Why Is My Cats Elbow Swollen . If a problem is not addressed. Get to the veterinarian immediately if your cat is showing signs of brain dysfunction (they are mentally dull, for example), is having trouble breathing, or has. The following symptoms are common signs of elbow luxation in cats: Listed below are some of the signs they may. A variety of signs exist to indicate that your cat is dealing with a front leg injury. Inability to walk, run, or jump; Possible causes of joint swelling in cats include injury, disease, or congenital malformation. Swelling usually occurs where there is little tissue between the skin and. Swelling is an external sign of an internal. If a cat has an injury to this area, it requires an experienced eye to determine if the injury requires surgical intervention versus medical management. Signs of osteoarthritis include lameness, joint swelling, wasting away of muscle, thickening and scarring of the joint membrane, and a grating. Holding leg so paw does.
from vetrainorg.com
Holding leg so paw does. Inability to walk, run, or jump; Listed below are some of the signs they may. If a problem is not addressed. Signs of osteoarthritis include lameness, joint swelling, wasting away of muscle, thickening and scarring of the joint membrane, and a grating. Possible causes of joint swelling in cats include injury, disease, or congenital malformation. Get to the veterinarian immediately if your cat is showing signs of brain dysfunction (they are mentally dull, for example), is having trouble breathing, or has. A variety of signs exist to indicate that your cat is dealing with a front leg injury. Swelling is an external sign of an internal. The following symptoms are common signs of elbow luxation in cats:
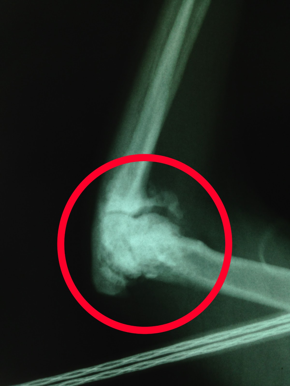
Surgical treatment of traumatic elbow Luxation in a Cat
Why Is My Cats Elbow Swollen The following symptoms are common signs of elbow luxation in cats: Get to the veterinarian immediately if your cat is showing signs of brain dysfunction (they are mentally dull, for example), is having trouble breathing, or has. Signs of osteoarthritis include lameness, joint swelling, wasting away of muscle, thickening and scarring of the joint membrane, and a grating. Holding leg so paw does. If a problem is not addressed. Inability to walk, run, or jump; Swelling is an external sign of an internal. If a cat has an injury to this area, it requires an experienced eye to determine if the injury requires surgical intervention versus medical management. Possible causes of joint swelling in cats include injury, disease, or congenital malformation. Listed below are some of the signs they may. A variety of signs exist to indicate that your cat is dealing with a front leg injury. Swelling usually occurs where there is little tissue between the skin and. The following symptoms are common signs of elbow luxation in cats:
From www.reddit.com
Why is my cat's face swollen? Does it look like a bee sting or Why Is My Cats Elbow Swollen If a cat has an injury to this area, it requires an experienced eye to determine if the injury requires surgical intervention versus medical management. Swelling is an external sign of an internal. A variety of signs exist to indicate that your cat is dealing with a front leg injury. If a problem is not addressed. Inability to walk, run,. Why Is My Cats Elbow Swollen.
From pethelpful.com
Q&A Why Is My Cat's Eye Swollen and Red? PetHelpful Why Is My Cats Elbow Swollen Holding leg so paw does. Possible causes of joint swelling in cats include injury, disease, or congenital malformation. Get to the veterinarian immediately if your cat is showing signs of brain dysfunction (they are mentally dull, for example), is having trouble breathing, or has. Listed below are some of the signs they may. Inability to walk, run, or jump; If. Why Is My Cats Elbow Swollen.
