Shin Splints Horses . If the problem is neglected then it can cause a horse major injury and even lameness. You can manage most splints easily with help from your veterinarian, minimal downtime from exercise, and medical therapy. Saucer fractures can also be referred to as sore shins or bucked shins, that can arise when a horse experiences high levels of exertion whilst being worked or as a result of being exposed to hard and uneven surfaces when they are not fully conditioned. Sometimes horses will display signs of lameness. Bucked shins are tiny stress fractures in the front of the cannon bones. Bucked shins or dorsal metacarpal periostitis, is an important problem in horses in the racing industry, characterized as a condition causing. Signs of bucked shins include pain, and swelling around the area, which at first is soft, then becomes hard and feels like bone. Splint bone injuries are common in both working and pastured horses. Horse shin splints need to be treated quickly. Bucked shins is a painful, acute periostitis on the dorsal surface of the third metacarpal bone. Splints in horses are hard lumps, which are actually bony enlargements found on the side of the horse’s leg between the knee and the fetlock joint, located where the splint bone runs down on.
        
        from horseracingsense.com 
     
        
        Signs of bucked shins include pain, and swelling around the area, which at first is soft, then becomes hard and feels like bone. Bucked shins are tiny stress fractures in the front of the cannon bones. Bucked shins or dorsal metacarpal periostitis, is an important problem in horses in the racing industry, characterized as a condition causing. You can manage most splints easily with help from your veterinarian, minimal downtime from exercise, and medical therapy. Horse shin splints need to be treated quickly. Sometimes horses will display signs of lameness. Splint bone injuries are common in both working and pastured horses. If the problem is neglected then it can cause a horse major injury and even lameness. Splints in horses are hard lumps, which are actually bony enlargements found on the side of the horse’s leg between the knee and the fetlock joint, located where the splint bone runs down on. Saucer fractures can also be referred to as sore shins or bucked shins, that can arise when a horse experiences high levels of exertion whilst being worked or as a result of being exposed to hard and uneven surfaces when they are not fully conditioned.
    
    	
            
	
		 
         
    Bucked Shins In Horses Causes, Treatment, And Prevention 
    Shin Splints Horses  Splints in horses are hard lumps, which are actually bony enlargements found on the side of the horse’s leg between the knee and the fetlock joint, located where the splint bone runs down on. Horse shin splints need to be treated quickly. Splints in horses are hard lumps, which are actually bony enlargements found on the side of the horse’s leg between the knee and the fetlock joint, located where the splint bone runs down on. Sometimes horses will display signs of lameness. Splint bone injuries are common in both working and pastured horses. If the problem is neglected then it can cause a horse major injury and even lameness. Bucked shins or dorsal metacarpal periostitis, is an important problem in horses in the racing industry, characterized as a condition causing. Bucked shins is a painful, acute periostitis on the dorsal surface of the third metacarpal bone. Signs of bucked shins include pain, and swelling around the area, which at first is soft, then becomes hard and feels like bone. Bucked shins are tiny stress fractures in the front of the cannon bones. Saucer fractures can also be referred to as sore shins or bucked shins, that can arise when a horse experiences high levels of exertion whilst being worked or as a result of being exposed to hard and uneven surfaces when they are not fully conditioned. You can manage most splints easily with help from your veterinarian, minimal downtime from exercise, and medical therapy.
            
	
		 
         
 
    
        From horseracingsense.com 
                    Bucked Shins In Horses Causes, Treatment, And Prevention Shin Splints Horses  You can manage most splints easily with help from your veterinarian, minimal downtime from exercise, and medical therapy. Saucer fractures can also be referred to as sore shins or bucked shins, that can arise when a horse experiences high levels of exertion whilst being worked or as a result of being exposed to hard and uneven surfaces when they are. Shin Splints Horses.
     
    
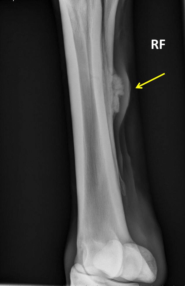
        From www.pinterest.com 
                    What to do about splint injuries in horses! https//www.proequinegrooms Shin Splints Horses  Splint bone injuries are common in both working and pastured horses. Bucked shins or dorsal metacarpal periostitis, is an important problem in horses in the racing industry, characterized as a condition causing. Bucked shins is a painful, acute periostitis on the dorsal surface of the third metacarpal bone. Horse shin splints need to be treated quickly. Splints in horses are. Shin Splints Horses.
     
    
        From horseracingsense.com 
                    Bucked Shins In Horses Causes, Treatment, And Prevention Shin Splints Horses  If the problem is neglected then it can cause a horse major injury and even lameness. Saucer fractures can also be referred to as sore shins or bucked shins, that can arise when a horse experiences high levels of exertion whilst being worked or as a result of being exposed to hard and uneven surfaces when they are not fully. Shin Splints Horses.
     
