Lesion Plaque Plantaire . The lesser toe plantar plates also provide joint stability and articular surface protection. They are essentially a form of. Le test de lachman peut aider à différencier les lésions de la plaque plantaire en saisissant l’orteil et en le poussant vers le haut. La plaque plantaire est une structure fibrocartilagineuse profonde qui naît de la tête métatarsienne et s’attache à la phalange proximale à travers la capsule articulaire de l’avant. Ce test peut être effectué par votre. Les plaques plantaires assurent la stabilité des articulations (coaptation articulaire) et la protection des surfaces articulaires métatarso. Plantar plate tears are disruptions of the metatarsophalangeal joint (mtpj) plantar plate (s). When discussing plantar plate pathologies, clinicians must recognise two categories of injuries:
from podformance.com
Plantar plate tears are disruptions of the metatarsophalangeal joint (mtpj) plantar plate (s). La plaque plantaire est une structure fibrocartilagineuse profonde qui naît de la tête métatarsienne et s’attache à la phalange proximale à travers la capsule articulaire de l’avant. Ce test peut être effectué par votre. They are essentially a form of. Les plaques plantaires assurent la stabilité des articulations (coaptation articulaire) et la protection des surfaces articulaires métatarso. Le test de lachman peut aider à différencier les lésions de la plaque plantaire en saisissant l’orteil et en le poussant vers le haut. When discussing plantar plate pathologies, clinicians must recognise two categories of injuries: The lesser toe plantar plates also provide joint stability and articular surface protection.
Taping du pied pour aponévrosite (fasciite) plantaire PodFormance
Lesion Plaque Plantaire The lesser toe plantar plates also provide joint stability and articular surface protection. When discussing plantar plate pathologies, clinicians must recognise two categories of injuries: Les plaques plantaires assurent la stabilité des articulations (coaptation articulaire) et la protection des surfaces articulaires métatarso. The lesser toe plantar plates also provide joint stability and articular surface protection. Plantar plate tears are disruptions of the metatarsophalangeal joint (mtpj) plantar plate (s). La plaque plantaire est une structure fibrocartilagineuse profonde qui naît de la tête métatarsienne et s’attache à la phalange proximale à travers la capsule articulaire de l’avant. Ce test peut être effectué par votre. They are essentially a form of. Le test de lachman peut aider à différencier les lésions de la plaque plantaire en saisissant l’orteil et en le poussant vers le haut.
From unionchevillepied.fr
Aponévrosite plantaire Union Cheville Pied Lesion Plaque Plantaire La plaque plantaire est une structure fibrocartilagineuse profonde qui naît de la tête métatarsienne et s’attache à la phalange proximale à travers la capsule articulaire de l’avant. Les plaques plantaires assurent la stabilité des articulations (coaptation articulaire) et la protection des surfaces articulaires métatarso. Plantar plate tears are disruptions of the metatarsophalangeal joint (mtpj) plantar plate (s). Le test de. Lesion Plaque Plantaire.
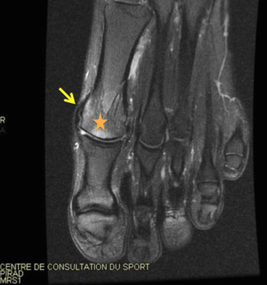
From www.imaios.com
Échographie du pied Lesion Plaque Plantaire When discussing plantar plate pathologies, clinicians must recognise two categories of injuries: The lesser toe plantar plates also provide joint stability and articular surface protection. Plantar plate tears are disruptions of the metatarsophalangeal joint (mtpj) plantar plate (s). Ce test peut être effectué par votre. La plaque plantaire est une structure fibrocartilagineuse profonde qui naît de la tête métatarsienne et. Lesion Plaque Plantaire.
From www.researchgate.net
Diffuse hyperkeratotic patches and plaques on the ankle and plantar Lesion Plaque Plantaire The lesser toe plantar plates also provide joint stability and articular surface protection. They are essentially a form of. Plantar plate tears are disruptions of the metatarsophalangeal joint (mtpj) plantar plate (s). When discussing plantar plate pathologies, clinicians must recognise two categories of injuries: Les plaques plantaires assurent la stabilité des articulations (coaptation articulaire) et la protection des surfaces articulaires. Lesion Plaque Plantaire.
