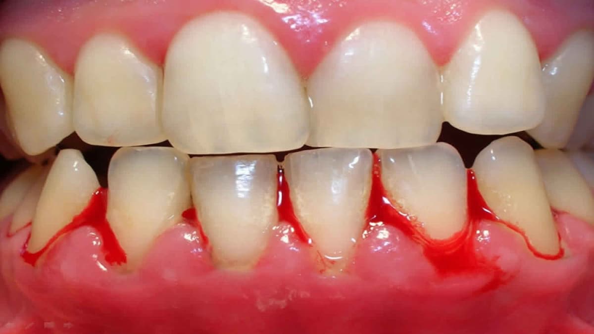
Vitamin B Deficiency Gums . in the first three studies, vitamin c showed to reduce gingival scores of inflammation. vitamin b12 deficiency can cause physical, neurological and psychological symptoms. Vitamin c and b9 levels. They could be a sign of low b12, anemia, or another condition. vitamin b12 deficiency can contribute to gum inflammation and increased susceptibility to gum diseases. you may get these ulcers on your gums or tongue. if you brush and floss properly each day but still experience bleeding gums, a vitamin deficiency could be partly to blame.
from www.dallasdentalwellness.com
in the first three studies, vitamin c showed to reduce gingival scores of inflammation. vitamin b12 deficiency can contribute to gum inflammation and increased susceptibility to gum diseases. They could be a sign of low b12, anemia, or another condition. Vitamin c and b9 levels. vitamin b12 deficiency can cause physical, neurological and psychological symptoms. you may get these ulcers on your gums or tongue. if you brush and floss properly each day but still experience bleeding gums, a vitamin deficiency could be partly to blame.
Vitamins for Healthy Gums and Teeth Dallas Dentist Blog
Vitamin B Deficiency Gums Vitamin c and b9 levels. in the first three studies, vitamin c showed to reduce gingival scores of inflammation. you may get these ulcers on your gums or tongue. vitamin b12 deficiency can contribute to gum inflammation and increased susceptibility to gum diseases. Vitamin c and b9 levels. if you brush and floss properly each day but still experience bleeding gums, a vitamin deficiency could be partly to blame. vitamin b12 deficiency can cause physical, neurological and psychological symptoms. They could be a sign of low b12, anemia, or another condition.
From exoyrmmga.blob.core.windows.net
Vitamin B Deficiency Period at Christopher Horstman blog Vitamin B Deficiency Gums vitamin b12 deficiency can cause physical, neurological and psychological symptoms. Vitamin c and b9 levels. They could be a sign of low b12, anemia, or another condition. in the first three studies, vitamin c showed to reduce gingival scores of inflammation. you may get these ulcers on your gums or tongue. if you brush and floss. Vitamin B Deficiency Gums.
From exofmcvno.blob.core.windows.net
Can Vitamin B12 Deficiency Cause Jaw Pain at Debra Yokota blog Vitamin B Deficiency Gums you may get these ulcers on your gums or tongue. if you brush and floss properly each day but still experience bleeding gums, a vitamin deficiency could be partly to blame. in the first three studies, vitamin c showed to reduce gingival scores of inflammation. vitamin b12 deficiency can contribute to gum inflammation and increased susceptibility. Vitamin B Deficiency Gums.
From naturalremedyproject.com
Bleeding Gums and Vitamin Deficiency Are they Related? Natural Vitamin B Deficiency Gums Vitamin c and b9 levels. vitamin b12 deficiency can contribute to gum inflammation and increased susceptibility to gum diseases. you may get these ulcers on your gums or tongue. They could be a sign of low b12, anemia, or another condition. in the first three studies, vitamin c showed to reduce gingival scores of inflammation. if. Vitamin B Deficiency Gums.
From www.youtube.com
Doctor explains clinical signs of Vitamin B12 (cobalamin) deficiency Vitamin B Deficiency Gums in the first three studies, vitamin c showed to reduce gingival scores of inflammation. vitamin b12 deficiency can cause physical, neurological and psychological symptoms. Vitamin c and b9 levels. you may get these ulcers on your gums or tongue. vitamin b12 deficiency can contribute to gum inflammation and increased susceptibility to gum diseases. if you. Vitamin B Deficiency Gums.
From gaming1072.blogspot.com
Not Brushing, But Vitamin C Deficiency Can Be Reason For Bleeding Gums Vitamin B Deficiency Gums you may get these ulcers on your gums or tongue. if you brush and floss properly each day but still experience bleeding gums, a vitamin deficiency could be partly to blame. vitamin b12 deficiency can contribute to gum inflammation and increased susceptibility to gum diseases. in the first three studies, vitamin c showed to reduce gingival. Vitamin B Deficiency Gums.
