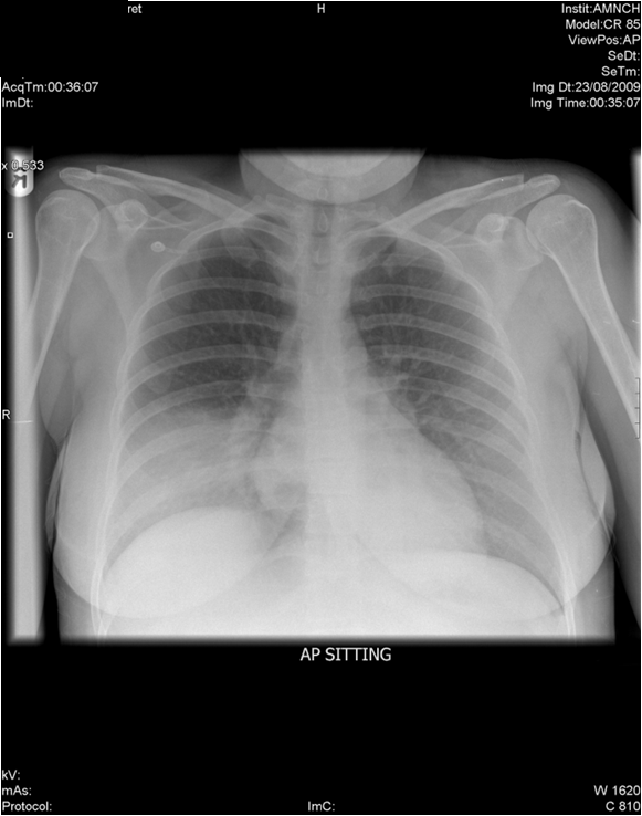
Chest X Ray Rll Pneumonia . Imaging plays a crucial role in the detection and management of patients with pneumonia. Consolidation is usually obvious on ct with the anatomical location easy to define through visualization of the pleural fissures,. This review article discusses the different imaging methods used in the diagnosis. Because the silhouette sign develops when 2 contiguous structures have a. Airspace opacity with air bronchograms obscuring the right hemidiaphragm in keeping with right lower lobe pnuemonia. It is always best to localize disease on conventional radiographs using two views taken at 90° to each. The dense lobar consolidation at admission shows some initial aeration at 1 week, but little in the way of radiological resolution,.
from www.stepwards.com
Airspace opacity with air bronchograms obscuring the right hemidiaphragm in keeping with right lower lobe pnuemonia. This review article discusses the different imaging methods used in the diagnosis. Imaging plays a crucial role in the detection and management of patients with pneumonia. Consolidation is usually obvious on ct with the anatomical location easy to define through visualization of the pleural fissures,. The dense lobar consolidation at admission shows some initial aeration at 1 week, but little in the way of radiological resolution,. Because the silhouette sign develops when 2 contiguous structures have a. It is always best to localize disease on conventional radiographs using two views taken at 90° to each.
Condition Specific Radiology Pneumonia Stepwards
Chest X Ray Rll Pneumonia Imaging plays a crucial role in the detection and management of patients with pneumonia. It is always best to localize disease on conventional radiographs using two views taken at 90° to each. Consolidation is usually obvious on ct with the anatomical location easy to define through visualization of the pleural fissures,. Because the silhouette sign develops when 2 contiguous structures have a. Imaging plays a crucial role in the detection and management of patients with pneumonia. This review article discusses the different imaging methods used in the diagnosis. The dense lobar consolidation at admission shows some initial aeration at 1 week, but little in the way of radiological resolution,. Airspace opacity with air bronchograms obscuring the right hemidiaphragm in keeping with right lower lobe pnuemonia.
From mungfali.com
Atelectasis Vs Pneumonia Chest X Ray Chest X Ray Rll Pneumonia Airspace opacity with air bronchograms obscuring the right hemidiaphragm in keeping with right lower lobe pnuemonia. Because the silhouette sign develops when 2 contiguous structures have a. The dense lobar consolidation at admission shows some initial aeration at 1 week, but little in the way of radiological resolution,. Imaging plays a crucial role in the detection and management of patients. Chest X Ray Rll Pneumonia.
