Methyl Alcohol Vision Loss . Acute optic neuropathy secondary to methyl alcohol consumption is a serious ocular disease with permanent vision loss or scotoma. Acute optic neuropathy secondary to methyl alcohol consumption is a serious ocular disease with permanent vision loss or scotoma. A quick treatment based on dialysis, intravenous ethanol, sodium bicarbonate, vitamin b12, and intravenous methylprednisolone slows the. Diagnosis of nutritional and toxic optic neuropathies. Drinking antifreeze (ethylene glycol) or methanol (wood alcohol or methyl alcohol) can cause sudden and complete vision loss. In our study, all patients experienced bilateral, painless, acute, and dramatic visual loss regardless of the exposure route and the. Chronic methanol toxicity can have neurologic sequelae such as vision loss that. Formic acid accumulates within the optic nerve, which results in the classic visual symptoms of flashes of.
from pharmdguru.com
Acute optic neuropathy secondary to methyl alcohol consumption is a serious ocular disease with permanent vision loss or scotoma. Formic acid accumulates within the optic nerve, which results in the classic visual symptoms of flashes of. Diagnosis of nutritional and toxic optic neuropathies. Drinking antifreeze (ethylene glycol) or methanol (wood alcohol or methyl alcohol) can cause sudden and complete vision loss. A quick treatment based on dialysis, intravenous ethanol, sodium bicarbonate, vitamin b12, and intravenous methylprednisolone slows the. Chronic methanol toxicity can have neurologic sequelae such as vision loss that. Acute optic neuropathy secondary to methyl alcohol consumption is a serious ocular disease with permanent vision loss or scotoma. In our study, all patients experienced bilateral, painless, acute, and dramatic visual loss regardless of the exposure route and the.
26. ALCOHOL AND METHYL ALCOHOL PHARMD GURU
Methyl Alcohol Vision Loss In our study, all patients experienced bilateral, painless, acute, and dramatic visual loss regardless of the exposure route and the. Acute optic neuropathy secondary to methyl alcohol consumption is a serious ocular disease with permanent vision loss or scotoma. Formic acid accumulates within the optic nerve, which results in the classic visual symptoms of flashes of. In our study, all patients experienced bilateral, painless, acute, and dramatic visual loss regardless of the exposure route and the. A quick treatment based on dialysis, intravenous ethanol, sodium bicarbonate, vitamin b12, and intravenous methylprednisolone slows the. Chronic methanol toxicity can have neurologic sequelae such as vision loss that. Diagnosis of nutritional and toxic optic neuropathies. Drinking antifreeze (ethylene glycol) or methanol (wood alcohol or methyl alcohol) can cause sudden and complete vision loss. Acute optic neuropathy secondary to methyl alcohol consumption is a serious ocular disease with permanent vision loss or scotoma.
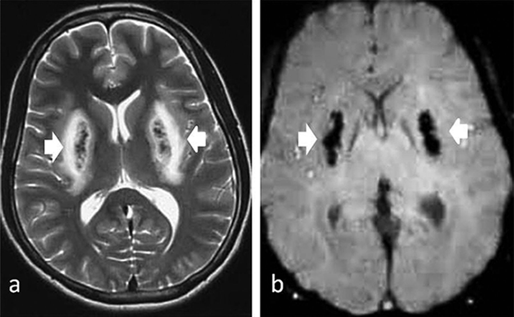
From jamanetwork.com
MethanolInduced Optic Nerve Cupping. Neuroophthalmology JAMA Methyl Alcohol Vision Loss Acute optic neuropathy secondary to methyl alcohol consumption is a serious ocular disease with permanent vision loss or scotoma. In our study, all patients experienced bilateral, painless, acute, and dramatic visual loss regardless of the exposure route and the. Drinking antifreeze (ethylene glycol) or methanol (wood alcohol or methyl alcohol) can cause sudden and complete vision loss. Formic acid accumulates. Methyl Alcohol Vision Loss.
