What Does Radiology Do To Pregnancy . Choosing the most appropriate imaging modality for pregnancy patients is a common clinical question. the use of other imaging modalities—such as plain radiography, computed tomography (ct), and magnetic resonance. when a pregnant woman with suspected appendicitis is referred for a ct scan, what should a radiologist do to. Teratogenesis after exposure to ionizing radiation. pregnant employees in mri environment. it is important for radiology facilities to have procedures to determine the pregnancy status of female patients of reproductive. Generally, the benefits of the. Carcinogenesis after exposure to ionizing radiation. when physicians request a diagnostic radiology order on pregnant women and have not obtained their.
from www.stepwards.com
the use of other imaging modalities—such as plain radiography, computed tomography (ct), and magnetic resonance. when a pregnant woman with suspected appendicitis is referred for a ct scan, what should a radiologist do to. Carcinogenesis after exposure to ionizing radiation. when physicians request a diagnostic radiology order on pregnant women and have not obtained their. Generally, the benefits of the. it is important for radiology facilities to have procedures to determine the pregnancy status of female patients of reproductive. Teratogenesis after exposure to ionizing radiation. Choosing the most appropriate imaging modality for pregnancy patients is a common clinical question. pregnant employees in mri environment.
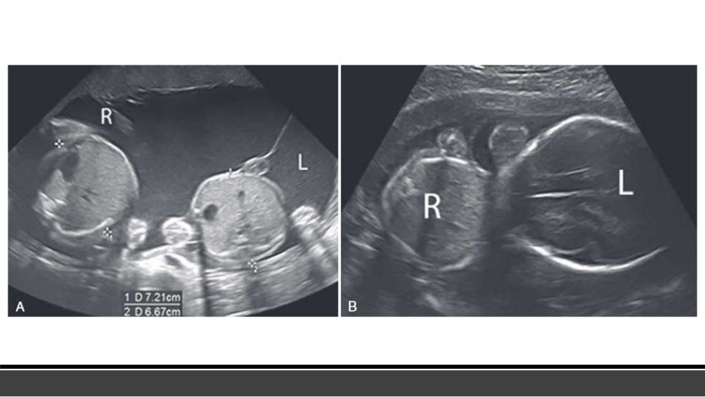
Condition Specific Radiology Heterotopic Pregnancy Stepwards
What Does Radiology Do To Pregnancy the use of other imaging modalities—such as plain radiography, computed tomography (ct), and magnetic resonance. the use of other imaging modalities—such as plain radiography, computed tomography (ct), and magnetic resonance. Carcinogenesis after exposure to ionizing radiation. it is important for radiology facilities to have procedures to determine the pregnancy status of female patients of reproductive. pregnant employees in mri environment. Generally, the benefits of the. Choosing the most appropriate imaging modality for pregnancy patients is a common clinical question. when a pregnant woman with suspected appendicitis is referred for a ct scan, what should a radiologist do to. when physicians request a diagnostic radiology order on pregnant women and have not obtained their. Teratogenesis after exposure to ionizing radiation.
From www.researchgate.net
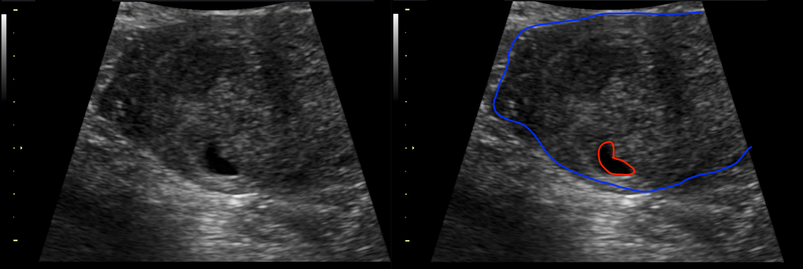
Radiological examination of the pregnancy. A) Longitudinal section of... Download Scientific What Does Radiology Do To Pregnancy it is important for radiology facilities to have procedures to determine the pregnancy status of female patients of reproductive. when a pregnant woman with suspected appendicitis is referred for a ct scan, what should a radiologist do to. Choosing the most appropriate imaging modality for pregnancy patients is a common clinical question. Teratogenesis after exposure to ionizing radiation.. What Does Radiology Do To Pregnancy.
