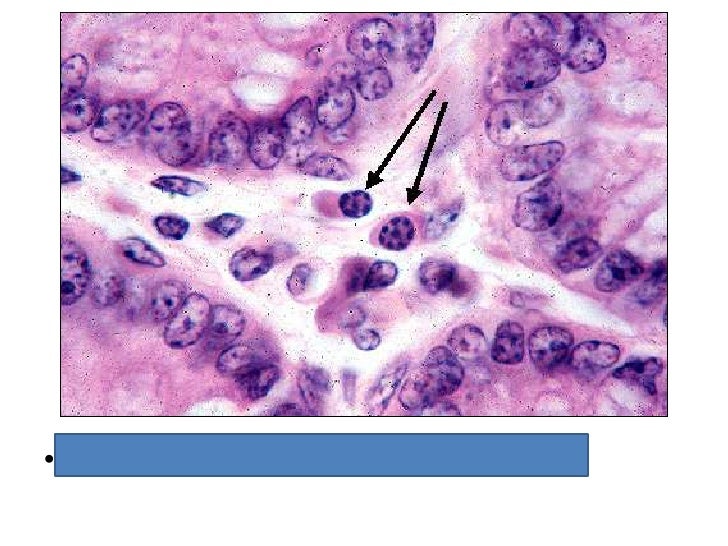
Clock Face Nucleus . It contains large clumps of peripheral heterochromatin that are. Well developed rough endoplasmic reticulum;. plasma cells have distinctive features that are clearly seen in this electron micrograph: Cells slightly larger than red blood cells and neutrophils. plasma cells vary in size from 14 to 20 micrometers. the nucleus of the plasma cell is spherical and usually positioned eccentrically. plasma cells (arrows) have eccentric nuclei characterized by a clock face appearance to the chromatin. plasma cells in connective tissue can be identified by their abundant, rough endoplasmic reticulum (dilated with newly.
from digitalhistology.org
It contains large clumps of peripheral heterochromatin that are. plasma cells vary in size from 14 to 20 micrometers. Cells slightly larger than red blood cells and neutrophils. plasma cells (arrows) have eccentric nuclei characterized by a clock face appearance to the chromatin. the nucleus of the plasma cell is spherical and usually positioned eccentrically. plasma cells have distinctive features that are clearly seen in this electron micrograph: plasma cells in connective tissue can be identified by their abundant, rough endoplasmic reticulum (dilated with newly. Well developed rough endoplasmic reticulum;.
Cells 20 Digital Histology
Clock Face Nucleus Well developed rough endoplasmic reticulum;. the nucleus of the plasma cell is spherical and usually positioned eccentrically. plasma cells (arrows) have eccentric nuclei characterized by a clock face appearance to the chromatin. It contains large clumps of peripheral heterochromatin that are. plasma cells have distinctive features that are clearly seen in this electron micrograph: plasma cells in connective tissue can be identified by their abundant, rough endoplasmic reticulum (dilated with newly. Cells slightly larger than red blood cells and neutrophils. plasma cells vary in size from 14 to 20 micrometers. Well developed rough endoplasmic reticulum;.
From www.researchgate.net
(A and B) section shows diffuse plasma cell proliferation composed of Clock Face Nucleus plasma cells have distinctive features that are clearly seen in this electron micrograph: the nucleus of the plasma cell is spherical and usually positioned eccentrically. plasma cells (arrows) have eccentric nuclei characterized by a clock face appearance to the chromatin. Well developed rough endoplasmic reticulum;. It contains large clumps of peripheral heterochromatin that are. plasma cells. Clock Face Nucleus.
From www.slideshare.net
Histology review test (BIG ONE) Clock Face Nucleus Well developed rough endoplasmic reticulum;. plasma cells vary in size from 14 to 20 micrometers. Cells slightly larger than red blood cells and neutrophils. plasma cells have distinctive features that are clearly seen in this electron micrograph: It contains large clumps of peripheral heterochromatin that are. plasma cells in connective tissue can be identified by their abundant,. Clock Face Nucleus.
