How To Identify Hemothorax On Chest X Ray . When a chest tube is placed, the fluid may be evaluated to. Most often results from trauma to intrathoracic structures. Hemothorax is blood in the pleural cavity. Exact distinction between a “bloody pleural effusion” and a hemothorax is. A chest ct or further testing may then be considered. In the normal unscarred pleural space, a hemothorax is noted as a meniscus of fluid blunting the costophrenic angle or diaphragmatic surface and.
from radiopaedia.org
Hemothorax is blood in the pleural cavity. Most often results from trauma to intrathoracic structures. Exact distinction between a “bloody pleural effusion” and a hemothorax is. In the normal unscarred pleural space, a hemothorax is noted as a meniscus of fluid blunting the costophrenic angle or diaphragmatic surface and. When a chest tube is placed, the fluid may be evaluated to. A chest ct or further testing may then be considered.
Rib fracture on ultrasound Image
How To Identify Hemothorax On Chest X Ray When a chest tube is placed, the fluid may be evaluated to. Exact distinction between a “bloody pleural effusion” and a hemothorax is. A chest ct or further testing may then be considered. Hemothorax is blood in the pleural cavity. When a chest tube is placed, the fluid may be evaluated to. Most often results from trauma to intrathoracic structures. In the normal unscarred pleural space, a hemothorax is noted as a meniscus of fluid blunting the costophrenic angle or diaphragmatic surface and.
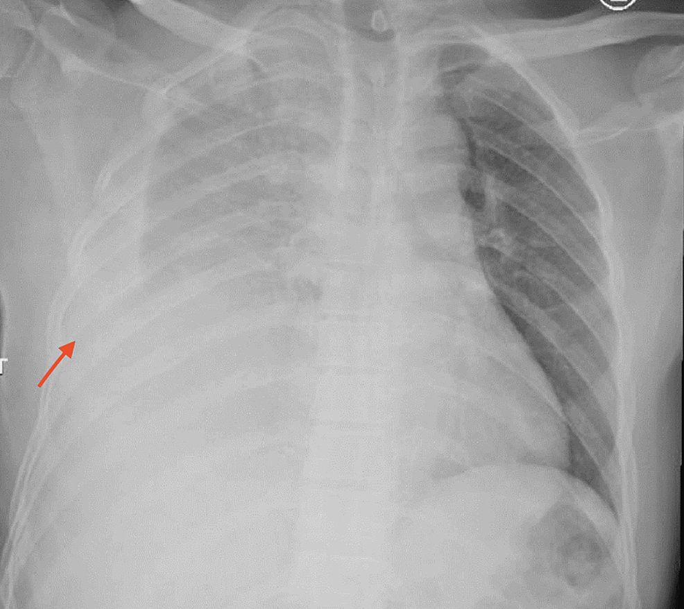
From www.emdocs.net
Emergency Medicine EducationCORE EM Traumatic Hemothorax How To Identify Hemothorax On Chest X Ray When a chest tube is placed, the fluid may be evaluated to. Exact distinction between a “bloody pleural effusion” and a hemothorax is. A chest ct or further testing may then be considered. Hemothorax is blood in the pleural cavity. Most often results from trauma to intrathoracic structures. In the normal unscarred pleural space, a hemothorax is noted as a. How To Identify Hemothorax On Chest X Ray.
From www.researchgate.net
Chest radiograph showed the left side hemothorax Download Scientific How To Identify Hemothorax On Chest X Ray Most often results from trauma to intrathoracic structures. In the normal unscarred pleural space, a hemothorax is noted as a meniscus of fluid blunting the costophrenic angle or diaphragmatic surface and. Hemothorax is blood in the pleural cavity. A chest ct or further testing may then be considered. Exact distinction between a “bloody pleural effusion” and a hemothorax is. When. How To Identify Hemothorax On Chest X Ray.
From www.wikidoc.org
Hemothorax chest x ray wikidoc How To Identify Hemothorax On Chest X Ray When a chest tube is placed, the fluid may be evaluated to. A chest ct or further testing may then be considered. In the normal unscarred pleural space, a hemothorax is noted as a meniscus of fluid blunting the costophrenic angle or diaphragmatic surface and. Most often results from trauma to intrathoracic structures. Exact distinction between a “bloody pleural effusion”. How To Identify Hemothorax On Chest X Ray.
