Osteomyelitis Jaw Histology . It can manifest as early or adult onset and is. Using an algorithmic histopathologic tool consisting of 15 criteria, each with an associated score, we defined 5 categories of om: Caused mostly by a bacterial focus (e.g. Crmo in jaw must be diagnosed with the differentiation of chronic bacterial osteomyelitis, and a bone biopsy is essential. In this review, we provide a descriptive analysis of the experience with this condition at a single tertiary health care centre. Many pathogens, often found in the healthy oral flora, have been associated with jawbone osteomyelitis; Acute and secondary chronic osteomyelitis of the jaws: Osteomyelitis (om) of the jaw is a rare medical condition.
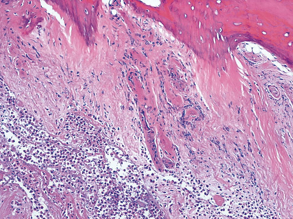
from pathologyapps.com
Osteomyelitis (om) of the jaw is a rare medical condition. It can manifest as early or adult onset and is. In this review, we provide a descriptive analysis of the experience with this condition at a single tertiary health care centre. Acute and secondary chronic osteomyelitis of the jaws: Many pathogens, often found in the healthy oral flora, have been associated with jawbone osteomyelitis; Using an algorithmic histopathologic tool consisting of 15 criteria, each with an associated score, we defined 5 categories of om: Crmo in jaw must be diagnosed with the differentiation of chronic bacterial osteomyelitis, and a bone biopsy is essential. Caused mostly by a bacterial focus (e.g.
acute osteomyelitis bone histology
Osteomyelitis Jaw Histology It can manifest as early or adult onset and is. It can manifest as early or adult onset and is. Crmo in jaw must be diagnosed with the differentiation of chronic bacterial osteomyelitis, and a bone biopsy is essential. Osteomyelitis (om) of the jaw is a rare medical condition. Acute and secondary chronic osteomyelitis of the jaws: In this review, we provide a descriptive analysis of the experience with this condition at a single tertiary health care centre. Using an algorithmic histopathologic tool consisting of 15 criteria, each with an associated score, we defined 5 categories of om: Many pathogens, often found in the healthy oral flora, have been associated with jawbone osteomyelitis; Caused mostly by a bacterial focus (e.g.
From www.slideshare.net
Osteomyelitis of jaws Osteomyelitis Jaw Histology In this review, we provide a descriptive analysis of the experience with this condition at a single tertiary health care centre. Caused mostly by a bacterial focus (e.g. Acute and secondary chronic osteomyelitis of the jaws: Many pathogens, often found in the healthy oral flora, have been associated with jawbone osteomyelitis; Using an algorithmic histopathologic tool consisting of 15 criteria,. Osteomyelitis Jaw Histology.
From www.researchgate.net
Histologic features of "acute" and "chronic" osteomyelitis exist in the Osteomyelitis Jaw Histology Osteomyelitis (om) of the jaw is a rare medical condition. Many pathogens, often found in the healthy oral flora, have been associated with jawbone osteomyelitis; In this review, we provide a descriptive analysis of the experience with this condition at a single tertiary health care centre. Caused mostly by a bacterial focus (e.g. It can manifest as early or adult. Osteomyelitis Jaw Histology.
From www.joms.org
Pediatric Chronic Nonbacterial Osteomyelitis of the Jaw Clinical Osteomyelitis Jaw Histology Caused mostly by a bacterial focus (e.g. Crmo in jaw must be diagnosed with the differentiation of chronic bacterial osteomyelitis, and a bone biopsy is essential. Osteomyelitis (om) of the jaw is a rare medical condition. Many pathogens, often found in the healthy oral flora, have been associated with jawbone osteomyelitis; In this review, we provide a descriptive analysis of. Osteomyelitis Jaw Histology.
From www.researchgate.net
Histopathologic examination of the osteomyelitis region of the Osteomyelitis Jaw Histology It can manifest as early or adult onset and is. In this review, we provide a descriptive analysis of the experience with this condition at a single tertiary health care centre. Crmo in jaw must be diagnosed with the differentiation of chronic bacterial osteomyelitis, and a bone biopsy is essential. Using an algorithmic histopathologic tool consisting of 15 criteria, each. Osteomyelitis Jaw Histology.
