Maryland Bridge On Front Teeth . The maryland bridge is a relatively quick and painless alternative to traditional dental bridges. This type of dental bridge uses porcelain fused with a metal framework that. A maryland dental bridge is a fixed restoration to replace missing teeth, especially in the front of the mouth. It’s a type of dental bridge, however, unlike its traditional counterpart, it doesn’t involve extensive tooth preparation (shaving). It is commonly used in replacing central or lateral. The replacement tooth is custom made. This makes them a minimally invasive dental restoration. A maryland bridge is used to replace missing tooth especially in cases of front teeth. Like a traditional bridge, it includes a floating tooth to replace the missing one, but it adheres to the adjacent teeth. Unlike traditional bridges, maryland bridges don’t involve enamel removal. A dentist bonds the wings to the backs of your neighboring teeth to hold your bridge in.
from www.youtube.com
It is commonly used in replacing central or lateral. The maryland bridge is a relatively quick and painless alternative to traditional dental bridges. This type of dental bridge uses porcelain fused with a metal framework that. This makes them a minimally invasive dental restoration. The replacement tooth is custom made. A maryland dental bridge is a fixed restoration to replace missing teeth, especially in the front of the mouth. Like a traditional bridge, it includes a floating tooth to replace the missing one, but it adheres to the adjacent teeth. A dentist bonds the wings to the backs of your neighboring teeth to hold your bridge in. A maryland bridge is used to replace missing tooth especially in cases of front teeth. It’s a type of dental bridge, however, unlike its traditional counterpart, it doesn’t involve extensive tooth preparation (shaving).
Maryland Bridge Resin Bonded Bridge YouTube
Maryland Bridge On Front Teeth It is commonly used in replacing central or lateral. A maryland bridge is used to replace missing tooth especially in cases of front teeth. The replacement tooth is custom made. A maryland dental bridge is a fixed restoration to replace missing teeth, especially in the front of the mouth. Like a traditional bridge, it includes a floating tooth to replace the missing one, but it adheres to the adjacent teeth. This makes them a minimally invasive dental restoration. It’s a type of dental bridge, however, unlike its traditional counterpart, it doesn’t involve extensive tooth preparation (shaving). A dentist bonds the wings to the backs of your neighboring teeth to hold your bridge in. Unlike traditional bridges, maryland bridges don’t involve enamel removal. This type of dental bridge uses porcelain fused with a metal framework that. The maryland bridge is a relatively quick and painless alternative to traditional dental bridges. It is commonly used in replacing central or lateral.
From originsspecialtydentistry.com
RESIN BONDED BRIDGE (MARYLAND BRIDGE) Origins Dentistry Maryland Bridge On Front Teeth Like a traditional bridge, it includes a floating tooth to replace the missing one, but it adheres to the adjacent teeth. The maryland bridge is a relatively quick and painless alternative to traditional dental bridges. This makes them a minimally invasive dental restoration. It is commonly used in replacing central or lateral. A maryland bridge is used to replace missing. Maryland Bridge On Front Teeth.
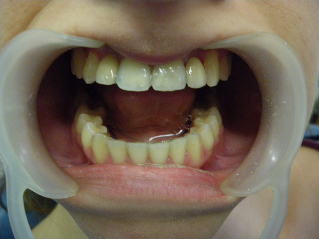
From www.cookdmd.com
Dental Bridges Birmingham AL Smile Gallery Maryland Bridge Maryland Bridge On Front Teeth A dentist bonds the wings to the backs of your neighboring teeth to hold your bridge in. It’s a type of dental bridge, however, unlike its traditional counterpart, it doesn’t involve extensive tooth preparation (shaving). A maryland dental bridge is a fixed restoration to replace missing teeth, especially in the front of the mouth. The maryland bridge is a relatively. Maryland Bridge On Front Teeth.
