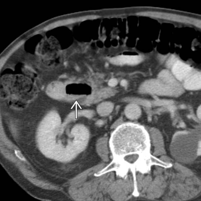
Nutcracker Syndrome Duodenum . Nutcracker phenomenon refers to compression of the left renal vein, most commonly between the aorta and the superior mesenteric artery, with. The duodenum and the left renal vein occupy the vascular angle made by the superior mesenteric artery and the aorta. The duodenum and the left renal vein (lrv) occupy the vascular angle made by the superior mesenteric artery (sma) and the aorta. Superior mesenteric artery (sma) syndrome, also known as wilkie’s syndrome or benign duodenal stasis, is a rare benign. The optimal treatment includes open decompression of the left renal vein with renal vein transposition or gonadal vein transposition,. Superior mesenteric artery syndrome is the compression of the third portion of the duodenum between the superior mesenteric.
from ctisus.com
Superior mesenteric artery syndrome is the compression of the third portion of the duodenum between the superior mesenteric. The duodenum and the left renal vein occupy the vascular angle made by the superior mesenteric artery and the aorta. Nutcracker phenomenon refers to compression of the left renal vein, most commonly between the aorta and the superior mesenteric artery, with. The duodenum and the left renal vein (lrv) occupy the vascular angle made by the superior mesenteric artery (sma) and the aorta. The optimal treatment includes open decompression of the left renal vein with renal vein transposition or gonadal vein transposition,. Superior mesenteric artery (sma) syndrome, also known as wilkie’s syndrome or benign duodenal stasis, is a rare benign.
SMA Syndrome with Nutcracker Syndrome Vascular Case Studies CTisus
Nutcracker Syndrome Duodenum The optimal treatment includes open decompression of the left renal vein with renal vein transposition or gonadal vein transposition,. The optimal treatment includes open decompression of the left renal vein with renal vein transposition or gonadal vein transposition,. Superior mesenteric artery syndrome is the compression of the third portion of the duodenum between the superior mesenteric. The duodenum and the left renal vein (lrv) occupy the vascular angle made by the superior mesenteric artery (sma) and the aorta. Nutcracker phenomenon refers to compression of the left renal vein, most commonly between the aorta and the superior mesenteric artery, with. The duodenum and the left renal vein occupy the vascular angle made by the superior mesenteric artery and the aorta. Superior mesenteric artery (sma) syndrome, also known as wilkie’s syndrome or benign duodenal stasis, is a rare benign.
From www.researchgate.net
Nutcracker syndrome. a Abdominal duplex showing compression of the left Nutcracker Syndrome Duodenum The optimal treatment includes open decompression of the left renal vein with renal vein transposition or gonadal vein transposition,. Superior mesenteric artery syndrome is the compression of the third portion of the duodenum between the superior mesenteric. The duodenum and the left renal vein (lrv) occupy the vascular angle made by the superior mesenteric artery (sma) and the aorta. The. Nutcracker Syndrome Duodenum.
From www.journalmc.org
Nutcracker Phenomenon With Wilkie’s Syndrome in a Patient With Rectal Nutcracker Syndrome Duodenum The duodenum and the left renal vein occupy the vascular angle made by the superior mesenteric artery and the aorta. The duodenum and the left renal vein (lrv) occupy the vascular angle made by the superior mesenteric artery (sma) and the aorta. Superior mesenteric artery syndrome is the compression of the third portion of the duodenum between the superior mesenteric.. Nutcracker Syndrome Duodenum.
From www.clinicalimaging.org
Imaging spectrum of nonneoplastic duodenal diseases Clinical Imaging Nutcracker Syndrome Duodenum The duodenum and the left renal vein occupy the vascular angle made by the superior mesenteric artery and the aorta. Nutcracker phenomenon refers to compression of the left renal vein, most commonly between the aorta and the superior mesenteric artery, with. Superior mesenteric artery syndrome is the compression of the third portion of the duodenum between the superior mesenteric. The. Nutcracker Syndrome Duodenum.
