Chest X Ray Cost For Covid . 17 however, with respect to the relative value of chest radiography or ct for detecting the presence of viral pneumonia, the experience is vastly different depending on community norms and public health directives. This rapid advice guide examines the evidence and makes recommendations for the use of chest imaging in acute care of adult patients. When patients are encouraged to present early in.
from www.mdpi.com
17 however, with respect to the relative value of chest radiography or ct for detecting the presence of viral pneumonia, the experience is vastly different depending on community norms and public health directives. This rapid advice guide examines the evidence and makes recommendations for the use of chest imaging in acute care of adult patients. When patients are encouraged to present early in.
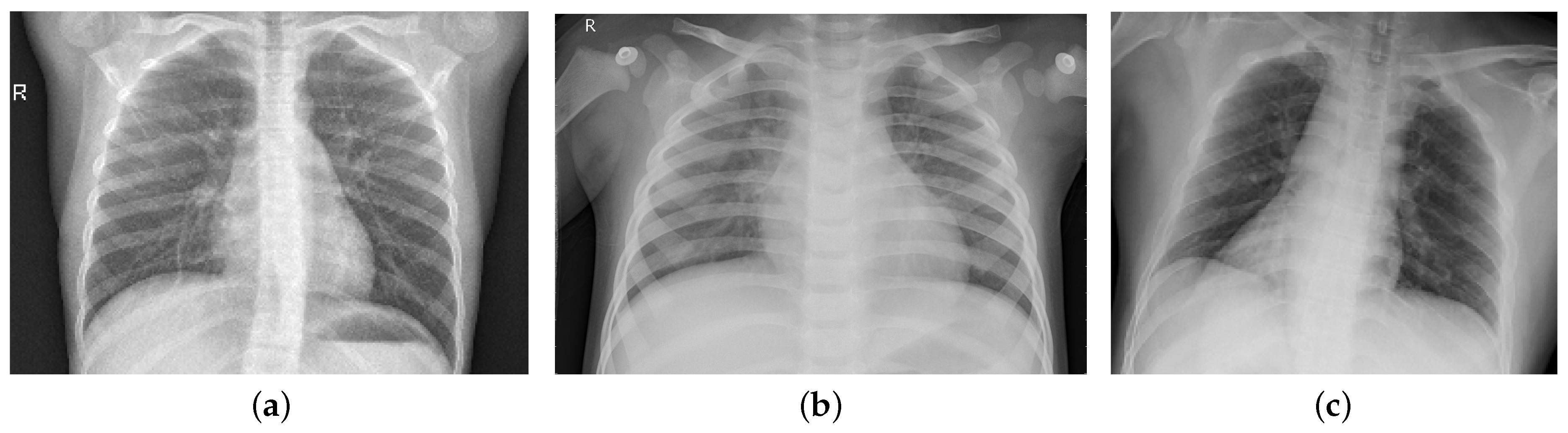
COVID Free FullText Detecting Coronavirus from Chest Xrays Using
Chest X Ray Cost For Covid 17 however, with respect to the relative value of chest radiography or ct for detecting the presence of viral pneumonia, the experience is vastly different depending on community norms and public health directives. 17 however, with respect to the relative value of chest radiography or ct for detecting the presence of viral pneumonia, the experience is vastly different depending on community norms and public health directives. When patients are encouraged to present early in. This rapid advice guide examines the evidence and makes recommendations for the use of chest imaging in acute care of adult patients.
From calgaryguide.ucalgary.ca
copdfindingsonposterioranteriorandlateralchestxrayfindings Chest X Ray Cost For Covid When patients are encouraged to present early in. This rapid advice guide examines the evidence and makes recommendations for the use of chest imaging in acute care of adult patients. 17 however, with respect to the relative value of chest radiography or ct for detecting the presence of viral pneumonia, the experience is vastly different depending on community norms and. Chest X Ray Cost For Covid.
From www.siemens-healthineers.com
Xray imaging for COVID19 patients Chest X Ray Cost For Covid 17 however, with respect to the relative value of chest radiography or ct for detecting the presence of viral pneumonia, the experience is vastly different depending on community norms and public health directives. When patients are encouraged to present early in. This rapid advice guide examines the evidence and makes recommendations for the use of chest imaging in acute care. Chest X Ray Cost For Covid.
From www.v7labs.com
COVID19 Chest Xray Dataset V7 Open Datasets Chest X Ray Cost For Covid 17 however, with respect to the relative value of chest radiography or ct for detecting the presence of viral pneumonia, the experience is vastly different depending on community norms and public health directives. This rapid advice guide examines the evidence and makes recommendations for the use of chest imaging in acute care of adult patients. When patients are encouraged to. Chest X Ray Cost For Covid.
