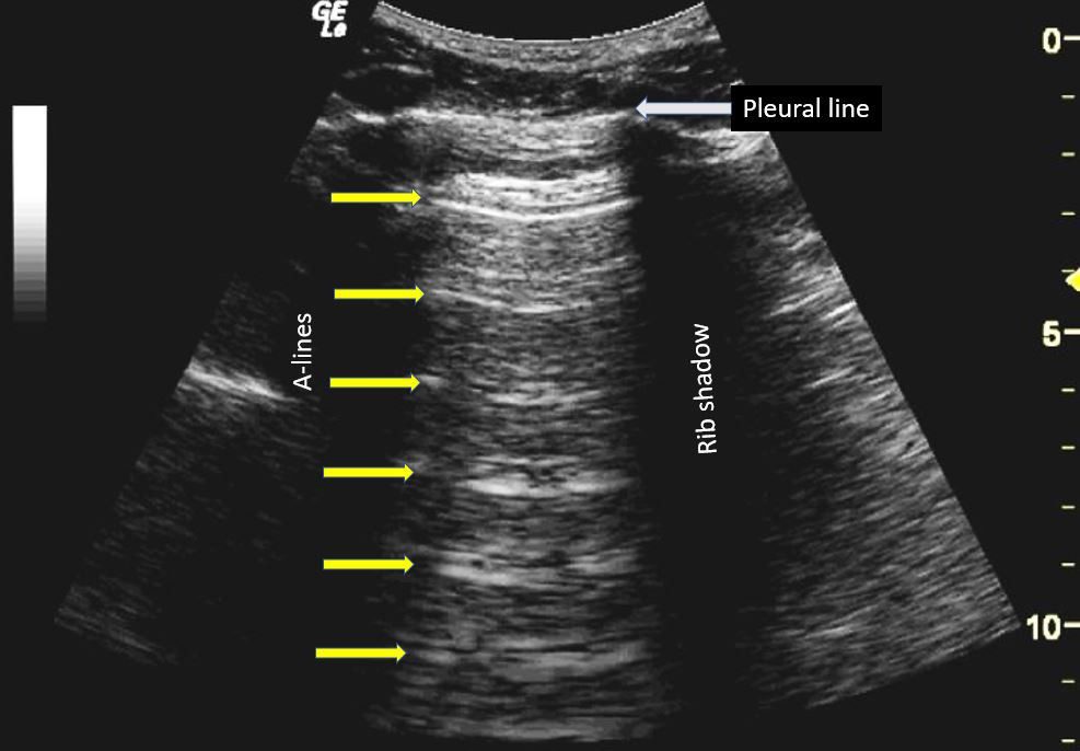
What Is A Scan Line In Ultrasound . Sound waves are transmitted towards a new focal point along the given scan line. An ultrasound image is built sequentially, scan line by scan line, from one side of an image to the other. Once all of the sound waves along the given scan line have. Learn how to read your ultrasound report with our tips for understanding what colors, numbers and abbreviations mean! It is imperative to be familiar with ultrasound physics, normal. • scanning planes are used to establish the direction that the ultrasound beam enters the body and the anatomic portion of anatomy being visualized from that particular direction. In this article, we briefly describe the technique of lung ultrasound and the various lines and signs commonly encountered during.
from www.pocus.org
Learn how to read your ultrasound report with our tips for understanding what colors, numbers and abbreviations mean! • scanning planes are used to establish the direction that the ultrasound beam enters the body and the anatomic portion of anatomy being visualized from that particular direction. Sound waves are transmitted towards a new focal point along the given scan line. An ultrasound image is built sequentially, scan line by scan line, from one side of an image to the other. It is imperative to be familiar with ultrasound physics, normal. In this article, we briefly describe the technique of lung ultrasound and the various lines and signs commonly encountered during. Once all of the sound waves along the given scan line have.
