What Is A Guided Tissue Regeneration . Guided tissue regeneration (gtr) is a dental procedure aimed at restoring the health and functionality of gum tissue by regenerating. Guided tissue regeneration (gtr) is a topic that has a long history. Gtr is a method used to repair periodontal defects so that a tooth, or set of teeth, has. Guided tissue regeneration (gtr) is a dental procedure designed to encourage the growth of. Guided bone regeneration is used to. Before we get into the history of its development, we should. One type of regenerative procedure is called guided tissue regeneration (gtr). The term guided tissue regeneration (gtr) includes procedures attempting to regenerate lost periodontal. What is guided tissue regeneration? Guided tissue regeneration is a barrier technique used for the treatment of periodontal bone defects.
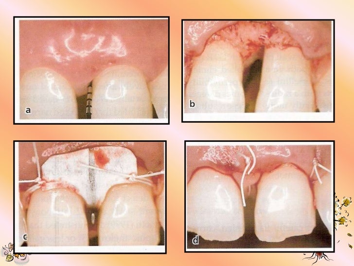
from www.facmed.uliege.be
Guided tissue regeneration (gtr) is a dental procedure designed to encourage the growth of. Guided tissue regeneration is a barrier technique used for the treatment of periodontal bone defects. Gtr is a method used to repair periodontal defects so that a tooth, or set of teeth, has. Guided tissue regeneration (gtr) is a dental procedure aimed at restoring the health and functionality of gum tissue by regenerating. Guided bone regeneration is used to. The term guided tissue regeneration (gtr) includes procedures attempting to regenerate lost periodontal. One type of regenerative procedure is called guided tissue regeneration (gtr). What is guided tissue regeneration? Before we get into the history of its development, we should. Guided tissue regeneration (gtr) is a topic that has a long history.
Optimising bone regeneration in dentistry
What Is A Guided Tissue Regeneration Gtr is a method used to repair periodontal defects so that a tooth, or set of teeth, has. Guided tissue regeneration is a barrier technique used for the treatment of periodontal bone defects. Guided bone regeneration is used to. Gtr is a method used to repair periodontal defects so that a tooth, or set of teeth, has. Guided tissue regeneration (gtr) is a dental procedure designed to encourage the growth of. Before we get into the history of its development, we should. Guided tissue regeneration (gtr) is a topic that has a long history. The term guided tissue regeneration (gtr) includes procedures attempting to regenerate lost periodontal. Guided tissue regeneration (gtr) is a dental procedure aimed at restoring the health and functionality of gum tissue by regenerating. One type of regenerative procedure is called guided tissue regeneration (gtr). What is guided tissue regeneration?
From www.ridgewooddental.com
Guided Tissue Regeneration Ridgewood, NJ Dental Associates What Is A Guided Tissue Regeneration One type of regenerative procedure is called guided tissue regeneration (gtr). Before we get into the history of its development, we should. Guided tissue regeneration (gtr) is a dental procedure designed to encourage the growth of. What is guided tissue regeneration? The term guided tissue regeneration (gtr) includes procedures attempting to regenerate lost periodontal. Gtr is a method used to. What Is A Guided Tissue Regeneration.
From www.slideshare.net
Guided Tissue Regeneration What Is A Guided Tissue Regeneration Guided bone regeneration is used to. Guided tissue regeneration (gtr) is a dental procedure designed to encourage the growth of. What is guided tissue regeneration? Guided tissue regeneration is a barrier technique used for the treatment of periodontal bone defects. Before we get into the history of its development, we should. Guided tissue regeneration (gtr) is a topic that has. What Is A Guided Tissue Regeneration.
From www.yumpu.com
Guided Tissue Regeneration Boston Scientific What Is A Guided Tissue Regeneration What is guided tissue regeneration? Guided tissue regeneration (gtr) is a topic that has a long history. Gtr is a method used to repair periodontal defects so that a tooth, or set of teeth, has. Guided tissue regeneration (gtr) is a dental procedure aimed at restoring the health and functionality of gum tissue by regenerating. Before we get into the. What Is A Guided Tissue Regeneration.
