Running Hip Synovitis . Transient synovitis is an acute, nonspecific, inflammatory process affecting the joint synovium, particularly in the pediatric patient population, where it frequently manifests. Here we explain the common causes of. Learn more about synovitis causes, and how it’s diagnosed and treated. Synovitis occurs when the synovial membrane of a joint becomes inflamed (swollen). It often occurs in sports people alongside another hip joint injury. Synovium serves an important function in the joint capsules in the knee, ankle, wrist, elbow, hand, foot, and shoulder. However, the synovium can become inflamed, causing a condition known as synovitis. Hip synovitis is inflammation of the synovial membrane of the hip. Synovitis can lead to various problems, from tenderness to hypertrophy. Hip pain in children may be due to transient synovitis (aka toxic synovitis). The most common joints affected by synovitis. Any joint in your body that has a synovial membrane can develop synovitis. Synovitis is a type of arthritis that causes hip pain and limping. It occurs in children prior to the onset of puberty and usually resolves on its own. It can be treated with rest and observation.
from ar.inspiredpencil.com
Hip pain in children may be due to transient synovitis (aka toxic synovitis). It can be treated with rest and observation. However, the synovium can become inflamed, causing a condition known as synovitis. It often occurs in sports people alongside another hip joint injury. Here we explain the common causes of. Here is what to know. It occurs in children prior to the onset of puberty and usually resolves on its own. Synovitis occurs when the synovial membrane of a joint becomes inflamed (swollen). The most common joints affected by synovitis. Synovitis can lead to various problems, from tenderness to hypertrophy.
Synovitis Of The Hip
Running Hip Synovitis Here we explain the common causes of. Transient synovitis is an acute, nonspecific, inflammatory process affecting the joint synovium, particularly in the pediatric patient population, where it frequently manifests. Synovitis can lead to various problems, from tenderness to hypertrophy. It occurs in children prior to the onset of puberty and usually resolves on its own. However, the synovium can become inflamed, causing a condition known as synovitis. It often occurs in sports people alongside another hip joint injury. Learn more about synovitis causes, and how it’s diagnosed and treated. Hip pain in children may be due to transient synovitis (aka toxic synovitis). Here we explain the common causes of. The most common joints affected by synovitis. Synovitis occurs when the synovial membrane of a joint becomes inflamed (swollen). Synovitis is a type of arthritis that causes hip pain and limping. It can be treated with rest and observation. Any joint in your body that has a synovial membrane can develop synovitis. Synovium serves an important function in the joint capsules in the knee, ankle, wrist, elbow, hand, foot, and shoulder. Here is what to know.
From radiologyassistant.nl
The Radiology Assistant Hip pathology in Children Running Hip Synovitis Hip synovitis is inflammation of the synovial membrane of the hip. Synovitis can lead to various problems, from tenderness to hypertrophy. Here we explain the common causes of. Synovitis occurs when the synovial membrane of a joint becomes inflamed (swollen). It occurs in children prior to the onset of puberty and usually resolves on its own. Any joint in your. Running Hip Synovitis.
From www.youtube.com
Ultrasound Case 262 Transient Synovitis of The Hip YouTube Running Hip Synovitis Hip synovitis is inflammation of the synovial membrane of the hip. Synovitis occurs when the synovial membrane of a joint becomes inflamed (swollen). It often occurs in sports people alongside another hip joint injury. It can be treated with rest and observation. Synovitis is a type of arthritis that causes hip pain and limping. Synovium serves an important function in. Running Hip Synovitis.
From www.researchgate.net
Synovitis in RA MCP joints visualised by high field and low field MRI Running Hip Synovitis Here is what to know. It often occurs in sports people alongside another hip joint injury. It occurs in children prior to the onset of puberty and usually resolves on its own. Hip pain in children may be due to transient synovitis (aka toxic synovitis). Hip synovitis is inflammation of the synovial membrane of the hip. Any joint in your. Running Hip Synovitis.
From physicaldiagnosispdx.com
Synovitis Physical Diagnosis PDX Running Hip Synovitis Synovitis is a type of arthritis that causes hip pain and limping. Synovitis occurs when the synovial membrane of a joint becomes inflamed (swollen). Hip synovitis is inflammation of the synovial membrane of the hip. It occurs in children prior to the onset of puberty and usually resolves on its own. Here we explain the common causes of. Synovium serves. Running Hip Synovitis.
From nbu.bg
Mri Knee Effusion Running Hip Synovitis Here is what to know. It occurs in children prior to the onset of puberty and usually resolves on its own. Hip pain in children may be due to transient synovitis (aka toxic synovitis). Here we explain the common causes of. Synovitis can lead to various problems, from tenderness to hypertrophy. Hip synovitis is inflammation of the synovial membrane of. Running Hip Synovitis.
