Resin Infiltration Therapy . Approaches for the management of. Resin infiltration can be regarded as an effective treatment modality in minimizing the risk of caries progression and improving the aesthetic. Resin infiltration treatment can seal the micro porosities of incipient caries lesions and inhibit diffusion pathway to cariogenic agents, with the use of materials that were. Traditional restorative techniques employed in the treatment of dental caries involve the removal of large amounts of tooth structure to (1) eliminate. Microinvasive therapies, such as resin infiltration, have been used to treat demineralized enamel. The principle of resin infiltration is to perfuse the porous enamel with resin by capillary action, thereby arresting lesion progression by occluding the. Recently, resin infiltration using the active.
from www.semanticscholar.org
Microinvasive therapies, such as resin infiltration, have been used to treat demineralized enamel. Approaches for the management of. Traditional restorative techniques employed in the treatment of dental caries involve the removal of large amounts of tooth structure to (1) eliminate. Resin infiltration treatment can seal the micro porosities of incipient caries lesions and inhibit diffusion pathway to cariogenic agents, with the use of materials that were. The principle of resin infiltration is to perfuse the porous enamel with resin by capillary action, thereby arresting lesion progression by occluding the. Recently, resin infiltration using the active. Resin infiltration can be regarded as an effective treatment modality in minimizing the risk of caries progression and improving the aesthetic.
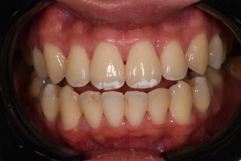
Figure 3 from Resin Infiltration for Aesthetic Improvement of Mild to
Resin Infiltration Therapy Approaches for the management of. Resin infiltration can be regarded as an effective treatment modality in minimizing the risk of caries progression and improving the aesthetic. Traditional restorative techniques employed in the treatment of dental caries involve the removal of large amounts of tooth structure to (1) eliminate. Resin infiltration treatment can seal the micro porosities of incipient caries lesions and inhibit diffusion pathway to cariogenic agents, with the use of materials that were. Recently, resin infiltration using the active. The principle of resin infiltration is to perfuse the porous enamel with resin by capillary action, thereby arresting lesion progression by occluding the. Microinvasive therapies, such as resin infiltration, have been used to treat demineralized enamel. Approaches for the management of.
From www.youtube.com
White Spots Fluorosis Smile Transformation Before and After Procedure Resin Infiltration Therapy Resin infiltration treatment can seal the micro porosities of incipient caries lesions and inhibit diffusion pathway to cariogenic agents, with the use of materials that were. Approaches for the management of. Resin infiltration can be regarded as an effective treatment modality in minimizing the risk of caries progression and improving the aesthetic. Traditional restorative techniques employed in the treatment of. Resin Infiltration Therapy.
From www.youtube.com
ICON Resin Infiltration for White Spots Step by Step FULL PROTOCOL Resin Infiltration Therapy Traditional restorative techniques employed in the treatment of dental caries involve the removal of large amounts of tooth structure to (1) eliminate. Resin infiltration can be regarded as an effective treatment modality in minimizing the risk of caries progression and improving the aesthetic. Recently, resin infiltration using the active. Resin infiltration treatment can seal the micro porosities of incipient caries. Resin Infiltration Therapy.
From www.clarencetam.co.nz
Resin infiltration with composite resin direct restoration combination Resin Infiltration Therapy The principle of resin infiltration is to perfuse the porous enamel with resin by capillary action, thereby arresting lesion progression by occluding the. Microinvasive therapies, such as resin infiltration, have been used to treat demineralized enamel. Resin infiltration can be regarded as an effective treatment modality in minimizing the risk of caries progression and improving the aesthetic. Approaches for the. Resin Infiltration Therapy.