From www.shorelineperio.com
Guided Tissue Regeneration New London, CT Westerly, RI Shoreline What Is A Guided Tissue Regeneration Before we get into the history of its development, we should. Gtr is a method used to repair periodontal defects so that a tooth, or set of teeth, has. Guided bone regeneration is used to. Guided tissue regeneration (gtr) is a topic that has a long history. Guided tissue regeneration is a barrier technique used for the treatment of periodontal. What Is A Guided Tissue Regeneration.
From www.slideserve.com
PPT Guided Tissue Regeneration PowerPoint Presentation, free download What Is A Guided Tissue Regeneration One type of regenerative procedure is called guided tissue regeneration (gtr). Guided tissue regeneration (gtr) is a dental procedure aimed at restoring the health and functionality of gum tissue by regenerating. Guided tissue regeneration (gtr) is a topic that has a long history. Before we get into the history of its development, we should. Guided tissue regeneration is a barrier. What Is A Guided Tissue Regeneration.
From periobasics.com
Guided tissue regeneration What Is A Guided Tissue Regeneration Gtr is a method used to repair periodontal defects so that a tooth, or set of teeth, has. Before we get into the history of its development, we should. Guided tissue regeneration (gtr) is a dental procedure designed to encourage the growth of. Guided tissue regeneration (gtr) is a dental procedure aimed at restoring the health and functionality of gum. What Is A Guided Tissue Regeneration.
From pocketdentistry.com
Regeneration of Periodontal Tissues Guided Tissue Regeneration What Is A Guided Tissue Regeneration One type of regenerative procedure is called guided tissue regeneration (gtr). Guided tissue regeneration (gtr) is a dental procedure designed to encourage the growth of. Guided tissue regeneration (gtr) is a dental procedure aimed at restoring the health and functionality of gum tissue by regenerating. Guided tissue regeneration (gtr) is a topic that has a long history. Guided bone regeneration. What Is A Guided Tissue Regeneration.
From www.alabamaperiodontics.com
Guided Tissue Regenration in Birmingham, AL Periodontist in What Is A Guided Tissue Regeneration The term guided tissue regeneration (gtr) includes procedures attempting to regenerate lost periodontal. Guided tissue regeneration is a barrier technique used for the treatment of periodontal bone defects. Gtr is a method used to repair periodontal defects so that a tooth, or set of teeth, has. Guided bone regeneration is used to. Guided tissue regeneration (gtr) is a topic that. What Is A Guided Tissue Regeneration.
From www.slideserve.com
PPT Guided Tissue Regeneration PowerPoint Presentation ID1872423 What Is A Guided Tissue Regeneration Gtr is a method used to repair periodontal defects so that a tooth, or set of teeth, has. What is guided tissue regeneration? Guided bone regeneration is used to. Before we get into the history of its development, we should. Guided tissue regeneration (gtr) is a dental procedure designed to encourage the growth of. Guided tissue regeneration is a barrier. What Is A Guided Tissue Regeneration.
From www.youtube.com
Guided Tissue Regeneration Concept of GTR I Periodontal Regeneration What Is A Guided Tissue Regeneration Guided tissue regeneration is a barrier technique used for the treatment of periodontal bone defects. One type of regenerative procedure is called guided tissue regeneration (gtr). Before we get into the history of its development, we should. Guided tissue regeneration (gtr) is a dental procedure designed to encourage the growth of. Guided tissue regeneration (gtr) is a dental procedure aimed. What Is A Guided Tissue Regeneration.
From www.slideshare.net
Guided tissue regeneration What Is A Guided Tissue Regeneration Guided bone regeneration is used to. One type of regenerative procedure is called guided tissue regeneration (gtr). What is guided tissue regeneration? Guided tissue regeneration is a barrier technique used for the treatment of periodontal bone defects. Guided tissue regeneration (gtr) is a dental procedure aimed at restoring the health and functionality of gum tissue by regenerating. Guided tissue regeneration. What Is A Guided Tissue Regeneration.