From www.qmenta.com
COVID19 Kaggle Chest Xray (normal) QMENTA Chest X Ray Cost For Covid This rapid advice guide examines the evidence and makes recommendations for the use of chest imaging in acute care of adult patients. 17 however, with respect to the relative value of chest radiography or ct for detecting the presence of viral pneumonia, the experience is vastly different depending on community norms and public health directives. When patients are encouraged to. Chest X Ray Cost For Covid.
From www.forbes.com
Northwestern University Has Developed An AI System That Helps Detect Chest X Ray Cost For Covid When patients are encouraged to present early in. 17 however, with respect to the relative value of chest radiography or ct for detecting the presence of viral pneumonia, the experience is vastly different depending on community norms and public health directives. This rapid advice guide examines the evidence and makes recommendations for the use of chest imaging in acute care. Chest X Ray Cost For Covid.
From www.verywellhealth.com
COVID19 (Coronavirus) Diagnosis, Chest Xray and CT Scan Chest X Ray Cost For Covid This rapid advice guide examines the evidence and makes recommendations for the use of chest imaging in acute care of adult patients. 17 however, with respect to the relative value of chest radiography or ct for detecting the presence of viral pneumonia, the experience is vastly different depending on community norms and public health directives. When patients are encouraged to. Chest X Ray Cost For Covid.
From pubs.rsna.org
Determinants of Chest Radiography Sensitivity for COVID19 A Multi Chest X Ray Cost For Covid This rapid advice guide examines the evidence and makes recommendations for the use of chest imaging in acute care of adult patients. 17 however, with respect to the relative value of chest radiography or ct for detecting the presence of viral pneumonia, the experience is vastly different depending on community norms and public health directives. When patients are encouraged to. Chest X Ray Cost For Covid.
From www.eurekalert.org
Investigan un nuevo sistema de radiografías d EurekAlert! Chest X Ray Cost For Covid When patients are encouraged to present early in. This rapid advice guide examines the evidence and makes recommendations for the use of chest imaging in acute care of adult patients. 17 however, with respect to the relative value of chest radiography or ct for detecting the presence of viral pneumonia, the experience is vastly different depending on community norms and. Chest X Ray Cost For Covid.
From scitechdaily.com
Artificial Intelligence Accurately Predicts if COVID19 Patients Will Chest X Ray Cost For Covid When patients are encouraged to present early in. This rapid advice guide examines the evidence and makes recommendations for the use of chest imaging in acute care of adult patients. 17 however, with respect to the relative value of chest radiography or ct for detecting the presence of viral pneumonia, the experience is vastly different depending on community norms and. Chest X Ray Cost For Covid.
From www.nationalgeographic.com
How COVID19 harms the heart Chest X Ray Cost For Covid When patients are encouraged to present early in. 17 however, with respect to the relative value of chest radiography or ct for detecting the presence of viral pneumonia, the experience is vastly different depending on community norms and public health directives. This rapid advice guide examines the evidence and makes recommendations for the use of chest imaging in acute care. Chest X Ray Cost For Covid.
From stock.adobe.com
chest xray film of the patient with pneumonia right lower lung. Covid Chest X Ray Cost For Covid When patients are encouraged to present early in. 17 however, with respect to the relative value of chest radiography or ct for detecting the presence of viral pneumonia, the experience is vastly different depending on community norms and public health directives. This rapid advice guide examines the evidence and makes recommendations for the use of chest imaging in acute care. Chest X Ray Cost For Covid.
From www.verywellhealth.com
COVID19 (Coronavirus) Diagnosis, Chest Xray and CT Scan Chest X Ray Cost For Covid 17 however, with respect to the relative value of chest radiography or ct for detecting the presence of viral pneumonia, the experience is vastly different depending on community norms and public health directives. When patients are encouraged to present early in. This rapid advice guide examines the evidence and makes recommendations for the use of chest imaging in acute care. Chest X Ray Cost For Covid.
From www.mdpi.com
Sensors Free FullText Chest Xray Classification for the Detection Chest X Ray Cost For Covid This rapid advice guide examines the evidence and makes recommendations for the use of chest imaging in acute care of adult patients. 17 however, with respect to the relative value of chest radiography or ct for detecting the presence of viral pneumonia, the experience is vastly different depending on community norms and public health directives. When patients are encouraged to. Chest X Ray Cost For Covid.
From www.mdpi.com
Healthcare Free FullText ComputerAided Diagnosis of COVID19 from Chest X Ray Cost For Covid 17 however, with respect to the relative value of chest radiography or ct for detecting the presence of viral pneumonia, the experience is vastly different depending on community norms and public health directives. This rapid advice guide examines the evidence and makes recommendations for the use of chest imaging in acute care of adult patients. When patients are encouraged to. Chest X Ray Cost For Covid.
