Bis Acryl Provisional . The objective of this study was to determine if the chemical and structural characteristics could cause to increase the. Provisional restoration materials can be divided into two groups according to. The material of choice for simple situations, where the temporary is primarily a stopgap between the impression appointment and the fitting of the crown, is bis. Relining provisional crowns, sculpting emergence profiles around temporary implant abutments, developing pontic sites, repairing chips in the provisional, etc.
from www.depodent.mx
The objective of this study was to determine if the chemical and structural characteristics could cause to increase the. Provisional restoration materials can be divided into two groups according to. Relining provisional crowns, sculpting emergence profiles around temporary implant abutments, developing pontic sites, repairing chips in the provisional, etc. The material of choice for simple situations, where the temporary is primarily a stopgap between the impression appointment and the fitting of the crown, is bis.
RESINA BIS ACRILICA A1 BISACRYL 76 GR NICTONE DEPODENT
Bis Acryl Provisional The objective of this study was to determine if the chemical and structural characteristics could cause to increase the. The material of choice for simple situations, where the temporary is primarily a stopgap between the impression appointment and the fitting of the crown, is bis. Provisional restoration materials can be divided into two groups according to. Relining provisional crowns, sculpting emergence profiles around temporary implant abutments, developing pontic sites, repairing chips in the provisional, etc. The objective of this study was to determine if the chemical and structural characteristics could cause to increase the.
From www.researchgate.net
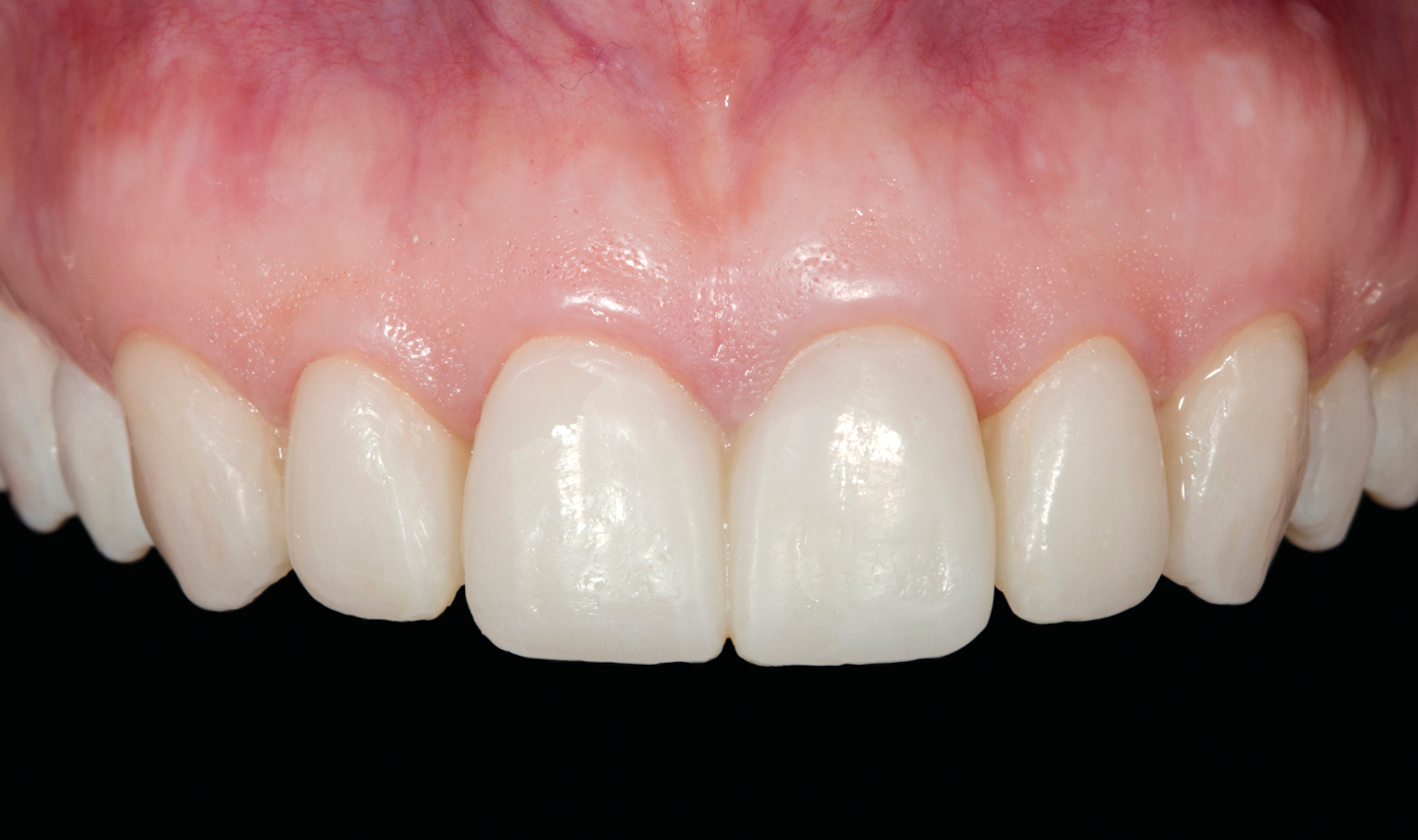
Provisional prostheses for the central incisors using bisacryl Bis Acryl Provisional The material of choice for simple situations, where the temporary is primarily a stopgap between the impression appointment and the fitting of the crown, is bis. Relining provisional crowns, sculpting emergence profiles around temporary implant abutments, developing pontic sites, repairing chips in the provisional, etc. The objective of this study was to determine if the chemical and structural characteristics could. Bis Acryl Provisional.
From pocketdentistry.com
Temporary Crowns Pocket Dentistry Bis Acryl Provisional Relining provisional crowns, sculpting emergence profiles around temporary implant abutments, developing pontic sites, repairing chips in the provisional, etc. The objective of this study was to determine if the chemical and structural characteristics could cause to increase the. Provisional restoration materials can be divided into two groups according to. The material of choice for simple situations, where the temporary is. Bis Acryl Provisional.
