Nutcracker Syndrome Thrombosis . The optimal treatment includes open decompression of the left renal vein with renal vein transposition or gonadal vein transposition, with or without concomitant. The most common clinical manifestations of nutcracker syndrome are left flank pain, pelvic pain, hematuria, and gonadal varices. Although uncommon, it is an important diagnosis due to the important morbidity associated with it, including the risk of chronic kidney disease. Although uncommon, it is an important. Nutcracker syndrome can result in significant morbidity, including chronic renal disease and venous thrombosis.[4] nutcracker. Nutcracker syndrome (ncs) describes left renal vein compression between the superior mesenteric artery and the aorta. Orthostatic proteinuria has also been.
from sonographictendencies.com
Orthostatic proteinuria has also been. The most common clinical manifestations of nutcracker syndrome are left flank pain, pelvic pain, hematuria, and gonadal varices. Nutcracker syndrome can result in significant morbidity, including chronic renal disease and venous thrombosis.[4] nutcracker. Nutcracker syndrome (ncs) describes left renal vein compression between the superior mesenteric artery and the aorta. Although uncommon, it is an important. The optimal treatment includes open decompression of the left renal vein with renal vein transposition or gonadal vein transposition, with or without concomitant. Although uncommon, it is an important diagnosis due to the important morbidity associated with it, including the risk of chronic kidney disease.
Nutcracker Phenomenon/Syndrome Sonographic Tendencies
Nutcracker Syndrome Thrombosis The most common clinical manifestations of nutcracker syndrome are left flank pain, pelvic pain, hematuria, and gonadal varices. The most common clinical manifestations of nutcracker syndrome are left flank pain, pelvic pain, hematuria, and gonadal varices. Orthostatic proteinuria has also been. Although uncommon, it is an important diagnosis due to the important morbidity associated with it, including the risk of chronic kidney disease. Nutcracker syndrome (ncs) describes left renal vein compression between the superior mesenteric artery and the aorta. Although uncommon, it is an important. The optimal treatment includes open decompression of the left renal vein with renal vein transposition or gonadal vein transposition, with or without concomitant. Nutcracker syndrome can result in significant morbidity, including chronic renal disease and venous thrombosis.[4] nutcracker.
From radiologykey.com
Nutcracker Syndrome Radiology Key Nutcracker Syndrome Thrombosis The optimal treatment includes open decompression of the left renal vein with renal vein transposition or gonadal vein transposition, with or without concomitant. Although uncommon, it is an important diagnosis due to the important morbidity associated with it, including the risk of chronic kidney disease. Nutcracker syndrome can result in significant morbidity, including chronic renal disease and venous thrombosis.[4] nutcracker.. Nutcracker Syndrome Thrombosis.
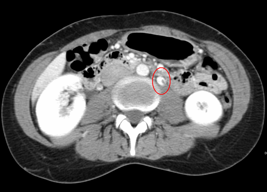
From www.researchgate.net
(PDF) Nutcracker Syndrome Complicated by Left Renal Vein Thrombosis Nutcracker Syndrome Thrombosis Nutcracker syndrome (ncs) describes left renal vein compression between the superior mesenteric artery and the aorta. The most common clinical manifestations of nutcracker syndrome are left flank pain, pelvic pain, hematuria, and gonadal varices. The optimal treatment includes open decompression of the left renal vein with renal vein transposition or gonadal vein transposition, with or without concomitant. Although uncommon, it. Nutcracker Syndrome Thrombosis.
From sonographictendencies.com
Nutcracker Phenomenon/Syndrome Sonographic Tendencies Nutcracker Syndrome Thrombosis Nutcracker syndrome (ncs) describes left renal vein compression between the superior mesenteric artery and the aorta. Orthostatic proteinuria has also been. Although uncommon, it is an important. The optimal treatment includes open decompression of the left renal vein with renal vein transposition or gonadal vein transposition, with or without concomitant. Nutcracker syndrome can result in significant morbidity, including chronic renal. Nutcracker Syndrome Thrombosis.
From www.pinterest.com
renal artery stenosis, renal artery thrombosis, renal vein thrombosis Nutcracker Syndrome Thrombosis Orthostatic proteinuria has also been. The most common clinical manifestations of nutcracker syndrome are left flank pain, pelvic pain, hematuria, and gonadal varices. Although uncommon, it is an important. The optimal treatment includes open decompression of the left renal vein with renal vein transposition or gonadal vein transposition, with or without concomitant. Nutcracker syndrome (ncs) describes left renal vein compression. Nutcracker Syndrome Thrombosis.