COVID19 and the Role of Point of Care Ultrasound
What Is A Scan Line In Ultrasound An ultrasound image is built sequentially, scan line by scan line, from one side of an image to the other. It is imperative to be familiar with ultrasound physics, normal. • scanning planes are used to establish the direction that the ultrasound beam enters the body and the anatomic portion of anatomy being visualized from that particular direction. Learn how to read your ultrasound report with our tips for understanding what colors, numbers and abbreviations mean! Once all of the sound waves along the given scan line have. Sound waves are transmitted towards a new focal point along the given scan line. In this article, we briefly describe the technique of lung ultrasound and the various lines and signs commonly encountered during. An ultrasound image is built sequentially, scan line by scan line, from one side of an image to the other.
From www.eyerounds.org
Ocular Ultrasound A Quick Reference Guide for the OnCall Physician What Is A Scan Line In Ultrasound Learn how to read your ultrasound report with our tips for understanding what colors, numbers and abbreviations mean! It is imperative to be familiar with ultrasound physics, normal. • scanning planes are used to establish the direction that the ultrasound beam enters the body and the anatomic portion of anatomy being visualized from that particular direction. Once all of the. What Is A Scan Line In Ultrasound.
From www.siemens-healthineers.com
White Paper Lung Ultrasound in Patients with Coronavirus COVID19 Disease Siemens What Is A Scan Line In Ultrasound In this article, we briefly describe the technique of lung ultrasound and the various lines and signs commonly encountered during. Learn how to read your ultrasound report with our tips for understanding what colors, numbers and abbreviations mean! It is imperative to be familiar with ultrasound physics, normal. Once all of the sound waves along the given scan line have.. What Is A Scan Line In Ultrasound.
From www.researchgate.net
(PDF) Resolution in ultrasound imaging What Is A Scan Line In Ultrasound An ultrasound image is built sequentially, scan line by scan line, from one side of an image to the other. Once all of the sound waves along the given scan line have. • scanning planes are used to establish the direction that the ultrasound beam enters the body and the anatomic portion of anatomy being visualized from that particular direction.. What Is A Scan Line In Ultrasound.
From pocketicu.com
Lung Ultrasound Pocket ICU What Is A Scan Line In Ultrasound Once all of the sound waves along the given scan line have. Sound waves are transmitted towards a new focal point along the given scan line. • scanning planes are used to establish the direction that the ultrasound beam enters the body and the anatomic portion of anatomy being visualized from that particular direction. It is imperative to be familiar. What Is A Scan Line In Ultrasound.
From www.researchgate.net
Typical patterns of lines A (a) and line B (b) in lung ultrasound scan. Download Scientific What Is A Scan Line In Ultrasound In this article, we briefly describe the technique of lung ultrasound and the various lines and signs commonly encountered during. Sound waves are transmitted towards a new focal point along the given scan line. An ultrasound image is built sequentially, scan line by scan line, from one side of an image to the other. It is imperative to be familiar. What Is A Scan Line In Ultrasound.
From mavink.com
A Lines Lung Ultrasound What Is A Scan Line In Ultrasound • scanning planes are used to establish the direction that the ultrasound beam enters the body and the anatomic portion of anatomy being visualized from that particular direction. It is imperative to be familiar with ultrasound physics, normal. An ultrasound image is built sequentially, scan line by scan line, from one side of an image to the other. Once all. What Is A Scan Line In Ultrasound.
From www.pocus101.com
UltrasoundGuided Central Line Placement Made Easy StepByStep Guide What Is A Scan Line In Ultrasound It is imperative to be familiar with ultrasound physics, normal. An ultrasound image is built sequentially, scan line by scan line, from one side of an image to the other. Once all of the sound waves along the given scan line have. In this article, we briefly describe the technique of lung ultrasound and the various lines and signs commonly. What Is A Scan Line In Ultrasound.
