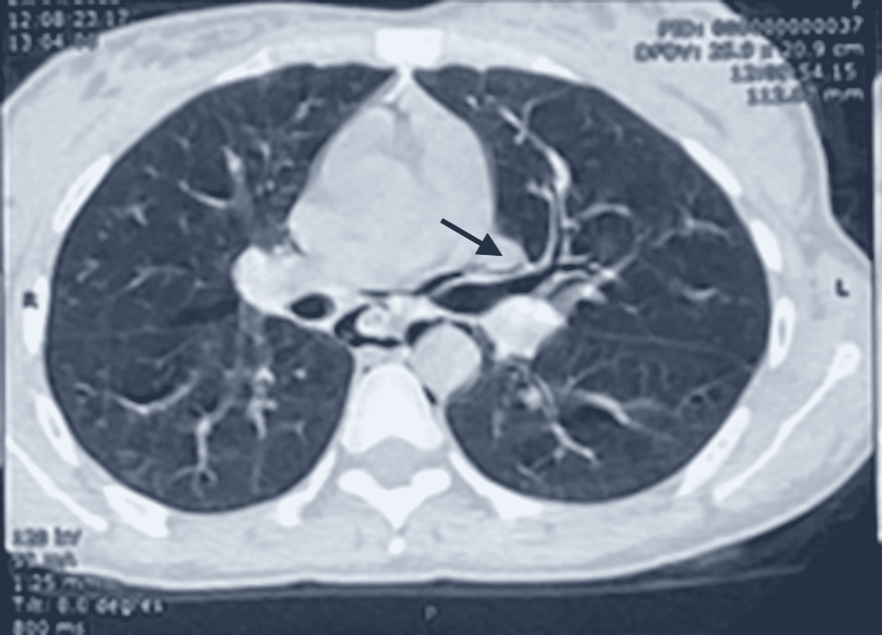
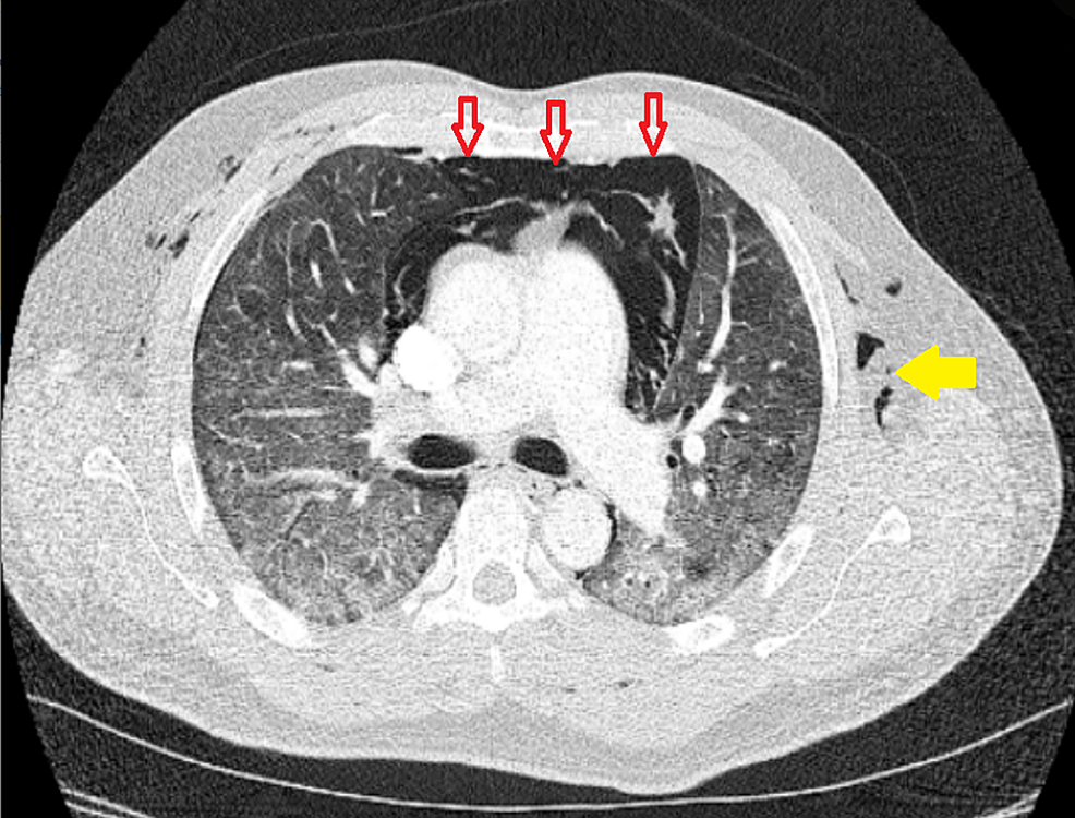
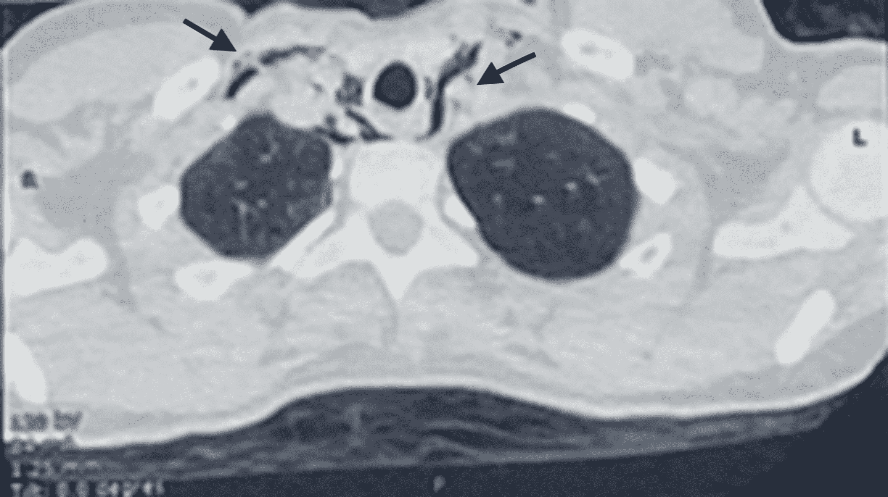
Macklin Effect . The macklin effect refers to pneumomediastinum caused by alveolar rupture and pulmonary interstitial emphysema tracking to the mediastinum along the peribronchovascular. Learn about the causes, clinical presentation, radiographic features and management of pneumomediastinum. Blunt traumatic alveolar ruptures, air dissection along bronchovascular. The macklin effect is a possible cause of pneumomediastinum in severe blunt chest trauma, involving air dissection along. The macklin effect is a rare but potentially serious complication of pneumomediastinum, caused by the. The macklin effect appears on thoracic computed tomography (ct) as linear collections of air contiguous to the. The aim of this review article is to describe the ct imaging spectrum of the.
from www.researchgate.net
The macklin effect appears on thoracic computed tomography (ct) as linear collections of air contiguous to the. Learn about the causes, clinical presentation, radiographic features and management of pneumomediastinum. The macklin effect is a rare but potentially serious complication of pneumomediastinum, caused by the. The macklin effect refers to pneumomediastinum caused by alveolar rupture and pulmonary interstitial emphysema tracking to the mediastinum along the peribronchovascular. Blunt traumatic alveolar ruptures, air dissection along bronchovascular. The macklin effect is a possible cause of pneumomediastinum in severe blunt chest trauma, involving air dissection along. The aim of this review article is to describe the ct imaging spectrum of the.
(PDF) Macklin effect in acute asthma exacerbation
Macklin Effect The aim of this review article is to describe the ct imaging spectrum of the. Learn about the causes, clinical presentation, radiographic features and management of pneumomediastinum. The macklin effect refers to pneumomediastinum caused by alveolar rupture and pulmonary interstitial emphysema tracking to the mediastinum along the peribronchovascular. Blunt traumatic alveolar ruptures, air dissection along bronchovascular. The macklin effect is a possible cause of pneumomediastinum in severe blunt chest trauma, involving air dissection along. The macklin effect appears on thoracic computed tomography (ct) as linear collections of air contiguous to the. The aim of this review article is to describe the ct imaging spectrum of the. The macklin effect is a rare but potentially serious complication of pneumomediastinum, caused by the.
