Brain Ventricles Labeled Mri . The third ventricle is located between the thalami and below the fornix of the brain. There are four such hollow spaces in the brain that house cerebrospinal fluid (csf): Two lateral ventricles, a third ventricle and a fourth ventricle. The ventricular system in the brain is a series of interconnecting spaces and channels within the brain composed of cerebrospinal fluid. The cerebral ventricular anatomy is labeled. Note, however, that mcrae’s line (basion to the.
from www.slideserve.com
The third ventricle is located between the thalami and below the fornix of the brain. The cerebral ventricular anatomy is labeled. Note, however, that mcrae’s line (basion to the. There are four such hollow spaces in the brain that house cerebrospinal fluid (csf): The ventricular system in the brain is a series of interconnecting spaces and channels within the brain composed of cerebrospinal fluid. Two lateral ventricles, a third ventricle and a fourth ventricle.
PPT MRI of Brain/Head and Neck PowerPoint Presentation, free download
Brain Ventricles Labeled Mri Note, however, that mcrae’s line (basion to the. Note, however, that mcrae’s line (basion to the. The third ventricle is located between the thalami and below the fornix of the brain. Two lateral ventricles, a third ventricle and a fourth ventricle. There are four such hollow spaces in the brain that house cerebrospinal fluid (csf): The ventricular system in the brain is a series of interconnecting spaces and channels within the brain composed of cerebrospinal fluid. The cerebral ventricular anatomy is labeled.
From www.neurologyneeds.com
Brain MRI Brain Ventricles Labeled Mri The third ventricle is located between the thalami and below the fornix of the brain. Two lateral ventricles, a third ventricle and a fourth ventricle. The ventricular system in the brain is a series of interconnecting spaces and channels within the brain composed of cerebrospinal fluid. Note, however, that mcrae’s line (basion to the. The cerebral ventricular anatomy is labeled.. Brain Ventricles Labeled Mri.
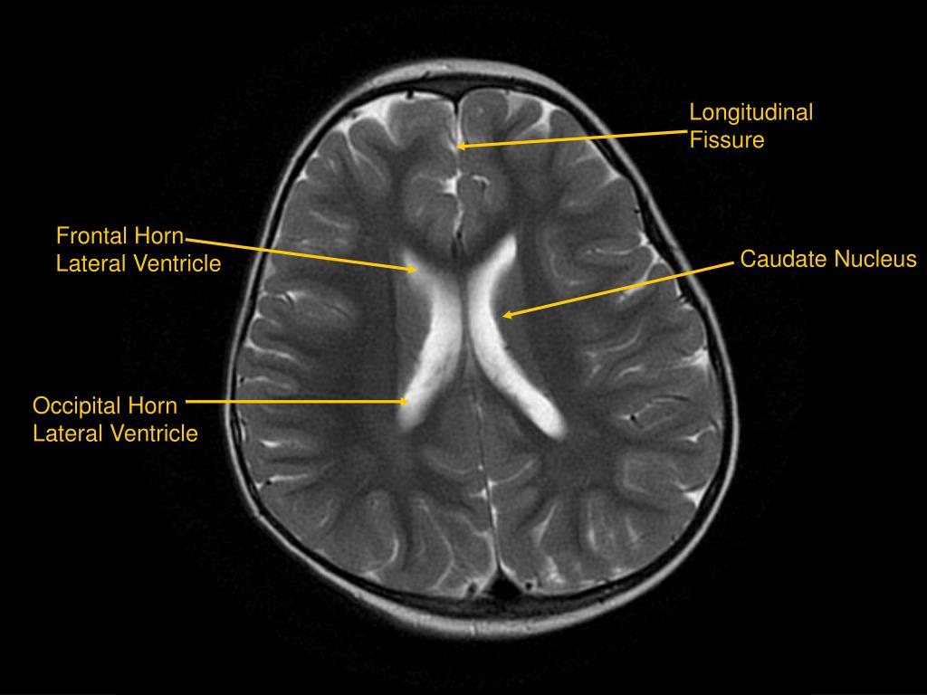
From www.kenhub.com
Brain MRI How to read MRI brain scan Kenhub Brain Ventricles Labeled Mri There are four such hollow spaces in the brain that house cerebrospinal fluid (csf): Note, however, that mcrae’s line (basion to the. The cerebral ventricular anatomy is labeled. The third ventricle is located between the thalami and below the fornix of the brain. The ventricular system in the brain is a series of interconnecting spaces and channels within the brain. Brain Ventricles Labeled Mri.