From www.researchgate.net
Abdomen MDCT. a Reconstruction on an axial plane shows stomach (St Nutcracker Syndrome Duodenum Superior mesenteric artery (sma) syndrome, also known as wilkie’s syndrome or benign duodenal stasis, is a rare benign. The optimal treatment includes open decompression of the left renal vein with renal vein transposition or gonadal vein transposition,. Superior mesenteric artery syndrome is the compression of the third portion of the duodenum between the superior mesenteric. The duodenum and the left. Nutcracker Syndrome Duodenum.
From sonographictendencies.com
Nutcracker Phenomenon/Syndrome Sonographic Tendencies Nutcracker Syndrome Duodenum Nutcracker phenomenon refers to compression of the left renal vein, most commonly between the aorta and the superior mesenteric artery, with. The duodenum and the left renal vein occupy the vascular angle made by the superior mesenteric artery and the aorta. The duodenum and the left renal vein (lrv) occupy the vascular angle made by the superior mesenteric artery (sma). Nutcracker Syndrome Duodenum.
From clinicalgate.com
Imaging Approach to the Duodenum Clinical Gate Nutcracker Syndrome Duodenum The duodenum and the left renal vein occupy the vascular angle made by the superior mesenteric artery and the aorta. Nutcracker phenomenon refers to compression of the left renal vein, most commonly between the aorta and the superior mesenteric artery, with. Superior mesenteric artery syndrome is the compression of the third portion of the duodenum between the superior mesenteric. The. Nutcracker Syndrome Duodenum.
From ctisus.com
SMA Syndrome with Nutcracker Syndrome Vascular Case Studies CTisus Nutcracker Syndrome Duodenum The duodenum and the left renal vein (lrv) occupy the vascular angle made by the superior mesenteric artery (sma) and the aorta. Superior mesenteric artery syndrome is the compression of the third portion of the duodenum between the superior mesenteric. The optimal treatment includes open decompression of the left renal vein with renal vein transposition or gonadal vein transposition,. Superior. Nutcracker Syndrome Duodenum.
From www.angiologist.com
Nutcracker syndrome Definition, Symptoms and Treatment Nutcracker Syndrome Duodenum The duodenum and the left renal vein occupy the vascular angle made by the superior mesenteric artery and the aorta. The optimal treatment includes open decompression of the left renal vein with renal vein transposition or gonadal vein transposition,. Superior mesenteric artery syndrome is the compression of the third portion of the duodenum between the superior mesenteric. The duodenum and. Nutcracker Syndrome Duodenum.
From www.cureus.com
Cureus Wilkie Syndrome and PseudoNutcracker Syndrome a Rare Nutcracker Syndrome Duodenum Superior mesenteric artery syndrome is the compression of the third portion of the duodenum between the superior mesenteric. The optimal treatment includes open decompression of the left renal vein with renal vein transposition or gonadal vein transposition,. The duodenum and the left renal vein occupy the vascular angle made by the superior mesenteric artery and the aorta. Superior mesenteric artery. Nutcracker Syndrome Duodenum.
From www.researchgate.net
(PDF) Nutcracker Phenomenon With Wilkie’s Syndrome in a Patient With Nutcracker Syndrome Duodenum The duodenum and the left renal vein occupy the vascular angle made by the superior mesenteric artery and the aorta. Superior mesenteric artery (sma) syndrome, also known as wilkie’s syndrome or benign duodenal stasis, is a rare benign. The optimal treatment includes open decompression of the left renal vein with renal vein transposition or gonadal vein transposition,. The duodenum and. Nutcracker Syndrome Duodenum.
From www.researchgate.net
Summary diagram of anatomical structures involved in WS and NCS. a Nutcracker Syndrome Duodenum Nutcracker phenomenon refers to compression of the left renal vein, most commonly between the aorta and the superior mesenteric artery, with. The optimal treatment includes open decompression of the left renal vein with renal vein transposition or gonadal vein transposition,. Superior mesenteric artery (sma) syndrome, also known as wilkie’s syndrome or benign duodenal stasis, is a rare benign. The duodenum. Nutcracker Syndrome Duodenum.
