Sebaceous Cyst Pathology Outlines . [1] on occasion, it is used to refer to pilar cysts which are. This review is intended to provide. Sebaceous changes can also be a component of benign cystic lesions or epidermal tumours, and sebaceous hyperplasia is commonly encountered. Epidermoid cyst, also known as a sebaceous cyst, is a benign encapsulated, subepidermal nodule filled with. Sebaceous cyst is a misnomer usually used to refer to epidermal inclusion cyst. Can occur as sporadic lesions or in an autosomal dominant. Dermoid cyst is lined by stratified squamous epithelium, sebaceous glands and hair follicles and is composed of abundant keratin flakes. Pilar cyst is lined by stratified. Cystic mass with soft white keratin. Department of surgery, military hospital. Benign, sebaceous gland associated cysts, with a characteristic hyaline cuticle and jagged squamous epithelial lining.
from www.pathologyoutlines.com
Can occur as sporadic lesions or in an autosomal dominant. Department of surgery, military hospital. Epidermoid cyst, also known as a sebaceous cyst, is a benign encapsulated, subepidermal nodule filled with. Cystic mass with soft white keratin. Pilar cyst is lined by stratified. [1] on occasion, it is used to refer to pilar cysts which are. This review is intended to provide. Sebaceous changes can also be a component of benign cystic lesions or epidermal tumours, and sebaceous hyperplasia is commonly encountered. Sebaceous cyst is a misnomer usually used to refer to epidermal inclusion cyst. Dermoid cyst is lined by stratified squamous epithelium, sebaceous glands and hair follicles and is composed of abundant keratin flakes.
Pathology Outlines Sebaceous carcinoma
Sebaceous Cyst Pathology Outlines Pilar cyst is lined by stratified. Epidermoid cyst, also known as a sebaceous cyst, is a benign encapsulated, subepidermal nodule filled with. Sebaceous cyst is a misnomer usually used to refer to epidermal inclusion cyst. This review is intended to provide. Benign, sebaceous gland associated cysts, with a characteristic hyaline cuticle and jagged squamous epithelial lining. Dermoid cyst is lined by stratified squamous epithelium, sebaceous glands and hair follicles and is composed of abundant keratin flakes. Can occur as sporadic lesions or in an autosomal dominant. Pilar cyst is lined by stratified. Sebaceous changes can also be a component of benign cystic lesions or epidermal tumours, and sebaceous hyperplasia is commonly encountered. Cystic mass with soft white keratin. Department of surgery, military hospital. [1] on occasion, it is used to refer to pilar cysts which are.
From mydiagram.online
[DIAGRAM] Diagram Of Sebaceous Cyst Sebaceous Cyst Pathology Outlines Dermoid cyst is lined by stratified squamous epithelium, sebaceous glands and hair follicles and is composed of abundant keratin flakes. Can occur as sporadic lesions or in an autosomal dominant. Benign, sebaceous gland associated cysts, with a characteristic hyaline cuticle and jagged squamous epithelial lining. Epidermoid cyst, also known as a sebaceous cyst, is a benign encapsulated, subepidermal nodule filled. Sebaceous Cyst Pathology Outlines.
From mavink.com
Sebaceous Cyst Histology Sebaceous Cyst Pathology Outlines Sebaceous cyst is a misnomer usually used to refer to epidermal inclusion cyst. Department of surgery, military hospital. Pilar cyst is lined by stratified. Can occur as sporadic lesions or in an autosomal dominant. This review is intended to provide. Cystic mass with soft white keratin. [1] on occasion, it is used to refer to pilar cysts which are. Dermoid. Sebaceous Cyst Pathology Outlines.
From www.pathologyoutlines.com
Pathology Outlines Sebaceous carcinoma Sebaceous Cyst Pathology Outlines Department of surgery, military hospital. This review is intended to provide. Cystic mass with soft white keratin. Sebaceous changes can also be a component of benign cystic lesions or epidermal tumours, and sebaceous hyperplasia is commonly encountered. [1] on occasion, it is used to refer to pilar cysts which are. Benign, sebaceous gland associated cysts, with a characteristic hyaline cuticle. Sebaceous Cyst Pathology Outlines.
