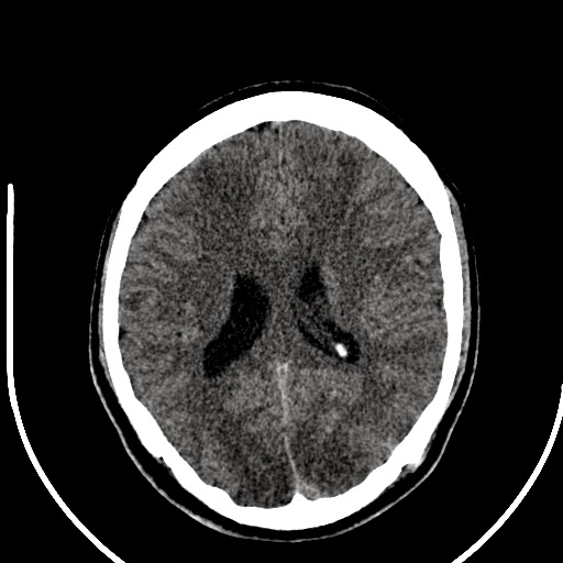
Basal Ganglia Hypodensity . the term “basal ganglia” refers to caudate and lentiform nuclei, the latter composed of putamen and globus pallidus, substantia nigra and subthalamic. neuroradiological findings in basal ganglia diseases are also known. the basal ganglia are a group of grey matter nuclei in the deep aspects of the brain that is interconnected with the cerebral cortex, thalami. However, they may be similar in different. Bilateral basal ganglia abnormalities are. The basal ganglia and thalamus are paired deep gray matter structures that may be involved by a wide variety of disease. the basal ganglia and thalamus are paired deep gray matter structures that may be. causes of basal ganglia abnormalities on computed tomography (ct). a diffuse hypodensity of bilateral basal ganglia and thalami extending into the brainstem and adjacent cerebral.
from archneur.jamanetwork.com
However, they may be similar in different. neuroradiological findings in basal ganglia diseases are also known. the basal ganglia and thalamus are paired deep gray matter structures that may be. Bilateral basal ganglia abnormalities are. causes of basal ganglia abnormalities on computed tomography (ct). the term “basal ganglia” refers to caudate and lentiform nuclei, the latter composed of putamen and globus pallidus, substantia nigra and subthalamic. the basal ganglia are a group of grey matter nuclei in the deep aspects of the brain that is interconnected with the cerebral cortex, thalami. a diffuse hypodensity of bilateral basal ganglia and thalami extending into the brainstem and adjacent cerebral. The basal ganglia and thalamus are paired deep gray matter structures that may be involved by a wide variety of disease.
Acute Bilateral Basal Ganglia Lesions and Chorea in a DiabeticUremic
Basal Ganglia Hypodensity The basal ganglia and thalamus are paired deep gray matter structures that may be involved by a wide variety of disease. neuroradiological findings in basal ganglia diseases are also known. However, they may be similar in different. a diffuse hypodensity of bilateral basal ganglia and thalami extending into the brainstem and adjacent cerebral. the term “basal ganglia” refers to caudate and lentiform nuclei, the latter composed of putamen and globus pallidus, substantia nigra and subthalamic. the basal ganglia and thalamus are paired deep gray matter structures that may be. Bilateral basal ganglia abnormalities are. The basal ganglia and thalamus are paired deep gray matter structures that may be involved by a wide variety of disease. causes of basal ganglia abnormalities on computed tomography (ct). the basal ganglia are a group of grey matter nuclei in the deep aspects of the brain that is interconnected with the cerebral cortex, thalami.
