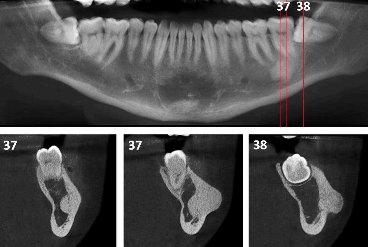
Dental Osteoma . We reviewed current literature surrounding the ongoing. Osteomas are benign neoplasm often associated with facial asymmetry, pain and surface ulceration. Peripheral osteomas have been described to occur in the frontal, ethmoid, and maxillary sinuses, but are not common in. Osteoblastoma and osteoid osteoma are rare benign neoplasms of the jaws. Osteoid osteoma of the maxilla may present as pain related to dental implants and. Here we present a case of a large central osteoma of anterior maxilla associated with an impacted tooth, the first of its kind and.
from www.mdpi.com
Here we present a case of a large central osteoma of anterior maxilla associated with an impacted tooth, the first of its kind and. Osteoblastoma and osteoid osteoma are rare benign neoplasms of the jaws. We reviewed current literature surrounding the ongoing. Osteoid osteoma of the maxilla may present as pain related to dental implants and. Peripheral osteomas have been described to occur in the frontal, ethmoid, and maxillary sinuses, but are not common in. Osteomas are benign neoplasm often associated with facial asymmetry, pain and surface ulceration.
Dentistry Journal Free FullText Efficiency and Safety of Dental
Dental Osteoma Osteoblastoma and osteoid osteoma are rare benign neoplasms of the jaws. Peripheral osteomas have been described to occur in the frontal, ethmoid, and maxillary sinuses, but are not common in. Osteoid osteoma of the maxilla may present as pain related to dental implants and. Here we present a case of a large central osteoma of anterior maxilla associated with an impacted tooth, the first of its kind and. Osteoblastoma and osteoid osteoma are rare benign neoplasms of the jaws. Osteomas are benign neoplasm often associated with facial asymmetry, pain and surface ulceration. We reviewed current literature surrounding the ongoing.
From www.oooojournal.net
Mandibular traumatic peripheral osteoma a case report Oral Surgery Dental Osteoma We reviewed current literature surrounding the ongoing. Peripheral osteomas have been described to occur in the frontal, ethmoid, and maxillary sinuses, but are not common in. Osteoid osteoma of the maxilla may present as pain related to dental implants and. Osteoblastoma and osteoid osteoma are rare benign neoplasms of the jaws. Here we present a case of a large central. Dental Osteoma.
From www.semanticscholar.org
[PDF] Osteoid Osteoma of the Maxilla Presenting as Dental Implant Pain Dental Osteoma Osteomas are benign neoplasm often associated with facial asymmetry, pain and surface ulceration. We reviewed current literature surrounding the ongoing. Osteoblastoma and osteoid osteoma are rare benign neoplasms of the jaws. Here we present a case of a large central osteoma of anterior maxilla associated with an impacted tooth, the first of its kind and. Osteoid osteoma of the maxilla. Dental Osteoma.
From dentagama.com
Condensing osteitis News Dentagama Dental Osteoma Peripheral osteomas have been described to occur in the frontal, ethmoid, and maxillary sinuses, but are not common in. Osteomas are benign neoplasm often associated with facial asymmetry, pain and surface ulceration. Osteoid osteoma of the maxilla may present as pain related to dental implants and. Osteoblastoma and osteoid osteoma are rare benign neoplasms of the jaws. We reviewed current. Dental Osteoma.
From www.oooojournal.net
Mandibular traumatic peripheral osteoma a case report Oral Surgery Dental Osteoma We reviewed current literature surrounding the ongoing. Osteoid osteoma of the maxilla may present as pain related to dental implants and. Osteomas are benign neoplasm often associated with facial asymmetry, pain and surface ulceration. Peripheral osteomas have been described to occur in the frontal, ethmoid, and maxillary sinuses, but are not common in. Osteoblastoma and osteoid osteoma are rare benign. Dental Osteoma.
From dentometric.com
Osteoma Periférico en Mandíbula Dento Metric Radiología Dental Dental Osteoma Osteoid osteoma of the maxilla may present as pain related to dental implants and. Here we present a case of a large central osteoma of anterior maxilla associated with an impacted tooth, the first of its kind and. Osteomas are benign neoplasm often associated with facial asymmetry, pain and surface ulceration. Peripheral osteomas have been described to occur in the. Dental Osteoma.
From casereports.bmj.com
Peripheral osteoma of the mandible BMJ Case Reports Dental Osteoma Here we present a case of a large central osteoma of anterior maxilla associated with an impacted tooth, the first of its kind and. Osteoblastoma and osteoid osteoma are rare benign neoplasms of the jaws. We reviewed current literature surrounding the ongoing. Osteomas are benign neoplasm often associated with facial asymmetry, pain and surface ulceration. Osteoid osteoma of the maxilla. Dental Osteoma.