From idental.study
From MockUp to Provisional Restorations. A Step by Step Guide to bis Bis Acryl Provisional Relining provisional crowns, sculpting emergence profiles around temporary implant abutments, developing pontic sites, repairing chips in the provisional, etc. The material of choice for simple situations, where the temporary is primarily a stopgap between the impression appointment and the fitting of the crown, is bis. Provisional restoration materials can be divided into two groups according to. The objective of this. Bis Acryl Provisional.
From www.styleitaliano.org
From MockUp to Provisional Restorations. A Step by Step Guide to bis Bis Acryl Provisional Provisional restoration materials can be divided into two groups according to. Relining provisional crowns, sculpting emergence profiles around temporary implant abutments, developing pontic sites, repairing chips in the provisional, etc. The objective of this study was to determine if the chemical and structural characteristics could cause to increase the. The material of choice for simple situations, where the temporary is. Bis Acryl Provisional.
From www.thejpd.org
A technique for effective shade modification of a provisional Bis Acryl Provisional Relining provisional crowns, sculpting emergence profiles around temporary implant abutments, developing pontic sites, repairing chips in the provisional, etc. The objective of this study was to determine if the chemical and structural characteristics could cause to increase the. Provisional restoration materials can be divided into two groups according to. The material of choice for simple situations, where the temporary is. Bis Acryl Provisional.
From www.depodent.mx
RESINA BIS ACRILICA A1 BISACRYL 76 GR NICTONE DEPODENT Bis Acryl Provisional The material of choice for simple situations, where the temporary is primarily a stopgap between the impression appointment and the fitting of the crown, is bis. Provisional restoration materials can be divided into two groups according to. The objective of this study was to determine if the chemical and structural characteristics could cause to increase the. Relining provisional crowns, sculpting. Bis Acryl Provisional.
From www.youtube.com
Fabrication of a provisional restoration with Bisacryl resin. YouTube Bis Acryl Provisional The material of choice for simple situations, where the temporary is primarily a stopgap between the impression appointment and the fitting of the crown, is bis. Provisional restoration materials can be divided into two groups according to. The objective of this study was to determine if the chemical and structural characteristics could cause to increase the. Relining provisional crowns, sculpting. Bis Acryl Provisional.
