What Is A Buckle Fracture Of The Knee . A knee fracture involves damage to the patella bone at the front of the knee. Buckle fractures are a type of bone injury that happen in children. Buckle fractures are compression fractures and are very common in children. Commonly seen in athletes, stress. A buckle fracture is sometimes referred to as an “incomplete fracture,” because the break is only on one side of the long bone of the arm or leg. “a buckle fracture describes a condition where one side of a bone bends and buckles on itself even though the other side of the bone is not disrupted,” explains dr. It does not affect the other side. They happen when one side of the bone buckles, or bends, but doesn’t break all the way through. They're incomplete fractures — the bone is not broken all the way. A stress fracture is a minuscule crack in the bone that is caused by repetitive use or trauma. A buckle fracture is an incomplete fracture where one side of the bone buckles or bends on itself; It can range in severity from a mild hairline fracture to a completely shattered bone that damages.
from www.youtube.com
A buckle fracture is sometimes referred to as an “incomplete fracture,” because the break is only on one side of the long bone of the arm or leg. They happen when one side of the bone buckles, or bends, but doesn’t break all the way through. A stress fracture is a minuscule crack in the bone that is caused by repetitive use or trauma. A buckle fracture is an incomplete fracture where one side of the bone buckles or bends on itself; It does not affect the other side. It can range in severity from a mild hairline fracture to a completely shattered bone that damages. A knee fracture involves damage to the patella bone at the front of the knee. “a buckle fracture describes a condition where one side of a bone bends and buckles on itself even though the other side of the bone is not disrupted,” explains dr. Buckle fractures are a type of bone injury that happen in children. Commonly seen in athletes, stress.
Buckle fracture Orthopaedics Detailed explanation YouTube
What Is A Buckle Fracture Of The Knee They're incomplete fractures — the bone is not broken all the way. Buckle fractures are a type of bone injury that happen in children. A buckle fracture is an incomplete fracture where one side of the bone buckles or bends on itself; Buckle fractures are compression fractures and are very common in children. “a buckle fracture describes a condition where one side of a bone bends and buckles on itself even though the other side of the bone is not disrupted,” explains dr. It does not affect the other side. Commonly seen in athletes, stress. A stress fracture is a minuscule crack in the bone that is caused by repetitive use or trauma. They're incomplete fractures — the bone is not broken all the way. A buckle fracture is sometimes referred to as an “incomplete fracture,” because the break is only on one side of the long bone of the arm or leg. It can range in severity from a mild hairline fracture to a completely shattered bone that damages. A knee fracture involves damage to the patella bone at the front of the knee. They happen when one side of the bone buckles, or bends, but doesn’t break all the way through.
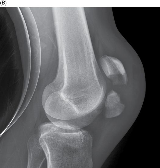
From westjem.com
A Rare Knee Fracture with Underestimated Severity The Western Journal What Is A Buckle Fracture Of The Knee Commonly seen in athletes, stress. “a buckle fracture describes a condition where one side of a bone bends and buckles on itself even though the other side of the bone is not disrupted,” explains dr. A stress fracture is a minuscule crack in the bone that is caused by repetitive use or trauma. A buckle fracture is an incomplete fracture. What Is A Buckle Fracture Of The Knee.
From www.ncbi.nlm.nih.gov
[Figure, Buckle fracture of distal radius. Contributed by Ajay Asokan What Is A Buckle Fracture Of The Knee They're incomplete fractures — the bone is not broken all the way. It can range in severity from a mild hairline fracture to a completely shattered bone that damages. “a buckle fracture describes a condition where one side of a bone bends and buckles on itself even though the other side of the bone is not disrupted,” explains dr. A. What Is A Buckle Fracture Of The Knee.
From mavink.com
Types Of Knee Fractures What Is A Buckle Fracture Of The Knee Buckle fractures are compression fractures and are very common in children. It can range in severity from a mild hairline fracture to a completely shattered bone that damages. They happen when one side of the bone buckles, or bends, but doesn’t break all the way through. A buckle fracture is sometimes referred to as an “incomplete fracture,” because the break. What Is A Buckle Fracture Of The Knee.
From www.siiora.com
Buckle Fractures in Children A Detailed Guide What Is A Buckle Fracture Of The Knee Buckle fractures are a type of bone injury that happen in children. A stress fracture is a minuscule crack in the bone that is caused by repetitive use or trauma. A buckle fracture is an incomplete fracture where one side of the bone buckles or bends on itself; “a buckle fracture describes a condition where one side of a bone. What Is A Buckle Fracture Of The Knee.