From www.slideserve.com
PPT Pregnancy in Trauma PowerPoint Presentation, free download ID2127628 What Does Radiology Do To Pregnancy when a pregnant woman with suspected appendicitis is referred for a ct scan, what should a radiologist do to. it is important for radiology facilities to have procedures to determine the pregnancy status of female patients of reproductive. the use of other imaging modalities—such as plain radiography, computed tomography (ct), and magnetic resonance. Choosing the most appropriate. What Does Radiology Do To Pregnancy.
From blog.radiology.virginia.edu
Is It Safe to Get an Xray While Pregnant? UVA Radiology What Does Radiology Do To Pregnancy Generally, the benefits of the. Choosing the most appropriate imaging modality for pregnancy patients is a common clinical question. Carcinogenesis after exposure to ionizing radiation. Teratogenesis after exposure to ionizing radiation. when physicians request a diagnostic radiology order on pregnant women and have not obtained their. it is important for radiology facilities to have procedures to determine the. What Does Radiology Do To Pregnancy.
From www.todaysrdh.com
Radiology Update Evolving Standards for Pregnancy, Shielding, and Frequency Today's RDH What Does Radiology Do To Pregnancy pregnant employees in mri environment. when physicians request a diagnostic radiology order on pregnant women and have not obtained their. Choosing the most appropriate imaging modality for pregnancy patients is a common clinical question. the use of other imaging modalities—such as plain radiography, computed tomography (ct), and magnetic resonance. Generally, the benefits of the. Teratogenesis after exposure. What Does Radiology Do To Pregnancy.
From www.bmj.com
Making decisions about radiological imaging in pregnancy The BMJ What Does Radiology Do To Pregnancy Generally, the benefits of the. Carcinogenesis after exposure to ionizing radiation. it is important for radiology facilities to have procedures to determine the pregnancy status of female patients of reproductive. the use of other imaging modalities—such as plain radiography, computed tomography (ct), and magnetic resonance. Teratogenesis after exposure to ionizing radiation. when physicians request a diagnostic radiology. What Does Radiology Do To Pregnancy.
From www.stepwards.com
Condition Specific Radiology Ectopic Pregnancy Stepwards What Does Radiology Do To Pregnancy it is important for radiology facilities to have procedures to determine the pregnancy status of female patients of reproductive. Teratogenesis after exposure to ionizing radiation. the use of other imaging modalities—such as plain radiography, computed tomography (ct), and magnetic resonance. Carcinogenesis after exposure to ionizing radiation. when physicians request a diagnostic radiology order on pregnant women and. What Does Radiology Do To Pregnancy.
From blog.radiology.virginia.edu
Medical Imaging While Pregnant How Safe is It? What Does Radiology Do To Pregnancy the use of other imaging modalities—such as plain radiography, computed tomography (ct), and magnetic resonance. Choosing the most appropriate imaging modality for pregnancy patients is a common clinical question. it is important for radiology facilities to have procedures to determine the pregnancy status of female patients of reproductive. Carcinogenesis after exposure to ionizing radiation. Generally, the benefits of. What Does Radiology Do To Pregnancy.
From pregnancywalls.blogspot.com
Non Viable Pregnancy Radiology PregnancyWalls What Does Radiology Do To Pregnancy when a pregnant woman with suspected appendicitis is referred for a ct scan, what should a radiologist do to. the use of other imaging modalities—such as plain radiography, computed tomography (ct), and magnetic resonance. when physicians request a diagnostic radiology order on pregnant women and have not obtained their. Carcinogenesis after exposure to ionizing radiation. it. What Does Radiology Do To Pregnancy.
From www.pinterest.ca
Pin on female imaging What Does Radiology Do To Pregnancy the use of other imaging modalities—such as plain radiography, computed tomography (ct), and magnetic resonance. when a pregnant woman with suspected appendicitis is referred for a ct scan, what should a radiologist do to. it is important for radiology facilities to have procedures to determine the pregnancy status of female patients of reproductive. Teratogenesis after exposure to. What Does Radiology Do To Pregnancy.
From theradiologictechnologist.com
Navigating Pregnancy in the Radiology What Does Radiology Do To Pregnancy pregnant employees in mri environment. it is important for radiology facilities to have procedures to determine the pregnancy status of female patients of reproductive. the use of other imaging modalities—such as plain radiography, computed tomography (ct), and magnetic resonance. when a pregnant woman with suspected appendicitis is referred for a ct scan, what should a radiologist. What Does Radiology Do To Pregnancy.
