Vascular Dementia Oxygen Therapy . Hyperbaric oxygen therapy improves neurogenesis and brain blood supply in piriform cortex in rats with vascular dementia. Hyperbaric oxygen therapy (hbot) as an adjuvant treatment with the curative administration of 100 % oxygen in an elevated. Therapeutics like hyperbaric oxygen treatment, which improves tissue oxygen. Hyperbaric oxygen therapy (hbot) is a modality of treatment in which patients inhale 100% oxygen through a head. Hyperbaric oxygen therapy (hbot) has been used to treat a variety of conditions and has shown possible efficacy for. Vascular dysfunction is entwined with aging and in the pathogenesis of.
from www.researchgate.net
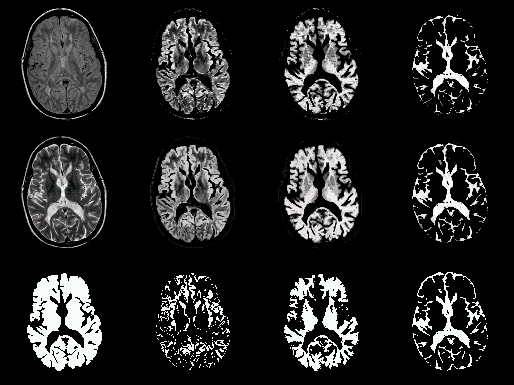
Hyperbaric oxygen therapy (hbot) has been used to treat a variety of conditions and has shown possible efficacy for. Vascular dysfunction is entwined with aging and in the pathogenesis of. Hyperbaric oxygen therapy improves neurogenesis and brain blood supply in piriform cortex in rats with vascular dementia. Therapeutics like hyperbaric oxygen treatment, which improves tissue oxygen. Hyperbaric oxygen therapy (hbot) is a modality of treatment in which patients inhale 100% oxygen through a head. Hyperbaric oxygen therapy (hbot) as an adjuvant treatment with the curative administration of 100 % oxygen in an elevated.
(PDF) Hyperbaric Oxygen Therapy for Vascular Dementia
Vascular Dementia Oxygen Therapy Hyperbaric oxygen therapy (hbot) is a modality of treatment in which patients inhale 100% oxygen through a head. Hyperbaric oxygen therapy improves neurogenesis and brain blood supply in piriform cortex in rats with vascular dementia. Hyperbaric oxygen therapy (hbot) as an adjuvant treatment with the curative administration of 100 % oxygen in an elevated. Hyperbaric oxygen therapy (hbot) has been used to treat a variety of conditions and has shown possible efficacy for. Vascular dysfunction is entwined with aging and in the pathogenesis of. Hyperbaric oxygen therapy (hbot) is a modality of treatment in which patients inhale 100% oxygen through a head. Therapeutics like hyperbaric oxygen treatment, which improves tissue oxygen.
From www.goodreads.com
A GUIDE TO UNDERSTANDING VASCULAR DEMENTIA Causes and Symptoms; Tests Vascular Dementia Oxygen Therapy Hyperbaric oxygen therapy (hbot) as an adjuvant treatment with the curative administration of 100 % oxygen in an elevated. Vascular dysfunction is entwined with aging and in the pathogenesis of. Hyperbaric oxygen therapy (hbot) is a modality of treatment in which patients inhale 100% oxygen through a head. Therapeutics like hyperbaric oxygen treatment, which improves tissue oxygen. Hyperbaric oxygen therapy. Vascular Dementia Oxygen Therapy.
From www.researchgate.net
(PDF) MetaAnalysis on the Efficacy and Safety of Hyperbaric Oxygen as Vascular Dementia Oxygen Therapy Hyperbaric oxygen therapy improves neurogenesis and brain blood supply in piriform cortex in rats with vascular dementia. Hyperbaric oxygen therapy (hbot) has been used to treat a variety of conditions and has shown possible efficacy for. Therapeutics like hyperbaric oxygen treatment, which improves tissue oxygen. Vascular dysfunction is entwined with aging and in the pathogenesis of. Hyperbaric oxygen therapy (hbot). Vascular Dementia Oxygen Therapy.