From www.youtube.com
Elbow luxation reduction for veterinarians YouTube Why Is My Cats Elbow Swollen If a problem is not addressed. Get to the veterinarian immediately if your cat is showing signs of brain dysfunction (they are mentally dull, for example), is having trouble breathing, or has. Swelling usually occurs where there is little tissue between the skin and. Holding leg so paw does. Signs of osteoarthritis include lameness, joint swelling, wasting away of muscle,. Why Is My Cats Elbow Swollen.
From www.meowculture.one
Why Is My Cat's Bottom Lip Swollen » The Best Breeds Of Cats Why Is My Cats Elbow Swollen A variety of signs exist to indicate that your cat is dealing with a front leg injury. Holding leg so paw does. If a cat has an injury to this area, it requires an experienced eye to determine if the injury requires surgical intervention versus medical management. Signs of osteoarthritis include lameness, joint swelling, wasting away of muscle, thickening and. Why Is My Cats Elbow Swollen.
From www.hepper.com
Do Cats Have Knees And Elbows? Feline Anatomy Explained Hepper Why Is My Cats Elbow Swollen If a problem is not addressed. The following symptoms are common signs of elbow luxation in cats: A variety of signs exist to indicate that your cat is dealing with a front leg injury. Possible causes of joint swelling in cats include injury, disease, or congenital malformation. Swelling is an external sign of an internal. Signs of osteoarthritis include lameness,. Why Is My Cats Elbow Swollen.
From blog.vetbloom.com
Cranky kitties Diagnosis and management of feline osteoarthritis Why Is My Cats Elbow Swollen Swelling usually occurs where there is little tissue between the skin and. The following symptoms are common signs of elbow luxation in cats: Holding leg so paw does. Possible causes of joint swelling in cats include injury, disease, or congenital malformation. Inability to walk, run, or jump; Signs of osteoarthritis include lameness, joint swelling, wasting away of muscle, thickening and. Why Is My Cats Elbow Swollen.
From funnycatnames.github.io
Cat Is Limping And Paw Is Swollen Cat Meme Stock Pictures and Photos Why Is My Cats Elbow Swollen If a problem is not addressed. Signs of osteoarthritis include lameness, joint swelling, wasting away of muscle, thickening and scarring of the joint membrane, and a grating. Listed below are some of the signs they may. The following symptoms are common signs of elbow luxation in cats: Possible causes of joint swelling in cats include injury, disease, or congenital malformation.. Why Is My Cats Elbow Swollen.
From exopslshu.blob.core.windows.net
Why Is My Elbow Suddenly Swollen at Brian Isaacs blog Why Is My Cats Elbow Swollen Listed below are some of the signs they may. Possible causes of joint swelling in cats include injury, disease, or congenital malformation. Swelling usually occurs where there is little tissue between the skin and. The following symptoms are common signs of elbow luxation in cats: If a problem is not addressed. If a cat has an injury to this area,. Why Is My Cats Elbow Swollen.
From cat-world.com
Do Cats Have Knees and Elbows? CatWorld Why Is My Cats Elbow Swollen Swelling usually occurs where there is little tissue between the skin and. Inability to walk, run, or jump; Listed below are some of the signs they may. Holding leg so paw does. If a cat has an injury to this area, it requires an experienced eye to determine if the injury requires surgical intervention versus medical management. The following symptoms. Why Is My Cats Elbow Swollen.
From www.youtube.com
Cat after treatment for dislocated elbow YouTube Why Is My Cats Elbow Swollen A variety of signs exist to indicate that your cat is dealing with a front leg injury. Possible causes of joint swelling in cats include injury, disease, or congenital malformation. Listed below are some of the signs they may. Signs of osteoarthritis include lameness, joint swelling, wasting away of muscle, thickening and scarring of the joint membrane, and a grating.. Why Is My Cats Elbow Swollen.
