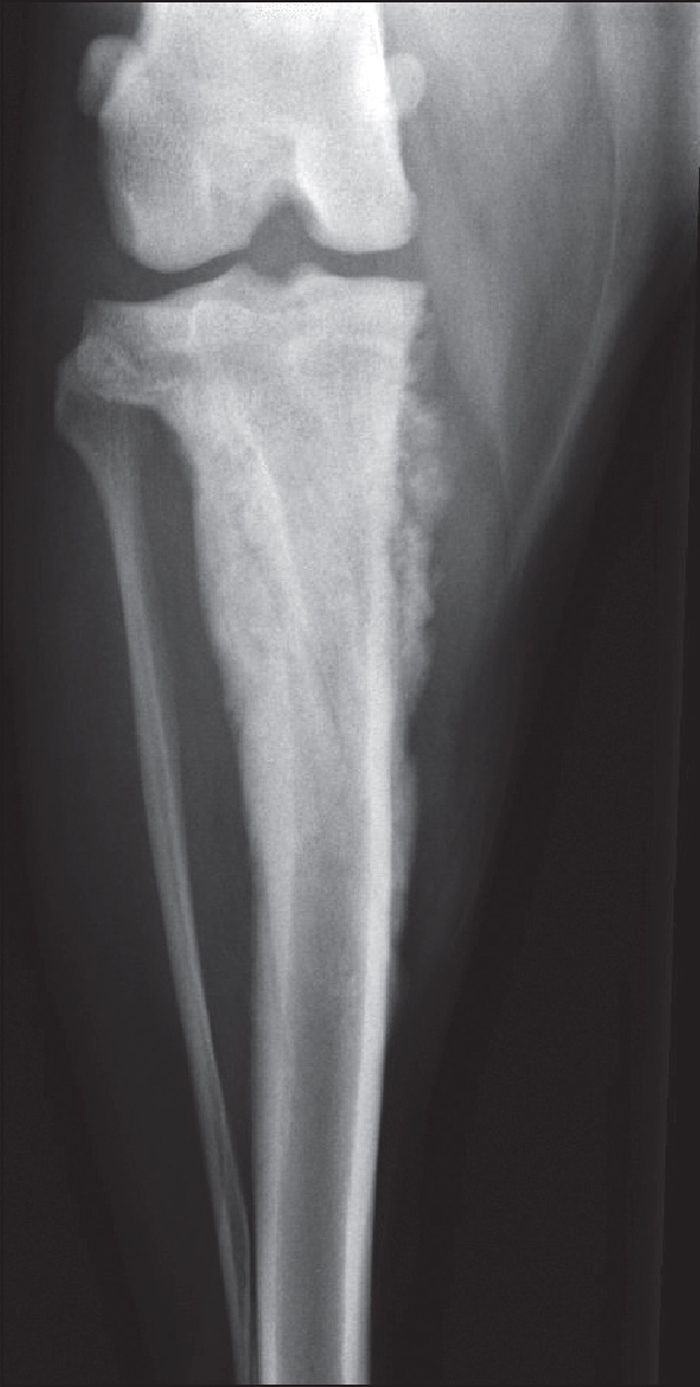
Periosteal Reaction Dog . They produce polyostotic lesions on ribs, vertebra, femur and. Figure 10.4 examples of periosteal reaction, from most benign to most aggressive. Lesion appearance may range from osteolytic, osteoproductive or mixed with an active periosteal reaction. Lateral projection of the tibia (a) showing a. Bones are slow to react to any type of injury, and are limited in the ways they can react. Bone can either be resorbed (lysis or bone atrophy), or. Generally speaking, a periosteal reaction is defined as an area of new bone formation occurring along the surface of bone. The presence of a portosystemic. Hypertrophic osteopathy (ho) is an intriguing syndrome characterized by a painful periosteal reaction and associated soft tissue swelling of. This is a response of the periosteum surrounding the bone, which. Three dogs showed improvement in the radiographic appearance of the lesions, as indicated by sclerosis, increased opacity in areas of lysis, and a smoother, more mature. In dogs, mammary, liver, thyroid and prostatic cancer may cause bone metastasis.