From www.pinterest.com
Pin by Danielle on call the police Brain anatomy, Mri brain, Brain scan Brain Ventricles Labeled Mri There are four such hollow spaces in the brain that house cerebrospinal fluid (csf): The third ventricle is located between the thalami and below the fornix of the brain. The cerebral ventricular anatomy is labeled. Note, however, that mcrae’s line (basion to the. Two lateral ventricles, a third ventricle and a fourth ventricle. The ventricular system in the brain is. Brain Ventricles Labeled Mri.
From www.slideserve.com
PPT MRI of Brain/Head and Neck PowerPoint Presentation, free download Brain Ventricles Labeled Mri The third ventricle is located between the thalami and below the fornix of the brain. Note, however, that mcrae’s line (basion to the. There are four such hollow spaces in the brain that house cerebrospinal fluid (csf): The ventricular system in the brain is a series of interconnecting spaces and channels within the brain composed of cerebrospinal fluid. Two lateral. Brain Ventricles Labeled Mri.
From www.sciencephoto.com
Ventricles of brain, MRI Stock Image P332/0371 Science Photo Library Brain Ventricles Labeled Mri The cerebral ventricular anatomy is labeled. Two lateral ventricles, a third ventricle and a fourth ventricle. There are four such hollow spaces in the brain that house cerebrospinal fluid (csf): The ventricular system in the brain is a series of interconnecting spaces and channels within the brain composed of cerebrospinal fluid. The third ventricle is located between the thalami and. Brain Ventricles Labeled Mri.
From www.neurologyneeds.com
Brain MRI Brain Ventricles Labeled Mri There are four such hollow spaces in the brain that house cerebrospinal fluid (csf): The cerebral ventricular anatomy is labeled. Note, however, that mcrae’s line (basion to the. The third ventricle is located between the thalami and below the fornix of the brain. Two lateral ventricles, a third ventricle and a fourth ventricle. The ventricular system in the brain is. Brain Ventricles Labeled Mri.
From mavink.com
Mri Brain Anatomy Labeled Brain Ventricles Labeled Mri The ventricular system in the brain is a series of interconnecting spaces and channels within the brain composed of cerebrospinal fluid. The third ventricle is located between the thalami and below the fornix of the brain. The cerebral ventricular anatomy is labeled. Note, however, that mcrae’s line (basion to the. There are four such hollow spaces in the brain that. Brain Ventricles Labeled Mri.
From mavink.com
Normal Brain Mri Ventricles Brain Ventricles Labeled Mri There are four such hollow spaces in the brain that house cerebrospinal fluid (csf): The cerebral ventricular anatomy is labeled. Note, however, that mcrae’s line (basion to the. The third ventricle is located between the thalami and below the fornix of the brain. The ventricular system in the brain is a series of interconnecting spaces and channels within the brain. Brain Ventricles Labeled Mri.
From mavink.com
Mri Brain Ventricle Anatomy Brain Ventricles Labeled Mri The ventricular system in the brain is a series of interconnecting spaces and channels within the brain composed of cerebrospinal fluid. Two lateral ventricles, a third ventricle and a fourth ventricle. The cerebral ventricular anatomy is labeled. The third ventricle is located between the thalami and below the fornix of the brain. Note, however, that mcrae’s line (basion to the.. Brain Ventricles Labeled Mri.
From www.bmj.com
Coronal T2 weighted resonance image of the brain The BMJ Brain Ventricles Labeled Mri The cerebral ventricular anatomy is labeled. The ventricular system in the brain is a series of interconnecting spaces and channels within the brain composed of cerebrospinal fluid. There are four such hollow spaces in the brain that house cerebrospinal fluid (csf): Note, however, that mcrae’s line (basion to the. Two lateral ventricles, a third ventricle and a fourth ventricle. The. Brain Ventricles Labeled Mri.
