How Rare Is Adrenal Cortical Carcinoma . Acc starts in the outer layer of the. Acc usually occurs in the fifth or sixth. Adrenal cortical cancer (acc) is very rare. Adrenal tumors are found in about 1 in every 10 people who have an imaging test (like a ct or mri) of the adrenal gland. Adrenocortical carcinoma (acc) is a rare endocrine malignancy that arises from the cortex of the adrenal gland and has an estimated worldwide incidence of ~1. It is also known as adrenocortical carcinoma. Adrenocortical carcinoma (acc) is a rare, aggressive malignancy with an annual incidence of ~1 case per million population. Adrenocortical carcinoma is a rare cancer in your adrenal cortex, the outer layer of your adrenal glands.
from radiologyinthai.blogspot.com
Acc starts in the outer layer of the. Adrenocortical carcinoma (acc) is a rare, aggressive malignancy with an annual incidence of ~1 case per million population. It is also known as adrenocortical carcinoma. Adrenocortical carcinoma is a rare cancer in your adrenal cortex, the outer layer of your adrenal glands. Adrenal tumors are found in about 1 in every 10 people who have an imaging test (like a ct or mri) of the adrenal gland. Adrenocortical carcinoma (acc) is a rare endocrine malignancy that arises from the cortex of the adrenal gland and has an estimated worldwide incidence of ~1. Adrenal cortical cancer (acc) is very rare. Acc usually occurs in the fifth or sixth.
RiT radiology Adrenal Cortical Carcinoma
How Rare Is Adrenal Cortical Carcinoma Acc usually occurs in the fifth or sixth. Adrenocortical carcinoma (acc) is a rare, aggressive malignancy with an annual incidence of ~1 case per million population. Acc starts in the outer layer of the. Adrenocortical carcinoma is a rare cancer in your adrenal cortex, the outer layer of your adrenal glands. It is also known as adrenocortical carcinoma. Adrenal tumors are found in about 1 in every 10 people who have an imaging test (like a ct or mri) of the adrenal gland. Adrenocortical carcinoma (acc) is a rare endocrine malignancy that arises from the cortex of the adrenal gland and has an estimated worldwide incidence of ~1. Acc usually occurs in the fifth or sixth. Adrenal cortical cancer (acc) is very rare.
From www.goldbamboo.com
Adrenocortical Carcinoma as related to Metastases Pictures How Rare Is Adrenal Cortical Carcinoma Adrenal cortical cancer (acc) is very rare. Adrenocortical carcinoma (acc) is a rare endocrine malignancy that arises from the cortex of the adrenal gland and has an estimated worldwide incidence of ~1. Acc usually occurs in the fifth or sixth. It is also known as adrenocortical carcinoma. Acc starts in the outer layer of the. Adrenocortical carcinoma (acc) is a. How Rare Is Adrenal Cortical Carcinoma.
From radiologyinthai.blogspot.com
RiT radiology Adrenal Cortical Carcinoma How Rare Is Adrenal Cortical Carcinoma Adrenocortical carcinoma is a rare cancer in your adrenal cortex, the outer layer of your adrenal glands. Acc starts in the outer layer of the. Acc usually occurs in the fifth or sixth. It is also known as adrenocortical carcinoma. Adrenocortical carcinoma (acc) is a rare, aggressive malignancy with an annual incidence of ~1 case per million population. Adrenal tumors. How Rare Is Adrenal Cortical Carcinoma.
From www.lookfordiagnosis.com
Adrenal Gland Neoplasms; Adrenal Cancer How Rare Is Adrenal Cortical Carcinoma Acc starts in the outer layer of the. Adrenal cortical cancer (acc) is very rare. It is also known as adrenocortical carcinoma. Adrenocortical carcinoma (acc) is a rare endocrine malignancy that arises from the cortex of the adrenal gland and has an estimated worldwide incidence of ~1. Acc usually occurs in the fifth or sixth. Adrenocortical carcinoma is a rare. How Rare Is Adrenal Cortical Carcinoma.
From www.alamy.com
Adrenocortical carcinoma and healthy organ, illustration Stock Photo How Rare Is Adrenal Cortical Carcinoma Acc usually occurs in the fifth or sixth. Adrenocortical carcinoma (acc) is a rare, aggressive malignancy with an annual incidence of ~1 case per million population. It is also known as adrenocortical carcinoma. Adrenal tumors are found in about 1 in every 10 people who have an imaging test (like a ct or mri) of the adrenal gland. Adrenocortical carcinoma. How Rare Is Adrenal Cortical Carcinoma.