From www.image-echographie.net
Centre d'imagerie OstéoArticulaire Clinique du sport de Bordeaux Lesion Plaque Plantaire Les plaques plantaires assurent la stabilité des articulations (coaptation articulaire) et la protection des surfaces articulaires métatarso. They are essentially a form of. Ce test peut être effectué par votre. Plantar plate tears are disruptions of the metatarsophalangeal joint (mtpj) plantar plate (s). Le test de lachman peut aider à différencier les lésions de la plaque plantaire en saisissant l’orteil. Lesion Plaque Plantaire.
From www.youtube.com
Tape de Kinésiologie Aponévrosite plantaire YouTube Lesion Plaque Plantaire The lesser toe plantar plates also provide joint stability and articular surface protection. Ce test peut être effectué par votre. Les plaques plantaires assurent la stabilité des articulations (coaptation articulaire) et la protection des surfaces articulaires métatarso. They are essentially a form of. La plaque plantaire est une structure fibrocartilagineuse profonde qui naît de la tête métatarsienne et s’attache à. Lesion Plaque Plantaire.
From voetfysiovanbeelen.nl
Hielpijn = hielspoor? VoetFysio van Beelen Lesion Plaque Plantaire Ce test peut être effectué par votre. They are essentially a form of. La plaque plantaire est une structure fibrocartilagineuse profonde qui naît de la tête métatarsienne et s’attache à la phalange proximale à travers la capsule articulaire de l’avant. Le test de lachman peut aider à différencier les lésions de la plaque plantaire en saisissant l’orteil et en le. Lesion Plaque Plantaire.
From houssiere.eu
Entorse de la cheville et enthésopathie plantaire HAC Lesion Plaque Plantaire The lesser toe plantar plates also provide joint stability and articular surface protection. La plaque plantaire est une structure fibrocartilagineuse profonde qui naît de la tête métatarsienne et s’attache à la phalange proximale à travers la capsule articulaire de l’avant. They are essentially a form of. Plantar plate tears are disruptions of the metatarsophalangeal joint (mtpj) plantar plate (s). When. Lesion Plaque Plantaire.
From www.centrepiedgeneve.ch
Fasciite plantaire ou Aponévrosite plantaire Centre de chirurgie du Lesion Plaque Plantaire The lesser toe plantar plates also provide joint stability and articular surface protection. Le test de lachman peut aider à différencier les lésions de la plaque plantaire en saisissant l’orteil et en le poussant vers le haut. Plantar plate tears are disruptions of the metatarsophalangeal joint (mtpj) plantar plate (s). They are essentially a form of. Ce test peut être. Lesion Plaque Plantaire.
From www.ledevoir.com
Attraper la COVID19, du bout des pieds Le Devoir Lesion Plaque Plantaire They are essentially a form of. When discussing plantar plate pathologies, clinicians must recognise two categories of injuries: Les plaques plantaires assurent la stabilité des articulations (coaptation articulaire) et la protection des surfaces articulaires métatarso. La plaque plantaire est une structure fibrocartilagineuse profonde qui naît de la tête métatarsienne et s’attache à la phalange proximale à travers la capsule articulaire. Lesion Plaque Plantaire.
From www.eastcoastpodiatry.sg
Podiatry Centre for Plantar Plate Tear in Singapore Lesion Plaque Plantaire When discussing plantar plate pathologies, clinicians must recognise two categories of injuries: Les plaques plantaires assurent la stabilité des articulations (coaptation articulaire) et la protection des surfaces articulaires métatarso. La plaque plantaire est une structure fibrocartilagineuse profonde qui naît de la tête métatarsienne et s’attache à la phalange proximale à travers la capsule articulaire de l’avant. Le test de lachman. Lesion Plaque Plantaire.
From sante.orthodz.com
Rupture de l'aponévrose plantaire Causes, signes et traitement Lesion Plaque Plantaire Plantar plate tears are disruptions of the metatarsophalangeal joint (mtpj) plantar plate (s). Le test de lachman peut aider à différencier les lésions de la plaque plantaire en saisissant l’orteil et en le poussant vers le haut. When discussing plantar plate pathologies, clinicians must recognise two categories of injuries: Les plaques plantaires assurent la stabilité des articulations (coaptation articulaire) et. Lesion Plaque Plantaire.