From www.techexplorist.com
Bleeding gums? It may be a sign of Vitamin C deficiency Vitamin B Deficiency Gums you may get these ulcers on your gums or tongue. in the first three studies, vitamin c showed to reduce gingival scores of inflammation. Vitamin c and b9 levels. vitamin b12 deficiency can cause physical, neurological and psychological symptoms. They could be a sign of low b12, anemia, or another condition. if you brush and floss. Vitamin B Deficiency Gums.
From www.dentistahmed.com
Vitamin Deficiencies Affecting Oral Health Dentist Ahmed Vitamin B Deficiency Gums if you brush and floss properly each day but still experience bleeding gums, a vitamin deficiency could be partly to blame. in the first three studies, vitamin c showed to reduce gingival scores of inflammation. vitamin b12 deficiency can cause physical, neurological and psychological symptoms. vitamin b12 deficiency can contribute to gum inflammation and increased susceptibility. Vitamin B Deficiency Gums.
From auroradentalgroup.com
6 Vitamin and Mineral Deficiencies That Affect Tooth and Gum Health Vitamin B Deficiency Gums you may get these ulcers on your gums or tongue. if you brush and floss properly each day but still experience bleeding gums, a vitamin deficiency could be partly to blame. in the first three studies, vitamin c showed to reduce gingival scores of inflammation. Vitamin c and b9 levels. vitamin b12 deficiency can cause physical,. Vitamin B Deficiency Gums.
From www.alamy.com
This patient presented with scorbutic gums due to a vitamin C Vitamin B Deficiency Gums in the first three studies, vitamin c showed to reduce gingival scores of inflammation. if you brush and floss properly each day but still experience bleeding gums, a vitamin deficiency could be partly to blame. you may get these ulcers on your gums or tongue. vitamin b12 deficiency can contribute to gum inflammation and increased susceptibility. Vitamin B Deficiency Gums.
From easyhealthoptions.com
Bleeding gums may indicate a vitamin C deficiency Easy Health Options® Vitamin B Deficiency Gums vitamin b12 deficiency can cause physical, neurological and psychological symptoms. in the first three studies, vitamin c showed to reduce gingival scores of inflammation. if you brush and floss properly each day but still experience bleeding gums, a vitamin deficiency could be partly to blame. you may get these ulcers on your gums or tongue. . Vitamin B Deficiency Gums.
From exofwmueq.blob.core.windows.net
Vitamin Deficiency Bruising at John Truss blog Vitamin B Deficiency Gums Vitamin c and b9 levels. vitamin b12 deficiency can contribute to gum inflammation and increased susceptibility to gum diseases. you may get these ulcers on your gums or tongue. if you brush and floss properly each day but still experience bleeding gums, a vitamin deficiency could be partly to blame. in the first three studies, vitamin. Vitamin B Deficiency Gums.
From expressdentist.com
Bleeding Gums Causes and Home Remedies Express Dentist Vitamin B Deficiency Gums vitamin b12 deficiency can contribute to gum inflammation and increased susceptibility to gum diseases. if you brush and floss properly each day but still experience bleeding gums, a vitamin deficiency could be partly to blame. Vitamin c and b9 levels. They could be a sign of low b12, anemia, or another condition. vitamin b12 deficiency can cause. Vitamin B Deficiency Gums.
From www.alamy.com
Scurvy gums Stock Vector Images Alamy Vitamin B Deficiency Gums They could be a sign of low b12, anemia, or another condition. if you brush and floss properly each day but still experience bleeding gums, a vitamin deficiency could be partly to blame. vitamin b12 deficiency can cause physical, neurological and psychological symptoms. in the first three studies, vitamin c showed to reduce gingival scores of inflammation.. Vitamin B Deficiency Gums.
From www.youtube.com
The Tongue Can Determine a Vitamin C Deficiency YouTube Vitamin B Deficiency Gums in the first three studies, vitamin c showed to reduce gingival scores of inflammation. vitamin b12 deficiency can cause physical, neurological and psychological symptoms. Vitamin c and b9 levels. you may get these ulcers on your gums or tongue. They could be a sign of low b12, anemia, or another condition. vitamin b12 deficiency can contribute. Vitamin B Deficiency Gums.
From www.ilajak.com
أمراض اللثة أسبابها وطرق علاجها علاجك الطبية Vitamin B Deficiency Gums They could be a sign of low b12, anemia, or another condition. in the first three studies, vitamin c showed to reduce gingival scores of inflammation. Vitamin c and b9 levels. if you brush and floss properly each day but still experience bleeding gums, a vitamin deficiency could be partly to blame. vitamin b12 deficiency can cause. Vitamin B Deficiency Gums.