From www.dreamstime.com
Adrenal cortex carcinoma stock photo. Image of illness 303145946 How Rare Is Adrenal Cortical Carcinoma Acc starts in the outer layer of the. Acc usually occurs in the fifth or sixth. It is also known as adrenocortical carcinoma. Adrenocortical carcinoma (acc) is a rare, aggressive malignancy with an annual incidence of ~1 case per million population. Adrenal cortical cancer (acc) is very rare. Adrenocortical carcinoma is a rare cancer in your adrenal cortex, the outer. How Rare Is Adrenal Cortical Carcinoma.
From radiopaedia.org
Adrenal cortical carcinoma Image How Rare Is Adrenal Cortical Carcinoma Adrenocortical carcinoma (acc) is a rare, aggressive malignancy with an annual incidence of ~1 case per million population. Adrenocortical carcinoma (acc) is a rare endocrine malignancy that arises from the cortex of the adrenal gland and has an estimated worldwide incidence of ~1. It is also known as adrenocortical carcinoma. Adrenal cortical cancer (acc) is very rare. Adrenal tumors are. How Rare Is Adrenal Cortical Carcinoma.
From www.researchgate.net
(PDF) Aldosterone and cortisol cosecreting bifunctional adrenal How Rare Is Adrenal Cortical Carcinoma Adrenocortical carcinoma (acc) is a rare, aggressive malignancy with an annual incidence of ~1 case per million population. Adrenocortical carcinoma (acc) is a rare endocrine malignancy that arises from the cortex of the adrenal gland and has an estimated worldwide incidence of ~1. Acc starts in the outer layer of the. Acc usually occurs in the fifth or sixth. Adrenal. How Rare Is Adrenal Cortical Carcinoma.
From radiopaedia.org
Adrenal cortical carcinoma Image How Rare Is Adrenal Cortical Carcinoma Acc usually occurs in the fifth or sixth. It is also known as adrenocortical carcinoma. Acc starts in the outer layer of the. Adrenal tumors are found in about 1 in every 10 people who have an imaging test (like a ct or mri) of the adrenal gland. Adrenocortical carcinoma is a rare cancer in your adrenal cortex, the outer. How Rare Is Adrenal Cortical Carcinoma.
From www.cureus.com
Cureus A Rare Presentation of Adrenocortical Carcinoma How Rare Is Adrenal Cortical Carcinoma Adrenocortical carcinoma (acc) is a rare endocrine malignancy that arises from the cortex of the adrenal gland and has an estimated worldwide incidence of ~1. Acc starts in the outer layer of the. Adrenal tumors are found in about 1 in every 10 people who have an imaging test (like a ct or mri) of the adrenal gland. Adrenocortical carcinoma. How Rare Is Adrenal Cortical Carcinoma.
From www.researchgate.net
(PDF) Adrenal Cortical Carcinoma Report of a Rare Case How Rare Is Adrenal Cortical Carcinoma Adrenal cortical cancer (acc) is very rare. Acc usually occurs in the fifth or sixth. Adrenocortical carcinoma (acc) is a rare endocrine malignancy that arises from the cortex of the adrenal gland and has an estimated worldwide incidence of ~1. It is also known as adrenocortical carcinoma. Acc starts in the outer layer of the. Adrenocortical carcinoma (acc) is a. How Rare Is Adrenal Cortical Carcinoma.
From www.histopathology.guru
Adrenal cortical carcinoma Histopathology.guru How Rare Is Adrenal Cortical Carcinoma Acc starts in the outer layer of the. Adrenal tumors are found in about 1 in every 10 people who have an imaging test (like a ct or mri) of the adrenal gland. Adrenocortical carcinoma (acc) is a rare endocrine malignancy that arises from the cortex of the adrenal gland and has an estimated worldwide incidence of ~1. Acc usually. How Rare Is Adrenal Cortical Carcinoma.
From www.dreamstime.com
Adrenal cortex carcinoma stock photo. Image of human 303145956 How Rare Is Adrenal Cortical Carcinoma Adrenocortical carcinoma is a rare cancer in your adrenal cortex, the outer layer of your adrenal glands. Adrenocortical carcinoma (acc) is a rare endocrine malignancy that arises from the cortex of the adrenal gland and has an estimated worldwide incidence of ~1. Acc usually occurs in the fifth or sixth. Adrenal tumors are found in about 1 in every 10. How Rare Is Adrenal Cortical Carcinoma.