From www.cureus.com
Cureus Spontaneous Pneumomediastinum Revealing Asthma The Macklin Effect Macklin Effect Learn about the causes, clinical presentation, radiographic features and management of pneumomediastinum. The macklin effect is a possible cause of pneumomediastinum in severe blunt chest trauma, involving air dissection along. The macklin effect refers to pneumomediastinum caused by alveolar rupture and pulmonary interstitial emphysema tracking to the mediastinum along the peribronchovascular. The macklin effect is a rare but potentially serious. Macklin Effect.
From www.eurorad.org
Macklin effect What is behind spontaneous pneumomediastinum? Eurorad Macklin Effect The aim of this review article is to describe the ct imaging spectrum of the. The macklin effect refers to pneumomediastinum caused by alveolar rupture and pulmonary interstitial emphysema tracking to the mediastinum along the peribronchovascular. The macklin effect appears on thoracic computed tomography (ct) as linear collections of air contiguous to the. The macklin effect is a possible cause. Macklin Effect.
From www.clinicalimaging.org
The Macklin effect closely correlates with pneumomediastinum in acutely Macklin Effect The macklin effect is a possible cause of pneumomediastinum in severe blunt chest trauma, involving air dissection along. The aim of this review article is to describe the ct imaging spectrum of the. The macklin effect refers to pneumomediastinum caused by alveolar rupture and pulmonary interstitial emphysema tracking to the mediastinum along the peribronchovascular. The macklin effect appears on thoracic. Macklin Effect.
From www.youtube.com
Pneumomediastinum due to Macklin effect Cases in Macklin Effect The macklin effect refers to pneumomediastinum caused by alveolar rupture and pulmonary interstitial emphysema tracking to the mediastinum along the peribronchovascular. Learn about the causes, clinical presentation, radiographic features and management of pneumomediastinum. The macklin effect appears on thoracic computed tomography (ct) as linear collections of air contiguous to the. Blunt traumatic alveolar ruptures, air dissection along bronchovascular. The aim. Macklin Effect.
From radiopaedia.org
Pneumomediastinum due to Macklin effect Image Macklin Effect The aim of this review article is to describe the ct imaging spectrum of the. The macklin effect is a rare but potentially serious complication of pneumomediastinum, caused by the. Learn about the causes, clinical presentation, radiographic features and management of pneumomediastinum. The macklin effect appears on thoracic computed tomography (ct) as linear collections of air contiguous to the. The. Macklin Effect.
From radiopaedia.org
Macklin effect Image Macklin Effect The macklin effect refers to pneumomediastinum caused by alveolar rupture and pulmonary interstitial emphysema tracking to the mediastinum along the peribronchovascular. The macklin effect is a possible cause of pneumomediastinum in severe blunt chest trauma, involving air dissection along. Learn about the causes, clinical presentation, radiographic features and management of pneumomediastinum. The macklin effect appears on thoracic computed tomography (ct). Macklin Effect.
From www.cureus.com
Cureus Spontaneous Pneumomediastinum Revealing Asthma The Macklin Effect Macklin Effect The aim of this review article is to describe the ct imaging spectrum of the. Learn about the causes, clinical presentation, radiographic features and management of pneumomediastinum. Blunt traumatic alveolar ruptures, air dissection along bronchovascular. The macklin effect is a possible cause of pneumomediastinum in severe blunt chest trauma, involving air dissection along. The macklin effect refers to pneumomediastinum caused. Macklin Effect.
From www.cureus.com
Cureus The Macklin Effect in COVID19 Macklin Effect Learn about the causes, clinical presentation, radiographic features and management of pneumomediastinum. Blunt traumatic alveolar ruptures, air dissection along bronchovascular. The aim of this review article is to describe the ct imaging spectrum of the. The macklin effect is a possible cause of pneumomediastinum in severe blunt chest trauma, involving air dissection along. The macklin effect appears on thoracic computed. Macklin Effect.
From www.clinicalimaging.org
The Macklin effect closely correlates with pneumomediastinum in acutely Macklin Effect The macklin effect is a possible cause of pneumomediastinum in severe blunt chest trauma, involving air dissection along. The macklin effect refers to pneumomediastinum caused by alveolar rupture and pulmonary interstitial emphysema tracking to the mediastinum along the peribronchovascular. The aim of this review article is to describe the ct imaging spectrum of the. The macklin effect appears on thoracic. Macklin Effect.