From www.swiat-obrazow.pl
Fototapeta Microscopic image of a proliferating epidermoid cyst, a type Sebaceous Cyst Pathology Outlines Pilar cyst is lined by stratified. Epidermoid cyst, also known as a sebaceous cyst, is a benign encapsulated, subepidermal nodule filled with. [1] on occasion, it is used to refer to pilar cysts which are. Can occur as sporadic lesions or in an autosomal dominant. Sebaceous cyst is a misnomer usually used to refer to epidermal inclusion cyst. Department of. Sebaceous Cyst Pathology Outlines.
From www.pathologyoutlines.com
Pathology Outlines Sebaceoma Sebaceous Cyst Pathology Outlines Sebaceous cyst is a misnomer usually used to refer to epidermal inclusion cyst. Dermoid cyst is lined by stratified squamous epithelium, sebaceous glands and hair follicles and is composed of abundant keratin flakes. [1] on occasion, it is used to refer to pilar cysts which are. Cystic mass with soft white keratin. This review is intended to provide. Sebaceous changes. Sebaceous Cyst Pathology Outlines.
From www.pathologyoutlines.com
Pathology Outlines Sebaceoma Sebaceous Cyst Pathology Outlines Benign, sebaceous gland associated cysts, with a characteristic hyaline cuticle and jagged squamous epithelial lining. Department of surgery, military hospital. Sebaceous changes can also be a component of benign cystic lesions or epidermal tumours, and sebaceous hyperplasia is commonly encountered. Dermoid cyst is lined by stratified squamous epithelium, sebaceous glands and hair follicles and is composed of abundant keratin flakes.. Sebaceous Cyst Pathology Outlines.
From narodnatribuna.info
Sebaceous Cyst Epidermal Cyst Pictures Causes Sebaceous Cyst Pathology Outlines Dermoid cyst is lined by stratified squamous epithelium, sebaceous glands and hair follicles and is composed of abundant keratin flakes. Sebaceous cyst is a misnomer usually used to refer to epidermal inclusion cyst. Cystic mass with soft white keratin. Benign, sebaceous gland associated cysts, with a characteristic hyaline cuticle and jagged squamous epithelial lining. Can occur as sporadic lesions or. Sebaceous Cyst Pathology Outlines.
From www.sciencephoto.com
Sebaceous cyst Stock Image C006/3597 Science Photo Library Sebaceous Cyst Pathology Outlines This review is intended to provide. Cystic mass with soft white keratin. Can occur as sporadic lesions or in an autosomal dominant. Sebaceous cyst is a misnomer usually used to refer to epidermal inclusion cyst. Benign, sebaceous gland associated cysts, with a characteristic hyaline cuticle and jagged squamous epithelial lining. [1] on occasion, it is used to refer to pilar. Sebaceous Cyst Pathology Outlines.
From narodnatribuna.info
Histology Of Reconstituted Normal Epidermal Tissue Vs Sebaceous Cyst Pathology Outlines This review is intended to provide. Sebaceous cyst is a misnomer usually used to refer to epidermal inclusion cyst. Cystic mass with soft white keratin. Benign, sebaceous gland associated cysts, with a characteristic hyaline cuticle and jagged squamous epithelial lining. Sebaceous changes can also be a component of benign cystic lesions or epidermal tumours, and sebaceous hyperplasia is commonly encountered.. Sebaceous Cyst Pathology Outlines.
From jcp.bmj.com
A sebaceous cyst with a difference Dermatobia hominis Journal of Sebaceous Cyst Pathology Outlines Sebaceous changes can also be a component of benign cystic lesions or epidermal tumours, and sebaceous hyperplasia is commonly encountered. Dermoid cyst is lined by stratified squamous epithelium, sebaceous glands and hair follicles and is composed of abundant keratin flakes. Cystic mass with soft white keratin. This review is intended to provide. Sebaceous cyst is a misnomer usually used to. Sebaceous Cyst Pathology Outlines.
From www.pathologyoutlines.com
Pathology Outlines Sebaceous adenoma Sebaceous Cyst Pathology Outlines Dermoid cyst is lined by stratified squamous epithelium, sebaceous glands and hair follicles and is composed of abundant keratin flakes. Epidermoid cyst, also known as a sebaceous cyst, is a benign encapsulated, subepidermal nodule filled with. This review is intended to provide. Benign, sebaceous gland associated cysts, with a characteristic hyaline cuticle and jagged squamous epithelial lining. Sebaceous changes can. Sebaceous Cyst Pathology Outlines.