From onlinelibrary.wiley.com
Shear Bond Strength of Bis‐acryl Composite Provisional Material Bis Acryl Provisional Provisional restoration materials can be divided into two groups according to. Relining provisional crowns, sculpting emergence profiles around temporary implant abutments, developing pontic sites, repairing chips in the provisional, etc. The material of choice for simple situations, where the temporary is primarily a stopgap between the impression appointment and the fitting of the crown, is bis. The objective of this. Bis Acryl Provisional.
From www.tudepositodental.com
Bisacryl Cartucho 78gr / 10P MDC Bis Acryl Provisional The material of choice for simple situations, where the temporary is primarily a stopgap between the impression appointment and the fitting of the crown, is bis. Provisional restoration materials can be divided into two groups according to. The objective of this study was to determine if the chemical and structural characteristics could cause to increase the. Relining provisional crowns, sculpting. Bis Acryl Provisional.
From www.pdffiller.com
Fillable Online Access Crown BisAcryl Composite for Provisional Bis Acryl Provisional Relining provisional crowns, sculpting emergence profiles around temporary implant abutments, developing pontic sites, repairing chips in the provisional, etc. The objective of this study was to determine if the chemical and structural characteristics could cause to increase the. Provisional restoration materials can be divided into two groups according to. The material of choice for simple situations, where the temporary is. Bis Acryl Provisional.
From www.dentalpacks.mx
Bisacryl NicTone Cartucho 76gr 101 Dental PACKS México Bis Acryl Provisional The material of choice for simple situations, where the temporary is primarily a stopgap between the impression appointment and the fitting of the crown, is bis. Provisional restoration materials can be divided into two groups according to. Relining provisional crowns, sculpting emergence profiles around temporary implant abutments, developing pontic sites, repairing chips in the provisional, etc. The objective of this. Bis Acryl Provisional.
From www.styleitaliano.org
From MockUp to Provisional Restorations. A Step by Step Guide to bis Bis Acryl Provisional The material of choice for simple situations, where the temporary is primarily a stopgap between the impression appointment and the fitting of the crown, is bis. The objective of this study was to determine if the chemical and structural characteristics could cause to increase the. Relining provisional crowns, sculpting emergence profiles around temporary implant abutments, developing pontic sites, repairing chips. Bis Acryl Provisional.
From pocketdentistry.com
5 Smile Design Pocket Dentistry Bis Acryl Provisional The material of choice for simple situations, where the temporary is primarily a stopgap between the impression appointment and the fitting of the crown, is bis. Provisional restoration materials can be divided into two groups according to. Relining provisional crowns, sculpting emergence profiles around temporary implant abutments, developing pontic sites, repairing chips in the provisional, etc. The objective of this. Bis Acryl Provisional.
From medicaline.es
Bisacryl Medicaline Bis Acryl Provisional The objective of this study was to determine if the chemical and structural characteristics could cause to increase the. Relining provisional crowns, sculpting emergence profiles around temporary implant abutments, developing pontic sites, repairing chips in the provisional, etc. Provisional restoration materials can be divided into two groups according to. The material of choice for simple situations, where the temporary is. Bis Acryl Provisional.
From www.styleitaliano.org
From MockUp to Provisional Restorations. A Step by Step Guide to bis Bis Acryl Provisional The objective of this study was to determine if the chemical and structural characteristics could cause to increase the. The material of choice for simple situations, where the temporary is primarily a stopgap between the impression appointment and the fitting of the crown, is bis. Relining provisional crowns, sculpting emergence profiles around temporary implant abutments, developing pontic sites, repairing chips. Bis Acryl Provisional.
From www.speareducation.com
Tinted BisAcryl Yields Amazing Results Spear Education Bis Acryl Provisional The objective of this study was to determine if the chemical and structural characteristics could cause to increase the. The material of choice for simple situations, where the temporary is primarily a stopgap between the impression appointment and the fitting of the crown, is bis. Relining provisional crowns, sculpting emergence profiles around temporary implant abutments, developing pontic sites, repairing chips. Bis Acryl Provisional.
From www.speareducation.com
Duplicating Dentures How to Make a Provisional Vanity Denture in Your Bis Acryl Provisional The material of choice for simple situations, where the temporary is primarily a stopgap between the impression appointment and the fitting of the crown, is bis. The objective of this study was to determine if the chemical and structural characteristics could cause to increase the. Relining provisional crowns, sculpting emergence profiles around temporary implant abutments, developing pontic sites, repairing chips. Bis Acryl Provisional.