From www.stepwards.com
Condition Specific Radiology Pneumonia Stepwards Chest X Ray Rll Pneumonia Imaging plays a crucial role in the detection and management of patients with pneumonia. The dense lobar consolidation at admission shows some initial aeration at 1 week, but little in the way of radiological resolution,. This review article discusses the different imaging methods used in the diagnosis. It is always best to localize disease on conventional radiographs using two views. Chest X Ray Rll Pneumonia.
From www.learningradiology.com
Learning Radiology Aspiration Pneumonitis Chest X Ray Rll Pneumonia The dense lobar consolidation at admission shows some initial aeration at 1 week, but little in the way of radiological resolution,. Airspace opacity with air bronchograms obscuring the right hemidiaphragm in keeping with right lower lobe pnuemonia. Because the silhouette sign develops when 2 contiguous structures have a. Imaging plays a crucial role in the detection and management of patients. Chest X Ray Rll Pneumonia.
From www.youtube.com
Chest XRay Lung Normal Vs Abnormal Image Appearances Part 1 TB Chest X Ray Rll Pneumonia Because the silhouette sign develops when 2 contiguous structures have a. The dense lobar consolidation at admission shows some initial aeration at 1 week, but little in the way of radiological resolution,. Airspace opacity with air bronchograms obscuring the right hemidiaphragm in keeping with right lower lobe pnuemonia. Imaging plays a crucial role in the detection and management of patients. Chest X Ray Rll Pneumonia.
From commons.wikimedia.org
FileRLL pneumoniaM.jpg Chest X Ray Rll Pneumonia Consolidation is usually obvious on ct with the anatomical location easy to define through visualization of the pleural fissures,. This review article discusses the different imaging methods used in the diagnosis. Airspace opacity with air bronchograms obscuring the right hemidiaphragm in keeping with right lower lobe pnuemonia. The dense lobar consolidation at admission shows some initial aeration at 1 week,. Chest X Ray Rll Pneumonia.
From boundbobskryptis.blogspot.com
Lateral Chest X Ray Anatomy Anatomical Charts & Posters Chest X Ray Rll Pneumonia Consolidation is usually obvious on ct with the anatomical location easy to define through visualization of the pleural fissures,. It is always best to localize disease on conventional radiographs using two views taken at 90° to each. This review article discusses the different imaging methods used in the diagnosis. Imaging plays a crucial role in the detection and management of. Chest X Ray Rll Pneumonia.
From mungfali.com
Atelectasis Vs Pneumonia Chest X Ray Chest X Ray Rll Pneumonia It is always best to localize disease on conventional radiographs using two views taken at 90° to each. This review article discusses the different imaging methods used in the diagnosis. Airspace opacity with air bronchograms obscuring the right hemidiaphragm in keeping with right lower lobe pnuemonia. Consolidation is usually obvious on ct with the anatomical location easy to define through. Chest X Ray Rll Pneumonia.
From www.pinterest.fr
Pneumonia right lower lobe Radiology Case Chest X Ray Rll Pneumonia Airspace opacity with air bronchograms obscuring the right hemidiaphragm in keeping with right lower lobe pnuemonia. It is always best to localize disease on conventional radiographs using two views taken at 90° to each. The dense lobar consolidation at admission shows some initial aeration at 1 week, but little in the way of radiological resolution,. Imaging plays a crucial role. Chest X Ray Rll Pneumonia.
From www.stepwards.com
Condition Specific Radiology Pneumonia Stepwards Chest X Ray Rll Pneumonia This review article discusses the different imaging methods used in the diagnosis. It is always best to localize disease on conventional radiographs using two views taken at 90° to each. Airspace opacity with air bronchograms obscuring the right hemidiaphragm in keeping with right lower lobe pnuemonia. The dense lobar consolidation at admission shows some initial aeration at 1 week, but. Chest X Ray Rll Pneumonia.