From www.histopathology.guru
Adrenal cortical carcinoma Histopathology.guru How Rare Is Adrenal Cortical Carcinoma It is also known as adrenocortical carcinoma. Adrenal cortical cancer (acc) is very rare. Adrenocortical carcinoma (acc) is a rare endocrine malignancy that arises from the cortex of the adrenal gland and has an estimated worldwide incidence of ~1. Adrenocortical carcinoma (acc) is a rare, aggressive malignancy with an annual incidence of ~1 case per million population. Adrenocortical carcinoma is. How Rare Is Adrenal Cortical Carcinoma.
From www.researchgate.net
(PDF) Huge adrenal schwannoma a rare type of adrenal tumor How Rare Is Adrenal Cortical Carcinoma It is also known as adrenocortical carcinoma. Acc usually occurs in the fifth or sixth. Acc starts in the outer layer of the. Adrenal cortical cancer (acc) is very rare. Adrenocortical carcinoma is a rare cancer in your adrenal cortex, the outer layer of your adrenal glands. Adrenal tumors are found in about 1 in every 10 people who have. How Rare Is Adrenal Cortical Carcinoma.
From www.pathologyoutlines.com
Pathology Outlines Adrenal cortical carcinoma How Rare Is Adrenal Cortical Carcinoma Adrenal tumors are found in about 1 in every 10 people who have an imaging test (like a ct or mri) of the adrenal gland. Acc usually occurs in the fifth or sixth. Adrenocortical carcinoma (acc) is a rare endocrine malignancy that arises from the cortex of the adrenal gland and has an estimated worldwide incidence of ~1. Adrenocortical carcinoma. How Rare Is Adrenal Cortical Carcinoma.
From www.researchgate.net
CT scan of adrenocortical carcinoma showing necrotic right adrenal mass How Rare Is Adrenal Cortical Carcinoma It is also known as adrenocortical carcinoma. Acc usually occurs in the fifth or sixth. Adrenal tumors are found in about 1 in every 10 people who have an imaging test (like a ct or mri) of the adrenal gland. Acc starts in the outer layer of the. Adrenocortical carcinoma (acc) is a rare, aggressive malignancy with an annual incidence. How Rare Is Adrenal Cortical Carcinoma.
From www.researchgate.net
(PDF) Rare case of left adrenal cortical carcinoma with level 3 How Rare Is Adrenal Cortical Carcinoma Adrenocortical carcinoma is a rare cancer in your adrenal cortex, the outer layer of your adrenal glands. Acc usually occurs in the fifth or sixth. Acc starts in the outer layer of the. Adrenal tumors are found in about 1 in every 10 people who have an imaging test (like a ct or mri) of the adrenal gland. Adrenocortical carcinoma. How Rare Is Adrenal Cortical Carcinoma.
From shmabstracts.org
MALE A RARE CASE OF FEMINIZING ADRENAL CORTICAL CARCINOMA How Rare Is Adrenal Cortical Carcinoma Acc usually occurs in the fifth or sixth. Adrenal cortical cancer (acc) is very rare. Adrenocortical carcinoma is a rare cancer in your adrenal cortex, the outer layer of your adrenal glands. It is also known as adrenocortical carcinoma. Acc starts in the outer layer of the. Adrenocortical carcinoma (acc) is a rare endocrine malignancy that arises from the cortex. How Rare Is Adrenal Cortical Carcinoma.
From www.mdpi.com
Medicina Free FullText A Case of Oncocytic Adrenal Cortical How Rare Is Adrenal Cortical Carcinoma Adrenocortical carcinoma (acc) is a rare endocrine malignancy that arises from the cortex of the adrenal gland and has an estimated worldwide incidence of ~1. It is also known as adrenocortical carcinoma. Adrenal tumors are found in about 1 in every 10 people who have an imaging test (like a ct or mri) of the adrenal gland. Adrenal cortical cancer. How Rare Is Adrenal Cortical Carcinoma.
From www.dreamstime.com
Adrenal cortex carcinoma stock photo. Image of adenoma 303145974 How Rare Is Adrenal Cortical Carcinoma Adrenocortical carcinoma is a rare cancer in your adrenal cortex, the outer layer of your adrenal glands. Adrenocortical carcinoma (acc) is a rare endocrine malignancy that arises from the cortex of the adrenal gland and has an estimated worldwide incidence of ~1. Adrenocortical carcinoma (acc) is a rare, aggressive malignancy with an annual incidence of ~1 case per million population.. How Rare Is Adrenal Cortical Carcinoma.