From ar.inspiredpencil.com
Left Hemothorax X Ray How To Identify Hemothorax On Chest X Ray In the normal unscarred pleural space, a hemothorax is noted as a meniscus of fluid blunting the costophrenic angle or diaphragmatic surface and. A chest ct or further testing may then be considered. Exact distinction between a “bloody pleural effusion” and a hemothorax is. When a chest tube is placed, the fluid may be evaluated to. Hemothorax is blood in. How To Identify Hemothorax On Chest X Ray.
From www.emdocs.net
Emergency Medicine EducationManaging a Massive Hemothorax How To Identify Hemothorax On Chest X Ray When a chest tube is placed, the fluid may be evaluated to. In the normal unscarred pleural space, a hemothorax is noted as a meniscus of fluid blunting the costophrenic angle or diaphragmatic surface and. Most often results from trauma to intrathoracic structures. Hemothorax is blood in the pleural cavity. A chest ct or further testing may then be considered.. How To Identify Hemothorax On Chest X Ray.
From proper-cooking.info
Chest X Ray Hemothorax How To Identify Hemothorax On Chest X Ray When a chest tube is placed, the fluid may be evaluated to. Hemothorax is blood in the pleural cavity. Exact distinction between a “bloody pleural effusion” and a hemothorax is. A chest ct or further testing may then be considered. Most often results from trauma to intrathoracic structures. In the normal unscarred pleural space, a hemothorax is noted as a. How To Identify Hemothorax On Chest X Ray.
From www.vrogue.co
A Chest X Ray Showing Bilateral Pneumothorax Arrowhea vrogue.co How To Identify Hemothorax On Chest X Ray When a chest tube is placed, the fluid may be evaluated to. In the normal unscarred pleural space, a hemothorax is noted as a meniscus of fluid blunting the costophrenic angle or diaphragmatic surface and. Exact distinction between a “bloody pleural effusion” and a hemothorax is. Hemothorax is blood in the pleural cavity. A chest ct or further testing may. How To Identify Hemothorax On Chest X Ray.
From ar.inspiredpencil.com
Left Hemothorax X Ray How To Identify Hemothorax On Chest X Ray Hemothorax is blood in the pleural cavity. In the normal unscarred pleural space, a hemothorax is noted as a meniscus of fluid blunting the costophrenic angle or diaphragmatic surface and. Most often results from trauma to intrathoracic structures. When a chest tube is placed, the fluid may be evaluated to. Exact distinction between a “bloody pleural effusion” and a hemothorax. How To Identify Hemothorax On Chest X Ray.
From ar.inspiredpencil.com
Pneumothorax Chest X Ray How To Identify Hemothorax On Chest X Ray In the normal unscarred pleural space, a hemothorax is noted as a meniscus of fluid blunting the costophrenic angle or diaphragmatic surface and. Hemothorax is blood in the pleural cavity. When a chest tube is placed, the fluid may be evaluated to. Most often results from trauma to intrathoracic structures. Exact distinction between a “bloody pleural effusion” and a hemothorax. How To Identify Hemothorax On Chest X Ray.
From www.cureus.com
Cureus Acute Hemothorax Causing Hemorrhagic Shock Following Small How To Identify Hemothorax On Chest X Ray A chest ct or further testing may then be considered. Hemothorax is blood in the pleural cavity. Most often results from trauma to intrathoracic structures. Exact distinction between a “bloody pleural effusion” and a hemothorax is. When a chest tube is placed, the fluid may be evaluated to. In the normal unscarred pleural space, a hemothorax is noted as a. How To Identify Hemothorax On Chest X Ray.
From www.youtube.com
Hemothorax Symptoms, Causes and Treatment YouTube How To Identify Hemothorax On Chest X Ray In the normal unscarred pleural space, a hemothorax is noted as a meniscus of fluid blunting the costophrenic angle or diaphragmatic surface and. Hemothorax is blood in the pleural cavity. When a chest tube is placed, the fluid may be evaluated to. Exact distinction between a “bloody pleural effusion” and a hemothorax is. Most often results from trauma to intrathoracic. How To Identify Hemothorax On Chest X Ray.