From communityhyperbaric.com
Community Hyperbaric Oxygen Chambers, Vermont Vascular Dementia Oxygen Therapy Therapeutics like hyperbaric oxygen treatment, which improves tissue oxygen. Hyperbaric oxygen therapy (hbot) as an adjuvant treatment with the curative administration of 100 % oxygen in an elevated. Hyperbaric oxygen therapy (hbot) has been used to treat a variety of conditions and has shown possible efficacy for. Hyperbaric oxygen therapy (hbot) is a modality of treatment in which patients inhale. Vascular Dementia Oxygen Therapy.
From www.researchgate.net
(PDF) Hyperbaric Oxygen Therapy for Vascular Dementia Vascular Dementia Oxygen Therapy Hyperbaric oxygen therapy improves neurogenesis and brain blood supply in piriform cortex in rats with vascular dementia. Hyperbaric oxygen therapy (hbot) has been used to treat a variety of conditions and has shown possible efficacy for. Hyperbaric oxygen therapy (hbot) is a modality of treatment in which patients inhale 100% oxygen through a head. Therapeutics like hyperbaric oxygen treatment, which. Vascular Dementia Oxygen Therapy.
From www.slideserve.com
PPT Vascular Dementia Treatment A Comprehensive Guide to Available Vascular Dementia Oxygen Therapy Hyperbaric oxygen therapy (hbot) is a modality of treatment in which patients inhale 100% oxygen through a head. Hyperbaric oxygen therapy improves neurogenesis and brain blood supply in piriform cortex in rats with vascular dementia. Vascular dysfunction is entwined with aging and in the pathogenesis of. Therapeutics like hyperbaric oxygen treatment, which improves tissue oxygen. Hyperbaric oxygen therapy (hbot) has. Vascular Dementia Oxygen Therapy.
From neurocogsolutions.com
Help for stroke or vascular dementia New Jersey — NeuroCog Solutions Vascular Dementia Oxygen Therapy Therapeutics like hyperbaric oxygen treatment, which improves tissue oxygen. Hyperbaric oxygen therapy improves neurogenesis and brain blood supply in piriform cortex in rats with vascular dementia. Hyperbaric oxygen therapy (hbot) as an adjuvant treatment with the curative administration of 100 % oxygen in an elevated. Hyperbaric oxygen therapy (hbot) has been used to treat a variety of conditions and has. Vascular Dementia Oxygen Therapy.
From www.vascularcures.org
Vascular Dementia The Foundation to Advance Vascular Cures Vascular Dementia Oxygen Therapy Hyperbaric oxygen therapy (hbot) has been used to treat a variety of conditions and has shown possible efficacy for. Hyperbaric oxygen therapy (hbot) as an adjuvant treatment with the curative administration of 100 % oxygen in an elevated. Vascular dysfunction is entwined with aging and in the pathogenesis of. Hyperbaric oxygen therapy improves neurogenesis and brain blood supply in piriform. Vascular Dementia Oxygen Therapy.
From www.jagrutirehab.org
What are Early Signs of Vascular Dementia? Jagruti Rehab Vascular Dementia Oxygen Therapy Hyperbaric oxygen therapy (hbot) has been used to treat a variety of conditions and has shown possible efficacy for. Hyperbaric oxygen therapy (hbot) is a modality of treatment in which patients inhale 100% oxygen through a head. Therapeutics like hyperbaric oxygen treatment, which improves tissue oxygen. Hyperbaric oxygen therapy improves neurogenesis and brain blood supply in piriform cortex in rats. Vascular Dementia Oxygen Therapy.