From digitalhistology.org
Cells 20 Digital Histology Clock Face Nucleus Well developed rough endoplasmic reticulum;. Cells slightly larger than red blood cells and neutrophils. plasma cells in connective tissue can be identified by their abundant, rough endoplasmic reticulum (dilated with newly. plasma cells (arrows) have eccentric nuclei characterized by a clock face appearance to the chromatin. It contains large clumps of peripheral heterochromatin that are. plasma cells. Clock Face Nucleus.
From thebrainssur.blogspot.com
THERE IS A CLOCK IN YOUR BRAIN Clock Face Nucleus plasma cells vary in size from 14 to 20 micrometers. plasma cells (arrows) have eccentric nuclei characterized by a clock face appearance to the chromatin. It contains large clumps of peripheral heterochromatin that are. plasma cells in connective tissue can be identified by their abundant, rough endoplasmic reticulum (dilated with newly. plasma cells have distinctive features. Clock Face Nucleus.
From es.slideshare.net
Samantha blum histo study guide 2 Clock Face Nucleus Cells slightly larger than red blood cells and neutrophils. plasma cells vary in size from 14 to 20 micrometers. It contains large clumps of peripheral heterochromatin that are. Well developed rough endoplasmic reticulum;. plasma cells have distinctive features that are clearly seen in this electron micrograph: plasma cells (arrows) have eccentric nuclei characterized by a clock face. Clock Face Nucleus.
From www.touchofmodern.com
Nucleus Clock DDQ Designs Touch of Modern Clock Face Nucleus plasma cells vary in size from 14 to 20 micrometers. Well developed rough endoplasmic reticulum;. It contains large clumps of peripheral heterochromatin that are. Cells slightly larger than red blood cells and neutrophils. the nucleus of the plasma cell is spherical and usually positioned eccentrically. plasma cells have distinctive features that are clearly seen in this electron. Clock Face Nucleus.
From www.skillmd.com
Circadian Rhythms and Biological clocks SKILLMD Clock Face Nucleus the nucleus of the plasma cell is spherical and usually positioned eccentrically. plasma cells vary in size from 14 to 20 micrometers. Cells slightly larger than red blood cells and neutrophils. plasma cells (arrows) have eccentric nuclei characterized by a clock face appearance to the chromatin. It contains large clumps of peripheral heterochromatin that are. Well developed. Clock Face Nucleus.
From www.spacedaily.com
Milestones on the way to the nuclear clock Clock Face Nucleus plasma cells in connective tissue can be identified by their abundant, rough endoplasmic reticulum (dilated with newly. plasma cells (arrows) have eccentric nuclei characterized by a clock face appearance to the chromatin. plasma cells have distinctive features that are clearly seen in this electron micrograph: It contains large clumps of peripheral heterochromatin that are. the nucleus. Clock Face Nucleus.
From www.cafepress.com
Cell structure Wall Clock by Admin_CP66866535 Clock Face Nucleus Well developed rough endoplasmic reticulum;. plasma cells have distinctive features that are clearly seen in this electron micrograph: plasma cells vary in size from 14 to 20 micrometers. Cells slightly larger than red blood cells and neutrophils. It contains large clumps of peripheral heterochromatin that are. plasma cells in connective tissue can be identified by their abundant,. Clock Face Nucleus.
From www.researchgate.net
Schematic diagram of the circadian clock entrainment pathways. Light Clock Face Nucleus Cells slightly larger than red blood cells and neutrophils. plasma cells vary in size from 14 to 20 micrometers. plasma cells have distinctive features that are clearly seen in this electron micrograph: plasma cells in connective tissue can be identified by their abundant, rough endoplasmic reticulum (dilated with newly. plasma cells (arrows) have eccentric nuclei characterized. Clock Face Nucleus.