From hairanalysisnutrition.com
Vitamin B deficiency symptoms? Hair Analysis Vitamin B Deficiency Gums if you brush and floss properly each day but still experience bleeding gums, a vitamin deficiency could be partly to blame. They could be a sign of low b12, anemia, or another condition. vitamin b12 deficiency can contribute to gum inflammation and increased susceptibility to gum diseases. vitamin b12 deficiency can cause physical, neurological and psychological symptoms.. Vitamin B Deficiency Gums.
From gumdiseaseguide.org
Can a Vitamin Deficiency Cause Gum Recession? GDG Vitamin B Deficiency Gums vitamin b12 deficiency can contribute to gum inflammation and increased susceptibility to gum diseases. if you brush and floss properly each day but still experience bleeding gums, a vitamin deficiency could be partly to blame. They could be a sign of low b12, anemia, or another condition. Vitamin c and b9 levels. vitamin b12 deficiency can cause. Vitamin B Deficiency Gums.
From www.dallasdentalwellness.com
Vitamins for Healthy Gums and Teeth Dallas Dentist Blog Vitamin B Deficiency Gums if you brush and floss properly each day but still experience bleeding gums, a vitamin deficiency could be partly to blame. in the first three studies, vitamin c showed to reduce gingival scores of inflammation. vitamin b12 deficiency can contribute to gum inflammation and increased susceptibility to gum diseases. vitamin b12 deficiency can cause physical, neurological. Vitamin B Deficiency Gums.
From smartmouth.com
Does Vitamin Deficiency Cause Bleeding Gums? SmartMouth Vitamin B Deficiency Gums in the first three studies, vitamin c showed to reduce gingival scores of inflammation. They could be a sign of low b12, anemia, or another condition. you may get these ulcers on your gums or tongue. if you brush and floss properly each day but still experience bleeding gums, a vitamin deficiency could be partly to blame.. Vitamin B Deficiency Gums.
From www.slideserve.com
PPT What Causes Bleeding Gums PowerPoint Presentation ID7633966 Vitamin B Deficiency Gums if you brush and floss properly each day but still experience bleeding gums, a vitamin deficiency could be partly to blame. vitamin b12 deficiency can cause physical, neurological and psychological symptoms. Vitamin c and b9 levels. vitamin b12 deficiency can contribute to gum inflammation and increased susceptibility to gum diseases. They could be a sign of low. Vitamin B Deficiency Gums.
From www.pinterest.com
B Vitamin Deficiencies Symptoms, Causes, and Solutions Vitamins Vitamin B Deficiency Gums vitamin b12 deficiency can cause physical, neurological and psychological symptoms. in the first three studies, vitamin c showed to reduce gingival scores of inflammation. vitamin b12 deficiency can contribute to gum inflammation and increased susceptibility to gum diseases. you may get these ulcers on your gums or tongue. They could be a sign of low b12,. Vitamin B Deficiency Gums.
From smartmouth.com
Does Vitamin Deficiency Cause Bleeding Gums? SmartMouth Vitamin B Deficiency Gums you may get these ulcers on your gums or tongue. Vitamin c and b9 levels. vitamin b12 deficiency can cause physical, neurological and psychological symptoms. vitamin b12 deficiency can contribute to gum inflammation and increased susceptibility to gum diseases. if you brush and floss properly each day but still experience bleeding gums, a vitamin deficiency could. Vitamin B Deficiency Gums.
From www.pharmacytimes.com
Gum Bleeding May Indicate Vitamin C Deficiency Vitamin B Deficiency Gums if you brush and floss properly each day but still experience bleeding gums, a vitamin deficiency could be partly to blame. They could be a sign of low b12, anemia, or another condition. vitamin b12 deficiency can contribute to gum inflammation and increased susceptibility to gum diseases. in the first three studies, vitamin c showed to reduce. Vitamin B Deficiency Gums.
From www.mdpi.com
IJMS Free FullText The Role of Vitamin C and Vitamin D in the Vitamin B Deficiency Gums vitamin b12 deficiency can cause physical, neurological and psychological symptoms. Vitamin c and b9 levels. vitamin b12 deficiency can contribute to gum inflammation and increased susceptibility to gum diseases. if you brush and floss properly each day but still experience bleeding gums, a vitamin deficiency could be partly to blame. They could be a sign of low. Vitamin B Deficiency Gums.
From www.steadyhealth.com
Could A Vitamin Deficiency Cause My Gums To Bleed? Ear, Nose, Throat Vitamin B Deficiency Gums if you brush and floss properly each day but still experience bleeding gums, a vitamin deficiency could be partly to blame. vitamin b12 deficiency can cause physical, neurological and psychological symptoms. in the first three studies, vitamin c showed to reduce gingival scores of inflammation. you may get these ulcers on your gums or tongue. They. Vitamin B Deficiency Gums.
