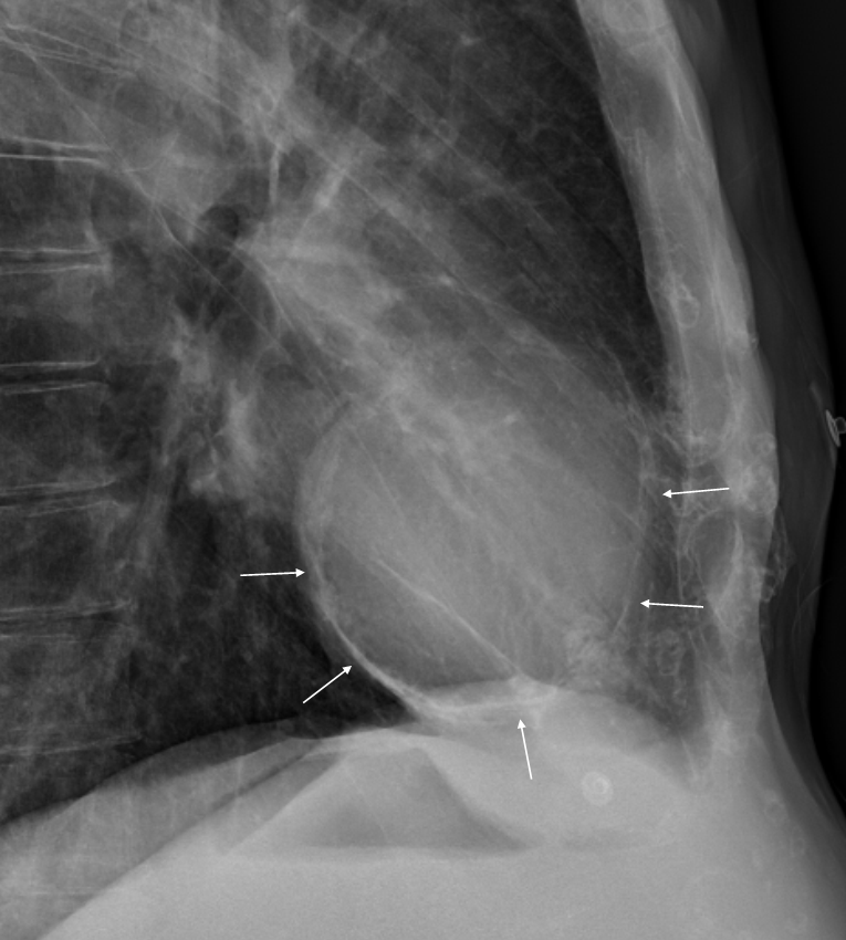
Pericardial Effusion Lateral Chest X-Ray . — lateral cxr of pericardial effusion. — pericardial effusion is present when the fluid in the pericardial space exceeds its physiological amount (≤50. — the initial approach in a patient presenting with pericardial effusion includes personal and family medical history,.
from radiologyinthai.blogspot.tw
— pericardial effusion is present when the fluid in the pericardial space exceeds its physiological amount (≤50. — lateral cxr of pericardial effusion. — the initial approach in a patient presenting with pericardial effusion includes personal and family medical history,.
RiT radiology Pericardial Effusion on Lateral Chest Radiograph
Pericardial Effusion Lateral Chest X-Ray — the initial approach in a patient presenting with pericardial effusion includes personal and family medical history,. — lateral cxr of pericardial effusion. — the initial approach in a patient presenting with pericardial effusion includes personal and family medical history,. — pericardial effusion is present when the fluid in the pericardial space exceeds its physiological amount (≤50.
From teachim.org
Chest xray Archives teachIM Pericardial Effusion Lateral Chest X-Ray — lateral cxr of pericardial effusion. — pericardial effusion is present when the fluid in the pericardial space exceeds its physiological amount (≤50. — the initial approach in a patient presenting with pericardial effusion includes personal and family medical history,. Pericardial Effusion Lateral Chest X-Ray.
From healthjade.net
Pericardial Effusion Causes, Symptoms, Diagnosis, Prognosis, Treatment Pericardial Effusion Lateral Chest X-Ray — the initial approach in a patient presenting with pericardial effusion includes personal and family medical history,. — lateral cxr of pericardial effusion. — pericardial effusion is present when the fluid in the pericardial space exceeds its physiological amount (≤50. Pericardial Effusion Lateral Chest X-Ray.