From www.oooojournal.net
MRI features of mandibular osteomyelitis practical criteria based on Osteomyelitis Jaw Histology Osteomyelitis (om) of the jaw is a rare medical condition. In this review, we provide a descriptive analysis of the experience with this condition at a single tertiary health care centre. Crmo in jaw must be diagnosed with the differentiation of chronic bacterial osteomyelitis, and a bone biopsy is essential. Caused mostly by a bacterial focus (e.g. Many pathogens, often. Osteomyelitis Jaw Histology.
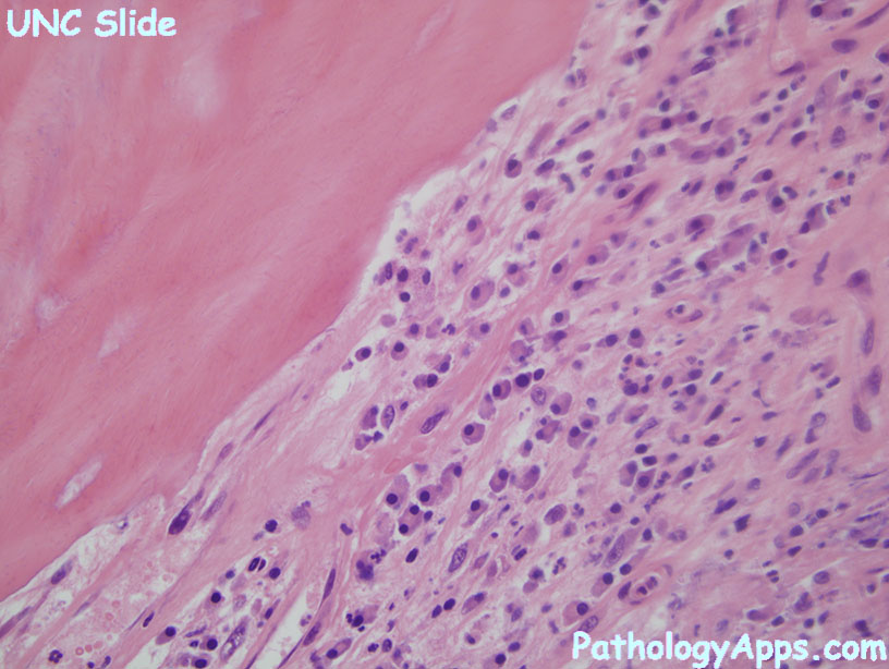
From pathologyapps.com
acute osteomyelitis bone histology Osteomyelitis Jaw Histology Using an algorithmic histopathologic tool consisting of 15 criteria, each with an associated score, we defined 5 categories of om: Many pathogens, often found in the healthy oral flora, have been associated with jawbone osteomyelitis; Acute and secondary chronic osteomyelitis of the jaws: In this review, we provide a descriptive analysis of the experience with this condition at a single. Osteomyelitis Jaw Histology.
From www.oooojournal.net
Computed tomography imaging features of osteomyelitis of the jaw Osteomyelitis Jaw Histology Using an algorithmic histopathologic tool consisting of 15 criteria, each with an associated score, we defined 5 categories of om: Acute and secondary chronic osteomyelitis of the jaws: It can manifest as early or adult onset and is. Caused mostly by a bacterial focus (e.g. Osteomyelitis (om) of the jaw is a rare medical condition. Crmo in jaw must be. Osteomyelitis Jaw Histology.
From medicine.nus.edu.sg
Bone Osteomyelitis NUS Pathweb NUS Pathweb Osteomyelitis Jaw Histology Crmo in jaw must be diagnosed with the differentiation of chronic bacterial osteomyelitis, and a bone biopsy is essential. Acute and secondary chronic osteomyelitis of the jaws: It can manifest as early or adult onset and is. Caused mostly by a bacterial focus (e.g. In this review, we provide a descriptive analysis of the experience with this condition at a. Osteomyelitis Jaw Histology.
From www.ijoms.com
Comparison of the histopathological characteristics of osteomyelitis Osteomyelitis Jaw Histology Acute and secondary chronic osteomyelitis of the jaws: Osteomyelitis (om) of the jaw is a rare medical condition. Crmo in jaw must be diagnosed with the differentiation of chronic bacterial osteomyelitis, and a bone biopsy is essential. It can manifest as early or adult onset and is. In this review, we provide a descriptive analysis of the experience with this. Osteomyelitis Jaw Histology.