    
        From hughston.com 
                    How to Manage Shin Splints Hughston Clinic Shin Splints Horses  If the problem is neglected then it can cause a horse major injury and even lameness. Signs of bucked shins include pain, and swelling around the area, which at first is soft, then becomes hard and feels like bone. Horse shin splints need to be treated quickly. Sometimes horses will display signs of lameness. Bucked shins are tiny stress fractures. Shin Splints Horses.
     
    
        From cmapsconverted.ihmc.us 
                    VET 2018 LAS Group E Lab 4 Equine Lameness How does one investigate Shin Splints Horses  Signs of bucked shins include pain, and swelling around the area, which at first is soft, then becomes hard and feels like bone. Saucer fractures can also be referred to as sore shins or bucked shins, that can arise when a horse experiences high levels of exertion whilst being worked or as a result of being exposed to hard and. Shin Splints Horses.
     
    
        From animaltherapeutics.com.au 
                    Splints In Horses Causes, Diagnosis & Treatment Options Shin Splints Horses  If the problem is neglected then it can cause a horse major injury and even lameness. Bucked shins are tiny stress fractures in the front of the cannon bones. Saucer fractures can also be referred to as sore shins or bucked shins, that can arise when a horse experiences high levels of exertion whilst being worked or as a result. Shin Splints Horses.
     
    
        From www.beh.com.au 
                    Digital Radiology Barwon Equine Hospital Shin Splints Horses  You can manage most splints easily with help from your veterinarian, minimal downtime from exercise, and medical therapy. Bucked shins is a painful, acute periostitis on the dorsal surface of the third metacarpal bone. Horse shin splints need to be treated quickly. Bucked shins are tiny stress fractures in the front of the cannon bones. If the problem is neglected. Shin Splints Horses.
     
    
        From www.youtube.com 
                    EquiTaping a Suspensory Ligament & Providing Tendon Support YouTube Shin Splints Horses  Saucer fractures can also be referred to as sore shins or bucked shins, that can arise when a horse experiences high levels of exertion whilst being worked or as a result of being exposed to hard and uneven surfaces when they are not fully conditioned. Bucked shins are tiny stress fractures in the front of the cannon bones. Signs of. Shin Splints Horses.
     
    
        From horsesoup.com 
                    Horse Splints How To Detect And Treat Your Horse Shin Splints Horses  You can manage most splints easily with help from your veterinarian, minimal downtime from exercise, and medical therapy. If the problem is neglected then it can cause a horse major injury and even lameness. Signs of bucked shins include pain, and swelling around the area, which at first is soft, then becomes hard and feels like bone. Horse shin splints. Shin Splints Horses.
     
    
        From www.ehow.co.uk 
                    Treatments for equine shin splints eHow UK Shin Splints Horses  Saucer fractures can also be referred to as sore shins or bucked shins, that can arise when a horse experiences high levels of exertion whilst being worked or as a result of being exposed to hard and uneven surfaces when they are not fully conditioned. Sometimes horses will display signs of lameness. Bucked shins or dorsal metacarpal periostitis, is an. Shin Splints Horses.
     
    
        From www.thehorsesadvocate.com 
                    Splints Of The Cannon Bone The Horse's Advocate Shin Splints Horses  Horse shin splints need to be treated quickly. Bucked shins are tiny stress fractures in the front of the cannon bones. Signs of bucked shins include pain, and swelling around the area, which at first is soft, then becomes hard and feels like bone. Bucked shins or dorsal metacarpal periostitis, is an important problem in horses in the racing industry,. Shin Splints Horses.
     
    
        From ponytrain.com 
                    The Most Common Horse Racing Injuries Shin Splints Horses  If the problem is neglected then it can cause a horse major injury and even lameness. Saucer fractures can also be referred to as sore shins or bucked shins, that can arise when a horse experiences high levels of exertion whilst being worked or as a result of being exposed to hard and uneven surfaces when they are not fully. Shin Splints Horses.
     
    
        From www.pinterest.com.mx 
                    Anatomy of the Equine Hindleg Equines, Horses, Horse anatomy Shin Splints Horses  Bucked shins are tiny stress fractures in the front of the cannon bones. Splints in horses are hard lumps, which are actually bony enlargements found on the side of the horse’s leg between the knee and the fetlock joint, located where the splint bone runs down on. Horse shin splints need to be treated quickly. You can manage most splints. Shin Splints Horses.
     
    
        From horsesidevetguide.com 
                    Fracture of Cannon Bone, Complete Horse Side Vet Guide Shin Splints Horses  Saucer fractures can also be referred to as sore shins or bucked shins, that can arise when a horse experiences high levels of exertion whilst being worked or as a result of being exposed to hard and uneven surfaces when they are not fully conditioned. You can manage most splints easily with help from your veterinarian, minimal downtime from exercise,. Shin Splints Horses.
     