From www.researchgate.net
(case 3) Chest XRay with signs of pericardial effusion, tamponade and Pericardial Effusion Lateral Chest X-Ray — lateral cxr of pericardial effusion. — pericardial effusion is present when the fluid in the pericardial space exceeds its physiological amount (≤50. — the initial approach in a patient presenting with pericardial effusion includes personal and family medical history,. Pericardial Effusion Lateral Chest X-Ray.
From www.flickr.com
606 Figure1 Chest Xray of a pericardial effusion Flickr Pericardial Effusion Lateral Chest X-Ray — lateral cxr of pericardial effusion. — the initial approach in a patient presenting with pericardial effusion includes personal and family medical history,. — pericardial effusion is present when the fluid in the pericardial space exceeds its physiological amount (≤50. Pericardial Effusion Lateral Chest X-Ray.
From www.ctisus.com
Pericardial Effusion on Chest Xray X Rays Case Studies CTisus CT Pericardial Effusion Lateral Chest X-Ray — pericardial effusion is present when the fluid in the pericardial space exceeds its physiological amount (≤50. — lateral cxr of pericardial effusion. — the initial approach in a patient presenting with pericardial effusion includes personal and family medical history,. Pericardial Effusion Lateral Chest X-Ray.
From www.msdmanuals.com
Image Chest XRay of a Patient with Pericardial Effusion MSD Manual Pericardial Effusion Lateral Chest X-Ray — the initial approach in a patient presenting with pericardial effusion includes personal and family medical history,. — pericardial effusion is present when the fluid in the pericardial space exceeds its physiological amount (≤50. — lateral cxr of pericardial effusion. Pericardial Effusion Lateral Chest X-Ray.
From proper-cooking.info
Pericarditis Chest X Ray Pericardial Effusion Lateral Chest X-Ray — the initial approach in a patient presenting with pericardial effusion includes personal and family medical history,. — pericardial effusion is present when the fluid in the pericardial space exceeds its physiological amount (≤50. — lateral cxr of pericardial effusion. Pericardial Effusion Lateral Chest X-Ray.
From www.svuhradiology.ie
Pericardial effusion CXR and CT Radiology at St. Vincent's Pericardial Effusion Lateral Chest X-Ray — pericardial effusion is present when the fluid in the pericardial space exceeds its physiological amount (≤50. — the initial approach in a patient presenting with pericardial effusion includes personal and family medical history,. — lateral cxr of pericardial effusion. Pericardial Effusion Lateral Chest X-Ray.
From www.acc.org
Chest Radiograph Signs Suggestive of Pericardial Disease American Pericardial Effusion Lateral Chest X-Ray — pericardial effusion is present when the fluid in the pericardial space exceeds its physiological amount (≤50. — the initial approach in a patient presenting with pericardial effusion includes personal and family medical history,. — lateral cxr of pericardial effusion. Pericardial Effusion Lateral Chest X-Ray.
From www.acc.org
Chest Radiograph Signs Suggestive of Pericardial Disease American Pericardial Effusion Lateral Chest X-Ray — the initial approach in a patient presenting with pericardial effusion includes personal and family medical history,. — lateral cxr of pericardial effusion. — pericardial effusion is present when the fluid in the pericardial space exceeds its physiological amount (≤50. Pericardial Effusion Lateral Chest X-Ray.
From radiologyinthai.blogspot.tw
RiT radiology Pericardial Effusion on Lateral Chest Radiograph Pericardial Effusion Lateral Chest X-Ray — lateral cxr of pericardial effusion. — pericardial effusion is present when the fluid in the pericardial space exceeds its physiological amount (≤50. — the initial approach in a patient presenting with pericardial effusion includes personal and family medical history,. Pericardial Effusion Lateral Chest X-Ray.
From ar.inspiredpencil.com
Pericardial Effusion X Ray Pericardial Effusion Lateral Chest X-Ray — the initial approach in a patient presenting with pericardial effusion includes personal and family medical history,. — pericardial effusion is present when the fluid in the pericardial space exceeds its physiological amount (≤50. — lateral cxr of pericardial effusion. Pericardial Effusion Lateral Chest X-Ray.
From www.wikidoc.org
Pericardial effusion chest x ray wikidoc Pericardial Effusion Lateral Chest X-Ray — lateral cxr of pericardial effusion. — pericardial effusion is present when the fluid in the pericardial space exceeds its physiological amount (≤50. — the initial approach in a patient presenting with pericardial effusion includes personal and family medical history,. Pericardial Effusion Lateral Chest X-Ray.