From medicine.nus.edu.sg
Bone Osteomyelitis NUS Pathweb NUS Pathweb Osteomyelitis Jaw Histology It can manifest as early or adult onset and is. Using an algorithmic histopathologic tool consisting of 15 criteria, each with an associated score, we defined 5 categories of om: Caused mostly by a bacterial focus (e.g. Many pathogens, often found in the healthy oral flora, have been associated with jawbone osteomyelitis; Acute and secondary chronic osteomyelitis of the jaws:. Osteomyelitis Jaw Histology.
From www.pathologyoutlines.com
Pathology Outlines Bacterial osteomyelitis (acute) Osteomyelitis Jaw Histology Crmo in jaw must be diagnosed with the differentiation of chronic bacterial osteomyelitis, and a bone biopsy is essential. Caused mostly by a bacterial focus (e.g. Using an algorithmic histopathologic tool consisting of 15 criteria, each with an associated score, we defined 5 categories of om: Many pathogens, often found in the healthy oral flora, have been associated with jawbone. Osteomyelitis Jaw Histology.
From www.slideshare.net
Osteomyelitis of jaw Osteomyelitis Jaw Histology It can manifest as early or adult onset and is. Many pathogens, often found in the healthy oral flora, have been associated with jawbone osteomyelitis; Acute and secondary chronic osteomyelitis of the jaws: In this review, we provide a descriptive analysis of the experience with this condition at a single tertiary health care centre. Using an algorithmic histopathologic tool consisting. Osteomyelitis Jaw Histology.
From www.pathologyoutlines.com
Pathology Outlines Chronic osteomyelitis Osteomyelitis Jaw Histology Using an algorithmic histopathologic tool consisting of 15 criteria, each with an associated score, we defined 5 categories of om: In this review, we provide a descriptive analysis of the experience with this condition at a single tertiary health care centre. Acute and secondary chronic osteomyelitis of the jaws: Many pathogens, often found in the healthy oral flora, have been. Osteomyelitis Jaw Histology.
From animalia-life.club
Osteomyelitis Jaw Radiographic Appearance Osteomyelitis Jaw Histology Many pathogens, often found in the healthy oral flora, have been associated with jawbone osteomyelitis; It can manifest as early or adult onset and is. Using an algorithmic histopathologic tool consisting of 15 criteria, each with an associated score, we defined 5 categories of om: Crmo in jaw must be diagnosed with the differentiation of chronic bacterial osteomyelitis, and a. Osteomyelitis Jaw Histology.
From www.pathologyoutlines.com
Pathology Outlines Bacterial osteomyelitis (acute) Osteomyelitis Jaw Histology Many pathogens, often found in the healthy oral flora, have been associated with jawbone osteomyelitis; It can manifest as early or adult onset and is. Osteomyelitis (om) of the jaw is a rare medical condition. In this review, we provide a descriptive analysis of the experience with this condition at a single tertiary health care centre. Acute and secondary chronic. Osteomyelitis Jaw Histology.
From mp.uscap.org
GNAS mutation analysis assists in differentiating chronic diffuse Osteomyelitis Jaw Histology Caused mostly by a bacterial focus (e.g. Many pathogens, often found in the healthy oral flora, have been associated with jawbone osteomyelitis; Using an algorithmic histopathologic tool consisting of 15 criteria, each with an associated score, we defined 5 categories of om: Osteomyelitis (om) of the jaw is a rare medical condition. It can manifest as early or adult onset. Osteomyelitis Jaw Histology.
From www.diagnostichistopathology.co.uk
Osteomyelitis and osteonecrosis Diagnostic Histopathology Osteomyelitis Jaw Histology Many pathogens, often found in the healthy oral flora, have been associated with jawbone osteomyelitis; Crmo in jaw must be diagnosed with the differentiation of chronic bacterial osteomyelitis, and a bone biopsy is essential. It can manifest as early or adult onset and is. Using an algorithmic histopathologic tool consisting of 15 criteria, each with an associated score, we defined. Osteomyelitis Jaw Histology.
From www.pathologyoutlines.com
Pathology Outlines Osteomyelitis overview Osteomyelitis Jaw Histology Osteomyelitis (om) of the jaw is a rare medical condition. Using an algorithmic histopathologic tool consisting of 15 criteria, each with an associated score, we defined 5 categories of om: It can manifest as early or adult onset and is. Acute and secondary chronic osteomyelitis of the jaws: In this review, we provide a descriptive analysis of the experience with. Osteomyelitis Jaw Histology.