From www.slideshare.net
Guided Tissue Regeneration What Is A Guided Tissue Regeneration Before we get into the history of its development, we should. Gtr is a method used to repair periodontal defects so that a tooth, or set of teeth, has. Guided tissue regeneration (gtr) is a dental procedure aimed at restoring the health and functionality of gum tissue by regenerating. The term guided tissue regeneration (gtr) includes procedures attempting to regenerate. What Is A Guided Tissue Regeneration.
From www.semanticscholar.org
Table 2 from Guided tissue regenerationbased root coverage with a What Is A Guided Tissue Regeneration Gtr is a method used to repair periodontal defects so that a tooth, or set of teeth, has. One type of regenerative procedure is called guided tissue regeneration (gtr). Before we get into the history of its development, we should. Guided tissue regeneration is a barrier technique used for the treatment of periodontal bone defects. Guided tissue regeneration (gtr) is. What Is A Guided Tissue Regeneration.
From www.zakariaperio.com
Guided Bone & Tissue Regeneration Livonia MI Bone Regeneration Surgery What Is A Guided Tissue Regeneration What is guided tissue regeneration? Guided tissue regeneration is a barrier technique used for the treatment of periodontal bone defects. Guided tissue regeneration (gtr) is a topic that has a long history. Guided tissue regeneration (gtr) is a dental procedure designed to encourage the growth of. Guided tissue regeneration (gtr) is a dental procedure aimed at restoring the health and. What Is A Guided Tissue Regeneration.
From www.mdpi.com
Polymers Free FullText Guided Tissue and Bone Regeneration What Is A Guided Tissue Regeneration One type of regenerative procedure is called guided tissue regeneration (gtr). Gtr is a method used to repair periodontal defects so that a tooth, or set of teeth, has. The term guided tissue regeneration (gtr) includes procedures attempting to regenerate lost periodontal. What is guided tissue regeneration? Guided tissue regeneration (gtr) is a dental procedure designed to encourage the growth. What Is A Guided Tissue Regeneration.
From www.slideshare.net
"GUIDED TISSUE REGENERATION" What Is A Guided Tissue Regeneration Gtr is a method used to repair periodontal defects so that a tooth, or set of teeth, has. One type of regenerative procedure is called guided tissue regeneration (gtr). Before we get into the history of its development, we should. What is guided tissue regeneration? Guided bone regeneration is used to. Guided tissue regeneration (gtr) is a dental procedure aimed. What Is A Guided Tissue Regeneration.
From implant-periodontist-nyc.com
Prevent Tooth Loss With Guided Tissue Regeneration NYC What Is A Guided Tissue Regeneration Guided tissue regeneration is a barrier technique used for the treatment of periodontal bone defects. What is guided tissue regeneration? Before we get into the history of its development, we should. Guided tissue regeneration (gtr) is a dental procedure aimed at restoring the health and functionality of gum tissue by regenerating. The term guided tissue regeneration (gtr) includes procedures attempting. What Is A Guided Tissue Regeneration.
From www.slideshare.net
Guided Tissue Regeneration What Is A Guided Tissue Regeneration Guided tissue regeneration (gtr) is a dental procedure aimed at restoring the health and functionality of gum tissue by regenerating. Gtr is a method used to repair periodontal defects so that a tooth, or set of teeth, has. Guided tissue regeneration (gtr) is a dental procedure designed to encourage the growth of. Before we get into the history of its. What Is A Guided Tissue Regeneration.
From mycdmr.com
Guided Tissue Regeneration Near Me Lincoln, MA 01773 What Is A Guided Tissue Regeneration The term guided tissue regeneration (gtr) includes procedures attempting to regenerate lost periodontal. One type of regenerative procedure is called guided tissue regeneration (gtr). Guided bone regeneration is used to. Guided tissue regeneration (gtr) is a topic that has a long history. What is guided tissue regeneration? Guided tissue regeneration (gtr) is a dental procedure designed to encourage the growth. What Is A Guided Tissue Regeneration.
