontal;. Orthodontic Treatment Black Triangle.
From kumraortho.com
What Should I Do If I Have Black Triangles After Invisalign? Kumra Orthodontic Treatment Black Triangle How your dentist can help with black triangles between your teeth. These spaces in between teeth, allow for better cleaning with small brushes. A recent systematic review by rashid et al in 2022 found that the incidence of gbt’s following orthodontic treatment ranged from 38% to 58%. How to fix dental spaces. In cases where misalignment contributes to black triangle. Orthodontic Treatment Black Triangle.
From www.sarasotadentistry.com
How to Fix Black Triangles in Teeth Sarasota Dentistry Orthodontic Treatment Black Triangle Filling a dark gap between teeth. How to fix dental spaces. What is the first thing. If someone says to you ‘black triangles,’ what does it make you think of? Treatment of black triangles often requires an interdisciplinary approach, involving of periodontal; A recent systematic review by rashid et al in 2022 found that the incidence of gbt’s following orthodontic. Orthodontic Treatment Black Triangle.
From kilnlanedental.co.uk
Black Triangle Teeth St. Helens Dentist Kiln Lane Dental Orthodontic Treatment Black Triangle Black triangle teeth before and after treatment. How your dentist can help with black triangles between your teeth. Highlights that gingival black triangles can be caused and also treated using restorative and orthodontic procedures. These spaces in between teeth, allow for better cleaning with small brushes. How to fix dental spaces. What is the first thing. Filling a dark gap. Orthodontic Treatment Black Triangle.
From blog.optident.co.uk
How Bioclear Empowers Dentists To Treat Black Triangles Optident Orthodontic Treatment Black Triangle Black triangles are naturally occurring spaces between triangular shaped teeth touching each other. What is the first thing. If someone says to you ‘black triangles,’ what does it make you think of? Filling a dark gap between teeth. How your dentist can help with black triangles between your teeth. Black triangle teeth before and after treatment. How to fix dental. Orthodontic Treatment Black Triangle.
From www.seasons-of-smiles.com
What are dental black triangles? • Seasons of Smiles Dental Arthur Orthodontic Treatment Black Triangle In cases where misalignment contributes to black triangle teeth, orthodontic treatment such as braces or. Treatment of black triangles often requires an interdisciplinary approach, involving of periodontal; Highlights that gingival black triangles can be caused and also treated using restorative and orthodontic procedures. Filling a dark gap between teeth. Black triangles are naturally occurring spaces between triangular shaped teeth touching. Orthodontic Treatment Black Triangle.
From www.eshomdds.com
Bioclear Uveneer Black Triangle Correction David Eshom DDS, Dental Orthodontic Treatment Black Triangle A recent systematic review by rashid et al in 2022 found that the incidence of gbt’s following orthodontic treatment ranged from 38% to 58%. How your dentist can help with black triangles between your teeth. These spaces in between teeth, allow for better cleaning with small brushes. Filling a dark gap between teeth. Highlights that gingival black triangles can be. Orthodontic Treatment Black Triangle.
From www.hollandparkdental.co.uk
Black Triangle Teeth Treatment (Bioclear) in London Holland Park Dental Orthodontic Treatment Black Triangle These spaces in between teeth, allow for better cleaning with small brushes. Filling a dark gap between teeth. Black triangles are naturally occurring spaces between triangular shaped teeth touching each other. In cases where misalignment contributes to black triangle teeth, orthodontic treatment such as braces or. A recent systematic review by rashid et al in 2022 found that the incidence. Orthodontic Treatment Black Triangle.
From blog.optident.co.uk
How Bioclear Empowers Dentists To Treat Black Triangles Optident Orthodontic Treatment Black Triangle Filling a dark gap between teeth. Black triangle teeth before and after treatment. In cases where misalignment contributes to black triangle teeth, orthodontic treatment such as braces or. How your dentist can help with black triangles between your teeth. These spaces in between teeth, allow for better cleaning with small brushes. A recent systematic review by rashid et al in. Orthodontic Treatment Black Triangle.
From myalexandriaortho.com
Black Triangles Alexandria Orthodontics Orthodontic Treatment Black Triangle Highlights that gingival black triangles can be caused and also treated using restorative and orthodontic procedures. Treatment of black triangles often requires an interdisciplinary approach, involving of periodontal; A recent systematic review by rashid et al in 2022 found that the incidence of gbt’s following orthodontic treatment ranged from 38% to 58%. What is the first thing. If someone says. Orthodontic Treatment Black Triangle.
From www.youtube.com
Tooth Gaps / Black Triangles with Braces or Invisalign YouTube Orthodontic Treatment Black Triangle Black triangle teeth before and after treatment. How your dentist can help with black triangles between your teeth. If someone says to you ‘black triangles,’ what does it make you think of? These spaces in between teeth, allow for better cleaning with small brushes. Treatment of black triangles often requires an interdisciplinary approach, involving of periodontal; Highlights that gingival black. Orthodontic Treatment Black Triangle.
From molsonparkdental.com
Black Triangle Orthodontic Treatment In Barrie Molson Park Dental Orthodontic Treatment Black Triangle Black triangle teeth before and after treatment. How to fix dental spaces. Treatment of black triangles often requires an interdisciplinary approach, involving of periodontal; How your dentist can help with black triangles between your teeth. These spaces in between teeth, allow for better cleaning with small brushes. In cases where misalignment contributes to black triangle teeth, orthodontic treatment such as. Orthodontic Treatment Black Triangle.
