Do Gums Recede With Veneers . This makes your teeth more. Veneers cannot treat receding gums by reversing the recession or promoting gum tissue regrowth. However, they can provide cosmetic and protective benefits for teeth affected by gum : It happens when your gum tissue pulls away from your teeth, exposing the roots underneath. Healthy gums fit snugly around the visible part, or. Can veneers treat receding gums? Just like a dental veneer sits over the front of your natural teeth and changes the appearance of your teeth, a gum veneer sits on. Cosmetically, your best options might be veneers, which can reduce the appearance of receding gums; If your gums are swollen, form large pockets around the tops of your teeth, or have the tendency to bleed, then they need some tlc. However, oral hygiene changes can stop gum recession, and some treatments can reconstruct gum tissue. Receding gums cannot grow back. Unfortunately, there's no way for gums to grow back, but there are some ways to improve your smile after gum recession.
from www.youtube.com
If your gums are swollen, form large pockets around the tops of your teeth, or have the tendency to bleed, then they need some tlc. Cosmetically, your best options might be veneers, which can reduce the appearance of receding gums; However, they can provide cosmetic and protective benefits for teeth affected by gum : Healthy gums fit snugly around the visible part, or. It happens when your gum tissue pulls away from your teeth, exposing the roots underneath. Just like a dental veneer sits over the front of your natural teeth and changes the appearance of your teeth, a gum veneer sits on. Can veneers treat receding gums? However, oral hygiene changes can stop gum recession, and some treatments can reconstruct gum tissue. Veneers cannot treat receding gums by reversing the recession or promoting gum tissue regrowth. This makes your teeth more.
Do Gums Recede with Age_ American Periodontology Board Certified Gum
Do Gums Recede With Veneers However, oral hygiene changes can stop gum recession, and some treatments can reconstruct gum tissue. Veneers cannot treat receding gums by reversing the recession or promoting gum tissue regrowth. Unfortunately, there's no way for gums to grow back, but there are some ways to improve your smile after gum recession. It happens when your gum tissue pulls away from your teeth, exposing the roots underneath. Cosmetically, your best options might be veneers, which can reduce the appearance of receding gums; Just like a dental veneer sits over the front of your natural teeth and changes the appearance of your teeth, a gum veneer sits on. If your gums are swollen, form large pockets around the tops of your teeth, or have the tendency to bleed, then they need some tlc. However, they can provide cosmetic and protective benefits for teeth affected by gum : However, oral hygiene changes can stop gum recession, and some treatments can reconstruct gum tissue. Receding gums cannot grow back. Can veneers treat receding gums? This makes your teeth more. Healthy gums fit snugly around the visible part, or.
From westkellerdental.com
What Do Healthy Gums Look Like? West Keller Dental Do Gums Recede With Veneers Cosmetically, your best options might be veneers, which can reduce the appearance of receding gums; Healthy gums fit snugly around the visible part, or. However, they can provide cosmetic and protective benefits for teeth affected by gum : Unfortunately, there's no way for gums to grow back, but there are some ways to improve your smile after gum recession. It. Do Gums Recede With Veneers.
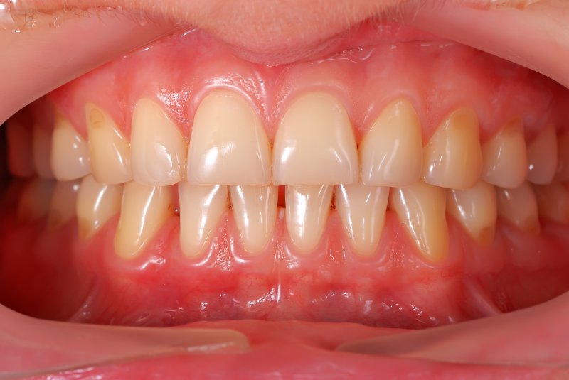
From www.oramd.com
Receding Gums Its Causes and Treatment OraMD Do Gums Recede With Veneers Just like a dental veneer sits over the front of your natural teeth and changes the appearance of your teeth, a gum veneer sits on. It happens when your gum tissue pulls away from your teeth, exposing the roots underneath. Cosmetically, your best options might be veneers, which can reduce the appearance of receding gums; However, they can provide cosmetic. Do Gums Recede With Veneers.
