Thymic Carcinoma Young . Tets are composed of thymic. Thymomas and thymic carcinomas are tumors that start from thymic epithelial cells. In the past, thymomas were. The world health organization classification distinguishes thymomas and thymic carcinomas. The tumor has been described in a wide range of individuals ranging from very young to older patients, reports of thymic carcinoma in association with. Thymomas and thymic carcinoma are both thymic epithelial tumors (tets), but there are some important differences: Childhood thymoma and thymic carcinoma treatment includes surgery, radiation therapy, chemotherapy, and hormone therapy. This study confirms the possibility to perform european. Not all doctors agree about the best way to describe and classify these tumors.
from jcmtjournal.com
The world health organization classification distinguishes thymomas and thymic carcinomas. Childhood thymoma and thymic carcinoma treatment includes surgery, radiation therapy, chemotherapy, and hormone therapy. Not all doctors agree about the best way to describe and classify these tumors. Thymomas and thymic carcinomas are tumors that start from thymic epithelial cells. This study confirms the possibility to perform european. The tumor has been described in a wide range of individuals ranging from very young to older patients, reports of thymic carcinoma in association with. Thymomas and thymic carcinoma are both thymic epithelial tumors (tets), but there are some important differences: Tets are composed of thymic. In the past, thymomas were.
Thymic carcinoma review and update
Thymic Carcinoma Young Thymomas and thymic carcinomas are tumors that start from thymic epithelial cells. Not all doctors agree about the best way to describe and classify these tumors. Childhood thymoma and thymic carcinoma treatment includes surgery, radiation therapy, chemotherapy, and hormone therapy. In the past, thymomas were. This study confirms the possibility to perform european. The tumor has been described in a wide range of individuals ranging from very young to older patients, reports of thymic carcinoma in association with. Tets are composed of thymic. Thymomas and thymic carcinomas are tumors that start from thymic epithelial cells. The world health organization classification distinguishes thymomas and thymic carcinomas. Thymomas and thymic carcinoma are both thymic epithelial tumors (tets), but there are some important differences:
From www.mdpi.com
Life Free FullText Current Treatment Approaches for Thymic Thymic Carcinoma Young Childhood thymoma and thymic carcinoma treatment includes surgery, radiation therapy, chemotherapy, and hormone therapy. The tumor has been described in a wide range of individuals ranging from very young to older patients, reports of thymic carcinoma in association with. Thymomas and thymic carcinoma are both thymic epithelial tumors (tets), but there are some important differences: Tets are composed of thymic.. Thymic Carcinoma Young.
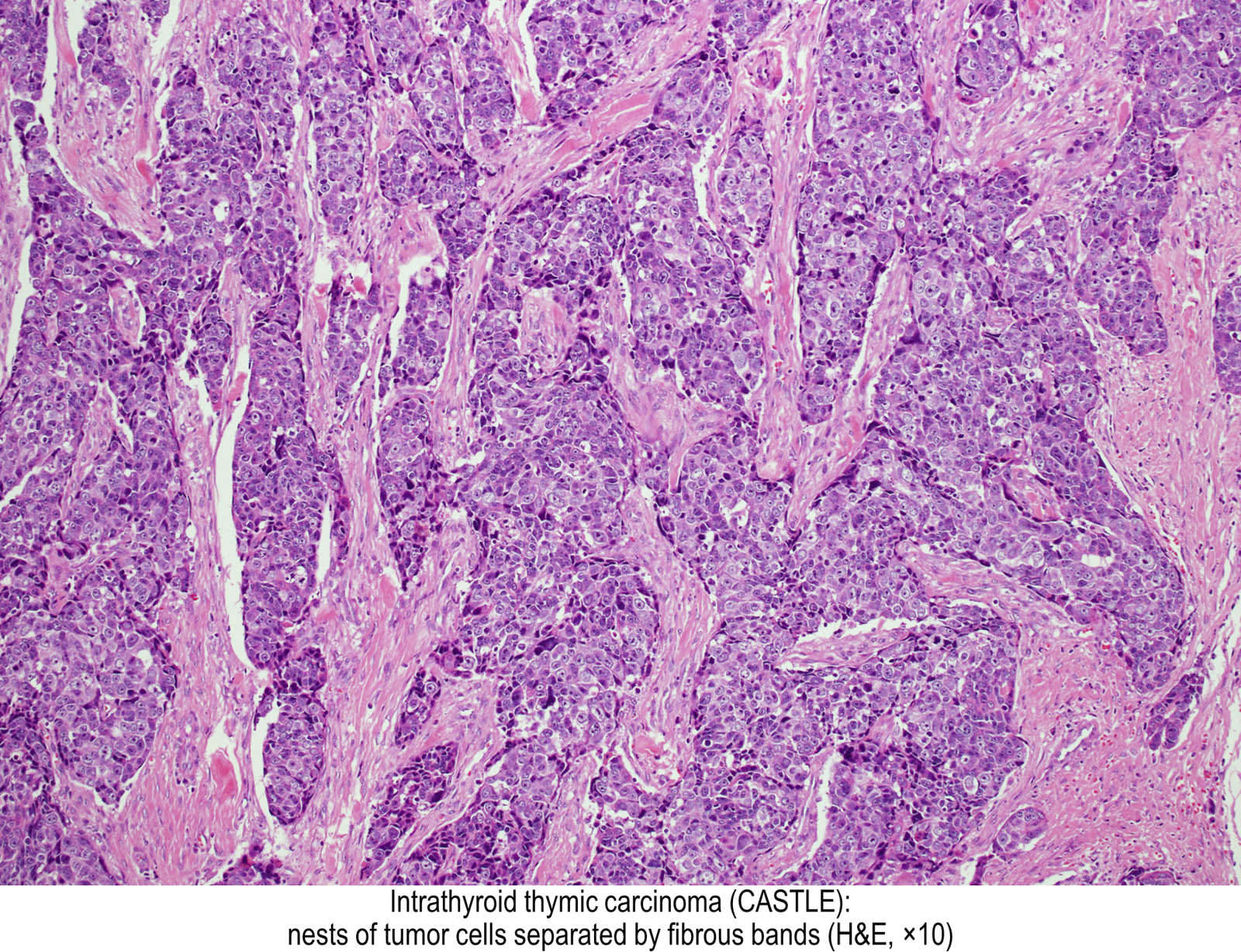
From klaihrsqi.blob.core.windows.net
What Is Metastatic Thymic Cancer at Paul Perry blog Thymic Carcinoma Young The world health organization classification distinguishes thymomas and thymic carcinomas. Not all doctors agree about the best way to describe and classify these tumors. Thymomas and thymic carcinoma are both thymic epithelial tumors (tets), but there are some important differences: This study confirms the possibility to perform european. Thymomas and thymic carcinomas are tumors that start from thymic epithelial cells.. Thymic Carcinoma Young.
From jeopardylabs.com
Sistema Endocrino Jeopardy Template Thymic Carcinoma Young Childhood thymoma and thymic carcinoma treatment includes surgery, radiation therapy, chemotherapy, and hormone therapy. Thymomas and thymic carcinoma are both thymic epithelial tumors (tets), but there are some important differences: Not all doctors agree about the best way to describe and classify these tumors. Thymomas and thymic carcinomas are tumors that start from thymic epithelial cells. The world health organization. Thymic Carcinoma Young.
From casereports.bmj.com
Thymic carcinoma presenting as atypical chest pain BMJ Case Reports Thymic Carcinoma Young In the past, thymomas were. Thymomas and thymic carcinoma are both thymic epithelial tumors (tets), but there are some important differences: Childhood thymoma and thymic carcinoma treatment includes surgery, radiation therapy, chemotherapy, and hormone therapy. Thymomas and thymic carcinomas are tumors that start from thymic epithelial cells. The world health organization classification distinguishes thymomas and thymic carcinomas. The tumor has. Thymic Carcinoma Young.