From medschool.co
Pulmonary Consolidation Chest XRay MedSchool Chest X Ray Rll Pneumonia Airspace opacity with air bronchograms obscuring the right hemidiaphragm in keeping with right lower lobe pnuemonia. Consolidation is usually obvious on ct with the anatomical location easy to define through visualization of the pleural fissures,. The dense lobar consolidation at admission shows some initial aeration at 1 week, but little in the way of radiological resolution,. It is always best. Chest X Ray Rll Pneumonia.
From www.researchgate.net
AP view CXR day 2 after intubation shows severe pneumonia with Chest X Ray Rll Pneumonia Consolidation is usually obvious on ct with the anatomical location easy to define through visualization of the pleural fissures,. The dense lobar consolidation at admission shows some initial aeration at 1 week, but little in the way of radiological resolution,. This review article discusses the different imaging methods used in the diagnosis. Imaging plays a crucial role in the detection. Chest X Ray Rll Pneumonia.
From www.svuhradiology.ie
Aspiration pneumonia Radiology at St. Vincent's University Hospital Chest X Ray Rll Pneumonia This review article discusses the different imaging methods used in the diagnosis. The dense lobar consolidation at admission shows some initial aeration at 1 week, but little in the way of radiological resolution,. Because the silhouette sign develops when 2 contiguous structures have a. Consolidation is usually obvious on ct with the anatomical location easy to define through visualization of. Chest X Ray Rll Pneumonia.
From www.researchgate.net
A) chest Xray on admission showing focal infiltrate in the right Chest X Ray Rll Pneumonia The dense lobar consolidation at admission shows some initial aeration at 1 week, but little in the way of radiological resolution,. Airspace opacity with air bronchograms obscuring the right hemidiaphragm in keeping with right lower lobe pnuemonia. Because the silhouette sign develops when 2 contiguous structures have a. Imaging plays a crucial role in the detection and management of patients. Chest X Ray Rll Pneumonia.
From www.wikidoc.org
Pneumonia chest x ray wikidoc Chest X Ray Rll Pneumonia Because the silhouette sign develops when 2 contiguous structures have a. Airspace opacity with air bronchograms obscuring the right hemidiaphragm in keeping with right lower lobe pnuemonia. This review article discusses the different imaging methods used in the diagnosis. Consolidation is usually obvious on ct with the anatomical location easy to define through visualization of the pleural fissures,. Imaging plays. Chest X Ray Rll Pneumonia.
From www.animalia-life.club
Walking Pneumonia X Ray Chest X Ray Rll Pneumonia Consolidation is usually obvious on ct with the anatomical location easy to define through visualization of the pleural fissures,. The dense lobar consolidation at admission shows some initial aeration at 1 week, but little in the way of radiological resolution,. This review article discusses the different imaging methods used in the diagnosis. Because the silhouette sign develops when 2 contiguous. Chest X Ray Rll Pneumonia.
From www.svuhradiology.ie
Right middle lobe pneumonia Radiology at St. Vincent's University Chest X Ray Rll Pneumonia Airspace opacity with air bronchograms obscuring the right hemidiaphragm in keeping with right lower lobe pnuemonia. This review article discusses the different imaging methods used in the diagnosis. Imaging plays a crucial role in the detection and management of patients with pneumonia. The dense lobar consolidation at admission shows some initial aeration at 1 week, but little in the way. Chest X Ray Rll Pneumonia.
From www.stepwards.com
Condition Specific Radiology Pneumonia Stepwards Chest X Ray Rll Pneumonia This review article discusses the different imaging methods used in the diagnosis. The dense lobar consolidation at admission shows some initial aeration at 1 week, but little in the way of radiological resolution,. Consolidation is usually obvious on ct with the anatomical location easy to define through visualization of the pleural fissures,. Airspace opacity with air bronchograms obscuring the right. Chest X Ray Rll Pneumonia.
From www.pinterest.fr
SMARTfiches Médecine Smartfiches Pneumonia cure, Natural medicine Chest X Ray Rll Pneumonia This review article discusses the different imaging methods used in the diagnosis. The dense lobar consolidation at admission shows some initial aeration at 1 week, but little in the way of radiological resolution,. Because the silhouette sign develops when 2 contiguous structures have a. Airspace opacity with air bronchograms obscuring the right hemidiaphragm in keeping with right lower lobe pnuemonia.. Chest X Ray Rll Pneumonia.
