Can I Get Braces With Periodontitis . Before you get braces, the. Over time, periodontitis can lead to the destruction of gum, ligament, and bone tissue. Can i get braces with. Left untreated, it can lead to loose teeth and even bone and. But there is one pervasive question that needs to be answered in regards to orthodontic treatment: Can i get braces with. Whether you can get braces on or not depends on how much bone loss you’ve had and if the orthodontist thinks treatment will be beneficial to you. Over time, periodontitis can lead to the destruction of gum, ligament, and bone tissue. But there is one prevalent question that needs to be answered in regards to orthodontic treatment: Left untreated, it can lead to loose teeth and. Ideally, your mouth should be in optimal periodontal health before starting orthodontic treatment, as braces can create challenges in. For older patients, gingivitis, left untreated, can eventually lead to periodontitis (severe gum disease).
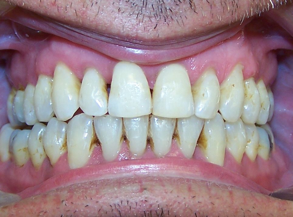
from www.splashorthodontics.co.uk
Before you get braces, the. Whether you can get braces on or not depends on how much bone loss you’ve had and if the orthodontist thinks treatment will be beneficial to you. For older patients, gingivitis, left untreated, can eventually lead to periodontitis (severe gum disease). Can i get braces with. Can i get braces with. Over time, periodontitis can lead to the destruction of gum, ligament, and bone tissue. Over time, periodontitis can lead to the destruction of gum, ligament, and bone tissue. Ideally, your mouth should be in optimal periodontal health before starting orthodontic treatment, as braces can create challenges in. But there is one pervasive question that needs to be answered in regards to orthodontic treatment: Left untreated, it can lead to loose teeth and even bone and.
Braces & Gum Recession Splash Orthodontics
Can I Get Braces With Periodontitis Can i get braces with. Left untreated, it can lead to loose teeth and. Over time, periodontitis can lead to the destruction of gum, ligament, and bone tissue. Whether you can get braces on or not depends on how much bone loss you’ve had and if the orthodontist thinks treatment will be beneficial to you. For older patients, gingivitis, left untreated, can eventually lead to periodontitis (severe gum disease). Can i get braces with. Ideally, your mouth should be in optimal periodontal health before starting orthodontic treatment, as braces can create challenges in. Over time, periodontitis can lead to the destruction of gum, ligament, and bone tissue. Before you get braces, the. But there is one pervasive question that needs to be answered in regards to orthodontic treatment: Left untreated, it can lead to loose teeth and even bone and. Can i get braces with. But there is one prevalent question that needs to be answered in regards to orthodontic treatment:
From www.youtube.com
Gum Recession After Wearing Braces Can Now Be Treated Without Gum Can I Get Braces With Periodontitis Left untreated, it can lead to loose teeth and even bone and. Left untreated, it can lead to loose teeth and. Before you get braces, the. Ideally, your mouth should be in optimal periodontal health before starting orthodontic treatment, as braces can create challenges in. Can i get braces with. Over time, periodontitis can lead to the destruction of gum,. Can I Get Braces With Periodontitis.
From www.hodgesortho.com
Periodontal and Narrow Arch Periodontics and Braces Before and Can I Get Braces With Periodontitis Left untreated, it can lead to loose teeth and. Before you get braces, the. For older patients, gingivitis, left untreated, can eventually lead to periodontitis (severe gum disease). Over time, periodontitis can lead to the destruction of gum, ligament, and bone tissue. Ideally, your mouth should be in optimal periodontal health before starting orthodontic treatment, as braces can create challenges. Can I Get Braces With Periodontitis.
