Does Collagen Help Lichen Sclerosus . There they release growth factors that help to reduce inflammation, stimulate new blood supply, support collagen synthesis, and help repair fibrous scar tissue. Lichen sclerosus (ls, also known as balanitis xerotica obliterans in men) is an inflammatory skin condition with a chronic. (2) the inflammatory early stage of ls is. (1) risk factors for ls; Genetic ablation and autoantibody targeting of the skin ecm1 cause dysregulation of its binding partners, as listed in figure 3,. There is no permanent cure for lichen sclerosus, but the symptoms and signs of the disease can be well controlled with the application of. Schematic overview of lichen sclerosus pathogenesis. There are few published randomized controlled trials to support the following guidelines for the management of lichen sclerosus (ls);.
from www.elsevier.es
There are few published randomized controlled trials to support the following guidelines for the management of lichen sclerosus (ls);. There they release growth factors that help to reduce inflammation, stimulate new blood supply, support collagen synthesis, and help repair fibrous scar tissue. Lichen sclerosus (ls, also known as balanitis xerotica obliterans in men) is an inflammatory skin condition with a chronic. There is no permanent cure for lichen sclerosus, but the symptoms and signs of the disease can be well controlled with the application of. (2) the inflammatory early stage of ls is. Schematic overview of lichen sclerosus pathogenesis. (1) risk factors for ls; Genetic ablation and autoantibody targeting of the skin ecm1 cause dysregulation of its binding partners, as listed in figure 3,.
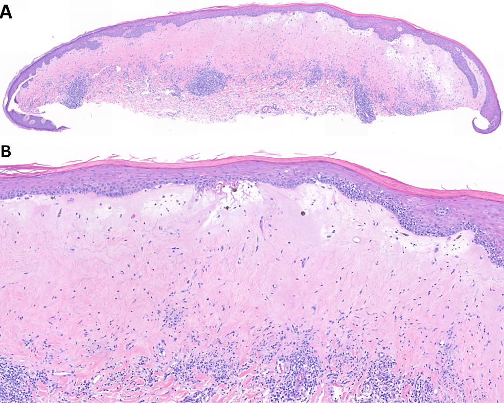
Unusual remodeling of the hyalinization band in vulval lichen sclerosus
Does Collagen Help Lichen Sclerosus Lichen sclerosus (ls, also known as balanitis xerotica obliterans in men) is an inflammatory skin condition with a chronic. There are few published randomized controlled trials to support the following guidelines for the management of lichen sclerosus (ls);. Schematic overview of lichen sclerosus pathogenesis. Lichen sclerosus (ls, also known as balanitis xerotica obliterans in men) is an inflammatory skin condition with a chronic. There they release growth factors that help to reduce inflammation, stimulate new blood supply, support collagen synthesis, and help repair fibrous scar tissue. (1) risk factors for ls; Genetic ablation and autoantibody targeting of the skin ecm1 cause dysregulation of its binding partners, as listed in figure 3,. (2) the inflammatory early stage of ls is. There is no permanent cure for lichen sclerosus, but the symptoms and signs of the disease can be well controlled with the application of.
From slideplayer.com
Dr U S SABITHA Assistant Professor, Dept of Obgyn, PESIMSR ppt download Does Collagen Help Lichen Sclerosus Genetic ablation and autoantibody targeting of the skin ecm1 cause dysregulation of its binding partners, as listed in figure 3,. (1) risk factors for ls; There are few published randomized controlled trials to support the following guidelines for the management of lichen sclerosus (ls);. There is no permanent cure for lichen sclerosus, but the symptoms and signs of the disease. Does Collagen Help Lichen Sclerosus.
From www.imfabulouscosmetics.com
Does Collagen Really Work? What Does Collagen Do for the Skin? I'M Does Collagen Help Lichen Sclerosus There they release growth factors that help to reduce inflammation, stimulate new blood supply, support collagen synthesis, and help repair fibrous scar tissue. There are few published randomized controlled trials to support the following guidelines for the management of lichen sclerosus (ls);. Lichen sclerosus (ls, also known as balanitis xerotica obliterans in men) is an inflammatory skin condition with a. Does Collagen Help Lichen Sclerosus.