From radiopaedia.org
Subchondral insufficiency fracture knee Image What Is A Buckle Fracture Of The Knee Buckle fractures are a type of bone injury that happen in children. A stress fracture is a minuscule crack in the bone that is caused by repetitive use or trauma. They're incomplete fractures — the bone is not broken all the way. Buckle fractures are compression fractures and are very common in children. “a buckle fracture describes a condition where. What Is A Buckle Fracture Of The Knee.
From www.cureus.com
Cureus Unusual Good Functional After Surgical Management of What Is A Buckle Fracture Of The Knee Buckle fractures are compression fractures and are very common in children. A buckle fracture is an incomplete fracture where one side of the bone buckles or bends on itself; A knee fracture involves damage to the patella bone at the front of the knee. Commonly seen in athletes, stress. It does not affect the other side. They happen when one. What Is A Buckle Fracture Of The Knee.
From pubs.rsna.org
Avulsion Fractures of the Knee Imaging Findings and Clinical What Is A Buckle Fracture Of The Knee They're incomplete fractures — the bone is not broken all the way. Buckle fractures are a type of bone injury that happen in children. Commonly seen in athletes, stress. A buckle fracture is an incomplete fracture where one side of the bone buckles or bends on itself; “a buckle fracture describes a condition where one side of a bone bends. What Is A Buckle Fracture Of The Knee.
From www.casestacks.com
Case 14 What Is A Buckle Fracture Of The Knee A knee fracture involves damage to the patella bone at the front of the knee. “a buckle fracture describes a condition where one side of a bone bends and buckles on itself even though the other side of the bone is not disrupted,” explains dr. They're incomplete fractures — the bone is not broken all the way. It can range. What Is A Buckle Fracture Of The Knee.
From www.healthresource4u.com
Buckle Fracture Causes, Symptoms and Treatment What Is A Buckle Fracture Of The Knee Buckle fractures are a type of bone injury that happen in children. A buckle fracture is an incomplete fracture where one side of the bone buckles or bends on itself; Commonly seen in athletes, stress. They're incomplete fractures — the bone is not broken all the way. A knee fracture involves damage to the patella bone at the front of. What Is A Buckle Fracture Of The Knee.
From www.youtube.com
Buckle fracture Orthopaedics Detailed explanation YouTube What Is A Buckle Fracture Of The Knee Buckle fractures are a type of bone injury that happen in children. Commonly seen in athletes, stress. Buckle fractures are compression fractures and are very common in children. They happen when one side of the bone buckles, or bends, but doesn’t break all the way through. It can range in severity from a mild hairline fracture to a completely shattered. What Is A Buckle Fracture Of The Knee.
From my.clevelandclinic.org
Buckle Fracture Symptoms, Causes & Treatment What Is A Buckle Fracture Of The Knee A knee fracture involves damage to the patella bone at the front of the knee. It can range in severity from a mild hairline fracture to a completely shattered bone that damages. Buckle fractures are a type of bone injury that happen in children. A buckle fracture is an incomplete fracture where one side of the bone buckles or bends. What Is A Buckle Fracture Of The Knee.
From healthjade.net
Buckle fracture causes, symptoms, diagnosis & treatment What Is A Buckle Fracture Of The Knee It can range in severity from a mild hairline fracture to a completely shattered bone that damages. A buckle fracture is sometimes referred to as an “incomplete fracture,” because the break is only on one side of the long bone of the arm or leg. Buckle fractures are a type of bone injury that happen in children. A buckle fracture. What Is A Buckle Fracture Of The Knee.
From pubs.rsna.org
Avulsion Fractures of the Knee Imaging Findings and Clinical What Is A Buckle Fracture Of The Knee Commonly seen in athletes, stress. A stress fracture is a minuscule crack in the bone that is caused by repetitive use or trauma. “a buckle fracture describes a condition where one side of a bone bends and buckles on itself even though the other side of the bone is not disrupted,” explains dr. A buckle fracture is an incomplete fracture. What Is A Buckle Fracture Of The Knee.
From antam.edu.vn
Fracture of the Proximal Tibia An Tâm What Is A Buckle Fracture Of The Knee They happen when one side of the bone buckles, or bends, but doesn’t break all the way through. Commonly seen in athletes, stress. A stress fracture is a minuscule crack in the bone that is caused by repetitive use or trauma. It can range in severity from a mild hairline fracture to a completely shattered bone that damages. Buckle fractures. What Is A Buckle Fracture Of The Knee.