From slidetodoc.com
Guided Tissue regeneration and Guided Bone Regeneration Guided What Is A Guided Tissue Regeneration Guided tissue regeneration (gtr) is a dental procedure aimed at restoring the health and functionality of gum tissue by regenerating. Before we get into the history of its development, we should. Gtr is a method used to repair periodontal defects so that a tooth, or set of teeth, has. What is guided tissue regeneration? One type of regenerative procedure is. What Is A Guided Tissue Regeneration.
From www.withersperio.com
Guided Tissue Regeneration Fairfax, VA Dr. Withers What Is A Guided Tissue Regeneration Guided tissue regeneration (gtr) is a dental procedure aimed at restoring the health and functionality of gum tissue by regenerating. One type of regenerative procedure is called guided tissue regeneration (gtr). Guided tissue regeneration (gtr) is a topic that has a long history. What is guided tissue regeneration? Before we get into the history of its development, we should. The. What Is A Guided Tissue Regeneration.
From www.youtube.com
GUIDED TISSUE REGENERATION (GTR) for root coverage ADDITIVE TREATMENTS What Is A Guided Tissue Regeneration Gtr is a method used to repair periodontal defects so that a tooth, or set of teeth, has. Guided bone regeneration is used to. Guided tissue regeneration (gtr) is a topic that has a long history. One type of regenerative procedure is called guided tissue regeneration (gtr). Guided tissue regeneration is a barrier technique used for the treatment of periodontal. What Is A Guided Tissue Regeneration.
From www.slideshare.net
Guided tissue regeneration What Is A Guided Tissue Regeneration Guided tissue regeneration (gtr) is a dental procedure designed to encourage the growth of. One type of regenerative procedure is called guided tissue regeneration (gtr). Before we get into the history of its development, we should. What is guided tissue regeneration? Guided tissue regeneration is a barrier technique used for the treatment of periodontal bone defects. Guided tissue regeneration (gtr). What Is A Guided Tissue Regeneration.
From www.greensboroperio.com
Guided Tissue Regeneration Greensboro Perio What Is A Guided Tissue Regeneration Guided tissue regeneration (gtr) is a dental procedure aimed at restoring the health and functionality of gum tissue by regenerating. Guided tissue regeneration is a barrier technique used for the treatment of periodontal bone defects. One type of regenerative procedure is called guided tissue regeneration (gtr). Gtr is a method used to repair periodontal defects so that a tooth, or. What Is A Guided Tissue Regeneration.
From periogreenville.com
Guided Tissue Regeneration Periodontics of Greenville What Is A Guided Tissue Regeneration The term guided tissue regeneration (gtr) includes procedures attempting to regenerate lost periodontal. Before we get into the history of its development, we should. Guided bone regeneration is used to. Guided tissue regeneration (gtr) is a dental procedure designed to encourage the growth of. Gtr is a method used to repair periodontal defects so that a tooth, or set of. What Is A Guided Tissue Regeneration.
From periobasics.com
Guided tissue regeneration What Is A Guided Tissue Regeneration The term guided tissue regeneration (gtr) includes procedures attempting to regenerate lost periodontal. Guided tissue regeneration (gtr) is a topic that has a long history. Guided tissue regeneration (gtr) is a dental procedure designed to encourage the growth of. What is guided tissue regeneration? One type of regenerative procedure is called guided tissue regeneration (gtr). Guided bone regeneration is used. What Is A Guided Tissue Regeneration.
From www.semanticscholar.org
Figure 2 from Guided bone regeneration materials and biological What Is A Guided Tissue Regeneration One type of regenerative procedure is called guided tissue regeneration (gtr). Guided bone regeneration is used to. Gtr is a method used to repair periodontal defects so that a tooth, or set of teeth, has. Guided tissue regeneration (gtr) is a dental procedure designed to encourage the growth of. The term guided tissue regeneration (gtr) includes procedures attempting to regenerate. What Is A Guided Tissue Regeneration.