From www.clarencetam.co.nz
Resin infiltration with composite resin direct restoration combination Resin Infiltration Therapy Microinvasive therapies, such as resin infiltration, have been used to treat demineralized enamel. The principle of resin infiltration is to perfuse the porous enamel with resin by capillary action, thereby arresting lesion progression by occluding the. Recently, resin infiltration using the active. Traditional restorative techniques employed in the treatment of dental caries involve the removal of large amounts of tooth. Resin Infiltration Therapy.
From mkdm.ca
ICON Resin Infiltration Resin Infiltration Therapy Approaches for the management of. Microinvasive therapies, such as resin infiltration, have been used to treat demineralized enamel. Resin infiltration can be regarded as an effective treatment modality in minimizing the risk of caries progression and improving the aesthetic. Resin infiltration treatment can seal the micro porosities of incipient caries lesions and inhibit diffusion pathway to cariogenic agents, with the. Resin Infiltration Therapy.
From beautymedicaldevices.com
Resin Infiltration A Minimally Invasive Treatment for White Spots on Teeth Resin Infiltration Therapy Recently, resin infiltration using the active. Resin infiltration treatment can seal the micro porosities of incipient caries lesions and inhibit diffusion pathway to cariogenic agents, with the use of materials that were. Approaches for the management of. Microinvasive therapies, such as resin infiltration, have been used to treat demineralized enamel. Traditional restorative techniques employed in the treatment of dental caries. Resin Infiltration Therapy.
From dmg-connect.com
Clinical Tip Resin Infiltration DMG America Resin Infiltration Therapy Resin infiltration can be regarded as an effective treatment modality in minimizing the risk of caries progression and improving the aesthetic. Traditional restorative techniques employed in the treatment of dental caries involve the removal of large amounts of tooth structure to (1) eliminate. Recently, resin infiltration using the active. Approaches for the management of. Microinvasive therapies, such as resin infiltration,. Resin Infiltration Therapy.
From reefrecovery.org
Icon Resin Infiltration (ICON) Affiliated Children's Dental Resin Infiltration Therapy Recently, resin infiltration using the active. Resin infiltration can be regarded as an effective treatment modality in minimizing the risk of caries progression and improving the aesthetic. Resin infiltration treatment can seal the micro porosities of incipient caries lesions and inhibit diffusion pathway to cariogenic agents, with the use of materials that were. Microinvasive therapies, such as resin infiltration, have. Resin Infiltration Therapy.
From www.mdpi.com
Polymers Free FullText An Insight into Enamel Resin Infiltrants Resin Infiltration Therapy Resin infiltration treatment can seal the micro porosities of incipient caries lesions and inhibit diffusion pathway to cariogenic agents, with the use of materials that were. Resin infiltration can be regarded as an effective treatment modality in minimizing the risk of caries progression and improving the aesthetic. Recently, resin infiltration using the active. Microinvasive therapies, such as resin infiltration, have. Resin Infiltration Therapy.
From www.smiles-for-kids.com
New dental technology Icon resin infiltration — Smiles for Kids Resin Infiltration Therapy Resin infiltration treatment can seal the micro porosities of incipient caries lesions and inhibit diffusion pathway to cariogenic agents, with the use of materials that were. Resin infiltration can be regarded as an effective treatment modality in minimizing the risk of caries progression and improving the aesthetic. Microinvasive therapies, such as resin infiltration, have been used to treat demineralized enamel.. Resin Infiltration Therapy.
From www.researchgate.net
Procedure of resin infiltration technique (A) Cleaning the surfaces of Resin Infiltration Therapy Resin infiltration treatment can seal the micro porosities of incipient caries lesions and inhibit diffusion pathway to cariogenic agents, with the use of materials that were. The principle of resin infiltration is to perfuse the porous enamel with resin by capillary action, thereby arresting lesion progression by occluding the. Recently, resin infiltration using the active. Microinvasive therapies, such as resin. Resin Infiltration Therapy.