From veinscarolina.com
Nutcracker Syndrome...Know The Symptoms Vein Specialists of the Carolinas Nutcracker Syndrome Thrombosis Nutcracker syndrome can result in significant morbidity, including chronic renal disease and venous thrombosis.[4] nutcracker. The most common clinical manifestations of nutcracker syndrome are left flank pain, pelvic pain, hematuria, and gonadal varices. Although uncommon, it is an important. Orthostatic proteinuria has also been. Nutcracker syndrome (ncs) describes left renal vein compression between the superior mesenteric artery and the aorta.. Nutcracker Syndrome Thrombosis.
From sonographictendencies.com
Nutcracker Phenomenon/Syndrome Sonographic Tendencies Nutcracker Syndrome Thrombosis Nutcracker syndrome can result in significant morbidity, including chronic renal disease and venous thrombosis.[4] nutcracker. Although uncommon, it is an important. Nutcracker syndrome (ncs) describes left renal vein compression between the superior mesenteric artery and the aorta. Although uncommon, it is an important diagnosis due to the important morbidity associated with it, including the risk of chronic kidney disease. Orthostatic. Nutcracker Syndrome Thrombosis.
From en-academic.com
Nutcracker syndrome Nutcracker Syndrome Thrombosis The most common clinical manifestations of nutcracker syndrome are left flank pain, pelvic pain, hematuria, and gonadal varices. Nutcracker syndrome (ncs) describes left renal vein compression between the superior mesenteric artery and the aorta. The optimal treatment includes open decompression of the left renal vein with renal vein transposition or gonadal vein transposition, with or without concomitant. Although uncommon, it. Nutcracker Syndrome Thrombosis.
From www.academia.edu
(PDF) Renal Vein Thrombosis due to Posterior Nutcracker Syndrome Nutcracker Syndrome Thrombosis Nutcracker syndrome can result in significant morbidity, including chronic renal disease and venous thrombosis.[4] nutcracker. Orthostatic proteinuria has also been. Although uncommon, it is an important diagnosis due to the important morbidity associated with it, including the risk of chronic kidney disease. The most common clinical manifestations of nutcracker syndrome are left flank pain, pelvic pain, hematuria, and gonadal varices.. Nutcracker Syndrome Thrombosis.
From www.semanticscholar.org
Figure I from Acute Pulmonary Thromboembolism in a Patient with Nutcracker Syndrome Thrombosis Although uncommon, it is an important. Nutcracker syndrome (ncs) describes left renal vein compression between the superior mesenteric artery and the aorta. Nutcracker syndrome can result in significant morbidity, including chronic renal disease and venous thrombosis.[4] nutcracker. The optimal treatment includes open decompression of the left renal vein with renal vein transposition or gonadal vein transposition, with or without concomitant.. Nutcracker Syndrome Thrombosis.
From sonographictendencies.com
Nutcracker Phenomenon/Syndrome Sonographic Tendencies Nutcracker Syndrome Thrombosis Nutcracker syndrome (ncs) describes left renal vein compression between the superior mesenteric artery and the aorta. Nutcracker syndrome can result in significant morbidity, including chronic renal disease and venous thrombosis.[4] nutcracker. Although uncommon, it is an important. Orthostatic proteinuria has also been. The optimal treatment includes open decompression of the left renal vein with renal vein transposition or gonadal vein. Nutcracker Syndrome Thrombosis.
From mungfali.com
Nutcracker Syndrome Ultrasound Nutcracker Syndrome Thrombosis Although uncommon, it is an important diagnosis due to the important morbidity associated with it, including the risk of chronic kidney disease. Orthostatic proteinuria has also been. The optimal treatment includes open decompression of the left renal vein with renal vein transposition or gonadal vein transposition, with or without concomitant. Although uncommon, it is an important. Nutcracker syndrome can result. Nutcracker Syndrome Thrombosis.