From onlinelibrary.wiley.com
Nutcracker Syndrome in Children With Orthostatic Proteinuria Park Nutcracker Syndrome Duodenum Superior mesenteric artery (sma) syndrome, also known as wilkie’s syndrome or benign duodenal stasis, is a rare benign. Nutcracker phenomenon refers to compression of the left renal vein, most commonly between the aorta and the superior mesenteric artery, with. The duodenum and the left renal vein occupy the vascular angle made by the superior mesenteric artery and the aorta. The. Nutcracker Syndrome Duodenum.
From bhm.scholasticahq.com
Anterior Renal Nutcracker Syndrome in an Older Adult Treated with Nutcracker Syndrome Duodenum The duodenum and the left renal vein occupy the vascular angle made by the superior mesenteric artery and the aorta. Superior mesenteric artery syndrome is the compression of the third portion of the duodenum between the superior mesenteric. The duodenum and the left renal vein (lrv) occupy the vascular angle made by the superior mesenteric artery (sma) and the aorta.. Nutcracker Syndrome Duodenum.
From radiopaedia.org
Nutcracker syndrome Image Nutcracker Syndrome Duodenum Nutcracker phenomenon refers to compression of the left renal vein, most commonly between the aorta and the superior mesenteric artery, with. Superior mesenteric artery (sma) syndrome, also known as wilkie’s syndrome or benign duodenal stasis, is a rare benign. The optimal treatment includes open decompression of the left renal vein with renal vein transposition or gonadal vein transposition,. Superior mesenteric. Nutcracker Syndrome Duodenum.
From www.veinspecialists.com
Nutcracker Syndrome 2 Vein Specialists of the South Nutcracker Syndrome Duodenum The duodenum and the left renal vein occupy the vascular angle made by the superior mesenteric artery and the aorta. Superior mesenteric artery (sma) syndrome, also known as wilkie’s syndrome or benign duodenal stasis, is a rare benign. Superior mesenteric artery syndrome is the compression of the third portion of the duodenum between the superior mesenteric. The duodenum and the. Nutcracker Syndrome Duodenum.
From appliedradiology.com
Posterior Nutcracker Syndrome with Left Renal Vein Duplication Nutcracker Syndrome Duodenum Nutcracker phenomenon refers to compression of the left renal vein, most commonly between the aorta and the superior mesenteric artery, with. The optimal treatment includes open decompression of the left renal vein with renal vein transposition or gonadal vein transposition,. Superior mesenteric artery syndrome is the compression of the third portion of the duodenum between the superior mesenteric. The duodenum. Nutcracker Syndrome Duodenum.
From casereports.bmj.com
Superior mesenteric artery syndrome and the ‘nutcracker phenomenon Nutcracker Syndrome Duodenum The optimal treatment includes open decompression of the left renal vein with renal vein transposition or gonadal vein transposition,. The duodenum and the left renal vein occupy the vascular angle made by the superior mesenteric artery and the aorta. Superior mesenteric artery syndrome is the compression of the third portion of the duodenum between the superior mesenteric. Nutcracker phenomenon refers. Nutcracker Syndrome Duodenum.
From www.semanticscholar.org
Figure 8 from Renal nutcracker syndrome surgical options. Semantic Nutcracker Syndrome Duodenum The duodenum and the left renal vein occupy the vascular angle made by the superior mesenteric artery and the aorta. The optimal treatment includes open decompression of the left renal vein with renal vein transposition or gonadal vein transposition,. Superior mesenteric artery (sma) syndrome, also known as wilkie’s syndrome or benign duodenal stasis, is a rare benign. Nutcracker phenomenon refers. Nutcracker Syndrome Duodenum.
From www.frontiersin.org
Frontiers Nutcracker syndrome A case report and review of the literature Nutcracker Syndrome Duodenum The duodenum and the left renal vein (lrv) occupy the vascular angle made by the superior mesenteric artery (sma) and the aorta. The optimal treatment includes open decompression of the left renal vein with renal vein transposition or gonadal vein transposition,. The duodenum and the left renal vein occupy the vascular angle made by the superior mesenteric artery and the. Nutcracker Syndrome Duodenum.