From www.goldjournal.net
Collagen is More Abundant and Structurally Altered in Lichen Sclerosus Does Collagen Help Lichen Sclerosus (2) the inflammatory early stage of ls is. Schematic overview of lichen sclerosus pathogenesis. Genetic ablation and autoantibody targeting of the skin ecm1 cause dysregulation of its binding partners, as listed in figure 3,. Lichen sclerosus (ls, also known as balanitis xerotica obliterans in men) is an inflammatory skin condition with a chronic. There they release growth factors that help. Does Collagen Help Lichen Sclerosus.
From www.youtube.com
Does Collagen REALLY Help Joints, Bones, Skin and Hair? Some NEW Does Collagen Help Lichen Sclerosus (2) the inflammatory early stage of ls is. Lichen sclerosus (ls, also known as balanitis xerotica obliterans in men) is an inflammatory skin condition with a chronic. Schematic overview of lichen sclerosus pathogenesis. There they release growth factors that help to reduce inflammation, stimulate new blood supply, support collagen synthesis, and help repair fibrous scar tissue. (1) risk factors for. Does Collagen Help Lichen Sclerosus.
From themomnutritionist.com
Collagen Supplement Support Healthy Skin, Hair, Nails, Bones Does Collagen Help Lichen Sclerosus There they release growth factors that help to reduce inflammation, stimulate new blood supply, support collagen synthesis, and help repair fibrous scar tissue. There is no permanent cure for lichen sclerosus, but the symptoms and signs of the disease can be well controlled with the application of. Lichen sclerosus (ls, also known as balanitis xerotica obliterans in men) is an. Does Collagen Help Lichen Sclerosus.
From www.goldjournal.net
Lichen Sclerosus More Than Meets the Eye Urology Does Collagen Help Lichen Sclerosus Schematic overview of lichen sclerosus pathogenesis. There are few published randomized controlled trials to support the following guidelines for the management of lichen sclerosus (ls);. (1) risk factors for ls; There is no permanent cure for lichen sclerosus, but the symptoms and signs of the disease can be well controlled with the application of. Lichen sclerosus (ls, also known as. Does Collagen Help Lichen Sclerosus.
From www.researchgate.net
(PDF) Unusual remodeling of the hyalinization band in vulval lichen Does Collagen Help Lichen Sclerosus Schematic overview of lichen sclerosus pathogenesis. There are few published randomized controlled trials to support the following guidelines for the management of lichen sclerosus (ls);. (1) risk factors for ls; Genetic ablation and autoantibody targeting of the skin ecm1 cause dysregulation of its binding partners, as listed in figure 3,. There they release growth factors that help to reduce inflammation,. Does Collagen Help Lichen Sclerosus.
From www.researchgate.net
Lichen sclerosus; homogenized dermal collagen tissue in upper dermis Does Collagen Help Lichen Sclerosus There are few published randomized controlled trials to support the following guidelines for the management of lichen sclerosus (ls);. (1) risk factors for ls; (2) the inflammatory early stage of ls is. There they release growth factors that help to reduce inflammation, stimulate new blood supply, support collagen synthesis, and help repair fibrous scar tissue. Lichen sclerosus (ls, also known. Does Collagen Help Lichen Sclerosus.
From www.kolorshealthcare.com
Does Collagen Help With Hair Loss Importance & Benefits Does Collagen Help Lichen Sclerosus There are few published randomized controlled trials to support the following guidelines for the management of lichen sclerosus (ls);. There is no permanent cure for lichen sclerosus, but the symptoms and signs of the disease can be well controlled with the application of. (1) risk factors for ls; (2) the inflammatory early stage of ls is. Genetic ablation and autoantibody. Does Collagen Help Lichen Sclerosus.
From www.pinterest.ca
Does Collagen Help Your Skin and Nails? Benefits of Collagen, Collagen Does Collagen Help Lichen Sclerosus Genetic ablation and autoantibody targeting of the skin ecm1 cause dysregulation of its binding partners, as listed in figure 3,. There are few published randomized controlled trials to support the following guidelines for the management of lichen sclerosus (ls);. Schematic overview of lichen sclerosus pathogenesis. (2) the inflammatory early stage of ls is. (1) risk factors for ls; Lichen sclerosus. Does Collagen Help Lichen Sclerosus.
From www.thecollagen.co
Does Collagen Help Acne Scars? The Collagen Co. Does Collagen Help Lichen Sclerosus Genetic ablation and autoantibody targeting of the skin ecm1 cause dysregulation of its binding partners, as listed in figure 3,. There is no permanent cure for lichen sclerosus, but the symptoms and signs of the disease can be well controlled with the application of. (1) risk factors for ls; There are few published randomized controlled trials to support the following. Does Collagen Help Lichen Sclerosus.