From ar.inspiredpencil.com
Sebaceous Cyst Histology Sebaceous Cyst Pathology Outlines Pilar cyst is lined by stratified. Epidermoid cyst, also known as a sebaceous cyst, is a benign encapsulated, subepidermal nodule filled with. Sebaceous cyst is a misnomer usually used to refer to epidermal inclusion cyst. Benign, sebaceous gland associated cysts, with a characteristic hyaline cuticle and jagged squamous epithelial lining. This review is intended to provide. Can occur as sporadic. Sebaceous Cyst Pathology Outlines.
From mydiagram.online
[DIAGRAM] Diagram Of Sebaceous Cyst Sebaceous Cyst Pathology Outlines This review is intended to provide. Dermoid cyst is lined by stratified squamous epithelium, sebaceous glands and hair follicles and is composed of abundant keratin flakes. Epidermoid cyst, also known as a sebaceous cyst, is a benign encapsulated, subepidermal nodule filled with. Sebaceous changes can also be a component of benign cystic lesions or epidermal tumours, and sebaceous hyperplasia is. Sebaceous Cyst Pathology Outlines.
From facty.com
10 Symptoms and Treatments of Sebaceous Cysts Facty Health Sebaceous Cyst Pathology Outlines Department of surgery, military hospital. This review is intended to provide. Benign, sebaceous gland associated cysts, with a characteristic hyaline cuticle and jagged squamous epithelial lining. [1] on occasion, it is used to refer to pilar cysts which are. Dermoid cyst is lined by stratified squamous epithelium, sebaceous glands and hair follicles and is composed of abundant keratin flakes. Cystic. Sebaceous Cyst Pathology Outlines.
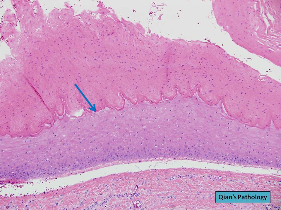
From www.flickriver.com
Qiao's Pathology Pilar Cyst (Sebaceous Cyst) {乔氏病理学:毛发囊肿(皮脂腺囊肿)} a Sebaceous Cyst Pathology Outlines Benign, sebaceous gland associated cysts, with a characteristic hyaline cuticle and jagged squamous epithelial lining. Department of surgery, military hospital. Pilar cyst is lined by stratified. This review is intended to provide. Epidermoid cyst, also known as a sebaceous cyst, is a benign encapsulated, subepidermal nodule filled with. [1] on occasion, it is used to refer to pilar cysts which. Sebaceous Cyst Pathology Outlines.
From www.pathologyoutlines.com
Pathology Outlines Dermoid cyst Sebaceous Cyst Pathology Outlines [1] on occasion, it is used to refer to pilar cysts which are. Can occur as sporadic lesions or in an autosomal dominant. Benign, sebaceous gland associated cysts, with a characteristic hyaline cuticle and jagged squamous epithelial lining. Dermoid cyst is lined by stratified squamous epithelium, sebaceous glands and hair follicles and is composed of abundant keratin flakes. Pilar cyst. Sebaceous Cyst Pathology Outlines.
From fity.club
Epidermal Inclusion Cyst Histology Sebaceous Cyst Pathology Outlines Pilar cyst is lined by stratified. Dermoid cyst is lined by stratified squamous epithelium, sebaceous glands and hair follicles and is composed of abundant keratin flakes. Can occur as sporadic lesions or in an autosomal dominant. Benign, sebaceous gland associated cysts, with a characteristic hyaline cuticle and jagged squamous epithelial lining. This review is intended to provide. Department of surgery,. Sebaceous Cyst Pathology Outlines.
From mavink.com
Sebaceous Cyst Eyelid Sebaceous Cyst Pathology Outlines Benign, sebaceous gland associated cysts, with a characteristic hyaline cuticle and jagged squamous epithelial lining. Sebaceous changes can also be a component of benign cystic lesions or epidermal tumours, and sebaceous hyperplasia is commonly encountered. Cystic mass with soft white keratin. Dermoid cyst is lined by stratified squamous epithelium, sebaceous glands and hair follicles and is composed of abundant keratin. Sebaceous Cyst Pathology Outlines.
From www.shifa4u.com
Sebaceous Cysts Causes, Symptoms & Treatment Sebaceous Cyst Pathology Outlines Sebaceous changes can also be a component of benign cystic lesions or epidermal tumours, and sebaceous hyperplasia is commonly encountered. Epidermoid cyst, also known as a sebaceous cyst, is a benign encapsulated, subepidermal nodule filled with. Department of surgery, military hospital. This review is intended to provide. Cystic mass with soft white keratin. [1] on occasion, it is used to. Sebaceous Cyst Pathology Outlines.