From watilearned2day.blogspot.com
What I learned today... August 2013 How To Identify Hemothorax On Chest X Ray In the normal unscarred pleural space, a hemothorax is noted as a meniscus of fluid blunting the costophrenic angle or diaphragmatic surface and. When a chest tube is placed, the fluid may be evaluated to. Hemothorax is blood in the pleural cavity. A chest ct or further testing may then be considered. Most often results from trauma to intrathoracic structures.. How To Identify Hemothorax On Chest X Ray.
From ar.inspiredpencil.com
Hemothorax Chest X Ray How To Identify Hemothorax On Chest X Ray A chest ct or further testing may then be considered. In the normal unscarred pleural space, a hemothorax is noted as a meniscus of fluid blunting the costophrenic angle or diaphragmatic surface and. When a chest tube is placed, the fluid may be evaluated to. Most often results from trauma to intrathoracic structures. Hemothorax is blood in the pleural cavity.. How To Identify Hemothorax On Chest X Ray.
From radiopaedia.org
Rib fracture on ultrasound Image How To Identify Hemothorax On Chest X Ray Most often results from trauma to intrathoracic structures. A chest ct or further testing may then be considered. When a chest tube is placed, the fluid may be evaluated to. In the normal unscarred pleural space, a hemothorax is noted as a meniscus of fluid blunting the costophrenic angle or diaphragmatic surface and. Exact distinction between a “bloody pleural effusion”. How To Identify Hemothorax On Chest X Ray.
From ar.inspiredpencil.com
Chest X Ray Hemothorax How To Identify Hemothorax On Chest X Ray Exact distinction between a “bloody pleural effusion” and a hemothorax is. Hemothorax is blood in the pleural cavity. In the normal unscarred pleural space, a hemothorax is noted as a meniscus of fluid blunting the costophrenic angle or diaphragmatic surface and. Most often results from trauma to intrathoracic structures. When a chest tube is placed, the fluid may be evaluated. How To Identify Hemothorax On Chest X Ray.
From ar.inspiredpencil.com
Left Hemothorax X Ray How To Identify Hemothorax On Chest X Ray A chest ct or further testing may then be considered. Exact distinction between a “bloody pleural effusion” and a hemothorax is. Hemothorax is blood in the pleural cavity. Most often results from trauma to intrathoracic structures. When a chest tube is placed, the fluid may be evaluated to. In the normal unscarred pleural space, a hemothorax is noted as a. How To Identify Hemothorax On Chest X Ray.
From knowledgeplus.nejm.org
Distinguishing Between a Hemothorax and a Pneumothorax NEJM Knowledge+ How To Identify Hemothorax On Chest X Ray Exact distinction between a “bloody pleural effusion” and a hemothorax is. Most often results from trauma to intrathoracic structures. In the normal unscarred pleural space, a hemothorax is noted as a meniscus of fluid blunting the costophrenic angle or diaphragmatic surface and. A chest ct or further testing may then be considered. When a chest tube is placed, the fluid. How To Identify Hemothorax On Chest X Ray.
From www.youtube.com
How to identify pneumothorax on a chest Xray YouTube How To Identify Hemothorax On Chest X Ray A chest ct or further testing may then be considered. Hemothorax is blood in the pleural cavity. Exact distinction between a “bloody pleural effusion” and a hemothorax is. When a chest tube is placed, the fluid may be evaluated to. Most often results from trauma to intrathoracic structures. In the normal unscarred pleural space, a hemothorax is noted as a. How To Identify Hemothorax On Chest X Ray.
From www.myxxgirl.com
Pneumothorax With Hemothorax Chest Pinterest Radiology Radiology My How To Identify Hemothorax On Chest X Ray Hemothorax is blood in the pleural cavity. When a chest tube is placed, the fluid may be evaluated to. Exact distinction between a “bloody pleural effusion” and a hemothorax is. In the normal unscarred pleural space, a hemothorax is noted as a meniscus of fluid blunting the costophrenic angle or diaphragmatic surface and. A chest ct or further testing may. How To Identify Hemothorax On Chest X Ray.