From www.authoritydental.org
Dental bridge types, and procedure Authority Dental Maryland Bridge On Front Teeth This type of dental bridge uses porcelain fused with a metal framework that. It is commonly used in replacing central or lateral. It’s a type of dental bridge, however, unlike its traditional counterpart, it doesn’t involve extensive tooth preparation (shaving). Like a traditional bridge, it includes a floating tooth to replace the missing one, but it adheres to the adjacent. Maryland Bridge On Front Teeth.
From healthjade.com
Dental Bridge Procedure, Dental Bridge Vs Dental Implant Maryland Bridge On Front Teeth A dentist bonds the wings to the backs of your neighboring teeth to hold your bridge in. It’s a type of dental bridge, however, unlike its traditional counterpart, it doesn’t involve extensive tooth preparation (shaving). It is commonly used in replacing central or lateral. This type of dental bridge uses porcelain fused with a metal framework that. The replacement tooth. Maryland Bridge On Front Teeth.
From www.odontovida.com
Maryland bridge How to do it? OdontoVida Maryland Bridge On Front Teeth Like a traditional bridge, it includes a floating tooth to replace the missing one, but it adheres to the adjacent teeth. A maryland bridge is used to replace missing tooth especially in cases of front teeth. It’s a type of dental bridge, however, unlike its traditional counterpart, it doesn’t involve extensive tooth preparation (shaving). A dentist bonds the wings to. Maryland Bridge On Front Teeth.
From arlington-dentistry.com
Dental Bridges Arlington Dentistry Maryland Bridge On Front Teeth A dentist bonds the wings to the backs of your neighboring teeth to hold your bridge in. A maryland bridge is used to replace missing tooth especially in cases of front teeth. Like a traditional bridge, it includes a floating tooth to replace the missing one, but it adheres to the adjacent teeth. This type of dental bridge uses porcelain. Maryland Bridge On Front Teeth.
From www.midentalclinic.com
What is a Dental Bridge? Mi DENTAL Maryland Bridge On Front Teeth A maryland bridge is used to replace missing tooth especially in cases of front teeth. The maryland bridge is a relatively quick and painless alternative to traditional dental bridges. The replacement tooth is custom made. It’s a type of dental bridge, however, unlike its traditional counterpart, it doesn’t involve extensive tooth preparation (shaving). This type of dental bridge uses porcelain. Maryland Bridge On Front Teeth.
From www.dentalclinic-knet.com
Dental Maryland bridge Dental Clinic Maryland Bridge On Front Teeth Unlike traditional bridges, maryland bridges don’t involve enamel removal. It’s a type of dental bridge, however, unlike its traditional counterpart, it doesn’t involve extensive tooth preparation (shaving). The replacement tooth is custom made. It is commonly used in replacing central or lateral. A dentist bonds the wings to the backs of your neighboring teeth to hold your bridge in. The. Maryland Bridge On Front Teeth.
From www.orilliasmilecentre.com
Dental Bridges Orillia ON Replacement Teeth Maryland Bridge On Front Teeth It’s a type of dental bridge, however, unlike its traditional counterpart, it doesn’t involve extensive tooth preparation (shaving). The replacement tooth is custom made. Unlike traditional bridges, maryland bridges don’t involve enamel removal. This makes them a minimally invasive dental restoration. A maryland dental bridge is a fixed restoration to replace missing teeth, especially in the front of the mouth.. Maryland Bridge On Front Teeth.
From prestigefamilydentistry.com
Maryland bridge to replace missing front teeth Prestige Family Dentistry Maryland Bridge On Front Teeth The replacement tooth is custom made. A maryland bridge is used to replace missing tooth especially in cases of front teeth. It’s a type of dental bridge, however, unlike its traditional counterpart, it doesn’t involve extensive tooth preparation (shaving). Unlike traditional bridges, maryland bridges don’t involve enamel removal. This type of dental bridge uses porcelain fused with a metal framework. Maryland Bridge On Front Teeth.
