Tracheal Stenosis Due To Tracheostomy . Tracheal stenosis (ts) following a tracheostomy commonly results from excess granulation tissue formation around the tracheal. Severe tracheal stenosis resulted in. Tracheal stenosis is the most common late airway complication of tracheostomy. Tracheal stenosis is a possible indication for tracheostomy if the airway is obstructed, resulting in difficulty breathing. Tracheal stenosis happens when you have inflammation or scar tissue in your trachea that makes your trachea narrower and makes it more. Although infraglottic stenosis most commonly results from endotracheal tube damage, it may occur after damage of the 1st tracheal ring or cricoid.
from file.scirp.org
Tracheal stenosis is a possible indication for tracheostomy if the airway is obstructed, resulting in difficulty breathing. Tracheal stenosis (ts) following a tracheostomy commonly results from excess granulation tissue formation around the tracheal. Tracheal stenosis happens when you have inflammation or scar tissue in your trachea that makes your trachea narrower and makes it more. Tracheal stenosis is the most common late airway complication of tracheostomy. Although infraglottic stenosis most commonly results from endotracheal tube damage, it may occur after damage of the 1st tracheal ring or cricoid. Severe tracheal stenosis resulted in.
Surgery for Acute Complicated Tracheal Stenosis
Tracheal Stenosis Due To Tracheostomy Tracheal stenosis (ts) following a tracheostomy commonly results from excess granulation tissue formation around the tracheal. Although infraglottic stenosis most commonly results from endotracheal tube damage, it may occur after damage of the 1st tracheal ring or cricoid. Tracheal stenosis happens when you have inflammation or scar tissue in your trachea that makes your trachea narrower and makes it more. Tracheal stenosis is a possible indication for tracheostomy if the airway is obstructed, resulting in difficulty breathing. Tracheal stenosis (ts) following a tracheostomy commonly results from excess granulation tissue formation around the tracheal. Tracheal stenosis is the most common late airway complication of tracheostomy. Severe tracheal stenosis resulted in.
From loebdsfuv.blob.core.windows.net
Can You Eat With A Trachea Tube at Glenn Porter blog Tracheal Stenosis Due To Tracheostomy Tracheal stenosis is a possible indication for tracheostomy if the airway is obstructed, resulting in difficulty breathing. Although infraglottic stenosis most commonly results from endotracheal tube damage, it may occur after damage of the 1st tracheal ring or cricoid. Tracheal stenosis (ts) following a tracheostomy commonly results from excess granulation tissue formation around the tracheal. Severe tracheal stenosis resulted in.. Tracheal Stenosis Due To Tracheostomy.
From www.researchgate.net
(PDF) Case Report Tracheal stenosis due to fibrotic bridges in a post Tracheal Stenosis Due To Tracheostomy Severe tracheal stenosis resulted in. Tracheal stenosis happens when you have inflammation or scar tissue in your trachea that makes your trachea narrower and makes it more. Tracheal stenosis is a possible indication for tracheostomy if the airway is obstructed, resulting in difficulty breathing. Although infraglottic stenosis most commonly results from endotracheal tube damage, it may occur after damage of. Tracheal Stenosis Due To Tracheostomy.
From www.lungandsleep.com.au
Tracheal stenosis Lung and Sleep Tracheal Stenosis Due To Tracheostomy Tracheal stenosis is the most common late airway complication of tracheostomy. Tracheal stenosis (ts) following a tracheostomy commonly results from excess granulation tissue formation around the tracheal. Tracheal stenosis is a possible indication for tracheostomy if the airway is obstructed, resulting in difficulty breathing. Tracheal stenosis happens when you have inflammation or scar tissue in your trachea that makes your. Tracheal Stenosis Due To Tracheostomy.
From www.researchgate.net
Spectrum of pathological phenotoypes of the tracheal cartilages. 1a Tracheal Stenosis Due To Tracheostomy Tracheal stenosis is a possible indication for tracheostomy if the airway is obstructed, resulting in difficulty breathing. Tracheal stenosis (ts) following a tracheostomy commonly results from excess granulation tissue formation around the tracheal. Although infraglottic stenosis most commonly results from endotracheal tube damage, it may occur after damage of the 1st tracheal ring or cricoid. Tracheal stenosis happens when you. Tracheal Stenosis Due To Tracheostomy.