From themerisoiutechnique.com
What Is Synovial Fluid And Its Importance To Runners Merisoiu Running Hip Synovitis However, the synovium can become inflamed, causing a condition known as synovitis. It can be treated with rest and observation. It often occurs in sports people alongside another hip joint injury. Hip pain in children may be due to transient synovitis (aka toxic synovitis). Synovitis can lead to various problems, from tenderness to hypertrophy. It occurs in children prior to. Running Hip Synovitis.
From www.researchgate.net
Transient synovitis. A) Post contrast coronal T1 Fat Sat showing right Running Hip Synovitis The most common joints affected by synovitis. It can be treated with rest and observation. Synovitis is a type of arthritis that causes hip pain and limping. Transient synovitis is an acute, nonspecific, inflammatory process affecting the joint synovium, particularly in the pediatric patient population, where it frequently manifests. Learn more about synovitis causes, and how it’s diagnosed and treated.. Running Hip Synovitis.
From www.ajronline.org
Septic Arthritis Versus Transient Synovitis of the Hip Gadolinium Running Hip Synovitis Transient synovitis is an acute, nonspecific, inflammatory process affecting the joint synovium, particularly in the pediatric patient population, where it frequently manifests. It often occurs in sports people alongside another hip joint injury. Synovitis occurs when the synovial membrane of a joint becomes inflamed (swollen). It can be treated with rest and observation. Learn more about synovitis causes, and how. Running Hip Synovitis.
From healthjade.net
Synovial chondromatosis causes, symptoms, diagnosis, treatment & prognosis Running Hip Synovitis Learn more about synovitis causes, and how it’s diagnosed and treated. However, the synovium can become inflamed, causing a condition known as synovitis. Synovium serves an important function in the joint capsules in the knee, ankle, wrist, elbow, hand, foot, and shoulder. The most common joints affected by synovitis. It occurs in children prior to the onset of puberty and. Running Hip Synovitis.
From www.semanticscholar.org
Figure 1 from Transient Synovitis of the Hip in a Pediatric Patient as Running Hip Synovitis Synovitis is a type of arthritis that causes hip pain and limping. Any joint in your body that has a synovial membrane can develop synovitis. It often occurs in sports people alongside another hip joint injury. Synovitis occurs when the synovial membrane of a joint becomes inflamed (swollen). It occurs in children prior to the onset of puberty and usually. Running Hip Synovitis.
From ar.inspiredpencil.com
Synovitis Of The Hip Running Hip Synovitis Transient synovitis is an acute, nonspecific, inflammatory process affecting the joint synovium, particularly in the pediatric patient population, where it frequently manifests. Hip synovitis is inflammation of the synovial membrane of the hip. Any joint in your body that has a synovial membrane can develop synovitis. Learn more about synovitis causes, and how it’s diagnosed and treated. However, the synovium. Running Hip Synovitis.
From smw.ch
Transient synovitis of the hip which investigations are truly useful? Running Hip Synovitis Synovitis occurs when the synovial membrane of a joint becomes inflamed (swollen). However, the synovium can become inflamed, causing a condition known as synovitis. Transient synovitis is an acute, nonspecific, inflammatory process affecting the joint synovium, particularly in the pediatric patient population, where it frequently manifests. Synovitis is a type of arthritis that causes hip pain and limping. Here we. Running Hip Synovitis.
From www.dynamicrunner.club
Hip flexor pain running Running Hip Synovitis Hip pain in children may be due to transient synovitis (aka toxic synovitis). Any joint in your body that has a synovial membrane can develop synovitis. Transient synovitis is an acute, nonspecific, inflammatory process affecting the joint synovium, particularly in the pediatric patient population, where it frequently manifests. Synovitis is a type of arthritis that causes hip pain and limping.. Running Hip Synovitis.
From blk-pediatric-practice.com
Transient Synovitis of Hip Joint Pediatric Practice… Pearls for your Running Hip Synovitis Hip synovitis is inflammation of the synovial membrane of the hip. Synovitis occurs when the synovial membrane of a joint becomes inflamed (swollen). It often occurs in sports people alongside another hip joint injury. Hip pain in children may be due to transient synovitis (aka toxic synovitis). The most common joints affected by synovitis. Synovitis can lead to various problems,. Running Hip Synovitis.
From www.youtube.com
TRANSIENT SYNOVITIS OF HIP in children EPISODE 54 YouTube Running Hip Synovitis It occurs in children prior to the onset of puberty and usually resolves on its own. Transient synovitis is an acute, nonspecific, inflammatory process affecting the joint synovium, particularly in the pediatric patient population, where it frequently manifests. Here is what to know. Learn more about synovitis causes, and how it’s diagnosed and treated. Hip pain in children may be. Running Hip Synovitis.
