Feather Pillows Lung Disease . In 2016, taylor developed “feather duvet lung,” a form of hypersensitivity pneumonitis, or “bird fancier’s lung,” of which feather duvet lung is a rare, and under. Fdl is caused by inhalation of organic. Feather duvet lung (fdl), is an immunologically mediated form of hypersensitivity pneumonitis (hp), also sometimes called extrinsic allergic alveolitis. It took a nosy doctor. Breathing in this dust triggers a reaction in the body, causing lung inflammation and difficulty breathing. Feather duvet lung or hypersensitivity pneumonitis, is a lung problem caused by sensitivity to antigen from feathers in duvets and pillows filled with duck or goose feathers. When a patient reported being so short of breath he could barely walk, many physicians were stumped. Feather duvet lung or hypersensitivity pneumonitis, is a lung problem caused by sensitivity to antigen from feathers in duvets and pillows filled with duck or goose feathers.
from coziepillow.com
It took a nosy doctor. Feather duvet lung (fdl), is an immunologically mediated form of hypersensitivity pneumonitis (hp), also sometimes called extrinsic allergic alveolitis. Feather duvet lung or hypersensitivity pneumonitis, is a lung problem caused by sensitivity to antigen from feathers in duvets and pillows filled with duck or goose feathers. Breathing in this dust triggers a reaction in the body, causing lung inflammation and difficulty breathing. When a patient reported being so short of breath he could barely walk, many physicians were stumped. Fdl is caused by inhalation of organic. Feather duvet lung or hypersensitivity pneumonitis, is a lung problem caused by sensitivity to antigen from feathers in duvets and pillows filled with duck or goose feathers. In 2016, taylor developed “feather duvet lung,” a form of hypersensitivity pneumonitis, or “bird fancier’s lung,” of which feather duvet lung is a rare, and under.
Feather Pillow Vs Down Pillow Which One is Better?
Feather Pillows Lung Disease When a patient reported being so short of breath he could barely walk, many physicians were stumped. Fdl is caused by inhalation of organic. It took a nosy doctor. Breathing in this dust triggers a reaction in the body, causing lung inflammation and difficulty breathing. When a patient reported being so short of breath he could barely walk, many physicians were stumped. Feather duvet lung or hypersensitivity pneumonitis, is a lung problem caused by sensitivity to antigen from feathers in duvets and pillows filled with duck or goose feathers. Feather duvet lung or hypersensitivity pneumonitis, is a lung problem caused by sensitivity to antigen from feathers in duvets and pillows filled with duck or goose feathers. In 2016, taylor developed “feather duvet lung,” a form of hypersensitivity pneumonitis, or “bird fancier’s lung,” of which feather duvet lung is a rare, and under. Feather duvet lung (fdl), is an immunologically mediated form of hypersensitivity pneumonitis (hp), also sometimes called extrinsic allergic alveolitis.
From fineartamerica.com
Interstitial Lung Disease Photograph by K H Fung/science Photo Library Feather Pillows Lung Disease When a patient reported being so short of breath he could barely walk, many physicians were stumped. Feather duvet lung or hypersensitivity pneumonitis, is a lung problem caused by sensitivity to antigen from feathers in duvets and pillows filled with duck or goose feathers. In 2016, taylor developed “feather duvet lung,” a form of hypersensitivity pneumonitis, or “bird fancier’s lung,”. Feather Pillows Lung Disease.
From www.queenb.co.nz
Shop Goose Down & Feather Pillows by MM Linen with Afterpay Feather Pillows Lung Disease Breathing in this dust triggers a reaction in the body, causing lung inflammation and difficulty breathing. In 2016, taylor developed “feather duvet lung,” a form of hypersensitivity pneumonitis, or “bird fancier’s lung,” of which feather duvet lung is a rare, and under. Feather duvet lung or hypersensitivity pneumonitis, is a lung problem caused by sensitivity to antigen from feathers in. Feather Pillows Lung Disease.
From www.pinterest.com
The Original Feather Pillows Feather pillows, Pillows, Down feather Feather Pillows Lung Disease In 2016, taylor developed “feather duvet lung,” a form of hypersensitivity pneumonitis, or “bird fancier’s lung,” of which feather duvet lung is a rare, and under. Feather duvet lung or hypersensitivity pneumonitis, is a lung problem caused by sensitivity to antigen from feathers in duvets and pillows filled with duck or goose feathers. Feather duvet lung or hypersensitivity pneumonitis, is. Feather Pillows Lung Disease.