From pn.bmj.com
Normal anatomy of the brain on CT and MRI with a few normal variants Brain Ventricles Labeled Mri There are four such hollow spaces in the brain that house cerebrospinal fluid (csf): Note, however, that mcrae’s line (basion to the. Two lateral ventricles, a third ventricle and a fourth ventricle. The cerebral ventricular anatomy is labeled. The third ventricle is located between the thalami and below the fornix of the brain. The ventricular system in the brain is. Brain Ventricles Labeled Mri.
From www.slideserve.com
PPT MRI of Brain/Head and Neck PowerPoint Presentation, free download Brain Ventricles Labeled Mri The ventricular system in the brain is a series of interconnecting spaces and channels within the brain composed of cerebrospinal fluid. The cerebral ventricular anatomy is labeled. There are four such hollow spaces in the brain that house cerebrospinal fluid (csf): The third ventricle is located between the thalami and below the fornix of the brain. Note, however, that mcrae’s. Brain Ventricles Labeled Mri.
From www.radiomind.org
ventricular system overview Brain Imaging Brain Ventricles Labeled Mri The cerebral ventricular anatomy is labeled. The third ventricle is located between the thalami and below the fornix of the brain. There are four such hollow spaces in the brain that house cerebrospinal fluid (csf): The ventricular system in the brain is a series of interconnecting spaces and channels within the brain composed of cerebrospinal fluid. Note, however, that mcrae’s. Brain Ventricles Labeled Mri.
From www.casestacks.com
MRI Brain Anatomy Brain Ventricles Labeled Mri The cerebral ventricular anatomy is labeled. There are four such hollow spaces in the brain that house cerebrospinal fluid (csf): The third ventricle is located between the thalami and below the fornix of the brain. Two lateral ventricles, a third ventricle and a fourth ventricle. The ventricular system in the brain is a series of interconnecting spaces and channels within. Brain Ventricles Labeled Mri.
From www.sciencephoto.com
Brain ventricles, coloured CT/MRI scan Stock Image P330/0333 Brain Ventricles Labeled Mri The third ventricle is located between the thalami and below the fornix of the brain. There are four such hollow spaces in the brain that house cerebrospinal fluid (csf): Note, however, that mcrae’s line (basion to the. Two lateral ventricles, a third ventricle and a fourth ventricle. The ventricular system in the brain is a series of interconnecting spaces and. Brain Ventricles Labeled Mri.
From www.kenhub.com
Brain MRI How to read MRI brain scan Kenhub Brain Ventricles Labeled Mri The third ventricle is located between the thalami and below the fornix of the brain. The ventricular system in the brain is a series of interconnecting spaces and channels within the brain composed of cerebrospinal fluid. The cerebral ventricular anatomy is labeled. Two lateral ventricles, a third ventricle and a fourth ventricle. Note, however, that mcrae’s line (basion to the.. Brain Ventricles Labeled Mri.
From learningneurology.com
Approach to MRI brain Brain Ventricles Labeled Mri The third ventricle is located between the thalami and below the fornix of the brain. The cerebral ventricular anatomy is labeled. The ventricular system in the brain is a series of interconnecting spaces and channels within the brain composed of cerebrospinal fluid. Note, however, that mcrae’s line (basion to the. Two lateral ventricles, a third ventricle and a fourth ventricle.. Brain Ventricles Labeled Mri.
From learningneurology.com
Approach to MRI brain Brain Ventricles Labeled Mri Note, however, that mcrae’s line (basion to the. The ventricular system in the brain is a series of interconnecting spaces and channels within the brain composed of cerebrospinal fluid. Two lateral ventricles, a third ventricle and a fourth ventricle. There are four such hollow spaces in the brain that house cerebrospinal fluid (csf): The cerebral ventricular anatomy is labeled. The. Brain Ventricles Labeled Mri.