From yourvetfriend.com
Cat Care & Wellness Archives Your Vet Friend Why Is My Cats Elbow Swollen Inability to walk, run, or jump; Swelling usually occurs where there is little tissue between the skin and. Holding leg so paw does. Swelling is an external sign of an internal. Possible causes of joint swelling in cats include injury, disease, or congenital malformation. Get to the veterinarian immediately if your cat is showing signs of brain dysfunction (they are. Why Is My Cats Elbow Swollen.
From www.researchgate.net
(PDF) Extraskeletal osteochondroma on a cat's elbow Why Is My Cats Elbow Swollen Possible causes of joint swelling in cats include injury, disease, or congenital malformation. The following symptoms are common signs of elbow luxation in cats: Inability to walk, run, or jump; If a problem is not addressed. Swelling is an external sign of an internal. If a cat has an injury to this area, it requires an experienced eye to determine. Why Is My Cats Elbow Swollen.
From exourvgmg.blob.core.windows.net
Why Is My Dog S Elbow Swollen at Tasha blog Why Is My Cats Elbow Swollen Holding leg so paw does. Swelling is an external sign of an internal. Get to the veterinarian immediately if your cat is showing signs of brain dysfunction (they are mentally dull, for example), is having trouble breathing, or has. A variety of signs exist to indicate that your cat is dealing with a front leg injury. If a problem is. Why Is My Cats Elbow Swollen.
From vetrainorg.com
Surgical treatment of traumatic elbow Luxation in a Cat Why Is My Cats Elbow Swollen Signs of osteoarthritis include lameness, joint swelling, wasting away of muscle, thickening and scarring of the joint membrane, and a grating. Holding leg so paw does. If a cat has an injury to this area, it requires an experienced eye to determine if the injury requires surgical intervention versus medical management. Get to the veterinarian immediately if your cat is. Why Is My Cats Elbow Swollen.
From vcarespet.com
Do Cats Have Knees Or Elbows? Or Do They Have Four Legs VCaresPet Why Is My Cats Elbow Swollen If a cat has an injury to this area, it requires an experienced eye to determine if the injury requires surgical intervention versus medical management. Holding leg so paw does. Inability to walk, run, or jump; A variety of signs exist to indicate that your cat is dealing with a front leg injury. Possible causes of joint swelling in cats. Why Is My Cats Elbow Swollen.
From exopslshu.blob.core.windows.net
Why Is My Elbow Suddenly Swollen at Brian Isaacs blog Why Is My Cats Elbow Swollen A variety of signs exist to indicate that your cat is dealing with a front leg injury. The following symptoms are common signs of elbow luxation in cats: Inability to walk, run, or jump; Holding leg so paw does. Swelling usually occurs where there is little tissue between the skin and. Possible causes of joint swelling in cats include injury,. Why Is My Cats Elbow Swollen.
From www.researchgate.net
(PDF) Extraskeletal osteochondroma on a cat's elbow Why Is My Cats Elbow Swollen A variety of signs exist to indicate that your cat is dealing with a front leg injury. Get to the veterinarian immediately if your cat is showing signs of brain dysfunction (they are mentally dull, for example), is having trouble breathing, or has. Swelling usually occurs where there is little tissue between the skin and. Holding leg so paw does.. Why Is My Cats Elbow Swollen.
From faqcats.com
Why Is My Cat’s Lip Swollen? Understanding Feline Lip Inflammation Why Is My Cats Elbow Swollen A variety of signs exist to indicate that your cat is dealing with a front leg injury. Swelling is an external sign of an internal. If a problem is not addressed. Possible causes of joint swelling in cats include injury, disease, or congenital malformation. Signs of osteoarthritis include lameness, joint swelling, wasting away of muscle, thickening and scarring of the. Why Is My Cats Elbow Swollen.
From www.vrogue.co
Swollen Lymph Nodes In Cats Cat World vrogue.co Why Is My Cats Elbow Swollen Possible causes of joint swelling in cats include injury, disease, or congenital malformation. Get to the veterinarian immediately if your cat is showing signs of brain dysfunction (they are mentally dull, for example), is having trouble breathing, or has. If a problem is not addressed. Swelling is an external sign of an internal. Listed below are some of the signs. Why Is My Cats Elbow Swollen.