From ar.inspiredpencil.com
Hemothorax Chest Tube How To Identify Hemothorax On Chest X Ray A chest ct or further testing may then be considered. Exact distinction between a “bloody pleural effusion” and a hemothorax is. When a chest tube is placed, the fluid may be evaluated to. In the normal unscarred pleural space, a hemothorax is noted as a meniscus of fluid blunting the costophrenic angle or diaphragmatic surface and. Most often results from. How To Identify Hemothorax On Chest X Ray.
From www.pinterest.com
Hemothorax. There is complete opacification of the right hemithorax How To Identify Hemothorax On Chest X Ray Most often results from trauma to intrathoracic structures. When a chest tube is placed, the fluid may be evaluated to. Hemothorax is blood in the pleural cavity. A chest ct or further testing may then be considered. Exact distinction between a “bloody pleural effusion” and a hemothorax is. In the normal unscarred pleural space, a hemothorax is noted as a. How To Identify Hemothorax On Chest X Ray.
From www.vrogue.co
Chest X Ray Pneumothroax Or No Pneumothorax Youtube vrogue.co How To Identify Hemothorax On Chest X Ray When a chest tube is placed, the fluid may be evaluated to. Exact distinction between a “bloody pleural effusion” and a hemothorax is. Hemothorax is blood in the pleural cavity. In the normal unscarred pleural space, a hemothorax is noted as a meniscus of fluid blunting the costophrenic angle or diaphragmatic surface and. A chest ct or further testing may. How To Identify Hemothorax On Chest X Ray.
From www.topdoctors.co.uk
Hemothorax what is it, symptoms and treatment Top Doctors How To Identify Hemothorax On Chest X Ray A chest ct or further testing may then be considered. Exact distinction between a “bloody pleural effusion” and a hemothorax is. In the normal unscarred pleural space, a hemothorax is noted as a meniscus of fluid blunting the costophrenic angle or diaphragmatic surface and. Most often results from trauma to intrathoracic structures. Hemothorax is blood in the pleural cavity. When. How To Identify Hemothorax On Chest X Ray.
From www.vrogue.co
Chest Xray In Pneumothorax Images vrogue.co How To Identify Hemothorax On Chest X Ray Most often results from trauma to intrathoracic structures. A chest ct or further testing may then be considered. When a chest tube is placed, the fluid may be evaluated to. Exact distinction between a “bloody pleural effusion” and a hemothorax is. Hemothorax is blood in the pleural cavity. In the normal unscarred pleural space, a hemothorax is noted as a. How To Identify Hemothorax On Chest X Ray.
From diarycanvas.com
기흉 (Pneumothorax) 및 혈흉 (Hemothorax) 뚜야블로그 How To Identify Hemothorax On Chest X Ray Exact distinction between a “bloody pleural effusion” and a hemothorax is. In the normal unscarred pleural space, a hemothorax is noted as a meniscus of fluid blunting the costophrenic angle or diaphragmatic surface and. Most often results from trauma to intrathoracic structures. A chest ct or further testing may then be considered. Hemothorax is blood in the pleural cavity. When. How To Identify Hemothorax On Chest X Ray.
From www.youtube.com
How to Interpret a Chest XRay (Lesson 6 Diaphragm and Pleura) YouTube How To Identify Hemothorax On Chest X Ray Exact distinction between a “bloody pleural effusion” and a hemothorax is. A chest ct or further testing may then be considered. Most often results from trauma to intrathoracic structures. Hemothorax is blood in the pleural cavity. In the normal unscarred pleural space, a hemothorax is noted as a meniscus of fluid blunting the costophrenic angle or diaphragmatic surface and. When. How To Identify Hemothorax On Chest X Ray.
From ar.inspiredpencil.com
Chest X Ray Mild Pneumothorax How To Identify Hemothorax On Chest X Ray In the normal unscarred pleural space, a hemothorax is noted as a meniscus of fluid blunting the costophrenic angle or diaphragmatic surface and. Most often results from trauma to intrathoracic structures. When a chest tube is placed, the fluid may be evaluated to. A chest ct or further testing may then be considered. Exact distinction between a “bloody pleural effusion”. How To Identify Hemothorax On Chest X Ray.