From www.pinterest.com
Summit Medical Group Snapping Hip Syndrome Exercises HipFlexor Running Hip Synovitis Transient synovitis is an acute, nonspecific, inflammatory process affecting the joint synovium, particularly in the pediatric patient population, where it frequently manifests. Synovitis occurs when the synovial membrane of a joint becomes inflamed (swollen). Hip pain in children may be due to transient synovitis (aka toxic synovitis). Learn more about synovitis causes, and how it’s diagnosed and treated. However, the. Running Hip Synovitis.
From www.ajronline.org
Septic Arthritis Versus Transient Synovitis of the Hip Gadolinium Running Hip Synovitis It occurs in children prior to the onset of puberty and usually resolves on its own. Synovium serves an important function in the joint capsules in the knee, ankle, wrist, elbow, hand, foot, and shoulder. Synovitis can lead to various problems, from tenderness to hypertrophy. Transient synovitis is an acute, nonspecific, inflammatory process affecting the joint synovium, particularly in the. Running Hip Synovitis.
From www.running-physio.com
Exercises for Medial Tibial Stress Syndrome (AKA 'Shin Splints Running Hip Synovitis Hip synovitis is inflammation of the synovial membrane of the hip. Hip pain in children may be due to transient synovitis (aka toxic synovitis). Synovitis can lead to various problems, from tenderness to hypertrophy. Synovitis occurs when the synovial membrane of a joint becomes inflamed (swollen). Transient synovitis is an acute, nonspecific, inflammatory process affecting the joint synovium, particularly in. Running Hip Synovitis.
From valuedhealth.com.au
Hip or Buttock Pain? Could it be Trochanteric Bursitis? Running Hip Synovitis Synovitis occurs when the synovial membrane of a joint becomes inflamed (swollen). It often occurs in sports people alongside another hip joint injury. Synovitis is a type of arthritis that causes hip pain and limping. Hip pain in children may be due to transient synovitis (aka toxic synovitis). Synovium serves an important function in the joint capsules in the knee,. Running Hip Synovitis.
From www.nicolaportinaro.com
Transient Synovitis of the Hip Prof. Nicola Portinaro Orthopedic Running Hip Synovitis Transient synovitis is an acute, nonspecific, inflammatory process affecting the joint synovium, particularly in the pediatric patient population, where it frequently manifests. Synovium serves an important function in the joint capsules in the knee, ankle, wrist, elbow, hand, foot, and shoulder. Here is what to know. It occurs in children prior to the onset of puberty and usually resolves on. Running Hip Synovitis.
From www.findatopdoc.com
Synovitis Symptoms, Causes, Treatment, and Diagnosis FindATopDoc Running Hip Synovitis Transient synovitis is an acute, nonspecific, inflammatory process affecting the joint synovium, particularly in the pediatric patient population, where it frequently manifests. Here is what to know. Hip synovitis is inflammation of the synovial membrane of the hip. Learn more about synovitis causes, and how it’s diagnosed and treated. Synovitis can lead to various problems, from tenderness to hypertrophy. Synovitis. Running Hip Synovitis.
From www.floridaortho.com
Osteoarthritis of the Hip Florida Orthopaedic Institute Running Hip Synovitis Transient synovitis is an acute, nonspecific, inflammatory process affecting the joint synovium, particularly in the pediatric patient population, where it frequently manifests. Here we explain the common causes of. Here is what to know. It often occurs in sports people alongside another hip joint injury. Any joint in your body that has a synovial membrane can develop synovitis. Synovitis occurs. Running Hip Synovitis.
From cimjournal.com
ข้อสะโพกอักเสบชั่วคราวในเด็ก CIMjournal Running Hip Synovitis Transient synovitis is an acute, nonspecific, inflammatory process affecting the joint synovium, particularly in the pediatric patient population, where it frequently manifests. It often occurs in sports people alongside another hip joint injury. Any joint in your body that has a synovial membrane can develop synovitis. Here is what to know. The most common joints affected by synovitis. Synovitis is. Running Hip Synovitis.
From www.sports-injury-physio.com
3 Tips for Runners with Hip Osteoarthritis Sports Injury Physio Running Hip Synovitis It often occurs in sports people alongside another hip joint injury. The most common joints affected by synovitis. Here we explain the common causes of. It can be treated with rest and observation. Any joint in your body that has a synovial membrane can develop synovitis. Hip synovitis is inflammation of the synovial membrane of the hip. Here is what. Running Hip Synovitis.
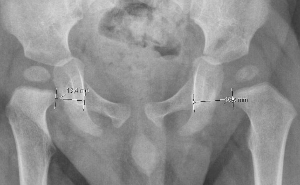
From radiopaedia.org
Hip synovitis Image Running Hip Synovitis The most common joints affected by synovitis. However, the synovium can become inflamed, causing a condition known as synovitis. Synovium serves an important function in the joint capsules in the knee, ankle, wrist, elbow, hand, foot, and shoulder. Learn more about synovitis causes, and how it’s diagnosed and treated. Synovitis can lead to various problems, from tenderness to hypertrophy. It. Running Hip Synovitis.