From originsspecialtydentistry.com
RESIN BONDED BRIDGE (MARYLAND BRIDGE) Origins Dentistry Maryland Bridge On Front Teeth The maryland bridge is a relatively quick and painless alternative to traditional dental bridges. This makes them a minimally invasive dental restoration. This type of dental bridge uses porcelain fused with a metal framework that. Unlike traditional bridges, maryland bridges don’t involve enamel removal. It is commonly used in replacing central or lateral. It’s a type of dental bridge, however,. Maryland Bridge On Front Teeth.
From yanchodentistry.com
Dental Bonded Bridges, fixed incisors in Traverse City Maryland Bridge On Front Teeth A dentist bonds the wings to the backs of your neighboring teeth to hold your bridge in. It’s a type of dental bridge, however, unlike its traditional counterpart, it doesn’t involve extensive tooth preparation (shaving). Unlike traditional bridges, maryland bridges don’t involve enamel removal. Like a traditional bridge, it includes a floating tooth to replace the missing one, but it. Maryland Bridge On Front Teeth.
From www.msdental.com.au
Dental Bridge Cardiff Singleton Newcastle Maryland Bridge On Front Teeth This type of dental bridge uses porcelain fused with a metal framework that. This makes them a minimally invasive dental restoration. The replacement tooth is custom made. A maryland dental bridge is a fixed restoration to replace missing teeth, especially in the front of the mouth. The maryland bridge is a relatively quick and painless alternative to traditional dental bridges.. Maryland Bridge On Front Teeth.
From plazadental.com.au
Dental Bridges What Are They and How Do They Work? Plaza Dental Maryland Bridge On Front Teeth This type of dental bridge uses porcelain fused with a metal framework that. The replacement tooth is custom made. Unlike traditional bridges, maryland bridges don’t involve enamel removal. A dentist bonds the wings to the backs of your neighboring teeth to hold your bridge in. It’s a type of dental bridge, however, unlike its traditional counterpart, it doesn’t involve extensive. Maryland Bridge On Front Teeth.
From www.youtube.com
Maryland Bridge after Orthodontics YouTube Maryland Bridge On Front Teeth A maryland bridge is used to replace missing tooth especially in cases of front teeth. Like a traditional bridge, it includes a floating tooth to replace the missing one, but it adheres to the adjacent teeth. A dentist bonds the wings to the backs of your neighboring teeth to hold your bridge in. It is commonly used in replacing central. Maryland Bridge On Front Teeth.
From www.animalia-life.club
Dental Bridge Front Teeth Maryland Bridge On Front Teeth A maryland dental bridge is a fixed restoration to replace missing teeth, especially in the front of the mouth. The maryland bridge is a relatively quick and painless alternative to traditional dental bridges. This type of dental bridge uses porcelain fused with a metal framework that. This makes them a minimally invasive dental restoration. A dentist bonds the wings to. Maryland Bridge On Front Teeth.
From www.facialart.com
Maryland Bridge Conversion to an ImplantSupported Crown Maryland Maryland Bridge On Front Teeth This type of dental bridge uses porcelain fused with a metal framework that. This makes them a minimally invasive dental restoration. The maryland bridge is a relatively quick and painless alternative to traditional dental bridges. The replacement tooth is custom made. It’s a type of dental bridge, however, unlike its traditional counterpart, it doesn’t involve extensive tooth preparation (shaving). Like. Maryland Bridge On Front Teeth.
From www.athens-dental.com
Maryland Bridges advantagesdisadvantagesathens dental Maryland Bridge On Front Teeth Like a traditional bridge, it includes a floating tooth to replace the missing one, but it adheres to the adjacent teeth. The replacement tooth is custom made. This makes them a minimally invasive dental restoration. A maryland dental bridge is a fixed restoration to replace missing teeth, especially in the front of the mouth. It’s a type of dental bridge,. Maryland Bridge On Front Teeth.
From www.dreamstime.com
Maryland Bridge Made from Ceramic, Front Tooth Recovery. Medically Maryland Bridge On Front Teeth Unlike traditional bridges, maryland bridges don’t involve enamel removal. The replacement tooth is custom made. A maryland bridge is used to replace missing tooth especially in cases of front teeth. A maryland dental bridge is a fixed restoration to replace missing teeth, especially in the front of the mouth. A dentist bonds the wings to the backs of your neighboring. Maryland Bridge On Front Teeth.
