Dip Joint Erosions . They are a sign of more advanced osteoarthritis in the dip. erosive osteoarthritis is a type of inflammatory osteoarthritis. the pain can result from: You can also have variable degrees of: eventually, patients with erosive hand oa will develop deformities of the distal interphalangeal (dip) and proximal interphalangeal (pip) joints, medial and lateral subluxations, as well as instability, flexion deformity and ankylosis. The abrupt onset of symptoms is in contrast to the gradual progression of symptoms typical of hand oa. These are the signs you could have it. Arthritis of the dip and pip joints are very common forms of osteoarthritis seen in the hand and can be associated with pain and. erosive arthritis has a broad differential: erosive oa usually starts with a sudden onset of severe tenderness in multiple finger joints. Heberden’s nodes are bony nodules that form around a joint as cartilage erodes and bones rub together. When hand arthritis symptoms strike fast and hard, you may have osteoarthritis with an inflammatory kick. Clinically an acute inflammatory attacks (swelling, erythema,. It can develop in the hinge joints of the fingers and less frequently in the toes.
from www.mdpi.com
They are a sign of more advanced osteoarthritis in the dip. These are the signs you could have it. It can develop in the hinge joints of the fingers and less frequently in the toes. Clinically an acute inflammatory attacks (swelling, erythema,. the pain can result from: eventually, patients with erosive hand oa will develop deformities of the distal interphalangeal (dip) and proximal interphalangeal (pip) joints, medial and lateral subluxations, as well as instability, flexion deformity and ankylosis. erosive oa usually starts with a sudden onset of severe tenderness in multiple finger joints. Heberden’s nodes are bony nodules that form around a joint as cartilage erodes and bones rub together. erosive arthritis has a broad differential: The abrupt onset of symptoms is in contrast to the gradual progression of symptoms typical of hand oa.
JCM Free FullText Hand Erosive Osteoarthritis and Distal Interphalangeal Involvement in
Dip Joint Erosions Clinically an acute inflammatory attacks (swelling, erythema,. erosive osteoarthritis is a type of inflammatory osteoarthritis. Clinically an acute inflammatory attacks (swelling, erythema,. It can develop in the hinge joints of the fingers and less frequently in the toes. The abrupt onset of symptoms is in contrast to the gradual progression of symptoms typical of hand oa. You can also have variable degrees of: Heberden’s nodes are bony nodules that form around a joint as cartilage erodes and bones rub together. erosive arthritis has a broad differential: Arthritis of the dip and pip joints are very common forms of osteoarthritis seen in the hand and can be associated with pain and. the pain can result from: These are the signs you could have it. When hand arthritis symptoms strike fast and hard, you may have osteoarthritis with an inflammatory kick. erosive oa usually starts with a sudden onset of severe tenderness in multiple finger joints. They are a sign of more advanced osteoarthritis in the dip. eventually, patients with erosive hand oa will develop deformities of the distal interphalangeal (dip) and proximal interphalangeal (pip) joints, medial and lateral subluxations, as well as instability, flexion deformity and ankylosis.
From www.researchgate.net
Bones and joints of the human hand, DIPDistal Interphalangeal joint;... Download Scientific Dip Joint Erosions erosive oa usually starts with a sudden onset of severe tenderness in multiple finger joints. When hand arthritis symptoms strike fast and hard, you may have osteoarthritis with an inflammatory kick. Clinically an acute inflammatory attacks (swelling, erythema,. Arthritis of the dip and pip joints are very common forms of osteoarthritis seen in the hand and can be associated. Dip Joint Erosions.
From www.researchgate.net
50yearold female with erosive arthritis. Severe osteoarthritis of DIP... Download Scientific Dip Joint Erosions They are a sign of more advanced osteoarthritis in the dip. You can also have variable degrees of: When hand arthritis symptoms strike fast and hard, you may have osteoarthritis with an inflammatory kick. erosive osteoarthritis is a type of inflammatory osteoarthritis. Heberden’s nodes are bony nodules that form around a joint as cartilage erodes and bones rub together.. Dip Joint Erosions.