From www.goodreads.com
UNDERSTANDING VASCULAR DEMENTIA An insider guide to understanding the Vascular Dementia Oxygen Therapy Vascular dysfunction is entwined with aging and in the pathogenesis of. Hyperbaric oxygen therapy (hbot) has been used to treat a variety of conditions and has shown possible efficacy for. Therapeutics like hyperbaric oxygen treatment, which improves tissue oxygen. Hyperbaric oxygen therapy (hbot) as an adjuvant treatment with the curative administration of 100 % oxygen in an elevated. Hyperbaric oxygen. Vascular Dementia Oxygen Therapy.
From www.melodiacare.com
How To Keep Oxygen On A Dementia Patient Melodia Care Hospice Vascular Dementia Oxygen Therapy Hyperbaric oxygen therapy improves neurogenesis and brain blood supply in piriform cortex in rats with vascular dementia. Vascular dysfunction is entwined with aging and in the pathogenesis of. Hyperbaric oxygen therapy (hbot) is a modality of treatment in which patients inhale 100% oxygen through a head. Hyperbaric oxygen therapy (hbot) as an adjuvant treatment with the curative administration of 100. Vascular Dementia Oxygen Therapy.
From hyperbariclink.blogspot.com
O2.0 hyperbaric oxygen therapy news New on HyperbaricLink Vascular Vascular Dementia Oxygen Therapy Hyperbaric oxygen therapy (hbot) as an adjuvant treatment with the curative administration of 100 % oxygen in an elevated. Vascular dysfunction is entwined with aging and in the pathogenesis of. Hyperbaric oxygen therapy (hbot) has been used to treat a variety of conditions and has shown possible efficacy for. Hyperbaric oxygen therapy (hbot) is a modality of treatment in which. Vascular Dementia Oxygen Therapy.
From www.betteraging.com
Hyperbaric Oxygen Treatment Benefits for Vascular Dementia Patients Vascular Dementia Oxygen Therapy Hyperbaric oxygen therapy (hbot) is a modality of treatment in which patients inhale 100% oxygen through a head. Hyperbaric oxygen therapy (hbot) as an adjuvant treatment with the curative administration of 100 % oxygen in an elevated. Vascular dysfunction is entwined with aging and in the pathogenesis of. Hyperbaric oxygen therapy improves neurogenesis and brain blood supply in piriform cortex. Vascular Dementia Oxygen Therapy.
From lovinghomecareinc.com
Vascular Dementia Symptoms & Causes Loving Homecare Inc. Vascular Dementia Oxygen Therapy Hyperbaric oxygen therapy (hbot) as an adjuvant treatment with the curative administration of 100 % oxygen in an elevated. Hyperbaric oxygen therapy improves neurogenesis and brain blood supply in piriform cortex in rats with vascular dementia. Therapeutics like hyperbaric oxygen treatment, which improves tissue oxygen. Hyperbaric oxygen therapy (hbot) is a modality of treatment in which patients inhale 100% oxygen. Vascular Dementia Oxygen Therapy.
From medisearch.io
What Are The 7 Stages of Vascular Dementia? Vascular Dementia Oxygen Therapy Therapeutics like hyperbaric oxygen treatment, which improves tissue oxygen. Hyperbaric oxygen therapy (hbot) has been used to treat a variety of conditions and has shown possible efficacy for. Hyperbaric oxygen therapy improves neurogenesis and brain blood supply in piriform cortex in rats with vascular dementia. Vascular dysfunction is entwined with aging and in the pathogenesis of. Hyperbaric oxygen therapy (hbot). Vascular Dementia Oxygen Therapy.
From whentheygetolder.co.uk
What is Vascular Dementia and how to spot the early symptoms When Vascular Dementia Oxygen Therapy Hyperbaric oxygen therapy improves neurogenesis and brain blood supply in piriform cortex in rats with vascular dementia. Hyperbaric oxygen therapy (hbot) as an adjuvant treatment with the curative administration of 100 % oxygen in an elevated. Hyperbaric oxygen therapy (hbot) has been used to treat a variety of conditions and has shown possible efficacy for. Therapeutics like hyperbaric oxygen treatment,. Vascular Dementia Oxygen Therapy.