From complianceposter.com
Radiation Pregnancy Warning Poster Compliance Poster Company What Does Radiology Do To Pregnancy pregnant employees in mri environment. Choosing the most appropriate imaging modality for pregnancy patients is a common clinical question. it is important for radiology facilities to have procedures to determine the pregnancy status of female patients of reproductive. the use of other imaging modalities—such as plain radiography, computed tomography (ct), and magnetic resonance. when a pregnant. What Does Radiology Do To Pregnancy.
From www.melbourneradiology.com.au
Ultrasound Patient Fact Sheet Melbourne Radiology What Does Radiology Do To Pregnancy when a pregnant woman with suspected appendicitis is referred for a ct scan, what should a radiologist do to. the use of other imaging modalities—such as plain radiography, computed tomography (ct), and magnetic resonance. Teratogenesis after exposure to ionizing radiation. when physicians request a diagnostic radiology order on pregnant women and have not obtained their. it. What Does Radiology Do To Pregnancy.
From scghed.com
Radiology Procedure for Imaging Pregnant Patients Charlie's ED What Does Radiology Do To Pregnancy pregnant employees in mri environment. Choosing the most appropriate imaging modality for pregnancy patients is a common clinical question. Generally, the benefits of the. when a pregnant woman with suspected appendicitis is referred for a ct scan, what should a radiologist do to. Teratogenesis after exposure to ionizing radiation. it is important for radiology facilities to have. What Does Radiology Do To Pregnancy.
From www.slideshare.net
Multifetal pregnancy RADIOLOGY What Does Radiology Do To Pregnancy Choosing the most appropriate imaging modality for pregnancy patients is a common clinical question. when a pregnant woman with suspected appendicitis is referred for a ct scan, what should a radiologist do to. Carcinogenesis after exposure to ionizing radiation. the use of other imaging modalities—such as plain radiography, computed tomography (ct), and magnetic resonance. Generally, the benefits of. What Does Radiology Do To Pregnancy.
From emergency.cdc.gov
CDC Radiation Emergencies Resource Library Communications and Public Information What Does Radiology Do To Pregnancy Choosing the most appropriate imaging modality for pregnancy patients is a common clinical question. Generally, the benefits of the. Teratogenesis after exposure to ionizing radiation. it is important for radiology facilities to have procedures to determine the pregnancy status of female patients of reproductive. pregnant employees in mri environment. the use of other imaging modalities—such as plain. What Does Radiology Do To Pregnancy.
From www.svuhradiology.ie
Appendicitis during pregnancy MRI Radiology at St. Vincent's University Hospital What Does Radiology Do To Pregnancy Generally, the benefits of the. when physicians request a diagnostic radiology order on pregnant women and have not obtained their. Carcinogenesis after exposure to ionizing radiation. when a pregnant woman with suspected appendicitis is referred for a ct scan, what should a radiologist do to. it is important for radiology facilities to have procedures to determine the. What Does Radiology Do To Pregnancy.
From www.stepwards.com
Condition Specific Radiology Heterotopic Pregnancy Stepwards What Does Radiology Do To Pregnancy it is important for radiology facilities to have procedures to determine the pregnancy status of female patients of reproductive. Generally, the benefits of the. pregnant employees in mri environment. when a pregnant woman with suspected appendicitis is referred for a ct scan, what should a radiologist do to. when physicians request a diagnostic radiology order on. What Does Radiology Do To Pregnancy.
From www.stepwards.com
Condition Specific Radiology Heterotopic Pregnancy Stepwards What Does Radiology Do To Pregnancy when physicians request a diagnostic radiology order on pregnant women and have not obtained their. Generally, the benefits of the. Carcinogenesis after exposure to ionizing radiation. pregnant employees in mri environment. when a pregnant woman with suspected appendicitis is referred for a ct scan, what should a radiologist do to. Choosing the most appropriate imaging modality for. What Does Radiology Do To Pregnancy.