From radiologykey.com
Ventricles and Cerebrospinal Fluid Cisterns Radiology Key Brain Ventricles Labeled Mri The ventricular system in the brain is a series of interconnecting spaces and channels within the brain composed of cerebrospinal fluid. There are four such hollow spaces in the brain that house cerebrospinal fluid (csf): Two lateral ventricles, a third ventricle and a fourth ventricle. Note, however, that mcrae’s line (basion to the. The cerebral ventricular anatomy is labeled. The. Brain Ventricles Labeled Mri.
From www.sciencephoto.com
Ventricles of brain, MRI Stock Image P332/0374 Science Photo Library Brain Ventricles Labeled Mri There are four such hollow spaces in the brain that house cerebrospinal fluid (csf): The cerebral ventricular anatomy is labeled. The ventricular system in the brain is a series of interconnecting spaces and channels within the brain composed of cerebrospinal fluid. Two lateral ventricles, a third ventricle and a fourth ventricle. Note, however, that mcrae’s line (basion to the. The. Brain Ventricles Labeled Mri.
From www.pinterest.com.mx
Read on for my tips at looking at a sagittal view MRI of the brain Brain Ventricles Labeled Mri Note, however, that mcrae’s line (basion to the. Two lateral ventricles, a third ventricle and a fourth ventricle. The ventricular system in the brain is a series of interconnecting spaces and channels within the brain composed of cerebrospinal fluid. The cerebral ventricular anatomy is labeled. The third ventricle is located between the thalami and below the fornix of the brain.. Brain Ventricles Labeled Mri.
From www.youtube.com
ventricles sagittal MRI YouTube Brain Ventricles Labeled Mri The third ventricle is located between the thalami and below the fornix of the brain. Note, however, that mcrae’s line (basion to the. Two lateral ventricles, a third ventricle and a fourth ventricle. The ventricular system in the brain is a series of interconnecting spaces and channels within the brain composed of cerebrospinal fluid. The cerebral ventricular anatomy is labeled.. Brain Ventricles Labeled Mri.
From mavink.com
Mri Brain Ventricle Anatomy Brain Ventricles Labeled Mri The ventricular system in the brain is a series of interconnecting spaces and channels within the brain composed of cerebrospinal fluid. Note, however, that mcrae’s line (basion to the. The cerebral ventricular anatomy is labeled. Two lateral ventricles, a third ventricle and a fourth ventricle. There are four such hollow spaces in the brain that house cerebrospinal fluid (csf): The. Brain Ventricles Labeled Mri.
From www.radiomind.org
ventricular system overview Brain Imaging Brain Ventricles Labeled Mri Two lateral ventricles, a third ventricle and a fourth ventricle. Note, however, that mcrae’s line (basion to the. The third ventricle is located between the thalami and below the fornix of the brain. The ventricular system in the brain is a series of interconnecting spaces and channels within the brain composed of cerebrospinal fluid. There are four such hollow spaces. Brain Ventricles Labeled Mri.
From www.youtube.com
MRI ventricle and cisterns of the Brain YouTube Brain Ventricles Labeled Mri There are four such hollow spaces in the brain that house cerebrospinal fluid (csf): The cerebral ventricular anatomy is labeled. The third ventricle is located between the thalami and below the fornix of the brain. Two lateral ventricles, a third ventricle and a fourth ventricle. Note, however, that mcrae’s line (basion to the. The ventricular system in the brain is. Brain Ventricles Labeled Mri.
From mavink.com
Mri Brain Ventricle Anatomy Brain Ventricles Labeled Mri The cerebral ventricular anatomy is labeled. The third ventricle is located between the thalami and below the fornix of the brain. The ventricular system in the brain is a series of interconnecting spaces and channels within the brain composed of cerebrospinal fluid. Two lateral ventricles, a third ventricle and a fourth ventricle. There are four such hollow spaces in the. Brain Ventricles Labeled Mri.
From www.sciencephoto.com
Ventricles of brain, MRI Stock Image P332/0376 Science Photo Library Brain Ventricles Labeled Mri The third ventricle is located between the thalami and below the fornix of the brain. Note, however, that mcrae’s line (basion to the. Two lateral ventricles, a third ventricle and a fourth ventricle. The cerebral ventricular anatomy is labeled. The ventricular system in the brain is a series of interconnecting spaces and channels within the brain composed of cerebrospinal fluid.. Brain Ventricles Labeled Mri.
