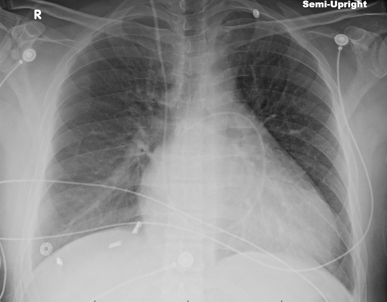
Chest X Ray To Diagnose Heart Failure . The following signs indicate heart failure: They could be taken in the health care professional’s office or in a separate radiology lab. Tests that may be done to diagnose heart failure may include: Alveolar edema with perihilar consolidations and air bronchograms (yellow arrows); A displaced cardiac apex, a third heart sound, and chest radiography findings of venous congestion or interstitial edema are useful in identifying heart failure. Blood tests can help diagnose diseases that can affect the. Changes in the size and shape of your heart may indicate heart failure, fluid around the heart or heart valve problems. Because the outlines of the large vessels near your.
from mungfali.com
Changes in the size and shape of your heart may indicate heart failure, fluid around the heart or heart valve problems. The following signs indicate heart failure: Because the outlines of the large vessels near your. Tests that may be done to diagnose heart failure may include: Alveolar edema with perihilar consolidations and air bronchograms (yellow arrows); A displaced cardiac apex, a third heart sound, and chest radiography findings of venous congestion or interstitial edema are useful in identifying heart failure. Blood tests can help diagnose diseases that can affect the. They could be taken in the health care professional’s office or in a separate radiology lab.
Heart Failure Chest X Ray
Chest X Ray To Diagnose Heart Failure Changes in the size and shape of your heart may indicate heart failure, fluid around the heart or heart valve problems. The following signs indicate heart failure: Tests that may be done to diagnose heart failure may include: Changes in the size and shape of your heart may indicate heart failure, fluid around the heart or heart valve problems. Blood tests can help diagnose diseases that can affect the. Alveolar edema with perihilar consolidations and air bronchograms (yellow arrows); A displaced cardiac apex, a third heart sound, and chest radiography findings of venous congestion or interstitial edema are useful in identifying heart failure. They could be taken in the health care professional’s office or in a separate radiology lab. Because the outlines of the large vessels near your.
From mavink.com
Chest X Ray With Heart Failure Chest X Ray To Diagnose Heart Failure Alveolar edema with perihilar consolidations and air bronchograms (yellow arrows); Because the outlines of the large vessels near your. Blood tests can help diagnose diseases that can affect the. A displaced cardiac apex, a third heart sound, and chest radiography findings of venous congestion or interstitial edema are useful in identifying heart failure. Changes in the size and shape of. Chest X Ray To Diagnose Heart Failure.
From mavink.com
Congestive Heart Failure Chest X Ray Chest X Ray To Diagnose Heart Failure They could be taken in the health care professional’s office or in a separate radiology lab. Because the outlines of the large vessels near your. Alveolar edema with perihilar consolidations and air bronchograms (yellow arrows); A displaced cardiac apex, a third heart sound, and chest radiography findings of venous congestion or interstitial edema are useful in identifying heart failure. Blood. Chest X Ray To Diagnose Heart Failure.
From www.dreamstime.com
A Chest Xray Film of Patient with Heart Failure Stock Photo Image of Chest X Ray To Diagnose Heart Failure Tests that may be done to diagnose heart failure may include: Blood tests can help diagnose diseases that can affect the. Changes in the size and shape of your heart may indicate heart failure, fluid around the heart or heart valve problems. Alveolar edema with perihilar consolidations and air bronchograms (yellow arrows); The following signs indicate heart failure: They could. Chest X Ray To Diagnose Heart Failure.
From heart.thecommonvein.net
Chest Xray and Heart Failure, CXR and CHF Heart Chest X Ray To Diagnose Heart Failure A displaced cardiac apex, a third heart sound, and chest radiography findings of venous congestion or interstitial edema are useful in identifying heart failure. Because the outlines of the large vessels near your. Tests that may be done to diagnose heart failure may include: Changes in the size and shape of your heart may indicate heart failure, fluid around the. Chest X Ray To Diagnose Heart Failure.
From www.researchgate.net
Patient's chest xray after myocardial infarction and 3 codes shows Chest X Ray To Diagnose Heart Failure The following signs indicate heart failure: Blood tests can help diagnose diseases that can affect the. They could be taken in the health care professional’s office or in a separate radiology lab. Tests that may be done to diagnose heart failure may include: Because the outlines of the large vessels near your. Changes in the size and shape of your. Chest X Ray To Diagnose Heart Failure.