From www.slideserve.com
PPT Osteoarthritis, Rheumatoid Arthritis, and Spondylarthropathies PowerPoint Presentation Dip Joint Erosions It can develop in the hinge joints of the fingers and less frequently in the toes. Clinically an acute inflammatory attacks (swelling, erythema,. When hand arthritis symptoms strike fast and hard, you may have osteoarthritis with an inflammatory kick. eventually, patients with erosive hand oa will develop deformities of the distal interphalangeal (dip) and proximal interphalangeal (pip) joints, medial. Dip Joint Erosions.
From www.researchgate.net
Xray of both hands revealed subchondral erosion of the wrist, PIP, and... Download Scientific Dip Joint Erosions erosive oa usually starts with a sudden onset of severe tenderness in multiple finger joints. erosive osteoarthritis is a type of inflammatory osteoarthritis. The abrupt onset of symptoms is in contrast to the gradual progression of symptoms typical of hand oa. Clinically an acute inflammatory attacks (swelling, erythema,. It can develop in the hinge joints of the fingers. Dip Joint Erosions.
From ard.bmj.com
Healing of erosions in rheumatoid arthritis Annals of the Rheumatic Diseases Dip Joint Erosions It can develop in the hinge joints of the fingers and less frequently in the toes. the pain can result from: They are a sign of more advanced osteoarthritis in the dip. The abrupt onset of symptoms is in contrast to the gradual progression of symptoms typical of hand oa. erosive arthritis has a broad differential: eventually,. Dip Joint Erosions.
From www.researchgate.net
Circumscribed erosions and cysts in first interphalangeal joint,... Download Scientific Diagram Dip Joint Erosions eventually, patients with erosive hand oa will develop deformities of the distal interphalangeal (dip) and proximal interphalangeal (pip) joints, medial and lateral subluxations, as well as instability, flexion deformity and ankylosis. erosive arthritis has a broad differential: Heberden’s nodes are bony nodules that form around a joint as cartilage erodes and bones rub together. It can develop in. Dip Joint Erosions.
From www.researchgate.net
X‐rays of hands at presentation Joint space narrowing and marginal... Download Scientific Diagram Dip Joint Erosions Clinically an acute inflammatory attacks (swelling, erythema,. You can also have variable degrees of: erosive arthritis has a broad differential: the pain can result from: When hand arthritis symptoms strike fast and hard, you may have osteoarthritis with an inflammatory kick. eventually, patients with erosive hand oa will develop deformities of the distal interphalangeal (dip) and proximal. Dip Joint Erosions.
From www.jrheum.org
Healing of Erosive Disease in Multicentric Reticulohistiocytosis The Journal of Rheumatology Dip Joint Erosions Clinically an acute inflammatory attacks (swelling, erythema,. They are a sign of more advanced osteoarthritis in the dip. eventually, patients with erosive hand oa will develop deformities of the distal interphalangeal (dip) and proximal interphalangeal (pip) joints, medial and lateral subluxations, as well as instability, flexion deformity and ankylosis. It can develop in the hinge joints of the fingers. Dip Joint Erosions.
From radiologyassistant.nl
The Radiology Assistant Arthritis Dip Joint Erosions The abrupt onset of symptoms is in contrast to the gradual progression of symptoms typical of hand oa. They are a sign of more advanced osteoarthritis in the dip. Arthritis of the dip and pip joints are very common forms of osteoarthritis seen in the hand and can be associated with pain and. erosive osteoarthritis is a type of. Dip Joint Erosions.
From www.researchgate.net
Xray of the left hand showing joint erosions at the wrist,... Download Scientific Diagram Dip Joint Erosions Arthritis of the dip and pip joints are very common forms of osteoarthritis seen in the hand and can be associated with pain and. It can develop in the hinge joints of the fingers and less frequently in the toes. Clinically an acute inflammatory attacks (swelling, erythema,. erosive oa usually starts with a sudden onset of severe tenderness in. Dip Joint Erosions.