    
        From horsesidevetguide.com 
                    Lameness Exam Horse Side Vet Guide Shin Splints Horses  Bucked shins are tiny stress fractures in the front of the cannon bones. Splints in horses are hard lumps, which are actually bony enlargements found on the side of the horse’s leg between the knee and the fetlock joint, located where the splint bone runs down on. Splint bone injuries are common in both working and pastured horses. Sometimes horses. Shin Splints Horses.
     
    
        From www.drloujacobs.com 
                    shin splints Jacobs Chiropractic Acupuncture Shin Splints Horses  Signs of bucked shins include pain, and swelling around the area, which at first is soft, then becomes hard and feels like bone. Splints in horses are hard lumps, which are actually bony enlargements found on the side of the horse’s leg between the knee and the fetlock joint, located where the splint bone runs down on. Bucked shins are. Shin Splints Horses.
     
    
        From www.pinterest.com 
                    Extension Dynasplint System Equine dynamic splints for rehabilitating Shin Splints Horses  Saucer fractures can also be referred to as sore shins or bucked shins, that can arise when a horse experiences high levels of exertion whilst being worked or as a result of being exposed to hard and uneven surfaces when they are not fully conditioned. If the problem is neglected then it can cause a horse major injury and even. Shin Splints Horses.
     
    
        From www.horsedvm.com 
                    Bucked Shins HorseDVM Diseases Shin Splints Horses  If the problem is neglected then it can cause a horse major injury and even lameness. Bucked shins or dorsal metacarpal periostitis, is an important problem in horses in the racing industry, characterized as a condition causing. Horse shin splints need to be treated quickly. Splint bone injuries are common in both working and pastured horses. Splints in horses are. Shin Splints Horses.
     
    
        From www.horsehealthprogramme.co.uk 
                    Splints Horse Health Programme Shin Splints Horses  Bucked shins are tiny stress fractures in the front of the cannon bones. Splints in horses are hard lumps, which are actually bony enlargements found on the side of the horse’s leg between the knee and the fetlock joint, located where the splint bone runs down on. Bucked shins is a painful, acute periostitis on the dorsal surface of the. Shin Splints Horses.
     
    
        From equinepatch.co.uk 
                    EquinePatch Equine, Shin Splints, Equine, Horse Shin Splints Horses  If the problem is neglected then it can cause a horse major injury and even lameness. Bucked shins are tiny stress fractures in the front of the cannon bones. Signs of bucked shins include pain, and swelling around the area, which at first is soft, then becomes hard and feels like bone. You can manage most splints easily with help. Shin Splints Horses.
     
    
        From horsesidevetguide.com 
                    Lameness & The Lameness Exam What Horse Owners Should Know Shin Splints Horses  Horse shin splints need to be treated quickly. Bucked shins or dorsal metacarpal periostitis, is an important problem in horses in the racing industry, characterized as a condition causing. Splint bone injuries are common in both working and pastured horses. Sometimes horses will display signs of lameness. Saucer fractures can also be referred to as sore shins or bucked shins,. Shin Splints Horses.
     
    
        From www.pinterest.com 
                    DuraTech Shin/Tendon Wraps. Shin splints, Horse boots, Shin Shin Splints Horses  Splint bone injuries are common in both working and pastured horses. Sometimes horses will display signs of lameness. Bucked shins are tiny stress fractures in the front of the cannon bones. Bucked shins is a painful, acute periostitis on the dorsal surface of the third metacarpal bone. Saucer fractures can also be referred to as sore shins or bucked shins,. Shin Splints Horses.
     
    
        From www.thehorsesadvocate.com 
                    Splints In Horses The Horse's Advocate Shin Splints Horses  Sometimes horses will display signs of lameness. Signs of bucked shins include pain, and swelling around the area, which at first is soft, then becomes hard and feels like bone. Splint bone injuries are common in both working and pastured horses. Horse shin splints need to be treated quickly. You can manage most splints easily with help from your veterinarian,. Shin Splints Horses.
     
    
        From www.thehorsesadvocate.com 
                    Splints In Horses The Horse's Advocate Shin Splints Horses  Sometimes horses will display signs of lameness. Bucked shins or dorsal metacarpal periostitis, is an important problem in horses in the racing industry, characterized as a condition causing. Bucked shins are tiny stress fractures in the front of the cannon bones. You can manage most splints easily with help from your veterinarian, minimal downtime from exercise, and medical therapy. Bucked. Shin Splints Horses.
     