from www.ajronline.org
Bones are slow to react to any type of injury, and are limited in the ways they can react. Three dogs showed improvement in the radiographic appearance of the lesions, as indicated by sclerosis, increased opacity in areas of lysis, and a smoother, more mature. Generally speaking, a periosteal reaction is defined as an area of new bone formation occurring along the surface of bone. Lesion appearance may range from osteolytic, osteoproductive or mixed with an active periosteal reaction. Bone can either be resorbed (lysis or bone atrophy), or. Hypertrophic osteopathy (ho) is an intriguing syndrome characterized by a painful periosteal reaction and associated soft tissue swelling of. Lateral projection of the tibia (a) showing a. The presence of a portosystemic. They produce polyostotic lesions on ribs, vertebra, femur and. This is a response of the periosteum surrounding the bone, which.
Periosteal Reaction AJR
Periosteal Reaction Dog Hypertrophic osteopathy (ho) is an intriguing syndrome characterized by a painful periosteal reaction and associated soft tissue swelling of. This is a response of the periosteum surrounding the bone, which. In dogs, mammary, liver, thyroid and prostatic cancer may cause bone metastasis. Bone can either be resorbed (lysis or bone atrophy), or. Lesion appearance may range from osteolytic, osteoproductive or mixed with an active periosteal reaction. Generally speaking, a periosteal reaction is defined as an area of new bone formation occurring along the surface of bone. Lateral projection of the tibia (a) showing a. The presence of a portosystemic. Three dogs showed improvement in the radiographic appearance of the lesions, as indicated by sclerosis, increased opacity in areas of lysis, and a smoother, more mature. Hypertrophic osteopathy (ho) is an intriguing syndrome characterized by a painful periosteal reaction and associated soft tissue swelling of. Bones are slow to react to any type of injury, and are limited in the ways they can react. Figure 10.4 examples of periosteal reaction, from most benign to most aggressive. They produce polyostotic lesions on ribs, vertebra, femur and.
From pubs.rsna.org
Hypertrophic Osteoarthropathy Clinical and Imaging Features Periosteal Reaction Dog Lateral projection of the tibia (a) showing a. Bones are slow to react to any type of injury, and are limited in the ways they can react. In dogs, mammary, liver, thyroid and prostatic cancer may cause bone metastasis. Hypertrophic osteopathy (ho) is an intriguing syndrome characterized by a painful periosteal reaction and associated soft tissue swelling of. The presence. Periosteal Reaction Dog.
From www.pinterest.co.uk
periosteal reaction. uninterrupted usually indicates benign Periosteal Reaction Dog Three dogs showed improvement in the radiographic appearance of the lesions, as indicated by sclerosis, increased opacity in areas of lysis, and a smoother, more mature. The presence of a portosystemic. In dogs, mammary, liver, thyroid and prostatic cancer may cause bone metastasis. This is a response of the periosteum surrounding the bone, which. Figure 10.4 examples of periosteal reaction,. Periosteal Reaction Dog.
From www.ajronline.org
Periosteal Reaction AJR Periosteal Reaction Dog Bone can either be resorbed (lysis or bone atrophy), or. Three dogs showed improvement in the radiographic appearance of the lesions, as indicated by sclerosis, increased opacity in areas of lysis, and a smoother, more mature. Hypertrophic osteopathy (ho) is an intriguing syndrome characterized by a painful periosteal reaction and associated soft tissue swelling of. Figure 10.4 examples of periosteal. Periosteal Reaction Dog.
