Orthodontics Before Implants . If you want to know more about restoring your smile after tooth loss, feel free to contact the dental. If you place implants first, they might be. Braces can properly align your teeth and jaw, creating an ideal implant foundation. If the teeth surrounding the. The majority of the time you should have the teeth moved into place orthodontically before having an implant placed. In many cases it is ideal to move and align teeth before implants or veneers are installed, but for some patients it is unnecessary, and in other. The factors involved will include which teeth are missing and if a proper bite can be achieved without the missing tooth. Having braces before dental implants will allow for your orthodontist to ensure your teeth are in the perfect position once your treatment and implant are completed. However, it may sometimes make more sense to place the dental implant before orthodontic treatment begins. An orthodontic evaluation will determine if using braces instead of dental implants is a good option for you. By undergoing orthodontic work ahead of time, it may be possible to get dental implants.
from www.tpsearchtool.com
An orthodontic evaluation will determine if using braces instead of dental implants is a good option for you. Braces can properly align your teeth and jaw, creating an ideal implant foundation. If the teeth surrounding the. In many cases it is ideal to move and align teeth before implants or veneers are installed, but for some patients it is unnecessary, and in other. If you want to know more about restoring your smile after tooth loss, feel free to contact the dental. Having braces before dental implants will allow for your orthodontist to ensure your teeth are in the perfect position once your treatment and implant are completed. However, it may sometimes make more sense to place the dental implant before orthodontic treatment begins. If you place implants first, they might be. The majority of the time you should have the teeth moved into place orthodontically before having an implant placed. By undergoing orthodontic work ahead of time, it may be possible to get dental implants.
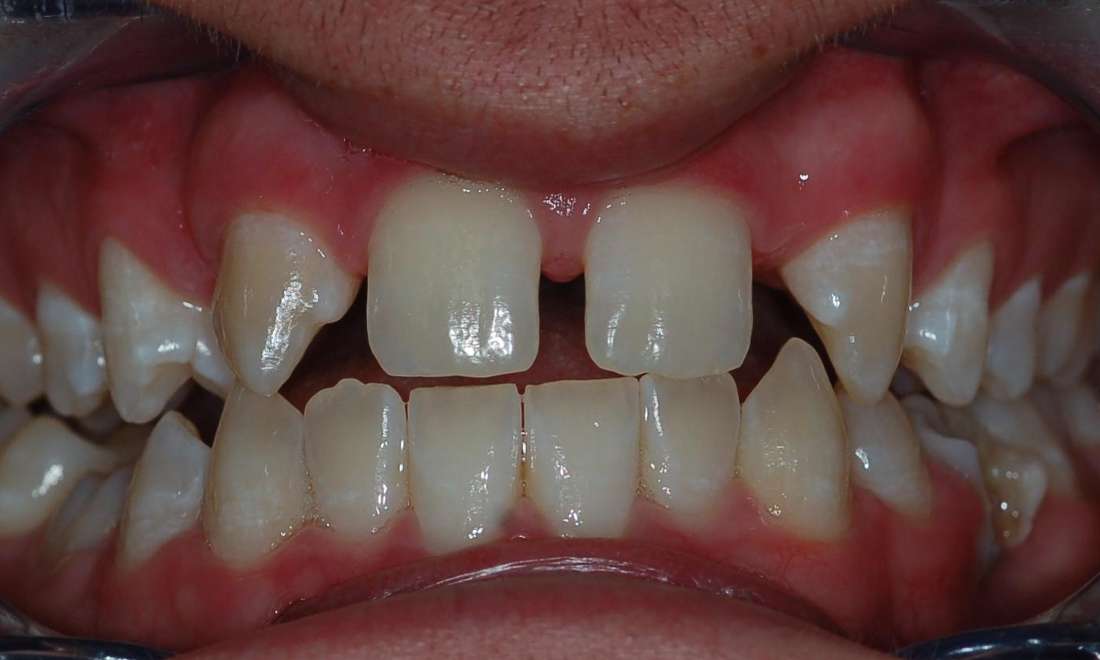
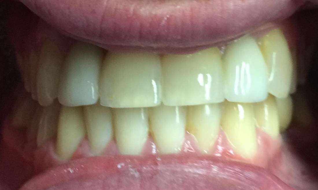
Orthodontic Before And After Photos Brodsky Orthodontics Images
Orthodontics Before Implants Braces can properly align your teeth and jaw, creating an ideal implant foundation. By undergoing orthodontic work ahead of time, it may be possible to get dental implants. If you want to know more about restoring your smile after tooth loss, feel free to contact the dental. If the teeth surrounding the. The factors involved will include which teeth are missing and if a proper bite can be achieved without the missing tooth. An orthodontic evaluation will determine if using braces instead of dental implants is a good option for you. Braces can properly align your teeth and jaw, creating an ideal implant foundation. However, it may sometimes make more sense to place the dental implant before orthodontic treatment begins. Having braces before dental implants will allow for your orthodontist to ensure your teeth are in the perfect position once your treatment and implant are completed. If you place implants first, they might be. The majority of the time you should have the teeth moved into place orthodontically before having an implant placed. In many cases it is ideal to move and align teeth before implants or veneers are installed, but for some patients it is unnecessary, and in other.