From www.researchgate.net
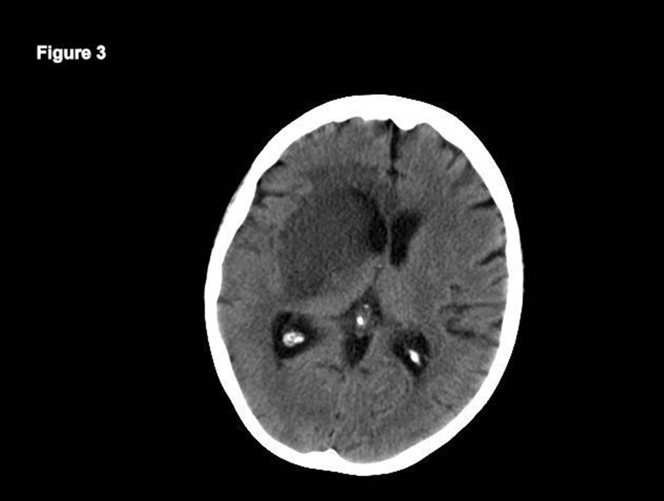
Cranial computed tomographic scan showing hypodensity in both basal Basal Ganglia Hypodensity a diffuse hypodensity of bilateral basal ganglia and thalami extending into the brainstem and adjacent cerebral. The basal ganglia and thalamus are paired deep gray matter structures that may be involved by a wide variety of disease. neuroradiological findings in basal ganglia diseases are also known. However, they may be similar in different. Bilateral basal ganglia abnormalities are.. Basal Ganglia Hypodensity.
From ultimate-radiology.blogspot.com
Ultimate Radiology Bilateral thalamic and cerebellar hypodensity Basal Ganglia Hypodensity the basal ganglia and thalamus are paired deep gray matter structures that may be. The basal ganglia and thalamus are paired deep gray matter structures that may be involved by a wide variety of disease. Bilateral basal ganglia abnormalities are. However, they may be similar in different. the basal ganglia are a group of grey matter nuclei in. Basal Ganglia Hypodensity.
From www.iapsych.com
Basal ganglia Basal Ganglia Hypodensity the basal ganglia and thalamus are paired deep gray matter structures that may be. The basal ganglia and thalamus are paired deep gray matter structures that may be involved by a wide variety of disease. However, they may be similar in different. a diffuse hypodensity of bilateral basal ganglia and thalami extending into the brainstem and adjacent cerebral.. Basal Ganglia Hypodensity.
From www.studypool.com
SOLUTION Basal ganglia physiology lecture slides mbbs notes Studypool Basal Ganglia Hypodensity the term “basal ganglia” refers to caudate and lentiform nuclei, the latter composed of putamen and globus pallidus, substantia nigra and subthalamic. a diffuse hypodensity of bilateral basal ganglia and thalami extending into the brainstem and adjacent cerebral. However, they may be similar in different. neuroradiological findings in basal ganglia diseases are also known. the basal. Basal Ganglia Hypodensity.
From ar.inspiredpencil.com
Basal Ganglia Anatomy Axial Basal Ganglia Hypodensity causes of basal ganglia abnormalities on computed tomography (ct). a diffuse hypodensity of bilateral basal ganglia and thalami extending into the brainstem and adjacent cerebral. the term “basal ganglia” refers to caudate and lentiform nuclei, the latter composed of putamen and globus pallidus, substantia nigra and subthalamic. However, they may be similar in different. neuroradiological findings. Basal Ganglia Hypodensity.
From www.researchgate.net
Bilateral basal ganglia necrosis with T2w hyperintense alterations Basal Ganglia Hypodensity The basal ganglia and thalamus are paired deep gray matter structures that may be involved by a wide variety of disease. Bilateral basal ganglia abnormalities are. neuroradiological findings in basal ganglia diseases are also known. the term “basal ganglia” refers to caudate and lentiform nuclei, the latter composed of putamen and globus pallidus, substantia nigra and subthalamic. . Basal Ganglia Hypodensity.
From www.researchgate.net
Diagram of basal ganglia neuroanatomy. Adapted from Leisman, Melillo Basal Ganglia Hypodensity neuroradiological findings in basal ganglia diseases are also known. Bilateral basal ganglia abnormalities are. However, they may be similar in different. The basal ganglia and thalamus are paired deep gray matter structures that may be involved by a wide variety of disease. causes of basal ganglia abnormalities on computed tomography (ct). a diffuse hypodensity of bilateral basal. Basal Ganglia Hypodensity.
From ultimate-radiology.blogspot.com
Ultimate Radiology Bilateral basal ganglia T1 hyperintensity Basal Ganglia Hypodensity the term “basal ganglia” refers to caudate and lentiform nuclei, the latter composed of putamen and globus pallidus, substantia nigra and subthalamic. Bilateral basal ganglia abnormalities are. neuroradiological findings in basal ganglia diseases are also known. a diffuse hypodensity of bilateral basal ganglia and thalami extending into the brainstem and adjacent cerebral. the basal ganglia and. Basal Ganglia Hypodensity.