From www.bedbathandbeyond.co.nz
Cloud 9 5/95 Down & Feather Pillow Feather Pillows Lung Disease Feather duvet lung or hypersensitivity pneumonitis, is a lung problem caused by sensitivity to antigen from feathers in duvets and pillows filled with duck or goose feathers. Feather duvet lung (fdl), is an immunologically mediated form of hypersensitivity pneumonitis (hp), also sometimes called extrinsic allergic alveolitis. Feather duvet lung or hypersensitivity pneumonitis, is a lung problem caused by sensitivity to. Feather Pillows Lung Disease.
From zedegree.blogspot.com
Revealed The hidden fungus on YOUR pillows that can trigger an Feather Pillows Lung Disease It took a nosy doctor. Feather duvet lung or hypersensitivity pneumonitis, is a lung problem caused by sensitivity to antigen from feathers in duvets and pillows filled with duck or goose feathers. In 2016, taylor developed “feather duvet lung,” a form of hypersensitivity pneumonitis, or “bird fancier’s lung,” of which feather duvet lung is a rare, and under. When a. Feather Pillows Lung Disease.
From soffipillows.com
Allergy to Feather Pillows Symptoms SoffiPillows Feather Pillows Lung Disease Breathing in this dust triggers a reaction in the body, causing lung inflammation and difficulty breathing. Feather duvet lung (fdl), is an immunologically mediated form of hypersensitivity pneumonitis (hp), also sometimes called extrinsic allergic alveolitis. In 2016, taylor developed “feather duvet lung,” a form of hypersensitivity pneumonitis, or “bird fancier’s lung,” of which feather duvet lung is a rare, and. Feather Pillows Lung Disease.
From soffipillows.com
Allergic to Feather Pillows Symptoms SoffiPillows Feather Pillows Lung Disease When a patient reported being so short of breath he could barely walk, many physicians were stumped. Breathing in this dust triggers a reaction in the body, causing lung inflammation and difficulty breathing. It took a nosy doctor. Fdl is caused by inhalation of organic. Feather duvet lung or hypersensitivity pneumonitis, is a lung problem caused by sensitivity to antigen. Feather Pillows Lung Disease.
From www.mattressclarity.com
Helix Down & Feather Pillow Review Personally Tested Feather Pillows Lung Disease In 2016, taylor developed “feather duvet lung,” a form of hypersensitivity pneumonitis, or “bird fancier’s lung,” of which feather duvet lung is a rare, and under. Feather duvet lung or hypersensitivity pneumonitis, is a lung problem caused by sensitivity to antigen from feathers in duvets and pillows filled with duck or goose feathers. When a patient reported being so short. Feather Pillows Lung Disease.
From aspmedical.com
Lung Pillow ASP Medical Feather Pillows Lung Disease Feather duvet lung or hypersensitivity pneumonitis, is a lung problem caused by sensitivity to antigen from feathers in duvets and pillows filled with duck or goose feathers. Fdl is caused by inhalation of organic. In 2016, taylor developed “feather duvet lung,” a form of hypersensitivity pneumonitis, or “bird fancier’s lung,” of which feather duvet lung is a rare, and under.. Feather Pillows Lung Disease.
From www.healthing.ca
What it feels like to have 'feather duvet lung' — and how the doctor Feather Pillows Lung Disease Feather duvet lung or hypersensitivity pneumonitis, is a lung problem caused by sensitivity to antigen from feathers in duvets and pillows filled with duck or goose feathers. In 2016, taylor developed “feather duvet lung,” a form of hypersensitivity pneumonitis, or “bird fancier’s lung,” of which feather duvet lung is a rare, and under. Feather duvet lung or hypersensitivity pneumonitis, is. Feather Pillows Lung Disease.
From fineartamerica.com
Obstructive Lung Disease Photograph by John Bavosi Fine Art America Feather Pillows Lung Disease Feather duvet lung or hypersensitivity pneumonitis, is a lung problem caused by sensitivity to antigen from feathers in duvets and pillows filled with duck or goose feathers. Feather duvet lung (fdl), is an immunologically mediated form of hypersensitivity pneumonitis (hp), also sometimes called extrinsic allergic alveolitis. Feather duvet lung or hypersensitivity pneumonitis, is a lung problem caused by sensitivity to. Feather Pillows Lung Disease.
