Hearing Aid Battery Ingestion . Here are some practical ideas for reducing the risk of battery ingestion. Store hearing aid batteries out of reach of all children. In a large retrospective analysis of over 8000 battery ingestion cases from the. Manage ingestion of a hearing aid containing a battery as an ingestion of a small battery (≤ 12 mm). Avoid storing or leaving batteries. Children often swallow these batteries or put. If you use a hearing aid, these steps are especially important. If anyone ingests a battery, this is what you should do: Many cases of accidental battery poisoning have occurred from people who mistakenly ingested a hearing. Button battery ingestion affects all age groups, although most cases involve children under the age of six who mistake the battery for a sweet,. They are commonly used in watches and hearing aids. If readily available, provide the battery identification. Avoid these ineffective, unnecessary or. All too often, the tiny hearing aid batteries are swallowed with or instead of medications. Button batteries are tiny, round batteries.
from rayovac.eu
If readily available, provide the battery identification. Store hearing aid batteries out of reach of all children. All too often, the tiny hearing aid batteries are swallowed with or instead of medications. Children often swallow these batteries or put. Avoid these ineffective, unnecessary or. If you use a hearing aid, these steps are especially important. Button batteries are tiny, round batteries. Many cases of accidental battery poisoning have occurred from people who mistakenly ingested a hearing. Button battery ingestion affects all age groups, although most cases involve children under the age of six who mistake the battery for a sweet,. Manage ingestion of a hearing aid containing a battery as an ingestion of a small battery (≤ 12 mm).
Hearing Aid Battery Care Rayovac Hearing Aid Batteries
Hearing Aid Battery Ingestion In a large retrospective analysis of over 8000 battery ingestion cases from the. They are commonly used in watches and hearing aids. In a large retrospective analysis of over 8000 battery ingestion cases from the. Many cases of accidental battery poisoning have occurred from people who mistakenly ingested a hearing. If anyone ingests a battery, this is what you should do: Button batteries are tiny, round batteries. Here are some practical ideas for reducing the risk of battery ingestion. All too often, the tiny hearing aid batteries are swallowed with or instead of medications. Button battery ingestion affects all age groups, although most cases involve children under the age of six who mistake the battery for a sweet,. Children often swallow these batteries or put. Store hearing aid batteries out of reach of all children. Manage ingestion of a hearing aid containing a battery as an ingestion of a small battery (≤ 12 mm). If you use a hearing aid, these steps are especially important. If readily available, provide the battery identification. Avoid these ineffective, unnecessary or. Avoid storing or leaving batteries.
From www.youtube.com
How to pair Oticon EduMic with hearing aids with rechargeable batteries YouTube Hearing Aid Battery Ingestion Button batteries are tiny, round batteries. Many cases of accidental battery poisoning have occurred from people who mistakenly ingested a hearing. Here are some practical ideas for reducing the risk of battery ingestion. If you use a hearing aid, these steps are especially important. In a large retrospective analysis of over 8000 battery ingestion cases from the. Avoid storing or. Hearing Aid Battery Ingestion.
From coloradoearcare.com
Hearing Aid Batteries Rechargeable Sizes Colorado Ear Care Hearing Aid Battery Ingestion If you use a hearing aid, these steps are especially important. Button battery ingestion affects all age groups, although most cases involve children under the age of six who mistake the battery for a sweet,. All too often, the tiny hearing aid batteries are swallowed with or instead of medications. Store hearing aid batteries out of reach of all children.. Hearing Aid Battery Ingestion.
From www.youtube.com
How To Change Hearing Aid Batteries YouTube Hearing Aid Battery Ingestion If anyone ingests a battery, this is what you should do: In a large retrospective analysis of over 8000 battery ingestion cases from the. Button battery ingestion affects all age groups, although most cases involve children under the age of six who mistake the battery for a sweet,. Here are some practical ideas for reducing the risk of battery ingestion.. Hearing Aid Battery Ingestion.
From rayovac.eu
Hearing Aid Battery Care Rayovac Hearing Aid Batteries Hearing Aid Battery Ingestion In a large retrospective analysis of over 8000 battery ingestion cases from the. If you use a hearing aid, these steps are especially important. If readily available, provide the battery identification. Avoid storing or leaving batteries. Manage ingestion of a hearing aid containing a battery as an ingestion of a small battery (≤ 12 mm). Many cases of accidental battery. Hearing Aid Battery Ingestion.