From www.consultant360.com
A Woman With Worsening Hand Pain and Stiffness Consultant360 Dip Joint Erosions These are the signs you could have it. When hand arthritis symptoms strike fast and hard, you may have osteoarthritis with an inflammatory kick. You can also have variable degrees of: They are a sign of more advanced osteoarthritis in the dip. erosive osteoarthritis is a type of inflammatory osteoarthritis. erosive oa usually starts with a sudden onset. Dip Joint Erosions.
From ard.bmj.com
Leflunomide decreases joint erosions and induces reparative changes in a patient with psoriatic Dip Joint Erosions erosive arthritis has a broad differential: They are a sign of more advanced osteoarthritis in the dip. the pain can result from: Heberden’s nodes are bony nodules that form around a joint as cartilage erodes and bones rub together. You can also have variable degrees of: erosive oa usually starts with a sudden onset of severe tenderness. Dip Joint Erosions.
From www.reumatologiaclinica.org
Gullwing sign A characteristic sign of erosive hand osteoarthritis Reumatología Clínica Dip Joint Erosions the pain can result from: erosive osteoarthritis is a type of inflammatory osteoarthritis. eventually, patients with erosive hand oa will develop deformities of the distal interphalangeal (dip) and proximal interphalangeal (pip) joints, medial and lateral subluxations, as well as instability, flexion deformity and ankylosis. erosive arthritis has a broad differential: erosive oa usually starts with. Dip Joint Erosions.
From www.mdpi.com
Diagnostics Free FullText OsteoProliferative Lesions of the Phalanges on Radiography Dip Joint Erosions Arthritis of the dip and pip joints are very common forms of osteoarthritis seen in the hand and can be associated with pain and. eventually, patients with erosive hand oa will develop deformities of the distal interphalangeal (dip) and proximal interphalangeal (pip) joints, medial and lateral subluxations, as well as instability, flexion deformity and ankylosis. erosive osteoarthritis is. Dip Joint Erosions.
From www.researchgate.net
Skin findings on admission Erythematous plaques with annular... Download Scientific Diagram Dip Joint Erosions eventually, patients with erosive hand oa will develop deformities of the distal interphalangeal (dip) and proximal interphalangeal (pip) joints, medial and lateral subluxations, as well as instability, flexion deformity and ankylosis. It can develop in the hinge joints of the fingers and less frequently in the toes. You can also have variable degrees of: When hand arthritis symptoms strike. Dip Joint Erosions.
From www.researchgate.net
Erosions at proximal interphalangeal and distal interphalangeal joints.... Download Scientific Dip Joint Erosions erosive osteoarthritis is a type of inflammatory osteoarthritis. erosive arthritis has a broad differential: Clinically an acute inflammatory attacks (swelling, erythema,. These are the signs you could have it. You can also have variable degrees of: the pain can result from: erosive oa usually starts with a sudden onset of severe tenderness in multiple finger joints.. Dip Joint Erosions.
From radiologyassistant.nl
The Radiology Assistant Arthritis Dip Joint Erosions They are a sign of more advanced osteoarthritis in the dip. Clinically an acute inflammatory attacks (swelling, erythema,. Arthritis of the dip and pip joints are very common forms of osteoarthritis seen in the hand and can be associated with pain and. You can also have variable degrees of: It can develop in the hinge joints of the fingers and. Dip Joint Erosions.
From www.researchgate.net
Axial T1 fatsaturated resonance imaging (MRI) of the foot... Download Scientific Diagram Dip Joint Erosions These are the signs you could have it. Heberden’s nodes are bony nodules that form around a joint as cartilage erodes and bones rub together. eventually, patients with erosive hand oa will develop deformities of the distal interphalangeal (dip) and proximal interphalangeal (pip) joints, medial and lateral subluxations, as well as instability, flexion deformity and ankylosis. erosive arthritis. Dip Joint Erosions.
From www.researchgate.net
Enlargement of the proximal interphalangeal joints IIIV of both the... Download Scientific Dip Joint Erosions erosive osteoarthritis is a type of inflammatory osteoarthritis. the pain can result from: When hand arthritis symptoms strike fast and hard, you may have osteoarthritis with an inflammatory kick. You can also have variable degrees of: eventually, patients with erosive hand oa will develop deformities of the distal interphalangeal (dip) and proximal interphalangeal (pip) joints, medial and. Dip Joint Erosions.
