What Is A Stump Pyometra .  stump pyometra is suspected when a mass is seen on radiographs or ultrasound in the area of the uterine stump and there are. The uterus is generally filled with pus.  stump pyometra is suspected when a mass is seen on radiographs or ultrasound in the area of the uterine stump and there are accompanying clinical.  a pyometra (or “pyo”) is a womb infection — a very serious condition that’s common in unneutered female dogs.    — pyometra, characterized by the accumulation of purulent exudate in the uterus, is the most prevalent reproductive. Treatment for a pyometra usually.  a true stump pyometra is an uncommon problem which refers to a hormone (progesterone) mediated infection of a remnant of.    — in rare cases, a dog who has already been neutered may also develop a particular type of pyometra called a stump.  less commonly, if a dog was spayed but not all the ovarian tissue was removed, a dog could develop a condition called stump.    — pyometra is an infection of the uterus that may occur in dogs and cats making the pet very ill.
        
        from www.youtube.com 
     
        
           — in rare cases, a dog who has already been neutered may also develop a particular type of pyometra called a stump.    — pyometra is an infection of the uterus that may occur in dogs and cats making the pet very ill. Treatment for a pyometra usually.  a true stump pyometra is an uncommon problem which refers to a hormone (progesterone) mediated infection of a remnant of.  a pyometra (or “pyo”) is a womb infection — a very serious condition that’s common in unneutered female dogs.  stump pyometra is suspected when a mass is seen on radiographs or ultrasound in the area of the uterine stump and there are accompanying clinical.  stump pyometra is suspected when a mass is seen on radiographs or ultrasound in the area of the uterine stump and there are.    — pyometra, characterized by the accumulation of purulent exudate in the uterus, is the most prevalent reproductive.  less commonly, if a dog was spayed but not all the ovarian tissue was removed, a dog could develop a condition called stump. The uterus is generally filled with pus.
    
    	
            
	
		 
         
    Classic Stump Pyometra YouTube 
    What Is A Stump Pyometra   a pyometra (or “pyo”) is a womb infection — a very serious condition that’s common in unneutered female dogs.  stump pyometra is suspected when a mass is seen on radiographs or ultrasound in the area of the uterine stump and there are accompanying clinical.  stump pyometra is suspected when a mass is seen on radiographs or ultrasound in the area of the uterine stump and there are.  less commonly, if a dog was spayed but not all the ovarian tissue was removed, a dog could develop a condition called stump.    — pyometra is an infection of the uterus that may occur in dogs and cats making the pet very ill. Treatment for a pyometra usually. The uterus is generally filled with pus.    — in rare cases, a dog who has already been neutered may also develop a particular type of pyometra called a stump.  a pyometra (or “pyo”) is a womb infection — a very serious condition that’s common in unneutered female dogs.    — pyometra, characterized by the accumulation of purulent exudate in the uterus, is the most prevalent reproductive.  a true stump pyometra is an uncommon problem which refers to a hormone (progesterone) mediated infection of a remnant of.
            
	
		 
         
 
    
        From www.threebearsvets.co.uk 
                    Spotlight on Pyometra What Is A Stump Pyometra   a pyometra (or “pyo”) is a womb infection — a very serious condition that’s common in unneutered female dogs.    — in rare cases, a dog who has already been neutered may also develop a particular type of pyometra called a stump. Treatment for a pyometra usually.  a true stump pyometra is an uncommon problem which refers to. What Is A Stump Pyometra.
     
    
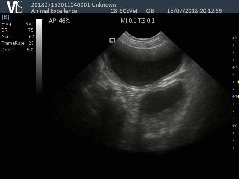
        From www.researchgate.net 
                    USG image of uterine stump pyometra in case no. 2 Download Scientific What Is A Stump Pyometra  The uterus is generally filled with pus.    — pyometra, characterized by the accumulation of purulent exudate in the uterus, is the most prevalent reproductive.  stump pyometra is suspected when a mass is seen on radiographs or ultrasound in the area of the uterine stump and there are. Treatment for a pyometra usually.  a true stump pyometra is. What Is A Stump Pyometra.
     