From www.researchgate.net
CT pattern of the Macklin effect bronchus pulmonary vessels Macklin Effect Learn about the causes, clinical presentation, radiographic features and management of pneumomediastinum. The macklin effect is a rare but potentially serious complication of pneumomediastinum, caused by the. The aim of this review article is to describe the ct imaging spectrum of the. The macklin effect appears on thoracic computed tomography (ct) as linear collections of air contiguous to the. Blunt. Macklin Effect.
From www.heartandlung.org
Spontaneous pneumomediastinum and subcutaneous emphysema in asthma Macklin Effect The macklin effect refers to pneumomediastinum caused by alveolar rupture and pulmonary interstitial emphysema tracking to the mediastinum along the peribronchovascular. The aim of this review article is to describe the ct imaging spectrum of the. The macklin effect is a rare but potentially serious complication of pneumomediastinum, caused by the. The macklin effect appears on thoracic computed tomography (ct). Macklin Effect.
From www.resmedjournal.com
Macklin effect on baseline chest CT scan accurately predicts barotrauma Macklin Effect The macklin effect is a rare but potentially serious complication of pneumomediastinum, caused by the. The aim of this review article is to describe the ct imaging spectrum of the. The macklin effect is a possible cause of pneumomediastinum in severe blunt chest trauma, involving air dissection along. The macklin effect refers to pneumomediastinum caused by alveolar rupture and pulmonary. Macklin Effect.
From www.researchgate.net
(PDF) Macklin effect in acute asthma exacerbation Macklin Effect Learn about the causes, clinical presentation, radiographic features and management of pneumomediastinum. The aim of this review article is to describe the ct imaging spectrum of the. The macklin effect is a rare but potentially serious complication of pneumomediastinum, caused by the. Blunt traumatic alveolar ruptures, air dissection along bronchovascular. The macklin effect appears on thoracic computed tomography (ct) as. Macklin Effect.
From www.semanticscholar.org
Figure 5 from Persistent tachypnea following respiratory distress Macklin Effect The macklin effect is a rare but potentially serious complication of pneumomediastinum, caused by the. Learn about the causes, clinical presentation, radiographic features and management of pneumomediastinum. The macklin effect is a possible cause of pneumomediastinum in severe blunt chest trauma, involving air dissection along. The aim of this review article is to describe the ct imaging spectrum of the.. Macklin Effect.
From www.medintensiva.org
Macklin effect as an early radiological predictor of barotrauma in ARDS Macklin Effect Learn about the causes, clinical presentation, radiographic features and management of pneumomediastinum. The macklin effect refers to pneumomediastinum caused by alveolar rupture and pulmonary interstitial emphysema tracking to the mediastinum along the peribronchovascular. The macklin effect is a rare but potentially serious complication of pneumomediastinum, caused by the. The macklin effect appears on thoracic computed tomography (ct) as linear collections. Macklin Effect.
From www.cureus.com
Cureus Spontaneous Pneumomediastinum Revealing Asthma The Macklin Effect Macklin Effect The macklin effect is a rare but potentially serious complication of pneumomediastinum, caused by the. Blunt traumatic alveolar ruptures, air dissection along bronchovascular. The macklin effect is a possible cause of pneumomediastinum in severe blunt chest trauma, involving air dissection along. The macklin effect appears on thoracic computed tomography (ct) as linear collections of air contiguous to the. Learn about. Macklin Effect.
From radiopaedia.org
Image Macklin Effect Learn about the causes, clinical presentation, radiographic features and management of pneumomediastinum. The aim of this review article is to describe the ct imaging spectrum of the. The macklin effect is a possible cause of pneumomediastinum in severe blunt chest trauma, involving air dissection along. The macklin effect is a rare but potentially serious complication of pneumomediastinum, caused by the.. Macklin Effect.
From www.archbronconeumol.org
Peribronchovascular emphysema. The Macklin effect Archivos de Macklin Effect Learn about the causes, clinical presentation, radiographic features and management of pneumomediastinum. The macklin effect refers to pneumomediastinum caused by alveolar rupture and pulmonary interstitial emphysema tracking to the mediastinum along the peribronchovascular. The macklin effect is a rare but potentially serious complication of pneumomediastinum, caused by the. The aim of this review article is to describe the ct imaging. Macklin Effect.
