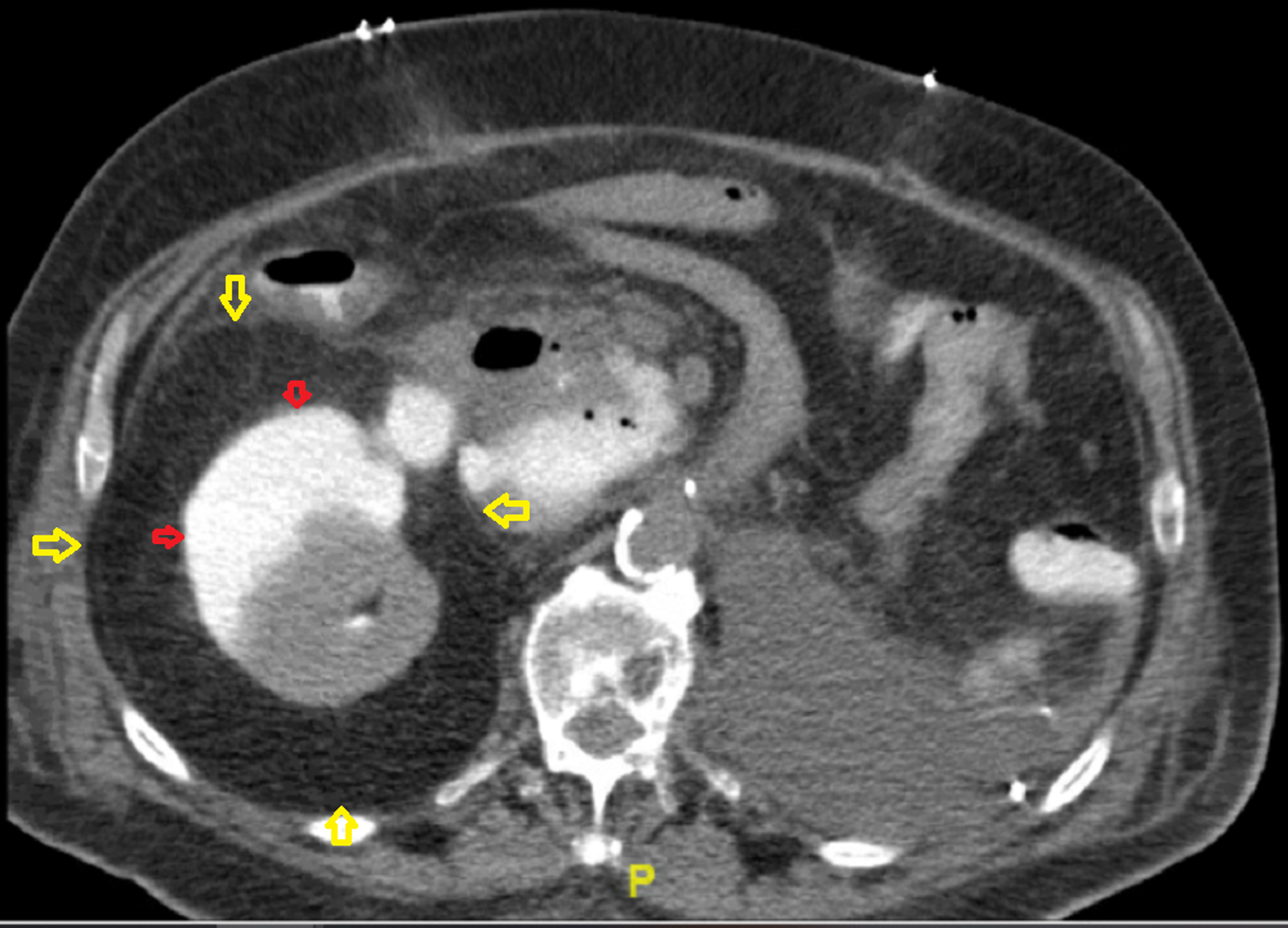
Post Renal Transplant Fluid Collections . Twelve days after transplant, there was a significant reduction in diuresis, serum creatinine started to increase, and clear fluid leaked from the. Delay in recognizing and management can lead to graft. Perinephric fluid collections post renal transplant are common. Twelve days after transplant, there was a significant reduction in diuresis, serum creatinine started to increase, and clear fluid. Perirenal transplant fluid collections can be associated with renal transplants at any time in the immediate postoperative period to many months. Perirenal fluid collections are a common surgical complication postrenal transplant that may lead to early graft loss, considerable morbidity, and. These collections can present at any point in time from the immediate post transplant period to several months post transplantation and can be incidental. We were evaluating a kidney transplant recipient three weeks after surgery who presented with a rise in. The appearance of a perinephric fluid collection after renal.