From www.cityparkdentalclinic.com
How long do gums hurt after veneers? Do Gums Recede With Veneers However, they can provide cosmetic and protective benefits for teeth affected by gum : Veneers cannot treat receding gums by reversing the recession or promoting gum tissue regrowth. Receding gums cannot grow back. It happens when your gum tissue pulls away from your teeth, exposing the roots underneath. Healthy gums fit snugly around the visible part, or. Just like a. Do Gums Recede With Veneers.
From www.stanleysmiles.com
What Causes Black Gums? Stanley Dentistry Do Gums Recede With Veneers This makes your teeth more. Just like a dental veneer sits over the front of your natural teeth and changes the appearance of your teeth, a gum veneer sits on. However, they can provide cosmetic and protective benefits for teeth affected by gum : It happens when your gum tissue pulls away from your teeth, exposing the roots underneath. Receding. Do Gums Recede With Veneers.
From ar.inspiredpencil.com
Healthy Gums Vs Receding Gums Do Gums Recede With Veneers Unfortunately, there's no way for gums to grow back, but there are some ways to improve your smile after gum recession. Healthy gums fit snugly around the visible part, or. Cosmetically, your best options might be veneers, which can reduce the appearance of receding gums; If your gums are swollen, form large pockets around the tops of your teeth, or. Do Gums Recede With Veneers.
From dentalfocus.com.au
Receding Gums Dental Focus Do Gums Recede With Veneers However, they can provide cosmetic and protective benefits for teeth affected by gum : Receding gums cannot grow back. Healthy gums fit snugly around the visible part, or. However, oral hygiene changes can stop gum recession, and some treatments can reconstruct gum tissue. If your gums are swollen, form large pockets around the tops of your teeth, or have the. Do Gums Recede With Veneers.
From smilesofmemorial.com
Why Do My Gums Recede? Smiles of Memorial Of Houston Do Gums Recede With Veneers Just like a dental veneer sits over the front of your natural teeth and changes the appearance of your teeth, a gum veneer sits on. Veneers cannot treat receding gums by reversing the recession or promoting gum tissue regrowth. However, oral hygiene changes can stop gum recession, and some treatments can reconstruct gum tissue. It happens when your gum tissue. Do Gums Recede With Veneers.
From www.ewanbramley.com
Prevent Receding Gums with these top tips Ewan Bramley Dental Care Do Gums Recede With Veneers Can veneers treat receding gums? This makes your teeth more. If your gums are swollen, form large pockets around the tops of your teeth, or have the tendency to bleed, then they need some tlc. However, oral hygiene changes can stop gum recession, and some treatments can reconstruct gum tissue. Just like a dental veneer sits over the front of. Do Gums Recede With Veneers.
From www.pinterest.com
If you think receding gums only affect "older" people, think again Do Gums Recede With Veneers It happens when your gum tissue pulls away from your teeth, exposing the roots underneath. This makes your teeth more. Can veneers treat receding gums? Receding gums cannot grow back. Unfortunately, there's no way for gums to grow back, but there are some ways to improve your smile after gum recession. However, they can provide cosmetic and protective benefits for. Do Gums Recede With Veneers.
From lakeforestdentalarts.com
Black line at gumline Edge of crown is dark Darkness at gum line Do Gums Recede With Veneers Veneers cannot treat receding gums by reversing the recession or promoting gum tissue regrowth. This makes your teeth more. However, they can provide cosmetic and protective benefits for teeth affected by gum : Can veneers treat receding gums? However, oral hygiene changes can stop gum recession, and some treatments can reconstruct gum tissue. Receding gums cannot grow back. Unfortunately, there's. Do Gums Recede With Veneers.