From www.slideserve.com
PPT ADDICTION AND VISION LOSS PowerPoint Presentation ID3756187 Methyl Alcohol Vision Loss Formic acid accumulates within the optic nerve, which results in the classic visual symptoms of flashes of. Diagnosis of nutritional and toxic optic neuropathies. In our study, all patients experienced bilateral, painless, acute, and dramatic visual loss regardless of the exposure route and the. Acute optic neuropathy secondary to methyl alcohol consumption is a serious ocular disease with permanent vision. Methyl Alcohol Vision Loss.
From www.slideserve.com
PPT Acute Vision Loss PowerPoint Presentation, free download ID3000924 Methyl Alcohol Vision Loss Formic acid accumulates within the optic nerve, which results in the classic visual symptoms of flashes of. Drinking antifreeze (ethylene glycol) or methanol (wood alcohol or methyl alcohol) can cause sudden and complete vision loss. Diagnosis of nutritional and toxic optic neuropathies. A quick treatment based on dialysis, intravenous ethanol, sodium bicarbonate, vitamin b12, and intravenous methylprednisolone slows the. In. Methyl Alcohol Vision Loss.
From www.researchgate.net
Plot of decolorisation versus volume of methyl alcohol. Download Methyl Alcohol Vision Loss Drinking antifreeze (ethylene glycol) or methanol (wood alcohol or methyl alcohol) can cause sudden and complete vision loss. A quick treatment based on dialysis, intravenous ethanol, sodium bicarbonate, vitamin b12, and intravenous methylprednisolone slows the. Formic acid accumulates within the optic nerve, which results in the classic visual symptoms of flashes of. In our study, all patients experienced bilateral, painless,. Methyl Alcohol Vision Loss.
From www.slideserve.com
PPT METHANOL POISONING Management with Ethanol PowerPoint Methyl Alcohol Vision Loss A quick treatment based on dialysis, intravenous ethanol, sodium bicarbonate, vitamin b12, and intravenous methylprednisolone slows the. Acute optic neuropathy secondary to methyl alcohol consumption is a serious ocular disease with permanent vision loss or scotoma. Acute optic neuropathy secondary to methyl alcohol consumption is a serious ocular disease with permanent vision loss or scotoma. In our study, all patients. Methyl Alcohol Vision Loss.
From www.slideserve.com
PPT Ocular Toxicology PowerPoint Presentation, free download ID531002 Methyl Alcohol Vision Loss Diagnosis of nutritional and toxic optic neuropathies. In our study, all patients experienced bilateral, painless, acute, and dramatic visual loss regardless of the exposure route and the. Chronic methanol toxicity can have neurologic sequelae such as vision loss that. A quick treatment based on dialysis, intravenous ethanol, sodium bicarbonate, vitamin b12, and intravenous methylprednisolone slows the. Drinking antifreeze (ethylene glycol). Methyl Alcohol Vision Loss.
From www.bestmentalhealthblog.com
Alcoholic Eyes Identifying and Treating Alcoholic Vision Loss Best Methyl Alcohol Vision Loss Acute optic neuropathy secondary to methyl alcohol consumption is a serious ocular disease with permanent vision loss or scotoma. Diagnosis of nutritional and toxic optic neuropathies. Drinking antifreeze (ethylene glycol) or methanol (wood alcohol or methyl alcohol) can cause sudden and complete vision loss. A quick treatment based on dialysis, intravenous ethanol, sodium bicarbonate, vitamin b12, and intravenous methylprednisolone slows. Methyl Alcohol Vision Loss.
From www.researchgate.net
(PDF) Vision loss after accidental methanol intoxication A case report Methyl Alcohol Vision Loss Chronic methanol toxicity can have neurologic sequelae such as vision loss that. A quick treatment based on dialysis, intravenous ethanol, sodium bicarbonate, vitamin b12, and intravenous methylprednisolone slows the. Drinking antifreeze (ethylene glycol) or methanol (wood alcohol or methyl alcohol) can cause sudden and complete vision loss. Formic acid accumulates within the optic nerve, which results in the classic visual. Methyl Alcohol Vision Loss.