From www.ajronline.org
Periosteal Reaction AJR Periosteal Reaction Dog Hypertrophic osteopathy (ho) is an intriguing syndrome characterized by a painful periosteal reaction and associated soft tissue swelling of. They produce polyostotic lesions on ribs, vertebra, femur and. Bone can either be resorbed (lysis or bone atrophy), or. Bones are slow to react to any type of injury, and are limited in the ways they can react. Generally speaking, a. Periosteal Reaction Dog.
From www.ajronline.org
Periosteal Reaction AJR Periosteal Reaction Dog Bones are slow to react to any type of injury, and are limited in the ways they can react. The presence of a portosystemic. Lesion appearance may range from osteolytic, osteoproductive or mixed with an active periosteal reaction. Three dogs showed improvement in the radiographic appearance of the lesions, as indicated by sclerosis, increased opacity in areas of lysis, and. Periosteal Reaction Dog.
From www.ajronline.org
Periosteal Reaction AJR Periosteal Reaction Dog The presence of a portosystemic. They produce polyostotic lesions on ribs, vertebra, femur and. Bones are slow to react to any type of injury, and are limited in the ways they can react. Hypertrophic osteopathy (ho) is an intriguing syndrome characterized by a painful periosteal reaction and associated soft tissue swelling of. Generally speaking, a periosteal reaction is defined as. Periosteal Reaction Dog.
From openaccesspub.org
Canine Periosteal Open Access Pub Periosteal Reaction Dog Figure 10.4 examples of periosteal reaction, from most benign to most aggressive. Lateral projection of the tibia (a) showing a. In dogs, mammary, liver, thyroid and prostatic cancer may cause bone metastasis. Three dogs showed improvement in the radiographic appearance of the lesions, as indicated by sclerosis, increased opacity in areas of lysis, and a smoother, more mature. The presence. Periosteal Reaction Dog.
From healthjade.net
Periosteal reaction & types of periosteal reaction Periosteal Reaction Dog Lateral projection of the tibia (a) showing a. The presence of a portosystemic. Figure 10.4 examples of periosteal reaction, from most benign to most aggressive. This is a response of the periosteum surrounding the bone, which. They produce polyostotic lesions on ribs, vertebra, femur and. Lesion appearance may range from osteolytic, osteoproductive or mixed with an active periosteal reaction. Hypertrophic. Periosteal Reaction Dog.
From ar.inspiredpencil.com
Periosteal Reaction Causes Periosteal Reaction Dog The presence of a portosystemic. Lateral projection of the tibia (a) showing a. Three dogs showed improvement in the radiographic appearance of the lesions, as indicated by sclerosis, increased opacity in areas of lysis, and a smoother, more mature. Lesion appearance may range from osteolytic, osteoproductive or mixed with an active periosteal reaction. Bones are slow to react to any. Periosteal Reaction Dog.
From healthjade.net
Periosteal reaction & types of periosteal reaction Periosteal Reaction Dog Figure 10.4 examples of periosteal reaction, from most benign to most aggressive. Lesion appearance may range from osteolytic, osteoproductive or mixed with an active periosteal reaction. They produce polyostotic lesions on ribs, vertebra, femur and. In dogs, mammary, liver, thyroid and prostatic cancer may cause bone metastasis. Bone can either be resorbed (lysis or bone atrophy), or. Bones are slow. Periosteal Reaction Dog.
From www.researchgate.net
a Radiographs showing periosteal reaction at distal radius, b MRI Periosteal Reaction Dog Generally speaking, a periosteal reaction is defined as an area of new bone formation occurring along the surface of bone. Bones are slow to react to any type of injury, and are limited in the ways they can react. Lateral projection of the tibia (a) showing a. Lesion appearance may range from osteolytic, osteoproductive or mixed with an active periosteal. Periosteal Reaction Dog.
From www.ajronline.org
Periosteal Reaction AJR Periosteal Reaction Dog Lateral projection of the tibia (a) showing a. Lesion appearance may range from osteolytic, osteoproductive or mixed with an active periosteal reaction. This is a response of the periosteum surrounding the bone, which. Figure 10.4 examples of periosteal reaction, from most benign to most aggressive. Generally speaking, a periosteal reaction is defined as an area of new bone formation occurring. Periosteal Reaction Dog.