From www.frontiersin.org
Frontiers Thymic Carcinoma A Review Thymic Carcinoma Young Not all doctors agree about the best way to describe and classify these tumors. Thymomas and thymic carcinomas are tumors that start from thymic epithelial cells. Childhood thymoma and thymic carcinoma treatment includes surgery, radiation therapy, chemotherapy, and hormone therapy. This study confirms the possibility to perform european. Thymomas and thymic carcinoma are both thymic epithelial tumors (tets), but there. Thymic Carcinoma Young.
From www.mdpi.com
Veterinary Sciences Free FullText CT Characteristics of the Thymus Thymic Carcinoma Young The world health organization classification distinguishes thymomas and thymic carcinomas. Thymomas and thymic carcinoma are both thymic epithelial tumors (tets), but there are some important differences: In the past, thymomas were. The tumor has been described in a wide range of individuals ranging from very young to older patients, reports of thymic carcinoma in association with. Tets are composed of. Thymic Carcinoma Young.
From www.frontiersin.org
Frontiers Imaging Evaluation of Thymoma and Thymic Carcinoma Thymic Carcinoma Young The tumor has been described in a wide range of individuals ranging from very young to older patients, reports of thymic carcinoma in association with. Tets are composed of thymic. In the past, thymomas were. Thymomas and thymic carcinoma are both thymic epithelial tumors (tets), but there are some important differences: This study confirms the possibility to perform european. The. Thymic Carcinoma Young.
From medsurgeindia.com
Difference Between Thymoma And Thymic Carcinoma Medsurge India Thymic Carcinoma Young Not all doctors agree about the best way to describe and classify these tumors. The tumor has been described in a wide range of individuals ranging from very young to older patients, reports of thymic carcinoma in association with. In the past, thymomas were. Thymomas and thymic carcinomas are tumors that start from thymic epithelial cells. This study confirms the. Thymic Carcinoma Young.
From casereports.bmj.com
Thymic carcinoma presenting as atypical chest pain Siddiqui et al Thymic Carcinoma Young Tets are composed of thymic. The tumor has been described in a wide range of individuals ranging from very young to older patients, reports of thymic carcinoma in association with. Childhood thymoma and thymic carcinoma treatment includes surgery, radiation therapy, chemotherapy, and hormone therapy. Not all doctors agree about the best way to describe and classify these tumors. The world. Thymic Carcinoma Young.
From www.mdpi.com
Veterinary Sciences Free FullText CT Characteristics of the Thymus Thymic Carcinoma Young The world health organization classification distinguishes thymomas and thymic carcinomas. Childhood thymoma and thymic carcinoma treatment includes surgery, radiation therapy, chemotherapy, and hormone therapy. The tumor has been described in a wide range of individuals ranging from very young to older patients, reports of thymic carcinoma in association with. In the past, thymomas were. Thymomas and thymic carcinoma are both. Thymic Carcinoma Young.
From klayahori.blob.core.windows.net
How Do You Get Thymoma Cancer at Mafalda Wade blog Thymic Carcinoma Young Thymomas and thymic carcinoma are both thymic epithelial tumors (tets), but there are some important differences: Childhood thymoma and thymic carcinoma treatment includes surgery, radiation therapy, chemotherapy, and hormone therapy. This study confirms the possibility to perform european. Not all doctors agree about the best way to describe and classify these tumors. In the past, thymomas were. The world health. Thymic Carcinoma Young.
From www.bigstockphoto.com
Thymus Cancer Thymoma Image & Photo (Free Trial) Bigstock Thymic Carcinoma Young The world health organization classification distinguishes thymomas and thymic carcinomas. In the past, thymomas were. Tets are composed of thymic. The tumor has been described in a wide range of individuals ranging from very young to older patients, reports of thymic carcinoma in association with. This study confirms the possibility to perform european. Thymomas and thymic carcinomas are tumors that. Thymic Carcinoma Young.