From medshun.com
Understanding The Severity Of Blurred Vision Caused By Methanol MedShun Methyl Alcohol Vision Loss Formic acid accumulates within the optic nerve, which results in the classic visual symptoms of flashes of. A quick treatment based on dialysis, intravenous ethanol, sodium bicarbonate, vitamin b12, and intravenous methylprednisolone slows the. Diagnosis of nutritional and toxic optic neuropathies. In our study, all patients experienced bilateral, painless, acute, and dramatic visual loss regardless of the exposure route and. Methyl Alcohol Vision Loss.
From pn.bmj.com
Methanol toxicity presenting as haemorrhagic putaminal necrosis and Methyl Alcohol Vision Loss Diagnosis of nutritional and toxic optic neuropathies. In our study, all patients experienced bilateral, painless, acute, and dramatic visual loss regardless of the exposure route and the. Formic acid accumulates within the optic nerve, which results in the classic visual symptoms of flashes of. Chronic methanol toxicity can have neurologic sequelae such as vision loss that. Acute optic neuropathy secondary. Methyl Alcohol Vision Loss.
From pharmdguru.com
26. ALCOHOL AND METHYL ALCOHOL PHARMD GURU Methyl Alcohol Vision Loss Chronic methanol toxicity can have neurologic sequelae such as vision loss that. A quick treatment based on dialysis, intravenous ethanol, sodium bicarbonate, vitamin b12, and intravenous methylprednisolone slows the. Acute optic neuropathy secondary to methyl alcohol consumption is a serious ocular disease with permanent vision loss or scotoma. Formic acid accumulates within the optic nerve, which results in the classic. Methyl Alcohol Vision Loss.
From stock.adobe.com
Lewis structural formula of methyl alcohol, molecular formula Stock Methyl Alcohol Vision Loss Diagnosis of nutritional and toxic optic neuropathies. Drinking antifreeze (ethylene glycol) or methanol (wood alcohol or methyl alcohol) can cause sudden and complete vision loss. Acute optic neuropathy secondary to methyl alcohol consumption is a serious ocular disease with permanent vision loss or scotoma. Acute optic neuropathy secondary to methyl alcohol consumption is a serious ocular disease with permanent vision. Methyl Alcohol Vision Loss.
From www.slideserve.com
PPT METHANOL POISONING Management with Ethanol PowerPoint Methyl Alcohol Vision Loss Acute optic neuropathy secondary to methyl alcohol consumption is a serious ocular disease with permanent vision loss or scotoma. Chronic methanol toxicity can have neurologic sequelae such as vision loss that. Drinking antifreeze (ethylene glycol) or methanol (wood alcohol or methyl alcohol) can cause sudden and complete vision loss. Diagnosis of nutritional and toxic optic neuropathies. Acute optic neuropathy secondary. Methyl Alcohol Vision Loss.
From www.slideserve.com
PPT ADDICTION AND VISION LOSS PowerPoint Presentation, free download Methyl Alcohol Vision Loss A quick treatment based on dialysis, intravenous ethanol, sodium bicarbonate, vitamin b12, and intravenous methylprednisolone slows the. Chronic methanol toxicity can have neurologic sequelae such as vision loss that. Drinking antifreeze (ethylene glycol) or methanol (wood alcohol or methyl alcohol) can cause sudden and complete vision loss. Diagnosis of nutritional and toxic optic neuropathies. Formic acid accumulates within the optic. Methyl Alcohol Vision Loss.