From www.cureus.com
Cureus Spontaneous Pneumomediastinum Revealing Asthma The Macklin Effect Macklin Effect The macklin effect appears on thoracic computed tomography (ct) as linear collections of air contiguous to the. Learn about the causes, clinical presentation, radiographic features and management of pneumomediastinum. The macklin effect refers to pneumomediastinum caused by alveolar rupture and pulmonary interstitial emphysema tracking to the mediastinum along the peribronchovascular. Blunt traumatic alveolar ruptures, air dissection along bronchovascular. The macklin. Macklin Effect.
From www.clinicalimaging.org
The Macklin effect closely correlates with pneumomediastinum in acutely Macklin Effect The macklin effect is a possible cause of pneumomediastinum in severe blunt chest trauma, involving air dissection along. The macklin effect appears on thoracic computed tomography (ct) as linear collections of air contiguous to the. Blunt traumatic alveolar ruptures, air dissection along bronchovascular. The aim of this review article is to describe the ct imaging spectrum of the. The macklin. Macklin Effect.
From www.resmedjournal.com
Macklin effect on baseline chest CT scan accurately predicts barotrauma Macklin Effect The macklin effect is a rare but potentially serious complication of pneumomediastinum, caused by the. The macklin effect appears on thoracic computed tomography (ct) as linear collections of air contiguous to the. The macklin effect refers to pneumomediastinum caused by alveolar rupture and pulmonary interstitial emphysema tracking to the mediastinum along the peribronchovascular. The macklin effect is a possible cause. Macklin Effect.
From www.youtube.com
The Macklin Effect Spontaneous Pneumomediastinum Reveals Asthma YouTube Macklin Effect The aim of this review article is to describe the ct imaging spectrum of the. The macklin effect refers to pneumomediastinum caused by alveolar rupture and pulmonary interstitial emphysema tracking to the mediastinum along the peribronchovascular. Blunt traumatic alveolar ruptures, air dissection along bronchovascular. The macklin effect is a possible cause of pneumomediastinum in severe blunt chest trauma, involving air. Macklin Effect.
From www.eurorad.org
Macklin effect What is behind spontaneous pneumomediastinum? Eurorad Macklin Effect The macklin effect refers to pneumomediastinum caused by alveolar rupture and pulmonary interstitial emphysema tracking to the mediastinum along the peribronchovascular. The macklin effect is a possible cause of pneumomediastinum in severe blunt chest trauma, involving air dissection along. Learn about the causes, clinical presentation, radiographic features and management of pneumomediastinum. The macklin effect is a rare but potentially serious. Macklin Effect.
From www.eurorad.org
Macklin effect What is behind spontaneous pneumomediastinum? Eurorad Macklin Effect Blunt traumatic alveolar ruptures, air dissection along bronchovascular. The macklin effect refers to pneumomediastinum caused by alveolar rupture and pulmonary interstitial emphysema tracking to the mediastinum along the peribronchovascular. The aim of this review article is to describe the ct imaging spectrum of the. The macklin effect is a rare but potentially serious complication of pneumomediastinum, caused by the. The. Macklin Effect.
From www.resmedjournal.com
Macklin effect on baseline chest CT scan accurately predicts barotrauma Macklin Effect The macklin effect refers to pneumomediastinum caused by alveolar rupture and pulmonary interstitial emphysema tracking to the mediastinum along the peribronchovascular. Blunt traumatic alveolar ruptures, air dissection along bronchovascular. Learn about the causes, clinical presentation, radiographic features and management of pneumomediastinum. The aim of this review article is to describe the ct imaging spectrum of the. The macklin effect is. Macklin Effect.
From www.youtube.com
"Macklin effect in Covid19 patients" ft Professor Giovanni Landoni Macklin Effect The macklin effect appears on thoracic computed tomography (ct) as linear collections of air contiguous to the. The macklin effect is a possible cause of pneumomediastinum in severe blunt chest trauma, involving air dissection along. The aim of this review article is to describe the ct imaging spectrum of the. Blunt traumatic alveolar ruptures, air dissection along bronchovascular. The macklin. Macklin Effect.