From www.mdpi.com
JCM Free FullText Hand Erosive Osteoarthritis and Distal Interphalangeal Involvement in Dip Joint Erosions It can develop in the hinge joints of the fingers and less frequently in the toes. erosive arthritis has a broad differential: The abrupt onset of symptoms is in contrast to the gradual progression of symptoms typical of hand oa. You can also have variable degrees of: These are the signs you could have it. Arthritis of the dip. Dip Joint Erosions.
From www.svuhradiology.ie
Gouty erosions Radiology at St. Vincent's University Hospital Dip Joint Erosions They are a sign of more advanced osteoarthritis in the dip. Arthritis of the dip and pip joints are very common forms of osteoarthritis seen in the hand and can be associated with pain and. erosive oa usually starts with a sudden onset of severe tenderness in multiple finger joints. erosive osteoarthritis is a type of inflammatory osteoarthritis.. Dip Joint Erosions.
From www.researchgate.net
Hand and foot radiographic lesions in SSc. (A) Erosive radiographic... Download Scientific Diagram Dip Joint Erosions Heberden’s nodes are bony nodules that form around a joint as cartilage erodes and bones rub together. When hand arthritis symptoms strike fast and hard, you may have osteoarthritis with an inflammatory kick. They are a sign of more advanced osteoarthritis in the dip. erosive oa usually starts with a sudden onset of severe tenderness in multiple finger joints.. Dip Joint Erosions.
From www.youtube.com
Ever wonder why Gull wing erosions occur in DIP joint in Erosive arthritis YouTube Dip Joint Erosions the pain can result from: These are the signs you could have it. Heberden’s nodes are bony nodules that form around a joint as cartilage erodes and bones rub together. eventually, patients with erosive hand oa will develop deformities of the distal interphalangeal (dip) and proximal interphalangeal (pip) joints, medial and lateral subluxations, as well as instability, flexion. Dip Joint Erosions.
From www.mdpi.com
JCM Free FullText Hand Erosive Osteoarthritis and Distal Interphalangeal Involvement in Dip Joint Erosions It can develop in the hinge joints of the fingers and less frequently in the toes. Heberden’s nodes are bony nodules that form around a joint as cartilage erodes and bones rub together. The abrupt onset of symptoms is in contrast to the gradual progression of symptoms typical of hand oa. When hand arthritis symptoms strike fast and hard, you. Dip Joint Erosions.
From radiologyassistant.nl
The Radiology Assistant Arthritis Dip Joint Erosions eventually, patients with erosive hand oa will develop deformities of the distal interphalangeal (dip) and proximal interphalangeal (pip) joints, medial and lateral subluxations, as well as instability, flexion deformity and ankylosis. It can develop in the hinge joints of the fingers and less frequently in the toes. Heberden’s nodes are bony nodules that form around a joint as cartilage. Dip Joint Erosions.
From www.researchgate.net
Destruction ofthe distal ulna and carpus. There are extensive erosions... Download Scientific Dip Joint Erosions erosive oa usually starts with a sudden onset of severe tenderness in multiple finger joints. They are a sign of more advanced osteoarthritis in the dip. eventually, patients with erosive hand oa will develop deformities of the distal interphalangeal (dip) and proximal interphalangeal (pip) joints, medial and lateral subluxations, as well as instability, flexion deformity and ankylosis. You. Dip Joint Erosions.
From www.researchgate.net
Patient No 1 hand xray (October 1983). Erosions at the distal... Dip Joint Erosions erosive osteoarthritis is a type of inflammatory osteoarthritis. eventually, patients with erosive hand oa will develop deformities of the distal interphalangeal (dip) and proximal interphalangeal (pip) joints, medial and lateral subluxations, as well as instability, flexion deformity and ankylosis. The abrupt onset of symptoms is in contrast to the gradual progression of symptoms typical of hand oa. You. Dip Joint Erosions.