From www.masterpiecesmile.com
Dental Bridges History Philadelphia, PA False Teeth in Dentistry Maryland Bridge On Front Teeth Like a traditional bridge, it includes a floating tooth to replace the missing one, but it adheres to the adjacent teeth. The replacement tooth is custom made. This type of dental bridge uses porcelain fused with a metal framework that. It’s a type of dental bridge, however, unlike its traditional counterpart, it doesn’t involve extensive tooth preparation (shaving). Unlike traditional. Maryland Bridge On Front Teeth.
From www.thedentalroots.com
Maryland Bridge (Procedure, Cost, Pros & Cons) The Dental Roots Maryland Bridge On Front Teeth It is commonly used in replacing central or lateral. The replacement tooth is custom made. Unlike traditional bridges, maryland bridges don’t involve enamel removal. The maryland bridge is a relatively quick and painless alternative to traditional dental bridges. Like a traditional bridge, it includes a floating tooth to replace the missing one, but it adheres to the adjacent teeth. A. Maryland Bridge On Front Teeth.
From www.northwestdds.com
Dental Bridges Northwest Dental Glyndon Maryland Maryland Bridge On Front Teeth Unlike traditional bridges, maryland bridges don’t involve enamel removal. A maryland dental bridge is a fixed restoration to replace missing teeth, especially in the front of the mouth. It is commonly used in replacing central or lateral. A maryland bridge is used to replace missing tooth especially in cases of front teeth. This makes them a minimally invasive dental restoration.. Maryland Bridge On Front Teeth.
From www.northwestdds.com
Dental Bridges Northwest Dental Glyndon Maryland Maryland Bridge On Front Teeth A dentist bonds the wings to the backs of your neighboring teeth to hold your bridge in. This type of dental bridge uses porcelain fused with a metal framework that. A maryland dental bridge is a fixed restoration to replace missing teeth, especially in the front of the mouth. A maryland bridge is used to replace missing tooth especially in. Maryland Bridge On Front Teeth.
From www.animalia-life.club
Dental Bridge Front Teeth Maryland Bridge On Front Teeth The maryland bridge is a relatively quick and painless alternative to traditional dental bridges. A maryland dental bridge is a fixed restoration to replace missing teeth, especially in the front of the mouth. This makes them a minimally invasive dental restoration. Like a traditional bridge, it includes a floating tooth to replace the missing one, but it adheres to the. Maryland Bridge On Front Teeth.
From www.lakeforestdentalsmiles.com
Gaithersburg Dentist Smile Gallery Bridge Tooth Replacement Maryland Bridge On Front Teeth The maryland bridge is a relatively quick and painless alternative to traditional dental bridges. A maryland dental bridge is a fixed restoration to replace missing teeth, especially in the front of the mouth. This makes them a minimally invasive dental restoration. It is commonly used in replacing central or lateral. Unlike traditional bridges, maryland bridges don’t involve enamel removal. It’s. Maryland Bridge On Front Teeth.
From www.youtube.com
SameDay Maryland Bridge For Missing Front Teeth YouTube Maryland Bridge On Front Teeth This type of dental bridge uses porcelain fused with a metal framework that. Unlike traditional bridges, maryland bridges don’t involve enamel removal. It is commonly used in replacing central or lateral. A maryland dental bridge is a fixed restoration to replace missing teeth, especially in the front of the mouth. A maryland bridge is used to replace missing tooth especially. Maryland Bridge On Front Teeth.
From www.dreamstime.com
Maryland Bridge Made from Ceramic, Front Tooth Recovery. Medically Maryland Bridge On Front Teeth The replacement tooth is custom made. Like a traditional bridge, it includes a floating tooth to replace the missing one, but it adheres to the adjacent teeth. A maryland bridge is used to replace missing tooth especially in cases of front teeth. It is commonly used in replacing central or lateral. A dentist bonds the wings to the backs of. Maryland Bridge On Front Teeth.