From www.sportsmedreview.com
Buckle (Greenstick) Fracture of the Distal Radius Sports Medicine Review What Is A Buckle Fracture Of The Knee A buckle fracture is an incomplete fracture where one side of the bone buckles or bends on itself; Buckle fractures are compression fractures and are very common in children. Commonly seen in athletes, stress. They're incomplete fractures — the bone is not broken all the way. A stress fracture is a minuscule crack in the bone that is caused by. What Is A Buckle Fracture Of The Knee.
From pubs.rsna.org
Avulsion Fractures of the Knee Imaging Findings and Clinical What Is A Buckle Fracture Of The Knee Commonly seen in athletes, stress. A knee fracture involves damage to the patella bone at the front of the knee. It does not affect the other side. A buckle fracture is sometimes referred to as an “incomplete fracture,” because the break is only on one side of the long bone of the arm or leg. Buckle fractures are a type. What Is A Buckle Fracture Of The Knee.
From www.sportsmedreview.com
Buckle (Greenstick) Fracture of the Distal Radius Sports Medicine Review What Is A Buckle Fracture Of The Knee Commonly seen in athletes, stress. “a buckle fracture describes a condition where one side of a bone bends and buckles on itself even though the other side of the bone is not disrupted,” explains dr. They're incomplete fractures — the bone is not broken all the way. It can range in severity from a mild hairline fracture to a completely. What Is A Buckle Fracture Of The Knee.
From www.svuhradiology.ie
Buckle fracture Radiology at St. Vincent's University Hospital What Is A Buckle Fracture Of The Knee A knee fracture involves damage to the patella bone at the front of the knee. Commonly seen in athletes, stress. Buckle fractures are compression fractures and are very common in children. A buckle fracture is an incomplete fracture where one side of the bone buckles or bends on itself; Buckle fractures are a type of bone injury that happen in. What Is A Buckle Fracture Of The Knee.
From drsunilreddy.com.au
Fractures around Knee What Is A Buckle Fracture Of The Knee Buckle fractures are a type of bone injury that happen in children. They happen when one side of the bone buckles, or bends, but doesn’t break all the way through. It can range in severity from a mild hairline fracture to a completely shattered bone that damages. Buckle fractures are compression fractures and are very common in children. They're incomplete. What Is A Buckle Fracture Of The Knee.
From www.chrisbaileyorthopaedics.com
Knee fractures Chris Bailey Orthopaedics What Is A Buckle Fracture Of The Knee Buckle fractures are compression fractures and are very common in children. They're incomplete fractures — the bone is not broken all the way. Buckle fractures are a type of bone injury that happen in children. A buckle fracture is sometimes referred to as an “incomplete fracture,” because the break is only on one side of the long bone of the. What Is A Buckle Fracture Of The Knee.
From differentialdiagnosisknee.weebly.com
Fracture Differential Diagnosis of the Knee What Is A Buckle Fracture Of The Knee Buckle fractures are a type of bone injury that happen in children. A buckle fracture is an incomplete fracture where one side of the bone buckles or bends on itself; They're incomplete fractures — the bone is not broken all the way. A stress fracture is a minuscule crack in the bone that is caused by repetitive use or trauma.. What Is A Buckle Fracture Of The Knee.
From www.moati.com.au
Fractured Knee Treatment, Melbourne MOATI What Is A Buckle Fracture Of The Knee “a buckle fracture describes a condition where one side of a bone bends and buckles on itself even though the other side of the bone is not disrupted,” explains dr. It can range in severity from a mild hairline fracture to a completely shattered bone that damages. A buckle fracture is an incomplete fracture where one side of the bone. What Is A Buckle Fracture Of The Knee.
From healthjade.net
Buckle fracture causes, symptoms, diagnosis & treatment What Is A Buckle Fracture Of The Knee They happen when one side of the bone buckles, or bends, but doesn’t break all the way through. “a buckle fracture describes a condition where one side of a bone bends and buckles on itself even though the other side of the bone is not disrupted,” explains dr. Buckle fractures are a type of bone injury that happen in children.. What Is A Buckle Fracture Of The Knee.
From pressbooks.pub
Knee Trauma Acute Fractures Undergraduate Diagnostic Imaging What Is A Buckle Fracture Of The Knee “a buckle fracture describes a condition where one side of a bone bends and buckles on itself even though the other side of the bone is not disrupted,” explains dr. They're incomplete fractures — the bone is not broken all the way. Buckle fractures are compression fractures and are very common in children. A stress fracture is a minuscule crack. What Is A Buckle Fracture Of The Knee.
From www.clinicalguidelines.scot.nhs.uk
Buckle fracture What Is A Buckle Fracture Of The Knee “a buckle fracture describes a condition where one side of a bone bends and buckles on itself even though the other side of the bone is not disrupted,” explains dr. A stress fracture is a minuscule crack in the bone that is caused by repetitive use or trauma. Buckle fractures are a type of bone injury that happen in children.. What Is A Buckle Fracture Of The Knee.