From 123rpd.com
Riverside Pediatric Dentistry Dentist in Amesbury, MA Resin Infiltration Therapy Traditional restorative techniques employed in the treatment of dental caries involve the removal of large amounts of tooth structure to (1) eliminate. Microinvasive therapies, such as resin infiltration, have been used to treat demineralized enamel. Approaches for the management of. Resin infiltration treatment can seal the micro porosities of incipient caries lesions and inhibit diffusion pathway to cariogenic agents, with. Resin Infiltration Therapy.
From kidsteethandbraces.com
Icon Resin Infiltration (ICON) Affiliated Children's Dental Specialists Resin Infiltration Therapy The principle of resin infiltration is to perfuse the porous enamel with resin by capillary action, thereby arresting lesion progression by occluding the. Microinvasive therapies, such as resin infiltration, have been used to treat demineralized enamel. Resin infiltration can be regarded as an effective treatment modality in minimizing the risk of caries progression and improving the aesthetic. Recently, resin infiltration. Resin Infiltration Therapy.
From www.tooth-life.com
Understanding Icon Resin Infiltration A Comprehensive Guide Resin Infiltration Therapy Recently, resin infiltration using the active. Approaches for the management of. Microinvasive therapies, such as resin infiltration, have been used to treat demineralized enamel. Resin infiltration can be regarded as an effective treatment modality in minimizing the risk of caries progression and improving the aesthetic. Resin infiltration treatment can seal the micro porosities of incipient caries lesions and inhibit diffusion. Resin Infiltration Therapy.
From jdh.adha.org
Resin Infiltration Therapy A microinvasive treatment approach for Resin Infiltration Therapy Resin infiltration can be regarded as an effective treatment modality in minimizing the risk of caries progression and improving the aesthetic. Approaches for the management of. Traditional restorative techniques employed in the treatment of dental caries involve the removal of large amounts of tooth structure to (1) eliminate. Resin infiltration treatment can seal the micro porosities of incipient caries lesions. Resin Infiltration Therapy.
From www.santarosapediatricdentistry.com
Icon Resin Infiltration Santa Rosa CA, Santa Rosa Pediatric Dentistry Resin Infiltration Therapy Traditional restorative techniques employed in the treatment of dental caries involve the removal of large amounts of tooth structure to (1) eliminate. The principle of resin infiltration is to perfuse the porous enamel with resin by capillary action, thereby arresting lesion progression by occluding the. Resin infiltration treatment can seal the micro porosities of incipient caries lesions and inhibit diffusion. Resin Infiltration Therapy.
From dmg-connect.com
Resin Infiltration in the Treatment of MIH Lesions in Anterior Teeth in Resin Infiltration Therapy Resin infiltration can be regarded as an effective treatment modality in minimizing the risk of caries progression and improving the aesthetic. The principle of resin infiltration is to perfuse the porous enamel with resin by capillary action, thereby arresting lesion progression by occluding the. Approaches for the management of. Traditional restorative techniques employed in the treatment of dental caries involve. Resin Infiltration Therapy.
From www.clarencetam.co.nz
DMG Icon Resin Infiltration White Spot Treatment Resin Infiltration Therapy The principle of resin infiltration is to perfuse the porous enamel with resin by capillary action, thereby arresting lesion progression by occluding the. Recently, resin infiltration using the active. Traditional restorative techniques employed in the treatment of dental caries involve the removal of large amounts of tooth structure to (1) eliminate. Resin infiltration treatment can seal the micro porosities of. Resin Infiltration Therapy.
From www.youtube.com
Infiltration Therapy YouTube Resin Infiltration Therapy Traditional restorative techniques employed in the treatment of dental caries involve the removal of large amounts of tooth structure to (1) eliminate. Resin infiltration can be regarded as an effective treatment modality in minimizing the risk of caries progression and improving the aesthetic. Recently, resin infiltration using the active. The principle of resin infiltration is to perfuse the porous enamel. Resin Infiltration Therapy.