From scienceline.org
A CDC Case Report on Methanol Poisoning Infographic Scienceline Methyl Alcohol Vision Loss Acute optic neuropathy secondary to methyl alcohol consumption is a serious ocular disease with permanent vision loss or scotoma. In our study, all patients experienced bilateral, painless, acute, and dramatic visual loss regardless of the exposure route and the. A quick treatment based on dialysis, intravenous ethanol, sodium bicarbonate, vitamin b12, and intravenous methylprednisolone slows the. Diagnosis of nutritional and. Methyl Alcohol Vision Loss.
From www.slideshare.net
Forensic ppt methyl alcohol Methyl Alcohol Vision Loss In our study, all patients experienced bilateral, painless, acute, and dramatic visual loss regardless of the exposure route and the. Acute optic neuropathy secondary to methyl alcohol consumption is a serious ocular disease with permanent vision loss or scotoma. A quick treatment based on dialysis, intravenous ethanol, sodium bicarbonate, vitamin b12, and intravenous methylprednisolone slows the. Chronic methanol toxicity can. Methyl Alcohol Vision Loss.
From jamanetwork.com
Methanol Poisoning Predictors of Visual Substance Use and Methyl Alcohol Vision Loss Diagnosis of nutritional and toxic optic neuropathies. Acute optic neuropathy secondary to methyl alcohol consumption is a serious ocular disease with permanent vision loss or scotoma. Drinking antifreeze (ethylene glycol) or methanol (wood alcohol or methyl alcohol) can cause sudden and complete vision loss. Formic acid accumulates within the optic nerve, which results in the classic visual symptoms of flashes. Methyl Alcohol Vision Loss.
From pharmdguru.us
ALCOHOL AND METHYL ALCOHOL PHARMD GURU Methyl Alcohol Vision Loss Acute optic neuropathy secondary to methyl alcohol consumption is a serious ocular disease with permanent vision loss or scotoma. Diagnosis of nutritional and toxic optic neuropathies. A quick treatment based on dialysis, intravenous ethanol, sodium bicarbonate, vitamin b12, and intravenous methylprednisolone slows the. Acute optic neuropathy secondary to methyl alcohol consumption is a serious ocular disease with permanent vision loss. Methyl Alcohol Vision Loss.
From pn.bmj.com
Methanol toxicity presenting as haemorrhagic putaminal necrosis and Methyl Alcohol Vision Loss Acute optic neuropathy secondary to methyl alcohol consumption is a serious ocular disease with permanent vision loss or scotoma. Chronic methanol toxicity can have neurologic sequelae such as vision loss that. A quick treatment based on dialysis, intravenous ethanol, sodium bicarbonate, vitamin b12, and intravenous methylprednisolone slows the. Formic acid accumulates within the optic nerve, which results in the classic. Methyl Alcohol Vision Loss.
From www.pathologyoutlines.com
Pathology Outlines Methanol Methyl Alcohol Vision Loss A quick treatment based on dialysis, intravenous ethanol, sodium bicarbonate, vitamin b12, and intravenous methylprednisolone slows the. Diagnosis of nutritional and toxic optic neuropathies. Acute optic neuropathy secondary to methyl alcohol consumption is a serious ocular disease with permanent vision loss or scotoma. Acute optic neuropathy secondary to methyl alcohol consumption is a serious ocular disease with permanent vision loss. Methyl Alcohol Vision Loss.
From www.semanticscholar.org
Figure 1 from Chronic methanol toxicity through topical and Methyl Alcohol Vision Loss Acute optic neuropathy secondary to methyl alcohol consumption is a serious ocular disease with permanent vision loss or scotoma. In our study, all patients experienced bilateral, painless, acute, and dramatic visual loss regardless of the exposure route and the. Formic acid accumulates within the optic nerve, which results in the classic visual symptoms of flashes of. Drinking antifreeze (ethylene glycol). Methyl Alcohol Vision Loss.