From exyxwauhc.blob.core.windows.net
Tracheal Stenosis X Ray at King Cummings blog Tracheal Stenosis Due To Tracheostomy Tracheal stenosis (ts) following a tracheostomy commonly results from excess granulation tissue formation around the tracheal. Tracheal stenosis is a possible indication for tracheostomy if the airway is obstructed, resulting in difficulty breathing. Severe tracheal stenosis resulted in. Although infraglottic stenosis most commonly results from endotracheal tube damage, it may occur after damage of the 1st tracheal ring or cricoid.. Tracheal Stenosis Due To Tracheostomy.
From www.optechtcs.com
Congenital Tracheal Stenosis Tracheal Autograft Technique Operative Tracheal Stenosis Due To Tracheostomy Severe tracheal stenosis resulted in. Tracheal stenosis happens when you have inflammation or scar tissue in your trachea that makes your trachea narrower and makes it more. Tracheal stenosis (ts) following a tracheostomy commonly results from excess granulation tissue formation around the tracheal. Although infraglottic stenosis most commonly results from endotracheal tube damage, it may occur after damage of the. Tracheal Stenosis Due To Tracheostomy.
From www.semanticscholar.org
Figure 1 from A Case of Severe Tracheal Stenosis due to Tracheal Tracheal Stenosis Due To Tracheostomy Tracheal stenosis is the most common late airway complication of tracheostomy. Severe tracheal stenosis resulted in. Tracheal stenosis is a possible indication for tracheostomy if the airway is obstructed, resulting in difficulty breathing. Tracheal stenosis happens when you have inflammation or scar tissue in your trachea that makes your trachea narrower and makes it more. Tracheal stenosis (ts) following a. Tracheal Stenosis Due To Tracheostomy.
From journal.chestnet.org
Treatment of Tracheobronchial Injuries CHEST Tracheal Stenosis Due To Tracheostomy Severe tracheal stenosis resulted in. Tracheal stenosis is the most common late airway complication of tracheostomy. Tracheal stenosis is a possible indication for tracheostomy if the airway is obstructed, resulting in difficulty breathing. Although infraglottic stenosis most commonly results from endotracheal tube damage, it may occur after damage of the 1st tracheal ring or cricoid. Tracheal stenosis (ts) following a. Tracheal Stenosis Due To Tracheostomy.
From www.trialexhibitsinc.com
Tracheal Stenosis TrialQuest Inc. Tracheal Stenosis Due To Tracheostomy Tracheal stenosis happens when you have inflammation or scar tissue in your trachea that makes your trachea narrower and makes it more. Tracheal stenosis is a possible indication for tracheostomy if the airway is obstructed, resulting in difficulty breathing. Severe tracheal stenosis resulted in. Tracheal stenosis (ts) following a tracheostomy commonly results from excess granulation tissue formation around the tracheal.. Tracheal Stenosis Due To Tracheostomy.
From www.semanticscholar.org
Figure 5 from Tracheal stent placement via a tracheostomy for tracheal Tracheal Stenosis Due To Tracheostomy Severe tracheal stenosis resulted in. Tracheal stenosis is a possible indication for tracheostomy if the airway is obstructed, resulting in difficulty breathing. Tracheal stenosis is the most common late airway complication of tracheostomy. Tracheal stenosis happens when you have inflammation or scar tissue in your trachea that makes your trachea narrower and makes it more. Although infraglottic stenosis most commonly. Tracheal Stenosis Due To Tracheostomy.
From www.researchgate.net
(PDF) Severe tracheal stenosis due to prolonged tracheostomy tube Tracheal Stenosis Due To Tracheostomy Tracheal stenosis is the most common late airway complication of tracheostomy. Although infraglottic stenosis most commonly results from endotracheal tube damage, it may occur after damage of the 1st tracheal ring or cricoid. Tracheal stenosis is a possible indication for tracheostomy if the airway is obstructed, resulting in difficulty breathing. Tracheal stenosis happens when you have inflammation or scar tissue. Tracheal Stenosis Due To Tracheostomy.
From www.researchgate.net
(PDF) POSTTRACHEOSTOMY TRACHEAL STENOSIS MANAGED WITH VIDEO Tracheal Stenosis Due To Tracheostomy Although infraglottic stenosis most commonly results from endotracheal tube damage, it may occur after damage of the 1st tracheal ring or cricoid. Severe tracheal stenosis resulted in. Tracheal stenosis is the most common late airway complication of tracheostomy. Tracheal stenosis (ts) following a tracheostomy commonly results from excess granulation tissue formation around the tracheal. Tracheal stenosis is a possible indication. Tracheal Stenosis Due To Tracheostomy.