From podiatremirabel.com
Névrome Plantaire Consulteznous pour en savoir plus Podiatre Mirabel Lesion Plaque Plantaire The lesser toe plantar plates also provide joint stability and articular surface protection. They are essentially a form of. When discussing plantar plate pathologies, clinicians must recognise two categories of injuries: Plantar plate tears are disruptions of the metatarsophalangeal joint (mtpj) plantar plate (s). Le test de lachman peut aider à différencier les lésions de la plaque plantaire en saisissant. Lesion Plaque Plantaire.
From www.youtube.com
Le pied. Arthrologie myologie. Aponévrose plantaire superficielle Lesion Plaque Plantaire Les plaques plantaires assurent la stabilité des articulations (coaptation articulaire) et la protection des surfaces articulaires métatarso. Plantar plate tears are disruptions of the metatarsophalangeal joint (mtpj) plantar plate (s). The lesser toe plantar plates also provide joint stability and articular surface protection. Ce test peut être effectué par votre. When discussing plantar plate pathologies, clinicians must recognise two categories. Lesion Plaque Plantaire.
From www.jpeds.com
Janeway Lesion A Entity The Journal of Pediatrics Lesion Plaque Plantaire When discussing plantar plate pathologies, clinicians must recognise two categories of injuries: Ce test peut être effectué par votre. Le test de lachman peut aider à différencier les lésions de la plaque plantaire en saisissant l’orteil et en le poussant vers le haut. They are essentially a form of. The lesser toe plantar plates also provide joint stability and articular. Lesion Plaque Plantaire.
From www.alamyimages.fr
Verrue plantaire Banque de photographies et d’images à haute résolution Lesion Plaque Plantaire La plaque plantaire est une structure fibrocartilagineuse profonde qui naît de la tête métatarsienne et s’attache à la phalange proximale à travers la capsule articulaire de l’avant. The lesser toe plantar plates also provide joint stability and articular surface protection. Le test de lachman peut aider à différencier les lésions de la plaque plantaire en saisissant l’orteil et en le. Lesion Plaque Plantaire.
From sos-pied-cheville.com
Turf toe ou rupture de la plaque plantaire de l’articulation Lesion Plaque Plantaire The lesser toe plantar plates also provide joint stability and articular surface protection. When discussing plantar plate pathologies, clinicians must recognise two categories of injuries: They are essentially a form of. Le test de lachman peut aider à différencier les lésions de la plaque plantaire en saisissant l’orteil et en le poussant vers le haut. La plaque plantaire est une. Lesion Plaque Plantaire.
From www.alamyimages.fr
Douleur à la voûte causée par une inflammation, une utilisation Lesion Plaque Plantaire Le test de lachman peut aider à différencier les lésions de la plaque plantaire en saisissant l’orteil et en le poussant vers le haut. Les plaques plantaires assurent la stabilité des articulations (coaptation articulaire) et la protection des surfaces articulaires métatarso. Ce test peut être effectué par votre. They are essentially a form of. When discussing plantar plate pathologies, clinicians. Lesion Plaque Plantaire.
From www.youtube.com
TUTO Durillons & Douleurs Plantaires comment les traiter Lesion Plaque Plantaire They are essentially a form of. La plaque plantaire est une structure fibrocartilagineuse profonde qui naît de la tête métatarsienne et s’attache à la phalange proximale à travers la capsule articulaire de l’avant. The lesser toe plantar plates also provide joint stability and articular surface protection. Ce test peut être effectué par votre. When discussing plantar plate pathologies, clinicians must. Lesion Plaque Plantaire.
From www.facebook.com
PiedRéseau La verrue plantaire est une lésion de la peau... Lesion Plaque Plantaire When discussing plantar plate pathologies, clinicians must recognise two categories of injuries: Plantar plate tears are disruptions of the metatarsophalangeal joint (mtpj) plantar plate (s). The lesser toe plantar plates also provide joint stability and articular surface protection. Les plaques plantaires assurent la stabilité des articulations (coaptation articulaire) et la protection des surfaces articulaires métatarso. La plaque plantaire est une. Lesion Plaque Plantaire.