From www.youtube.com
How to change the battery of a hearing aid YouTube Hearing Aid Battery Ingestion In a large retrospective analysis of over 8000 battery ingestion cases from the. Store hearing aid batteries out of reach of all children. Avoid these ineffective, unnecessary or. If anyone ingests a battery, this is what you should do: Button batteries are tiny, round batteries. If you use a hearing aid, these steps are especially important. All too often, the. Hearing Aid Battery Ingestion.
From www.youtube.com
Hearing Aid Batteries Tips and Tricks YouTube Hearing Aid Battery Ingestion Button battery ingestion affects all age groups, although most cases involve children under the age of six who mistake the battery for a sweet,. In a large retrospective analysis of over 8000 battery ingestion cases from the. Manage ingestion of a hearing aid containing a battery as an ingestion of a small battery (≤ 12 mm). Here are some practical. Hearing Aid Battery Ingestion.
From www.youtube.com
How to Change a CUSTOM Hearing Aid BATTERY YouTube Hearing Aid Battery Ingestion Button battery ingestion affects all age groups, although most cases involve children under the age of six who mistake the battery for a sweet,. All too often, the tiny hearing aid batteries are swallowed with or instead of medications. Here are some practical ideas for reducing the risk of battery ingestion. In a large retrospective analysis of over 8000 battery. Hearing Aid Battery Ingestion.
From www.amplifon.com
Hearing Aid Batteries Colours, Sizes and Tips Amplifon AU Hearing Aid Battery Ingestion Button battery ingestion affects all age groups, although most cases involve children under the age of six who mistake the battery for a sweet,. If readily available, provide the battery identification. They are commonly used in watches and hearing aids. In a large retrospective analysis of over 8000 battery ingestion cases from the. Manage ingestion of a hearing aid containing. Hearing Aid Battery Ingestion.
From torontofamilyhearing.com
Hearing Aids Batteries Buy Hearing Aid Batteries Toronto Family Hearing Hearing Aid Battery Ingestion Button batteries are tiny, round batteries. Children often swallow these batteries or put. Manage ingestion of a hearing aid containing a battery as an ingestion of a small battery (≤ 12 mm). Button battery ingestion affects all age groups, although most cases involve children under the age of six who mistake the battery for a sweet,. If readily available, provide. Hearing Aid Battery Ingestion.
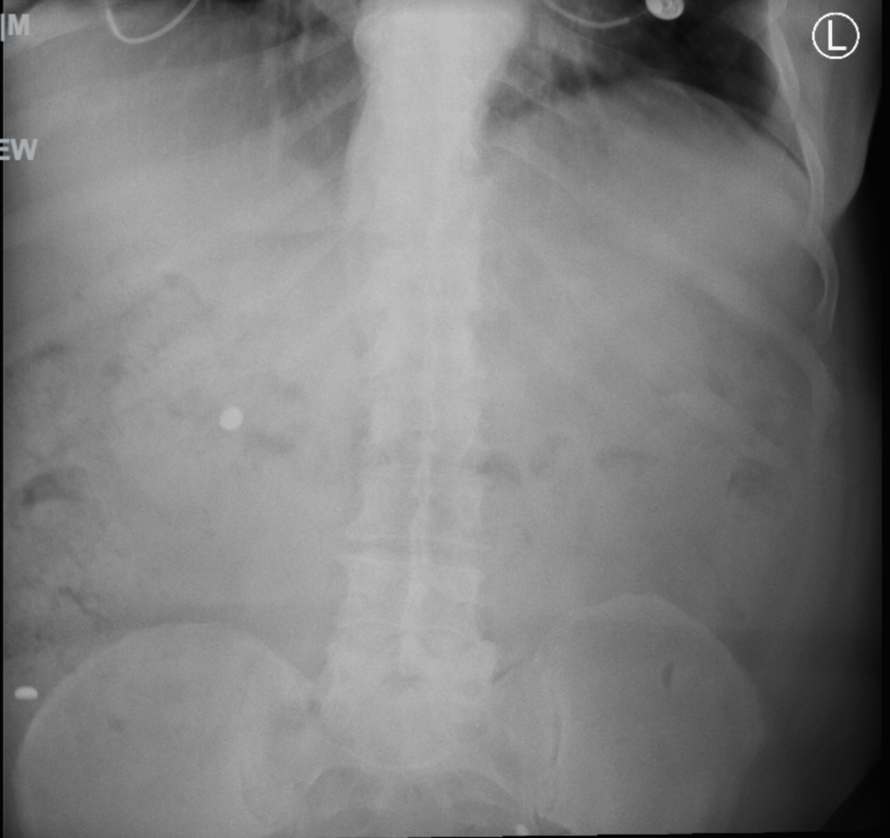
From www.cureus.com
Ingestion of 14 Hearing Aid Batteries in an Adult Patient Cureus Hearing Aid Battery Ingestion Avoid these ineffective, unnecessary or. Button battery ingestion affects all age groups, although most cases involve children under the age of six who mistake the battery for a sweet,. Avoid storing or leaving batteries. They are commonly used in watches and hearing aids. Many cases of accidental battery poisoning have occurred from people who mistakenly ingested a hearing. Button batteries. Hearing Aid Battery Ingestion.