From www.medicotips.com
Massive Pericardial Effusion Case X Ray and CT Diagnosis And Treatment Pericardial Effusion Lateral Chest X-Ray — lateral cxr of pericardial effusion. — pericardial effusion is present when the fluid in the pericardial space exceeds its physiological amount (≤50. — the initial approach in a patient presenting with pericardial effusion includes personal and family medical history,. Pericardial Effusion Lateral Chest X-Ray.
From www.pinterest.com
Pericardial effusion Radiology Case Pericardial Pericardial Effusion Lateral Chest X-Ray — pericardial effusion is present when the fluid in the pericardial space exceeds its physiological amount (≤50. — lateral cxr of pericardial effusion. — the initial approach in a patient presenting with pericardial effusion includes personal and family medical history,. Pericardial Effusion Lateral Chest X-Ray.
From mavink.com
Pericardial Effusion On Chest X Ray Pericardial Effusion Lateral Chest X-Ray — lateral cxr of pericardial effusion. — the initial approach in a patient presenting with pericardial effusion includes personal and family medical history,. — pericardial effusion is present when the fluid in the pericardial space exceeds its physiological amount (≤50. Pericardial Effusion Lateral Chest X-Ray.
From www.acc.org
Chest Radiograph Signs Suggestive of Pericardial Disease American Pericardial Effusion Lateral Chest X-Ray — lateral cxr of pericardial effusion. — the initial approach in a patient presenting with pericardial effusion includes personal and family medical history,. — pericardial effusion is present when the fluid in the pericardial space exceeds its physiological amount (≤50. Pericardial Effusion Lateral Chest X-Ray.
From www.researchgate.net
Chest Xray of case 3 showing pericardial effusion and left sided Pericardial Effusion Lateral Chest X-Ray — pericardial effusion is present when the fluid in the pericardial space exceeds its physiological amount (≤50. — the initial approach in a patient presenting with pericardial effusion includes personal and family medical history,. — lateral cxr of pericardial effusion. Pericardial Effusion Lateral Chest X-Ray.
From radiologykey.com
142 Pericardial Effusion Radiology Key Pericardial Effusion Lateral Chest X-Ray — the initial approach in a patient presenting with pericardial effusion includes personal and family medical history,. — pericardial effusion is present when the fluid in the pericardial space exceeds its physiological amount (≤50. — lateral cxr of pericardial effusion. Pericardial Effusion Lateral Chest X-Ray.
From www.researchgate.net
a) Chest Xray (Frontal view) shows thick pericardial calcification Pericardial Effusion Lateral Chest X-Ray — the initial approach in a patient presenting with pericardial effusion includes personal and family medical history,. — pericardial effusion is present when the fluid in the pericardial space exceeds its physiological amount (≤50. — lateral cxr of pericardial effusion. Pericardial Effusion Lateral Chest X-Ray.
From www.acc.org
Chest Radiograph Signs Suggestive of Pericardial Disease American Pericardial Effusion Lateral Chest X-Ray — pericardial effusion is present when the fluid in the pericardial space exceeds its physiological amount (≤50. — the initial approach in a patient presenting with pericardial effusion includes personal and family medical history,. — lateral cxr of pericardial effusion. Pericardial Effusion Lateral Chest X-Ray.
From proper-cooking.info
Pericarditis Chest X Ray Pericardial Effusion Lateral Chest X-Ray — the initial approach in a patient presenting with pericardial effusion includes personal and family medical history,. — pericardial effusion is present when the fluid in the pericardial space exceeds its physiological amount (≤50. — lateral cxr of pericardial effusion. Pericardial Effusion Lateral Chest X-Ray.
From www.learningradiology.com
Learning Radiology Pericardial, effusion, fluid, pericardium Pericardial Effusion Lateral Chest X-Ray — lateral cxr of pericardial effusion. — pericardial effusion is present when the fluid in the pericardial space exceeds its physiological amount (≤50. — the initial approach in a patient presenting with pericardial effusion includes personal and family medical history,. Pericardial Effusion Lateral Chest X-Ray.
From radiologypics.com
Pericardial Effusion The Oreo Cookie Sign Pericardial Effusion Lateral Chest X-Ray — the initial approach in a patient presenting with pericardial effusion includes personal and family medical history,. — pericardial effusion is present when the fluid in the pericardial space exceeds its physiological amount (≤50. — lateral cxr of pericardial effusion. Pericardial Effusion Lateral Chest X-Ray.