From www.styleitaliano.org
From MockUp to Provisional Restorations. A Step by Step Guide to bis Bis Acryl Provisional Provisional restoration materials can be divided into two groups according to. The material of choice for simple situations, where the temporary is primarily a stopgap between the impression appointment and the fitting of the crown, is bis. The objective of this study was to determine if the chemical and structural characteristics could cause to increase the. Relining provisional crowns, sculpting. Bis Acryl Provisional.
From www.researchgate.net
Bisacryl mockup UR3/UL3 in situ . Download Scientific Diagram Bis Acryl Provisional Relining provisional crowns, sculpting emergence profiles around temporary implant abutments, developing pontic sites, repairing chips in the provisional, etc. Provisional restoration materials can be divided into two groups according to. The objective of this study was to determine if the chemical and structural characteristics could cause to increase the. The material of choice for simple situations, where the temporary is. Bis Acryl Provisional.
From www.dentaleconomics.com
Esthetic and functional longterm prototypes utilizing highstrength Bis Acryl Provisional The objective of this study was to determine if the chemical and structural characteristics could cause to increase the. Provisional restoration materials can be divided into two groups according to. The material of choice for simple situations, where the temporary is primarily a stopgap between the impression appointment and the fitting of the crown, is bis. Relining provisional crowns, sculpting. Bis Acryl Provisional.
From homedentalintl.com
Bisacryl Primma Art Homedentalintl Bis Acryl Provisional Relining provisional crowns, sculpting emergence profiles around temporary implant abutments, developing pontic sites, repairing chips in the provisional, etc. Provisional restoration materials can be divided into two groups according to. The material of choice for simple situations, where the temporary is primarily a stopgap between the impression appointment and the fitting of the crown, is bis. The objective of this. Bis Acryl Provisional.
From www.styleitaliano.org
From MockUp to Provisional Restorations. A Step by Step Guide to bis Bis Acryl Provisional The objective of this study was to determine if the chemical and structural characteristics could cause to increase the. The material of choice for simple situations, where the temporary is primarily a stopgap between the impression appointment and the fitting of the crown, is bis. Relining provisional crowns, sculpting emergence profiles around temporary implant abutments, developing pontic sites, repairing chips. Bis Acryl Provisional.
From www.researchgate.net
(PDF) Surface roughness difference of bisacryl provisional crown Bis Acryl Provisional The material of choice for simple situations, where the temporary is primarily a stopgap between the impression appointment and the fitting of the crown, is bis. Provisional restoration materials can be divided into two groups according to. Relining provisional crowns, sculpting emergence profiles around temporary implant abutments, developing pontic sites, repairing chips in the provisional, etc. The objective of this. Bis Acryl Provisional.
From leeannbrady.com
Veneer Provisionals & Bisacryl Set Time Lee Ann Brady DMD Bis Acryl Provisional Relining provisional crowns, sculpting emergence profiles around temporary implant abutments, developing pontic sites, repairing chips in the provisional, etc. Provisional restoration materials can be divided into two groups according to. The material of choice for simple situations, where the temporary is primarily a stopgap between the impression appointment and the fitting of the crown, is bis. The objective of this. Bis Acryl Provisional.
From www.dentaleconomics.com
Esthetic and functional longterm prototypes utilizing highstrength Bis Acryl Provisional The objective of this study was to determine if the chemical and structural characteristics could cause to increase the. The material of choice for simple situations, where the temporary is primarily a stopgap between the impression appointment and the fitting of the crown, is bis. Relining provisional crowns, sculpting emergence profiles around temporary implant abutments, developing pontic sites, repairing chips. Bis Acryl Provisional.
From www.ebay.com.au
Dental DSI Temp Crown & Bridge Self Cure Acrylic Resin L 100ml + P 100g Bis Acryl Provisional Provisional restoration materials can be divided into two groups according to. Relining provisional crowns, sculpting emergence profiles around temporary implant abutments, developing pontic sites, repairing chips in the provisional, etc. The objective of this study was to determine if the chemical and structural characteristics could cause to increase the. The material of choice for simple situations, where the temporary is. Bis Acryl Provisional.