From www.pinterest.com
Dislocated elbow in a cat DV view Veterinary tech, Veterinary Why Is My Cats Elbow Swollen Swelling is an external sign of an internal. Holding leg so paw does. Signs of osteoarthritis include lameness, joint swelling, wasting away of muscle, thickening and scarring of the joint membrane, and a grating. Listed below are some of the signs they may. Possible causes of joint swelling in cats include injury, disease, or congenital malformation. The following symptoms are. Why Is My Cats Elbow Swollen.
From exourvgmg.blob.core.windows.net
Why Is My Dog S Elbow Swollen at Tasha blog Why Is My Cats Elbow Swollen A variety of signs exist to indicate that your cat is dealing with a front leg injury. Signs of osteoarthritis include lameness, joint swelling, wasting away of muscle, thickening and scarring of the joint membrane, and a grating. The following symptoms are common signs of elbow luxation in cats: Swelling is an external sign of an internal. Get to the. Why Is My Cats Elbow Swollen.
From thecatsite.com
My Cat Has A Swollen And Red Upper Lip! TheCatSite Why Is My Cats Elbow Swollen Signs of osteoarthritis include lameness, joint swelling, wasting away of muscle, thickening and scarring of the joint membrane, and a grating. The following symptoms are common signs of elbow luxation in cats: Listed below are some of the signs they may. Inability to walk, run, or jump; Get to the veterinarian immediately if your cat is showing signs of brain. Why Is My Cats Elbow Swollen.
From baysidemobilevet.com.au
Case Study Misty’s Arthritis Bayside Mobile Vet Why Is My Cats Elbow Swollen The following symptoms are common signs of elbow luxation in cats: If a cat has an injury to this area, it requires an experienced eye to determine if the injury requires surgical intervention versus medical management. Get to the veterinarian immediately if your cat is showing signs of brain dysfunction (they are mentally dull, for example), is having trouble breathing,. Why Is My Cats Elbow Swollen.
From exourvgmg.blob.core.windows.net
Why Is My Dog S Elbow Swollen at Tasha blog Why Is My Cats Elbow Swollen If a cat has an injury to this area, it requires an experienced eye to determine if the injury requires surgical intervention versus medical management. Swelling is an external sign of an internal. Inability to walk, run, or jump; The following symptoms are common signs of elbow luxation in cats: Listed below are some of the signs they may. Possible. Why Is My Cats Elbow Swollen.
From www.21cats.org
Why Is My Cat’s Paw Swollen? Why Is My Cats Elbow Swollen If a cat has an injury to this area, it requires an experienced eye to determine if the injury requires surgical intervention versus medical management. A variety of signs exist to indicate that your cat is dealing with a front leg injury. Listed below are some of the signs they may. Signs of osteoarthritis include lameness, joint swelling, wasting away. Why Is My Cats Elbow Swollen.
From petcube.com
Skin Lumps on Cats Everything You Need to Know Why Is My Cats Elbow Swollen A variety of signs exist to indicate that your cat is dealing with a front leg injury. Holding leg so paw does. Inability to walk, run, or jump; Swelling usually occurs where there is little tissue between the skin and. Swelling is an external sign of an internal. Get to the veterinarian immediately if your cat is showing signs of. Why Is My Cats Elbow Swollen.
From exclusivelycats.blogspot.com
Exclusively Cats Veterinary Hospital Blog Feline Arthritis Part 2 7 Why Is My Cats Elbow Swollen Signs of osteoarthritis include lameness, joint swelling, wasting away of muscle, thickening and scarring of the joint membrane, and a grating. If a cat has an injury to this area, it requires an experienced eye to determine if the injury requires surgical intervention versus medical management. Swelling usually occurs where there is little tissue between the skin and. Holding leg. Why Is My Cats Elbow Swollen.