From www.cvmg.com
Chest XRay Cardiovascular Medical Group of Southern California Chest X Ray To Diagnose Heart Failure Because the outlines of the large vessels near your. They could be taken in the health care professional’s office or in a separate radiology lab. Alveolar edema with perihilar consolidations and air bronchograms (yellow arrows); Changes in the size and shape of your heart may indicate heart failure, fluid around the heart or heart valve problems. A displaced cardiac apex,. Chest X Ray To Diagnose Heart Failure.
From www.shutterstock.com
Chest Xray Film Patient Congestive Heart Stock Photo (Edit Now) 1469205143 Chest X Ray To Diagnose Heart Failure Tests that may be done to diagnose heart failure may include: Because the outlines of the large vessels near your. A displaced cardiac apex, a third heart sound, and chest radiography findings of venous congestion or interstitial edema are useful in identifying heart failure. Changes in the size and shape of your heart may indicate heart failure, fluid around the. Chest X Ray To Diagnose Heart Failure.
From pressbooks.pub
Congestive Heart Failure Undergraduate Diagnostic Imaging Fundamentals Chest X Ray To Diagnose Heart Failure Because the outlines of the large vessels near your. A displaced cardiac apex, a third heart sound, and chest radiography findings of venous congestion or interstitial edema are useful in identifying heart failure. Tests that may be done to diagnose heart failure may include: They could be taken in the health care professional’s office or in a separate radiology lab.. Chest X Ray To Diagnose Heart Failure.
From www.clinicaladvisor.com
Causes of Heart Failure The Clinical Advisor Chest X Ray To Diagnose Heart Failure The following signs indicate heart failure: Tests that may be done to diagnose heart failure may include: They could be taken in the health care professional’s office or in a separate radiology lab. Changes in the size and shape of your heart may indicate heart failure, fluid around the heart or heart valve problems. Blood tests can help diagnose diseases. Chest X Ray To Diagnose Heart Failure.
From www.researchgate.net
Chest Xray of congestive heart failure [14] Download Scientific Diagram Chest X Ray To Diagnose Heart Failure Because the outlines of the large vessels near your. They could be taken in the health care professional’s office or in a separate radiology lab. Alveolar edema with perihilar consolidations and air bronchograms (yellow arrows); Changes in the size and shape of your heart may indicate heart failure, fluid around the heart or heart valve problems. Blood tests can help. Chest X Ray To Diagnose Heart Failure.
From www.mdpi.com
Advances in Respiratory Medicine Free FullText Diagnosing Lung Chest X Ray To Diagnose Heart Failure They could be taken in the health care professional’s office or in a separate radiology lab. Alveolar edema with perihilar consolidations and air bronchograms (yellow arrows); The following signs indicate heart failure: Blood tests can help diagnose diseases that can affect the. Tests that may be done to diagnose heart failure may include: A displaced cardiac apex, a third heart. Chest X Ray To Diagnose Heart Failure.
From www.mdpi.com
Advances in Respiratory Medicine Free FullText Diagnosing Lung Chest X Ray To Diagnose Heart Failure Blood tests can help diagnose diseases that can affect the. They could be taken in the health care professional’s office or in a separate radiology lab. Changes in the size and shape of your heart may indicate heart failure, fluid around the heart or heart valve problems. Tests that may be done to diagnose heart failure may include: Alveolar edema. Chest X Ray To Diagnose Heart Failure.
From mavink.com
Chest X Ray With Heart Failure Chest X Ray To Diagnose Heart Failure They could be taken in the health care professional’s office or in a separate radiology lab. Tests that may be done to diagnose heart failure may include: Alveolar edema with perihilar consolidations and air bronchograms (yellow arrows); The following signs indicate heart failure: Changes in the size and shape of your heart may indicate heart failure, fluid around the heart. Chest X Ray To Diagnose Heart Failure.
From www.dreamstime.com
Chest Xray of a Patient with Heart Failure Stock Photo Image of Chest X Ray To Diagnose Heart Failure Blood tests can help diagnose diseases that can affect the. The following signs indicate heart failure: They could be taken in the health care professional’s office or in a separate radiology lab. A displaced cardiac apex, a third heart sound, and chest radiography findings of venous congestion or interstitial edema are useful in identifying heart failure. Tests that may be. Chest X Ray To Diagnose Heart Failure.
From www.dreamstime.com
A Chest Xray Film of Patient with Heart Failure Stock Photo Image of Chest X Ray To Diagnose Heart Failure Alveolar edema with perihilar consolidations and air bronchograms (yellow arrows); Changes in the size and shape of your heart may indicate heart failure, fluid around the heart or heart valve problems. A displaced cardiac apex, a third heart sound, and chest radiography findings of venous congestion or interstitial edema are useful in identifying heart failure. Because the outlines of the. Chest X Ray To Diagnose Heart Failure.