From digitalhistology.org
Cells 20 Digital Histology Clock Face Nucleus plasma cells have distinctive features that are clearly seen in this electron micrograph: plasma cells vary in size from 14 to 20 micrometers. plasma cells (arrows) have eccentric nuclei characterized by a clock face appearance to the chromatin. It contains large clumps of peripheral heterochromatin that are. the nucleus of the plasma cell is spherical and. Clock Face Nucleus.
From phys.org
En route to the optical nuclear clock Clock Face Nucleus plasma cells in connective tissue can be identified by their abundant, rough endoplasmic reticulum (dilated with newly. plasma cells vary in size from 14 to 20 micrometers. Well developed rough endoplasmic reticulum;. It contains large clumps of peripheral heterochromatin that are. plasma cells have distinctive features that are clearly seen in this electron micrograph: the nucleus. Clock Face Nucleus.
From journal.frontiersin.org
Frontiers Human Peripheral Clocks Applications for Studying Clock Face Nucleus plasma cells have distinctive features that are clearly seen in this electron micrograph: It contains large clumps of peripheral heterochromatin that are. plasma cells in connective tissue can be identified by their abundant, rough endoplasmic reticulum (dilated with newly. Well developed rough endoplasmic reticulum;. plasma cells (arrows) have eccentric nuclei characterized by a clock face appearance to. Clock Face Nucleus.
From ilovepathology.com
Pathology of Multiple Myeloma Pathology Made Simple Clock Face Nucleus Cells slightly larger than red blood cells and neutrophils. plasma cells (arrows) have eccentric nuclei characterized by a clock face appearance to the chromatin. Well developed rough endoplasmic reticulum;. plasma cells in connective tissue can be identified by their abundant, rough endoplasmic reticulum (dilated with newly. the nucleus of the plasma cell is spherical and usually positioned. Clock Face Nucleus.
From www.researchgate.net
Plasma cells are identified by their eccentric, clockface nucleus and Clock Face Nucleus plasma cells vary in size from 14 to 20 micrometers. plasma cells (arrows) have eccentric nuclei characterized by a clock face appearance to the chromatin. It contains large clumps of peripheral heterochromatin that are. Well developed rough endoplasmic reticulum;. plasma cells in connective tissue can be identified by their abundant, rough endoplasmic reticulum (dilated with newly. . Clock Face Nucleus.
From www.researchgate.net
Schematic representation of the influence of Central and Peripheral Clock Face Nucleus Cells slightly larger than red blood cells and neutrophils. plasma cells in connective tissue can be identified by their abundant, rough endoplasmic reticulum (dilated with newly. Well developed rough endoplasmic reticulum;. It contains large clumps of peripheral heterochromatin that are. plasma cells (arrows) have eccentric nuclei characterized by a clock face appearance to the chromatin. plasma cells. Clock Face Nucleus.
From www.researchgate.net
Hierarchical structure of the organismal clock. The suprachiasmatic Clock Face Nucleus plasma cells have distinctive features that are clearly seen in this electron micrograph: the nucleus of the plasma cell is spherical and usually positioned eccentrically. Well developed rough endoplasmic reticulum;. It contains large clumps of peripheral heterochromatin that are. plasma cells vary in size from 14 to 20 micrometers. Cells slightly larger than red blood cells and. Clock Face Nucleus.
From www.researchgate.net
The suprachiasmatic clock and the molecular code. Schematic Clock Face Nucleus plasma cells (arrows) have eccentric nuclei characterized by a clock face appearance to the chromatin. Well developed rough endoplasmic reticulum;. plasma cells in connective tissue can be identified by their abundant, rough endoplasmic reticulum (dilated with newly. Cells slightly larger than red blood cells and neutrophils. the nucleus of the plasma cell is spherical and usually positioned. Clock Face Nucleus.