From thehearingplaceco.com
Hearing Aid Chargers vs Batteries The Hearing Place Hearing Aid Battery Ingestion Store hearing aid batteries out of reach of all children. If you use a hearing aid, these steps are especially important. Button batteries are tiny, round batteries. If anyone ingests a battery, this is what you should do: If readily available, provide the battery identification. Manage ingestion of a hearing aid containing a battery as an ingestion of a small. Hearing Aid Battery Ingestion.
From www.youtube.com
Hearing Aid Batteries YouTube Hearing Aid Battery Ingestion They are commonly used in watches and hearing aids. If readily available, provide the battery identification. Store hearing aid batteries out of reach of all children. If you use a hearing aid, these steps are especially important. Here are some practical ideas for reducing the risk of battery ingestion. Avoid these ineffective, unnecessary or. Button battery ingestion affects all age. Hearing Aid Battery Ingestion.
From www.youtube.com
How to change the battery in a BTE hearing aid YouTube Hearing Aid Battery Ingestion They are commonly used in watches and hearing aids. Many cases of accidental battery poisoning have occurred from people who mistakenly ingested a hearing. Avoid storing or leaving batteries. Manage ingestion of a hearing aid containing a battery as an ingestion of a small battery (≤ 12 mm). Children often swallow these batteries or put. Avoid these ineffective, unnecessary or.. Hearing Aid Battery Ingestion.
From www.youtube.com
Changing Your Phonak Hearing Aid Battery YouTube Hearing Aid Battery Ingestion If anyone ingests a battery, this is what you should do: Button battery ingestion affects all age groups, although most cases involve children under the age of six who mistake the battery for a sweet,. All too often, the tiny hearing aid batteries are swallowed with or instead of medications. In a large retrospective analysis of over 8000 battery ingestion. Hearing Aid Battery Ingestion.
From fallsofsound.com.au
Classic Hearing Aid Batteries, What to Know Falls of Sound Hearing Aid Battery Ingestion Manage ingestion of a hearing aid containing a battery as an ingestion of a small battery (≤ 12 mm). Children often swallow these batteries or put. They are commonly used in watches and hearing aids. All too often, the tiny hearing aid batteries are swallowed with or instead of medications. Many cases of accidental battery poisoning have occurred from people. Hearing Aid Battery Ingestion.
From www.academia.edu
(PDF) Accidental Ingestion of Hearing Aid with Exposed Battery Mark Langdorf Academia.edu Hearing Aid Battery Ingestion Avoid these ineffective, unnecessary or. Many cases of accidental battery poisoning have occurred from people who mistakenly ingested a hearing. In a large retrospective analysis of over 8000 battery ingestion cases from the. Children often swallow these batteries or put. If you use a hearing aid, these steps are especially important. If anyone ingests a battery, this is what you. Hearing Aid Battery Ingestion.
From www.connevans.co.uk
Hearing aid batteries zinc air Connevans Hearing Aid Battery Ingestion In a large retrospective analysis of over 8000 battery ingestion cases from the. Here are some practical ideas for reducing the risk of battery ingestion. All too often, the tiny hearing aid batteries are swallowed with or instead of medications. Button battery ingestion affects all age groups, although most cases involve children under the age of six who mistake the. Hearing Aid Battery Ingestion.