From biologicalpsych.com
18. Basal Ganglia and Skills Basal Ganglia Hypodensity the basal ganglia are a group of grey matter nuclei in the deep aspects of the brain that is interconnected with the cerebral cortex, thalami. Bilateral basal ganglia abnormalities are. the basal ganglia and thalamus are paired deep gray matter structures that may be. However, they may be similar in different. neuroradiological findings in basal ganglia diseases. Basal Ganglia Hypodensity.
From www.researchgate.net
The Vascular Centrencephalon. Pathophysiology of lacunar infarction and Basal Ganglia Hypodensity Bilateral basal ganglia abnormalities are. the basal ganglia and thalamus are paired deep gray matter structures that may be. the term “basal ganglia” refers to caudate and lentiform nuclei, the latter composed of putamen and globus pallidus, substantia nigra and subthalamic. the basal ganglia are a group of grey matter nuclei in the deep aspects of the. Basal Ganglia Hypodensity.
From www.neurolutions.com
A Guide to Basal Ganglia Stroke Basal Ganglia Hypodensity the basal ganglia and thalamus are paired deep gray matter structures that may be. However, they may be similar in different. neuroradiological findings in basal ganglia diseases are also known. the term “basal ganglia” refers to caudate and lentiform nuclei, the latter composed of putamen and globus pallidus, substantia nigra and subthalamic. a diffuse hypodensity of. Basal Ganglia Hypodensity.
From www.researchgate.net
Symmetrical hypodensity in bilateral basal ganglia Download Basal Ganglia Hypodensity the basal ganglia are a group of grey matter nuclei in the deep aspects of the brain that is interconnected with the cerebral cortex, thalami. Bilateral basal ganglia abnormalities are. the term “basal ganglia” refers to caudate and lentiform nuclei, the latter composed of putamen and globus pallidus, substantia nigra and subthalamic. causes of basal ganglia abnormalities. Basal Ganglia Hypodensity.
From file.scirp.org
A Fatal Case of TreatmentRelated Adverse Effects in Granulomatosis Basal Ganglia Hypodensity Bilateral basal ganglia abnormalities are. The basal ganglia and thalamus are paired deep gray matter structures that may be involved by a wide variety of disease. the basal ganglia are a group of grey matter nuclei in the deep aspects of the brain that is interconnected with the cerebral cortex, thalami. neuroradiological findings in basal ganglia diseases are. Basal Ganglia Hypodensity.
From www.semanticscholar.org
Figure 1 from Basal ganglia hyperdensity on computerised tomography of Basal Ganglia Hypodensity the term “basal ganglia” refers to caudate and lentiform nuclei, the latter composed of putamen and globus pallidus, substantia nigra and subthalamic. the basal ganglia are a group of grey matter nuclei in the deep aspects of the brain that is interconnected with the cerebral cortex, thalami. causes of basal ganglia abnormalities on computed tomography (ct). . Basal Ganglia Hypodensity.
From med.libretexts.org
11.7D Basal Ganglia Medicine LibreTexts Basal Ganglia Hypodensity Bilateral basal ganglia abnormalities are. the basal ganglia are a group of grey matter nuclei in the deep aspects of the brain that is interconnected with the cerebral cortex, thalami. causes of basal ganglia abnormalities on computed tomography (ct). neuroradiological findings in basal ganglia diseases are also known. However, they may be similar in different. the. Basal Ganglia Hypodensity.
From www.online-sciences.com
Anatomy of basal nuclei (basal ganglia) and Disorders of basal ganglia Basal Ganglia Hypodensity causes of basal ganglia abnormalities on computed tomography (ct). However, they may be similar in different. neuroradiological findings in basal ganglia diseases are also known. a diffuse hypodensity of bilateral basal ganglia and thalami extending into the brainstem and adjacent cerebral. the basal ganglia are a group of grey matter nuclei in the deep aspects of. Basal Ganglia Hypodensity.
From www.researchgate.net
Noncontrast computed tomography (NCCT) of the brain showing Basal Ganglia Hypodensity the basal ganglia and thalamus are paired deep gray matter structures that may be. a diffuse hypodensity of bilateral basal ganglia and thalami extending into the brainstem and adjacent cerebral. The basal ganglia and thalamus are paired deep gray matter structures that may be involved by a wide variety of disease. neuroradiological findings in basal ganglia diseases. Basal Ganglia Hypodensity.