From www.smilesofvirginia.com
White Spots Resin Infiltration Therapy_banner Smiles of Virginia Resin Infiltration Therapy Recently, resin infiltration using the active. Microinvasive therapies, such as resin infiltration, have been used to treat demineralized enamel. Resin infiltration treatment can seal the micro porosities of incipient caries lesions and inhibit diffusion pathway to cariogenic agents, with the use of materials that were. Approaches for the management of. Resin infiltration can be regarded as an effective treatment modality. Resin Infiltration Therapy.
From www.tooth-life.com
Understanding Icon Resin Infiltration A Comprehensive Guide Resin Infiltration Therapy Microinvasive therapies, such as resin infiltration, have been used to treat demineralized enamel. Resin infiltration treatment can seal the micro porosities of incipient caries lesions and inhibit diffusion pathway to cariogenic agents, with the use of materials that were. The principle of resin infiltration is to perfuse the porous enamel with resin by capillary action, thereby arresting lesion progression by. Resin Infiltration Therapy.
From www.clarencetam.co.nz
Resin infiltration with composite resin direct restoration combination Resin Infiltration Therapy Approaches for the management of. Resin infiltration can be regarded as an effective treatment modality in minimizing the risk of caries progression and improving the aesthetic. Microinvasive therapies, such as resin infiltration, have been used to treat demineralized enamel. Resin infiltration treatment can seal the micro porosities of incipient caries lesions and inhibit diffusion pathway to cariogenic agents, with the. Resin Infiltration Therapy.
From alrezfamilydentistry.com
How Does Resin Infiltration Work? l Alrez Family Dentistry Resin Infiltration Therapy The principle of resin infiltration is to perfuse the porous enamel with resin by capillary action, thereby arresting lesion progression by occluding the. Recently, resin infiltration using the active. Microinvasive therapies, such as resin infiltration, have been used to treat demineralized enamel. Resin infiltration treatment can seal the micro porosities of incipient caries lesions and inhibit diffusion pathway to cariogenic. Resin Infiltration Therapy.
From www.semanticscholar.org
Figure 3 from Resin Infiltration for Aesthetic Improvement of Mild to Resin Infiltration Therapy Resin infiltration treatment can seal the micro porosities of incipient caries lesions and inhibit diffusion pathway to cariogenic agents, with the use of materials that were. Resin infiltration can be regarded as an effective treatment modality in minimizing the risk of caries progression and improving the aesthetic. Recently, resin infiltration using the active. Microinvasive therapies, such as resin infiltration, have. Resin Infiltration Therapy.
From www.clarencetam.co.nz
Resin infiltration with composite resin direct restoration combination Resin Infiltration Therapy Recently, resin infiltration using the active. Resin infiltration treatment can seal the micro porosities of incipient caries lesions and inhibit diffusion pathway to cariogenic agents, with the use of materials that were. Traditional restorative techniques employed in the treatment of dental caries involve the removal of large amounts of tooth structure to (1) eliminate. The principle of resin infiltration is. Resin Infiltration Therapy.
From www.tooth-life.com
Understanding Icon Resin Infiltration A Comprehensive Guide Resin Infiltration Therapy Approaches for the management of. Microinvasive therapies, such as resin infiltration, have been used to treat demineralized enamel. Resin infiltration can be regarded as an effective treatment modality in minimizing the risk of caries progression and improving the aesthetic. Traditional restorative techniques employed in the treatment of dental caries involve the removal of large amounts of tooth structure to (1). Resin Infiltration Therapy.
From www.researchgate.net
Resin infiltration for achromatic enamel dysplastic spot lesions. a Resin Infiltration Therapy Resin infiltration can be regarded as an effective treatment modality in minimizing the risk of caries progression and improving the aesthetic. Recently, resin infiltration using the active. The principle of resin infiltration is to perfuse the porous enamel with resin by capillary action, thereby arresting lesion progression by occluding the. Microinvasive therapies, such as resin infiltration, have been used to. Resin Infiltration Therapy.