From www.merckmanuals.com
Heart Failure (HF) Cardiovascular Disorders Merck Manuals Chest X Ray To Diagnose Heart Failure A displaced cardiac apex, a third heart sound, and chest radiography findings of venous congestion or interstitial edema are useful in identifying heart failure. The following signs indicate heart failure: They could be taken in the health care professional’s office or in a separate radiology lab. Alveolar edema with perihilar consolidations and air bronchograms (yellow arrows); Because the outlines of. Chest X Ray To Diagnose Heart Failure.
From medizzy.com
Chest Xray Interpretation MEDizzy Chest X Ray To Diagnose Heart Failure Blood tests can help diagnose diseases that can affect the. The following signs indicate heart failure: They could be taken in the health care professional’s office or in a separate radiology lab. Alveolar edema with perihilar consolidations and air bronchograms (yellow arrows); Tests that may be done to diagnose heart failure may include: Because the outlines of the large vessels. Chest X Ray To Diagnose Heart Failure.
From radiologyassistant.nl
The Radiology Assistant Chest XRay Heart Failure Chest X Ray To Diagnose Heart Failure Blood tests can help diagnose diseases that can affect the. They could be taken in the health care professional’s office or in a separate radiology lab. Alveolar edema with perihilar consolidations and air bronchograms (yellow arrows); Because the outlines of the large vessels near your. Changes in the size and shape of your heart may indicate heart failure, fluid around. Chest X Ray To Diagnose Heart Failure.
From mungfali.com
Heart Failure Chest X Ray Chest X Ray To Diagnose Heart Failure Tests that may be done to diagnose heart failure may include: The following signs indicate heart failure: Blood tests can help diagnose diseases that can affect the. Alveolar edema with perihilar consolidations and air bronchograms (yellow arrows); Because the outlines of the large vessels near your. Changes in the size and shape of your heart may indicate heart failure, fluid. Chest X Ray To Diagnose Heart Failure.
From radiologyassistant.nl
The Radiology Assistant Chest XRay Heart Failure Chest X Ray To Diagnose Heart Failure Because the outlines of the large vessels near your. The following signs indicate heart failure: Blood tests can help diagnose diseases that can affect the. Alveolar edema with perihilar consolidations and air bronchograms (yellow arrows); Tests that may be done to diagnose heart failure may include: A displaced cardiac apex, a third heart sound, and chest radiography findings of venous. Chest X Ray To Diagnose Heart Failure.
From heart-ok.blogspot.com
heart Acute Heart Failure Cxr Chest X Ray To Diagnose Heart Failure Alveolar edema with perihilar consolidations and air bronchograms (yellow arrows); The following signs indicate heart failure: Changes in the size and shape of your heart may indicate heart failure, fluid around the heart or heart valve problems. A displaced cardiac apex, a third heart sound, and chest radiography findings of venous congestion or interstitial edema are useful in identifying heart. Chest X Ray To Diagnose Heart Failure.
From www.shutterstock.com
Chest Xray Patient Heart Failure Film Stock Photo (Edit Now) 1497323492 Chest X Ray To Diagnose Heart Failure A displaced cardiac apex, a third heart sound, and chest radiography findings of venous congestion or interstitial edema are useful in identifying heart failure. They could be taken in the health care professional’s office or in a separate radiology lab. The following signs indicate heart failure: Blood tests can help diagnose diseases that can affect the. Changes in the size. Chest X Ray To Diagnose Heart Failure.
From johnsonfrancis.org
Xray chest PA view in heart failure All About Cardiovascular System Chest X Ray To Diagnose Heart Failure The following signs indicate heart failure: Changes in the size and shape of your heart may indicate heart failure, fluid around the heart or heart valve problems. Tests that may be done to diagnose heart failure may include: Blood tests can help diagnose diseases that can affect the. They could be taken in the health care professional’s office or in. Chest X Ray To Diagnose Heart Failure.
From mungfali.com
Heart Failure Chest X Ray Chest X Ray To Diagnose Heart Failure The following signs indicate heart failure: Because the outlines of the large vessels near your. A displaced cardiac apex, a third heart sound, and chest radiography findings of venous congestion or interstitial edema are useful in identifying heart failure. Blood tests can help diagnose diseases that can affect the. Tests that may be done to diagnose heart failure may include:. Chest X Ray To Diagnose Heart Failure.
From www.alamy.com
Congestive heart failure chest x ray Black and White Stock Photos Chest X Ray To Diagnose Heart Failure Changes in the size and shape of your heart may indicate heart failure, fluid around the heart or heart valve problems. Tests that may be done to diagnose heart failure may include: A displaced cardiac apex, a third heart sound, and chest radiography findings of venous congestion or interstitial edema are useful in identifying heart failure. Alveolar edema with perihilar. Chest X Ray To Diagnose Heart Failure.