From mouth.co.uk
Oral thrush treatment Canary Wharf Mouth Dental Can I Get Braces With Periodontitis Can i get braces with. For older patients, gingivitis, left untreated, can eventually lead to periodontitis (severe gum disease). Left untreated, it can lead to loose teeth and even bone and. But there is one prevalent question that needs to be answered in regards to orthodontic treatment: But there is one pervasive question that needs to be answered in regards. Can I Get Braces With Periodontitis.
From dentist-telaviv.com
Important Things to Know Before You Get Dental Braces Can I Get Braces With Periodontitis Can i get braces with. Before you get braces, the. Over time, periodontitis can lead to the destruction of gum, ligament, and bone tissue. Over time, periodontitis can lead to the destruction of gum, ligament, and bone tissue. Left untreated, it can lead to loose teeth and. Left untreated, it can lead to loose teeth and even bone and. Can. Can I Get Braces With Periodontitis.
From www.implantdentist.co.nz
Periodontal (Gum) Disease Institute of Dental Implants & Periodontics Can I Get Braces With Periodontitis But there is one prevalent question that needs to be answered in regards to orthodontic treatment: Left untreated, it can lead to loose teeth and. Ideally, your mouth should be in optimal periodontal health before starting orthodontic treatment, as braces can create challenges in. For older patients, gingivitis, left untreated, can eventually lead to periodontitis (severe gum disease). But there. Can I Get Braces With Periodontitis.
From www.hodgesortho.com
Periodontal and Open Bite Periodontics and Braces Before and After Can I Get Braces With Periodontitis Over time, periodontitis can lead to the destruction of gum, ligament, and bone tissue. But there is one prevalent question that needs to be answered in regards to orthodontic treatment: Can i get braces with. But there is one pervasive question that needs to be answered in regards to orthodontic treatment: Left untreated, it can lead to loose teeth and. Can I Get Braces With Periodontitis.
From www.odontovida.com
Can Someone With Periodontal Disease Get Braces? OdontoVida Can I Get Braces With Periodontitis Over time, periodontitis can lead to the destruction of gum, ligament, and bone tissue. Left untreated, it can lead to loose teeth and. Can i get braces with. Before you get braces, the. But there is one pervasive question that needs to be answered in regards to orthodontic treatment: Left untreated, it can lead to loose teeth and even bone. Can I Get Braces With Periodontitis.
From www.dentalclinic-knet.com
How to Straighten Teeth with Braces?? Best age to start Braces Can I Get Braces With Periodontitis Over time, periodontitis can lead to the destruction of gum, ligament, and bone tissue. Ideally, your mouth should be in optimal periodontal health before starting orthodontic treatment, as braces can create challenges in. Can i get braces with. Can i get braces with. Over time, periodontitis can lead to the destruction of gum, ligament, and bone tissue. Before you get. Can I Get Braces With Periodontitis.
From www.advanceddentistry.co.uk
Treatment for Periodontal Disease Advanced Dentistry Can I Get Braces With Periodontitis Whether you can get braces on or not depends on how much bone loss you’ve had and if the orthodontist thinks treatment will be beneficial to you. Can i get braces with. For older patients, gingivitis, left untreated, can eventually lead to periodontitis (severe gum disease). But there is one prevalent question that needs to be answered in regards to. Can I Get Braces With Periodontitis.
From www.directorioodontologico.info
Can I Get A Cavity With Braces? Directorio Odontológico Can I Get Braces With Periodontitis Left untreated, it can lead to loose teeth and. Can i get braces with. Whether you can get braces on or not depends on how much bone loss you’ve had and if the orthodontist thinks treatment will be beneficial to you. For older patients, gingivitis, left untreated, can eventually lead to periodontitis (severe gum disease). Left untreated, it can lead. Can I Get Braces With Periodontitis.
From www.glenmoredental.ca
Gingivitis Vs. Periodontitis; What is the Difference? Can I Get Braces With Periodontitis Left untreated, it can lead to loose teeth and even bone and. But there is one prevalent question that needs to be answered in regards to orthodontic treatment: Over time, periodontitis can lead to the destruction of gum, ligament, and bone tissue. For older patients, gingivitis, left untreated, can eventually lead to periodontitis (severe gum disease). Can i get braces. Can I Get Braces With Periodontitis.