From www.pathologyoutlines.com
Pathology Outlines Chronic osteomyelitis Osteomyelitis Jaw Histology Using an algorithmic histopathologic tool consisting of 15 criteria, each with an associated score, we defined 5 categories of om: Acute and secondary chronic osteomyelitis of the jaws: Crmo in jaw must be diagnosed with the differentiation of chronic bacterial osteomyelitis, and a bone biopsy is essential. Caused mostly by a bacterial focus (e.g. Osteomyelitis (om) of the jaw is. Osteomyelitis Jaw Histology.
From ar.inspiredpencil.com
Osteomyelitis Jaw Radiographic Appearance Osteomyelitis Jaw Histology Osteomyelitis (om) of the jaw is a rare medical condition. Acute and secondary chronic osteomyelitis of the jaws: Using an algorithmic histopathologic tool consisting of 15 criteria, each with an associated score, we defined 5 categories of om: In this review, we provide a descriptive analysis of the experience with this condition at a single tertiary health care centre. It. Osteomyelitis Jaw Histology.
From www.dovemed.com
Acute Osteomyelitis Osteomyelitis Jaw Histology Osteomyelitis (om) of the jaw is a rare medical condition. Many pathogens, often found in the healthy oral flora, have been associated with jawbone osteomyelitis; It can manifest as early or adult onset and is. Crmo in jaw must be diagnosed with the differentiation of chronic bacterial osteomyelitis, and a bone biopsy is essential. In this review, we provide a. Osteomyelitis Jaw Histology.
From www.oooojournal.net
MRI features of mandibular osteomyelitis practical criteria based on Osteomyelitis Jaw Histology Using an algorithmic histopathologic tool consisting of 15 criteria, each with an associated score, we defined 5 categories of om: Crmo in jaw must be diagnosed with the differentiation of chronic bacterial osteomyelitis, and a bone biopsy is essential. Caused mostly by a bacterial focus (e.g. In this review, we provide a descriptive analysis of the experience with this condition. Osteomyelitis Jaw Histology.
From www.slideshare.net
Osteomyelitis of jaw Osteomyelitis Jaw Histology Using an algorithmic histopathologic tool consisting of 15 criteria, each with an associated score, we defined 5 categories of om: In this review, we provide a descriptive analysis of the experience with this condition at a single tertiary health care centre. Osteomyelitis (om) of the jaw is a rare medical condition. Acute and secondary chronic osteomyelitis of the jaws: Caused. Osteomyelitis Jaw Histology.
From www.slideshare.net
Osteomyelitis of jaw Osteomyelitis Jaw Histology In this review, we provide a descriptive analysis of the experience with this condition at a single tertiary health care centre. Osteomyelitis (om) of the jaw is a rare medical condition. Many pathogens, often found in the healthy oral flora, have been associated with jawbone osteomyelitis; It can manifest as early or adult onset and is. Acute and secondary chronic. Osteomyelitis Jaw Histology.
From pathologyapps.com
chronic osteomyelitis bone histology Osteomyelitis Jaw Histology Osteomyelitis (om) of the jaw is a rare medical condition. It can manifest as early or adult onset and is. In this review, we provide a descriptive analysis of the experience with this condition at a single tertiary health care centre. Using an algorithmic histopathologic tool consisting of 15 criteria, each with an associated score, we defined 5 categories of. Osteomyelitis Jaw Histology.
From animalia-life.club
Osteomyelitis Jaw Radiographic Appearance Osteomyelitis Jaw Histology Many pathogens, often found in the healthy oral flora, have been associated with jawbone osteomyelitis; Using an algorithmic histopathologic tool consisting of 15 criteria, each with an associated score, we defined 5 categories of om: Osteomyelitis (om) of the jaw is a rare medical condition. In this review, we provide a descriptive analysis of the experience with this condition at. Osteomyelitis Jaw Histology.
From pathology.or.jp
19.Bone, Joint (5) Suppurative osteomyelitisPathology Core Pictures Osteomyelitis Jaw Histology Acute and secondary chronic osteomyelitis of the jaws: Crmo in jaw must be diagnosed with the differentiation of chronic bacterial osteomyelitis, and a bone biopsy is essential. Osteomyelitis (om) of the jaw is a rare medical condition. Caused mostly by a bacterial focus (e.g. In this review, we provide a descriptive analysis of the experience with this condition at a. Osteomyelitis Jaw Histology.