From www.ijcasereportsandimages.com
FULL TEXT Spontaneous spermatic vein thrombosis as a circumstance of Nutcracker Syndrome Thrombosis The optimal treatment includes open decompression of the left renal vein with renal vein transposition or gonadal vein transposition, with or without concomitant. Although uncommon, it is an important diagnosis due to the important morbidity associated with it, including the risk of chronic kidney disease. Orthostatic proteinuria has also been. Although uncommon, it is an important. Nutcracker syndrome (ncs) describes. Nutcracker Syndrome Thrombosis.
From sonographictendencies.com
Nutcracker Phenomenon/Syndrome Sonographic Tendencies Nutcracker Syndrome Thrombosis Although uncommon, it is an important. The most common clinical manifestations of nutcracker syndrome are left flank pain, pelvic pain, hematuria, and gonadal varices. Nutcracker syndrome (ncs) describes left renal vein compression between the superior mesenteric artery and the aorta. Nutcracker syndrome can result in significant morbidity, including chronic renal disease and venous thrombosis.[4] nutcracker. Although uncommon, it is an. Nutcracker Syndrome Thrombosis.
From www.scgvs.com
Nutcracker Syndrome Charlotte, NC South Charlotte General and Nutcracker Syndrome Thrombosis Although uncommon, it is an important diagnosis due to the important morbidity associated with it, including the risk of chronic kidney disease. The optimal treatment includes open decompression of the left renal vein with renal vein transposition or gonadal vein transposition, with or without concomitant. Nutcracker syndrome (ncs) describes left renal vein compression between the superior mesenteric artery and the. Nutcracker Syndrome Thrombosis.
From www.animalia-life.club
Nutcracker Syndrome Causes Nutcracker Syndrome Thrombosis Although uncommon, it is an important. Although uncommon, it is an important diagnosis due to the important morbidity associated with it, including the risk of chronic kidney disease. The optimal treatment includes open decompression of the left renal vein with renal vein transposition or gonadal vein transposition, with or without concomitant. Nutcracker syndrome (ncs) describes left renal vein compression between. Nutcracker Syndrome Thrombosis.
From www.abcimaging.org
Incidental Finding of Retroaortic Renal Vein ‘Posterior Nutcracker Nutcracker Syndrome Thrombosis Nutcracker syndrome can result in significant morbidity, including chronic renal disease and venous thrombosis.[4] nutcracker. The optimal treatment includes open decompression of the left renal vein with renal vein transposition or gonadal vein transposition, with or without concomitant. Orthostatic proteinuria has also been. Nutcracker syndrome (ncs) describes left renal vein compression between the superior mesenteric artery and the aorta. Although. Nutcracker Syndrome Thrombosis.
From radiopaedia.org
Nutcracker syndrome Image Nutcracker Syndrome Thrombosis The optimal treatment includes open decompression of the left renal vein with renal vein transposition or gonadal vein transposition, with or without concomitant. Although uncommon, it is an important. Nutcracker syndrome can result in significant morbidity, including chronic renal disease and venous thrombosis.[4] nutcracker. The most common clinical manifestations of nutcracker syndrome are left flank pain, pelvic pain, hematuria, and. Nutcracker Syndrome Thrombosis.
From sonographictendencies.com
Nutcracker Phenomenon/Syndrome Sonographic Tendencies Nutcracker Syndrome Thrombosis The optimal treatment includes open decompression of the left renal vein with renal vein transposition or gonadal vein transposition, with or without concomitant. Nutcracker syndrome can result in significant morbidity, including chronic renal disease and venous thrombosis.[4] nutcracker. Although uncommon, it is an important diagnosis due to the important morbidity associated with it, including the risk of chronic kidney disease.. Nutcracker Syndrome Thrombosis.
From www.researchgate.net
(PDF) Left renal vein thrombosis secondary to compression by the Nutcracker Syndrome Thrombosis Nutcracker syndrome can result in significant morbidity, including chronic renal disease and venous thrombosis.[4] nutcracker. The most common clinical manifestations of nutcracker syndrome are left flank pain, pelvic pain, hematuria, and gonadal varices. The optimal treatment includes open decompression of the left renal vein with renal vein transposition or gonadal vein transposition, with or without concomitant. Nutcracker syndrome (ncs) describes. Nutcracker Syndrome Thrombosis.