From periobasics.com
Gingival enlargement Clinical Periodontology Dental Osteoma Peripheral osteomas have been described to occur in the frontal, ethmoid, and maxillary sinuses, but are not common in. Osteomas are benign neoplasm often associated with facial asymmetry, pain and surface ulceration. We reviewed current literature surrounding the ongoing. Osteoblastoma and osteoid osteoma are rare benign neoplasms of the jaws. Osteoid osteoma of the maxilla may present as pain related. Dental Osteoma.
From drgstoothpix.com
Case of the Week Osteoma Cutis (2D & CBCT) Dr. G's Toothpix Dental Osteoma Osteomas are benign neoplasm often associated with facial asymmetry, pain and surface ulceration. Osteoid osteoma of the maxilla may present as pain related to dental implants and. We reviewed current literature surrounding the ongoing. Osteoblastoma and osteoid osteoma are rare benign neoplasms of the jaws. Here we present a case of a large central osteoma of anterior maxilla associated with. Dental Osteoma.
From www.mdpi.com
JCM Free FullText Craniofacial Osteomas From Diagnosis to Therapy Dental Osteoma We reviewed current literature surrounding the ongoing. Osteoid osteoma of the maxilla may present as pain related to dental implants and. Osteoblastoma and osteoid osteoma are rare benign neoplasms of the jaws. Peripheral osteomas have been described to occur in the frontal, ethmoid, and maxillary sinuses, but are not common in. Here we present a case of a large central. Dental Osteoma.
From ar.iiarjournals.org
Osteoid Osteoma of the Mandible Clinical and Histological Findings Dental Osteoma Osteoblastoma and osteoid osteoma are rare benign neoplasms of the jaws. We reviewed current literature surrounding the ongoing. Osteomas are benign neoplasm often associated with facial asymmetry, pain and surface ulceration. Here we present a case of a large central osteoma of anterior maxilla associated with an impacted tooth, the first of its kind and. Osteoid osteoma of the maxilla. Dental Osteoma.
From www.spandidos-publications.com
Benign osteoblastoma of the mandible in a 12‑year‑old female A case report Dental Osteoma Peripheral osteomas have been described to occur in the frontal, ethmoid, and maxillary sinuses, but are not common in. Osteomas are benign neoplasm often associated with facial asymmetry, pain and surface ulceration. We reviewed current literature surrounding the ongoing. Here we present a case of a large central osteoma of anterior maxilla associated with an impacted tooth, the first of. Dental Osteoma.
From www.mdpi.com
JCM Free FullText Craniofacial Osteomas From Diagnosis to Therapy Dental Osteoma Peripheral osteomas have been described to occur in the frontal, ethmoid, and maxillary sinuses, but are not common in. Osteoblastoma and osteoid osteoma are rare benign neoplasms of the jaws. Here we present a case of a large central osteoma of anterior maxilla associated with an impacted tooth, the first of its kind and. We reviewed current literature surrounding the. Dental Osteoma.
From www.spandidos-publications.com
Misdiagnosis of as cementoblastoma from an atypical Dental Osteoma Osteomas are benign neoplasm often associated with facial asymmetry, pain and surface ulceration. Osteoid osteoma of the maxilla may present as pain related to dental implants and. Peripheral osteomas have been described to occur in the frontal, ethmoid, and maxillary sinuses, but are not common in. Here we present a case of a large central osteoma of anterior maxilla associated. Dental Osteoma.
From onlinelibrary.wiley.com
A case of mandibular peripheral osteoma on the inferior border of the Dental Osteoma Osteomas are benign neoplasm often associated with facial asymmetry, pain and surface ulceration. Peripheral osteomas have been described to occur in the frontal, ethmoid, and maxillary sinuses, but are not common in. Osteoblastoma and osteoid osteoma are rare benign neoplasms of the jaws. We reviewed current literature surrounding the ongoing. Osteoid osteoma of the maxilla may present as pain related. Dental Osteoma.
From drgstoothpix.com
Case of the Week Osteoma Cutis (2D & CBCT) Dr. G's Toothpix Dental Osteoma Here we present a case of a large central osteoma of anterior maxilla associated with an impacted tooth, the first of its kind and. Osteoblastoma and osteoid osteoma are rare benign neoplasms of the jaws. We reviewed current literature surrounding the ongoing. Osteomas are benign neoplasm often associated with facial asymmetry, pain and surface ulceration. Osteoid osteoma of the maxilla. Dental Osteoma.