From www.youtube.com
Chest X Ray in Heart failure Dr.Rajesh Gubba YouTube Chest X Ray To Diagnose Heart Failure Changes in the size and shape of your heart may indicate heart failure, fluid around the heart or heart valve problems. Blood tests can help diagnose diseases that can affect the. The following signs indicate heart failure: They could be taken in the health care professional’s office or in a separate radiology lab. Alveolar edema with perihilar consolidations and air. Chest X Ray To Diagnose Heart Failure.
From radiopaedia.org
Image Chest X Ray To Diagnose Heart Failure Changes in the size and shape of your heart may indicate heart failure, fluid around the heart or heart valve problems. Because the outlines of the large vessels near your. They could be taken in the health care professional’s office or in a separate radiology lab. The following signs indicate heart failure: Blood tests can help diagnose diseases that can. Chest X Ray To Diagnose Heart Failure.
From radiologyassistant.nl
The Radiology Assistant Chest XRay Heart Failure Chest X Ray To Diagnose Heart Failure Tests that may be done to diagnose heart failure may include: Alveolar edema with perihilar consolidations and air bronchograms (yellow arrows); A displaced cardiac apex, a third heart sound, and chest radiography findings of venous congestion or interstitial edema are useful in identifying heart failure. Blood tests can help diagnose diseases that can affect the. Changes in the size and. Chest X Ray To Diagnose Heart Failure.
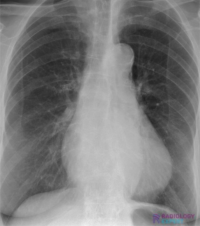
From www.radiology.expert
Chest Xray Chest X Ray To Diagnose Heart Failure Because the outlines of the large vessels near your. Alveolar edema with perihilar consolidations and air bronchograms (yellow arrows); The following signs indicate heart failure: They could be taken in the health care professional’s office or in a separate radiology lab. A displaced cardiac apex, a third heart sound, and chest radiography findings of venous congestion or interstitial edema are. Chest X Ray To Diagnose Heart Failure.
From stock.adobe.com
Xray image of heart diseases people. Elderly have chest pain and Tired Chest X Ray To Diagnose Heart Failure Blood tests can help diagnose diseases that can affect the. Tests that may be done to diagnose heart failure may include: A displaced cardiac apex, a third heart sound, and chest radiography findings of venous congestion or interstitial edema are useful in identifying heart failure. Because the outlines of the large vessels near your. Alveolar edema with perihilar consolidations and. Chest X Ray To Diagnose Heart Failure.
From ar.inspiredpencil.com
Cardiomegaly Chest Xray Chest X Ray To Diagnose Heart Failure Alveolar edema with perihilar consolidations and air bronchograms (yellow arrows); Changes in the size and shape of your heart may indicate heart failure, fluid around the heart or heart valve problems. Tests that may be done to diagnose heart failure may include: They could be taken in the health care professional’s office or in a separate radiology lab. Blood tests. Chest X Ray To Diagnose Heart Failure.
From ar.inspiredpencil.com
Congestive Heart Failure X Ray Chest X Ray To Diagnose Heart Failure Because the outlines of the large vessels near your. Changes in the size and shape of your heart may indicate heart failure, fluid around the heart or heart valve problems. They could be taken in the health care professional’s office or in a separate radiology lab. The following signs indicate heart failure: A displaced cardiac apex, a third heart sound,. Chest X Ray To Diagnose Heart Failure.
From www.shutterstock.com
Film Chest Xray Congestive Heart Failure Stock Photo 1494880928 Chest X Ray To Diagnose Heart Failure The following signs indicate heart failure: Alveolar edema with perihilar consolidations and air bronchograms (yellow arrows); Blood tests can help diagnose diseases that can affect the. They could be taken in the health care professional’s office or in a separate radiology lab. A displaced cardiac apex, a third heart sound, and chest radiography findings of venous congestion or interstitial edema. Chest X Ray To Diagnose Heart Failure.
From www.dreamstime.com
A Chest Xray Film of Patient with Heart Failure Stock Photo Image of Chest X Ray To Diagnose Heart Failure Alveolar edema with perihilar consolidations and air bronchograms (yellow arrows); Blood tests can help diagnose diseases that can affect the. They could be taken in the health care professional’s office or in a separate radiology lab. Tests that may be done to diagnose heart failure may include: Because the outlines of the large vessels near your. A displaced cardiac apex,. Chest X Ray To Diagnose Heart Failure.
From www.medicalnewstoday.com
Heart failure How does it appear on a chest Xray? Chest X Ray To Diagnose Heart Failure Tests that may be done to diagnose heart failure may include: Blood tests can help diagnose diseases that can affect the. A displaced cardiac apex, a third heart sound, and chest radiography findings of venous congestion or interstitial edema are useful in identifying heart failure. Alveolar edema with perihilar consolidations and air bronchograms (yellow arrows); Changes in the size and. Chest X Ray To Diagnose Heart Failure.