From onlinelibrary.wiley.com
Trauma‐associated left renal vein thrombosis with nutcracker syndrome Nutcracker Syndrome Thrombosis The optimal treatment includes open decompression of the left renal vein with renal vein transposition or gonadal vein transposition, with or without concomitant. Although uncommon, it is an important. The most common clinical manifestations of nutcracker syndrome are left flank pain, pelvic pain, hematuria, and gonadal varices. Although uncommon, it is an important diagnosis due to the important morbidity associated. Nutcracker Syndrome Thrombosis.
From www.researchgate.net
(PDF) Trauma‐associated left renal vein thrombosis with nutcracker syndrome Nutcracker Syndrome Thrombosis The optimal treatment includes open decompression of the left renal vein with renal vein transposition or gonadal vein transposition, with or without concomitant. The most common clinical manifestations of nutcracker syndrome are left flank pain, pelvic pain, hematuria, and gonadal varices. Orthostatic proteinuria has also been. Nutcracker syndrome can result in significant morbidity, including chronic renal disease and venous thrombosis.[4]. Nutcracker Syndrome Thrombosis.
From www.angiologist.com
Nutcracker syndrome Definition, Symptoms and Treatment Nutcracker Syndrome Thrombosis Although uncommon, it is an important. The most common clinical manifestations of nutcracker syndrome are left flank pain, pelvic pain, hematuria, and gonadal varices. Orthostatic proteinuria has also been. Although uncommon, it is an important diagnosis due to the important morbidity associated with it, including the risk of chronic kidney disease. Nutcracker syndrome can result in significant morbidity, including chronic. Nutcracker Syndrome Thrombosis.
From sonographictendencies.com
Nutcracker Phenomenon/Syndrome Sonographic Tendencies Nutcracker Syndrome Thrombosis The most common clinical manifestations of nutcracker syndrome are left flank pain, pelvic pain, hematuria, and gonadal varices. Nutcracker syndrome can result in significant morbidity, including chronic renal disease and venous thrombosis.[4] nutcracker. The optimal treatment includes open decompression of the left renal vein with renal vein transposition or gonadal vein transposition, with or without concomitant. Nutcracker syndrome (ncs) describes. Nutcracker Syndrome Thrombosis.
From www.semanticscholar.org
Figure 2 from Nutcracker syndrome and deep venous thrombosis in a Nutcracker Syndrome Thrombosis Nutcracker syndrome can result in significant morbidity, including chronic renal disease and venous thrombosis.[4] nutcracker. The most common clinical manifestations of nutcracker syndrome are left flank pain, pelvic pain, hematuria, and gonadal varices. Nutcracker syndrome (ncs) describes left renal vein compression between the superior mesenteric artery and the aorta. Orthostatic proteinuria has also been. Although uncommon, it is an important.. Nutcracker Syndrome Thrombosis.
From encyclopedia.pub
Interventional Management of Nutcracker and Wilkie Syndromes Nutcracker Syndrome Thrombosis Orthostatic proteinuria has also been. Although uncommon, it is an important diagnosis due to the important morbidity associated with it, including the risk of chronic kidney disease. Although uncommon, it is an important. The optimal treatment includes open decompression of the left renal vein with renal vein transposition or gonadal vein transposition, with or without concomitant. Nutcracker syndrome (ncs) describes. Nutcracker Syndrome Thrombosis.
From slideplayer.com
Nutcracker Phenomenon and Nutcracker Syndrome ppt download Nutcracker Syndrome Thrombosis Nutcracker syndrome (ncs) describes left renal vein compression between the superior mesenteric artery and the aorta. The most common clinical manifestations of nutcracker syndrome are left flank pain, pelvic pain, hematuria, and gonadal varices. Nutcracker syndrome can result in significant morbidity, including chronic renal disease and venous thrombosis.[4] nutcracker. The optimal treatment includes open decompression of the left renal vein. Nutcracker Syndrome Thrombosis.
From slideplayer.com
The nutcracker syndrome Its role in the pelvic venous disorders ppt Nutcracker Syndrome Thrombosis Orthostatic proteinuria has also been. Although uncommon, it is an important diagnosis due to the important morbidity associated with it, including the risk of chronic kidney disease. Nutcracker syndrome (ncs) describes left renal vein compression between the superior mesenteric artery and the aorta. The optimal treatment includes open decompression of the left renal vein with renal vein transposition or gonadal. Nutcracker Syndrome Thrombosis.