From pt.slideshare.net
Periprosthetic fractures around the knee What Is A Buckle Fracture Of The Knee It can range in severity from a mild hairline fracture to a completely shattered bone that damages. Buckle fractures are compression fractures and are very common in children. “a buckle fracture describes a condition where one side of a bone bends and buckles on itself even though the other side of the bone is not disrupted,” explains dr. It does. What Is A Buckle Fracture Of The Knee.
From aneskey.com
Fractures and dislocations of the knee and leg Anesthesia Key What Is A Buckle Fracture Of The Knee “a buckle fracture describes a condition where one side of a bone bends and buckles on itself even though the other side of the bone is not disrupted,” explains dr. A buckle fracture is an incomplete fracture where one side of the bone buckles or bends on itself; They happen when one side of the bone buckles, or bends, but. What Is A Buckle Fracture Of The Knee.
From www.sportsmedreview.com
Buckle (Greenstick) Fracture of the Distal Radius Sports Medicine Review What Is A Buckle Fracture Of The Knee Buckle fractures are compression fractures and are very common in children. It can range in severity from a mild hairline fracture to a completely shattered bone that damages. A buckle fracture is an incomplete fracture where one side of the bone buckles or bends on itself; Commonly seen in athletes, stress. It does not affect the other side. A stress. What Is A Buckle Fracture Of The Knee.
From www.healthresource4u.com
Buckle Fracture Causes, Symptoms And Treatment What Is A Buckle Fracture Of The Knee “a buckle fracture describes a condition where one side of a bone bends and buckles on itself even though the other side of the bone is not disrupted,” explains dr. Commonly seen in athletes, stress. A buckle fracture is sometimes referred to as an “incomplete fracture,” because the break is only on one side of the long bone of the. What Is A Buckle Fracture Of The Knee.
From www.verywellhealth.com
Understanding What Buckle Fractures Are in Children What Is A Buckle Fracture Of The Knee They happen when one side of the bone buckles, or bends, but doesn’t break all the way through. A stress fracture is a minuscule crack in the bone that is caused by repetitive use or trauma. They're incomplete fractures — the bone is not broken all the way. A knee fracture involves damage to the patella bone at the front. What Is A Buckle Fracture Of The Knee.
From www.tmisportsmed.com
Knee Fracture Treatment Arlington, TX Knee Injury Treatment Frisco, TX What Is A Buckle Fracture Of The Knee A buckle fracture is an incomplete fracture where one side of the bone buckles or bends on itself; Buckle fractures are a type of bone injury that happen in children. They're incomplete fractures — the bone is not broken all the way. They happen when one side of the bone buckles, or bends, but doesn’t break all the way through.. What Is A Buckle Fracture Of The Knee.
From healthjade.net
Patella fracture causes, types, symptoms, diagnosis, treatment & recovery What Is A Buckle Fracture Of The Knee A stress fracture is a minuscule crack in the bone that is caused by repetitive use or trauma. They're incomplete fractures — the bone is not broken all the way. “a buckle fracture describes a condition where one side of a bone bends and buckles on itself even though the other side of the bone is not disrupted,” explains dr.. What Is A Buckle Fracture Of The Knee.
From healthjade.net
Buckle fracture causes, symptoms, diagnosis & treatment What Is A Buckle Fracture Of The Knee They happen when one side of the bone buckles, or bends, but doesn’t break all the way through. It does not affect the other side. A stress fracture is a minuscule crack in the bone that is caused by repetitive use or trauma. It can range in severity from a mild hairline fracture to a completely shattered bone that damages.. What Is A Buckle Fracture Of The Knee.
From www.vivehealth.com
Fractured Knee The Complete Injury Guide Vive Health What Is A Buckle Fracture Of The Knee A stress fracture is a minuscule crack in the bone that is caused by repetitive use or trauma. Buckle fractures are compression fractures and are very common in children. It does not affect the other side. “a buckle fracture describes a condition where one side of a bone bends and buckles on itself even though the other side of the. What Is A Buckle Fracture Of The Knee.
From www.slideserve.com
PPT Radiology of Fracture Principles PowerPoint Presentation, free What Is A Buckle Fracture Of The Knee It does not affect the other side. Buckle fractures are compression fractures and are very common in children. A stress fracture is a minuscule crack in the bone that is caused by repetitive use or trauma. They happen when one side of the bone buckles, or bends, but doesn’t break all the way through. A knee fracture involves damage to. What Is A Buckle Fracture Of The Knee.