From www.drbrodskysmile.com
Orthodontic Before and After Photos Brodsky Orthodontics Orthodontics Before Implants If the teeth surrounding the. If you want to know more about restoring your smile after tooth loss, feel free to contact the dental. The factors involved will include which teeth are missing and if a proper bite can be achieved without the missing tooth. The majority of the time you should have the teeth moved into place orthodontically before. Orthodontics Before Implants.
From www.pinterest.fr
Wonderful results with Braces and MARA appliance at Amanda Gallagher Orthodontics Before Implants If the teeth surrounding the. By undergoing orthodontic work ahead of time, it may be possible to get dental implants. The factors involved will include which teeth are missing and if a proper bite can be achieved without the missing tooth. Having braces before dental implants will allow for your orthodontist to ensure your teeth are in the perfect position. Orthodontics Before Implants.
From www.painfreedentistry.com.au
Orthodontics and Implants Before & After Photos Harris Park NSW Orthodontics Before Implants However, it may sometimes make more sense to place the dental implant before orthodontic treatment begins. An orthodontic evaluation will determine if using braces instead of dental implants is a good option for you. If you place implants first, they might be. If the teeth surrounding the. By undergoing orthodontic work ahead of time, it may be possible to get. Orthodontics Before Implants.
From www.freshbreathdentalclinic.in
Invisalign treatment in Kalyan nagar Invisible Braces treatment in Orthodontics Before Implants If you place implants first, they might be. In many cases it is ideal to move and align teeth before implants or veneers are installed, but for some patients it is unnecessary, and in other. An orthodontic evaluation will determine if using braces instead of dental implants is a good option for you. Having braces before dental implants will allow. Orthodontics Before Implants.
From www.doctoremma.com
Orthognathic Jaw Surgery Before and After Doctor Emma Orthodontics Before Implants The factors involved will include which teeth are missing and if a proper bite can be achieved without the missing tooth. If you want to know more about restoring your smile after tooth loss, feel free to contact the dental. An orthodontic evaluation will determine if using braces instead of dental implants is a good option for you. Braces can. Orthodontics Before Implants.
From familydentistottawa.com
Dental Implants Ottawa Rockcliffe Dental & Denture Centre Orthodontics Before Implants If you want to know more about restoring your smile after tooth loss, feel free to contact the dental. If the teeth surrounding the. The majority of the time you should have the teeth moved into place orthodontically before having an implant placed. Braces can properly align your teeth and jaw, creating an ideal implant foundation. The factors involved will. Orthodontics Before Implants.