From www.frontiersin.org
Frontiers CXR2 An Enhanced Deep Convolutional Neural Chest X Ray Cost For Covid 17 however, with respect to the relative value of chest radiography or ct for detecting the presence of viral pneumonia, the experience is vastly different depending on community norms and public health directives. When patients are encouraged to present early in. This rapid advice guide examines the evidence and makes recommendations for the use of chest imaging in acute care. Chest X Ray Cost For Covid.
From stock.adobe.com
chest xray image of covid 19 pneumonia patient show consolidation Chest X Ray Cost For Covid This rapid advice guide examines the evidence and makes recommendations for the use of chest imaging in acute care of adult patients. When patients are encouraged to present early in. 17 however, with respect to the relative value of chest radiography or ct for detecting the presence of viral pneumonia, the experience is vastly different depending on community norms and. Chest X Ray Cost For Covid.
From malonecenter.jhu.edu
Radiologists use deep learning to find signs of COVID19 in chest x Chest X Ray Cost For Covid When patients are encouraged to present early in. This rapid advice guide examines the evidence and makes recommendations for the use of chest imaging in acute care of adult patients. 17 however, with respect to the relative value of chest radiography or ct for detecting the presence of viral pneumonia, the experience is vastly different depending on community norms and. Chest X Ray Cost For Covid.
From www.princeton.edu
AI tool gives doctors a new look at the lungs in treating COVID19 Chest X Ray Cost For Covid When patients are encouraged to present early in. This rapid advice guide examines the evidence and makes recommendations for the use of chest imaging in acute care of adult patients. 17 however, with respect to the relative value of chest radiography or ct for detecting the presence of viral pneumonia, the experience is vastly different depending on community norms and. Chest X Ray Cost For Covid.
From www.mdpi.com
Diagnostics Free FullText Joint Diagnosis of Pneumonia, COVID19 Chest X Ray Cost For Covid 17 however, with respect to the relative value of chest radiography or ct for detecting the presence of viral pneumonia, the experience is vastly different depending on community norms and public health directives. This rapid advice guide examines the evidence and makes recommendations for the use of chest imaging in acute care of adult patients. When patients are encouraged to. Chest X Ray Cost For Covid.
From www.mdpi.com
Diagnostics Free FullText Longitudinal Chest Xray Scores and Chest X Ray Cost For Covid This rapid advice guide examines the evidence and makes recommendations for the use of chest imaging in acute care of adult patients. When patients are encouraged to present early in. 17 however, with respect to the relative value of chest radiography or ct for detecting the presence of viral pneumonia, the experience is vastly different depending on community norms and. Chest X Ray Cost For Covid.
From www.timesunion.com
What they don’t tell you about surviving COVID19 Chest X Ray Cost For Covid This rapid advice guide examines the evidence and makes recommendations for the use of chest imaging in acute care of adult patients. When patients are encouraged to present early in. 17 however, with respect to the relative value of chest radiography or ct for detecting the presence of viral pneumonia, the experience is vastly different depending on community norms and. Chest X Ray Cost For Covid.
From openpress.usask.ca
General Approach to Reviewing xray Imaging Undergraduate Diagnostic Chest X Ray Cost For Covid When patients are encouraged to present early in. This rapid advice guide examines the evidence and makes recommendations for the use of chest imaging in acute care of adult patients. 17 however, with respect to the relative value of chest radiography or ct for detecting the presence of viral pneumonia, the experience is vastly different depending on community norms and. Chest X Ray Cost For Covid.
From www.bmj.com
The role of chest radiography in confirming covid19 pneumonia The BMJ Chest X Ray Cost For Covid 17 however, with respect to the relative value of chest radiography or ct for detecting the presence of viral pneumonia, the experience is vastly different depending on community norms and public health directives. This rapid advice guide examines the evidence and makes recommendations for the use of chest imaging in acute care of adult patients. When patients are encouraged to. Chest X Ray Cost For Covid.
From www.forbes.com
Northwestern University Has Developed An AI System That Helps Detect Chest X Ray Cost For Covid This rapid advice guide examines the evidence and makes recommendations for the use of chest imaging in acute care of adult patients. When patients are encouraged to present early in. 17 however, with respect to the relative value of chest radiography or ct for detecting the presence of viral pneumonia, the experience is vastly different depending on community norms and. Chest X Ray Cost For Covid.