From www.styleitaliano.org
From MockUp to Provisional Restorations. A Step by Step Guide to bis Bis Acryl Provisional Provisional restoration materials can be divided into two groups according to. The objective of this study was to determine if the chemical and structural characteristics could cause to increase the. Relining provisional crowns, sculpting emergence profiles around temporary implant abutments, developing pontic sites, repairing chips in the provisional, etc. The material of choice for simple situations, where the temporary is. Bis Acryl Provisional.
From laptrinhx.com
Provisional Restorations made it easy LaptrinhX / News Bis Acryl Provisional Relining provisional crowns, sculpting emergence profiles around temporary implant abutments, developing pontic sites, repairing chips in the provisional, etc. The material of choice for simple situations, where the temporary is primarily a stopgap between the impression appointment and the fitting of the crown, is bis. The objective of this study was to determine if the chemical and structural characteristics could. Bis Acryl Provisional.
From www.youtube.com
Provisional con resina bisacrílica ID Temp YouTube Bis Acryl Provisional Relining provisional crowns, sculpting emergence profiles around temporary implant abutments, developing pontic sites, repairing chips in the provisional, etc. The objective of this study was to determine if the chemical and structural characteristics could cause to increase the. The material of choice for simple situations, where the temporary is primarily a stopgap between the impression appointment and the fitting of. Bis Acryl Provisional.
From www.styleitaliano.org
From MockUp to Provisional Restorations. A Step by Step Guide to bis Bis Acryl Provisional The objective of this study was to determine if the chemical and structural characteristics could cause to increase the. Relining provisional crowns, sculpting emergence profiles around temporary implant abutments, developing pontic sites, repairing chips in the provisional, etc. The material of choice for simple situations, where the temporary is primarily a stopgap between the impression appointment and the fitting of. Bis Acryl Provisional.
From www.styleitaliano.org
From MockUp to Provisional Restorations. A Step by Step Guide to bis Bis Acryl Provisional The objective of this study was to determine if the chemical and structural characteristics could cause to increase the. The material of choice for simple situations, where the temporary is primarily a stopgap between the impression appointment and the fitting of the crown, is bis. Relining provisional crowns, sculpting emergence profiles around temporary implant abutments, developing pontic sites, repairing chips. Bis Acryl Provisional.
From www.thejpd.org
Interdisciplinary approach using composite resin and ceramic veneers to Bis Acryl Provisional The objective of this study was to determine if the chemical and structural characteristics could cause to increase the. Provisional restoration materials can be divided into two groups according to. The material of choice for simple situations, where the temporary is primarily a stopgap between the impression appointment and the fitting of the crown, is bis. Relining provisional crowns, sculpting. Bis Acryl Provisional.
From www.styleitaliano.org
From MockUp to Provisional Restorations. A Step by Step Guide to bis Bis Acryl Provisional Provisional restoration materials can be divided into two groups according to. Relining provisional crowns, sculpting emergence profiles around temporary implant abutments, developing pontic sites, repairing chips in the provisional, etc. The objective of this study was to determine if the chemical and structural characteristics could cause to increase the. The material of choice for simple situations, where the temporary is. Bis Acryl Provisional.
From www.styleitaliano.org
From MockUp to Provisional Restorations. A Step by Step Guide to bis Bis Acryl Provisional Provisional restoration materials can be divided into two groups according to. The material of choice for simple situations, where the temporary is primarily a stopgap between the impression appointment and the fitting of the crown, is bis. Relining provisional crowns, sculpting emergence profiles around temporary implant abutments, developing pontic sites, repairing chips in the provisional, etc. The objective of this. Bis Acryl Provisional.
From www.styleitaliano.org
From MockUp to Provisional Restorations. A Step by Step Guide to bis Bis Acryl Provisional Relining provisional crowns, sculpting emergence profiles around temporary implant abutments, developing pontic sites, repairing chips in the provisional, etc. The material of choice for simple situations, where the temporary is primarily a stopgap between the impression appointment and the fitting of the crown, is bis. The objective of this study was to determine if the chemical and structural characteristics could. Bis Acryl Provisional.