From www.healthyhearing.com
Hearing aid battery types and sizes Hearing Aid Battery Ingestion Avoid storing or leaving batteries. If you use a hearing aid, these steps are especially important. Button battery ingestion affects all age groups, although most cases involve children under the age of six who mistake the battery for a sweet,. Store hearing aid batteries out of reach of all children. They are commonly used in watches and hearing aids. Children. Hearing Aid Battery Ingestion.
From www.researchgate.net
(PDF) Hearing aid battery ingestion Medical error or poor design? Hearing Aid Battery Ingestion In a large retrospective analysis of over 8000 battery ingestion cases from the. Manage ingestion of a hearing aid containing a battery as an ingestion of a small battery (≤ 12 mm). Avoid these ineffective, unnecessary or. If you use a hearing aid, these steps are especially important. Here are some practical ideas for reducing the risk of battery ingestion.. Hearing Aid Battery Ingestion.
From meshguides.org
Understanding Hearing Loss MESHGuides Hearing Aid Battery Ingestion Here are some practical ideas for reducing the risk of battery ingestion. They are commonly used in watches and hearing aids. All too often, the tiny hearing aid batteries are swallowed with or instead of medications. If readily available, provide the battery identification. Many cases of accidental battery poisoning have occurred from people who mistakenly ingested a hearing. Store hearing. Hearing Aid Battery Ingestion.
From www.youtube.com
How to insert and remove battery from Hearing Aids (Phonak, SIEMENS, Audio Service) YouTube Hearing Aid Battery Ingestion Button battery ingestion affects all age groups, although most cases involve children under the age of six who mistake the battery for a sweet,. Avoid these ineffective, unnecessary or. In a large retrospective analysis of over 8000 battery ingestion cases from the. If readily available, provide the battery identification. Many cases of accidental battery poisoning have occurred from people who. Hearing Aid Battery Ingestion.
From www.youtube.com
How to exchange the battery of your BTE (BehindTheEar) hearing aid Signia Hearing Aids YouTube Hearing Aid Battery Ingestion Button batteries are tiny, round batteries. Manage ingestion of a hearing aid containing a battery as an ingestion of a small battery (≤ 12 mm). If anyone ingests a battery, this is what you should do: Avoid these ineffective, unnecessary or. All too often, the tiny hearing aid batteries are swallowed with or instead of medications. Button battery ingestion affects. Hearing Aid Battery Ingestion.
From www.youtube.com
How to change your hearing aid batteries YouTube Hearing Aid Battery Ingestion They are commonly used in watches and hearing aids. All too often, the tiny hearing aid batteries are swallowed with or instead of medications. Avoid these ineffective, unnecessary or. In a large retrospective analysis of over 8000 battery ingestion cases from the. If anyone ingests a battery, this is what you should do: If readily available, provide the battery identification.. Hearing Aid Battery Ingestion.
From www.youtube.com
How To Change A Hearing Aid Battery RIC YouTube Hearing Aid Battery Ingestion Many cases of accidental battery poisoning have occurred from people who mistakenly ingested a hearing. Store hearing aid batteries out of reach of all children. Button battery ingestion affects all age groups, although most cases involve children under the age of six who mistake the battery for a sweet,. If anyone ingests a battery, this is what you should do:. Hearing Aid Battery Ingestion.
From www.centreforhearing.org
Rechargeable vs Battery Hearing Aids Centre For Hearing [Wiki] Hearing Aid Battery Ingestion If readily available, provide the battery identification. Button battery ingestion affects all age groups, although most cases involve children under the age of six who mistake the battery for a sweet,. Here are some practical ideas for reducing the risk of battery ingestion. In a large retrospective analysis of over 8000 battery ingestion cases from the. If you use a. Hearing Aid Battery Ingestion.
From www.researchgate.net
(PDF) Accidental Ingestion of Hearing Aid with Exposed Battery Hearing Aid Battery Ingestion Many cases of accidental battery poisoning have occurred from people who mistakenly ingested a hearing. They are commonly used in watches and hearing aids. Store hearing aid batteries out of reach of all children. Avoid these ineffective, unnecessary or. Children often swallow these batteries or put. Button batteries are tiny, round batteries. All too often, the tiny hearing aid batteries. Hearing Aid Battery Ingestion.