From learningneurology.com
Approach to MRI brain Brain Ventricles Labeled Mri The cerebral ventricular anatomy is labeled. There are four such hollow spaces in the brain that house cerebrospinal fluid (csf): Two lateral ventricles, a third ventricle and a fourth ventricle. The ventricular system in the brain is a series of interconnecting spaces and channels within the brain composed of cerebrospinal fluid. The third ventricle is located between the thalami and. Brain Ventricles Labeled Mri.
From www.radiomind.org
ventricular system overview Brain Imaging Brain Ventricles Labeled Mri There are four such hollow spaces in the brain that house cerebrospinal fluid (csf): Two lateral ventricles, a third ventricle and a fourth ventricle. The cerebral ventricular anatomy is labeled. Note, however, that mcrae’s line (basion to the. The third ventricle is located between the thalami and below the fornix of the brain. The ventricular system in the brain is. Brain Ventricles Labeled Mri.
From www.pinterest.dk
MRI brain coronal cross sectional anatomy image Brain anatomy, Mri Brain Ventricles Labeled Mri The third ventricle is located between the thalami and below the fornix of the brain. The ventricular system in the brain is a series of interconnecting spaces and channels within the brain composed of cerebrospinal fluid. Two lateral ventricles, a third ventricle and a fourth ventricle. The cerebral ventricular anatomy is labeled. Note, however, that mcrae’s line (basion to the.. Brain Ventricles Labeled Mri.
From www.sciencephoto.com
Ventricles of brain, MRI Stock Image P332/0373 Science Photo Library Brain Ventricles Labeled Mri The ventricular system in the brain is a series of interconnecting spaces and channels within the brain composed of cerebrospinal fluid. Note, however, that mcrae’s line (basion to the. Two lateral ventricles, a third ventricle and a fourth ventricle. The cerebral ventricular anatomy is labeled. The third ventricle is located between the thalami and below the fornix of the brain.. Brain Ventricles Labeled Mri.
From openi.nlm.nih.gov
MRI brain plain. Arrows show prominence of ventricular Openi Brain Ventricles Labeled Mri The cerebral ventricular anatomy is labeled. The third ventricle is located between the thalami and below the fornix of the brain. The ventricular system in the brain is a series of interconnecting spaces and channels within the brain composed of cerebrospinal fluid. Note, however, that mcrae’s line (basion to the. Two lateral ventricles, a third ventricle and a fourth ventricle.. Brain Ventricles Labeled Mri.
From www.sciencephoto.com
Ventricles of brain, MRI Stock Image P332/0375 Science Photo Library Brain Ventricles Labeled Mri The third ventricle is located between the thalami and below the fornix of the brain. The cerebral ventricular anatomy is labeled. Note, however, that mcrae’s line (basion to the. Two lateral ventricles, a third ventricle and a fourth ventricle. The ventricular system in the brain is a series of interconnecting spaces and channels within the brain composed of cerebrospinal fluid.. Brain Ventricles Labeled Mri.
From radiologypics.com
The Ventricular System of the Brain Brain Ventricles Labeled Mri The cerebral ventricular anatomy is labeled. The third ventricle is located between the thalami and below the fornix of the brain. There are four such hollow spaces in the brain that house cerebrospinal fluid (csf): Two lateral ventricles, a third ventricle and a fourth ventricle. The ventricular system in the brain is a series of interconnecting spaces and channels within. Brain Ventricles Labeled Mri.
From radiologykey.com
Normal Anatomy Radiology Key Brain Ventricles Labeled Mri There are four such hollow spaces in the brain that house cerebrospinal fluid (csf): Note, however, that mcrae’s line (basion to the. The cerebral ventricular anatomy is labeled. The third ventricle is located between the thalami and below the fornix of the brain. Two lateral ventricles, a third ventricle and a fourth ventricle. The ventricular system in the brain is. Brain Ventricles Labeled Mri.