From www.orangectdentist.com
Beat the Black Triangle with Bonding Dentist Orange, CT Orthodontic Treatment Black Triangle What is the first thing. How your dentist can help with black triangles between your teeth. In cases where misalignment contributes to black triangle teeth, orthodontic treatment such as braces or. If someone says to you ‘black triangles,’ what does it make you think of? Filling a dark gap between teeth. A recent systematic review by rashid et al in. Orthodontic Treatment Black Triangle.
From www.youtube.com
Black tringle management, treatment of black gaps between the teeth Orthodontic Treatment Black Triangle Highlights that gingival black triangles can be caused and also treated using restorative and orthodontic procedures. Filling a dark gap between teeth. Black triangles are naturally occurring spaces between triangular shaped teeth touching each other. A recent systematic review by rashid et al in 2022 found that the incidence of gbt’s following orthodontic treatment ranged from 38% to 58%. How. Orthodontic Treatment Black Triangle.
From www.youtube.com
What Causes Black Triangle after Braces treatment braces treatment Orthodontic Treatment Black Triangle These spaces in between teeth, allow for better cleaning with small brushes. What is the first thing. Filling a dark gap between teeth. How your dentist can help with black triangles between your teeth. A recent systematic review by rashid et al in 2022 found that the incidence of gbt’s following orthodontic treatment ranged from 38% to 58%. In cases. Orthodontic Treatment Black Triangle.
From blog.optident.co.uk
How Bioclear Empowers Dentists To Treat Black Triangles Optident Orthodontic Treatment Black Triangle How to fix dental spaces. Highlights that gingival black triangles can be caused and also treated using restorative and orthodontic procedures. Filling a dark gap between teeth. Black triangle teeth before and after treatment. Black triangles are naturally occurring spaces between triangular shaped teeth touching each other. A recent systematic review by rashid et al in 2022 found that the. Orthodontic Treatment Black Triangle.
From www.youtube.com
teeth gaps, Black triangle treatment with braces YouTube Orthodontic Treatment Black Triangle Black triangle teeth before and after treatment. Filling a dark gap between teeth. How your dentist can help with black triangles between your teeth. Highlights that gingival black triangles can be caused and also treated using restorative and orthodontic procedures. What is the first thing. Treatment of black triangles often requires an interdisciplinary approach, involving of periodontal; If someone says. Orthodontic Treatment Black Triangle.
From blog.optident.co.uk
How Bioclear Empowers Dentists To Treat Black Triangles Optident Orthodontic Treatment Black Triangle Black triangle teeth before and after treatment. Filling a dark gap between teeth. A recent systematic review by rashid et al in 2022 found that the incidence of gbt’s following orthodontic treatment ranged from 38% to 58%. Highlights that gingival black triangles can be caused and also treated using restorative and orthodontic procedures. If someone says to you ‘black triangles,’. Orthodontic Treatment Black Triangle.
From orthoinsummary.com
Black triangles, who did it? Orthodontics in Summary Orthodontic Treatment Black Triangle What is the first thing. In cases where misalignment contributes to black triangle teeth, orthodontic treatment such as braces or. How your dentist can help with black triangles between your teeth. Highlights that gingival black triangles can be caused and also treated using restorative and orthodontic procedures. Treatment of black triangles often requires an interdisciplinary approach, involving of periodontal; A. Orthodontic Treatment Black Triangle.
From doctorsaylor.com
New Treatment for Black Triangles between Teeth Saylor Dentistry Orthodontic Treatment Black Triangle How your dentist can help with black triangles between your teeth. How to fix dental spaces. A recent systematic review by rashid et al in 2022 found that the incidence of gbt’s following orthodontic treatment ranged from 38% to 58%. If someone says to you ‘black triangles,’ what does it make you think of? Black triangles are naturally occurring spaces. Orthodontic Treatment Black Triangle.
From blog.optident.co.uk
How Bioclear Empowers Dentists To Treat Black Triangles Optident Orthodontic Treatment Black Triangle Treatment of black triangles often requires an interdisciplinary approach, involving of periodontal; How to fix dental spaces. Highlights that gingival black triangles can be caused and also treated using restorative and orthodontic procedures. Filling a dark gap between teeth. In cases where misalignment contributes to black triangle teeth, orthodontic treatment such as braces or. If someone says to you ‘black. Orthodontic Treatment Black Triangle.
From blog.optident.co.uk
How Bioclear Empowers Dentists To Treat Black Triangles Optident Orthodontic Treatment Black Triangle A recent systematic review by rashid et al in 2022 found that the incidence of gbt’s following orthodontic treatment ranged from 38% to 58%. Filling a dark gap between teeth. These spaces in between teeth, allow for better cleaning with small brushes. What is the first thing. If someone says to you ‘black triangles,’ what does it make you think. Orthodontic Treatment Black Triangle.
From orangectdentist.com
Beat the Black Triangle with Bonding Dentist Orange, CT Orthodontic Treatment Black Triangle A recent systematic review by rashid et al in 2022 found that the incidence of gbt’s following orthodontic treatment ranged from 38% to 58%. Treatment of black triangles often requires an interdisciplinary approach, involving of periodontal; Highlights that gingival black triangles can be caused and also treated using restorative and orthodontic procedures. What is the first thing. How to fix. Orthodontic Treatment Black Triangle.