From www.mspca.org
Radiographic Approach to Bone Imaging • MSPCAAngell Periosteal Reaction Dog Generally speaking, a periosteal reaction is defined as an area of new bone formation occurring along the surface of bone. Figure 10.4 examples of periosteal reaction, from most benign to most aggressive. This is a response of the periosteum surrounding the bone, which. Lesion appearance may range from osteolytic, osteoproductive or mixed with an active periosteal reaction. The presence of. Periosteal Reaction Dog.
From www.ajronline.org
Periosteal Reaction AJR Periosteal Reaction Dog Hypertrophic osteopathy (ho) is an intriguing syndrome characterized by a painful periosteal reaction and associated soft tissue swelling of. Lesion appearance may range from osteolytic, osteoproductive or mixed with an active periosteal reaction. This is a response of the periosteum surrounding the bone, which. Bone can either be resorbed (lysis or bone atrophy), or. They produce polyostotic lesions on ribs,. Periosteal Reaction Dog.
From www.mspca.org
Radiographic Approach to Bone Imaging • MSPCAAngell Periosteal Reaction Dog In dogs, mammary, liver, thyroid and prostatic cancer may cause bone metastasis. Lesion appearance may range from osteolytic, osteoproductive or mixed with an active periosteal reaction. Figure 10.4 examples of periosteal reaction, from most benign to most aggressive. Generally speaking, a periosteal reaction is defined as an area of new bone formation occurring along the surface of bone. Lateral projection. Periosteal Reaction Dog.
From healthjade.net
Periosteal reaction & types of periosteal reaction Periosteal Reaction Dog Three dogs showed improvement in the radiographic appearance of the lesions, as indicated by sclerosis, increased opacity in areas of lysis, and a smoother, more mature. This is a response of the periosteum surrounding the bone, which. Bone can either be resorbed (lysis or bone atrophy), or. Lateral projection of the tibia (a) showing a. They produce polyostotic lesions on. Periosteal Reaction Dog.
From www.ajronline.org
Periosteal Reaction AJR Periosteal Reaction Dog In dogs, mammary, liver, thyroid and prostatic cancer may cause bone metastasis. Bone can either be resorbed (lysis or bone atrophy), or. This is a response of the periosteum surrounding the bone, which. They produce polyostotic lesions on ribs, vertebra, femur and. Lesion appearance may range from osteolytic, osteoproductive or mixed with an active periosteal reaction. Generally speaking, a periosteal. Periosteal Reaction Dog.
From www.ajronline.org
Periosteal Reaction AJR Periosteal Reaction Dog This is a response of the periosteum surrounding the bone, which. In dogs, mammary, liver, thyroid and prostatic cancer may cause bone metastasis. The presence of a portosystemic. Hypertrophic osteopathy (ho) is an intriguing syndrome characterized by a painful periosteal reaction and associated soft tissue swelling of. Generally speaking, a periosteal reaction is defined as an area of new bone. Periosteal Reaction Dog.
From www.mdpi.com
Chondroblastic Associated with Previous Chronic Periosteal Reaction Dog Generally speaking, a periosteal reaction is defined as an area of new bone formation occurring along the surface of bone. Figure 10.4 examples of periosteal reaction, from most benign to most aggressive. Hypertrophic osteopathy (ho) is an intriguing syndrome characterized by a painful periosteal reaction and associated soft tissue swelling of. Bone can either be resorbed (lysis or bone atrophy),. Periosteal Reaction Dog.
From www.mdpi.com
Zoonotic Diseases Free FullText Bone Lesions in a Young Dog and a Periosteal Reaction Dog Bones are slow to react to any type of injury, and are limited in the ways they can react. In dogs, mammary, liver, thyroid and prostatic cancer may cause bone metastasis. The presence of a portosystemic. Hypertrophic osteopathy (ho) is an intriguing syndrome characterized by a painful periosteal reaction and associated soft tissue swelling of. Generally speaking, a periosteal reaction. Periosteal Reaction Dog.