From asparrow.homes
Chest X Ray Pneumonia Vs Lung Cancer Chest X Ray Rll Pneumonia This review article discusses the different imaging methods used in the diagnosis. Imaging plays a crucial role in the detection and management of patients with pneumonia. It is always best to localize disease on conventional radiographs using two views taken at 90° to each. Airspace opacity with air bronchograms obscuring the right hemidiaphragm in keeping with right lower lobe pnuemonia.. Chest X Ray Rll Pneumonia.
From www.learningradiology.com
Learning Radiology pneumonia, right, lower, lobe, rll Chest X Ray Rll Pneumonia Imaging plays a crucial role in the detection and management of patients with pneumonia. It is always best to localize disease on conventional radiographs using two views taken at 90° to each. Airspace opacity with air bronchograms obscuring the right hemidiaphragm in keeping with right lower lobe pnuemonia. Consolidation is usually obvious on ct with the anatomical location easy to. Chest X Ray Rll Pneumonia.
From www.researchgate.net
A. PA chest xray reveals a RLL infiltrate. Download Scientific Diagram Chest X Ray Rll Pneumonia Imaging plays a crucial role in the detection and management of patients with pneumonia. The dense lobar consolidation at admission shows some initial aeration at 1 week, but little in the way of radiological resolution,. This review article discusses the different imaging methods used in the diagnosis. Because the silhouette sign develops when 2 contiguous structures have a. Consolidation is. Chest X Ray Rll Pneumonia.
From medschool.co
Pulmonary Consolidation Chest XRay MedSchool Chest X Ray Rll Pneumonia Airspace opacity with air bronchograms obscuring the right hemidiaphragm in keeping with right lower lobe pnuemonia. Because the silhouette sign develops when 2 contiguous structures have a. Consolidation is usually obvious on ct with the anatomical location easy to define through visualization of the pleural fissures,. Imaging plays a crucial role in the detection and management of patients with pneumonia.. Chest X Ray Rll Pneumonia.
From medchrome.com
How to Read a Chest Xray II Pneumonia Medchrome Chest X Ray Rll Pneumonia Airspace opacity with air bronchograms obscuring the right hemidiaphragm in keeping with right lower lobe pnuemonia. It is always best to localize disease on conventional radiographs using two views taken at 90° to each. Imaging plays a crucial role in the detection and management of patients with pneumonia. Consolidation is usually obvious on ct with the anatomical location easy to. Chest X Ray Rll Pneumonia.
From emedicalupdates.com
Is Pneumonia Contagious? Chest X Ray Rll Pneumonia Because the silhouette sign develops when 2 contiguous structures have a. Airspace opacity with air bronchograms obscuring the right hemidiaphragm in keeping with right lower lobe pnuemonia. The dense lobar consolidation at admission shows some initial aeration at 1 week, but little in the way of radiological resolution,. It is always best to localize disease on conventional radiographs using two. Chest X Ray Rll Pneumonia.
From www.alamy.com
Chest xray of a 57 year old female patient with signs of pneumonia in Chest X Ray Rll Pneumonia Consolidation is usually obvious on ct with the anatomical location easy to define through visualization of the pleural fissures,. Airspace opacity with air bronchograms obscuring the right hemidiaphragm in keeping with right lower lobe pnuemonia. Because the silhouette sign develops when 2 contiguous structures have a. This review article discusses the different imaging methods used in the diagnosis. It is. Chest X Ray Rll Pneumonia.
From ppemedical.com
Basic Chest XRay Interpretation Tips and pointers to see it all! Chest X Ray Rll Pneumonia The dense lobar consolidation at admission shows some initial aeration at 1 week, but little in the way of radiological resolution,. Airspace opacity with air bronchograms obscuring the right hemidiaphragm in keeping with right lower lobe pnuemonia. It is always best to localize disease on conventional radiographs using two views taken at 90° to each. This review article discusses the. Chest X Ray Rll Pneumonia.