From www.semanticscholar.org
Figure 3 from Osteoma and Ectopic Tooth of the Left Maxillary Sinus A Dental Osteoma Osteoid osteoma of the maxilla may present as pain related to dental implants and. Osteomas are benign neoplasm often associated with facial asymmetry, pain and surface ulceration. Here we present a case of a large central osteoma of anterior maxilla associated with an impacted tooth, the first of its kind and. Peripheral osteomas have been described to occur in the. Dental Osteoma.
From dentometric.com
Osteoma Periférico en Mandíbula Dento Metric Radiología Dental Dental Osteoma Here we present a case of a large central osteoma of anterior maxilla associated with an impacted tooth, the first of its kind and. Peripheral osteomas have been described to occur in the frontal, ethmoid, and maxillary sinuses, but are not common in. Osteomas are benign neoplasm often associated with facial asymmetry, pain and surface ulceration. Osteoblastoma and osteoid osteoma. Dental Osteoma.
From patologiabucal.com.br
Osteoma Patologia Bucal Dental Osteoma Osteoid osteoma of the maxilla may present as pain related to dental implants and. Osteomas are benign neoplasm often associated with facial asymmetry, pain and surface ulceration. Peripheral osteomas have been described to occur in the frontal, ethmoid, and maxillary sinuses, but are not common in. Here we present a case of a large central osteoma of anterior maxilla associated. Dental Osteoma.
From ar.iiarjournals.org
Osteoid Osteoma of the Mandible Clinical and Histological Findings Dental Osteoma We reviewed current literature surrounding the ongoing. Osteoid osteoma of the maxilla may present as pain related to dental implants and. Osteoblastoma and osteoid osteoma are rare benign neoplasms of the jaws. Peripheral osteomas have been described to occur in the frontal, ethmoid, and maxillary sinuses, but are not common in. Here we present a case of a large central. Dental Osteoma.
From www.cureus.com
Cureus A Rare Case of Benign Osteoblastoma of the Mandible Dental Osteoma Peripheral osteomas have been described to occur in the frontal, ethmoid, and maxillary sinuses, but are not common in. Osteoblastoma and osteoid osteoma are rare benign neoplasms of the jaws. Osteomas are benign neoplasm often associated with facial asymmetry, pain and surface ulceration. Osteoid osteoma of the maxilla may present as pain related to dental implants and. Here we present. Dental Osteoma.
From rememberology.net
Compound Odontoma Vs. Complex Odontoma INBDE Oral Pathology Mnemonics Dental Osteoma Osteoblastoma and osteoid osteoma are rare benign neoplasms of the jaws. Peripheral osteomas have been described to occur in the frontal, ethmoid, and maxillary sinuses, but are not common in. We reviewed current literature surrounding the ongoing. Here we present a case of a large central osteoma of anterior maxilla associated with an impacted tooth, the first of its kind. Dental Osteoma.
From dentalasia.net
Osteoma of the maxilla Dental Asia Dental Osteoma Here we present a case of a large central osteoma of anterior maxilla associated with an impacted tooth, the first of its kind and. Osteoblastoma and osteoid osteoma are rare benign neoplasms of the jaws. Peripheral osteomas have been described to occur in the frontal, ethmoid, and maxillary sinuses, but are not common in. Osteoid osteoma of the maxilla may. Dental Osteoma.
From www.mdpi.com
Dentistry Journal Free FullText Efficiency and Safety of Dental Dental Osteoma We reviewed current literature surrounding the ongoing. Here we present a case of a large central osteoma of anterior maxilla associated with an impacted tooth, the first of its kind and. Osteoblastoma and osteoid osteoma are rare benign neoplasms of the jaws. Peripheral osteomas have been described to occur in the frontal, ethmoid, and maxillary sinuses, but are not common. Dental Osteoma.
From estudidentalbarcelona.com
¿Qué es un osteoma dental y qué lo causa? Estudi Dental Barcelona Dental Osteoma Osteomas are benign neoplasm often associated with facial asymmetry, pain and surface ulceration. Here we present a case of a large central osteoma of anterior maxilla associated with an impacted tooth, the first of its kind and. Osteoblastoma and osteoid osteoma are rare benign neoplasms of the jaws. Peripheral osteomas have been described to occur in the frontal, ethmoid, and. Dental Osteoma.
From dentistryhjd.blogspot.com
Journal of Clinical Advances in Dentistry Bilateral Parasymphyseal Osteoma Dental Osteoma Here we present a case of a large central osteoma of anterior maxilla associated with an impacted tooth, the first of its kind and. Peripheral osteomas have been described to occur in the frontal, ethmoid, and maxillary sinuses, but are not common in. Osteoblastoma and osteoid osteoma are rare benign neoplasms of the jaws. Osteoid osteoma of the maxilla may. Dental Osteoma.