From www.happiesthealth.com
A breathless brain navigating vascular dementia Happiest Health Vascular Dementia Oxygen Therapy Hyperbaric oxygen therapy (hbot) as an adjuvant treatment with the curative administration of 100 % oxygen in an elevated. Therapeutics like hyperbaric oxygen treatment, which improves tissue oxygen. Vascular dysfunction is entwined with aging and in the pathogenesis of. Hyperbaric oxygen therapy (hbot) has been used to treat a variety of conditions and has shown possible efficacy for. Hyperbaric oxygen. Vascular Dementia Oxygen Therapy.
From neuraleffects.com
Hyperbaric Oxygen Therapy for Dementia Patients Does It Help? Vascular Dementia Oxygen Therapy Vascular dysfunction is entwined with aging and in the pathogenesis of. Therapeutics like hyperbaric oxygen treatment, which improves tissue oxygen. Hyperbaric oxygen therapy (hbot) is a modality of treatment in which patients inhale 100% oxygen through a head. Hyperbaric oxygen therapy (hbot) has been used to treat a variety of conditions and has shown possible efficacy for. Hyperbaric oxygen therapy. Vascular Dementia Oxygen Therapy.
From www.mentaldaily.com
4 Main Types of Dementia Vascular Dementia Oxygen Therapy Hyperbaric oxygen therapy (hbot) is a modality of treatment in which patients inhale 100% oxygen through a head. Hyperbaric oxygen therapy (hbot) has been used to treat a variety of conditions and has shown possible efficacy for. Vascular dysfunction is entwined with aging and in the pathogenesis of. Hyperbaric oxygen therapy (hbot) as an adjuvant treatment with the curative administration. Vascular Dementia Oxygen Therapy.
From readementia.com
Vascular Dementia Treatment and Support ReaDementia Vascular Dementia Oxygen Therapy Hyperbaric oxygen therapy (hbot) is a modality of treatment in which patients inhale 100% oxygen through a head. Hyperbaric oxygen therapy (hbot) has been used to treat a variety of conditions and has shown possible efficacy for. Hyperbaric oxygen therapy (hbot) as an adjuvant treatment with the curative administration of 100 % oxygen in an elevated. Vascular dysfunction is entwined. Vascular Dementia Oxygen Therapy.
From www.betteraging.com
Hyperbaric Oxygen Treatment Benefits for Vascular Dementia Patients Vascular Dementia Oxygen Therapy Hyperbaric oxygen therapy (hbot) has been used to treat a variety of conditions and has shown possible efficacy for. Hyperbaric oxygen therapy (hbot) is a modality of treatment in which patients inhale 100% oxygen through a head. Hyperbaric oxygen therapy (hbot) as an adjuvant treatment with the curative administration of 100 % oxygen in an elevated. Therapeutics like hyperbaric oxygen. Vascular Dementia Oxygen Therapy.
From israelnewsagency.com
New Hope For Dementia, Alzheimer's Patients Hyperbaric Oxygen Therapy Vascular Dementia Oxygen Therapy Hyperbaric oxygen therapy (hbot) is a modality of treatment in which patients inhale 100% oxygen through a head. Hyperbaric oxygen therapy improves neurogenesis and brain blood supply in piriform cortex in rats with vascular dementia. Hyperbaric oxygen therapy (hbot) as an adjuvant treatment with the curative administration of 100 % oxygen in an elevated. Hyperbaric oxygen therapy (hbot) has been. Vascular Dementia Oxygen Therapy.
From www.brightpoint-md.com
New Treatments For Vascular Dementia Discover Right Solution Vascular Dementia Oxygen Therapy Vascular dysfunction is entwined with aging and in the pathogenesis of. Hyperbaric oxygen therapy (hbot) is a modality of treatment in which patients inhale 100% oxygen through a head. Hyperbaric oxygen therapy improves neurogenesis and brain blood supply in piriform cortex in rats with vascular dementia. Hyperbaric oxygen therapy (hbot) as an adjuvant treatment with the curative administration of 100. Vascular Dementia Oxygen Therapy.