From oradentalcare.gr
Dental Clinic in Greece/Athens Periodontology/Tissue regeneration What Is A Guided Tissue Regeneration Guided tissue regeneration (gtr) is a dental procedure aimed at restoring the health and functionality of gum tissue by regenerating. What is guided tissue regeneration? Guided tissue regeneration is a barrier technique used for the treatment of periodontal bone defects. Guided bone regeneration is used to. Guided tissue regeneration (gtr) is a topic that has a long history. Gtr is. What Is A Guided Tissue Regeneration.
From www.slideserve.com
PPT Guided Tissue Regeneration PowerPoint Presentation ID1872423 What Is A Guided Tissue Regeneration Guided tissue regeneration (gtr) is a dental procedure aimed at restoring the health and functionality of gum tissue by regenerating. What is guided tissue regeneration? Gtr is a method used to repair periodontal defects so that a tooth, or set of teeth, has. Guided bone regeneration is used to. The term guided tissue regeneration (gtr) includes procedures attempting to regenerate. What Is A Guided Tissue Regeneration.
From www.mdpi.com
Polymers Free FullText Advances in Modification Methods Based on What Is A Guided Tissue Regeneration Gtr is a method used to repair periodontal defects so that a tooth, or set of teeth, has. The term guided tissue regeneration (gtr) includes procedures attempting to regenerate lost periodontal. Guided tissue regeneration (gtr) is a dental procedure designed to encourage the growth of. Guided tissue regeneration (gtr) is a topic that has a long history. One type of. What Is A Guided Tissue Regeneration.
From nicosiaperiodontics.com
Guided Tissue Regeneration Nicosia Periodontics What Is A Guided Tissue Regeneration Guided tissue regeneration is a barrier technique used for the treatment of periodontal bone defects. What is guided tissue regeneration? Before we get into the history of its development, we should. Guided tissue regeneration (gtr) is a dental procedure designed to encourage the growth of. The term guided tissue regeneration (gtr) includes procedures attempting to regenerate lost periodontal. Guided tissue. What Is A Guided Tissue Regeneration.
From www.youtube.com
Guided Tissue regeneration YouTube What Is A Guided Tissue Regeneration Guided tissue regeneration (gtr) is a topic that has a long history. Guided bone regeneration is used to. Guided tissue regeneration (gtr) is a dental procedure aimed at restoring the health and functionality of gum tissue by regenerating. Guided tissue regeneration is a barrier technique used for the treatment of periodontal bone defects. Before we get into the history of. What Is A Guided Tissue Regeneration.
From www.slideshare.net
Guided tissue regeneration What Is A Guided Tissue Regeneration Guided tissue regeneration (gtr) is a dental procedure aimed at restoring the health and functionality of gum tissue by regenerating. Guided bone regeneration is used to. Guided tissue regeneration is a barrier technique used for the treatment of periodontal bone defects. Guided tissue regeneration (gtr) is a dental procedure designed to encourage the growth of. Before we get into the. What Is A Guided Tissue Regeneration.
From www.facmed.uliege.be
Optimising bone regeneration in dentistry What Is A Guided Tissue Regeneration One type of regenerative procedure is called guided tissue regeneration (gtr). The term guided tissue regeneration (gtr) includes procedures attempting to regenerate lost periodontal. Guided tissue regeneration (gtr) is a dental procedure designed to encourage the growth of. Guided tissue regeneration is a barrier technique used for the treatment of periodontal bone defects. What is guided tissue regeneration? Before we. What Is A Guided Tissue Regeneration.
From slidetodoc.com
Guided Tissue regeneration and Guided Bone Regeneration Guided What Is A Guided Tissue Regeneration The term guided tissue regeneration (gtr) includes procedures attempting to regenerate lost periodontal. What is guided tissue regeneration? Guided tissue regeneration is a barrier technique used for the treatment of periodontal bone defects. Guided tissue regeneration (gtr) is a dental procedure aimed at restoring the health and functionality of gum tissue by regenerating. One type of regenerative procedure is called. What Is A Guided Tissue Regeneration.