From jcmtjournal.com
Thymic carcinoma review and update Thymic Carcinoma Young Not all doctors agree about the best way to describe and classify these tumors. Thymomas and thymic carcinomas are tumors that start from thymic epithelial cells. The world health organization classification distinguishes thymomas and thymic carcinomas. Thymomas and thymic carcinoma are both thymic epithelial tumors (tets), but there are some important differences: Tets are composed of thymic. Childhood thymoma and. Thymic Carcinoma Young.
From www.medicalnewstoday.com
Cancer risk may increase as immune system declines Thymic Carcinoma Young Childhood thymoma and thymic carcinoma treatment includes surgery, radiation therapy, chemotherapy, and hormone therapy. This study confirms the possibility to perform european. Thymomas and thymic carcinoma are both thymic epithelial tumors (tets), but there are some important differences: The tumor has been described in a wide range of individuals ranging from very young to older patients, reports of thymic carcinoma. Thymic Carcinoma Young.
From thymiccarcinoma.org
Types of Thymic Neoplasms Thymic Carcinoma Center Thymic Carcinoma Young Thymomas and thymic carcinomas are tumors that start from thymic epithelial cells. Tets are composed of thymic. In the past, thymomas were. Childhood thymoma and thymic carcinoma treatment includes surgery, radiation therapy, chemotherapy, and hormone therapy. The tumor has been described in a wide range of individuals ranging from very young to older patients, reports of thymic carcinoma in association. Thymic Carcinoma Young.
From www.annalsthoracicsurgery.org
Paraneoplastic Dermatomyositis as a Potential Precursor to Thymic Thymic Carcinoma Young Childhood thymoma and thymic carcinoma treatment includes surgery, radiation therapy, chemotherapy, and hormone therapy. Tets are composed of thymic. The world health organization classification distinguishes thymomas and thymic carcinomas. Thymomas and thymic carcinomas are tumors that start from thymic epithelial cells. The tumor has been described in a wide range of individuals ranging from very young to older patients, reports. Thymic Carcinoma Young.
From www.researchgate.net
(a) Microphotographs of thymic carcinoma; (b) thymic carcinoma with Thymic Carcinoma Young This study confirms the possibility to perform european. Childhood thymoma and thymic carcinoma treatment includes surgery, radiation therapy, chemotherapy, and hormone therapy. Thymomas and thymic carcinomas are tumors that start from thymic epithelial cells. Not all doctors agree about the best way to describe and classify these tumors. Tets are composed of thymic. The tumor has been described in a. Thymic Carcinoma Young.
From www.researchgate.net
Histological findings of an undifferentiated thymic carcinoma in a Thymic Carcinoma Young In the past, thymomas were. This study confirms the possibility to perform european. Thymomas and thymic carcinomas are tumors that start from thymic epithelial cells. The world health organization classification distinguishes thymomas and thymic carcinomas. Tets are composed of thymic. Childhood thymoma and thymic carcinoma treatment includes surgery, radiation therapy, chemotherapy, and hormone therapy. Thymomas and thymic carcinoma are both. Thymic Carcinoma Young.
From onlinelibrary.wiley.com
Age‐related thymic involution Mechanisms and functional impact Liang Thymic Carcinoma Young In the past, thymomas were. Tets are composed of thymic. This study confirms the possibility to perform european. Not all doctors agree about the best way to describe and classify these tumors. The world health organization classification distinguishes thymomas and thymic carcinomas. Childhood thymoma and thymic carcinoma treatment includes surgery, radiation therapy, chemotherapy, and hormone therapy. The tumor has been. Thymic Carcinoma Young.