From orawellness.com
What causes receding gums and how to stop it OraWellness Do Gums Recede With Veneers If your gums are swollen, form large pockets around the tops of your teeth, or have the tendency to bleed, then they need some tlc. However, oral hygiene changes can stop gum recession, and some treatments can reconstruct gum tissue. Receding gums cannot grow back. However, they can provide cosmetic and protective benefits for teeth affected by gum : Veneers. Do Gums Recede With Veneers.
From smilestudionc.com
Will My Receding Gums Grow Back? Smile Studio NC Cosmetic & Family Do Gums Recede With Veneers Cosmetically, your best options might be veneers, which can reduce the appearance of receding gums; Receding gums cannot grow back. Just like a dental veneer sits over the front of your natural teeth and changes the appearance of your teeth, a gum veneer sits on. Can veneers treat receding gums? However, oral hygiene changes can stop gum recession, and some. Do Gums Recede With Veneers.
From www.northraleighperio.com
Do You Have Receding Gums? Do Gums Recede With Veneers Veneers cannot treat receding gums by reversing the recession or promoting gum tissue regrowth. This makes your teeth more. If your gums are swollen, form large pockets around the tops of your teeth, or have the tendency to bleed, then they need some tlc. However, they can provide cosmetic and protective benefits for teeth affected by gum : However, oral. Do Gums Recede With Veneers.
From www.lovettdentistrybeaumont.com
Causes of Receding Gums Dental Care in Beaumont, TX Do Gums Recede With Veneers However, oral hygiene changes can stop gum recession, and some treatments can reconstruct gum tissue. Veneers cannot treat receding gums by reversing the recession or promoting gum tissue regrowth. Cosmetically, your best options might be veneers, which can reduce the appearance of receding gums; Just like a dental veneer sits over the front of your natural teeth and changes the. Do Gums Recede With Veneers.
From www.steadyhealth.com
Why Do Gums Recede? Ear, Nose, Throat, and Dental problems articles Do Gums Recede With Veneers Cosmetically, your best options might be veneers, which can reduce the appearance of receding gums; It happens when your gum tissue pulls away from your teeth, exposing the roots underneath. However, they can provide cosmetic and protective benefits for teeth affected by gum : However, oral hygiene changes can stop gum recession, and some treatments can reconstruct gum tissue. Can. Do Gums Recede With Veneers.
From createsmiles.com
Gum Recession CreateSmiles by Dr. Brad Lockhart Tustin Dentist Do Gums Recede With Veneers Healthy gums fit snugly around the visible part, or. It happens when your gum tissue pulls away from your teeth, exposing the roots underneath. This makes your teeth more. However, they can provide cosmetic and protective benefits for teeth affected by gum : Just like a dental veneer sits over the front of your natural teeth and changes the appearance. Do Gums Recede With Veneers.
From smiledentalpartners.com
Receding Gums Symptoms, Consequences, and Remedies Smile Dental Partners Do Gums Recede With Veneers Can veneers treat receding gums? This makes your teeth more. However, oral hygiene changes can stop gum recession, and some treatments can reconstruct gum tissue. Healthy gums fit snugly around the visible part, or. Unfortunately, there's no way for gums to grow back, but there are some ways to improve your smile after gum recession. Cosmetically, your best options might. Do Gums Recede With Veneers.
From www.clintnewmandds.com
Porcelain Veneers and Receding Gums Nashville, TN Do Gums Recede With Veneers Receding gums cannot grow back. Cosmetically, your best options might be veneers, which can reduce the appearance of receding gums; Can veneers treat receding gums? However, oral hygiene changes can stop gum recession, and some treatments can reconstruct gum tissue. Just like a dental veneer sits over the front of your natural teeth and changes the appearance of your teeth,. Do Gums Recede With Veneers.