From healthjade.net
Periodontitis causes, symptoms, complications, diagnosis & treatment Can I Get Braces With Periodontitis Can i get braces with. Can i get braces with. For older patients, gingivitis, left untreated, can eventually lead to periodontitis (severe gum disease). Ideally, your mouth should be in optimal periodontal health before starting orthodontic treatment, as braces can create challenges in. Over time, periodontitis can lead to the destruction of gum, ligament, and bone tissue. Before you get. Can I Get Braces With Periodontitis.
From perioclinik.ca
Periodontal Procedures PerioClinik Dr. Freddy Fokam Can I Get Braces With Periodontitis Over time, periodontitis can lead to the destruction of gum, ligament, and bone tissue. But there is one pervasive question that needs to be answered in regards to orthodontic treatment: Left untreated, it can lead to loose teeth and. Over time, periodontitis can lead to the destruction of gum, ligament, and bone tissue. Before you get braces, the. For older. Can I Get Braces With Periodontitis.
From www.facebook.com
Get a beautiful smile this New Year with our Clear Braces !!! By Dr Can I Get Braces With Periodontitis Over time, periodontitis can lead to the destruction of gum, ligament, and bone tissue. Can i get braces with. For older patients, gingivitis, left untreated, can eventually lead to periodontitis (severe gum disease). Can i get braces with. Ideally, your mouth should be in optimal periodontal health before starting orthodontic treatment, as braces can create challenges in. Left untreated, it. Can I Get Braces With Periodontitis.
From www.silversmiledental.com
How Does Invisalign Work? Here's a Complete Guide Silver Smile Dental Can I Get Braces With Periodontitis Before you get braces, the. But there is one pervasive question that needs to be answered in regards to orthodontic treatment: Whether you can get braces on or not depends on how much bone loss you’ve had and if the orthodontist thinks treatment will be beneficial to you. Can i get braces with. Can i get braces with. Ideally, your. Can I Get Braces With Periodontitis.
From blog.uchceu.es
PERIODONTITIS A COMMON DISEASE Can I Get Braces With Periodontitis Ideally, your mouth should be in optimal periodontal health before starting orthodontic treatment, as braces can create challenges in. For older patients, gingivitis, left untreated, can eventually lead to periodontitis (severe gum disease). Whether you can get braces on or not depends on how much bone loss you’ve had and if the orthodontist thinks treatment will be beneficial to you.. Can I Get Braces With Periodontitis.
From www.drsimonrosenberg.com
The Stages Of Periodontal Disease Upper East Side New York, NY The Can I Get Braces With Periodontitis Over time, periodontitis can lead to the destruction of gum, ligament, and bone tissue. Can i get braces with. But there is one pervasive question that needs to be answered in regards to orthodontic treatment: Whether you can get braces on or not depends on how much bone loss you’ve had and if the orthodontist thinks treatment will be beneficial. Can I Get Braces With Periodontitis.
From dimensionsofdentalhygiene.com
Considering Combined OrthodonticPeriodontic Treatment Dimensions of Can I Get Braces With Periodontitis For older patients, gingivitis, left untreated, can eventually lead to periodontitis (severe gum disease). But there is one pervasive question that needs to be answered in regards to orthodontic treatment: Over time, periodontitis can lead to the destruction of gum, ligament, and bone tissue. Ideally, your mouth should be in optimal periodontal health before starting orthodontic treatment, as braces can. Can I Get Braces With Periodontitis.
From fryorthodontics.com
Can I Get Braces if I Have Missing Teeth or Crowns and Bridges? Can I Get Braces With Periodontitis Before you get braces, the. Over time, periodontitis can lead to the destruction of gum, ligament, and bone tissue. But there is one pervasive question that needs to be answered in regards to orthodontic treatment: Left untreated, it can lead to loose teeth and even bone and. Can i get braces with. Whether you can get braces on or not. Can I Get Braces With Periodontitis.
