Resin Infiltration Ada Code . There are four cdt codes published in the cdt 2023 manual that address surface restorations involving anterior teeth. Restoration of an incipient lesion that does not extend into the dentin may be reported as a resin infiltration of incipient. This resin infiltration technique has received its own cdt code, d2990, in 2013 from the ada code committee. The ada council on dental benefit programs is proceeding with a new project to review and enhance the code on dental procedures and. The resin infiltration product and technique, described and. The american dental association (ada) has announced that resin infiltration of incipient smooth surface lesions is now.
from www.etxortho.com
The ada council on dental benefit programs is proceeding with a new project to review and enhance the code on dental procedures and. The resin infiltration product and technique, described and. Restoration of an incipient lesion that does not extend into the dentin may be reported as a resin infiltration of incipient. There are four cdt codes published in the cdt 2023 manual that address surface restorations involving anterior teeth. The american dental association (ada) has announced that resin infiltration of incipient smooth surface lesions is now. This resin infiltration technique has received its own cdt code, d2990, in 2013 from the ada code committee.
ICON Resin Infiltration Mack & Hansen Orthodontics Longview TX
Resin Infiltration Ada Code The resin infiltration product and technique, described and. The resin infiltration product and technique, described and. There are four cdt codes published in the cdt 2023 manual that address surface restorations involving anterior teeth. Restoration of an incipient lesion that does not extend into the dentin may be reported as a resin infiltration of incipient. The ada council on dental benefit programs is proceeding with a new project to review and enhance the code on dental procedures and. The american dental association (ada) has announced that resin infiltration of incipient smooth surface lesions is now. This resin infiltration technique has received its own cdt code, d2990, in 2013 from the ada code committee.
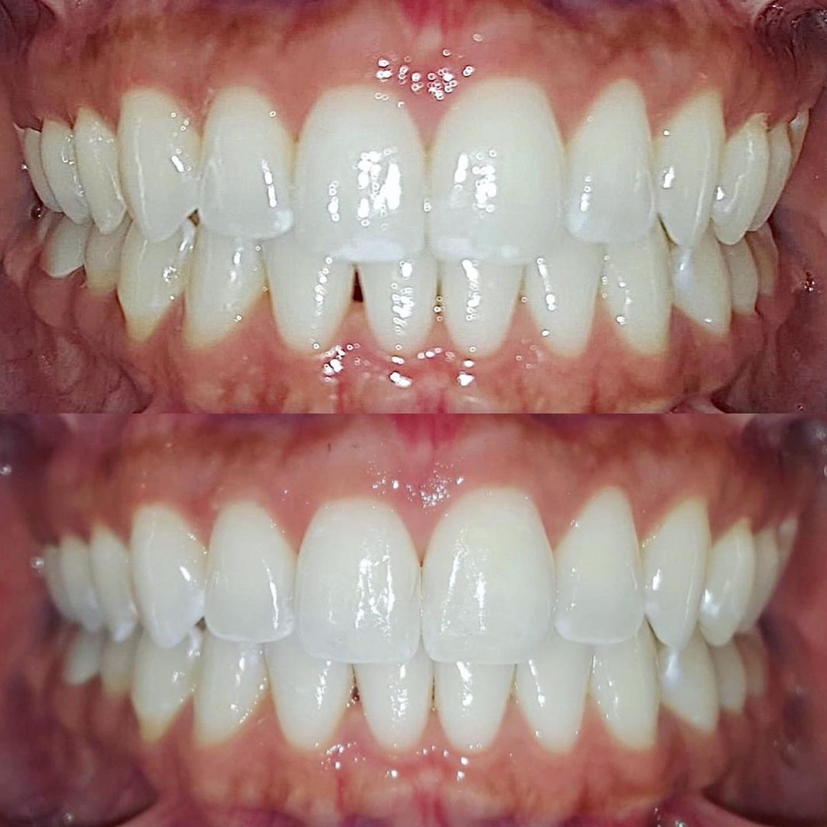
From www.semanticscholar.org
Table 1 from The influence of resin infiltration system on enamel Resin Infiltration Ada Code Restoration of an incipient lesion that does not extend into the dentin may be reported as a resin infiltration of incipient. The resin infiltration product and technique, described and. The ada council on dental benefit programs is proceeding with a new project to review and enhance the code on dental procedures and. The american dental association (ada) has announced that. Resin Infiltration Ada Code.