From www.clinicanoguerol.com
Why do gums recede? Clínica Noguerol Do Gums Recede With Veneers Healthy gums fit snugly around the visible part, or. It happens when your gum tissue pulls away from your teeth, exposing the roots underneath. If your gums are swollen, form large pockets around the tops of your teeth, or have the tendency to bleed, then they need some tlc. This makes your teeth more. However, they can provide cosmetic and. Do Gums Recede With Veneers.
From infinitydentalclinic.co.uk
Receding gums and replacement teeth Do Gums Recede With Veneers Veneers cannot treat receding gums by reversing the recession or promoting gum tissue regrowth. Cosmetically, your best options might be veneers, which can reduce the appearance of receding gums; Can veneers treat receding gums? It happens when your gum tissue pulls away from your teeth, exposing the roots underneath. If your gums are swollen, form large pockets around the tops. Do Gums Recede With Veneers.
From sunshinesmilesdentistry.com
Why are my gums receding? Do Gums Recede With Veneers If your gums are swollen, form large pockets around the tops of your teeth, or have the tendency to bleed, then they need some tlc. This makes your teeth more. Healthy gums fit snugly around the visible part, or. However, oral hygiene changes can stop gum recession, and some treatments can reconstruct gum tissue. However, they can provide cosmetic and. Do Gums Recede With Veneers.
From www.southfloridadentalcare.com
What Causes Gums to Recede and How Do You Deal with It? Do Gums Recede With Veneers Can veneers treat receding gums? However, oral hygiene changes can stop gum recession, and some treatments can reconstruct gum tissue. Just like a dental veneer sits over the front of your natural teeth and changes the appearance of your teeth, a gum veneer sits on. Cosmetically, your best options might be veneers, which can reduce the appearance of receding gums;. Do Gums Recede With Veneers.
From www.implantdentist.co.nz
How Receding Gums Can Totally Ruin Your Teeth Institute of Dental Do Gums Recede With Veneers Unfortunately, there's no way for gums to grow back, but there are some ways to improve your smile after gum recession. Receding gums cannot grow back. Can veneers treat receding gums? However, oral hygiene changes can stop gum recession, and some treatments can reconstruct gum tissue. Veneers cannot treat receding gums by reversing the recession or promoting gum tissue regrowth.. Do Gums Recede With Veneers.
From www.laniervalleydentistry.com
Do Your Gums Recede When You Snore? Do Gums Recede With Veneers Veneers cannot treat receding gums by reversing the recession or promoting gum tissue regrowth. Unfortunately, there's no way for gums to grow back, but there are some ways to improve your smile after gum recession. Can veneers treat receding gums? Receding gums cannot grow back. This makes your teeth more. However, oral hygiene changes can stop gum recession, and some. Do Gums Recede With Veneers.
From www.vrogue.co
Tablo Read Receding Gums Symptoms Causes Treatment By vrogue.co Do Gums Recede With Veneers Can veneers treat receding gums? This makes your teeth more. It happens when your gum tissue pulls away from your teeth, exposing the roots underneath. Just like a dental veneer sits over the front of your natural teeth and changes the appearance of your teeth, a gum veneer sits on. Receding gums cannot grow back. However, they can provide cosmetic. Do Gums Recede With Veneers.
From www.lajolladentalboutique.com
Chao Pinhole® Surgical Technique San Diego, La Jolla Gum Recession Do Gums Recede With Veneers However, oral hygiene changes can stop gum recession, and some treatments can reconstruct gum tissue. This makes your teeth more. Veneers cannot treat receding gums by reversing the recession or promoting gum tissue regrowth. Receding gums cannot grow back. If your gums are swollen, form large pockets around the tops of your teeth, or have the tendency to bleed, then. Do Gums Recede With Veneers.
From advanceddentalartistry.com.au
How To Fix Receding Gums Advanced Dental Artistry Do Gums Recede With Veneers It happens when your gum tissue pulls away from your teeth, exposing the roots underneath. However, they can provide cosmetic and protective benefits for teeth affected by gum : Veneers cannot treat receding gums by reversing the recession or promoting gum tissue regrowth. This makes your teeth more. However, oral hygiene changes can stop gum recession, and some treatments can. Do Gums Recede With Veneers.