From healthjade.com
What is Vascular Dementia Symptoms, Causes, Stages & Life Expectancy Vascular Dementia Oxygen Therapy Vascular dysfunction is entwined with aging and in the pathogenesis of. Hyperbaric oxygen therapy (hbot) as an adjuvant treatment with the curative administration of 100 % oxygen in an elevated. Hyperbaric oxygen therapy improves neurogenesis and brain blood supply in piriform cortex in rats with vascular dementia. Hyperbaric oxygen therapy (hbot) has been used to treat a variety of conditions. Vascular Dementia Oxygen Therapy.
From legacyhomecarela.com
Vascular Dementia Stages Symptoms and Treatment Vascular Dementia Oxygen Therapy Vascular dysfunction is entwined with aging and in the pathogenesis of. Hyperbaric oxygen therapy (hbot) is a modality of treatment in which patients inhale 100% oxygen through a head. Therapeutics like hyperbaric oxygen treatment, which improves tissue oxygen. Hyperbaric oxygen therapy improves neurogenesis and brain blood supply in piriform cortex in rats with vascular dementia. Hyperbaric oxygen therapy (hbot) has. Vascular Dementia Oxygen Therapy.
From vascularhealthllc.com
What is Vascular Dementia? Causes and Symptoms Vascular Health Vascular Dementia Oxygen Therapy Vascular dysfunction is entwined with aging and in the pathogenesis of. Therapeutics like hyperbaric oxygen treatment, which improves tissue oxygen. Hyperbaric oxygen therapy improves neurogenesis and brain blood supply in piriform cortex in rats with vascular dementia. Hyperbaric oxygen therapy (hbot) as an adjuvant treatment with the curative administration of 100 % oxygen in an elevated. Hyperbaric oxygen therapy (hbot). Vascular Dementia Oxygen Therapy.
From www.goodreads.com
VASCULAR DEMENTIA A detailed guide on the causes, symptoms, risk Vascular Dementia Oxygen Therapy Hyperbaric oxygen therapy (hbot) is a modality of treatment in which patients inhale 100% oxygen through a head. Hyperbaric oxygen therapy (hbot) as an adjuvant treatment with the curative administration of 100 % oxygen in an elevated. Therapeutics like hyperbaric oxygen treatment, which improves tissue oxygen. Hyperbaric oxygen therapy (hbot) has been used to treat a variety of conditions and. Vascular Dementia Oxygen Therapy.
From www.betteraging.com
HBOT Growing as Supplemental Treatment for Vascular Dementia Vascular Dementia Oxygen Therapy Hyperbaric oxygen therapy (hbot) is a modality of treatment in which patients inhale 100% oxygen through a head. Hyperbaric oxygen therapy (hbot) as an adjuvant treatment with the curative administration of 100 % oxygen in an elevated. Hyperbaric oxygen therapy improves neurogenesis and brain blood supply in piriform cortex in rats with vascular dementia. Vascular dysfunction is entwined with aging. Vascular Dementia Oxygen Therapy.
From www.frontiersin.org
Frontiers MetaAnalysis on the Efficacy and Safety of Hyperbaric Vascular Dementia Oxygen Therapy Therapeutics like hyperbaric oxygen treatment, which improves tissue oxygen. Hyperbaric oxygen therapy (hbot) has been used to treat a variety of conditions and has shown possible efficacy for. Hyperbaric oxygen therapy (hbot) is a modality of treatment in which patients inhale 100% oxygen through a head. Vascular dysfunction is entwined with aging and in the pathogenesis of. Hyperbaric oxygen therapy. Vascular Dementia Oxygen Therapy.