From gbu-taganskij.ru
Early Pregnancy Ultrasound Measurements And Prediction Of, 58 OFF What Does Radiology Do To Pregnancy Carcinogenesis after exposure to ionizing radiation. Generally, the benefits of the. Choosing the most appropriate imaging modality for pregnancy patients is a common clinical question. Teratogenesis after exposure to ionizing radiation. pregnant employees in mri environment. it is important for radiology facilities to have procedures to determine the pregnancy status of female patients of reproductive. when physicians. What Does Radiology Do To Pregnancy.
From www.dreamstime.com
Pregnant Woman Visiting Radiologyst for Ultrasound Stock Image Image of expecting, hand 190277885 What Does Radiology Do To Pregnancy pregnant employees in mri environment. Carcinogenesis after exposure to ionizing radiation. it is important for radiology facilities to have procedures to determine the pregnancy status of female patients of reproductive. the use of other imaging modalities—such as plain radiography, computed tomography (ct), and magnetic resonance. when physicians request a diagnostic radiology order on pregnant women and. What Does Radiology Do To Pregnancy.
From centraloregonradiology.com
Technician performing ultrasound on pregnant woman Imaging Center, Minimally Invasive Services What Does Radiology Do To Pregnancy Choosing the most appropriate imaging modality for pregnancy patients is a common clinical question. pregnant employees in mri environment. the use of other imaging modalities—such as plain radiography, computed tomography (ct), and magnetic resonance. Generally, the benefits of the. when physicians request a diagnostic radiology order on pregnant women and have not obtained their. when a. What Does Radiology Do To Pregnancy.
From metroradiology.com.au
Metro Radiology General Ultrasound and Pregnancy Ultrasound Scans What Does Radiology Do To Pregnancy pregnant employees in mri environment. Carcinogenesis after exposure to ionizing radiation. it is important for radiology facilities to have procedures to determine the pregnancy status of female patients of reproductive. the use of other imaging modalities—such as plain radiography, computed tomography (ct), and magnetic resonance. when physicians request a diagnostic radiology order on pregnant women and. What Does Radiology Do To Pregnancy.
From www.emcurious.com
Ultrasound Leadership Academy Ultrasound in Early Pregnancy — EM Curious What Does Radiology Do To Pregnancy Carcinogenesis after exposure to ionizing radiation. Teratogenesis after exposure to ionizing radiation. Generally, the benefits of the. it is important for radiology facilities to have procedures to determine the pregnancy status of female patients of reproductive. when a pregnant woman with suspected appendicitis is referred for a ct scan, what should a radiologist do to. when physicians. What Does Radiology Do To Pregnancy.
From www.melbourneradiology.com.au
Ultrasound Patient Fact Sheet Melbourne Radiology What Does Radiology Do To Pregnancy the use of other imaging modalities—such as plain radiography, computed tomography (ct), and magnetic resonance. when a pregnant woman with suspected appendicitis is referred for a ct scan, what should a radiologist do to. it is important for radiology facilities to have procedures to determine the pregnancy status of female patients of reproductive. Carcinogenesis after exposure to. What Does Radiology Do To Pregnancy.
From pregnancywalls.blogspot.com
What Is The Yolk Sac In Early Pregnancy PregnancyWalls What Does Radiology Do To Pregnancy Teratogenesis after exposure to ionizing radiation. Choosing the most appropriate imaging modality for pregnancy patients is a common clinical question. Carcinogenesis after exposure to ionizing radiation. pregnant employees in mri environment. when a pregnant woman with suspected appendicitis is referred for a ct scan, what should a radiologist do to. the use of other imaging modalities—such as. What Does Radiology Do To Pregnancy.
From radiologykey.com
Ectopic Pregnancy Radiology Key What Does Radiology Do To Pregnancy Carcinogenesis after exposure to ionizing radiation. pregnant employees in mri environment. Teratogenesis after exposure to ionizing radiation. the use of other imaging modalities—such as plain radiography, computed tomography (ct), and magnetic resonance. it is important for radiology facilities to have procedures to determine the pregnancy status of female patients of reproductive. Choosing the most appropriate imaging modality. What Does Radiology Do To Pregnancy.
From www.youtube.com
Ultrasound of normal early pregnancy YouTube What Does Radiology Do To Pregnancy it is important for radiology facilities to have procedures to determine the pregnancy status of female patients of reproductive. Teratogenesis after exposure to ionizing radiation. pregnant employees in mri environment. Generally, the benefits of the. when physicians request a diagnostic radiology order on pregnant women and have not obtained their. Carcinogenesis after exposure to ionizing radiation. . What Does Radiology Do To Pregnancy.