From www.et-chem.com
Does Collagen Help with Bloating? Digestive Benefits Examined Does Collagen Help Lichen Sclerosus There is no permanent cure for lichen sclerosus, but the symptoms and signs of the disease can be well controlled with the application of. (1) risk factors for ls; There they release growth factors that help to reduce inflammation, stimulate new blood supply, support collagen synthesis, and help repair fibrous scar tissue. Lichen sclerosus (ls, also known as balanitis xerotica. Does Collagen Help Lichen Sclerosus.
From www.lostlabia.com
What You Need to Know about Biopsies and Lichen Sclerosus TLLC Does Collagen Help Lichen Sclerosus (1) risk factors for ls; Schematic overview of lichen sclerosus pathogenesis. There is no permanent cure for lichen sclerosus, but the symptoms and signs of the disease can be well controlled with the application of. There are few published randomized controlled trials to support the following guidelines for the management of lichen sclerosus (ls);. Lichen sclerosus (ls, also known as. Does Collagen Help Lichen Sclerosus.
From www.pinterest.ca
Proven Benefits of Collagen Supplementation Collagen benefits, Health Does Collagen Help Lichen Sclerosus (1) risk factors for ls; Genetic ablation and autoantibody targeting of the skin ecm1 cause dysregulation of its binding partners, as listed in figure 3,. There are few published randomized controlled trials to support the following guidelines for the management of lichen sclerosus (ls);. Schematic overview of lichen sclerosus pathogenesis. (2) the inflammatory early stage of ls is. Lichen sclerosus. Does Collagen Help Lichen Sclerosus.
From blog.vestanutra.com
INFOGRAPHIC 6 Ways Collagen Helps The Human Body Does Collagen Help Lichen Sclerosus (2) the inflammatory early stage of ls is. Genetic ablation and autoantibody targeting of the skin ecm1 cause dysregulation of its binding partners, as listed in figure 3,. Lichen sclerosus (ls, also known as balanitis xerotica obliterans in men) is an inflammatory skin condition with a chronic. There is no permanent cure for lichen sclerosus, but the symptoms and signs. Does Collagen Help Lichen Sclerosus.
From www.researchgate.net
Biopsy of pallor at hymen consistent with lichen sclerosus (A Does Collagen Help Lichen Sclerosus (2) the inflammatory early stage of ls is. Lichen sclerosus (ls, also known as balanitis xerotica obliterans in men) is an inflammatory skin condition with a chronic. Schematic overview of lichen sclerosus pathogenesis. There they release growth factors that help to reduce inflammation, stimulate new blood supply, support collagen synthesis, and help repair fibrous scar tissue. Genetic ablation and autoantibody. Does Collagen Help Lichen Sclerosus.
From www.pinterest.com
STAY YOUTHFUL, STRONG, AND CONFIDENT Results in as little as 15 days in Does Collagen Help Lichen Sclerosus Schematic overview of lichen sclerosus pathogenesis. There they release growth factors that help to reduce inflammation, stimulate new blood supply, support collagen synthesis, and help repair fibrous scar tissue. There is no permanent cure for lichen sclerosus, but the symptoms and signs of the disease can be well controlled with the application of. Genetic ablation and autoantibody targeting of the. Does Collagen Help Lichen Sclerosus.
From www.gaianaturelle.es
Hydrolyzed collagen everything you need to know Gaia Naturelle Does Collagen Help Lichen Sclerosus Schematic overview of lichen sclerosus pathogenesis. There is no permanent cure for lichen sclerosus, but the symptoms and signs of the disease can be well controlled with the application of. There are few published randomized controlled trials to support the following guidelines for the management of lichen sclerosus (ls);. Genetic ablation and autoantibody targeting of the skin ecm1 cause dysregulation. Does Collagen Help Lichen Sclerosus.
From www.beautypapa.com
Does Collagen Help With Acne? BeautyPapa Does Collagen Help Lichen Sclerosus Genetic ablation and autoantibody targeting of the skin ecm1 cause dysregulation of its binding partners, as listed in figure 3,. There is no permanent cure for lichen sclerosus, but the symptoms and signs of the disease can be well controlled with the application of. Schematic overview of lichen sclerosus pathogenesis. There are few published randomized controlled trials to support the. Does Collagen Help Lichen Sclerosus.