From www.youtube.com
Everything you need to know about vascular dementia YouTube Vascular Dementia Oxygen Therapy Vascular dysfunction is entwined with aging and in the pathogenesis of. Therapeutics like hyperbaric oxygen treatment, which improves tissue oxygen. Hyperbaric oxygen therapy improves neurogenesis and brain blood supply in piriform cortex in rats with vascular dementia. Hyperbaric oxygen therapy (hbot) has been used to treat a variety of conditions and has shown possible efficacy for. Hyperbaric oxygen therapy (hbot). Vascular Dementia Oxygen Therapy.
From www.njmemorycenter.com
What is Vascular Dementia? Vascular Dementia Oxygen Therapy Therapeutics like hyperbaric oxygen treatment, which improves tissue oxygen. Vascular dysfunction is entwined with aging and in the pathogenesis of. Hyperbaric oxygen therapy (hbot) has been used to treat a variety of conditions and has shown possible efficacy for. Hyperbaric oxygen therapy improves neurogenesis and brain blood supply in piriform cortex in rats with vascular dementia. Hyperbaric oxygen therapy (hbot). Vascular Dementia Oxygen Therapy.
From lovinghomecareinc.com
Navigating the Stages of Vascular Dementia Causes, Symptoms, and Care Vascular Dementia Oxygen Therapy Hyperbaric oxygen therapy improves neurogenesis and brain blood supply in piriform cortex in rats with vascular dementia. Hyperbaric oxygen therapy (hbot) has been used to treat a variety of conditions and has shown possible efficacy for. Hyperbaric oxygen therapy (hbot) is a modality of treatment in which patients inhale 100% oxygen through a head. Vascular dysfunction is entwined with aging. Vascular Dementia Oxygen Therapy.
From www.goodreads.com
VASCULAR DEMENTIA SOLUTION The Concise Guide on How To Treat and Vascular Dementia Oxygen Therapy Hyperbaric oxygen therapy (hbot) as an adjuvant treatment with the curative administration of 100 % oxygen in an elevated. Hyperbaric oxygen therapy improves neurogenesis and brain blood supply in piriform cortex in rats with vascular dementia. Hyperbaric oxygen therapy (hbot) is a modality of treatment in which patients inhale 100% oxygen through a head. Hyperbaric oxygen therapy (hbot) has been. Vascular Dementia Oxygen Therapy.
From pennmemorycenter.org
Vascular dementia Penn Memory Center Vascular Dementia Oxygen Therapy Hyperbaric oxygen therapy (hbot) is a modality of treatment in which patients inhale 100% oxygen through a head. Vascular dysfunction is entwined with aging and in the pathogenesis of. Therapeutics like hyperbaric oxygen treatment, which improves tissue oxygen. Hyperbaric oxygen therapy (hbot) has been used to treat a variety of conditions and has shown possible efficacy for. Hyperbaric oxygen therapy. Vascular Dementia Oxygen Therapy.
From www.verywellhealth.com
Vascular Dementia Overview and More Vascular Dementia Oxygen Therapy Hyperbaric oxygen therapy (hbot) as an adjuvant treatment with the curative administration of 100 % oxygen in an elevated. Hyperbaric oxygen therapy (hbot) is a modality of treatment in which patients inhale 100% oxygen through a head. Vascular dysfunction is entwined with aging and in the pathogenesis of. Therapeutics like hyperbaric oxygen treatment, which improves tissue oxygen. Hyperbaric oxygen therapy. Vascular Dementia Oxygen Therapy.
From www.frontiersin.org
Frontiers Integrative Role of Hyperbaric Oxygen Therapy on Healthspan Vascular Dementia Oxygen Therapy Hyperbaric oxygen therapy (hbot) as an adjuvant treatment with the curative administration of 100 % oxygen in an elevated. Vascular dysfunction is entwined with aging and in the pathogenesis of. Hyperbaric oxygen therapy improves neurogenesis and brain blood supply in piriform cortex in rats with vascular dementia. Hyperbaric oxygen therapy (hbot) is a modality of treatment in which patients inhale. Vascular Dementia Oxygen Therapy.