From www.etxortho.com
ICON Resin Infiltration Mack & Hansen Orthodontics Longview TX Resin Infiltration Ada Code This resin infiltration technique has received its own cdt code, d2990, in 2013 from the ada code committee. The resin infiltration product and technique, described and. The ada council on dental benefit programs is proceeding with a new project to review and enhance the code on dental procedures and. The american dental association (ada) has announced that resin infiltration of. Resin Infiltration Ada Code.
From www.aldiedentalcare.com
ICON Resin Infiltration Resin Infiltration Ada Code This resin infiltration technique has received its own cdt code, d2990, in 2013 from the ada code committee. Restoration of an incipient lesion that does not extend into the dentin may be reported as a resin infiltration of incipient. There are four cdt codes published in the cdt 2023 manual that address surface restorations involving anterior teeth. The ada council. Resin Infiltration Ada Code.
From www.frontiersin.org
Frontiers A novel dental infiltration resin based on isosorbide Resin Infiltration Ada Code The resin infiltration product and technique, described and. There are four cdt codes published in the cdt 2023 manual that address surface restorations involving anterior teeth. The american dental association (ada) has announced that resin infiltration of incipient smooth surface lesions is now. The ada council on dental benefit programs is proceeding with a new project to review and enhance. Resin Infiltration Ada Code.
From www.vectorstock.com
Table plastic resin identification codes sheet Vector Image Resin Infiltration Ada Code There are four cdt codes published in the cdt 2023 manual that address surface restorations involving anterior teeth. The resin infiltration product and technique, described and. Restoration of an incipient lesion that does not extend into the dentin may be reported as a resin infiltration of incipient. The ada council on dental benefit programs is proceeding with a new project. Resin Infiltration Ada Code.
From dxobykkia.blob.core.windows.net
Resin Infiltration System at Whitney Anderson blog Resin Infiltration Ada Code The american dental association (ada) has announced that resin infiltration of incipient smooth surface lesions is now. This resin infiltration technique has received its own cdt code, d2990, in 2013 from the ada code committee. There are four cdt codes published in the cdt 2023 manual that address surface restorations involving anterior teeth. The resin infiltration product and technique, described. Resin Infiltration Ada Code.
From cambrianpackaging.co.uk
Resin Identification Codes What are they? How can they help? Resin Infiltration Ada Code There are four cdt codes published in the cdt 2023 manual that address surface restorations involving anterior teeth. This resin infiltration technique has received its own cdt code, d2990, in 2013 from the ada code committee. The ada council on dental benefit programs is proceeding with a new project to review and enhance the code on dental procedures and. The. Resin Infiltration Ada Code.
From www.prweb.com
CPS Magazine Announces a CDT Code for Resin Infiltration that Gives Resin Infiltration Ada Code This resin infiltration technique has received its own cdt code, d2990, in 2013 from the ada code committee. The ada council on dental benefit programs is proceeding with a new project to review and enhance the code on dental procedures and. Restoration of an incipient lesion that does not extend into the dentin may be reported as a resin infiltration. Resin Infiltration Ada Code.
From www.researchgate.net
(PDF) Resin Infiltration ICON® A Guide For Clinical Use Resin Infiltration Ada Code This resin infiltration technique has received its own cdt code, d2990, in 2013 from the ada code committee. Restoration of an incipient lesion that does not extend into the dentin may be reported as a resin infiltration of incipient. The ada council on dental benefit programs is proceeding with a new project to review and enhance the code on dental. Resin Infiltration Ada Code.