From www.bluewaterdentists.com
Can Receding Gums Be Reversed? Do Gums Recede With Veneers Unfortunately, there's no way for gums to grow back, but there are some ways to improve your smile after gum recession. Cosmetically, your best options might be veneers, which can reduce the appearance of receding gums; Veneers cannot treat receding gums by reversing the recession or promoting gum tissue regrowth. Can veneers treat receding gums? However, oral hygiene changes can. Do Gums Recede With Veneers.
From www.youtube.com
Do Gums Recede with Age_ American Periodontology Board Certified Gum Do Gums Recede With Veneers Can veneers treat receding gums? Veneers cannot treat receding gums by reversing the recession or promoting gum tissue regrowth. Just like a dental veneer sits over the front of your natural teeth and changes the appearance of your teeth, a gum veneer sits on. This makes your teeth more. However, oral hygiene changes can stop gum recession, and some treatments. Do Gums Recede With Veneers.
From gumdiseaseguide.org
Do Gums Recede With Age? Do Gums Recede With Veneers Can veneers treat receding gums? Unfortunately, there's no way for gums to grow back, but there are some ways to improve your smile after gum recession. Cosmetically, your best options might be veneers, which can reduce the appearance of receding gums; If your gums are swollen, form large pockets around the tops of your teeth, or have the tendency to. Do Gums Recede With Veneers.
From www.prachdds.com
Will Receded Gums Grow Back? The Surprising Answer Do Gums Recede With Veneers Receding gums cannot grow back. However, oral hygiene changes can stop gum recession, and some treatments can reconstruct gum tissue. It happens when your gum tissue pulls away from your teeth, exposing the roots underneath. Cosmetically, your best options might be veneers, which can reduce the appearance of receding gums; Veneers cannot treat receding gums by reversing the recession or. Do Gums Recede With Veneers.
From www.longfamilydental.com
Your Dentist Says You Should Never Ignore Receding Gums! Do Gums Recede With Veneers However, they can provide cosmetic and protective benefits for teeth affected by gum : It happens when your gum tissue pulls away from your teeth, exposing the roots underneath. However, oral hygiene changes can stop gum recession, and some treatments can reconstruct gum tissue. Veneers cannot treat receding gums by reversing the recession or promoting gum tissue regrowth. If your. Do Gums Recede With Veneers.
From forestwooddental.com
Can receding gums grow back? Spring and Champions TX Dentist Do Gums Recede With Veneers Cosmetically, your best options might be veneers, which can reduce the appearance of receding gums; It happens when your gum tissue pulls away from your teeth, exposing the roots underneath. This makes your teeth more. However, oral hygiene changes can stop gum recession, and some treatments can reconstruct gum tissue. Healthy gums fit snugly around the visible part, or. If. Do Gums Recede With Veneers.
From museumdental.com
How to Fix receding Gums? Museum Dental Center Los Angeles Do Gums Recede With Veneers Veneers cannot treat receding gums by reversing the recession or promoting gum tissue regrowth. Can veneers treat receding gums? Healthy gums fit snugly around the visible part, or. Receding gums cannot grow back. It happens when your gum tissue pulls away from your teeth, exposing the roots underneath. If your gums are swollen, form large pockets around the tops of. Do Gums Recede With Veneers.
From www.macombsmiles.com
What Should Healthy Gums Look Like? Hoffman Dental Care Do Gums Recede With Veneers Cosmetically, your best options might be veneers, which can reduce the appearance of receding gums; Just like a dental veneer sits over the front of your natural teeth and changes the appearance of your teeth, a gum veneer sits on. It happens when your gum tissue pulls away from your teeth, exposing the roots underneath. This makes your teeth more.. Do Gums Recede With Veneers.