From shmabstracts.org
WILKIE'S AND NUTCRACKER SYNDROMES SHM Abstracts Society of Hospital Nutcracker Syndrome Duodenum The duodenum and the left renal vein (lrv) occupy the vascular angle made by the superior mesenteric artery (sma) and the aorta. Superior mesenteric artery (sma) syndrome, also known as wilkie’s syndrome or benign duodenal stasis, is a rare benign. Nutcracker phenomenon refers to compression of the left renal vein, most commonly between the aorta and the superior mesenteric artery,. Nutcracker Syndrome Duodenum.
From www.mdpi.com
Children Free FullText Diagnostic Clues in Pediatric Nutcracker Nutcracker Syndrome Duodenum The duodenum and the left renal vein occupy the vascular angle made by the superior mesenteric artery and the aorta. Superior mesenteric artery syndrome is the compression of the third portion of the duodenum between the superior mesenteric. The duodenum and the left renal vein (lrv) occupy the vascular angle made by the superior mesenteric artery (sma) and the aorta.. Nutcracker Syndrome Duodenum.
From www.annalsofvascularsurgery.com
Endovascular Treatment of Nutcracker Syndrome Annals of Vascular Surgery Nutcracker Syndrome Duodenum The duodenum and the left renal vein occupy the vascular angle made by the superior mesenteric artery and the aorta. The duodenum and the left renal vein (lrv) occupy the vascular angle made by the superior mesenteric artery (sma) and the aorta. Superior mesenteric artery (sma) syndrome, also known as wilkie’s syndrome or benign duodenal stasis, is a rare benign.. Nutcracker Syndrome Duodenum.
From casereports.bmj.com
Nutcracker syndrome complicated with intestinal malrotation BMJ Case Nutcracker Syndrome Duodenum Superior mesenteric artery (sma) syndrome, also known as wilkie’s syndrome or benign duodenal stasis, is a rare benign. The optimal treatment includes open decompression of the left renal vein with renal vein transposition or gonadal vein transposition,. The duodenum and the left renal vein occupy the vascular angle made by the superior mesenteric artery and the aorta. Superior mesenteric artery. Nutcracker Syndrome Duodenum.
From me-pedia.org
Nutcracker phenomenon MEpedia Nutcracker Syndrome Duodenum Superior mesenteric artery (sma) syndrome, also known as wilkie’s syndrome or benign duodenal stasis, is a rare benign. The duodenum and the left renal vein (lrv) occupy the vascular angle made by the superior mesenteric artery (sma) and the aorta. Superior mesenteric artery syndrome is the compression of the third portion of the duodenum between the superior mesenteric. The duodenum. Nutcracker Syndrome Duodenum.
From www.ejves.com
Nutcracker Syndrome An Update on Current Diagnostic Criteria and Nutcracker Syndrome Duodenum Superior mesenteric artery syndrome is the compression of the third portion of the duodenum between the superior mesenteric. The duodenum and the left renal vein occupy the vascular angle made by the superior mesenteric artery and the aorta. Nutcracker phenomenon refers to compression of the left renal vein, most commonly between the aorta and the superior mesenteric artery, with. Superior. Nutcracker Syndrome Duodenum.
From www.researchgate.net
CT confirmation of left renal vein entrapment in two patients with Nutcracker Syndrome Duodenum Superior mesenteric artery (sma) syndrome, also known as wilkie’s syndrome or benign duodenal stasis, is a rare benign. The duodenum and the left renal vein occupy the vascular angle made by the superior mesenteric artery and the aorta. Superior mesenteric artery syndrome is the compression of the third portion of the duodenum between the superior mesenteric. The optimal treatment includes. Nutcracker Syndrome Duodenum.
From appliedradiology.com
Posterior Nutcracker Syndrome with Left Renal Vein Duplication Nutcracker Syndrome Duodenum The duodenum and the left renal vein (lrv) occupy the vascular angle made by the superior mesenteric artery (sma) and the aorta. Superior mesenteric artery syndrome is the compression of the third portion of the duodenum between the superior mesenteric. Superior mesenteric artery (sma) syndrome, also known as wilkie’s syndrome or benign duodenal stasis, is a rare benign. The duodenum. Nutcracker Syndrome Duodenum.