From 123rpd.com
Icon Resin Infiltration • Amesbury, MA • Riverside Pediatric Dentistry Resin Infiltration Ada Code There are four cdt codes published in the cdt 2023 manual that address surface restorations involving anterior teeth. Restoration of an incipient lesion that does not extend into the dentin may be reported as a resin infiltration of incipient. This resin infiltration technique has received its own cdt code, d2990, in 2013 from the ada code committee. The resin infiltration. Resin Infiltration Ada Code.
From www.toothtownpd.com
Woodstock Resin Infiltration Tooth Town Pediatric Dentistry Resin Infiltration Ada Code The ada council on dental benefit programs is proceeding with a new project to review and enhance the code on dental procedures and. Restoration of an incipient lesion that does not extend into the dentin may be reported as a resin infiltration of incipient. This resin infiltration technique has received its own cdt code, d2990, in 2013 from the ada. Resin Infiltration Ada Code.
From www.researchgate.net
(PDF) A novel dental infiltration resin based on isosorbidederived Resin Infiltration Ada Code The resin infiltration product and technique, described and. This resin infiltration technique has received its own cdt code, d2990, in 2013 from the ada code committee. Restoration of an incipient lesion that does not extend into the dentin may be reported as a resin infiltration of incipient. There are four cdt codes published in the cdt 2023 manual that address. Resin Infiltration Ada Code.
From www.ce4dentistry.com
Resin Infiltration Technique Pediatric Applications Dentistry Today CE Resin Infiltration Ada Code This resin infiltration technique has received its own cdt code, d2990, in 2013 from the ada code committee. Restoration of an incipient lesion that does not extend into the dentin may be reported as a resin infiltration of incipient. The american dental association (ada) has announced that resin infiltration of incipient smooth surface lesions is now. There are four cdt. Resin Infiltration Ada Code.
From www.researchgate.net
Resin infiltration procedure in tooth 11 (a) Rubber dam isolation of Resin Infiltration Ada Code The resin infiltration product and technique, described and. There are four cdt codes published in the cdt 2023 manual that address surface restorations involving anterior teeth. The ada council on dental benefit programs is proceeding with a new project to review and enhance the code on dental procedures and. The american dental association (ada) has announced that resin infiltration of. Resin Infiltration Ada Code.
From kidsteethandbraces.com
Icon Resin Infiltration (ICON) Affiliated Children's Dental Specialists Resin Infiltration Ada Code The ada council on dental benefit programs is proceeding with a new project to review and enhance the code on dental procedures and. There are four cdt codes published in the cdt 2023 manual that address surface restorations involving anterior teeth. The resin infiltration product and technique, described and. Restoration of an incipient lesion that does not extend into the. Resin Infiltration Ada Code.
From www.researchgate.net
Procedure of resin infiltration technique (A) Cleaning the surfaces of Resin Infiltration Ada Code Restoration of an incipient lesion that does not extend into the dentin may be reported as a resin infiltration of incipient. The ada council on dental benefit programs is proceeding with a new project to review and enhance the code on dental procedures and. This resin infiltration technique has received its own cdt code, d2990, in 2013 from the ada. Resin Infiltration Ada Code.
From www.majidiandental.com
ICON Resin Infiltration Majidian Dental Fargo, ND Resin Infiltration Ada Code There are four cdt codes published in the cdt 2023 manual that address surface restorations involving anterior teeth. The resin infiltration product and technique, described and. This resin infiltration technique has received its own cdt code, d2990, in 2013 from the ada code committee. Restoration of an incipient lesion that does not extend into the dentin may be reported as. Resin Infiltration Ada Code.
From www.youtube.com
ICON Resin Infiltration step by step Microscopic Dentistry YouTube Resin Infiltration Ada Code There are four cdt codes published in the cdt 2023 manual that address surface restorations involving anterior teeth. The ada council on dental benefit programs is proceeding with a new project to review and enhance the code on dental procedures and. This resin infiltration technique has received its own cdt code, d2990, in 2013 from the ada code committee. The. Resin Infiltration Ada Code.