From www.pathologyoutlines.com
Pathology Outlines Adrenal cortical carcinoma How Rare Is Adrenal Cortical Carcinoma Adrenocortical carcinoma (acc) is a rare, aggressive malignancy with an annual incidence of ~1 case per million population. Adrenocortical carcinoma (acc) is a rare endocrine malignancy that arises from the cortex of the adrenal gland and has an estimated worldwide incidence of ~1. Adrenal tumors are found in about 1 in every 10 people who have an imaging test (like. How Rare Is Adrenal Cortical Carcinoma.
From www.pinterest.com
Adrenocortical_Carcinoma Cancer cell, Cell forms, Rare disease How Rare Is Adrenal Cortical Carcinoma Acc usually occurs in the fifth or sixth. Adrenocortical carcinoma (acc) is a rare, aggressive malignancy with an annual incidence of ~1 case per million population. Acc starts in the outer layer of the. Adrenocortical carcinoma is a rare cancer in your adrenal cortex, the outer layer of your adrenal glands. Adrenal cortical cancer (acc) is very rare. Adrenocortical carcinoma. How Rare Is Adrenal Cortical Carcinoma.
From www.researchgate.net
(PDF) Dramatic Responses to Therapy in Rare Tumors CASE 2. Response in How Rare Is Adrenal Cortical Carcinoma Adrenocortical carcinoma (acc) is a rare endocrine malignancy that arises from the cortex of the adrenal gland and has an estimated worldwide incidence of ~1. Adrenocortical carcinoma (acc) is a rare, aggressive malignancy with an annual incidence of ~1 case per million population. It is also known as adrenocortical carcinoma. Adrenal cortical cancer (acc) is very rare. Adrenal tumors are. How Rare Is Adrenal Cortical Carcinoma.
From www.verywellhealth.com
Adrenocortical Carcinoma Signs, Symptoms, Complications How Rare Is Adrenal Cortical Carcinoma It is also known as adrenocortical carcinoma. Acc usually occurs in the fifth or sixth. Adrenocortical carcinoma (acc) is a rare, aggressive malignancy with an annual incidence of ~1 case per million population. Adrenocortical carcinoma (acc) is a rare endocrine malignancy that arises from the cortex of the adrenal gland and has an estimated worldwide incidence of ~1. Adrenal tumors. How Rare Is Adrenal Cortical Carcinoma.
From www.researchgate.net
FLCNdriven adrenal cortical carcinoma. The tumor showed diffuse growth How Rare Is Adrenal Cortical Carcinoma Acc starts in the outer layer of the. Adrenocortical carcinoma (acc) is a rare endocrine malignancy that arises from the cortex of the adrenal gland and has an estimated worldwide incidence of ~1. Acc usually occurs in the fifth or sixth. It is also known as adrenocortical carcinoma. Adrenocortical carcinoma is a rare cancer in your adrenal cortex, the outer. How Rare Is Adrenal Cortical Carcinoma.
From radiopaedia.org
Adrenal cortical carcinoma Image How Rare Is Adrenal Cortical Carcinoma It is also known as adrenocortical carcinoma. Adrenocortical carcinoma is a rare cancer in your adrenal cortex, the outer layer of your adrenal glands. Acc starts in the outer layer of the. Adrenocortical carcinoma (acc) is a rare endocrine malignancy that arises from the cortex of the adrenal gland and has an estimated worldwide incidence of ~1. Acc usually occurs. How Rare Is Adrenal Cortical Carcinoma.
From www.ijcasereportsandimages.com
FULL TEXT A rare case of left adrenal cortical carcinoma with How Rare Is Adrenal Cortical Carcinoma Acc starts in the outer layer of the. Adrenocortical carcinoma is a rare cancer in your adrenal cortex, the outer layer of your adrenal glands. Adrenocortical carcinoma (acc) is a rare, aggressive malignancy with an annual incidence of ~1 case per million population. Adrenal cortical cancer (acc) is very rare. Adrenal tumors are found in about 1 in every 10. How Rare Is Adrenal Cortical Carcinoma.
From surgicalimages.arizona.edu
Adrenal Carcinoma 1191 Adrenal Tumor Cortical Carcinoma Surgery Photos How Rare Is Adrenal Cortical Carcinoma Adrenocortical carcinoma (acc) is a rare, aggressive malignancy with an annual incidence of ~1 case per million population. Adrenal tumors are found in about 1 in every 10 people who have an imaging test (like a ct or mri) of the adrenal gland. Acc usually occurs in the fifth or sixth. Adrenocortical carcinoma is a rare cancer in your adrenal. How Rare Is Adrenal Cortical Carcinoma.