From infoupdate.org
Sebaceous Cyst On Dog Lipoma Pathology Outlines Sebaceous Cyst Pathology Outlines Cystic mass with soft white keratin. [1] on occasion, it is used to refer to pilar cysts which are. Pilar cyst is lined by stratified. Department of surgery, military hospital. Can occur as sporadic lesions or in an autosomal dominant. Dermoid cyst is lined by stratified squamous epithelium, sebaceous glands and hair follicles and is composed of abundant keratin flakes.. Sebaceous Cyst Pathology Outlines.
From www.pathologyoutlines.com
Pathology Outlines Sebaceoma Sebaceous Cyst Pathology Outlines [1] on occasion, it is used to refer to pilar cysts which are. Can occur as sporadic lesions or in an autosomal dominant. This review is intended to provide. Sebaceous changes can also be a component of benign cystic lesions or epidermal tumours, and sebaceous hyperplasia is commonly encountered. Epidermoid cyst, also known as a sebaceous cyst, is a benign. Sebaceous Cyst Pathology Outlines.
From curofy.com
Sebaceous cyst pathology Sebaceous Cyst Pathology Outlines Sebaceous changes can also be a component of benign cystic lesions or epidermal tumours, and sebaceous hyperplasia is commonly encountered. Benign, sebaceous gland associated cysts, with a characteristic hyaline cuticle and jagged squamous epithelial lining. Can occur as sporadic lesions or in an autosomal dominant. Sebaceous cyst is a misnomer usually used to refer to epidermal inclusion cyst. This review. Sebaceous Cyst Pathology Outlines.
From mydiagram.online
[DIAGRAM] Diagram Of Sebaceous Cyst Sebaceous Cyst Pathology Outlines Dermoid cyst is lined by stratified squamous epithelium, sebaceous glands and hair follicles and is composed of abundant keratin flakes. Pilar cyst is lined by stratified. Can occur as sporadic lesions or in an autosomal dominant. Cystic mass with soft white keratin. [1] on occasion, it is used to refer to pilar cysts which are. Benign, sebaceous gland associated cysts,. Sebaceous Cyst Pathology Outlines.
From www.researchgate.net
Histopathology shows that the cyst wall is lined with several layers of Sebaceous Cyst Pathology Outlines This review is intended to provide. Sebaceous cyst is a misnomer usually used to refer to epidermal inclusion cyst. Department of surgery, military hospital. Can occur as sporadic lesions or in an autosomal dominant. Dermoid cyst is lined by stratified squamous epithelium, sebaceous glands and hair follicles and is composed of abundant keratin flakes. Sebaceous changes can also be a. Sebaceous Cyst Pathology Outlines.
From sitelip.org
Sebaceous Cyst Vs Lipoma Sebaceous Cyst Pathology Outlines Sebaceous cyst is a misnomer usually used to refer to epidermal inclusion cyst. This review is intended to provide. Pilar cyst is lined by stratified. Cystic mass with soft white keratin. Can occur as sporadic lesions or in an autosomal dominant. Epidermoid cyst, also known as a sebaceous cyst, is a benign encapsulated, subepidermal nodule filled with. Benign, sebaceous gland. Sebaceous Cyst Pathology Outlines.
From southeastskinclinic.com.au
Sebaceous Cyst South East Skin Clinic Sebaceous Cyst Pathology Outlines Cystic mass with soft white keratin. Pilar cyst is lined by stratified. This review is intended to provide. [1] on occasion, it is used to refer to pilar cysts which are. Department of surgery, military hospital. Epidermoid cyst, also known as a sebaceous cyst, is a benign encapsulated, subepidermal nodule filled with. Sebaceous cyst is a misnomer usually used to. Sebaceous Cyst Pathology Outlines.
From tribuntech.com
Sebaceous Cyst Tribuntech Sebaceous Cyst Pathology Outlines [1] on occasion, it is used to refer to pilar cysts which are. Cystic mass with soft white keratin. Department of surgery, military hospital. Sebaceous changes can also be a component of benign cystic lesions or epidermal tumours, and sebaceous hyperplasia is commonly encountered. Pilar cyst is lined by stratified. Dermoid cyst is lined by stratified squamous epithelium, sebaceous glands. Sebaceous Cyst Pathology Outlines.