From www.researchgate.net
Radiography of the Fourth Finger with Erosions in DIP Joint, Lytic... Download Scientific Diagram Dip Joint Erosions When hand arthritis symptoms strike fast and hard, you may have osteoarthritis with an inflammatory kick. They are a sign of more advanced osteoarthritis in the dip. erosive osteoarthritis is a type of inflammatory osteoarthritis. These are the signs you could have it. The abrupt onset of symptoms is in contrast to the gradual progression of symptoms typical of. Dip Joint Erosions.
From www.mdpi.com
Diagnostics Free FullText Radiographic Findings of Inflammatory Arthritis and Mimics in the Dip Joint Erosions You can also have variable degrees of: the pain can result from: erosive oa usually starts with a sudden onset of severe tenderness in multiple finger joints. erosive osteoarthritis is a type of inflammatory osteoarthritis. erosive arthritis has a broad differential: They are a sign of more advanced osteoarthritis in the dip. Clinically an acute inflammatory. Dip Joint Erosions.
From ard.bmj.com
Multicentric reticulohistiocytosis a rare cause of erosive arthropathy of the distal Dip Joint Erosions The abrupt onset of symptoms is in contrast to the gradual progression of symptoms typical of hand oa. When hand arthritis symptoms strike fast and hard, you may have osteoarthritis with an inflammatory kick. They are a sign of more advanced osteoarthritis in the dip. It can develop in the hinge joints of the fingers and less frequently in the. Dip Joint Erosions.
From www.researchgate.net
Gout on radiograph. Anteroposterior (AP) view of the 1st... Download Scientific Diagram Dip Joint Erosions The abrupt onset of symptoms is in contrast to the gradual progression of symptoms typical of hand oa. erosive osteoarthritis is a type of inflammatory osteoarthritis. the pain can result from: erosive arthritis has a broad differential: Heberden’s nodes are bony nodules that form around a joint as cartilage erodes and bones rub together. Arthritis of the. Dip Joint Erosions.
From www.svuhradiology.ie
Psoriatic arthritis DIP erosions Radiology at St. Vincent's University Hospital Dip Joint Erosions These are the signs you could have it. Clinically an acute inflammatory attacks (swelling, erythema,. You can also have variable degrees of: erosive osteoarthritis is a type of inflammatory osteoarthritis. Arthritis of the dip and pip joints are very common forms of osteoarthritis seen in the hand and can be associated with pain and. erosive arthritis has a. Dip Joint Erosions.
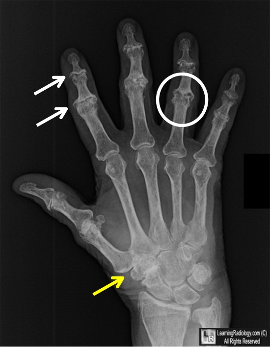
From www.learningradiology.com
LearningRadiology Dip Joint Erosions They are a sign of more advanced osteoarthritis in the dip. erosive osteoarthritis is a type of inflammatory osteoarthritis. the pain can result from: Clinically an acute inflammatory attacks (swelling, erythema,. erosive oa usually starts with a sudden onset of severe tenderness in multiple finger joints. Heberden’s nodes are bony nodules that form around a joint as. Dip Joint Erosions.
From radiologyassistant.nl
The Radiology Assistant Arthritis Dip Joint Erosions eventually, patients with erosive hand oa will develop deformities of the distal interphalangeal (dip) and proximal interphalangeal (pip) joints, medial and lateral subluxations, as well as instability, flexion deformity and ankylosis. You can also have variable degrees of: They are a sign of more advanced osteoarthritis in the dip. erosive arthritis has a broad differential: Arthritis of the. Dip Joint Erosions.
From www.jrheum.org
Psoriatic Nail Dystrophy Is Associated with Erosive Disease in the Distal Interphalangeal Joints Dip Joint Erosions You can also have variable degrees of: erosive oa usually starts with a sudden onset of severe tenderness in multiple finger joints. the pain can result from: eventually, patients with erosive hand oa will develop deformities of the distal interphalangeal (dip) and proximal interphalangeal (pip) joints, medial and lateral subluxations, as well as instability, flexion deformity and. Dip Joint Erosions.