From www.pinterest.com
periosteal reactions solid, lamellated, sunburts, codman's Radiology Periosteal Reaction Dog They produce polyostotic lesions on ribs, vertebra, femur and. Generally speaking, a periosteal reaction is defined as an area of new bone formation occurring along the surface of bone. The presence of a portosystemic. This is a response of the periosteum surrounding the bone, which. In dogs, mammary, liver, thyroid and prostatic cancer may cause bone metastasis. Hypertrophic osteopathy (ho). Periosteal Reaction Dog.
From www.semanticscholar.org
Figure 3 from Malignant causes of periosteal reaction in paediatrics Periosteal Reaction Dog Three dogs showed improvement in the radiographic appearance of the lesions, as indicated by sclerosis, increased opacity in areas of lysis, and a smoother, more mature. Figure 10.4 examples of periosteal reaction, from most benign to most aggressive. Generally speaking, a periosteal reaction is defined as an area of new bone formation occurring along the surface of bone. The presence. Periosteal Reaction Dog.
From www.mspca.org
Radiographic Approach to Bone Imaging • MSPCAAngell Periosteal Reaction Dog The presence of a portosystemic. This is a response of the periosteum surrounding the bone, which. Three dogs showed improvement in the radiographic appearance of the lesions, as indicated by sclerosis, increased opacity in areas of lysis, and a smoother, more mature. Lesion appearance may range from osteolytic, osteoproductive or mixed with an active periosteal reaction. Bone can either be. Periosteal Reaction Dog.
From capcvet.org
Companion Animal Parasite Council American Canine Hepatozoonosis Periosteal Reaction Dog Lateral projection of the tibia (a) showing a. Figure 10.4 examples of periosteal reaction, from most benign to most aggressive. In dogs, mammary, liver, thyroid and prostatic cancer may cause bone metastasis. The presence of a portosystemic. This is a response of the periosteum surrounding the bone, which. Generally speaking, a periosteal reaction is defined as an area of new. Periosteal Reaction Dog.
From todaysveterinarypractice.com
Juvenile Orthopedic Disease in Dogs & Cats, Part 1 Musculoskeletal Periosteal Reaction Dog They produce polyostotic lesions on ribs, vertebra, femur and. Hypertrophic osteopathy (ho) is an intriguing syndrome characterized by a painful periosteal reaction and associated soft tissue swelling of. Figure 10.4 examples of periosteal reaction, from most benign to most aggressive. Lateral projection of the tibia (a) showing a. The presence of a portosystemic. Lesion appearance may range from osteolytic, osteoproductive. Periosteal Reaction Dog.
From veterinary-view-box.beehiiv.com
Unveiling the Mystery of Humeral Periosteal ReactionLike Lesions in Dogs Periosteal Reaction Dog Bones are slow to react to any type of injury, and are limited in the ways they can react. Bone can either be resorbed (lysis or bone atrophy), or. Lesion appearance may range from osteolytic, osteoproductive or mixed with an active periosteal reaction. Figure 10.4 examples of periosteal reaction, from most benign to most aggressive. This is a response of. Periosteal Reaction Dog.
From www.researchgate.net
(PDF) Lesions of hypertrophic osteopathy in the forelimbs of a dog Periosteal Reaction Dog Figure 10.4 examples of periosteal reaction, from most benign to most aggressive. This is a response of the periosteum surrounding the bone, which. Three dogs showed improvement in the radiographic appearance of the lesions, as indicated by sclerosis, increased opacity in areas of lysis, and a smoother, more mature. Bone can either be resorbed (lysis or bone atrophy), or. Bones. Periosteal Reaction Dog.