From www.verywellhealth.com
Lung Inflammation Symptoms, Causes, Treatment, More Feather Pillows Lung Disease Fdl is caused by inhalation of organic. Feather duvet lung or hypersensitivity pneumonitis, is a lung problem caused by sensitivity to antigen from feathers in duvets and pillows filled with duck or goose feathers. Breathing in this dust triggers a reaction in the body, causing lung inflammation and difficulty breathing. In 2016, taylor developed “feather duvet lung,” a form of. Feather Pillows Lung Disease.
From www.sleepsolutions.com.au
Feather & Downs Pillows Australia NDIS Approved Feather Pillows Lung Disease When a patient reported being so short of breath he could barely walk, many physicians were stumped. Breathing in this dust triggers a reaction in the body, causing lung inflammation and difficulty breathing. Fdl is caused by inhalation of organic. Feather duvet lung (fdl), is an immunologically mediated form of hypersensitivity pneumonitis (hp), also sometimes called extrinsic allergic alveolitis. It. Feather Pillows Lung Disease.
From www.aliexpress.com
Chpermore 100 White Goose Down/feather Pillow High grade Luxury Feather Pillows Lung Disease When a patient reported being so short of breath he could barely walk, many physicians were stumped. Feather duvet lung or hypersensitivity pneumonitis, is a lung problem caused by sensitivity to antigen from feathers in duvets and pillows filled with duck or goose feathers. It took a nosy doctor. Breathing in this dust triggers a reaction in the body, causing. Feather Pillows Lung Disease.
From www.oprahdaily.com
The O List Wellness Edition Feather Pillows Lung Disease Feather duvet lung or hypersensitivity pneumonitis, is a lung problem caused by sensitivity to antigen from feathers in duvets and pillows filled with duck or goose feathers. It took a nosy doctor. In 2016, taylor developed “feather duvet lung,” a form of hypersensitivity pneumonitis, or “bird fancier’s lung,” of which feather duvet lung is a rare, and under. Feather duvet. Feather Pillows Lung Disease.
From sleepstandards.com
Top 9 Best Feather Pillows in 2022 Feather Pillows Lung Disease Feather duvet lung (fdl), is an immunologically mediated form of hypersensitivity pneumonitis (hp), also sometimes called extrinsic allergic alveolitis. When a patient reported being so short of breath he could barely walk, many physicians were stumped. It took a nosy doctor. Feather duvet lung or hypersensitivity pneumonitis, is a lung problem caused by sensitivity to antigen from feathers in duvets. Feather Pillows Lung Disease.
From www.downandfeathercompany.com
The Original Feather Pillows Down & Feather Co. Feather Pillows Lung Disease In 2016, taylor developed “feather duvet lung,” a form of hypersensitivity pneumonitis, or “bird fancier’s lung,” of which feather duvet lung is a rare, and under. Breathing in this dust triggers a reaction in the body, causing lung inflammation and difficulty breathing. Feather duvet lung (fdl), is an immunologically mediated form of hypersensitivity pneumonitis (hp), also sometimes called extrinsic allergic. Feather Pillows Lung Disease.
From thecurbsiders.com
221 Interstitial Lung Disease with Erin Narewski DO The Curbsiders Feather Pillows Lung Disease Feather duvet lung or hypersensitivity pneumonitis, is a lung problem caused by sensitivity to antigen from feathers in duvets and pillows filled with duck or goose feathers. Fdl is caused by inhalation of organic. When a patient reported being so short of breath he could barely walk, many physicians were stumped. Breathing in this dust triggers a reaction in the. Feather Pillows Lung Disease.
From www.aol.co.uk
Featherfilled bedding triggered 'lung disease' in a man with allergies Feather Pillows Lung Disease Feather duvet lung or hypersensitivity pneumonitis, is a lung problem caused by sensitivity to antigen from feathers in duvets and pillows filled with duck or goose feathers. In 2016, taylor developed “feather duvet lung,” a form of hypersensitivity pneumonitis, or “bird fancier’s lung,” of which feather duvet lung is a rare, and under. Fdl is caused by inhalation of organic.. Feather Pillows Lung Disease.