From pathology.or.jp
19.Bone, Joint (5) Suppurative osteomyelitisPathology Core Pictures Osteomyelitis Jaw Histology Caused mostly by a bacterial focus (e.g. In this review, we provide a descriptive analysis of the experience with this condition at a single tertiary health care centre. Many pathogens, often found in the healthy oral flora, have been associated with jawbone osteomyelitis; Crmo in jaw must be diagnosed with the differentiation of chronic bacterial osteomyelitis, and a bone biopsy. Osteomyelitis Jaw Histology.
From journals.sagepub.com
Histologic, Clinical, and Radiologic Findings of Alveolar Bone Osteomyelitis Jaw Histology Crmo in jaw must be diagnosed with the differentiation of chronic bacterial osteomyelitis, and a bone biopsy is essential. Using an algorithmic histopathologic tool consisting of 15 criteria, each with an associated score, we defined 5 categories of om: In this review, we provide a descriptive analysis of the experience with this condition at a single tertiary health care centre.. Osteomyelitis Jaw Histology.
From ar.inspiredpencil.com
Chronic Osteomyelitis Jaw Osteomyelitis Jaw Histology Using an algorithmic histopathologic tool consisting of 15 criteria, each with an associated score, we defined 5 categories of om: Crmo in jaw must be diagnosed with the differentiation of chronic bacterial osteomyelitis, and a bone biopsy is essential. In this review, we provide a descriptive analysis of the experience with this condition at a single tertiary health care centre.. Osteomyelitis Jaw Histology.
From oralmedpathla.com
Osteomyelitis of the Jaw Oral Pathologist located in West Hollywood Osteomyelitis Jaw Histology It can manifest as early or adult onset and is. Osteomyelitis (om) of the jaw is a rare medical condition. Crmo in jaw must be diagnosed with the differentiation of chronic bacterial osteomyelitis, and a bone biopsy is essential. Acute and secondary chronic osteomyelitis of the jaws: Using an algorithmic histopathologic tool consisting of 15 criteria, each with an associated. Osteomyelitis Jaw Histology.
From animalia-life.club
Osteomyelitis Jaw Radiographic Appearance Osteomyelitis Jaw Histology In this review, we provide a descriptive analysis of the experience with this condition at a single tertiary health care centre. Osteomyelitis (om) of the jaw is a rare medical condition. Crmo in jaw must be diagnosed with the differentiation of chronic bacterial osteomyelitis, and a bone biopsy is essential. Many pathogens, often found in the healthy oral flora, have. Osteomyelitis Jaw Histology.
From www.youtube.com
Osteomyelitis Histopathology YouTube Osteomyelitis Jaw Histology In this review, we provide a descriptive analysis of the experience with this condition at a single tertiary health care centre. Crmo in jaw must be diagnosed with the differentiation of chronic bacterial osteomyelitis, and a bone biopsy is essential. Osteomyelitis (om) of the jaw is a rare medical condition. Using an algorithmic histopathologic tool consisting of 15 criteria, each. Osteomyelitis Jaw Histology.
From www.joms.org
An Extremely Unusual Case of Garrè's Osteomyelitis of the Mandibular Osteomyelitis Jaw Histology Acute and secondary chronic osteomyelitis of the jaws: Crmo in jaw must be diagnosed with the differentiation of chronic bacterial osteomyelitis, and a bone biopsy is essential. Osteomyelitis (om) of the jaw is a rare medical condition. It can manifest as early or adult onset and is. Caused mostly by a bacterial focus (e.g. In this review, we provide a. Osteomyelitis Jaw Histology.
From www.scielo.br
SciELO Brasil Medicationrelated osteonecrosis of the jaw Osteomyelitis Jaw Histology Acute and secondary chronic osteomyelitis of the jaws: Crmo in jaw must be diagnosed with the differentiation of chronic bacterial osteomyelitis, and a bone biopsy is essential. Caused mostly by a bacterial focus (e.g. Osteomyelitis (om) of the jaw is a rare medical condition. It can manifest as early or adult onset and is. In this review, we provide a. Osteomyelitis Jaw Histology.