    
        From www.animalultrasoundassociation.org 
                    Pyometra Animal Ultrasound Association What Is A Stump Pyometra     — in rare cases, a dog who has already been neutered may also develop a particular type of pyometra called a stump.    — pyometra is an infection of the uterus that may occur in dogs and cats making the pet very ill.  a pyometra (or “pyo”) is a womb infection — a very serious condition that’s common. What Is A Stump Pyometra.
     
    
        From www.caninejournal.com 
                    Pyometra In Dogs Causes, Symptoms & Treatment Canine Journal What Is A Stump Pyometra  Treatment for a pyometra usually.  stump pyometra is suspected when a mass is seen on radiographs or ultrasound in the area of the uterine stump and there are.    — pyometra, characterized by the accumulation of purulent exudate in the uterus, is the most prevalent reproductive.  a true stump pyometra is an uncommon problem which refers to a. What Is A Stump Pyometra.
     
    
        From journals.sagepub.com 
                    Unusual case of uterine stump pyometra in a cat Ada Rota, Paola What Is A Stump Pyometra   less commonly, if a dog was spayed but not all the ovarian tissue was removed, a dog could develop a condition called stump.    — pyometra, characterized by the accumulation of purulent exudate in the uterus, is the most prevalent reproductive.    — in rare cases, a dog who has already been neutered may also develop a particular type. What Is A Stump Pyometra.
     
    
        From animalia-life.club 
                    What Are Symptoms Of Pyometra In Dogs What Is A Stump Pyometra     — pyometra is an infection of the uterus that may occur in dogs and cats making the pet very ill.  a pyometra (or “pyo”) is a womb infection — a very serious condition that’s common in unneutered female dogs.  a true stump pyometra is an uncommon problem which refers to a hormone (progesterone) mediated infection of a. What Is A Stump Pyometra.
     
    
        From 2010vets.blogspot.com 
                    2010vets 1393. VIDEO Guidelines to treating pyometra What Is A Stump Pyometra     — pyometra is an infection of the uterus that may occur in dogs and cats making the pet very ill.  a true stump pyometra is an uncommon problem which refers to a hormone (progesterone) mediated infection of a remnant of.  a pyometra (or “pyo”) is a womb infection — a very serious condition that’s common in unneutered. What Is A Stump Pyometra.
     
    
        From dokumen.tips 
                    (PDF) Stump Pyometra DOKUMEN.TIPS What Is A Stump Pyometra  Treatment for a pyometra usually.  a pyometra (or “pyo”) is a womb infection — a very serious condition that’s common in unneutered female dogs.  stump pyometra is suspected when a mass is seen on radiographs or ultrasound in the area of the uterine stump and there are.  a true stump pyometra is an uncommon problem which refers. What Is A Stump Pyometra.
     
    
        From iloveveterinary.com 
                    What Is Pyometra? I Love Veterinary What Is A Stump Pyometra  Treatment for a pyometra usually.  a true stump pyometra is an uncommon problem which refers to a hormone (progesterone) mediated infection of a remnant of.  less commonly, if a dog was spayed but not all the ovarian tissue was removed, a dog could develop a condition called stump.  stump pyometra is suspected when a mass is seen. What Is A Stump Pyometra.
     
    
        From www.researchgate.net 
                    (PDF) Stump pyometra in a spayed female dog secondary to tamoxifen What Is A Stump Pyometra     — pyometra, characterized by the accumulation of purulent exudate in the uterus, is the most prevalent reproductive.  stump pyometra is suspected when a mass is seen on radiographs or ultrasound in the area of the uterine stump and there are accompanying clinical.  a true stump pyometra is an uncommon problem which refers to a hormone (progesterone) mediated. What Is A Stump Pyometra.
     