From www.wikem.org
Pericardial effusion and tamponade WikEM Pericardial Effusion Lateral Chest X-Ray — pericardial effusion is present when the fluid in the pericardial space exceeds its physiological amount (≤50. — the initial approach in a patient presenting with pericardial effusion includes personal and family medical history,. — lateral cxr of pericardial effusion. Pericardial Effusion Lateral Chest X-Ray.
From med.emory.edu
Pericardial Effusion Emory School of Medicine Pericardial Effusion Lateral Chest X-Ray — lateral cxr of pericardial effusion. — the initial approach in a patient presenting with pericardial effusion includes personal and family medical history,. — pericardial effusion is present when the fluid in the pericardial space exceeds its physiological amount (≤50. Pericardial Effusion Lateral Chest X-Ray.
From www.youtube.com
Chest xray Pericardial Effusion YouTube Pericardial Effusion Lateral Chest X-Ray — lateral cxr of pericardial effusion. — pericardial effusion is present when the fluid in the pericardial space exceeds its physiological amount (≤50. — the initial approach in a patient presenting with pericardial effusion includes personal and family medical history,. Pericardial Effusion Lateral Chest X-Ray.
From radiopaedia.org
Image Pericardial Effusion Lateral Chest X-Ray — the initial approach in a patient presenting with pericardial effusion includes personal and family medical history,. — pericardial effusion is present when the fluid in the pericardial space exceeds its physiological amount (≤50. — lateral cxr of pericardial effusion. Pericardial Effusion Lateral Chest X-Ray.
From www.wikidoc.org
Pericardial effusion chest x ray wikidoc Pericardial Effusion Lateral Chest X-Ray — lateral cxr of pericardial effusion. — pericardial effusion is present when the fluid in the pericardial space exceeds its physiological amount (≤50. — the initial approach in a patient presenting with pericardial effusion includes personal and family medical history,. Pericardial Effusion Lateral Chest X-Ray.
From radiopaedia.org
Pericardial effusion Radiology Case Pericardial Effusion Lateral Chest X-Ray — lateral cxr of pericardial effusion. — pericardial effusion is present when the fluid in the pericardial space exceeds its physiological amount (≤50. — the initial approach in a patient presenting with pericardial effusion includes personal and family medical history,. Pericardial Effusion Lateral Chest X-Ray.
From www.cureus.com
Cureus A Case of Seronegative ANA HydralazineInduced Lupus Pericardial Effusion Lateral Chest X-Ray — lateral cxr of pericardial effusion. — the initial approach in a patient presenting with pericardial effusion includes personal and family medical history,. — pericardial effusion is present when the fluid in the pericardial space exceeds its physiological amount (≤50. Pericardial Effusion Lateral Chest X-Ray.
From mungfali.com
Pericardial Effusion Chest X Ray Pericardial Effusion Lateral Chest X-Ray — the initial approach in a patient presenting with pericardial effusion includes personal and family medical history,. — lateral cxr of pericardial effusion. — pericardial effusion is present when the fluid in the pericardial space exceeds its physiological amount (≤50. Pericardial Effusion Lateral Chest X-Ray.
From johnsonfrancis.org
Pericardial Effusion on CXR All About Cardiovascular System and Disorders Pericardial Effusion Lateral Chest X-Ray — pericardial effusion is present when the fluid in the pericardial space exceeds its physiological amount (≤50. — lateral cxr of pericardial effusion. — the initial approach in a patient presenting with pericardial effusion includes personal and family medical history,. Pericardial Effusion Lateral Chest X-Ray.
From www.youtube.com
Pericardial Effusion Explanation of Chest Xray Findings (Water Bottle Pericardial Effusion Lateral Chest X-Ray — pericardial effusion is present when the fluid in the pericardial space exceeds its physiological amount (≤50. — lateral cxr of pericardial effusion. — the initial approach in a patient presenting with pericardial effusion includes personal and family medical history,. Pericardial Effusion Lateral Chest X-Ray.
From radiopaedia.org
Pericardial effusion (SLE) Image Pericardial Effusion Lateral Chest X-Ray — pericardial effusion is present when the fluid in the pericardial space exceeds its physiological amount (≤50. — lateral cxr of pericardial effusion. — the initial approach in a patient presenting with pericardial effusion includes personal and family medical history,. Pericardial Effusion Lateral Chest X-Ray.