From sportrehab.fr
Aponévrosite plantaire Kinésithérapie du Sport Montpellier Antigone Lesion Plaque Plantaire Les plaques plantaires assurent la stabilité des articulations (coaptation articulaire) et la protection des surfaces articulaires métatarso. Ce test peut être effectué par votre. La plaque plantaire est une structure fibrocartilagineuse profonde qui naît de la tête métatarsienne et s’attache à la phalange proximale à travers la capsule articulaire de l’avant. Le test de lachman peut aider à différencier les. Lesion Plaque Plantaire.
From www.imosteoarticulaire-carrillon.com
Les pathologies de l’aponévrose plantaire. Imagerie de l'appareil Lesion Plaque Plantaire Les plaques plantaires assurent la stabilité des articulations (coaptation articulaire) et la protection des surfaces articulaires métatarso. When discussing plantar plate pathologies, clinicians must recognise two categories of injuries: They are essentially a form of. Plantar plate tears are disruptions of the metatarsophalangeal joint (mtpj) plantar plate (s). La plaque plantaire est une structure fibrocartilagineuse profonde qui naît de la. Lesion Plaque Plantaire.
From www.dr-bovier-lapierre.fr
Lésion chondrale du talus modérée Dr BovierLapierre Lesion Plaque Plantaire La plaque plantaire est une structure fibrocartilagineuse profonde qui naît de la tête métatarsienne et s’attache à la phalange proximale à travers la capsule articulaire de l’avant. They are essentially a form of. The lesser toe plantar plates also provide joint stability and articular surface protection. Les plaques plantaires assurent la stabilité des articulations (coaptation articulaire) et la protection des. Lesion Plaque Plantaire.
From podformance.com
Guérir les douleurs sous l’avantpied... Métatarsalgie Guérir la Lesion Plaque Plantaire Plantar plate tears are disruptions of the metatarsophalangeal joint (mtpj) plantar plate (s). Ce test peut être effectué par votre. Le test de lachman peut aider à différencier les lésions de la plaque plantaire en saisissant l’orteil et en le poussant vers le haut. Les plaques plantaires assurent la stabilité des articulations (coaptation articulaire) et la protection des surfaces articulaires. Lesion Plaque Plantaire.
From iwofr.org
Blessure de la plaque plantaire, évaluation et gestion par Nick Lesion Plaque Plantaire They are essentially a form of. La plaque plantaire est une structure fibrocartilagineuse profonde qui naît de la tête métatarsienne et s’attache à la phalange proximale à travers la capsule articulaire de l’avant. The lesser toe plantar plates also provide joint stability and articular surface protection. Les plaques plantaires assurent la stabilité des articulations (coaptation articulaire) et la protection des. Lesion Plaque Plantaire.
From www.alamyimages.fr
Verruca plantar Banque de photographies et d’images à haute résolution Lesion Plaque Plantaire Les plaques plantaires assurent la stabilité des articulations (coaptation articulaire) et la protection des surfaces articulaires métatarso. La plaque plantaire est une structure fibrocartilagineuse profonde qui naît de la tête métatarsienne et s’attache à la phalange proximale à travers la capsule articulaire de l’avant. Plantar plate tears are disruptions of the metatarsophalangeal joint (mtpj) plantar plate (s). Le test de. Lesion Plaque Plantaire.
From ankleandfootcentre.com.au
Plantar Plate Pathology Ankle, Foot and Orthotic Centre Lesion Plaque Plantaire When discussing plantar plate pathologies, clinicians must recognise two categories of injuries: Les plaques plantaires assurent la stabilité des articulations (coaptation articulaire) et la protection des surfaces articulaires métatarso. They are essentially a form of. Ce test peut être effectué par votre. La plaque plantaire est une structure fibrocartilagineuse profonde qui naît de la tête métatarsienne et s’attache à la. Lesion Plaque Plantaire.
From www.docontherun.com
346 Can xrays show a plantar plate injury? DOC Lesion Plaque Plantaire Ce test peut être effectué par votre. The lesser toe plantar plates also provide joint stability and articular surface protection. Le test de lachman peut aider à différencier les lésions de la plaque plantaire en saisissant l’orteil et en le poussant vers le haut. When discussing plantar plate pathologies, clinicians must recognise two categories of injuries: They are essentially a. Lesion Plaque Plantaire.