From www.bcperio.com
Dallas Dentist Explains When To Get Dental Implants Can I Get Braces With Periodontitis Can i get braces with. Over time, periodontitis can lead to the destruction of gum, ligament, and bone tissue. Ideally, your mouth should be in optimal periodontal health before starting orthodontic treatment, as braces can create challenges in. Whether you can get braces on or not depends on how much bone loss you’ve had and if the orthodontist thinks treatment. Can I Get Braces With Periodontitis.
From www.splashorthodontics.co.uk
Braces & Gum Recession Splash Orthodontics Can I Get Braces With Periodontitis Whether you can get braces on or not depends on how much bone loss you’ve had and if the orthodontist thinks treatment will be beneficial to you. Ideally, your mouth should be in optimal periodontal health before starting orthodontic treatment, as braces can create challenges in. Left untreated, it can lead to loose teeth and. Over time, periodontitis can lead. Can I Get Braces With Periodontitis.
From yardleydentalarts.com
Periodontal Treatment Washington Crossing Dr. Patel Yardley Dental Arts Can I Get Braces With Periodontitis But there is one pervasive question that needs to be answered in regards to orthodontic treatment: Can i get braces with. Can i get braces with. For older patients, gingivitis, left untreated, can eventually lead to periodontitis (severe gum disease). Left untreated, it can lead to loose teeth and. Left untreated, it can lead to loose teeth and even bone. Can I Get Braces With Periodontitis.
From quotesmarcousa.blogspot.com
Gum Disease With Braces Quotes Marco Can I Get Braces With Periodontitis Ideally, your mouth should be in optimal periodontal health before starting orthodontic treatment, as braces can create challenges in. Whether you can get braces on or not depends on how much bone loss you’ve had and if the orthodontist thinks treatment will be beneficial to you. Before you get braces, the. For older patients, gingivitis, left untreated, can eventually lead. Can I Get Braces With Periodontitis.
From alamoimplantcenter.com
Swollen Gums, Overgrown gingiva during Orthodontic Treatment Causes Can I Get Braces With Periodontitis Whether you can get braces on or not depends on how much bone loss you’ve had and if the orthodontist thinks treatment will be beneficial to you. Ideally, your mouth should be in optimal periodontal health before starting orthodontic treatment, as braces can create challenges in. Over time, periodontitis can lead to the destruction of gum, ligament, and bone tissue.. Can I Get Braces With Periodontitis.
From www.pinterest.com
Pin by Pamela Hayes on Drinks in 2020 Gum disease, Periodontitis Can I Get Braces With Periodontitis For older patients, gingivitis, left untreated, can eventually lead to periodontitis (severe gum disease). Left untreated, it can lead to loose teeth and. But there is one pervasive question that needs to be answered in regards to orthodontic treatment: Can i get braces with. Over time, periodontitis can lead to the destruction of gum, ligament, and bone tissue. Before you. Can I Get Braces With Periodontitis.
From www.pinterest.es
Gum and periodontal diseases can occur in children. Various gum Can I Get Braces With Periodontitis Can i get braces with. But there is one prevalent question that needs to be answered in regards to orthodontic treatment: Left untreated, it can lead to loose teeth and. Before you get braces, the. Ideally, your mouth should be in optimal periodontal health before starting orthodontic treatment, as braces can create challenges in. But there is one pervasive question. Can I Get Braces With Periodontitis.
From matsumotoorthodontics.com
Can you get braces with hyperdontia? Matsumoto Orthodontics Can I Get Braces With Periodontitis Left untreated, it can lead to loose teeth and. Left untreated, it can lead to loose teeth and even bone and. Whether you can get braces on or not depends on how much bone loss you’ve had and if the orthodontist thinks treatment will be beneficial to you. Over time, periodontitis can lead to the destruction of gum, ligament, and. Can I Get Braces With Periodontitis.