    
        From michaelporterdvm.blogspot.com 
                    Michael Porter, Equine Veterinarian Not All Splints Are Created Equal!! Shin Splints Horses  Splint bone injuries are common in both working and pastured horses. Sometimes horses will display signs of lameness. If the problem is neglected then it can cause a horse major injury and even lameness. Saucer fractures can also be referred to as sore shins or bucked shins, that can arise when a horse experiences high levels of exertion whilst being. Shin Splints Horses.
     
    
        From equinepatch.co.uk 
                    EquinePatch Equine, Shin Splints, Equine, Horse Shin Splints Horses  Splint bone injuries are common in both working and pastured horses. Bucked shins is a painful, acute periostitis on the dorsal surface of the third metacarpal bone. You can manage most splints easily with help from your veterinarian, minimal downtime from exercise, and medical therapy. Bucked shins are tiny stress fractures in the front of the cannon bones. Saucer fractures. Shin Splints Horses.
     
    
        From www.farmersweekly.co.za 
                    How to treat splints Farmer's Weekly Shin Splints Horses  Signs of bucked shins include pain, and swelling around the area, which at first is soft, then becomes hard and feels like bone. Bucked shins or dorsal metacarpal periostitis, is an important problem in horses in the racing industry, characterized as a condition causing. Sometimes horses will display signs of lameness. Bucked shins is a painful, acute periostitis on the. Shin Splints Horses.
     
    
        From www.pinterest.com 
                    Splint Bones in Horses Problems and Treatments Shin Splints Horses  Splints in horses are hard lumps, which are actually bony enlargements found on the side of the horse’s leg between the knee and the fetlock joint, located where the splint bone runs down on. Saucer fractures can also be referred to as sore shins or bucked shins, that can arise when a horse experiences high levels of exertion whilst being. Shin Splints Horses.
     
    
        From wagwalking.com 
                    Splints in Horses Symptoms, Causes, Diagnosis, Treatment, Recovery Shin Splints Horses  Signs of bucked shins include pain, and swelling around the area, which at first is soft, then becomes hard and feels like bone. If the problem is neglected then it can cause a horse major injury and even lameness. Splint bone injuries are common in both working and pastured horses. You can manage most splints easily with help from your. Shin Splints Horses.
     
    
        From www.australiawidefirstaid.com.au 
                    Relieving Shin Splints Shin Splints Horses  Horse shin splints need to be treated quickly. Splints in horses are hard lumps, which are actually bony enlargements found on the side of the horse’s leg between the knee and the fetlock joint, located where the splint bone runs down on. You can manage most splints easily with help from your veterinarian, minimal downtime from exercise, and medical therapy.. Shin Splints Horses.
     
    
        From www.safehorses.org 
                    Edward's Popped Splint Save a Equine (SAFE) Shin Splints Horses  Splints in horses are hard lumps, which are actually bony enlargements found on the side of the horse’s leg between the knee and the fetlock joint, located where the splint bone runs down on. If the problem is neglected then it can cause a horse major injury and even lameness. Horse shin splints need to be treated quickly. Bucked shins. Shin Splints Horses.
     
    
        From www.horseandrideruk.com 
                    Splints Horse and Rider Shin Splints Horses  You can manage most splints easily with help from your veterinarian, minimal downtime from exercise, and medical therapy. Saucer fractures can also be referred to as sore shins or bucked shins, that can arise when a horse experiences high levels of exertion whilst being worked or as a result of being exposed to hard and uneven surfaces when they are. Shin Splints Horses.
     
    
        From joiwptwnm.blob.core.windows.net 
                    Why Are My Shins Bumpy at Lawrence Tewksbury blog Shin Splints Horses  Sometimes horses will display signs of lameness. Bucked shins are tiny stress fractures in the front of the cannon bones. You can manage most splints easily with help from your veterinarian, minimal downtime from exercise, and medical therapy. Saucer fractures can also be referred to as sore shins or bucked shins, that can arise when a horse experiences high levels. Shin Splints Horses.
     
    
        From www.youtube.com 
                    3Metacarpal periostitis, bucked shins, or sore shins YouTube Shin Splints Horses  Splint bone injuries are common in both working and pastured horses. Saucer fractures can also be referred to as sore shins or bucked shins, that can arise when a horse experiences high levels of exertion whilst being worked or as a result of being exposed to hard and uneven surfaces when they are not fully conditioned. You can manage most. Shin Splints Horses.
     
    
        From equinepatch.co.uk 
                    EquinePatch Equine, Shin Splints, Equine, Horse Shin Splints Horses  Sometimes horses will display signs of lameness. Splints in horses are hard lumps, which are actually bony enlargements found on the side of the horse’s leg between the knee and the fetlock joint, located where the splint bone runs down on. Splint bone injuries are common in both working and pastured horses. Horse shin splints need to be treated quickly.. Shin Splints Horses.