From www.semanticscholar.org
Figure 3 from Adrenal cortical carcinoma presenting with secondary How Rare Is Adrenal Cortical Carcinoma Acc starts in the outer layer of the. Adrenal tumors are found in about 1 in every 10 people who have an imaging test (like a ct or mri) of the adrenal gland. It is also known as adrenocortical carcinoma. Adrenocortical carcinoma is a rare cancer in your adrenal cortex, the outer layer of your adrenal glands. Adrenal cortical cancer. How Rare Is Adrenal Cortical Carcinoma.
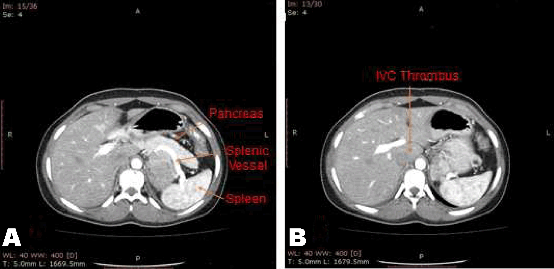
From www.cureus.com
Cureus Functional Adrenocortical Carcinoma A Rare Case With Thrombus How Rare Is Adrenal Cortical Carcinoma Acc starts in the outer layer of the. Adrenocortical carcinoma (acc) is a rare, aggressive malignancy with an annual incidence of ~1 case per million population. Acc usually occurs in the fifth or sixth. Adrenal cortical cancer (acc) is very rare. Adrenal tumors are found in about 1 in every 10 people who have an imaging test (like a ct. How Rare Is Adrenal Cortical Carcinoma.
From www.istockphoto.com
Adrenal Cortical Carcinoma Stock Photo Download Image Now How Rare Is Adrenal Cortical Carcinoma Adrenocortical carcinoma (acc) is a rare endocrine malignancy that arises from the cortex of the adrenal gland and has an estimated worldwide incidence of ~1. It is also known as adrenocortical carcinoma. Adrenocortical carcinoma (acc) is a rare, aggressive malignancy with an annual incidence of ~1 case per million population. Acc starts in the outer layer of the. Acc usually. How Rare Is Adrenal Cortical Carcinoma.
From www.academia.edu
(PDF) A rare boneleptomeningeal metastasis from an adrenal cortical How Rare Is Adrenal Cortical Carcinoma It is also known as adrenocortical carcinoma. Acc usually occurs in the fifth or sixth. Adrenal cortical cancer (acc) is very rare. Adrenocortical carcinoma is a rare cancer in your adrenal cortex, the outer layer of your adrenal glands. Adrenocortical carcinoma (acc) is a rare endocrine malignancy that arises from the cortex of the adrenal gland and has an estimated. How Rare Is Adrenal Cortical Carcinoma.
From www.histopathology.guru
Adrenal cortical carcinoma Histopathology.guru How Rare Is Adrenal Cortical Carcinoma Adrenocortical carcinoma (acc) is a rare endocrine malignancy that arises from the cortex of the adrenal gland and has an estimated worldwide incidence of ~1. Acc starts in the outer layer of the. Adrenal tumors are found in about 1 in every 10 people who have an imaging test (like a ct or mri) of the adrenal gland. It is. How Rare Is Adrenal Cortical Carcinoma.
From www.eurocytology.eu
Adrenal cortical adenoma/carcinoma Eurocytology How Rare Is Adrenal Cortical Carcinoma It is also known as adrenocortical carcinoma. Adrenocortical carcinoma is a rare cancer in your adrenal cortex, the outer layer of your adrenal glands. Adrenocortical carcinoma (acc) is a rare endocrine malignancy that arises from the cortex of the adrenal gland and has an estimated worldwide incidence of ~1. Acc usually occurs in the fifth or sixth. Adrenocortical carcinoma (acc). How Rare Is Adrenal Cortical Carcinoma.
From www.researchgate.net
Reticulin histochemistry in FLCNdriven adrenal cortical carcinoma. The How Rare Is Adrenal Cortical Carcinoma Adrenocortical carcinoma (acc) is a rare endocrine malignancy that arises from the cortex of the adrenal gland and has an estimated worldwide incidence of ~1. It is also known as adrenocortical carcinoma. Adrenocortical carcinoma (acc) is a rare, aggressive malignancy with an annual incidence of ~1 case per million population. Acc usually occurs in the fifth or sixth. Adrenal cortical. How Rare Is Adrenal Cortical Carcinoma.