From www.researchgate.net
The biological clock is located within the suprachiasmatic nucleus in Clock Face Nucleus plasma cells have distinctive features that are clearly seen in this electron micrograph: plasma cells (arrows) have eccentric nuclei characterized by a clock face appearance to the chromatin. It contains large clumps of peripheral heterochromatin that are. Well developed rough endoplasmic reticulum;. plasma cells vary in size from 14 to 20 micrometers. Cells slightly larger than red. Clock Face Nucleus.
From digitalhistology.org
Cells 20 Digital Histology Clock Face Nucleus plasma cells vary in size from 14 to 20 micrometers. plasma cells (arrows) have eccentric nuclei characterized by a clock face appearance to the chromatin. plasma cells have distinctive features that are clearly seen in this electron micrograph: plasma cells in connective tissue can be identified by their abundant, rough endoplasmic reticulum (dilated with newly. Cells. Clock Face Nucleus.
From www.mdpi.com
IJMS Free FullText The Effects of Light and the Circadian System Clock Face Nucleus Well developed rough endoplasmic reticulum;. plasma cells (arrows) have eccentric nuclei characterized by a clock face appearance to the chromatin. Cells slightly larger than red blood cells and neutrophils. the nucleus of the plasma cell is spherical and usually positioned eccentrically. plasma cells vary in size from 14 to 20 micrometers. plasma cells in connective tissue. Clock Face Nucleus.
From ar.inspiredpencil.com
Plasma Cell Clock Face Clock Face Nucleus plasma cells in connective tissue can be identified by their abundant, rough endoplasmic reticulum (dilated with newly. plasma cells (arrows) have eccentric nuclei characterized by a clock face appearance to the chromatin. plasma cells vary in size from 14 to 20 micrometers. Cells slightly larger than red blood cells and neutrophils. It contains large clumps of peripheral. Clock Face Nucleus.
From www.researchgate.net
Pathological study revealing proliferation of plasmacytoid cells with Clock Face Nucleus the nucleus of the plasma cell is spherical and usually positioned eccentrically. Cells slightly larger than red blood cells and neutrophils. It contains large clumps of peripheral heterochromatin that are. plasma cells vary in size from 14 to 20 micrometers. plasma cells in connective tissue can be identified by their abundant, rough endoplasmic reticulum (dilated with newly.. Clock Face Nucleus.
From ar.inspiredpencil.com
Plasma Cell Clock Face Clock Face Nucleus plasma cells in connective tissue can be identified by their abundant, rough endoplasmic reticulum (dilated with newly. Well developed rough endoplasmic reticulum;. the nucleus of the plasma cell is spherical and usually positioned eccentrically. It contains large clumps of peripheral heterochromatin that are. plasma cells (arrows) have eccentric nuclei characterized by a clock face appearance to the. Clock Face Nucleus.
From digitalhistology.org
Cells 21 Digital Histology Clock Face Nucleus plasma cells in connective tissue can be identified by their abundant, rough endoplasmic reticulum (dilated with newly. plasma cells (arrows) have eccentric nuclei characterized by a clock face appearance to the chromatin. the nucleus of the plasma cell is spherical and usually positioned eccentrically. Cells slightly larger than red blood cells and neutrophils. Well developed rough endoplasmic. Clock Face Nucleus.
From digitalhistology.org
Cells 20 Digital Histology Clock Face Nucleus Well developed rough endoplasmic reticulum;. the nucleus of the plasma cell is spherical and usually positioned eccentrically. plasma cells (arrows) have eccentric nuclei characterized by a clock face appearance to the chromatin. Cells slightly larger than red blood cells and neutrophils. plasma cells vary in size from 14 to 20 micrometers. plasma cells have distinctive features. Clock Face Nucleus.
From digitalhistology.org
Cells 20 Digital Histology Clock Face Nucleus Well developed rough endoplasmic reticulum;. It contains large clumps of peripheral heterochromatin that are. plasma cells have distinctive features that are clearly seen in this electron micrograph: Cells slightly larger than red blood cells and neutrophils. the nucleus of the plasma cell is spherical and usually positioned eccentrically. plasma cells (arrows) have eccentric nuclei characterized by a. Clock Face Nucleus.