From teachim.org
Right Middle Lobe (RML) Pneumonia CXR teachIM Chest X Ray Rll Pneumonia Because the silhouette sign develops when 2 contiguous structures have a. It is always best to localize disease on conventional radiographs using two views taken at 90° to each. Imaging plays a crucial role in the detection and management of patients with pneumonia. This review article discusses the different imaging methods used in the diagnosis. Airspace opacity with air bronchograms. Chest X Ray Rll Pneumonia.
From www.alamy.com
Chest xray of a 57 year old female patient with signs of pneumonia in Chest X Ray Rll Pneumonia The dense lobar consolidation at admission shows some initial aeration at 1 week, but little in the way of radiological resolution,. It is always best to localize disease on conventional radiographs using two views taken at 90° to each. Because the silhouette sign develops when 2 contiguous structures have a. Airspace opacity with air bronchograms obscuring the right hemidiaphragm in. Chest X Ray Rll Pneumonia.
From stock.adobe.com
chest xray film of patient with pneumonia Stock Photo Adobe Stock Chest X Ray Rll Pneumonia Because the silhouette sign develops when 2 contiguous structures have a. This review article discusses the different imaging methods used in the diagnosis. It is always best to localize disease on conventional radiographs using two views taken at 90° to each. Imaging plays a crucial role in the detection and management of patients with pneumonia. Airspace opacity with air bronchograms. Chest X Ray Rll Pneumonia.
From www.ctspectral.com
A case of a lung infiltrates — Spectral CT Chest X Ray Rll Pneumonia Because the silhouette sign develops when 2 contiguous structures have a. Consolidation is usually obvious on ct with the anatomical location easy to define through visualization of the pleural fissures,. Airspace opacity with air bronchograms obscuring the right hemidiaphragm in keeping with right lower lobe pnuemonia. It is always best to localize disease on conventional radiographs using two views taken. Chest X Ray Rll Pneumonia.
From www.youtube.com
Pneumonia (Right Middle Lobe) Explanation of Chest Xray Findings Chest X Ray Rll Pneumonia Imaging plays a crucial role in the detection and management of patients with pneumonia. Because the silhouette sign develops when 2 contiguous structures have a. Airspace opacity with air bronchograms obscuring the right hemidiaphragm in keeping with right lower lobe pnuemonia. Consolidation is usually obvious on ct with the anatomical location easy to define through visualization of the pleural fissures,.. Chest X Ray Rll Pneumonia.
From javierosane.blogspot.com
Pneumonia Chest X Ray Aspiration pneumonia Radiology at St. Vincent Chest X Ray Rll Pneumonia Imaging plays a crucial role in the detection and management of patients with pneumonia. This review article discusses the different imaging methods used in the diagnosis. Airspace opacity with air bronchograms obscuring the right hemidiaphragm in keeping with right lower lobe pnuemonia. The dense lobar consolidation at admission shows some initial aeration at 1 week, but little in the way. Chest X Ray Rll Pneumonia.
From medschool.co
Pulmonary Consolidation Chest XRay MedSchool Chest X Ray Rll Pneumonia The dense lobar consolidation at admission shows some initial aeration at 1 week, but little in the way of radiological resolution,. This review article discusses the different imaging methods used in the diagnosis. It is always best to localize disease on conventional radiographs using two views taken at 90° to each. Imaging plays a crucial role in the detection and. Chest X Ray Rll Pneumonia.
From medschool.co
Pulmonary Consolidation Chest XRay MedSchool Chest X Ray Rll Pneumonia It is always best to localize disease on conventional radiographs using two views taken at 90° to each. Consolidation is usually obvious on ct with the anatomical location easy to define through visualization of the pleural fissures,. The dense lobar consolidation at admission shows some initial aeration at 1 week, but little in the way of radiological resolution,. Airspace opacity. Chest X Ray Rll Pneumonia.
From ar.inspiredpencil.com
Lobar Pneumonia Chest Xray Chest X Ray Rll Pneumonia It is always best to localize disease on conventional radiographs using two views taken at 90° to each. This review article discusses the different imaging methods used in the diagnosis. Airspace opacity with air bronchograms obscuring the right hemidiaphragm in keeping with right lower lobe pnuemonia. Because the silhouette sign develops when 2 contiguous structures have a. The dense lobar. Chest X Ray Rll Pneumonia.