    
        From animalia-life.club 
                    What Is Pyometra In A Female Dog What Is A Stump Pyometra   a pyometra (or “pyo”) is a womb infection — a very serious condition that’s common in unneutered female dogs.    — in rare cases, a dog who has already been neutered may also develop a particular type of pyometra called a stump.    — pyometra is an infection of the uterus that may occur in dogs and cats making. What Is A Stump Pyometra.
     
    
        From www.slideshare.net 
                    Pyometra What Is A Stump Pyometra   a pyometra (or “pyo”) is a womb infection — a very serious condition that’s common in unneutered female dogs.    — pyometra is an infection of the uterus that may occur in dogs and cats making the pet very ill.  stump pyometra is suspected when a mass is seen on radiographs or ultrasound in the area of the. What Is A Stump Pyometra.
     
    
        From onlinelibrary.wiley.com 
                    Stump pyometra in a spayed female dog secondary to tamoxifen Ehrhardt What Is A Stump Pyometra  The uterus is generally filled with pus.  stump pyometra is suspected when a mass is seen on radiographs or ultrasound in the area of the uterine stump and there are accompanying clinical.    — pyometra is an infection of the uterus that may occur in dogs and cats making the pet very ill.  a pyometra (or “pyo”) is. What Is A Stump Pyometra.
     
    
        From members.sonopath.com 
                    Uterine stump pyometra and CVC vascular anomaly in a 11 year old FS What Is A Stump Pyometra   stump pyometra is suspected when a mass is seen on radiographs or ultrasound in the area of the uterine stump and there are accompanying clinical.    — in rare cases, a dog who has already been neutered may also develop a particular type of pyometra called a stump.  less commonly, if a dog was spayed but not all. What Is A Stump Pyometra.
     
    
        From www.animalultrasoundassociation.org 
                    Pyometra Ultrasound images Animal Ultrasound Association What Is A Stump Pyometra   a pyometra (or “pyo”) is a womb infection — a very serious condition that’s common in unneutered female dogs. Treatment for a pyometra usually.  stump pyometra is suspected when a mass is seen on radiographs or ultrasound in the area of the uterine stump and there are.    — pyometra, characterized by the accumulation of purulent exudate in. What Is A Stump Pyometra.
     
    
        From www.vetlexicon.com 
                    Uterine stump pyometra ultrasound in Ferrets Vetlexicon What Is A Stump Pyometra   less commonly, if a dog was spayed but not all the ovarian tissue was removed, a dog could develop a condition called stump. Treatment for a pyometra usually.    — pyometra, characterized by the accumulation of purulent exudate in the uterus, is the most prevalent reproductive. The uterus is generally filled with pus.  a true stump pyometra is. What Is A Stump Pyometra.
     
    
        From members.sonopath.com 
                    Uterine stump pyometra and CVC vascular anomaly in a 11 year old FS What Is A Stump Pyometra   less commonly, if a dog was spayed but not all the ovarian tissue was removed, a dog could develop a condition called stump.  a true stump pyometra is an uncommon problem which refers to a hormone (progesterone) mediated infection of a remnant of.    — pyometra is an infection of the uterus that may occur in dogs and. What Is A Stump Pyometra.
     
    
        From iloveveterinary.com 
                    What is Pyometra? I Love Veterinary What Is A Stump Pyometra  Treatment for a pyometra usually.    — pyometra is an infection of the uterus that may occur in dogs and cats making the pet very ill.  a pyometra (or “pyo”) is a womb infection — a very serious condition that’s common in unneutered female dogs.  stump pyometra is suspected when a mass is seen on radiographs or ultrasound. What Is A Stump Pyometra.
     