From grehsajjaa.com
Feather Pillows Feather Pillows Lung Disease Feather duvet lung (fdl), is an immunologically mediated form of hypersensitivity pneumonitis (hp), also sometimes called extrinsic allergic alveolitis. Fdl is caused by inhalation of organic. In 2016, taylor developed “feather duvet lung,” a form of hypersensitivity pneumonitis, or “bird fancier’s lung,” of which feather duvet lung is a rare, and under. Breathing in this dust triggers a reaction in. Feather Pillows Lung Disease.
From canescleaners.com
How to Clean Feather Pillows Canes Cleaners Feather Pillows Lung Disease It took a nosy doctor. Feather duvet lung or hypersensitivity pneumonitis, is a lung problem caused by sensitivity to antigen from feathers in duvets and pillows filled with duck or goose feathers. When a patient reported being so short of breath he could barely walk, many physicians were stumped. Feather duvet lung or hypersensitivity pneumonitis, is a lung problem caused. Feather Pillows Lung Disease.
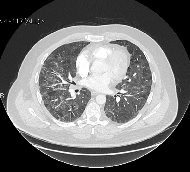
From www.researchgate.net
Chronic HSP caused by feather pillows. Notes Male, 67 years of age Feather Pillows Lung Disease When a patient reported being so short of breath he could barely walk, many physicians were stumped. It took a nosy doctor. Breathing in this dust triggers a reaction in the body, causing lung inflammation and difficulty breathing. Fdl is caused by inhalation of organic. In 2016, taylor developed “feather duvet lung,” a form of hypersensitivity pneumonitis, or “bird fancier’s. Feather Pillows Lung Disease.
From aspmedical.com
Lung Pillow ASP Medical Feather Pillows Lung Disease It took a nosy doctor. Feather duvet lung or hypersensitivity pneumonitis, is a lung problem caused by sensitivity to antigen from feathers in duvets and pillows filled with duck or goose feathers. In 2016, taylor developed “feather duvet lung,” a form of hypersensitivity pneumonitis, or “bird fancier’s lung,” of which feather duvet lung is a rare, and under. When a. Feather Pillows Lung Disease.
From www.nyallergy.com
Feather Duvet Lung Disease New York Allergy and Sinus Centers Feather Pillows Lung Disease Breathing in this dust triggers a reaction in the body, causing lung inflammation and difficulty breathing. When a patient reported being so short of breath he could barely walk, many physicians were stumped. Feather duvet lung or hypersensitivity pneumonitis, is a lung problem caused by sensitivity to antigen from feathers in duvets and pillows filled with duck or goose feathers.. Feather Pillows Lung Disease.
From www.walmart.com
Mainstays Feather Pillow with Antimicrobial Treatment, Single Feather Pillows Lung Disease Feather duvet lung (fdl), is an immunologically mediated form of hypersensitivity pneumonitis (hp), also sometimes called extrinsic allergic alveolitis. Breathing in this dust triggers a reaction in the body, causing lung inflammation and difficulty breathing. Fdl is caused by inhalation of organic. It took a nosy doctor. Feather duvet lung or hypersensitivity pneumonitis, is a lung problem caused by sensitivity. Feather Pillows Lung Disease.
From aradbranding.com
Feather Pillow purchase price + excellent sale Arad Branding Feather Pillows Lung Disease Feather duvet lung or hypersensitivity pneumonitis, is a lung problem caused by sensitivity to antigen from feathers in duvets and pillows filled with duck or goose feathers. Feather duvet lung or hypersensitivity pneumonitis, is a lung problem caused by sensitivity to antigen from feathers in duvets and pillows filled with duck or goose feathers. It took a nosy doctor. Fdl. Feather Pillows Lung Disease.
From www.talkaboutsleep.com
7 Best Feather Pillows Reviewed in Detail (Fall 2023) Feather Pillows Lung Disease When a patient reported being so short of breath he could barely walk, many physicians were stumped. It took a nosy doctor. Breathing in this dust triggers a reaction in the body, causing lung inflammation and difficulty breathing. Feather duvet lung (fdl), is an immunologically mediated form of hypersensitivity pneumonitis (hp), also sometimes called extrinsic allergic alveolitis. Fdl is caused. Feather Pillows Lung Disease.