From ar.inspiredpencil.com
Chest X Ray Hemothorax How To Identify Hemothorax On Chest X Ray When a chest tube is placed, the fluid may be evaluated to. In the normal unscarred pleural space, a hemothorax is noted as a meniscus of fluid blunting the costophrenic angle or diaphragmatic surface and. A chest ct or further testing may then be considered. Most often results from trauma to intrathoracic structures. Exact distinction between a “bloody pleural effusion”. How To Identify Hemothorax On Chest X Ray.
From ar.inspiredpencil.com
Pneumothorax Chest X Ray How To Identify Hemothorax On Chest X Ray In the normal unscarred pleural space, a hemothorax is noted as a meniscus of fluid blunting the costophrenic angle or diaphragmatic surface and. A chest ct or further testing may then be considered. Hemothorax is blood in the pleural cavity. Most often results from trauma to intrathoracic structures. When a chest tube is placed, the fluid may be evaluated to.. How To Identify Hemothorax On Chest X Ray.
From www.vrogue.co
Postoperative Chest X Ray Showed Right Pneumothorax A vrogue.co How To Identify Hemothorax On Chest X Ray Exact distinction between a “bloody pleural effusion” and a hemothorax is. A chest ct or further testing may then be considered. When a chest tube is placed, the fluid may be evaluated to. Hemothorax is blood in the pleural cavity. In the normal unscarred pleural space, a hemothorax is noted as a meniscus of fluid blunting the costophrenic angle or. How To Identify Hemothorax On Chest X Ray.
From ar.inspiredpencil.com
Left Hemothorax X Ray How To Identify Hemothorax On Chest X Ray A chest ct or further testing may then be considered. Hemothorax is blood in the pleural cavity. Most often results from trauma to intrathoracic structures. In the normal unscarred pleural space, a hemothorax is noted as a meniscus of fluid blunting the costophrenic angle or diaphragmatic surface and. When a chest tube is placed, the fluid may be evaluated to.. How To Identify Hemothorax On Chest X Ray.
From www.semanticscholar.org
Figure 1 from Traumatic Hemothorax Caused by Thoracic Wall and How To Identify Hemothorax On Chest X Ray Exact distinction between a “bloody pleural effusion” and a hemothorax is. Most often results from trauma to intrathoracic structures. When a chest tube is placed, the fluid may be evaluated to. Hemothorax is blood in the pleural cavity. A chest ct or further testing may then be considered. In the normal unscarred pleural space, a hemothorax is noted as a. How To Identify Hemothorax On Chest X Ray.
From mavink.com
Small Pneumothorax Chest X Ray How To Identify Hemothorax On Chest X Ray Most often results from trauma to intrathoracic structures. Exact distinction between a “bloody pleural effusion” and a hemothorax is. In the normal unscarred pleural space, a hemothorax is noted as a meniscus of fluid blunting the costophrenic angle or diaphragmatic surface and. Hemothorax is blood in the pleural cavity. When a chest tube is placed, the fluid may be evaluated. How To Identify Hemothorax On Chest X Ray.
From www.cureus.com
Right Diaphragmatic Rupture A Case Report of a Rare Surgical Trauma How To Identify Hemothorax On Chest X Ray A chest ct or further testing may then be considered. Exact distinction between a “bloody pleural effusion” and a hemothorax is. Most often results from trauma to intrathoracic structures. Hemothorax is blood in the pleural cavity. When a chest tube is placed, the fluid may be evaluated to. In the normal unscarred pleural space, a hemothorax is noted as a. How To Identify Hemothorax On Chest X Ray.
From www.myxxgirl.com
Chest X Ray Shows Massive Right Hemothorax Superior Mediastinal My How To Identify Hemothorax On Chest X Ray Exact distinction between a “bloody pleural effusion” and a hemothorax is. A chest ct or further testing may then be considered. When a chest tube is placed, the fluid may be evaluated to. Hemothorax is blood in the pleural cavity. In the normal unscarred pleural space, a hemothorax is noted as a meniscus of fluid blunting the costophrenic angle or. How To Identify Hemothorax On Chest X Ray.