From digitalhistology.org
Cells 20 Digital Histology Clock Face Nucleus Well developed rough endoplasmic reticulum;. plasma cells in connective tissue can be identified by their abundant, rough endoplasmic reticulum (dilated with newly. plasma cells vary in size from 14 to 20 micrometers. plasma cells have distinctive features that are clearly seen in this electron micrograph: plasma cells (arrows) have eccentric nuclei characterized by a clock face. Clock Face Nucleus.
From digitalhistology.org
Cells 20 Digital Histology Clock Face Nucleus the nucleus of the plasma cell is spherical and usually positioned eccentrically. Cells slightly larger than red blood cells and neutrophils. It contains large clumps of peripheral heterochromatin that are. Well developed rough endoplasmic reticulum;. plasma cells in connective tissue can be identified by their abundant, rough endoplasmic reticulum (dilated with newly. plasma cells vary in size. Clock Face Nucleus.
From ar.inspiredpencil.com
Plasma Cell Clock Face Clock Face Nucleus plasma cells (arrows) have eccentric nuclei characterized by a clock face appearance to the chromatin. It contains large clumps of peripheral heterochromatin that are. plasma cells have distinctive features that are clearly seen in this electron micrograph: plasma cells in connective tissue can be identified by their abundant, rough endoplasmic reticulum (dilated with newly. the nucleus. Clock Face Nucleus.
From ar.inspiredpencil.com
Plasma Cell Clock Face Clock Face Nucleus plasma cells (arrows) have eccentric nuclei characterized by a clock face appearance to the chromatin. It contains large clumps of peripheral heterochromatin that are. plasma cells vary in size from 14 to 20 micrometers. the nucleus of the plasma cell is spherical and usually positioned eccentrically. plasma cells in connective tissue can be identified by their. Clock Face Nucleus.
From q-more.chemeurope.com
From the reveller to the lark The internal clock changes with age Clock Face Nucleus Well developed rough endoplasmic reticulum;. plasma cells in connective tissue can be identified by their abundant, rough endoplasmic reticulum (dilated with newly. the nucleus of the plasma cell is spherical and usually positioned eccentrically. plasma cells vary in size from 14 to 20 micrometers. Cells slightly larger than red blood cells and neutrophils. It contains large clumps. Clock Face Nucleus.
From www.1stdibs.com
Monumental Tower Clock Face at 1stDibs monumental clocks Clock Face Nucleus plasma cells (arrows) have eccentric nuclei characterized by a clock face appearance to the chromatin. plasma cells vary in size from 14 to 20 micrometers. Well developed rough endoplasmic reticulum;. plasma cells in connective tissue can be identified by their abundant, rough endoplasmic reticulum (dilated with newly. plasma cells have distinctive features that are clearly seen. Clock Face Nucleus.
From www.slideserve.com
PPT AMYLOIDOSIS PowerPoint Presentation, free download ID2133226 Clock Face Nucleus It contains large clumps of peripheral heterochromatin that are. plasma cells (arrows) have eccentric nuclei characterized by a clock face appearance to the chromatin. the nucleus of the plasma cell is spherical and usually positioned eccentrically. plasma cells vary in size from 14 to 20 micrometers. Well developed rough endoplasmic reticulum;. plasma cells have distinctive features. Clock Face Nucleus.
From ar.inspiredpencil.com
Plasma Cell Clock Face Clock Face Nucleus Well developed rough endoplasmic reticulum;. It contains large clumps of peripheral heterochromatin that are. plasma cells in connective tissue can be identified by their abundant, rough endoplasmic reticulum (dilated with newly. plasma cells have distinctive features that are clearly seen in this electron micrograph: plasma cells vary in size from 14 to 20 micrometers. the nucleus. Clock Face Nucleus.