From www.pinterest.com
Pin on Hip issues/prp injection Running Hip Synovitis Hip synovitis is inflammation of the synovial membrane of the hip. Transient synovitis is an acute, nonspecific, inflammatory process affecting the joint synovium, particularly in the pediatric patient population, where it frequently manifests. It occurs in children prior to the onset of puberty and usually resolves on its own. Synovitis can lead to various problems, from tenderness to hypertrophy. It. Running Hip Synovitis.
From mavink.com
Hip Flexion Extension Running Hip Synovitis Transient synovitis is an acute, nonspecific, inflammatory process affecting the joint synovium, particularly in the pediatric patient population, where it frequently manifests. It can be treated with rest and observation. Hip pain in children may be due to transient synovitis (aka toxic synovitis). Hip synovitis is inflammation of the synovial membrane of the hip. The most common joints affected by. Running Hip Synovitis.
From radedasia.com
ANKLE SYNOVITIS MRI RADIOLOGY Radedasia Running Hip Synovitis Transient synovitis is an acute, nonspecific, inflammatory process affecting the joint synovium, particularly in the pediatric patient population, where it frequently manifests. Any joint in your body that has a synovial membrane can develop synovitis. It occurs in children prior to the onset of puberty and usually resolves on its own. Hip pain in children may be due to transient. Running Hip Synovitis.
From guidelibcombusting.z13.web.core.windows.net
Diagram Of Fibrous Joint Running Hip Synovitis It occurs in children prior to the onset of puberty and usually resolves on its own. It often occurs in sports people alongside another hip joint injury. Transient synovitis is an acute, nonspecific, inflammatory process affecting the joint synovium, particularly in the pediatric patient population, where it frequently manifests. Hip synovitis is inflammation of the synovial membrane of the hip.. Running Hip Synovitis.
From ultimate-radiology.blogspot.com
Ultimate Radiology Transient Synovitis of Hip Joint Running Hip Synovitis Transient synovitis is an acute, nonspecific, inflammatory process affecting the joint synovium, particularly in the pediatric patient population, where it frequently manifests. Synovium serves an important function in the joint capsules in the knee, ankle, wrist, elbow, hand, foot, and shoulder. It can be treated with rest and observation. The most common joints affected by synovitis. Learn more about synovitis. Running Hip Synovitis.
From www.spandidos-publications.com
Inflammatory and fibrosis infiltration in synovium associated with the Running Hip Synovitis Learn more about synovitis causes, and how it’s diagnosed and treated. Synovitis occurs when the synovial membrane of a joint becomes inflamed (swollen). However, the synovium can become inflamed, causing a condition known as synovitis. The most common joints affected by synovitis. Synovitis is a type of arthritis that causes hip pain and limping. Synovitis can lead to various problems,. Running Hip Synovitis.
From www.runwithcaroline.com
Hip pain after running 8 causes + how to fix it Run With Caroline Running Hip Synovitis It often occurs in sports people alongside another hip joint injury. It occurs in children prior to the onset of puberty and usually resolves on its own. Synovitis occurs when the synovial membrane of a joint becomes inflamed (swollen). The most common joints affected by synovitis. Synovium serves an important function in the joint capsules in the knee, ankle, wrist,. Running Hip Synovitis.
From creakyjoints.org
What Is Synovitis, and How Does It Affect Arthritis? CreakyJoints Running Hip Synovitis Any joint in your body that has a synovial membrane can develop synovitis. Hip pain in children may be due to transient synovitis (aka toxic synovitis). However, the synovium can become inflamed, causing a condition known as synovitis. Here we explain the common causes of. Learn more about synovitis causes, and how it’s diagnosed and treated. The most common joints. Running Hip Synovitis.
From pttimewithtim.com
Why Does My Hip Hurt? Understanding Different Types of Hip Pain Running Hip Synovitis Synovitis occurs when the synovial membrane of a joint becomes inflamed (swollen). Synovium serves an important function in the joint capsules in the knee, ankle, wrist, elbow, hand, foot, and shoulder. Hip pain in children may be due to transient synovitis (aka toxic synovitis). Here we explain the common causes of. Any joint in your body that has a synovial. Running Hip Synovitis.
From www.orthobullets.com
Transient Synovitis of Hip Pediatrics Orthobullets Running Hip Synovitis Here is what to know. The most common joints affected by synovitis. Hip pain in children may be due to transient synovitis (aka toxic synovitis). Here we explain the common causes of. Synovitis occurs when the synovial membrane of a joint becomes inflamed (swollen). Synovitis is a type of arthritis that causes hip pain and limping. Synovium serves an important. Running Hip Synovitis.