from www.jvir.org
These collections can present at any point in time from the immediate post transplant period to several months post transplantation and can be incidental. Delay in recognizing and management can lead to graft. The appearance of a perinephric fluid collection after renal. Twelve days after transplant, there was a significant reduction in diuresis, serum creatinine started to increase, and clear fluid leaked from the. We were evaluating a kidney transplant recipient three weeks after surgery who presented with a rise in. Perinephric fluid collections post renal transplant are common. Perirenal transplant fluid collections can be associated with renal transplants at any time in the immediate postoperative period to many months. Perirenal fluid collections are a common surgical complication postrenal transplant that may lead to early graft loss, considerable morbidity, and. Twelve days after transplant, there was a significant reduction in diuresis, serum creatinine started to increase, and clear fluid.
Management of Lymphoceles after Renal Transplant Case Report of a
Post Renal Transplant Fluid Collections These collections can present at any point in time from the immediate post transplant period to several months post transplantation and can be incidental. Delay in recognizing and management can lead to graft. Twelve days after transplant, there was a significant reduction in diuresis, serum creatinine started to increase, and clear fluid. Twelve days after transplant, there was a significant reduction in diuresis, serum creatinine started to increase, and clear fluid leaked from the. Perinephric fluid collections post renal transplant are common. Perirenal transplant fluid collections can be associated with renal transplants at any time in the immediate postoperative period to many months. These collections can present at any point in time from the immediate post transplant period to several months post transplantation and can be incidental. The appearance of a perinephric fluid collection after renal. Perirenal fluid collections are a common surgical complication postrenal transplant that may lead to early graft loss, considerable morbidity, and. We were evaluating a kidney transplant recipient three weeks after surgery who presented with a rise in.
From apollomedicslucknow.blogspot.com
Kidney Transplant at Apollomedics Hospitals Post Renal Transplant Fluid Collections Twelve days after transplant, there was a significant reduction in diuresis, serum creatinine started to increase, and clear fluid. Twelve days after transplant, there was a significant reduction in diuresis, serum creatinine started to increase, and clear fluid leaked from the. The appearance of a perinephric fluid collection after renal. We were evaluating a kidney transplant recipient three weeks after. Post Renal Transplant Fluid Collections.
From teachmesurgery.com
Renal Transplantation TeachMeSurgery Post Renal Transplant Fluid Collections Twelve days after transplant, there was a significant reduction in diuresis, serum creatinine started to increase, and clear fluid leaked from the. Perinephric fluid collections post renal transplant are common. Delay in recognizing and management can lead to graft. Twelve days after transplant, there was a significant reduction in diuresis, serum creatinine started to increase, and clear fluid. Perirenal transplant. Post Renal Transplant Fluid Collections.
From pubs.rsna.org
Imaging of Renal Transplant Complications throughout the Life of the Post Renal Transplant Fluid Collections Delay in recognizing and management can lead to graft. Twelve days after transplant, there was a significant reduction in diuresis, serum creatinine started to increase, and clear fluid. Twelve days after transplant, there was a significant reduction in diuresis, serum creatinine started to increase, and clear fluid leaked from the. Perirenal fluid collections are a common surgical complication postrenal transplant. Post Renal Transplant Fluid Collections.
From www.slideserve.com
PPT Introduction to Kidney Transplantation PowerPoint Presentation Post Renal Transplant Fluid Collections Perinephric fluid collections post renal transplant are common. Perirenal fluid collections are a common surgical complication postrenal transplant that may lead to early graft loss, considerable morbidity, and. Twelve days after transplant, there was a significant reduction in diuresis, serum creatinine started to increase, and clear fluid leaked from the. The appearance of a perinephric fluid collection after renal. These. Post Renal Transplant Fluid Collections.
From tech.snmjournals.org
Small Urine Leak After Renal Transplantation Detection by Delayed Post Renal Transplant Fluid Collections Perirenal transplant fluid collections can be associated with renal transplants at any time in the immediate postoperative period to many months. The appearance of a perinephric fluid collection after renal. These collections can present at any point in time from the immediate post transplant period to several months post transplantation and can be incidental. Twelve days after transplant, there was. Post Renal Transplant Fluid Collections.
From www.mdpi.com
Transplantology Free FullText Advances in Hypothermic and Post Renal Transplant Fluid Collections Delay in recognizing and management can lead to graft. These collections can present at any point in time from the immediate post transplant period to several months post transplantation and can be incidental. We were evaluating a kidney transplant recipient three weeks after surgery who presented with a rise in. Perinephric fluid collections post renal transplant are common. Perirenal transplant. Post Renal Transplant Fluid Collections.