From mydiagram.online
[DIAGRAM] Diagram Of Sebaceous Cyst Sebaceous Cyst Pathology Outlines Cystic mass with soft white keratin. [1] on occasion, it is used to refer to pilar cysts which are. This review is intended to provide. Pilar cyst is lined by stratified. Benign, sebaceous gland associated cysts, with a characteristic hyaline cuticle and jagged squamous epithelial lining. Department of surgery, military hospital. Sebaceous changes can also be a component of benign. Sebaceous Cyst Pathology Outlines.
From fity.club
Epidermal Inclusion Cyst Histology Sebaceous Cyst Pathology Outlines Benign, sebaceous gland associated cysts, with a characteristic hyaline cuticle and jagged squamous epithelial lining. Sebaceous changes can also be a component of benign cystic lesions or epidermal tumours, and sebaceous hyperplasia is commonly encountered. Cystic mass with soft white keratin. Can occur as sporadic lesions or in an autosomal dominant. Sebaceous cyst is a misnomer usually used to refer. Sebaceous Cyst Pathology Outlines.
From www.pathologyoutlines.com
Pathology Outlines Steatocystoma Sebaceous Cyst Pathology Outlines Epidermoid cyst, also known as a sebaceous cyst, is a benign encapsulated, subepidermal nodule filled with. Department of surgery, military hospital. [1] on occasion, it is used to refer to pilar cysts which are. Benign, sebaceous gland associated cysts, with a characteristic hyaline cuticle and jagged squamous epithelial lining. Dermoid cyst is lined by stratified squamous epithelium, sebaceous glands and. Sebaceous Cyst Pathology Outlines.
From mydiagram.online
[DIAGRAM] Diagram Of Sebaceous Cyst Sebaceous Cyst Pathology Outlines Sebaceous cyst is a misnomer usually used to refer to epidermal inclusion cyst. Dermoid cyst is lined by stratified squamous epithelium, sebaceous glands and hair follicles and is composed of abundant keratin flakes. Cystic mass with soft white keratin. [1] on occasion, it is used to refer to pilar cysts which are. Can occur as sporadic lesions or in an. Sebaceous Cyst Pathology Outlines.
From www.pathologyoutlines.com
Pathology Outlines Sebaceoma Sebaceous Cyst Pathology Outlines Can occur as sporadic lesions or in an autosomal dominant. Sebaceous changes can also be a component of benign cystic lesions or epidermal tumours, and sebaceous hyperplasia is commonly encountered. Cystic mass with soft white keratin. Department of surgery, military hospital. Benign, sebaceous gland associated cysts, with a characteristic hyaline cuticle and jagged squamous epithelial lining. Sebaceous cyst is a. Sebaceous Cyst Pathology Outlines.
From www.pathologyoutlines.com
Pathology Outlines Sebaceous carcinoma Sebaceous Cyst Pathology Outlines Benign, sebaceous gland associated cysts, with a characteristic hyaline cuticle and jagged squamous epithelial lining. [1] on occasion, it is used to refer to pilar cysts which are. Can occur as sporadic lesions or in an autosomal dominant. Cystic mass with soft white keratin. Pilar cyst is lined by stratified. Sebaceous changes can also be a component of benign cystic. Sebaceous Cyst Pathology Outlines.
From ar.inspiredpencil.com
Sebaceous Cyst Histology Sebaceous Cyst Pathology Outlines Sebaceous changes can also be a component of benign cystic lesions or epidermal tumours, and sebaceous hyperplasia is commonly encountered. This review is intended to provide. Sebaceous cyst is a misnomer usually used to refer to epidermal inclusion cyst. Cystic mass with soft white keratin. Dermoid cyst is lined by stratified squamous epithelium, sebaceous glands and hair follicles and is. Sebaceous Cyst Pathology Outlines.
From ar.inspiredpencil.com
Sebaceous Cyst Histology Sebaceous Cyst Pathology Outlines Sebaceous changes can also be a component of benign cystic lesions or epidermal tumours, and sebaceous hyperplasia is commonly encountered. [1] on occasion, it is used to refer to pilar cysts which are. Benign, sebaceous gland associated cysts, with a characteristic hyaline cuticle and jagged squamous epithelial lining. Pilar cyst is lined by stratified. Dermoid cyst is lined by stratified. Sebaceous Cyst Pathology Outlines.