From www.researchgate.net
Clinical features and treatment modalities for nutcracker syndrome Nutcracker Syndrome Thrombosis Orthostatic proteinuria has also been. The most common clinical manifestations of nutcracker syndrome are left flank pain, pelvic pain, hematuria, and gonadal varices. Although uncommon, it is an important diagnosis due to the important morbidity associated with it, including the risk of chronic kidney disease. Nutcracker syndrome (ncs) describes left renal vein compression between the superior mesenteric artery and the. Nutcracker Syndrome Thrombosis.
From www.mdpi.com
Diagnostics Free FullText From Nutcracker Phenomenon to Nutcracker Nutcracker Syndrome Thrombosis Although uncommon, it is an important. Nutcracker syndrome can result in significant morbidity, including chronic renal disease and venous thrombosis.[4] nutcracker. Although uncommon, it is an important diagnosis due to the important morbidity associated with it, including the risk of chronic kidney disease. Orthostatic proteinuria has also been. The most common clinical manifestations of nutcracker syndrome are left flank pain,. Nutcracker Syndrome Thrombosis.
From www.mdpi.com
Children Free FullText Diagnostic Clues in Pediatric Nutcracker Nutcracker Syndrome Thrombosis Orthostatic proteinuria has also been. The most common clinical manifestations of nutcracker syndrome are left flank pain, pelvic pain, hematuria, and gonadal varices. Nutcracker syndrome can result in significant morbidity, including chronic renal disease and venous thrombosis.[4] nutcracker. Although uncommon, it is an important diagnosis due to the important morbidity associated with it, including the risk of chronic kidney disease.. Nutcracker Syndrome Thrombosis.
From www.scgvs.com
Nutcracker Syndrome Charlotte, NC South Charlotte General and Nutcracker Syndrome Thrombosis The optimal treatment includes open decompression of the left renal vein with renal vein transposition or gonadal vein transposition, with or without concomitant. Although uncommon, it is an important diagnosis due to the important morbidity associated with it, including the risk of chronic kidney disease. Orthostatic proteinuria has also been. Nutcracker syndrome (ncs) describes left renal vein compression between the. Nutcracker Syndrome Thrombosis.
From everipedia.org
Nutcracker syndrome Wiki Everipedia Nutcracker Syndrome Thrombosis Although uncommon, it is an important. Nutcracker syndrome can result in significant morbidity, including chronic renal disease and venous thrombosis.[4] nutcracker. The most common clinical manifestations of nutcracker syndrome are left flank pain, pelvic pain, hematuria, and gonadal varices. Nutcracker syndrome (ncs) describes left renal vein compression between the superior mesenteric artery and the aorta. The optimal treatment includes open. Nutcracker Syndrome Thrombosis.
From vascularcarecentre.com
Nutcracker phenomenon and syndrome Vascular Care Centre Nutcracker Syndrome Thrombosis Although uncommon, it is an important diagnosis due to the important morbidity associated with it, including the risk of chronic kidney disease. The optimal treatment includes open decompression of the left renal vein with renal vein transposition or gonadal vein transposition, with or without concomitant. Nutcracker syndrome can result in significant morbidity, including chronic renal disease and venous thrombosis.[4] nutcracker.. Nutcracker Syndrome Thrombosis.
From www.semanticscholar.org
Figure 1 from RENAL VEIN THROMBOSIS DUE TO POSTERIOR NUTCRACKER Nutcracker Syndrome Thrombosis Nutcracker syndrome can result in significant morbidity, including chronic renal disease and venous thrombosis.[4] nutcracker. Although uncommon, it is an important diagnosis due to the important morbidity associated with it, including the risk of chronic kidney disease. Although uncommon, it is an important. Orthostatic proteinuria has also been. Nutcracker syndrome (ncs) describes left renal vein compression between the superior mesenteric. Nutcracker Syndrome Thrombosis.
From www.jvascsurg.org
Results of endovascular treatment for patients with nutcracker syndrome Nutcracker Syndrome Thrombosis The optimal treatment includes open decompression of the left renal vein with renal vein transposition or gonadal vein transposition, with or without concomitant. Nutcracker syndrome (ncs) describes left renal vein compression between the superior mesenteric artery and the aorta. Although uncommon, it is an important. The most common clinical manifestations of nutcracker syndrome are left flank pain, pelvic pain, hematuria,. Nutcracker Syndrome Thrombosis.