From www.researchgate.net
(PDF) The role of the nurse postrenal transplantation Post Renal Transplant Fluid Collections The appearance of a perinephric fluid collection after renal. These collections can present at any point in time from the immediate post transplant period to several months post transplantation and can be incidental. Delay in recognizing and management can lead to graft. Perirenal fluid collections are a common surgical complication postrenal transplant that may lead to early graft loss, considerable. Post Renal Transplant Fluid Collections.
From pubs.rsna.org
Imaging of Renal Transplant Complications throughout the Life of the Post Renal Transplant Fluid Collections Perirenal fluid collections are a common surgical complication postrenal transplant that may lead to early graft loss, considerable morbidity, and. Twelve days after transplant, there was a significant reduction in diuresis, serum creatinine started to increase, and clear fluid. We were evaluating a kidney transplant recipient three weeks after surgery who presented with a rise in. These collections can present. Post Renal Transplant Fluid Collections.
From klapdhwlp.blob.core.windows.net
Zinc Kidney Transplant at Carri Batty blog Post Renal Transplant Fluid Collections The appearance of a perinephric fluid collection after renal. These collections can present at any point in time from the immediate post transplant period to several months post transplantation and can be incidental. Perinephric fluid collections post renal transplant are common. Twelve days after transplant, there was a significant reduction in diuresis, serum creatinine started to increase, and clear fluid. Post Renal Transplant Fluid Collections.
From www.youtube.com
Fluid therapy for kidney transplant surgery YouTube Post Renal Transplant Fluid Collections Perirenal transplant fluid collections can be associated with renal transplants at any time in the immediate postoperative period to many months. These collections can present at any point in time from the immediate post transplant period to several months post transplantation and can be incidental. The appearance of a perinephric fluid collection after renal. Delay in recognizing and management can. Post Renal Transplant Fluid Collections.
From pocusjournal.com
Massive Lymphocele Associated with Allograft Hydronephrosis An Post Renal Transplant Fluid Collections The appearance of a perinephric fluid collection after renal. Perirenal fluid collections are a common surgical complication postrenal transplant that may lead to early graft loss, considerable morbidity, and. Delay in recognizing and management can lead to graft. These collections can present at any point in time from the immediate post transplant period to several months post transplantation and can. Post Renal Transplant Fluid Collections.
From www.science.org
A urine score for noninvasive accurate diagnosis and prediction of Post Renal Transplant Fluid Collections We were evaluating a kidney transplant recipient three weeks after surgery who presented with a rise in. Perirenal fluid collections are a common surgical complication postrenal transplant that may lead to early graft loss, considerable morbidity, and. Twelve days after transplant, there was a significant reduction in diuresis, serum creatinine started to increase, and clear fluid. Twelve days after transplant,. Post Renal Transplant Fluid Collections.
From estupidficada.blogspot.com
kidney transplant life expectancy uk Jamila Dabney Post Renal Transplant Fluid Collections These collections can present at any point in time from the immediate post transplant period to several months post transplantation and can be incidental. The appearance of a perinephric fluid collection after renal. Perinephric fluid collections post renal transplant are common. Twelve days after transplant, there was a significant reduction in diuresis, serum creatinine started to increase, and clear fluid.. Post Renal Transplant Fluid Collections.
From www.frontiersin.org
Frontiers Progress in kidney transplantation The role for systems Post Renal Transplant Fluid Collections The appearance of a perinephric fluid collection after renal. Delay in recognizing and management can lead to graft. Perirenal transplant fluid collections can be associated with renal transplants at any time in the immediate postoperative period to many months. Twelve days after transplant, there was a significant reduction in diuresis, serum creatinine started to increase, and clear fluid. Perirenal fluid. Post Renal Transplant Fluid Collections.
From atcmeetingabstracts.com
Conversion from Immediate to ExtendedRelease Tacrolimus (LCPTac) Six Post Renal Transplant Fluid Collections These collections can present at any point in time from the immediate post transplant period to several months post transplantation and can be incidental. Delay in recognizing and management can lead to graft. Perinephric fluid collections post renal transplant are common. The appearance of a perinephric fluid collection after renal. Perirenal transplant fluid collections can be associated with renal transplants. Post Renal Transplant Fluid Collections.
From www.renalandurologynews.com
Kidney Transplantation Diagnosis and Management of Early Graft Post Renal Transplant Fluid Collections Perirenal fluid collections are a common surgical complication postrenal transplant that may lead to early graft loss, considerable morbidity, and. Delay in recognizing and management can lead to graft. Perirenal transplant fluid collections can be associated with renal transplants at any time in the immediate postoperative period to many months. These collections can present at any point in time from. Post Renal Transplant Fluid Collections.