From syllabus.cwru.edu
Deep Basal Ganglia and Capsule Basal Ganglia Hypodensity The basal ganglia and thalamus are paired deep gray matter structures that may be involved by a wide variety of disease. However, they may be similar in different. causes of basal ganglia abnormalities on computed tomography (ct). the basal ganglia are a group of grey matter nuclei in the deep aspects of the brain that is interconnected with. Basal Ganglia Hypodensity.
From uw.pressbooks.pub
Anatomy of the Basal Ganglia Basal Ganglia Basal Ganglia Hypodensity a diffuse hypodensity of bilateral basal ganglia and thalami extending into the brainstem and adjacent cerebral. Bilateral basal ganglia abnormalities are. neuroradiological findings in basal ganglia diseases are also known. the basal ganglia are a group of grey matter nuclei in the deep aspects of the brain that is interconnected with the cerebral cortex, thalami. However, they. Basal Ganglia Hypodensity.
From www.researchgate.net
Symmetrical hypodensity in bilateral basal ganglia Download Basal Ganglia Hypodensity neuroradiological findings in basal ganglia diseases are also known. the basal ganglia are a group of grey matter nuclei in the deep aspects of the brain that is interconnected with the cerebral cortex, thalami. causes of basal ganglia abnormalities on computed tomography (ct). the term “basal ganglia” refers to caudate and lentiform nuclei, the latter composed. Basal Ganglia Hypodensity.
From mavink.com
Basal Ganglia Anatomy Ct Basal Ganglia Hypodensity the basal ganglia and thalamus are paired deep gray matter structures that may be. a diffuse hypodensity of bilateral basal ganglia and thalami extending into the brainstem and adjacent cerebral. The basal ganglia and thalamus are paired deep gray matter structures that may be involved by a wide variety of disease. causes of basal ganglia abnormalities on. Basal Ganglia Hypodensity.
From ar.inspiredpencil.com
Basal Ganglia Anatomy Mri Basal Ganglia Hypodensity the basal ganglia and thalamus are paired deep gray matter structures that may be. However, they may be similar in different. Bilateral basal ganglia abnormalities are. The basal ganglia and thalamus are paired deep gray matter structures that may be involved by a wide variety of disease. a diffuse hypodensity of bilateral basal ganglia and thalami extending into. Basal Ganglia Hypodensity.
From www.researchgate.net
1 Approximate location of the basal ganglia shown in red in the centre Basal Ganglia Hypodensity the basal ganglia are a group of grey matter nuclei in the deep aspects of the brain that is interconnected with the cerebral cortex, thalami. the term “basal ganglia” refers to caudate and lentiform nuclei, the latter composed of putamen and globus pallidus, substantia nigra and subthalamic. However, they may be similar in different. the basal ganglia. Basal Ganglia Hypodensity.
From www.vrogue.co
Bilateral Basal Ganglia Necrosis Secondary To Methamp vrogue.co Basal Ganglia Hypodensity the basal ganglia are a group of grey matter nuclei in the deep aspects of the brain that is interconnected with the cerebral cortex, thalami. the basal ganglia and thalamus are paired deep gray matter structures that may be. the term “basal ganglia” refers to caudate and lentiform nuclei, the latter composed of putamen and globus pallidus,. Basal Ganglia Hypodensity.
From openbooks.lib.msu.edu
Basal Ganglia Foundations of Neuroscience Basal Ganglia Hypodensity the basal ganglia and thalamus are paired deep gray matter structures that may be. Bilateral basal ganglia abnormalities are. neuroradiological findings in basal ganglia diseases are also known. the basal ganglia are a group of grey matter nuclei in the deep aspects of the brain that is interconnected with the cerebral cortex, thalami. The basal ganglia and. Basal Ganglia Hypodensity.
From library.neura.edu.au
Basal ganglia NeuRA Library Basal Ganglia Hypodensity the basal ganglia are a group of grey matter nuclei in the deep aspects of the brain that is interconnected with the cerebral cortex, thalami. The basal ganglia and thalamus are paired deep gray matter structures that may be involved by a wide variety of disease. a diffuse hypodensity of bilateral basal ganglia and thalami extending into the. Basal Ganglia Hypodensity.