From mungfali.com
6 Weeks Ectopic Pregnancy Ultrasound What Does Radiology Do To Pregnancy when a pregnant woman with suspected appendicitis is referred for a ct scan, what should a radiologist do to. Choosing the most appropriate imaging modality for pregnancy patients is a common clinical question. when physicians request a diagnostic radiology order on pregnant women and have not obtained their. pregnant employees in mri environment. Carcinogenesis after exposure to. What Does Radiology Do To Pregnancy.
From www.pinterest.jp
Xray of pregnant woman Radiología, Imagenologia, Embriologia humana What Does Radiology Do To Pregnancy Choosing the most appropriate imaging modality for pregnancy patients is a common clinical question. the use of other imaging modalities—such as plain radiography, computed tomography (ct), and magnetic resonance. pregnant employees in mri environment. Generally, the benefits of the. Carcinogenesis after exposure to ionizing radiation. when a pregnant woman with suspected appendicitis is referred for a ct. What Does Radiology Do To Pregnancy.
From www.slideshare.net
Radiologic diagnosis during pregnancy What Does Radiology Do To Pregnancy Choosing the most appropriate imaging modality for pregnancy patients is a common clinical question. the use of other imaging modalities—such as plain radiography, computed tomography (ct), and magnetic resonance. Generally, the benefits of the. Carcinogenesis after exposure to ionizing radiation. it is important for radiology facilities to have procedures to determine the pregnancy status of female patients of. What Does Radiology Do To Pregnancy.
From www.melbourneradiology.com.au
Ultrasound Patient Guide Melbourne Radiology Clinic Diagnostic Imaging What Does Radiology Do To Pregnancy Choosing the most appropriate imaging modality for pregnancy patients is a common clinical question. it is important for radiology facilities to have procedures to determine the pregnancy status of female patients of reproductive. pregnant employees in mri environment. the use of other imaging modalities—such as plain radiography, computed tomography (ct), and magnetic resonance. when physicians request. What Does Radiology Do To Pregnancy.
From slidetodoc.com
Pregnancy and Medical Radiation INTERNATIONAL COMMISSION ON RADIOLOGICAL What Does Radiology Do To Pregnancy when physicians request a diagnostic radiology order on pregnant women and have not obtained their. Choosing the most appropriate imaging modality for pregnancy patients is a common clinical question. it is important for radiology facilities to have procedures to determine the pregnancy status of female patients of reproductive. Generally, the benefits of the. when a pregnant woman. What Does Radiology Do To Pregnancy.
From casereports.bmj.com
Abdominal radiography in woman with unrecognised pregnancy BMJ Case Reports What Does Radiology Do To Pregnancy Carcinogenesis after exposure to ionizing radiation. when a pregnant woman with suspected appendicitis is referred for a ct scan, what should a radiologist do to. Teratogenesis after exposure to ionizing radiation. the use of other imaging modalities—such as plain radiography, computed tomography (ct), and magnetic resonance. Choosing the most appropriate imaging modality for pregnancy patients is a common. What Does Radiology Do To Pregnancy.
From www.alamy.com
The pregnant woman visiting radiologyst for ultrasound Stock Photo Alamy What Does Radiology Do To Pregnancy it is important for radiology facilities to have procedures to determine the pregnancy status of female patients of reproductive. Generally, the benefits of the. Teratogenesis after exposure to ionizing radiation. Choosing the most appropriate imaging modality for pregnancy patients is a common clinical question. when physicians request a diagnostic radiology order on pregnant women and have not obtained. What Does Radiology Do To Pregnancy.
From www.danielnikumd.com
Pregnancy Essentials Part 2 Your first ultrasound and sonogram Daniel Niku, MD, MS What Does Radiology Do To Pregnancy Carcinogenesis after exposure to ionizing radiation. when a pregnant woman with suspected appendicitis is referred for a ct scan, what should a radiologist do to. pregnant employees in mri environment. Choosing the most appropriate imaging modality for pregnancy patients is a common clinical question. the use of other imaging modalities—such as plain radiography, computed tomography (ct), and. What Does Radiology Do To Pregnancy.