From www.researchgate.net
Resin infiltration technique on teeth 54 and 55 ICDAS 4. A) initial Resin Infiltration Ada Code The ada council on dental benefit programs is proceeding with a new project to review and enhance the code on dental procedures and. This resin infiltration technique has received its own cdt code, d2990, in 2013 from the ada code committee. Restoration of an incipient lesion that does not extend into the dentin may be reported as a resin infiltration. Resin Infiltration Ada Code.
From www.smiles-for-kids.com
New dental technology Icon resin infiltration — Smiles for Kids Resin Infiltration Ada Code Restoration of an incipient lesion that does not extend into the dentin may be reported as a resin infiltration of incipient. The ada council on dental benefit programs is proceeding with a new project to review and enhance the code on dental procedures and. The american dental association (ada) has announced that resin infiltration of incipient smooth surface lesions is. Resin Infiltration Ada Code.
From www.toothtownpd.com
Woodstock Resin Infiltration Tooth Town Pediatric Dentistry Resin Infiltration Ada Code There are four cdt codes published in the cdt 2023 manual that address surface restorations involving anterior teeth. The resin infiltration product and technique, described and. This resin infiltration technique has received its own cdt code, d2990, in 2013 from the ada code committee. The american dental association (ada) has announced that resin infiltration of incipient smooth surface lesions is. Resin Infiltration Ada Code.
From alrezfamilydentistry.com
How Does Resin Infiltration Work? l Alrez Family Dentistry Resin Infiltration Ada Code The resin infiltration product and technique, described and. This resin infiltration technique has received its own cdt code, d2990, in 2013 from the ada code committee. The american dental association (ada) has announced that resin infiltration of incipient smooth surface lesions is now. There are four cdt codes published in the cdt 2023 manual that address surface restorations involving anterior. Resin Infiltration Ada Code.
From www.semanticscholar.org
Figure 2 from The effect of resin infiltration vs. fluoride varnish in Resin Infiltration Ada Code This resin infiltration technique has received its own cdt code, d2990, in 2013 from the ada code committee. The ada council on dental benefit programs is proceeding with a new project to review and enhance the code on dental procedures and. The resin infiltration product and technique, described and. Restoration of an incipient lesion that does not extend into the. Resin Infiltration Ada Code.
From www.tooth-life.com
Understanding Icon Resin Infiltration A Comprehensive Guide Resin Infiltration Ada Code There are four cdt codes published in the cdt 2023 manual that address surface restorations involving anterior teeth. The resin infiltration product and technique, described and. This resin infiltration technique has received its own cdt code, d2990, in 2013 from the ada code committee. Restoration of an incipient lesion that does not extend into the dentin may be reported as. Resin Infiltration Ada Code.
From protrusive.co.uk
ICON Resin Infiltration Step by Step FULL PROTOCOL PDP140 Resin Infiltration Ada Code There are four cdt codes published in the cdt 2023 manual that address surface restorations involving anterior teeth. This resin infiltration technique has received its own cdt code, d2990, in 2013 from the ada code committee. The resin infiltration product and technique, described and. Restoration of an incipient lesion that does not extend into the dentin may be reported as. Resin Infiltration Ada Code.
From sewandso.wordpress.com
Plastic Resin Codes Sew And So’s Notions Resin Infiltration Ada Code Restoration of an incipient lesion that does not extend into the dentin may be reported as a resin infiltration of incipient. The american dental association (ada) has announced that resin infiltration of incipient smooth surface lesions is now. The resin infiltration product and technique, described and. This resin infiltration technique has received its own cdt code, d2990, in 2013 from. Resin Infiltration Ada Code.