From sonographictendencies.com
Nutcracker Phenomenon/Syndrome Sonographic Tendencies Nutcracker Syndrome Duodenum The duodenum and the left renal vein (lrv) occupy the vascular angle made by the superior mesenteric artery (sma) and the aorta. The duodenum and the left renal vein occupy the vascular angle made by the superior mesenteric artery and the aorta. Superior mesenteric artery (sma) syndrome, also known as wilkie’s syndrome or benign duodenal stasis, is a rare benign.. Nutcracker Syndrome Duodenum.
From sonographictendencies.com
Nutcracker Phenomenon/Syndrome Sonographic Tendencies Nutcracker Syndrome Duodenum The duodenum and the left renal vein (lrv) occupy the vascular angle made by the superior mesenteric artery (sma) and the aorta. The optimal treatment includes open decompression of the left renal vein with renal vein transposition or gonadal vein transposition,. Nutcracker phenomenon refers to compression of the left renal vein, most commonly between the aorta and the superior mesenteric. Nutcracker Syndrome Duodenum.
From www.elsevier.es
Nutcracker syndrome Cause of nonglomerular hematuria and massive Nutcracker Syndrome Duodenum The optimal treatment includes open decompression of the left renal vein with renal vein transposition or gonadal vein transposition,. The duodenum and the left renal vein occupy the vascular angle made by the superior mesenteric artery and the aorta. Superior mesenteric artery syndrome is the compression of the third portion of the duodenum between the superior mesenteric. Nutcracker phenomenon refers. Nutcracker Syndrome Duodenum.
From www.researchgate.net
Graphical representation of the anatomical relations between the Nutcracker Syndrome Duodenum The duodenum and the left renal vein occupy the vascular angle made by the superior mesenteric artery and the aorta. Nutcracker phenomenon refers to compression of the left renal vein, most commonly between the aorta and the superior mesenteric artery, with. Superior mesenteric artery (sma) syndrome, also known as wilkie’s syndrome or benign duodenal stasis, is a rare benign. The. Nutcracker Syndrome Duodenum.
From europepmc.org
What Each Clinical Anatomist Has to Know about Left Renal Vein Nutcracker Syndrome Duodenum The duodenum and the left renal vein occupy the vascular angle made by the superior mesenteric artery and the aorta. Nutcracker phenomenon refers to compression of the left renal vein, most commonly between the aorta and the superior mesenteric artery, with. Superior mesenteric artery syndrome is the compression of the third portion of the duodenum between the superior mesenteric. The. Nutcracker Syndrome Duodenum.
From www.researchgate.net
Computed tomography angiography showing the compression of the duodenum Nutcracker Syndrome Duodenum Superior mesenteric artery syndrome is the compression of the third portion of the duodenum between the superior mesenteric. The optimal treatment includes open decompression of the left renal vein with renal vein transposition or gonadal vein transposition,. The duodenum and the left renal vein (lrv) occupy the vascular angle made by the superior mesenteric artery (sma) and the aorta. The. Nutcracker Syndrome Duodenum.
From www.gehealthcare.com
Lowdose Pediatric CT Imaging Helps Detect Nutcracker Syndrome GE Nutcracker Syndrome Duodenum Nutcracker phenomenon refers to compression of the left renal vein, most commonly between the aorta and the superior mesenteric artery, with. The optimal treatment includes open decompression of the left renal vein with renal vein transposition or gonadal vein transposition,. Superior mesenteric artery (sma) syndrome, also known as wilkie’s syndrome or benign duodenal stasis, is a rare benign. Superior mesenteric. Nutcracker Syndrome Duodenum.
From www.slideshare.net
Gross structure of kidney and ureter Nutcracker Syndrome Duodenum Superior mesenteric artery (sma) syndrome, also known as wilkie’s syndrome or benign duodenal stasis, is a rare benign. The duodenum and the left renal vein (lrv) occupy the vascular angle made by the superior mesenteric artery (sma) and the aorta. The duodenum and the left renal vein occupy the vascular angle made by the superior mesenteric artery and the aorta.. Nutcracker Syndrome Duodenum.