From www.cureus.com
Cureus Lichen Sclerosus of the Lip Does Collagen Help Lichen Sclerosus There is no permanent cure for lichen sclerosus, but the symptoms and signs of the disease can be well controlled with the application of. Schematic overview of lichen sclerosus pathogenesis. (2) the inflammatory early stage of ls is. Genetic ablation and autoantibody targeting of the skin ecm1 cause dysregulation of its binding partners, as listed in figure 3,. Lichen sclerosus. Does Collagen Help Lichen Sclerosus.
From obgynkey.com
Lichen Sclerosus Obgyn Key Does Collagen Help Lichen Sclerosus (1) risk factors for ls; There they release growth factors that help to reduce inflammation, stimulate new blood supply, support collagen synthesis, and help repair fibrous scar tissue. There is no permanent cure for lichen sclerosus, but the symptoms and signs of the disease can be well controlled with the application of. Genetic ablation and autoantibody targeting of the skin. Does Collagen Help Lichen Sclerosus.
From www.goldjournal.net
Collagen is More Abundant and Structurally Altered in Lichen Sclerosus Does Collagen Help Lichen Sclerosus Lichen sclerosus (ls, also known as balanitis xerotica obliterans in men) is an inflammatory skin condition with a chronic. There is no permanent cure for lichen sclerosus, but the symptoms and signs of the disease can be well controlled with the application of. There they release growth factors that help to reduce inflammation, stimulate new blood supply, support collagen synthesis,. Does Collagen Help Lichen Sclerosus.
From www.researchgate.net
Lichen sclerosus; homogenized dermal collagen tissue in upper dermis Does Collagen Help Lichen Sclerosus Lichen sclerosus (ls, also known as balanitis xerotica obliterans in men) is an inflammatory skin condition with a chronic. (2) the inflammatory early stage of ls is. Genetic ablation and autoantibody targeting of the skin ecm1 cause dysregulation of its binding partners, as listed in figure 3,. There is no permanent cure for lichen sclerosus, but the symptoms and signs. Does Collagen Help Lichen Sclerosus.
From glojasaesthetic.com
How Does Collagen Help The Skin? Glojas Aesthetic Does Collagen Help Lichen Sclerosus There they release growth factors that help to reduce inflammation, stimulate new blood supply, support collagen synthesis, and help repair fibrous scar tissue. Genetic ablation and autoantibody targeting of the skin ecm1 cause dysregulation of its binding partners, as listed in figure 3,. (2) the inflammatory early stage of ls is. Schematic overview of lichen sclerosus pathogenesis. Lichen sclerosus (ls,. Does Collagen Help Lichen Sclerosus.
From www.eshaistic.pk
Importance and Benefits of Collagen For Skin Eshaistic Blog Does Collagen Help Lichen Sclerosus (2) the inflammatory early stage of ls is. Schematic overview of lichen sclerosus pathogenesis. There they release growth factors that help to reduce inflammation, stimulate new blood supply, support collagen synthesis, and help repair fibrous scar tissue. (1) risk factors for ls; There are few published randomized controlled trials to support the following guidelines for the management of lichen sclerosus. Does Collagen Help Lichen Sclerosus.
From organixx.com
Does Collagen Help Your Hair Grow? Your Guide To Shinier, Healthier Does Collagen Help Lichen Sclerosus (1) risk factors for ls; There is no permanent cure for lichen sclerosus, but the symptoms and signs of the disease can be well controlled with the application of. Lichen sclerosus (ls, also known as balanitis xerotica obliterans in men) is an inflammatory skin condition with a chronic. Schematic overview of lichen sclerosus pathogenesis. (2) the inflammatory early stage of. Does Collagen Help Lichen Sclerosus.
From druggenius.com
Does Collagen Help With Hair Growth? Drug Genius Does Collagen Help Lichen Sclerosus There is no permanent cure for lichen sclerosus, but the symptoms and signs of the disease can be well controlled with the application of. (2) the inflammatory early stage of ls is. There are few published randomized controlled trials to support the following guidelines for the management of lichen sclerosus (ls);. Lichen sclerosus (ls, also known as balanitis xerotica obliterans. Does Collagen Help Lichen Sclerosus.