From www.slideserve.com
PPT Role of Ultrasound In Renal Transplantation PowerPoint Post Renal Transplant Fluid Collections The appearance of a perinephric fluid collection after renal. Delay in recognizing and management can lead to graft. Perirenal transplant fluid collections can be associated with renal transplants at any time in the immediate postoperative period to many months. Twelve days after transplant, there was a significant reduction in diuresis, serum creatinine started to increase, and clear fluid. We were. Post Renal Transplant Fluid Collections.
From www.bmj.com
Renal transplantation in adults The BMJ Post Renal Transplant Fluid Collections These collections can present at any point in time from the immediate post transplant period to several months post transplantation and can be incidental. Perinephric fluid collections post renal transplant are common. Delay in recognizing and management can lead to graft. Twelve days after transplant, there was a significant reduction in diuresis, serum creatinine started to increase, and clear fluid.. Post Renal Transplant Fluid Collections.
From www.clinicalradiologyonline.net
Nuclear medicine imaging findings in endstage renal disease and renal Post Renal Transplant Fluid Collections The appearance of a perinephric fluid collection after renal. Perinephric fluid collections post renal transplant are common. These collections can present at any point in time from the immediate post transplant period to several months post transplantation and can be incidental. Twelve days after transplant, there was a significant reduction in diuresis, serum creatinine started to increase, and clear fluid. Post Renal Transplant Fluid Collections.
From caredx.com
Infections and Kidney Transplant Patients What to Know CareDx Post Renal Transplant Fluid Collections Twelve days after transplant, there was a significant reduction in diuresis, serum creatinine started to increase, and clear fluid leaked from the. Twelve days after transplant, there was a significant reduction in diuresis, serum creatinine started to increase, and clear fluid. These collections can present at any point in time from the immediate post transplant period to several months post. Post Renal Transplant Fluid Collections.
From www.cureus.com
Cureus Page Kidney From a Subcapsular Urinoma Following Contralateral Post Renal Transplant Fluid Collections Perirenal transplant fluid collections can be associated with renal transplants at any time in the immediate postoperative period to many months. Twelve days after transplant, there was a significant reduction in diuresis, serum creatinine started to increase, and clear fluid. Delay in recognizing and management can lead to graft. We were evaluating a kidney transplant recipient three weeks after surgery. Post Renal Transplant Fluid Collections.
From www.researchgate.net
Selected common factors contributing to posttransplant hypertension Post Renal Transplant Fluid Collections Perinephric fluid collections post renal transplant are common. Twelve days after transplant, there was a significant reduction in diuresis, serum creatinine started to increase, and clear fluid. Delay in recognizing and management can lead to graft. The appearance of a perinephric fluid collection after renal. We were evaluating a kidney transplant recipient three weeks after surgery who presented with a. Post Renal Transplant Fluid Collections.
From www.sriramakrishnahospital.com
Understanding the procedure of Renal Transplantation Surgery Sri Post Renal Transplant Fluid Collections Twelve days after transplant, there was a significant reduction in diuresis, serum creatinine started to increase, and clear fluid. Delay in recognizing and management can lead to graft. We were evaluating a kidney transplant recipient three weeks after surgery who presented with a rise in. Perinephric fluid collections post renal transplant are common. Perirenal transplant fluid collections can be associated. Post Renal Transplant Fluid Collections.
From www.slideshare.net
37 fluid collections around the transplanted kidney Post Renal Transplant Fluid Collections Delay in recognizing and management can lead to graft. Perirenal transplant fluid collections can be associated with renal transplants at any time in the immediate postoperative period to many months. Twelve days after transplant, there was a significant reduction in diuresis, serum creatinine started to increase, and clear fluid. These collections can present at any point in time from the. Post Renal Transplant Fluid Collections.
From www.mdpi.com
JCM Free FullText Recent Advances and Clinical of Kidney Post Renal Transplant Fluid Collections Delay in recognizing and management can lead to graft. The appearance of a perinephric fluid collection after renal. Perirenal fluid collections are a common surgical complication postrenal transplant that may lead to early graft loss, considerable morbidity, and. Twelve days after transplant, there was a significant reduction in diuresis, serum creatinine started to increase, and clear fluid. These collections can. Post Renal Transplant Fluid Collections.