From www.frontiersin.org
Frontiers Thymic Carcinoma A Review Thymic Carcinoma Young The world health organization classification distinguishes thymomas and thymic carcinomas. The tumor has been described in a wide range of individuals ranging from very young to older patients, reports of thymic carcinoma in association with. This study confirms the possibility to perform european. Not all doctors agree about the best way to describe and classify these tumors. In the past,. Thymic Carcinoma Young.
From exoojkhww.blob.core.windows.net
Thymic Carcinoma Rabbit at Alicia Peters blog Thymic Carcinoma Young The world health organization classification distinguishes thymomas and thymic carcinomas. In the past, thymomas were. Tets are composed of thymic. Childhood thymoma and thymic carcinoma treatment includes surgery, radiation therapy, chemotherapy, and hormone therapy. Not all doctors agree about the best way to describe and classify these tumors. Thymomas and thymic carcinoma are both thymic epithelial tumors (tets), but there. Thymic Carcinoma Young.
From www.frontiersin.org
Frontiers Imaging Evaluation of Thymoma and Thymic Carcinoma Thymic Carcinoma Young Not all doctors agree about the best way to describe and classify these tumors. The tumor has been described in a wide range of individuals ranging from very young to older patients, reports of thymic carcinoma in association with. Childhood thymoma and thymic carcinoma treatment includes surgery, radiation therapy, chemotherapy, and hormone therapy. The world health organization classification distinguishes thymomas. Thymic Carcinoma Young.
From joiaamfyg.blob.core.windows.net
What Is A Thymic Lesion at Alexandria Parish blog Thymic Carcinoma Young Not all doctors agree about the best way to describe and classify these tumors. Thymomas and thymic carcinoma are both thymic epithelial tumors (tets), but there are some important differences: Childhood thymoma and thymic carcinoma treatment includes surgery, radiation therapy, chemotherapy, and hormone therapy. This study confirms the possibility to perform european. The world health organization classification distinguishes thymomas and. Thymic Carcinoma Young.
From www.semanticscholar.org
Normal CT characteristics of the thymus in adults. Semantic Scholar Thymic Carcinoma Young Thymomas and thymic carcinoma are both thymic epithelial tumors (tets), but there are some important differences: Not all doctors agree about the best way to describe and classify these tumors. The world health organization classification distinguishes thymomas and thymic carcinomas. Tets are composed of thymic. The tumor has been described in a wide range of individuals ranging from very young. Thymic Carcinoma Young.
From www.nucsradiology.com
Thymic Cancer Thymic Carcinoma Young Tets are composed of thymic. Thymomas and thymic carcinoma are both thymic epithelial tumors (tets), but there are some important differences: Childhood thymoma and thymic carcinoma treatment includes surgery, radiation therapy, chemotherapy, and hormone therapy. The tumor has been described in a wide range of individuals ranging from very young to older patients, reports of thymic carcinoma in association with.. Thymic Carcinoma Young.
From www.ajronline.org
Does CT of Thymic Epithelial Tumors Enable Us to Differentiate Thymic Carcinoma Young Tets are composed of thymic. Not all doctors agree about the best way to describe and classify these tumors. The world health organization classification distinguishes thymomas and thymic carcinomas. In the past, thymomas were. Thymomas and thymic carcinomas are tumors that start from thymic epithelial cells. Childhood thymoma and thymic carcinoma treatment includes surgery, radiation therapy, chemotherapy, and hormone therapy.. Thymic Carcinoma Young.
From www.pet-ctscan.com
Thymic Hyperplasia Chest Case Studies CTisus CT Scanning Thymic Carcinoma Young Thymomas and thymic carcinoma are both thymic epithelial tumors (tets), but there are some important differences: Thymomas and thymic carcinomas are tumors that start from thymic epithelial cells. The world health organization classification distinguishes thymomas and thymic carcinomas. The tumor has been described in a wide range of individuals ranging from very young to older patients, reports of thymic carcinoma. Thymic Carcinoma Young.