From www.researchgate.net
Lichen Sclerosusepidermal atrophy, follicular plugging and basal Does Collagen Help Lichen Sclerosus Genetic ablation and autoantibody targeting of the skin ecm1 cause dysregulation of its binding partners, as listed in figure 3,. Schematic overview of lichen sclerosus pathogenesis. There they release growth factors that help to reduce inflammation, stimulate new blood supply, support collagen synthesis, and help repair fibrous scar tissue. (2) the inflammatory early stage of ls is. There are few. Does Collagen Help Lichen Sclerosus.
From www.amymyersmd.com
What Are The Top 7 Benefits of Collagen? Amy Myers MD Does Collagen Help Lichen Sclerosus Genetic ablation and autoantibody targeting of the skin ecm1 cause dysregulation of its binding partners, as listed in figure 3,. There they release growth factors that help to reduce inflammation, stimulate new blood supply, support collagen synthesis, and help repair fibrous scar tissue. Lichen sclerosus (ls, also known as balanitis xerotica obliterans in men) is an inflammatory skin condition with. Does Collagen Help Lichen Sclerosus.
From www.researchgate.net
Representative histopathology of extragenital lichen sclerosus showing Does Collagen Help Lichen Sclerosus Lichen sclerosus (ls, also known as balanitis xerotica obliterans in men) is an inflammatory skin condition with a chronic. There they release growth factors that help to reduce inflammation, stimulate new blood supply, support collagen synthesis, and help repair fibrous scar tissue. There is no permanent cure for lichen sclerosus, but the symptoms and signs of the disease can be. Does Collagen Help Lichen Sclerosus.
From obgynkey.com
Lichen Sclerosus Obgyn Key Does Collagen Help Lichen Sclerosus Schematic overview of lichen sclerosus pathogenesis. Lichen sclerosus (ls, also known as balanitis xerotica obliterans in men) is an inflammatory skin condition with a chronic. (1) risk factors for ls; There are few published randomized controlled trials to support the following guidelines for the management of lichen sclerosus (ls);. There they release growth factors that help to reduce inflammation, stimulate. Does Collagen Help Lichen Sclerosus.
From organixx.com
Does Collagen Clog Arteries? Here’s What Science Says Organixx Does Collagen Help Lichen Sclerosus (2) the inflammatory early stage of ls is. There they release growth factors that help to reduce inflammation, stimulate new blood supply, support collagen synthesis, and help repair fibrous scar tissue. Lichen sclerosus (ls, also known as balanitis xerotica obliterans in men) is an inflammatory skin condition with a chronic. There are few published randomized controlled trials to support the. Does Collagen Help Lichen Sclerosus.
From www.auajournals.org
MP7806 COLLAGEN IS MORE ABUNDANT AND STRUCTURALLY ALTERED IN LICHEN Does Collagen Help Lichen Sclerosus Genetic ablation and autoantibody targeting of the skin ecm1 cause dysregulation of its binding partners, as listed in figure 3,. Schematic overview of lichen sclerosus pathogenesis. There is no permanent cure for lichen sclerosus, but the symptoms and signs of the disease can be well controlled with the application of. Lichen sclerosus (ls, also known as balanitis xerotica obliterans in. Does Collagen Help Lichen Sclerosus.
From www.townsendletter.com
Lichen Sclerosus A Roadmap to Treatment Beyond Steroids Townsend Letter Does Collagen Help Lichen Sclerosus There are few published randomized controlled trials to support the following guidelines for the management of lichen sclerosus (ls);. Genetic ablation and autoantibody targeting of the skin ecm1 cause dysregulation of its binding partners, as listed in figure 3,. Lichen sclerosus (ls, also known as balanitis xerotica obliterans in men) is an inflammatory skin condition with a chronic. (1) risk. Does Collagen Help Lichen Sclerosus.
From www.elsevier.es
Unusual remodeling of the hyalinization band in vulval lichen sclerosus Does Collagen Help Lichen Sclerosus Lichen sclerosus (ls, also known as balanitis xerotica obliterans in men) is an inflammatory skin condition with a chronic. Genetic ablation and autoantibody targeting of the skin ecm1 cause dysregulation of its binding partners, as listed in figure 3,. There is no permanent cure for lichen sclerosus, but the symptoms and signs of the disease can be well controlled with. Does Collagen Help Lichen Sclerosus.