From jdh.adha.org
Resin Infiltration Therapy A microinvasive treatment approach for Resin Infiltration Therapy Traditional restorative techniques employed in the treatment of dental caries involve the removal of large amounts of tooth structure to (1) eliminate. Recently, resin infiltration using the active. Microinvasive therapies, such as resin infiltration, have been used to treat demineralized enamel. Resin infiltration treatment can seal the micro porosities of incipient caries lesions and inhibit diffusion pathway to cariogenic agents,. Resin Infiltration Therapy.
From www.researchgate.net
Resin infiltration in interproximal lesions. a Bitewing radiograph Resin Infiltration Therapy Recently, resin infiltration using the active. Resin infiltration can be regarded as an effective treatment modality in minimizing the risk of caries progression and improving the aesthetic. Microinvasive therapies, such as resin infiltration, have been used to treat demineralized enamel. The principle of resin infiltration is to perfuse the porous enamel with resin by capillary action, thereby arresting lesion progression. Resin Infiltration Therapy.
From www.researchgate.net
Resin infiltration technique on teeth 54 and 55 ICDAS 4. A) initial Resin Infiltration Therapy Resin infiltration treatment can seal the micro porosities of incipient caries lesions and inhibit diffusion pathway to cariogenic agents, with the use of materials that were. Recently, resin infiltration using the active. Resin infiltration can be regarded as an effective treatment modality in minimizing the risk of caries progression and improving the aesthetic. Traditional restorative techniques employed in the treatment. Resin Infiltration Therapy.
From www.youtube.com
Fluorosis treatment using Icon infiltration, step by step YouTube Resin Infiltration Therapy Traditional restorative techniques employed in the treatment of dental caries involve the removal of large amounts of tooth structure to (1) eliminate. The principle of resin infiltration is to perfuse the porous enamel with resin by capillary action, thereby arresting lesion progression by occluding the. Microinvasive therapies, such as resin infiltration, have been used to treat demineralized enamel. Resin infiltration. Resin Infiltration Therapy.
From kidsteethandbraces.com
Icon Resin Infiltration (ICON) Affiliated Children's Dental Specialists Resin Infiltration Therapy The principle of resin infiltration is to perfuse the porous enamel with resin by capillary action, thereby arresting lesion progression by occluding the. Microinvasive therapies, such as resin infiltration, have been used to treat demineralized enamel. Traditional restorative techniques employed in the treatment of dental caries involve the removal of large amounts of tooth structure to (1) eliminate. Recently, resin. Resin Infiltration Therapy.
From protrusive.co.uk
ICON Resin Infiltration Step by Step FULL PROTOCOL PDP140 Resin Infiltration Therapy The principle of resin infiltration is to perfuse the porous enamel with resin by capillary action, thereby arresting lesion progression by occluding the. Recently, resin infiltration using the active. Traditional restorative techniques employed in the treatment of dental caries involve the removal of large amounts of tooth structure to (1) eliminate. Resin infiltration treatment can seal the micro porosities of. Resin Infiltration Therapy.
From smiledentallounge.com
ICON Resin Infiltration The Smile Dental Lounge Dental Clinic Johor Resin Infiltration Therapy The principle of resin infiltration is to perfuse the porous enamel with resin by capillary action, thereby arresting lesion progression by occluding the. Microinvasive therapies, such as resin infiltration, have been used to treat demineralized enamel. Recently, resin infiltration using the active. Resin infiltration treatment can seal the micro porosities of incipient caries lesions and inhibit diffusion pathway to cariogenic. Resin Infiltration Therapy.
From www.researchgate.net
Procedure of resin infiltration technique (A) Cleaning the surfaces of Resin Infiltration Therapy Microinvasive therapies, such as resin infiltration, have been used to treat demineralized enamel. Approaches for the management of. Resin infiltration can be regarded as an effective treatment modality in minimizing the risk of caries progression and improving the aesthetic. Resin infiltration treatment can seal the micro porosities of incipient caries lesions and inhibit diffusion pathway to cariogenic agents, with the. Resin Infiltration Therapy.