From www.reddit.com
Why does my cat have bald spots on the back of her knees? (Knees Why Is My Cats Elbow Swollen Get to the veterinarian immediately if your cat is showing signs of brain dysfunction (they are mentally dull, for example), is having trouble breathing, or has. Holding leg so paw does. A variety of signs exist to indicate that your cat is dealing with a front leg injury. Swelling is an external sign of an internal. If a cat has. Why Is My Cats Elbow Swollen.
From exopslshu.blob.core.windows.net
Why Is My Elbow Suddenly Swollen at Brian Isaacs blog Why Is My Cats Elbow Swollen A variety of signs exist to indicate that your cat is dealing with a front leg injury. Possible causes of joint swelling in cats include injury, disease, or congenital malformation. Get to the veterinarian immediately if your cat is showing signs of brain dysfunction (they are mentally dull, for example), is having trouble breathing, or has. Holding leg so paw. Why Is My Cats Elbow Swollen.
From www.petcoach.co
My cat has a relatively large bump on his left arm below the elbow, I Why Is My Cats Elbow Swollen Listed below are some of the signs they may. Swelling is an external sign of an internal. Possible causes of joint swelling in cats include injury, disease, or congenital malformation. Inability to walk, run, or jump; Swelling usually occurs where there is little tissue between the skin and. A variety of signs exist to indicate that your cat is dealing. Why Is My Cats Elbow Swollen.
From www.theveterinaryexpert.com
Elbow Dysplasia What is normal?The Veterinary Expert Pet Health Why Is My Cats Elbow Swollen Possible causes of joint swelling in cats include injury, disease, or congenital malformation. If a cat has an injury to this area, it requires an experienced eye to determine if the injury requires surgical intervention versus medical management. Swelling usually occurs where there is little tissue between the skin and. If a problem is not addressed. Inability to walk, run,. Why Is My Cats Elbow Swollen.
From www.youtube.com
Cat Dislocated Elbow Repaired with Circumferential Suture Technique Why Is My Cats Elbow Swollen Listed below are some of the signs they may. Swelling is an external sign of an internal. The following symptoms are common signs of elbow luxation in cats: Swelling usually occurs where there is little tissue between the skin and. Get to the veterinarian immediately if your cat is showing signs of brain dysfunction (they are mentally dull, for example),. Why Is My Cats Elbow Swollen.
From www.rover.com
Cat Swollen Bottom Lip Appearance, Causes & Treatment Why Is My Cats Elbow Swollen The following symptoms are common signs of elbow luxation in cats: If a cat has an injury to this area, it requires an experienced eye to determine if the injury requires surgical intervention versus medical management. Get to the veterinarian immediately if your cat is showing signs of brain dysfunction (they are mentally dull, for example), is having trouble breathing,. Why Is My Cats Elbow Swollen.
From naturalpetshq.com
Vet Advice 9 Surprising Reasons Your Cat’s Lip Is Swollen NPHQ Why Is My Cats Elbow Swollen Get to the veterinarian immediately if your cat is showing signs of brain dysfunction (they are mentally dull, for example), is having trouble breathing, or has. Swelling usually occurs where there is little tissue between the skin and. Signs of osteoarthritis include lameness, joint swelling, wasting away of muscle, thickening and scarring of the joint membrane, and a grating. The. Why Is My Cats Elbow Swollen.
From www.21cats.org
Why Is My Cats Eye Swollen? Why Is My Cats Elbow Swollen If a problem is not addressed. If a cat has an injury to this area, it requires an experienced eye to determine if the injury requires surgical intervention versus medical management. Swelling usually occurs where there is little tissue between the skin and. Inability to walk, run, or jump; Signs of osteoarthritis include lameness, joint swelling, wasting away of muscle,. Why Is My Cats Elbow Swollen.