From step1.medbullets.com
Basal Ganglia Neurology Medbullets Step 1 Basal Ganglia Hypodensity a diffuse hypodensity of bilateral basal ganglia and thalami extending into the brainstem and adjacent cerebral. Bilateral basal ganglia abnormalities are. the basal ganglia and thalamus are paired deep gray matter structures that may be. the term “basal ganglia” refers to caudate and lentiform nuclei, the latter composed of putamen and globus pallidus, substantia nigra and subthalamic.. Basal Ganglia Hypodensity.
From archneur.jamanetwork.com
Acute Bilateral Basal Ganglia Lesions and Chorea in a DiabeticUremic Basal Ganglia Hypodensity Bilateral basal ganglia abnormalities are. The basal ganglia and thalamus are paired deep gray matter structures that may be involved by a wide variety of disease. a diffuse hypodensity of bilateral basal ganglia and thalami extending into the brainstem and adjacent cerebral. the term “basal ganglia” refers to caudate and lentiform nuclei, the latter composed of putamen and. Basal Ganglia Hypodensity.
From www.youtube.com
MRI Brain anatomy Basal ganglia YouTube Basal Ganglia Hypodensity neuroradiological findings in basal ganglia diseases are also known. the term “basal ganglia” refers to caudate and lentiform nuclei, the latter composed of putamen and globus pallidus, substantia nigra and subthalamic. the basal ganglia and thalamus are paired deep gray matter structures that may be. a diffuse hypodensity of bilateral basal ganglia and thalami extending into. Basal Ganglia Hypodensity.
From www.researchgate.net
(PDF) Basal Ganglia Hyperdensity on Computerised Tomography of Brain A Basal Ganglia Hypodensity neuroradiological findings in basal ganglia diseases are also known. Bilateral basal ganglia abnormalities are. the term “basal ganglia” refers to caudate and lentiform nuclei, the latter composed of putamen and globus pallidus, substantia nigra and subthalamic. the basal ganglia and thalamus are paired deep gray matter structures that may be. causes of basal ganglia abnormalities on. Basal Ganglia Hypodensity.
From www.researchgate.net
MRI showing bilateral basal ganglia lesions with hypointensity on Basal Ganglia Hypodensity the basal ganglia are a group of grey matter nuclei in the deep aspects of the brain that is interconnected with the cerebral cortex, thalami. the basal ganglia and thalamus are paired deep gray matter structures that may be. neuroradiological findings in basal ganglia diseases are also known. Bilateral basal ganglia abnormalities are. the term “basal. Basal Ganglia Hypodensity.
From twitter.com
Studying Medicine on Twitter "Ischemic stroke noncontrast head CT Basal Ganglia Hypodensity causes of basal ganglia abnormalities on computed tomography (ct). neuroradiological findings in basal ganglia diseases are also known. the basal ganglia and thalamus are paired deep gray matter structures that may be. The basal ganglia and thalamus are paired deep gray matter structures that may be involved by a wide variety of disease. a diffuse hypodensity. Basal Ganglia Hypodensity.
From www.indianradiology.com
Cerebral venous thrombosis superficial & deep venous system Case Basal Ganglia Hypodensity causes of basal ganglia abnormalities on computed tomography (ct). Bilateral basal ganglia abnormalities are. The basal ganglia and thalamus are paired deep gray matter structures that may be involved by a wide variety of disease. the term “basal ganglia” refers to caudate and lentiform nuclei, the latter composed of putamen and globus pallidus, substantia nigra and subthalamic. . Basal Ganglia Hypodensity.
From pubs.rsna.org
Differential Diagnosis for Bilateral Abnormalities of the Basal Ganglia Basal Ganglia Hypodensity neuroradiological findings in basal ganglia diseases are also known. the basal ganglia are a group of grey matter nuclei in the deep aspects of the brain that is interconnected with the cerebral cortex, thalami. However, they may be similar in different. Bilateral basal ganglia abnormalities are. a diffuse hypodensity of bilateral basal ganglia and thalami extending into. Basal Ganglia Hypodensity.
From www.kenhub.com
Basal ganglia Gross anatomy and function Kenhub Basal Ganglia Hypodensity neuroradiological findings in basal ganglia diseases are also known. the basal ganglia and thalamus are paired deep gray matter structures that may be. the term “basal ganglia” refers to caudate and lentiform nuclei, the latter composed of putamen and globus pallidus, substantia nigra and subthalamic. The basal ganglia and thalamus are paired deep gray matter structures that. Basal Ganglia Hypodensity.