From www.suwaneefamilydentistry.com
How Long Do Dental Bridges Last? Suwanee Family Dentistry PC Maryland Bridge On Front Teeth A dentist bonds the wings to the backs of your neighboring teeth to hold your bridge in. Like a traditional bridge, it includes a floating tooth to replace the missing one, but it adheres to the adjacent teeth. The replacement tooth is custom made. A maryland bridge is used to replace missing tooth especially in cases of front teeth. The. Maryland Bridge On Front Teeth.
From www.athens-dental.com
The Maryland bridge is a method used to replace a missing tooth Maryland Bridge On Front Teeth This makes them a minimally invasive dental restoration. Unlike traditional bridges, maryland bridges don’t involve enamel removal. Like a traditional bridge, it includes a floating tooth to replace the missing one, but it adheres to the adjacent teeth. It’s a type of dental bridge, however, unlike its traditional counterpart, it doesn’t involve extensive tooth preparation (shaving). This type of dental. Maryland Bridge On Front Teeth.
From www.dreamstime.com
Maryland Bridge Made from Ceramic, Front Tooth Recovery. Medically Maryland Bridge On Front Teeth This makes them a minimally invasive dental restoration. A maryland bridge is used to replace missing tooth especially in cases of front teeth. This type of dental bridge uses porcelain fused with a metal framework that. A maryland dental bridge is a fixed restoration to replace missing teeth, especially in the front of the mouth. The maryland bridge is a. Maryland Bridge On Front Teeth.
From healthjade.com
Dental Bridge Procedure, Dental Bridge Vs Dental Implant Maryland Bridge On Front Teeth A dentist bonds the wings to the backs of your neighboring teeth to hold your bridge in. It’s a type of dental bridge, however, unlike its traditional counterpart, it doesn’t involve extensive tooth preparation (shaving). A maryland bridge is used to replace missing tooth especially in cases of front teeth. The maryland bridge is a relatively quick and painless alternative. Maryland Bridge On Front Teeth.
From www.youtube.com
Dentapreg Maryland Bridge YouTube Maryland Bridge On Front Teeth This makes them a minimally invasive dental restoration. It’s a type of dental bridge, however, unlike its traditional counterpart, it doesn’t involve extensive tooth preparation (shaving). The maryland bridge is a relatively quick and painless alternative to traditional dental bridges. The replacement tooth is custom made. It is commonly used in replacing central or lateral. This type of dental bridge. Maryland Bridge On Front Teeth.
From www.youtube.com
Maryland Bridge Resin Bonded Bridge YouTube Maryland Bridge On Front Teeth It is commonly used in replacing central or lateral. Like a traditional bridge, it includes a floating tooth to replace the missing one, but it adheres to the adjacent teeth. The replacement tooth is custom made. A dentist bonds the wings to the backs of your neighboring teeth to hold your bridge in. It’s a type of dental bridge, however,. Maryland Bridge On Front Teeth.
From ar.inspiredpencil.com
Dental Bridge Front Teeth Maryland Bridge On Front Teeth This makes them a minimally invasive dental restoration. It’s a type of dental bridge, however, unlike its traditional counterpart, it doesn’t involve extensive tooth preparation (shaving). A dentist bonds the wings to the backs of your neighboring teeth to hold your bridge in. This type of dental bridge uses porcelain fused with a metal framework that. Like a traditional bridge,. Maryland Bridge On Front Teeth.
From www.athens-dental.com
The Maryland bridge is a method used to replace a missing tooth Maryland Bridge On Front Teeth Like a traditional bridge, it includes a floating tooth to replace the missing one, but it adheres to the adjacent teeth. A maryland dental bridge is a fixed restoration to replace missing teeth, especially in the front of the mouth. The replacement tooth is custom made. Unlike traditional bridges, maryland bridges don’t involve enamel removal. It’s a type of dental. Maryland Bridge On Front Teeth.