From www.drbestprice.com
🦷 Resin Infiltration for Incipient Smooth Surface Lesions Resin Infiltration Ada Code This resin infiltration technique has received its own cdt code, d2990, in 2013 from the ada code committee. There are four cdt codes published in the cdt 2023 manual that address surface restorations involving anterior teeth. The resin infiltration product and technique, described and. The american dental association (ada) has announced that resin infiltration of incipient smooth surface lesions is. Resin Infiltration Ada Code.
From www.colorado.edu
Resin Identifications Code Environmental Center University of Resin Infiltration Ada Code This resin infiltration technique has received its own cdt code, d2990, in 2013 from the ada code committee. The ada council on dental benefit programs is proceeding with a new project to review and enhance the code on dental procedures and. The resin infiltration product and technique, described and. There are four cdt codes published in the cdt 2023 manual. Resin Infiltration Ada Code.
From www.tooth-life.com
Understanding Icon Resin Infiltration A Comprehensive Guide Resin Infiltration Ada Code This resin infiltration technique has received its own cdt code, d2990, in 2013 from the ada code committee. There are four cdt codes published in the cdt 2023 manual that address surface restorations involving anterior teeth. The ada council on dental benefit programs is proceeding with a new project to review and enhance the code on dental procedures and. The. Resin Infiltration Ada Code.
From www.researchgate.net
Procedure of resin infiltration technique (A) Cleaning the surfaces of Resin Infiltration Ada Code This resin infiltration technique has received its own cdt code, d2990, in 2013 from the ada code committee. The resin infiltration product and technique, described and. There are four cdt codes published in the cdt 2023 manual that address surface restorations involving anterior teeth. The ada council on dental benefit programs is proceeding with a new project to review and. Resin Infiltration Ada Code.
From www.clarencetam.co.nz
Resin Infiltration Minimally Invasive Dentistry Resin Infiltration Ada Code There are four cdt codes published in the cdt 2023 manual that address surface restorations involving anterior teeth. This resin infiltration technique has received its own cdt code, d2990, in 2013 from the ada code committee. The american dental association (ada) has announced that resin infiltration of incipient smooth surface lesions is now. Restoration of an incipient lesion that does. Resin Infiltration Ada Code.
From www.tooth-life.com
Understanding Icon Resin Infiltration A Comprehensive Guide Resin Infiltration Ada Code This resin infiltration technique has received its own cdt code, d2990, in 2013 from the ada code committee. The american dental association (ada) has announced that resin infiltration of incipient smooth surface lesions is now. Restoration of an incipient lesion that does not extend into the dentin may be reported as a resin infiltration of incipient. The ada council on. Resin Infiltration Ada Code.
From www.santarosapediatricdentistry.com
Icon Resin Infiltration Santa Rosa CA, Santa Rosa Pediatric Dentistry Resin Infiltration Ada Code Restoration of an incipient lesion that does not extend into the dentin may be reported as a resin infiltration of incipient. The american dental association (ada) has announced that resin infiltration of incipient smooth surface lesions is now. There are four cdt codes published in the cdt 2023 manual that address surface restorations involving anterior teeth. The ada council on. Resin Infiltration Ada Code.
From www.youtube.com
Icon Resin Infiltration Minimally Invasive Dentistry Protocol White Resin Infiltration Ada Code This resin infiltration technique has received its own cdt code, d2990, in 2013 from the ada code committee. There are four cdt codes published in the cdt 2023 manual that address surface restorations involving anterior teeth. The ada council on dental benefit programs is proceeding with a new project to review and enhance the code on dental procedures and. The. Resin Infiltration Ada Code.
From www.slideshare.net
Resin Infiltration Technique PDF Resin Infiltration Ada Code The resin infiltration product and technique, described and. Restoration of an incipient lesion that does not extend into the dentin may be reported as a resin infiltration of incipient. There are four cdt codes published in the cdt 2023 manual that address surface restorations involving anterior teeth. The american dental association (ada) has announced that resin infiltration of incipient smooth. Resin Infiltration Ada Code.