    
        From www.semanticscholar.org 
                    [PDF] Pyometra in the queen Semantic Scholar What Is A Stump Pyometra   a pyometra (or “pyo”) is a womb infection — a very serious condition that’s common in unneutered female dogs.  less commonly, if a dog was spayed but not all the ovarian tissue was removed, a dog could develop a condition called stump.  a true stump pyometra is an uncommon problem which refers to a hormone (progesterone) mediated. What Is A Stump Pyometra.
     
    
        From www.petcoach.co 
                    What r symptoms of stump pyometra?is it stump pyometra or UTI?my dog What Is A Stump Pyometra     — in rare cases, a dog who has already been neutered may also develop a particular type of pyometra called a stump. Treatment for a pyometra usually. The uterus is generally filled with pus.  stump pyometra is suspected when a mass is seen on radiographs or ultrasound in the area of the uterine stump and there are. . What Is A Stump Pyometra.
     
    
        From www.researchgate.net 
                    (PDF) Ovarian remnant syndrome and uterine stump pyometra in three queens What Is A Stump Pyometra  Treatment for a pyometra usually.  a pyometra (or “pyo”) is a womb infection — a very serious condition that’s common in unneutered female dogs.  stump pyometra is suspected when a mass is seen on radiographs or ultrasound in the area of the uterine stump and there are accompanying clinical.    — pyometra, characterized by the accumulation of purulent. What Is A Stump Pyometra.
     
    
        From atibai.com 
                    มดลูกอักเสบเป็นหนอง (Pyometra) Atibai What Is A Stump Pyometra  Treatment for a pyometra usually.    — pyometra, characterized by the accumulation of purulent exudate in the uterus, is the most prevalent reproductive.  a pyometra (or “pyo”) is a womb infection — a very serious condition that’s common in unneutered female dogs.  stump pyometra is suspected when a mass is seen on radiographs or ultrasound in the area. What Is A Stump Pyometra.
     
    
        From simplyfordogs.com 
                    Pyometra The Uterine Infection That Can Kill Your Dog Simply For Dogs What Is A Stump Pyometra     — in rare cases, a dog who has already been neutered may also develop a particular type of pyometra called a stump.  a pyometra (or “pyo”) is a womb infection — a very serious condition that’s common in unneutered female dogs.  less commonly, if a dog was spayed but not all the ovarian tissue was removed, a. What Is A Stump Pyometra.
     
    
        From www.researchgate.net 
                    (PDF) Surgical therapy of complicated uterine stump pyometra in five What Is A Stump Pyometra   stump pyometra is suspected when a mass is seen on radiographs or ultrasound in the area of the uterine stump and there are accompanying clinical.  less commonly, if a dog was spayed but not all the ovarian tissue was removed, a dog could develop a condition called stump.    — in rare cases, a dog who has already. What Is A Stump Pyometra.
     
    
        From www.animalultrasoundassociation.org 
                    Pyometra Ultrasound images Animal Ultrasound Association What Is A Stump Pyometra  The uterus is generally filled with pus.    — in rare cases, a dog who has already been neutered may also develop a particular type of pyometra called a stump.  stump pyometra is suspected when a mass is seen on radiographs or ultrasound in the area of the uterine stump and there are.    — pyometra, characterized by the. What Is A Stump Pyometra.
     
    
        From www.wellnessvet.com.hk 
                    Soft Tissue Surgery Service Wellness Veterinary Hospital What Is A Stump Pyometra  The uterus is generally filled with pus.    — in rare cases, a dog who has already been neutered may also develop a particular type of pyometra called a stump.  a pyometra (or “pyo”) is a womb infection — a very serious condition that’s common in unneutered female dogs.  stump pyometra is suspected when a mass is seen. What Is A Stump Pyometra.
     
    
        From members.sonopath.com 
                    Uterine stump pyometra and CVC vascular anomaly in a 11 year old FS What Is A Stump Pyometra   stump pyometra is suspected when a mass is seen on radiographs or ultrasound in the area of the uterine stump and there are accompanying clinical.  a true stump pyometra is an uncommon problem which refers to a hormone (progesterone) mediated infection of a remnant of.  stump pyometra is suspected when a mass is seen on radiographs or. What Is A Stump Pyometra.
     