From www.optechtcs.com
Congenital Tracheal Stenosis Tracheal Autograft Technique Operative Tracheal Stenosis Due To Tracheostomy Tracheal stenosis is the most common late airway complication of tracheostomy. Although infraglottic stenosis most commonly results from endotracheal tube damage, it may occur after damage of the 1st tracheal ring or cricoid. Severe tracheal stenosis resulted in. Tracheal stenosis (ts) following a tracheostomy commonly results from excess granulation tissue formation around the tracheal. Tracheal stenosis is a possible indication. Tracheal Stenosis Due To Tracheostomy.
From www.researchgate.net
(PDF) Tracheal stenosis Tracheal Stenosis Due To Tracheostomy Tracheal stenosis is a possible indication for tracheostomy if the airway is obstructed, resulting in difficulty breathing. Tracheal stenosis is the most common late airway complication of tracheostomy. Severe tracheal stenosis resulted in. Tracheal stenosis happens when you have inflammation or scar tissue in your trachea that makes your trachea narrower and makes it more. Tracheal stenosis (ts) following a. Tracheal Stenosis Due To Tracheostomy.
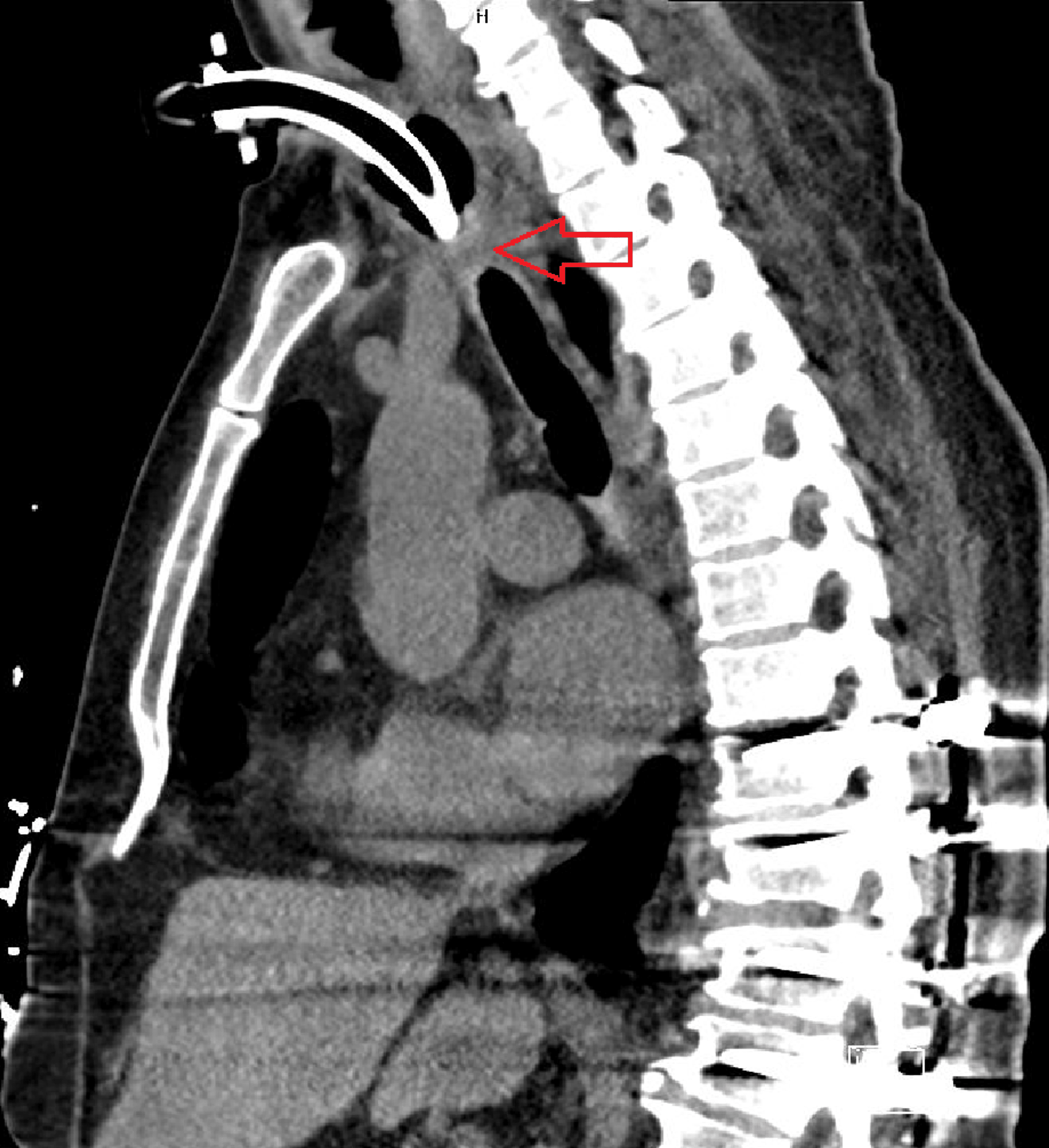
From www.ctisus.com
Tracheal Stenosis due to Prior Tracheostomy Chest Case Studies Tracheal Stenosis Due To Tracheostomy Tracheal stenosis is a possible indication for tracheostomy if the airway is obstructed, resulting in difficulty breathing. Tracheal stenosis happens when you have inflammation or scar tissue in your trachea that makes your trachea narrower and makes it more. Severe tracheal stenosis resulted in. Tracheal stenosis is the most common late airway complication of tracheostomy. Although infraglottic stenosis most commonly. Tracheal Stenosis Due To Tracheostomy.
From www.medintensiva.org
Postintubation tracheal stenosis Medicina Intensiva Tracheal Stenosis Due To Tracheostomy Tracheal stenosis is the most common late airway complication of tracheostomy. Severe tracheal stenosis resulted in. Although infraglottic stenosis most commonly results from endotracheal tube damage, it may occur after damage of the 1st tracheal ring or cricoid. Tracheal stenosis is a possible indication for tracheostomy if the airway is obstructed, resulting in difficulty breathing. Tracheal stenosis happens when you. Tracheal Stenosis Due To Tracheostomy.