From www.cureus.com
Cureus Application of Lung Ultrasound in Critical Care Setting A Review What Is A Scan Line In Ultrasound An ultrasound image is built sequentially, scan line by scan line, from one side of an image to the other. It is imperative to be familiar with ultrasound physics, normal. In this article, we briefly describe the technique of lung ultrasound and the various lines and signs commonly encountered during. Learn how to read your ultrasound report with our tips. What Is A Scan Line In Ultrasound.
From www.researchgate.net
6 Overview of ultrasound imaging hardware. (a) Physical appearance of... Download Scientific What Is A Scan Line In Ultrasound An ultrasound image is built sequentially, scan line by scan line, from one side of an image to the other. • scanning planes are used to establish the direction that the ultrasound beam enters the body and the anatomic portion of anatomy being visualized from that particular direction. Once all of the sound waves along the given scan line have.. What Is A Scan Line In Ultrasound.
From www.mdpi.com
Applied Sciences Free FullText Lung Ultrasound Imaging, a Technical Review What Is A Scan Line In Ultrasound Sound waves are transmitted towards a new focal point along the given scan line. Once all of the sound waves along the given scan line have. • scanning planes are used to establish the direction that the ultrasound beam enters the body and the anatomic portion of anatomy being visualized from that particular direction. In this article, we briefly describe. What Is A Scan Line In Ultrasound.
From www.galwayultrasoundspecialists.ie
Pregnancy Scans — Galway Ultrasound Specialists What Is A Scan Line In Ultrasound • scanning planes are used to establish the direction that the ultrasound beam enters the body and the anatomic portion of anatomy being visualized from that particular direction. It is imperative to be familiar with ultrasound physics, normal. Sound waves are transmitted towards a new focal point along the given scan line. In this article, we briefly describe the technique. What Is A Scan Line In Ultrasound.
From www.animalultrasoundassociation.org
What are those lines traveling down my screen? Animal Ultrasound Association What Is A Scan Line In Ultrasound It is imperative to be familiar with ultrasound physics, normal. Once all of the sound waves along the given scan line have. Sound waves are transmitted towards a new focal point along the given scan line. Learn how to read your ultrasound report with our tips for understanding what colors, numbers and abbreviations mean! An ultrasound image is built sequentially,. What Is A Scan Line In Ultrasound.
From www.pinterest.com
Abdominal ultrasonography of the liver, as a sagittal plane through the midclavicular line, with What Is A Scan Line In Ultrasound • scanning planes are used to establish the direction that the ultrasound beam enters the body and the anatomic portion of anatomy being visualized from that particular direction. In this article, we briefly describe the technique of lung ultrasound and the various lines and signs commonly encountered during. Sound waves are transmitted towards a new focal point along the given. What Is A Scan Line In Ultrasound.
From theredclinic.com
DETAILED SCAN IN PREGNANCY The Red Clinic What Is A Scan Line In Ultrasound Learn how to read your ultrasound report with our tips for understanding what colors, numbers and abbreviations mean! Once all of the sound waves along the given scan line have. In this article, we briefly describe the technique of lung ultrasound and the various lines and signs commonly encountered during. An ultrasound image is built sequentially, scan line by scan. What Is A Scan Line In Ultrasound.
From www.pocus101.com
UltrasoundGuided Central Line Placement Made Easy StepByStep Guide What Is A Scan Line In Ultrasound Learn how to read your ultrasound report with our tips for understanding what colors, numbers and abbreviations mean! Sound waves are transmitted towards a new focal point along the given scan line. An ultrasound image is built sequentially, scan line by scan line, from one side of an image to the other. Once all of the sound waves along the. What Is A Scan Line In Ultrasound.
From www.researchgate.net
Principle of Bmode UDT collection a line signal, generated by the... Download Scientific Diagram What Is A Scan Line In Ultrasound Sound waves are transmitted towards a new focal point along the given scan line. An ultrasound image is built sequentially, scan line by scan line, from one side of an image to the other. In this article, we briefly describe the technique of lung ultrasound and the various lines and signs commonly encountered during. It is imperative to be familiar. What Is A Scan Line In Ultrasound.