    
        From healthtopics.vetmed.ucdavis.edu 
                    Stump Pyometra Animal Health Topics / School of Veterinary Medicine What Is A Stump Pyometra  Treatment for a pyometra usually.    — pyometra, characterized by the accumulation of purulent exudate in the uterus, is the most prevalent reproductive.  a true stump pyometra is an uncommon problem which refers to a hormone (progesterone) mediated infection of a remnant of.  a pyometra (or “pyo”) is a womb infection — a very serious condition that’s common. What Is A Stump Pyometra.
     
    
        From www.youtube.com 
                    Classic Stump Pyometra YouTube What Is A Stump Pyometra     — pyometra, characterized by the accumulation of purulent exudate in the uterus, is the most prevalent reproductive. The uterus is generally filled with pus.    — pyometra is an infection of the uterus that may occur in dogs and cats making the pet very ill.  a pyometra (or “pyo”) is a womb infection — a very serious condition. What Is A Stump Pyometra.
     
    
        From www.semanticscholar.org 
                    Figure 1 from Surgical therapy of complicated uterine stump pyometra in What Is A Stump Pyometra   less commonly, if a dog was spayed but not all the ovarian tissue was removed, a dog could develop a condition called stump.  stump pyometra is suspected when a mass is seen on radiographs or ultrasound in the area of the uterine stump and there are accompanying clinical.  a true stump pyometra is an uncommon problem which. What Is A Stump Pyometra.
     
    
        From ourpetshealth.com 
                    The Emergency Pyometra in Dogs common and risky — Our Pet's Health What Is A Stump Pyometra     — pyometra is an infection of the uterus that may occur in dogs and cats making the pet very ill.    — pyometra, characterized by the accumulation of purulent exudate in the uterus, is the most prevalent reproductive.  less commonly, if a dog was spayed but not all the ovarian tissue was removed, a dog could develop a. What Is A Stump Pyometra.
     
    
        From www.eveshamvet.com 
                    Pyometra Evesham Veterinary Clinic What Is A Stump Pyometra   a pyometra (or “pyo”) is a womb infection — a very serious condition that’s common in unneutered female dogs.  less commonly, if a dog was spayed but not all the ovarian tissue was removed, a dog could develop a condition called stump.  stump pyometra is suspected when a mass is seen on radiographs or ultrasound in the. What Is A Stump Pyometra.
     
    
        From jovis.thquanglang.edu.vn 
                    List 92+ Wallpaper Pictures Of Pyometra In Dogs Updated What Is A Stump Pyometra  The uterus is generally filled with pus.    — pyometra is an infection of the uterus that may occur in dogs and cats making the pet very ill.  a true stump pyometra is an uncommon problem which refers to a hormone (progesterone) mediated infection of a remnant of.  stump pyometra is suspected when a mass is seen on. What Is A Stump Pyometra.
     
    
        From www.researchgate.net 
                    (PDF) Ultrasonographic evaluation of the uterine stump pyometra in What Is A Stump Pyometra   stump pyometra is suspected when a mass is seen on radiographs or ultrasound in the area of the uterine stump and there are. Treatment for a pyometra usually.    — in rare cases, a dog who has already been neutered may also develop a particular type of pyometra called a stump.  a pyometra (or “pyo”) is a womb. What Is A Stump Pyometra.
     
    
        From www.vetwest.com.au 
                    Pyometra in Dogs uterus infection, pus, causes, signs, treatment What Is A Stump Pyometra     — pyometra, characterized by the accumulation of purulent exudate in the uterus, is the most prevalent reproductive.  stump pyometra is suspected when a mass is seen on radiographs or ultrasound in the area of the uterine stump and there are accompanying clinical.    — in rare cases, a dog who has already been neutered may also develop a. What Is A Stump Pyometra.