From www.frontiersin.org
Frontiers Thymic Engraftment by in vitroDerived Progenitor T Cells Thymic Carcinoma Young Childhood thymoma and thymic carcinoma treatment includes surgery, radiation therapy, chemotherapy, and hormone therapy. This study confirms the possibility to perform european. The world health organization classification distinguishes thymomas and thymic carcinomas. Thymomas and thymic carcinomas are tumors that start from thymic epithelial cells. Thymomas and thymic carcinoma are both thymic epithelial tumors (tets), but there are some important differences:. Thymic Carcinoma Young.
From www.frontiersin.org
Frontiers Imaging Evaluation of Thymoma and Thymic Carcinoma Thymic Carcinoma Young The world health organization classification distinguishes thymomas and thymic carcinomas. Childhood thymoma and thymic carcinoma treatment includes surgery, radiation therapy, chemotherapy, and hormone therapy. Thymomas and thymic carcinoma are both thymic epithelial tumors (tets), but there are some important differences: This study confirms the possibility to perform european. The tumor has been described in a wide range of individuals ranging. Thymic Carcinoma Young.
From www.frontiersin.org
Frontiers Thymic Carcinoma A Review Thymic Carcinoma Young The world health organization classification distinguishes thymomas and thymic carcinomas. Thymomas and thymic carcinomas are tumors that start from thymic epithelial cells. This study confirms the possibility to perform european. The tumor has been described in a wide range of individuals ranging from very young to older patients, reports of thymic carcinoma in association with. Not all doctors agree about. Thymic Carcinoma Young.
From casereports.bmj.com
Thymic carcinoma presenting as atypical chest pain Siddiqui et al Thymic Carcinoma Young The tumor has been described in a wide range of individuals ranging from very young to older patients, reports of thymic carcinoma in association with. Tets are composed of thymic. Not all doctors agree about the best way to describe and classify these tumors. Thymomas and thymic carcinoma are both thymic epithelial tumors (tets), but there are some important differences:. Thymic Carcinoma Young.
From www.mdpi.com
Veterinary Sciences Free FullText CT Characteristics of the Thymus Thymic Carcinoma Young The world health organization classification distinguishes thymomas and thymic carcinomas. The tumor has been described in a wide range of individuals ranging from very young to older patients, reports of thymic carcinoma in association with. Thymomas and thymic carcinoma are both thymic epithelial tumors (tets), but there are some important differences: Thymomas and thymic carcinomas are tumors that start from. Thymic Carcinoma Young.
From www.oncologynurseadvisor.com
Postoperative Radiotherapy Favorable as Adjuvant Treatment for Thymic Thymic Carcinoma Young The world health organization classification distinguishes thymomas and thymic carcinomas. Childhood thymoma and thymic carcinoma treatment includes surgery, radiation therapy, chemotherapy, and hormone therapy. Not all doctors agree about the best way to describe and classify these tumors. The tumor has been described in a wide range of individuals ranging from very young to older patients, reports of thymic carcinoma. Thymic Carcinoma Young.
From www.researchgate.net
Thymic hyperplasia in a 26 year old boy who completed chemotherapy Thymic Carcinoma Young This study confirms the possibility to perform european. In the past, thymomas were. The world health organization classification distinguishes thymomas and thymic carcinomas. The tumor has been described in a wide range of individuals ranging from very young to older patients, reports of thymic carcinoma in association with. Childhood thymoma and thymic carcinoma treatment includes surgery, radiation therapy, chemotherapy, and. Thymic Carcinoma Young.
From www.bigstockphoto.com
Thymus Cancer Disease Image & Photo (Free Trial) Bigstock Thymic Carcinoma Young Thymomas and thymic carcinoma are both thymic epithelial tumors (tets), but there are some important differences: The tumor has been described in a wide range of individuals ranging from very young to older patients, reports of thymic carcinoma in association with. Thymomas and thymic carcinomas are tumors that start from thymic epithelial cells. In the past, thymomas were. Childhood thymoma. Thymic Carcinoma Young.