From www.pinterest.com
Orthodontic Before and After Pictures! Wonderful Results with braces at Orthodontics Before Implants An orthodontic evaluation will determine if using braces instead of dental implants is a good option for you. Braces can properly align your teeth and jaw, creating an ideal implant foundation. If you place implants first, they might be. Having braces before dental implants will allow for your orthodontist to ensure your teeth are in the perfect position once your. Orthodontics Before Implants.
From abc123dental.com
Dental Implants Before And After Using Braces Orthodontics Before Implants The factors involved will include which teeth are missing and if a proper bite can be achieved without the missing tooth. However, it may sometimes make more sense to place the dental implant before orthodontic treatment begins. The majority of the time you should have the teeth moved into place orthodontically before having an implant placed. By undergoing orthodontic work. Orthodontics Before Implants.
From www.orthomontreal.com
Braces with missing teeth before and after Orthodontics Before Implants The majority of the time you should have the teeth moved into place orthodontically before having an implant placed. However, it may sometimes make more sense to place the dental implant before orthodontic treatment begins. Having braces before dental implants will allow for your orthodontist to ensure your teeth are in the perfect position once your treatment and implant are. Orthodontics Before Implants.
From www.drbrodskysmile.com
Orthodontic Before and After Photos Brodsky Orthodontics Orthodontics Before Implants An orthodontic evaluation will determine if using braces instead of dental implants is a good option for you. Having braces before dental implants will allow for your orthodontist to ensure your teeth are in the perfect position once your treatment and implant are completed. In many cases it is ideal to move and align teeth before implants or veneers are. Orthodontics Before Implants.
From www.yourdentistryguide.com
Dental Braces Treatment Details Removal & Recovery Orthodontics Before Implants In many cases it is ideal to move and align teeth before implants or veneers are installed, but for some patients it is unnecessary, and in other. If you place implants first, they might be. Having braces before dental implants will allow for your orthodontist to ensure your teeth are in the perfect position once your treatment and implant are. Orthodontics Before Implants.
From www.fairbanksdentalassociates.com
Before and After Fairbanks Dental Associates in Temple, TX Orthodontics Before Implants Braces can properly align your teeth and jaw, creating an ideal implant foundation. An orthodontic evaluation will determine if using braces instead of dental implants is a good option for you. However, it may sometimes make more sense to place the dental implant before orthodontic treatment begins. The majority of the time you should have the teeth moved into place. Orthodontics Before Implants.
From www.tpsearchtool.com
Orthodontic Before And After Photos Brodsky Orthodontics Images Orthodontics Before Implants Braces can properly align your teeth and jaw, creating an ideal implant foundation. If you place implants first, they might be. By undergoing orthodontic work ahead of time, it may be possible to get dental implants. However, it may sometimes make more sense to place the dental implant before orthodontic treatment begins. If the teeth surrounding the. If you want. Orthodontics Before Implants.
From www.drbrodskysmile.com
Orthodontic Before and After Photos Brodsky Orthodontics Orthodontics Before Implants The majority of the time you should have the teeth moved into place orthodontically before having an implant placed. By undergoing orthodontic work ahead of time, it may be possible to get dental implants. If you want to know more about restoring your smile after tooth loss, feel free to contact the dental. The factors involved will include which teeth. Orthodontics Before Implants.
From pvfamilydentistry.com
27 Pictures of Dental Implants Amazing Before and After Photos Orthodontics Before Implants Having braces before dental implants will allow for your orthodontist to ensure your teeth are in the perfect position once your treatment and implant are completed. The factors involved will include which teeth are missing and if a proper bite can be achieved without the missing tooth. An orthodontic evaluation will determine if using braces instead of dental implants is. Orthodontics Before Implants.
From www.animalia-life.club
Tooth Implant Before After Orthodontics Before Implants By undergoing orthodontic work ahead of time, it may be possible to get dental implants. If you place implants first, they might be. An orthodontic evaluation will determine if using braces instead of dental implants is a good option for you. Braces can properly align your teeth and jaw, creating an ideal implant foundation. If you want to know more. Orthodontics Before Implants.