From www.lenstore.co.uk
Do You Know The Damaging Effects Of Alcohol On Your Vision? Lenstore Methyl Alcohol Vision Loss Acute optic neuropathy secondary to methyl alcohol consumption is a serious ocular disease with permanent vision loss or scotoma. Chronic methanol toxicity can have neurologic sequelae such as vision loss that. Diagnosis of nutritional and toxic optic neuropathies. Formic acid accumulates within the optic nerve, which results in the classic visual symptoms of flashes of. Acute optic neuropathy secondary to. Methyl Alcohol Vision Loss.
From www.homesciencetools.com
Methyl Alcohol, 30 ml Home Science Tools Methyl Alcohol Vision Loss Drinking antifreeze (ethylene glycol) or methanol (wood alcohol or methyl alcohol) can cause sudden and complete vision loss. A quick treatment based on dialysis, intravenous ethanol, sodium bicarbonate, vitamin b12, and intravenous methylprednisolone slows the. Acute optic neuropathy secondary to methyl alcohol consumption is a serious ocular disease with permanent vision loss or scotoma. Formic acid accumulates within the optic. Methyl Alcohol Vision Loss.
From www.researchgate.net
Correlation of retention time of tetracaine with content of methyl Methyl Alcohol Vision Loss Formic acid accumulates within the optic nerve, which results in the classic visual symptoms of flashes of. In our study, all patients experienced bilateral, painless, acute, and dramatic visual loss regardless of the exposure route and the. Drinking antifreeze (ethylene glycol) or methanol (wood alcohol or methyl alcohol) can cause sudden and complete vision loss. Acute optic neuropathy secondary to. Methyl Alcohol Vision Loss.
From www.researchgate.net
(PDF) LaserStark spectrum of methyl alcohol at 311 ?m Methyl Alcohol Vision Loss Drinking antifreeze (ethylene glycol) or methanol (wood alcohol or methyl alcohol) can cause sudden and complete vision loss. Formic acid accumulates within the optic nerve, which results in the classic visual symptoms of flashes of. In our study, all patients experienced bilateral, painless, acute, and dramatic visual loss regardless of the exposure route and the. Acute optic neuropathy secondary to. Methyl Alcohol Vision Loss.
From www.numerade.com
A layer of methyl alcohol, with index of refraction 1.329, rests on a Methyl Alcohol Vision Loss Acute optic neuropathy secondary to methyl alcohol consumption is a serious ocular disease with permanent vision loss or scotoma. Diagnosis of nutritional and toxic optic neuropathies. A quick treatment based on dialysis, intravenous ethanol, sodium bicarbonate, vitamin b12, and intravenous methylprednisolone slows the. Chronic methanol toxicity can have neurologic sequelae such as vision loss that. Formic acid accumulates within the. Methyl Alcohol Vision Loss.
From www.researchgate.net
Permittivity of methyl alcohol at a temperature of 22°C. Download Methyl Alcohol Vision Loss Drinking antifreeze (ethylene glycol) or methanol (wood alcohol or methyl alcohol) can cause sudden and complete vision loss. A quick treatment based on dialysis, intravenous ethanol, sodium bicarbonate, vitamin b12, and intravenous methylprednisolone slows the. Acute optic neuropathy secondary to methyl alcohol consumption is a serious ocular disease with permanent vision loss or scotoma. Formic acid accumulates within the optic. Methyl Alcohol Vision Loss.
From www.researchgate.net
(PDF) Visual in Acute Methyl Alcohol poisoning and its Methyl Alcohol Vision Loss Chronic methanol toxicity can have neurologic sequelae such as vision loss that. Formic acid accumulates within the optic nerve, which results in the classic visual symptoms of flashes of. Diagnosis of nutritional and toxic optic neuropathies. Drinking antifreeze (ethylene glycol) or methanol (wood alcohol or methyl alcohol) can cause sudden and complete vision loss. Acute optic neuropathy secondary to methyl. Methyl Alcohol Vision Loss.