From smartmouth.com
Does Vitamin Deficiency Cause Bleeding Gums? SmartMouth Vitamin B Deficiency Gums vitamin b12 deficiency can contribute to gum inflammation and increased susceptibility to gum diseases. in the first three studies, vitamin c showed to reduce gingival scores of inflammation. vitamin b12 deficiency can cause physical, neurological and psychological symptoms. Vitamin c and b9 levels. They could be a sign of low b12, anemia, or another condition. you. Vitamin B Deficiency Gums.
From www.youtube.com
Receding Gums & Vitamin C Explained By Dr.Berg YouTube Vitamin B Deficiency Gums vitamin b12 deficiency can contribute to gum inflammation and increased susceptibility to gum diseases. in the first three studies, vitamin c showed to reduce gingival scores of inflammation. They could be a sign of low b12, anemia, or another condition. you may get these ulcers on your gums or tongue. if you brush and floss properly. Vitamin B Deficiency Gums.
From www.geriatrichousecalldentistry.com
What to Do Gum Swelling Geriatric House Call Dentistry Vitamin B Deficiency Gums you may get these ulcers on your gums or tongue. Vitamin c and b9 levels. in the first three studies, vitamin c showed to reduce gingival scores of inflammation. vitamin b12 deficiency can cause physical, neurological and psychological symptoms. vitamin b12 deficiency can contribute to gum inflammation and increased susceptibility to gum diseases. They could be. Vitamin B Deficiency Gums.
From www.semanticscholar.org
Figure 3 from Necrotizing Ulcerative Gingivitis in the Setting of Vitamin B Deficiency Gums Vitamin c and b9 levels. vitamin b12 deficiency can contribute to gum inflammation and increased susceptibility to gum diseases. They could be a sign of low b12, anemia, or another condition. you may get these ulcers on your gums or tongue. vitamin b12 deficiency can cause physical, neurological and psychological symptoms. if you brush and floss. Vitamin B Deficiency Gums.
From www.pinterest.co.uk
Pin on Health Care Tips Vitamin B Deficiency Gums if you brush and floss properly each day but still experience bleeding gums, a vitamin deficiency could be partly to blame. They could be a sign of low b12, anemia, or another condition. Vitamin c and b9 levels. vitamin b12 deficiency can contribute to gum inflammation and increased susceptibility to gum diseases. you may get these ulcers. Vitamin B Deficiency Gums.
From www.worlddentalhub.com
Understanding Bleeding Gums Why Do My Gums Bleed Vitamin B Deficiency Gums vitamin b12 deficiency can contribute to gum inflammation and increased susceptibility to gum diseases. you may get these ulcers on your gums or tongue. They could be a sign of low b12, anemia, or another condition. if you brush and floss properly each day but still experience bleeding gums, a vitamin deficiency could be partly to blame.. Vitamin B Deficiency Gums.
From clevertopics.com
The 3 Stages of Gum Disease CleverTopic Vitamin B Deficiency Gums Vitamin c and b9 levels. if you brush and floss properly each day but still experience bleeding gums, a vitamin deficiency could be partly to blame. you may get these ulcers on your gums or tongue. in the first three studies, vitamin c showed to reduce gingival scores of inflammation. vitamin b12 deficiency can contribute to. Vitamin B Deficiency Gums.
From exoljdads.blob.core.windows.net
Vitamin B12 Deficiency Cancer Symptoms at Evangelina Higgins blog Vitamin B Deficiency Gums They could be a sign of low b12, anemia, or another condition. if you brush and floss properly each day but still experience bleeding gums, a vitamin deficiency could be partly to blame. you may get these ulcers on your gums or tongue. vitamin b12 deficiency can contribute to gum inflammation and increased susceptibility to gum diseases.. Vitamin B Deficiency Gums.
From www.singlecare.com
Vitamin B deficiency symptoms What are the early signs of vitamin B Vitamin B Deficiency Gums vitamin b12 deficiency can contribute to gum inflammation and increased susceptibility to gum diseases. you may get these ulcers on your gums or tongue. in the first three studies, vitamin c showed to reduce gingival scores of inflammation. vitamin b12 deficiency can cause physical, neurological and psychological symptoms. They could be a sign of low b12,. Vitamin B Deficiency Gums.
From www.pinterest.ca
Common signs that youre deficient in vitamins. 1. Brittle hair and Vitamin B Deficiency Gums in the first three studies, vitamin c showed to reduce gingival scores of inflammation. vitamin b12 deficiency can contribute to gum inflammation and increased susceptibility to gum diseases. if you brush and floss properly each day but still experience bleeding gums, a vitamin deficiency could be partly to blame. They could be a sign of low b12,. Vitamin B Deficiency Gums.