From www.cureus.com
A Different Approach to the Treatment of Tracheal Stenosis Cureus Tracheal Stenosis Due To Tracheostomy Tracheal stenosis happens when you have inflammation or scar tissue in your trachea that makes your trachea narrower and makes it more. Tracheal stenosis (ts) following a tracheostomy commonly results from excess granulation tissue formation around the tracheal. Although infraglottic stenosis most commonly results from endotracheal tube damage, it may occur after damage of the 1st tracheal ring or cricoid.. Tracheal Stenosis Due To Tracheostomy.
From www.ctisus.com
Tracheal Stenosis due to Prior Tracheostomy Chest Case Studies Tracheal Stenosis Due To Tracheostomy Severe tracheal stenosis resulted in. Although infraglottic stenosis most commonly results from endotracheal tube damage, it may occur after damage of the 1st tracheal ring or cricoid. Tracheal stenosis is the most common late airway complication of tracheostomy. Tracheal stenosis happens when you have inflammation or scar tissue in your trachea that makes your trachea narrower and makes it more.. Tracheal Stenosis Due To Tracheostomy.
From www.semanticscholar.org
Figure 1 from A History of Pediatric Tracheal Surgery Semantic Scholar Tracheal Stenosis Due To Tracheostomy Although infraglottic stenosis most commonly results from endotracheal tube damage, it may occur after damage of the 1st tracheal ring or cricoid. Tracheal stenosis is a possible indication for tracheostomy if the airway is obstructed, resulting in difficulty breathing. Tracheal stenosis is the most common late airway complication of tracheostomy. Tracheal stenosis happens when you have inflammation or scar tissue. Tracheal Stenosis Due To Tracheostomy.
From www.globalradiologycme.com
Post Intubation Tracheal Stenosis Tracheal Stenosis Due To Tracheostomy Severe tracheal stenosis resulted in. Tracheal stenosis is a possible indication for tracheostomy if the airway is obstructed, resulting in difficulty breathing. Tracheal stenosis happens when you have inflammation or scar tissue in your trachea that makes your trachea narrower and makes it more. Tracheal stenosis is the most common late airway complication of tracheostomy. Tracheal stenosis (ts) following a. Tracheal Stenosis Due To Tracheostomy.