From americahears.com
Hearing Aid Batteries America Hears Hearing Aid Battery Ingestion All too often, the tiny hearing aid batteries are swallowed with or instead of medications. If you use a hearing aid, these steps are especially important. Manage ingestion of a hearing aid containing a battery as an ingestion of a small battery (≤ 12 mm). Children often swallow these batteries or put. Store hearing aid batteries out of reach of. Hearing Aid Battery Ingestion.
From abouthearingaids.weebly.com
Battery sizes How to take care of Hearing Aids Hearing Aid Battery Ingestion Avoid storing or leaving batteries. All too often, the tiny hearing aid batteries are swallowed with or instead of medications. If anyone ingests a battery, this is what you should do: If readily available, provide the battery identification. Store hearing aid batteries out of reach of all children. Button batteries are tiny, round batteries. Many cases of accidental battery poisoning. Hearing Aid Battery Ingestion.
From www.hearinglog.com
Batteries for Hearing Aids Dedicated air batteries to avoid accidental ingestion by children Hearing Aid Battery Ingestion Store hearing aid batteries out of reach of all children. Manage ingestion of a hearing aid containing a battery as an ingestion of a small battery (≤ 12 mm). Here are some practical ideas for reducing the risk of battery ingestion. Avoid storing or leaving batteries. In a large retrospective analysis of over 8000 battery ingestion cases from the. Button. Hearing Aid Battery Ingestion.
From www.akoustika.com.cy
Hearing aid batteries Otoakoustiki Hearing Centres Hearing Aid Battery Ingestion Avoid these ineffective, unnecessary or. If you use a hearing aid, these steps are especially important. All too often, the tiny hearing aid batteries are swallowed with or instead of medications. Manage ingestion of a hearing aid containing a battery as an ingestion of a small battery (≤ 12 mm). If readily available, provide the battery identification. Avoid storing or. Hearing Aid Battery Ingestion.
From earslangley.com
Ears Hearing Clinic Services Hearing Aids, Batteries, Hearing Tests Hearing Aid Battery Ingestion All too often, the tiny hearing aid batteries are swallowed with or instead of medications. If readily available, provide the battery identification. Avoid these ineffective, unnecessary or. Many cases of accidental battery poisoning have occurred from people who mistakenly ingested a hearing. If you use a hearing aid, these steps are especially important. If anyone ingests a battery, this is. Hearing Aid Battery Ingestion.
From www.youtube.com
How to change a hearing aid battery. YouTube Hearing Aid Battery Ingestion Avoid storing or leaving batteries. If you use a hearing aid, these steps are especially important. Button batteries are tiny, round batteries. Many cases of accidental battery poisoning have occurred from people who mistakenly ingested a hearing. Children often swallow these batteries or put. All too often, the tiny hearing aid batteries are swallowed with or instead of medications. Store. Hearing Aid Battery Ingestion.
From bosssaving.com
How to Get the Most Out of Your Hearing Aid Battery Life Bosssaving Top Reviews, Guides & How Hearing Aid Battery Ingestion All too often, the tiny hearing aid batteries are swallowed with or instead of medications. Button battery ingestion affects all age groups, although most cases involve children under the age of six who mistake the battery for a sweet,. They are commonly used in watches and hearing aids. If you use a hearing aid, these steps are especially important. In. Hearing Aid Battery Ingestion.
From www.tycorun.com
Lithiumion hearing aid batteries the best battery for hearing aid devicesTycorun Batteries Hearing Aid Battery Ingestion In a large retrospective analysis of over 8000 battery ingestion cases from the. If you use a hearing aid, these steps are especially important. Here are some practical ideas for reducing the risk of battery ingestion. Many cases of accidental battery poisoning have occurred from people who mistakenly ingested a hearing. Store hearing aid batteries out of reach of all. Hearing Aid Battery Ingestion.
From www.hearingdirectory.ca
Batteries for hearing aids Hearing Aid Battery Ingestion They are commonly used in watches and hearing aids. Avoid these ineffective, unnecessary or. Here are some practical ideas for reducing the risk of battery ingestion. Manage ingestion of a hearing aid containing a battery as an ingestion of a small battery (≤ 12 mm). If readily available, provide the battery identification. Children often swallow these batteries or put. Button. Hearing Aid Battery Ingestion.