From podformance.com
Taping du pied pour aponévrosite (fasciite) plantaire PodFormance Lesion Plaque Plantaire La plaque plantaire est une structure fibrocartilagineuse profonde qui naît de la tête métatarsienne et s’attache à la phalange proximale à travers la capsule articulaire de l’avant. Ce test peut être effectué par votre. Les plaques plantaires assurent la stabilité des articulations (coaptation articulaire) et la protection des surfaces articulaires métatarso. Plantar plate tears are disruptions of the metatarsophalangeal joint. Lesion Plaque Plantaire.
From desconseilspratiques.com
Orthèse plantaire c'est bon ou mauvais? Des conseils pratiques... Lesion Plaque Plantaire The lesser toe plantar plates also provide joint stability and articular surface protection. Plantar plate tears are disruptions of the metatarsophalangeal joint (mtpj) plantar plate (s). Ce test peut être effectué par votre. They are essentially a form of. Le test de lachman peut aider à différencier les lésions de la plaque plantaire en saisissant l’orteil et en le poussant. Lesion Plaque Plantaire.
From www.istockphoto.com
Anatomie De La Blessure De La Plaque Plantaire Et Diagramme De Contour Lesion Plaque Plantaire La plaque plantaire est une structure fibrocartilagineuse profonde qui naît de la tête métatarsienne et s’attache à la phalange proximale à travers la capsule articulaire de l’avant. They are essentially a form of. Ce test peut être effectué par votre. The lesser toe plantar plates also provide joint stability and articular surface protection. Le test de lachman peut aider à. Lesion Plaque Plantaire.
From www.centrekineplus.be
Fasciite Plantaire Centre Kiné Lesion Plaque Plantaire Le test de lachman peut aider à différencier les lésions de la plaque plantaire en saisissant l’orteil et en le poussant vers le haut. Les plaques plantaires assurent la stabilité des articulations (coaptation articulaire) et la protection des surfaces articulaires métatarso. When discussing plantar plate pathologies, clinicians must recognise two categories of injuries: Ce test peut être effectué par votre.. Lesion Plaque Plantaire.
From www.alamyimages.fr
Pied diabétique Banque de photographies et d’images à haute résolution Lesion Plaque Plantaire Ce test peut être effectué par votre. Le test de lachman peut aider à différencier les lésions de la plaque plantaire en saisissant l’orteil et en le poussant vers le haut. La plaque plantaire est une structure fibrocartilagineuse profonde qui naît de la tête métatarsienne et s’attache à la phalange proximale à travers la capsule articulaire de l’avant. They are. Lesion Plaque Plantaire.
From www.muscle-musculation.com
Rupture du muscle plantaire Lesion Plaque Plantaire They are essentially a form of. Plantar plate tears are disruptions of the metatarsophalangeal joint (mtpj) plantar plate (s). Les plaques plantaires assurent la stabilité des articulations (coaptation articulaire) et la protection des surfaces articulaires métatarso. The lesser toe plantar plates also provide joint stability and articular surface protection. Ce test peut être effectué par votre. La plaque plantaire est. Lesion Plaque Plantaire.
From www.youtube.com
Aponévrosite plantaire (fasciite plantaire) Traitement et Exercices Lesion Plaque Plantaire Plantar plate tears are disruptions of the metatarsophalangeal joint (mtpj) plantar plate (s). Ce test peut être effectué par votre. They are essentially a form of. The lesser toe plantar plates also provide joint stability and articular surface protection. Le test de lachman peut aider à différencier les lésions de la plaque plantaire en saisissant l’orteil et en le poussant. Lesion Plaque Plantaire.
From www.skin.be
Une curieuse lésion du pied Skin Lesion Plaque Plantaire When discussing plantar plate pathologies, clinicians must recognise two categories of injuries: La plaque plantaire est une structure fibrocartilagineuse profonde qui naît de la tête métatarsienne et s’attache à la phalange proximale à travers la capsule articulaire de l’avant. The lesser toe plantar plates also provide joint stability and articular surface protection. Le test de lachman peut aider à différencier. Lesion Plaque Plantaire.