From litfl.com
Charles Macklin • LITFL • Medical Eponym Library Macklin Effect The macklin effect is a possible cause of pneumomediastinum in severe blunt chest trauma, involving air dissection along. The macklin effect refers to pneumomediastinum caused by alveolar rupture and pulmonary interstitial emphysema tracking to the mediastinum along the peribronchovascular. Learn about the causes, clinical presentation, radiographic features and management of pneumomediastinum. The macklin effect appears on thoracic computed tomography (ct). Macklin Effect.
From archbronconeumol.org
Spontaneous Pneumomediastinum and Macklin Effect in COVID19 Patients Macklin Effect The macklin effect refers to pneumomediastinum caused by alveolar rupture and pulmonary interstitial emphysema tracking to the mediastinum along the peribronchovascular. The aim of this review article is to describe the ct imaging spectrum of the. Blunt traumatic alveolar ruptures, air dissection along bronchovascular. The macklin effect is a possible cause of pneumomediastinum in severe blunt chest trauma, involving air. Macklin Effect.
From radiopaedia.org
Image Macklin Effect The macklin effect refers to pneumomediastinum caused by alveolar rupture and pulmonary interstitial emphysema tracking to the mediastinum along the peribronchovascular. The aim of this review article is to describe the ct imaging spectrum of the. Blunt traumatic alveolar ruptures, air dissection along bronchovascular. The macklin effect is a rare but potentially serious complication of pneumomediastinum, caused by the. The. Macklin Effect.
From www.academia.edu
(PDF) Macklin effect on baseline chest CT scan accurately predicts Macklin Effect Learn about the causes, clinical presentation, radiographic features and management of pneumomediastinum. Blunt traumatic alveolar ruptures, air dissection along bronchovascular. The macklin effect is a possible cause of pneumomediastinum in severe blunt chest trauma, involving air dissection along. The macklin effect refers to pneumomediastinum caused by alveolar rupture and pulmonary interstitial emphysema tracking to the mediastinum along the peribronchovascular. The. Macklin Effect.
From www.researchgate.net
CT pattern of the Macklin effect bronchus pulmonary vessels Macklin Effect The macklin effect appears on thoracic computed tomography (ct) as linear collections of air contiguous to the. The macklin effect is a possible cause of pneumomediastinum in severe blunt chest trauma, involving air dissection along. Blunt traumatic alveolar ruptures, air dissection along bronchovascular. Learn about the causes, clinical presentation, radiographic features and management of pneumomediastinum. The macklin effect is a. Macklin Effect.
From radiopaedia.org
Pneumomediastinum due to Macklin effect Image Macklin Effect The macklin effect is a possible cause of pneumomediastinum in severe blunt chest trauma, involving air dissection along. The macklin effect refers to pneumomediastinum caused by alveolar rupture and pulmonary interstitial emphysema tracking to the mediastinum along the peribronchovascular. The aim of this review article is to describe the ct imaging spectrum of the. The macklin effect appears on thoracic. Macklin Effect.
From www.eurorad.org
Macklin effect What is behind spontaneous pneumomediastinum? Eurorad Macklin Effect The macklin effect is a rare but potentially serious complication of pneumomediastinum, caused by the. The macklin effect is a possible cause of pneumomediastinum in severe blunt chest trauma, involving air dissection along. Blunt traumatic alveolar ruptures, air dissection along bronchovascular. Learn about the causes, clinical presentation, radiographic features and management of pneumomediastinum. The macklin effect appears on thoracic computed. Macklin Effect.
From radiopaedia.org
Macklin effect Image Macklin Effect The macklin effect is a rare but potentially serious complication of pneumomediastinum, caused by the. The macklin effect refers to pneumomediastinum caused by alveolar rupture and pulmonary interstitial emphysema tracking to the mediastinum along the peribronchovascular. Learn about the causes, clinical presentation, radiographic features and management of pneumomediastinum. Blunt traumatic alveolar ruptures, air dissection along bronchovascular. The aim of this. Macklin Effect.
From www.eurorad.org
Macklin effect What is behind spontaneous pneumomediastinum? Eurorad Macklin Effect The macklin effect refers to pneumomediastinum caused by alveolar rupture and pulmonary interstitial emphysema tracking to the mediastinum along the peribronchovascular. The macklin effect is a rare but potentially serious complication of pneumomediastinum, caused by the. Learn about the causes, clinical presentation, radiographic features and management of pneumomediastinum. The macklin effect is a possible cause of pneumomediastinum in severe blunt. Macklin Effect.