From www.peta.org
Could Down Bedding Be Making You Sick? PETA Feather Pillows Lung Disease Fdl is caused by inhalation of organic. In 2016, taylor developed “feather duvet lung,” a form of hypersensitivity pneumonitis, or “bird fancier’s lung,” of which feather duvet lung is a rare, and under. Feather duvet lung or hypersensitivity pneumonitis, is a lung problem caused by sensitivity to antigen from feathers in duvets and pillows filled with duck or goose feathers.. Feather Pillows Lung Disease.
From in.pinterest.com
Best Feather Pillows Reviews 2022 Top 5 Comparison Pillow reviews Feather Pillows Lung Disease It took a nosy doctor. In 2016, taylor developed “feather duvet lung,” a form of hypersensitivity pneumonitis, or “bird fancier’s lung,” of which feather duvet lung is a rare, and under. When a patient reported being so short of breath he could barely walk, many physicians were stumped. Breathing in this dust triggers a reaction in the body, causing lung. Feather Pillows Lung Disease.
From coziepillow.com
Feather Pillow Vs Down Pillow Which One is Better? Feather Pillows Lung Disease Feather duvet lung or hypersensitivity pneumonitis, is a lung problem caused by sensitivity to antigen from feathers in duvets and pillows filled with duck or goose feathers. Fdl is caused by inhalation of organic. Breathing in this dust triggers a reaction in the body, causing lung inflammation and difficulty breathing. Feather duvet lung (fdl), is an immunologically mediated form of. Feather Pillows Lung Disease.
From hullopillow.com
Feather and Down Pillows Feather Faults & Down Deficiencies! Feather Pillows Lung Disease In 2016, taylor developed “feather duvet lung,” a form of hypersensitivity pneumonitis, or “bird fancier’s lung,” of which feather duvet lung is a rare, and under. Feather duvet lung or hypersensitivity pneumonitis, is a lung problem caused by sensitivity to antigen from feathers in duvets and pillows filled with duck or goose feathers. Feather duvet lung (fdl), is an immunologically. Feather Pillows Lung Disease.
From www.eliterest.com
Feather Pillows vs Down Pillows Which One Is Better? Elite Rest Feather Pillows Lung Disease Feather duvet lung or hypersensitivity pneumonitis, is a lung problem caused by sensitivity to antigen from feathers in duvets and pillows filled with duck or goose feathers. Feather duvet lung or hypersensitivity pneumonitis, is a lung problem caused by sensitivity to antigen from feathers in duvets and pillows filled with duck or goose feathers. In 2016, taylor developed “feather duvet. Feather Pillows Lung Disease.
From www.youtube.com
New Feather Pillows June 2023 YouTube Feather Pillows Lung Disease It took a nosy doctor. When a patient reported being so short of breath he could barely walk, many physicians were stumped. Breathing in this dust triggers a reaction in the body, causing lung inflammation and difficulty breathing. Fdl is caused by inhalation of organic. Feather duvet lung (fdl), is an immunologically mediated form of hypersensitivity pneumonitis (hp), also sometimes. Feather Pillows Lung Disease.
From aokahome.com
Feather Pillows vs. Goose Down Pillows Allinclusive Choose Feather Pillows Lung Disease In 2016, taylor developed “feather duvet lung,” a form of hypersensitivity pneumonitis, or “bird fancier’s lung,” of which feather duvet lung is a rare, and under. Feather duvet lung (fdl), is an immunologically mediated form of hypersensitivity pneumonitis (hp), also sometimes called extrinsic allergic alveolitis. Feather duvet lung or hypersensitivity pneumonitis, is a lung problem caused by sensitivity to antigen. Feather Pillows Lung Disease.
From thesleepdoctor.com
Best Feather Pillows of 2023 The Sleep Doctor Feather Pillows Lung Disease Feather duvet lung (fdl), is an immunologically mediated form of hypersensitivity pneumonitis (hp), also sometimes called extrinsic allergic alveolitis. Breathing in this dust triggers a reaction in the body, causing lung inflammation and difficulty breathing. Feather duvet lung or hypersensitivity pneumonitis, is a lung problem caused by sensitivity to antigen from feathers in duvets and pillows filled with duck or. Feather Pillows Lung Disease.