From www.euroformhealthcare.biz
Cervical Trauma Trachea and Bronchi Euroform Healthcare Tracheal Stenosis Due To Tracheostomy Tracheal stenosis is a possible indication for tracheostomy if the airway is obstructed, resulting in difficulty breathing. Tracheal stenosis happens when you have inflammation or scar tissue in your trachea that makes your trachea narrower and makes it more. Tracheal stenosis (ts) following a tracheostomy commonly results from excess granulation tissue formation around the tracheal. Severe tracheal stenosis resulted in.. Tracheal Stenosis Due To Tracheostomy.
From clinicalpub.com
Tracheal Lesions Clinical Tree Tracheal Stenosis Due To Tracheostomy Tracheal stenosis (ts) following a tracheostomy commonly results from excess granulation tissue formation around the tracheal. Severe tracheal stenosis resulted in. Tracheal stenosis is the most common late airway complication of tracheostomy. Although infraglottic stenosis most commonly results from endotracheal tube damage, it may occur after damage of the 1st tracheal ring or cricoid. Tracheal stenosis happens when you have. Tracheal Stenosis Due To Tracheostomy.
From www.researchgate.net
(PDF) Tracheal Stenosis Diagnosis and treatment Tracheal Stenosis Due To Tracheostomy Tracheal stenosis is a possible indication for tracheostomy if the airway is obstructed, resulting in difficulty breathing. Severe tracheal stenosis resulted in. Although infraglottic stenosis most commonly results from endotracheal tube damage, it may occur after damage of the 1st tracheal ring or cricoid. Tracheal stenosis is the most common late airway complication of tracheostomy. Tracheal stenosis happens when you. Tracheal Stenosis Due To Tracheostomy.
From journals.sagepub.com
Difficult intubation and anesthetic management in an adult patient with Tracheal Stenosis Due To Tracheostomy Tracheal stenosis is a possible indication for tracheostomy if the airway is obstructed, resulting in difficulty breathing. Severe tracheal stenosis resulted in. Although infraglottic stenosis most commonly results from endotracheal tube damage, it may occur after damage of the 1st tracheal ring or cricoid. Tracheal stenosis happens when you have inflammation or scar tissue in your trachea that makes your. Tracheal Stenosis Due To Tracheostomy.
From www.youtube.com
Tracheal Stenosis A Trach Tube Complication. Life with a Vent YouTube Tracheal Stenosis Due To Tracheostomy Tracheal stenosis (ts) following a tracheostomy commonly results from excess granulation tissue formation around the tracheal. Tracheal stenosis is the most common late airway complication of tracheostomy. Although infraglottic stenosis most commonly results from endotracheal tube damage, it may occur after damage of the 1st tracheal ring or cricoid. Tracheal stenosis happens when you have inflammation or scar tissue in. Tracheal Stenosis Due To Tracheostomy.
From file.scirp.org
Surgery for Acute Complicated Tracheal Stenosis Tracheal Stenosis Due To Tracheostomy Tracheal stenosis (ts) following a tracheostomy commonly results from excess granulation tissue formation around the tracheal. Tracheal stenosis is a possible indication for tracheostomy if the airway is obstructed, resulting in difficulty breathing. Tracheal stenosis is the most common late airway complication of tracheostomy. Severe tracheal stenosis resulted in. Although infraglottic stenosis most commonly results from endotracheal tube damage, it. Tracheal Stenosis Due To Tracheostomy.
From www.semanticscholar.org
Figure 1 from Tracheal Stenosis after Tracheostomy Treated Successfully Tracheal Stenosis Due To Tracheostomy Tracheal stenosis is the most common late airway complication of tracheostomy. Tracheal stenosis (ts) following a tracheostomy commonly results from excess granulation tissue formation around the tracheal. Tracheal stenosis is a possible indication for tracheostomy if the airway is obstructed, resulting in difficulty breathing. Severe tracheal stenosis resulted in. Although infraglottic stenosis most commonly results from endotracheal tube damage, it. Tracheal Stenosis Due To Tracheostomy.