From www.youtube.com
Orthodontics Treatment Before Dental Implants YouTube Orthodontics Before Implants In many cases it is ideal to move and align teeth before implants or veneers are installed, but for some patients it is unnecessary, and in other. If the teeth surrounding the. By undergoing orthodontic work ahead of time, it may be possible to get dental implants. However, it may sometimes make more sense to place the dental implant before. Orthodontics Before Implants.
From nl.pinterest.com
Ortodoncia (Antes y después) Ortodoncia, Frenillos dentales Orthodontics Before Implants If you want to know more about restoring your smile after tooth loss, feel free to contact the dental. An orthodontic evaluation will determine if using braces instead of dental implants is a good option for you. The factors involved will include which teeth are missing and if a proper bite can be achieved without the missing tooth. By undergoing. Orthodontics Before Implants.
From www.pinterest.com
Before and after for full arch dental implants. Dental implants cost Orthodontics Before Implants If you place implants first, they might be. By undergoing orthodontic work ahead of time, it may be possible to get dental implants. Having braces before dental implants will allow for your orthodontist to ensure your teeth are in the perfect position once your treatment and implant are completed. If the teeth surrounding the. If you want to know more. Orthodontics Before Implants.
From www.tpsearchtool.com
Orthodontic Before And After Photos Brodsky Orthodontics Images Orthodontics Before Implants If you want to know more about restoring your smile after tooth loss, feel free to contact the dental. If the teeth surrounding the. Braces can properly align your teeth and jaw, creating an ideal implant foundation. The factors involved will include which teeth are missing and if a proper bite can be achieved without the missing tooth. An orthodontic. Orthodontics Before Implants.
From www.drbrodskysmile.com
Orthodontic Before and After Photos Brodsky Orthodontics Orthodontics Before Implants The factors involved will include which teeth are missing and if a proper bite can be achieved without the missing tooth. An orthodontic evaluation will determine if using braces instead of dental implants is a good option for you. By undergoing orthodontic work ahead of time, it may be possible to get dental implants. Having braces before dental implants will. Orthodontics Before Implants.
From suryodayadentalclinic.blogspot.com
Suryodaya Dental Clinic Orthodontics Before Implants The majority of the time you should have the teeth moved into place orthodontically before having an implant placed. The factors involved will include which teeth are missing and if a proper bite can be achieved without the missing tooth. Braces can properly align your teeth and jaw, creating an ideal implant foundation. By undergoing orthodontic work ahead of time,. Orthodontics Before Implants.
From www.painfreedentistry.com.au
Orthodontics and Implants Before & After Photos Harris Park NSW Orthodontics Before Implants In many cases it is ideal to move and align teeth before implants or veneers are installed, but for some patients it is unnecessary, and in other. The majority of the time you should have the teeth moved into place orthodontically before having an implant placed. Braces can properly align your teeth and jaw, creating an ideal implant foundation. If. Orthodontics Before Implants.
From www.animalia-life.club
Braces Before And After Smile Orthodontics Before Implants By undergoing orthodontic work ahead of time, it may be possible to get dental implants. Braces can properly align your teeth and jaw, creating an ideal implant foundation. The factors involved will include which teeth are missing and if a proper bite can be achieved without the missing tooth. If you place implants first, they might be. If the teeth. Orthodontics Before Implants.
From animalia-life.club
Tooth Implant Before After Orthodontics Before Implants An orthodontic evaluation will determine if using braces instead of dental implants is a good option for you. If the teeth surrounding the. By undergoing orthodontic work ahead of time, it may be possible to get dental implants. In many cases it is ideal to move and align teeth before implants or veneers are installed, but for some patients it. Orthodontics Before Implants.
From exyysetfp.blob.core.windows.net
Before And After Pictures Of Braces at Janice Mcclure blog Orthodontics Before Implants Having braces before dental implants will allow for your orthodontist to ensure your teeth are in the perfect position once your treatment and implant are completed. The factors involved will include which teeth are missing and if a proper bite can be achieved without the missing tooth. Braces can properly align your teeth and jaw, creating an ideal implant foundation.. Orthodontics Before Implants.