From www.youtube.com
Conversion of Methyl Alcohol into Ethyl Alcohol by Sunny Sharma YouTube Methyl Alcohol Vision Loss Acute optic neuropathy secondary to methyl alcohol consumption is a serious ocular disease with permanent vision loss or scotoma. Formic acid accumulates within the optic nerve, which results in the classic visual symptoms of flashes of. Diagnosis of nutritional and toxic optic neuropathies. In our study, all patients experienced bilateral, painless, acute, and dramatic visual loss regardless of the exposure. Methyl Alcohol Vision Loss.
From www.youtube.com
Stimulants, ethyl alcohol and treatment of methyl alcohol poisoning Methyl Alcohol Vision Loss Drinking antifreeze (ethylene glycol) or methanol (wood alcohol or methyl alcohol) can cause sudden and complete vision loss. Acute optic neuropathy secondary to methyl alcohol consumption is a serious ocular disease with permanent vision loss or scotoma. Chronic methanol toxicity can have neurologic sequelae such as vision loss that. Acute optic neuropathy secondary to methyl alcohol consumption is a serious. Methyl Alcohol Vision Loss.
From www.youtube.com
Conversion of Methyl Alcohol into Ethyl Alcohol by Sunny Sharma YouTube Methyl Alcohol Vision Loss A quick treatment based on dialysis, intravenous ethanol, sodium bicarbonate, vitamin b12, and intravenous methylprednisolone slows the. In our study, all patients experienced bilateral, painless, acute, and dramatic visual loss regardless of the exposure route and the. Acute optic neuropathy secondary to methyl alcohol consumption is a serious ocular disease with permanent vision loss or scotoma. Formic acid accumulates within. Methyl Alcohol Vision Loss.
From www.decisionpointcenter.com
U.S. Mortality Rates Up Due to Alcoholism Methyl Alcohol Vision Loss Acute optic neuropathy secondary to methyl alcohol consumption is a serious ocular disease with permanent vision loss or scotoma. Chronic methanol toxicity can have neurologic sequelae such as vision loss that. Acute optic neuropathy secondary to methyl alcohol consumption is a serious ocular disease with permanent vision loss or scotoma. A quick treatment based on dialysis, intravenous ethanol, sodium bicarbonate,. Methyl Alcohol Vision Loss.
From medshun.com
Understanding The Timelines Of Vision Loss In Methanol Poisoning MedShun Methyl Alcohol Vision Loss Acute optic neuropathy secondary to methyl alcohol consumption is a serious ocular disease with permanent vision loss or scotoma. Drinking antifreeze (ethylene glycol) or methanol (wood alcohol or methyl alcohol) can cause sudden and complete vision loss. Diagnosis of nutritional and toxic optic neuropathies. A quick treatment based on dialysis, intravenous ethanol, sodium bicarbonate, vitamin b12, and intravenous methylprednisolone slows. Methyl Alcohol Vision Loss.
From www.slideserve.com
PPT Sudden Painless Loss Of Vision PowerPoint Presentation ID365052 Methyl Alcohol Vision Loss Chronic methanol toxicity can have neurologic sequelae such as vision loss that. Drinking antifreeze (ethylene glycol) or methanol (wood alcohol or methyl alcohol) can cause sudden and complete vision loss. In our study, all patients experienced bilateral, painless, acute, and dramatic visual loss regardless of the exposure route and the. Formic acid accumulates within the optic nerve, which results in. Methyl Alcohol Vision Loss.
From www.slideserve.com
PPT FORENSIC TOXICOLOGY PowerPoint Presentation, free download ID Methyl Alcohol Vision Loss A quick treatment based on dialysis, intravenous ethanol, sodium bicarbonate, vitamin b12, and intravenous methylprednisolone slows the. Acute optic neuropathy secondary to methyl alcohol consumption is a serious ocular disease with permanent vision loss or scotoma. Acute optic neuropathy secondary to methyl alcohol consumption is a serious ocular disease with permanent vision loss or scotoma. Diagnosis of nutritional and toxic. Methyl Alcohol Vision Loss.