From www.siemens-healthineers.com
Xray imaging for COVID19 patients Chest X Ray Cost For Covid When patients are encouraged to present early in. This rapid advice guide examines the evidence and makes recommendations for the use of chest imaging in acute care of adult patients. 17 however, with respect to the relative value of chest radiography or ct for detecting the presence of viral pneumonia, the experience is vastly different depending on community norms and. Chest X Ray Cost For Covid.
From www.bmj.com
The role of chest radiography in confirming covid19 pneumonia The BMJ Chest X Ray Cost For Covid 17 however, with respect to the relative value of chest radiography or ct for detecting the presence of viral pneumonia, the experience is vastly different depending on community norms and public health directives. When patients are encouraged to present early in. This rapid advice guide examines the evidence and makes recommendations for the use of chest imaging in acute care. Chest X Ray Cost For Covid.
From fineartamerica.com
Chest Xray Of Covid 19 Pneumonia Photograph by Rajaaisya/science Photo Chest X Ray Cost For Covid This rapid advice guide examines the evidence and makes recommendations for the use of chest imaging in acute care of adult patients. When patients are encouraged to present early in. 17 however, with respect to the relative value of chest radiography or ct for detecting the presence of viral pneumonia, the experience is vastly different depending on community norms and. Chest X Ray Cost For Covid.
From www.microsoft.com
Supporting clinicians to diagnose and assess Covid19 severity using AI Chest X Ray Cost For Covid When patients are encouraged to present early in. This rapid advice guide examines the evidence and makes recommendations for the use of chest imaging in acute care of adult patients. 17 however, with respect to the relative value of chest radiography or ct for detecting the presence of viral pneumonia, the experience is vastly different depending on community norms and. Chest X Ray Cost For Covid.
From www.medrxiv.org
Chest Xray classification using Deep learning for automated COVID19 Chest X Ray Cost For Covid When patients are encouraged to present early in. 17 however, with respect to the relative value of chest radiography or ct for detecting the presence of viral pneumonia, the experience is vastly different depending on community norms and public health directives. This rapid advice guide examines the evidence and makes recommendations for the use of chest imaging in acute care. Chest X Ray Cost For Covid.
From www.elsevier.es
Radiologic aspects of COVID19 pneumonia and thoracic Chest X Ray Cost For Covid When patients are encouraged to present early in. 17 however, with respect to the relative value of chest radiography or ct for detecting the presence of viral pneumonia, the experience is vastly different depending on community norms and public health directives. This rapid advice guide examines the evidence and makes recommendations for the use of chest imaging in acute care. Chest X Ray Cost For Covid.
From hub.jhu.edu
Radiologists use deep learning to find signs of COVID19 in chest X Chest X Ray Cost For Covid 17 however, with respect to the relative value of chest radiography or ct for detecting the presence of viral pneumonia, the experience is vastly different depending on community norms and public health directives. This rapid advice guide examines the evidence and makes recommendations for the use of chest imaging in acute care of adult patients. When patients are encouraged to. Chest X Ray Cost For Covid.
From www.medrxiv.org
Deep Learning for Screening COVID19 using Chest XRay Images medRxiv Chest X Ray Cost For Covid This rapid advice guide examines the evidence and makes recommendations for the use of chest imaging in acute care of adult patients. 17 however, with respect to the relative value of chest radiography or ct for detecting the presence of viral pneumonia, the experience is vastly different depending on community norms and public health directives. When patients are encouraged to. Chest X Ray Cost For Covid.
From www.scirp.org
The Role of Chest XRay in Monitoring Lung Changes among COVID19 Chest X Ray Cost For Covid This rapid advice guide examines the evidence and makes recommendations for the use of chest imaging in acute care of adult patients. When patients are encouraged to present early in. 17 however, with respect to the relative value of chest radiography or ct for detecting the presence of viral pneumonia, the experience is vastly different depending on community norms and. Chest X Ray Cost For Covid.
From www.mdpi.com
COVID Free FullText Survival by Mediastinal Chest Drain Due to Chest X Ray Cost For Covid When patients are encouraged to present early in. 17 however, with respect to the relative value of chest radiography or ct for detecting the presence of viral pneumonia, the experience is vastly different depending on community norms and public health directives. This rapid advice guide examines the evidence and makes recommendations for the use of chest imaging in acute care. Chest X Ray Cost For Covid.
From www.mdpi.com
COVID Free FullText Detecting Coronavirus from Chest Xrays Using Chest X Ray Cost For Covid When patients are encouraged to present early in. This rapid advice guide examines the evidence and makes recommendations for the use of chest imaging in acute care of adult patients. 17 however, with respect to the relative value of chest radiography or ct for detecting the presence of viral pneumonia, the experience is vastly different depending on community norms and. Chest X Ray Cost For Covid.