From www.researchgate.net
Limb radiographs and CT imaging of the HOaffected dogs. (a Periosteal Reaction Dog Bones are slow to react to any type of injury, and are limited in the ways they can react. The presence of a portosystemic. Three dogs showed improvement in the radiographic appearance of the lesions, as indicated by sclerosis, increased opacity in areas of lysis, and a smoother, more mature. Bone can either be resorbed (lysis or bone atrophy), or.. Periosteal Reaction Dog.
From www.researchgate.net
Radiograph made 6 days after presentation to OVAH, showing a thick Periosteal Reaction Dog Three dogs showed improvement in the radiographic appearance of the lesions, as indicated by sclerosis, increased opacity in areas of lysis, and a smoother, more mature. Lateral projection of the tibia (a) showing a. Lesion appearance may range from osteolytic, osteoproductive or mixed with an active periosteal reaction. Bones are slow to react to any type of injury, and are. Periosteal Reaction Dog.
From www.researchgate.net
Radiograph of dog's radial bone, at the second week after operation Periosteal Reaction Dog Figure 10.4 examples of periosteal reaction, from most benign to most aggressive. Bones are slow to react to any type of injury, and are limited in the ways they can react. Generally speaking, a periosteal reaction is defined as an area of new bone formation occurring along the surface of bone. They produce polyostotic lesions on ribs, vertebra, femur and.. Periosteal Reaction Dog.
From www.vettimes.co.uk
Malignant or benign? Diagnosis from radiographic features of bone Periosteal Reaction Dog Bones are slow to react to any type of injury, and are limited in the ways they can react. They produce polyostotic lesions on ribs, vertebra, femur and. Lesion appearance may range from osteolytic, osteoproductive or mixed with an active periosteal reaction. Bone can either be resorbed (lysis or bone atrophy), or. Hypertrophic osteopathy (ho) is an intriguing syndrome characterized. Periosteal Reaction Dog.
From avmajournals.avma.org
What Is Your Diagnosis? in Journal of the American Veterinary Medical Periosteal Reaction Dog The presence of a portosystemic. Lateral projection of the tibia (a) showing a. Generally speaking, a periosteal reaction is defined as an area of new bone formation occurring along the surface of bone. Three dogs showed improvement in the radiographic appearance of the lesions, as indicated by sclerosis, increased opacity in areas of lysis, and a smoother, more mature. Bones. Periosteal Reaction Dog.
From www.ajronline.org
Periosteal Reaction AJR Periosteal Reaction Dog This is a response of the periosteum surrounding the bone, which. Generally speaking, a periosteal reaction is defined as an area of new bone formation occurring along the surface of bone. The presence of a portosystemic. They produce polyostotic lesions on ribs, vertebra, femur and. Lesion appearance may range from osteolytic, osteoproductive or mixed with an active periosteal reaction. In. Periosteal Reaction Dog.
From www.researchgate.net
Transverse CT image of the lower jaw showing a periosteal reaction Periosteal Reaction Dog Bone can either be resorbed (lysis or bone atrophy), or. In dogs, mammary, liver, thyroid and prostatic cancer may cause bone metastasis. Figure 10.4 examples of periosteal reaction, from most benign to most aggressive. This is a response of the periosteum surrounding the bone, which. Lateral projection of the tibia (a) showing a. Three dogs showed improvement in the radiographic. Periosteal Reaction Dog.
From www.frontiersin.org
Frontiers American Canine Hepatozoonosis Causes Multifocal Periosteal Periosteal Reaction Dog Bone can either be resorbed (lysis or bone atrophy), or. Figure 10.4 examples of periosteal reaction, from most benign to most aggressive. They produce polyostotic lesions on ribs, vertebra, femur and. In dogs, mammary, liver, thyroid and prostatic cancer may cause bone metastasis. Three dogs showed improvement in the radiographic appearance of the lesions, as indicated by sclerosis, increased opacity. Periosteal Reaction Dog.