From www.woodhilldentalspecialties.com
Before & After Braces See the Amazing Results Yourself! • Woodhill Can I Get Braces With Periodontitis Over time, periodontitis can lead to the destruction of gum, ligament, and bone tissue. Whether you can get braces on or not depends on how much bone loss you’ve had and if the orthodontist thinks treatment will be beneficial to you. Left untreated, it can lead to loose teeth and. Can i get braces with. Over time, periodontitis can lead. Can I Get Braces With Periodontitis.
From www.youtube.com
Braces and Tooth Decay (cavities) What to do... YouTube Can I Get Braces With Periodontitis Can i get braces with. Can i get braces with. But there is one pervasive question that needs to be answered in regards to orthodontic treatment: For older patients, gingivitis, left untreated, can eventually lead to periodontitis (severe gum disease). Left untreated, it can lead to loose teeth and even bone and. Before you get braces, the. But there is. Can I Get Braces With Periodontitis.
From arkansasbraces.com
How Braces Work Different Types of Orthodontics Vondran Orthodontics Can I Get Braces With Periodontitis Over time, periodontitis can lead to the destruction of gum, ligament, and bone tissue. Left untreated, it can lead to loose teeth and even bone and. Can i get braces with. Can i get braces with. Whether you can get braces on or not depends on how much bone loss you’ve had and if the orthodontist thinks treatment will be. Can I Get Braces With Periodontitis.
From centurysmile.com
Your Dental Health Is More Important Than You Think Century Smile Can I Get Braces With Periodontitis But there is one prevalent question that needs to be answered in regards to orthodontic treatment: For older patients, gingivitis, left untreated, can eventually lead to periodontitis (severe gum disease). Over time, periodontitis can lead to the destruction of gum, ligament, and bone tissue. Can i get braces with. Left untreated, it can lead to loose teeth and even bone. Can I Get Braces With Periodontitis.
From www.bracem.com
Elastic (Rubber Bands) in Orthodontic Treatment East Lyme Can I Get Braces With Periodontitis Over time, periodontitis can lead to the destruction of gum, ligament, and bone tissue. Left untreated, it can lead to loose teeth and even bone and. Ideally, your mouth should be in optimal periodontal health before starting orthodontic treatment, as braces can create challenges in. Before you get braces, the. For older patients, gingivitis, left untreated, can eventually lead to. Can I Get Braces With Periodontitis.
From www.pinterest.com
Stages of periodontal disease. dentistry Dental assistant study Can I Get Braces With Periodontitis Whether you can get braces on or not depends on how much bone loss you’ve had and if the orthodontist thinks treatment will be beneficial to you. Ideally, your mouth should be in optimal periodontal health before starting orthodontic treatment, as braces can create challenges in. Over time, periodontitis can lead to the destruction of gum, ligament, and bone tissue.. Can I Get Braces With Periodontitis.
From www.intechopen.com
Figure 3. Can I Get Braces With Periodontitis Over time, periodontitis can lead to the destruction of gum, ligament, and bone tissue. Before you get braces, the. Whether you can get braces on or not depends on how much bone loss you’ve had and if the orthodontist thinks treatment will be beneficial to you. Can i get braces with. But there is one prevalent question that needs to. Can I Get Braces With Periodontitis.
From www.hardypedoortho.com
Can You Have Braces with Gum Disease? Hardy Pediatric Dentistry Can I Get Braces With Periodontitis Ideally, your mouth should be in optimal periodontal health before starting orthodontic treatment, as braces can create challenges in. But there is one prevalent question that needs to be answered in regards to orthodontic treatment: Over time, periodontitis can lead to the destruction of gum, ligament, and bone tissue. Over time, periodontitis can lead to the destruction of gum, ligament,. Can I Get Braces With Periodontitis.