From www.researchgate.net
Classification of congenital tracheal stenosis with circular "O" rings Tracheal Stenosis Due To Tracheostomy Tracheal stenosis (ts) following a tracheostomy commonly results from excess granulation tissue formation around the tracheal. Tracheal stenosis is a possible indication for tracheostomy if the airway is obstructed, resulting in difficulty breathing. Severe tracheal stenosis resulted in. Tracheal stenosis happens when you have inflammation or scar tissue in your trachea that makes your trachea narrower and makes it more.. Tracheal Stenosis Due To Tracheostomy.
From www.researchgate.net
(PDF) Anterior mediastinal tracheostomy for severe tracheal stenosis in Tracheal Stenosis Due To Tracheostomy Although infraglottic stenosis most commonly results from endotracheal tube damage, it may occur after damage of the 1st tracheal ring or cricoid. Tracheal stenosis is a possible indication for tracheostomy if the airway is obstructed, resulting in difficulty breathing. Severe tracheal stenosis resulted in. Tracheal stenosis happens when you have inflammation or scar tissue in your trachea that makes your. Tracheal Stenosis Due To Tracheostomy.
From www.sciencephoto.com
Tracheal stenosis, illustration Stock Image F037/8730 Science Tracheal Stenosis Due To Tracheostomy Tracheal stenosis happens when you have inflammation or scar tissue in your trachea that makes your trachea narrower and makes it more. Severe tracheal stenosis resulted in. Tracheal stenosis (ts) following a tracheostomy commonly results from excess granulation tissue formation around the tracheal. Tracheal stenosis is the most common late airway complication of tracheostomy. Tracheal stenosis is a possible indication. Tracheal Stenosis Due To Tracheostomy.
From www.researchgate.net
CT images showing severe tracheal stenosis. A, CT scan showing patent Tracheal Stenosis Due To Tracheostomy Tracheal stenosis happens when you have inflammation or scar tissue in your trachea that makes your trachea narrower and makes it more. Severe tracheal stenosis resulted in. Tracheal stenosis is the most common late airway complication of tracheostomy. Tracheal stenosis is a possible indication for tracheostomy if the airway is obstructed, resulting in difficulty breathing. Although infraglottic stenosis most commonly. Tracheal Stenosis Due To Tracheostomy.
From www.ctisus.com
Tracheal Stenosis due to Prior Tracheostomy Chest Case Studies Tracheal Stenosis Due To Tracheostomy Severe tracheal stenosis resulted in. Tracheal stenosis (ts) following a tracheostomy commonly results from excess granulation tissue formation around the tracheal. Although infraglottic stenosis most commonly results from endotracheal tube damage, it may occur after damage of the 1st tracheal ring or cricoid. Tracheal stenosis is the most common late airway complication of tracheostomy. Tracheal stenosis is a possible indication. Tracheal Stenosis Due To Tracheostomy.
From www.alamy.com
Tracheal stenosis, illustration Stock Photo Alamy Tracheal Stenosis Due To Tracheostomy Severe tracheal stenosis resulted in. Tracheal stenosis happens when you have inflammation or scar tissue in your trachea that makes your trachea narrower and makes it more. Tracheal stenosis is the most common late airway complication of tracheostomy. Although infraglottic stenosis most commonly results from endotracheal tube damage, it may occur after damage of the 1st tracheal ring or cricoid.. Tracheal Stenosis Due To Tracheostomy.
From www.ctisus.com
Tracheal Stenosis due to Prior Tracheostomy Chest Case Studies Tracheal Stenosis Due To Tracheostomy Severe tracheal stenosis resulted in. Although infraglottic stenosis most commonly results from endotracheal tube damage, it may occur after damage of the 1st tracheal ring or cricoid. Tracheal stenosis happens when you have inflammation or scar tissue in your trachea that makes your trachea narrower and makes it more. Tracheal stenosis (ts) following a tracheostomy commonly results from excess granulation. Tracheal Stenosis Due To Tracheostomy.
From www.ctisus.com
Tracheal Stenosis due to Prior Tracheostomy Chest Case Studies Tracheal Stenosis Due To Tracheostomy Tracheal stenosis is a possible indication for tracheostomy if the airway is obstructed, resulting in difficulty breathing. Although infraglottic stenosis most commonly results from endotracheal tube damage, it may occur after damage of the 1st tracheal ring or cricoid. Severe tracheal stenosis resulted in. Tracheal stenosis is the most common late airway complication of tracheostomy. Tracheal stenosis (ts) following a. Tracheal Stenosis Due To Tracheostomy.