From radiology-information.blogspot.com
Ultrasound images Fluid collections associated with transplantation of Post Renal Transplant Fluid Collections Perinephric fluid collections post renal transplant are common. The appearance of a perinephric fluid collection after renal. We were evaluating a kidney transplant recipient three weeks after surgery who presented with a rise in. Twelve days after transplant, there was a significant reduction in diuresis, serum creatinine started to increase, and clear fluid leaked from the. Perirenal transplant fluid collections. Post Renal Transplant Fluid Collections.
From www.researchgate.net
(PDF) Perirenal Transplant Fluid Collections Post Renal Transplant Fluid Collections We were evaluating a kidney transplant recipient three weeks after surgery who presented with a rise in. Delay in recognizing and management can lead to graft. Perirenal transplant fluid collections can be associated with renal transplants at any time in the immediate postoperative period to many months. Perirenal fluid collections are a common surgical complication postrenal transplant that may lead. Post Renal Transplant Fluid Collections.
From www.youtube.com
On Call USG Dr Sanjeev Mani URINOMA SUBCAPSULAR PERINEPHRIC Post Renal Transplant Fluid Collections Delay in recognizing and management can lead to graft. Perirenal fluid collections are a common surgical complication postrenal transplant that may lead to early graft loss, considerable morbidity, and. Perirenal transplant fluid collections can be associated with renal transplants at any time in the immediate postoperative period to many months. Twelve days after transplant, there was a significant reduction in. Post Renal Transplant Fluid Collections.
From www.radiologic.theclinics.com
Imaging Complications of Renal Transplantation Radiologic Clinics Post Renal Transplant Fluid Collections We were evaluating a kidney transplant recipient three weeks after surgery who presented with a rise in. Perirenal fluid collections are a common surgical complication postrenal transplant that may lead to early graft loss, considerable morbidity, and. The appearance of a perinephric fluid collection after renal. Twelve days after transplant, there was a significant reduction in diuresis, serum creatinine started. Post Renal Transplant Fluid Collections.
From www.jvir.org
Management of Lymphoceles after Renal Transplant Case Report of a Post Renal Transplant Fluid Collections Perinephric fluid collections post renal transplant are common. The appearance of a perinephric fluid collection after renal. These collections can present at any point in time from the immediate post transplant period to several months post transplantation and can be incidental. We were evaluating a kidney transplant recipient three weeks after surgery who presented with a rise in. Perirenal fluid. Post Renal Transplant Fluid Collections.
From www.nirujahealthtech.com
Kidney transplant PostOperative Care Post Renal Transplant Fluid Collections Delay in recognizing and management can lead to graft. Twelve days after transplant, there was a significant reduction in diuresis, serum creatinine started to increase, and clear fluid. Perirenal transplant fluid collections can be associated with renal transplants at any time in the immediate postoperative period to many months. Twelve days after transplant, there was a significant reduction in diuresis,. Post Renal Transplant Fluid Collections.
From efsumb.org
Peripancreatic fluid collection [2 images] EFSUMB Post Renal Transplant Fluid Collections Twelve days after transplant, there was a significant reduction in diuresis, serum creatinine started to increase, and clear fluid leaked from the. We were evaluating a kidney transplant recipient three weeks after surgery who presented with a rise in. Delay in recognizing and management can lead to graft. The appearance of a perinephric fluid collection after renal. Twelve days after. Post Renal Transplant Fluid Collections.
From www.researchgate.net
A fluid collection located next to a renal grafta suspicion of a Post Renal Transplant Fluid Collections The appearance of a perinephric fluid collection after renal. Delay in recognizing and management can lead to graft. Twelve days after transplant, there was a significant reduction in diuresis, serum creatinine started to increase, and clear fluid leaked from the. Twelve days after transplant, there was a significant reduction in diuresis, serum creatinine started to increase, and clear fluid. We. Post Renal Transplant Fluid Collections.
From www.mdpi.com
Transplantology Free FullText Dyslipidemia in Renal Transplant Post Renal Transplant Fluid Collections These collections can present at any point in time from the immediate post transplant period to several months post transplantation and can be incidental. The appearance of a perinephric fluid collection after renal. Twelve days after transplant, there was a significant reduction in diuresis, serum creatinine started to increase, and clear fluid. Perinephric fluid collections post renal transplant are common.. Post Renal Transplant Fluid Collections.
From www.bmj.com
Renal transplantation in adults The BMJ Post Renal Transplant Fluid Collections Perirenal fluid collections are a common surgical complication postrenal transplant that may lead to early graft loss, considerable morbidity, and. The appearance of a perinephric fluid collection after renal. Twelve days after transplant, there was a significant reduction in diuresis, serum creatinine started to increase, and clear fluid leaked from the. We were evaluating a kidney transplant recipient three weeks. Post Renal Transplant Fluid Collections.