From www.bouldercountysmiles.com
Tooth Implant Placement Before, During, After Boulder County Smiles Orthodontics Before Implants Braces can properly align your teeth and jaw, creating an ideal implant foundation. The majority of the time you should have the teeth moved into place orthodontically before having an implant placed. Having braces before dental implants will allow for your orthodontist to ensure your teeth are in the perfect position once your treatment and implant are completed. If the. Orthodontics Before Implants.
From cerclwgl.blob.core.windows.net
What Is Finishing And Detailing In Orthodontics at James Hereford blog Orthodontics Before Implants The factors involved will include which teeth are missing and if a proper bite can be achieved without the missing tooth. If you want to know more about restoring your smile after tooth loss, feel free to contact the dental. By undergoing orthodontic work ahead of time, it may be possible to get dental implants. The majority of the time. Orthodontics Before Implants.
From smile-gallery.com
Orthodontics Archives Smile Gallery Dental Wellness Center Orthodontics Before Implants If you want to know more about restoring your smile after tooth loss, feel free to contact the dental. By undergoing orthodontic work ahead of time, it may be possible to get dental implants. Having braces before dental implants will allow for your orthodontist to ensure your teeth are in the perfect position once your treatment and implant are completed.. Orthodontics Before Implants.
From www.envysmile.com
Clear Braces in Brooklyn Orthodontics Envy Smile Dental Spa Orthodontics Before Implants If the teeth surrounding the. Having braces before dental implants will allow for your orthodontist to ensure your teeth are in the perfect position once your treatment and implant are completed. The factors involved will include which teeth are missing and if a proper bite can be achieved without the missing tooth. However, it may sometimes make more sense to. Orthodontics Before Implants.
From www.dentgap.com
Braces Before and After 5 FACTS You should know before getting braces Orthodontics Before Implants However, it may sometimes make more sense to place the dental implant before orthodontic treatment begins. If you place implants first, they might be. If the teeth surrounding the. Braces can properly align your teeth and jaw, creating an ideal implant foundation. The factors involved will include which teeth are missing and if a proper bite can be achieved without. Orthodontics Before Implants.
From www.wheninmanila.com
GETTING THE PERFECT SMILE Molar Tooth Extraction & My Fashion Smile Orthodontics Before Implants Having braces before dental implants will allow for your orthodontist to ensure your teeth are in the perfect position once your treatment and implant are completed. An orthodontic evaluation will determine if using braces instead of dental implants is a good option for you. If the teeth surrounding the. If you place implants first, they might be. However, it may. Orthodontics Before Implants.
From educatorpages.com
Is It Better To Get Braces Before Dental Implants? Orthodontics Before Implants Having braces before dental implants will allow for your orthodontist to ensure your teeth are in the perfect position once your treatment and implant are completed. The factors involved will include which teeth are missing and if a proper bite can be achieved without the missing tooth. Braces can properly align your teeth and jaw, creating an ideal implant foundation.. Orthodontics Before Implants.
From www.dentalclinic-knet.com
Before and After Braces At The Orthodontic Centre Dental Clinic Orthodontics Before Implants Having braces before dental implants will allow for your orthodontist to ensure your teeth are in the perfect position once your treatment and implant are completed. The majority of the time you should have the teeth moved into place orthodontically before having an implant placed. By undergoing orthodontic work ahead of time, it may be possible to get dental implants.. Orthodontics Before Implants.
From www.drbrodskysmile.com
Orthodontic Before and After Photos Brodsky Orthodontics Orthodontics Before Implants Having braces before dental implants will allow for your orthodontist to ensure your teeth are in the perfect position once your treatment and implant are completed. If you want to know more about restoring your smile after tooth loss, feel free to contact the dental. An orthodontic evaluation will determine if using braces instead of dental implants is a good. Orthodontics Before Implants.