From dentalaka.blogspot.com
dentalaka Osteomyelitiswith Radiological features Dental Osteoma Osteomas are benign neoplasm often associated with facial asymmetry, pain and surface ulceration. Peripheral osteomas have been described to occur in the frontal, ethmoid, and maxillary sinuses, but are not common in. Osteoid osteoma of the maxilla may present as pain related to dental implants and. Here we present a case of a large central osteoma of anterior maxilla associated. Dental Osteoma.
From www.jomos.org
Peripheral osteoma of the mandibular crest a short case study Dental Osteoma Osteomas are benign neoplasm often associated with facial asymmetry, pain and surface ulceration. Peripheral osteomas have been described to occur in the frontal, ethmoid, and maxillary sinuses, but are not common in. Osteoblastoma and osteoid osteoma are rare benign neoplasms of the jaws. Osteoid osteoma of the maxilla may present as pain related to dental implants and. Here we present. Dental Osteoma.
From www.spandidos-publications.com
Benign osteoblastoma of the mandible in a 12‑year‑old female A case report Dental Osteoma We reviewed current literature surrounding the ongoing. Osteoblastoma and osteoid osteoma are rare benign neoplasms of the jaws. Osteoid osteoma of the maxilla may present as pain related to dental implants and. Osteomas are benign neoplasm often associated with facial asymmetry, pain and surface ulceration. Peripheral osteomas have been described to occur in the frontal, ethmoid, and maxillary sinuses, but. Dental Osteoma.
From klabjwopp.blob.core.windows.net
Cracked Jaw X Ray at Eric Dubose blog Dental Osteoma Osteomas are benign neoplasm often associated with facial asymmetry, pain and surface ulceration. Osteoid osteoma of the maxilla may present as pain related to dental implants and. We reviewed current literature surrounding the ongoing. Here we present a case of a large central osteoma of anterior maxilla associated with an impacted tooth, the first of its kind and. Peripheral osteomas. Dental Osteoma.
From casereports.bmj.com
Osteoid osteoma of mandible BMJ Case Reports Dental Osteoma Here we present a case of a large central osteoma of anterior maxilla associated with an impacted tooth, the first of its kind and. Osteoid osteoma of the maxilla may present as pain related to dental implants and. Osteomas are benign neoplasm often associated with facial asymmetry, pain and surface ulceration. We reviewed current literature surrounding the ongoing. Osteoblastoma and. Dental Osteoma.
From drgstoothpix.com
Case of the Week Osteoma Cutis (2D & CBCT) Dr. G's Toothpix Dental Osteoma Osteomas are benign neoplasm often associated with facial asymmetry, pain and surface ulceration. Osteoblastoma and osteoid osteoma are rare benign neoplasms of the jaws. Osteoid osteoma of the maxilla may present as pain related to dental implants and. We reviewed current literature surrounding the ongoing. Here we present a case of a large central osteoma of anterior maxilla associated with. Dental Osteoma.
From dentometric.com
Osteoma Periférico en Mandíbula Dento Metric Radiología Dental Dental Osteoma We reviewed current literature surrounding the ongoing. Osteomas are benign neoplasm often associated with facial asymmetry, pain and surface ulceration. Here we present a case of a large central osteoma of anterior maxilla associated with an impacted tooth, the first of its kind and. Peripheral osteomas have been described to occur in the frontal, ethmoid, and maxillary sinuses, but are. Dental Osteoma.
From dentometric.com
Osteoma Periférico en Mandíbula Dento Metric Radiología Dental Dental Osteoma Peripheral osteomas have been described to occur in the frontal, ethmoid, and maxillary sinuses, but are not common in. Osteoblastoma and osteoid osteoma are rare benign neoplasms of the jaws. Osteomas are benign neoplasm often associated with facial asymmetry, pain and surface ulceration. Here we present a case of a large central osteoma of anterior maxilla associated with an impacted. Dental Osteoma.
From isdent.org
Osteomas of the craniofacial region Dental Osteoma Osteoid osteoma of the maxilla may present as pain related to dental implants and. Here we present a case of a large central osteoma of anterior maxilla associated with an impacted tooth, the first of its kind and. Peripheral osteomas have been described to occur in the frontal, ethmoid, and maxillary sinuses, but are not common in. Osteomas are benign. Dental Osteoma.
From drgstoothpix.com
Case of the Week Osteoma Cutis (2D & CBCT) Dr. G's Toothpix Dental Osteoma Here we present a case of a large central osteoma of anterior maxilla associated with an impacted tooth, the first of its kind and. Peripheral osteomas have been described to occur in the frontal, ethmoid, and maxillary sinuses, but are not common in. We reviewed current literature surrounding the ongoing. Osteoblastoma and osteoid osteoma are rare benign neoplasms of the. Dental Osteoma.