From www.imv-imaging.com
Ultrasound Modes Explained The A, B, Ms What Is A Scan Line In Ultrasound An ultrasound image is built sequentially, scan line by scan line, from one side of an image to the other. Once all of the sound waves along the given scan line have. It is imperative to be familiar with ultrasound physics, normal. In this article, we briefly describe the technique of lung ultrasound and the various lines and signs commonly. What Is A Scan Line In Ultrasound.
From www.researchgate.net
Image of Alines and Blines on lung ultrasound. Alines are horizontal... Download Scientific What Is A Scan Line In Ultrasound In this article, we briefly describe the technique of lung ultrasound and the various lines and signs commonly encountered during. • scanning planes are used to establish the direction that the ultrasound beam enters the body and the anatomic portion of anatomy being visualized from that particular direction. Learn how to read your ultrasound report with our tips for understanding. What Is A Scan Line In Ultrasound.
From mavink.com
A Lines Lung Ultrasound What Is A Scan Line In Ultrasound Learn how to read your ultrasound report with our tips for understanding what colors, numbers and abbreviations mean! An ultrasound image is built sequentially, scan line by scan line, from one side of an image to the other. In this article, we briefly describe the technique of lung ultrasound and the various lines and signs commonly encountered during. • scanning. What Is A Scan Line In Ultrasound.
From portableultrasoundmachines.co.uk
Lung Ultrasound for Covid19 Portable Ultrasound Machines What Is A Scan Line In Ultrasound Learn how to read your ultrasound report with our tips for understanding what colors, numbers and abbreviations mean! In this article, we briefly describe the technique of lung ultrasound and the various lines and signs commonly encountered during. An ultrasound image is built sequentially, scan line by scan line, from one side of an image to the other. Sound waves. What Is A Scan Line In Ultrasound.
From www.youtube.com
Blines on lung ultrasound YouTube What Is A Scan Line In Ultrasound • scanning planes are used to establish the direction that the ultrasound beam enters the body and the anatomic portion of anatomy being visualized from that particular direction. Learn how to read your ultrasound report with our tips for understanding what colors, numbers and abbreviations mean! It is imperative to be familiar with ultrasound physics, normal. Sound waves are transmitted. What Is A Scan Line In Ultrasound.
From www.hopkinsmedicine.org
Radiology Exam Ultrasound Scan Johns Hopkins Radiology What Is A Scan Line In Ultrasound Learn how to read your ultrasound report with our tips for understanding what colors, numbers and abbreviations mean! Sound waves are transmitted towards a new focal point along the given scan line. Once all of the sound waves along the given scan line have. • scanning planes are used to establish the direction that the ultrasound beam enters the body. What Is A Scan Line In Ultrasound.
From www.pocus101.com
UltrasoundGuided Central Line Placement Made Easy StepByStep Guide What Is A Scan Line In Ultrasound Once all of the sound waves along the given scan line have. An ultrasound image is built sequentially, scan line by scan line, from one side of an image to the other. • scanning planes are used to establish the direction that the ultrasound beam enters the body and the anatomic portion of anatomy being visualized from that particular direction.. What Is A Scan Line In Ultrasound.
From www.researchgate.net
Physics of lung US. (Left) Ultrasound waves reflected at the pleural... Download Scientific What Is A Scan Line In Ultrasound • scanning planes are used to establish the direction that the ultrasound beam enters the body and the anatomic portion of anatomy being visualized from that particular direction. Learn how to read your ultrasound report with our tips for understanding what colors, numbers and abbreviations mean! Sound waves are transmitted towards a new focal point along the given scan line.. What Is A Scan Line In Ultrasound.
From www.researchgate.net
Lung ultrasound image with Blines (white arrows) Download Scientific Diagram What Is A Scan Line In Ultrasound It is imperative to be familiar with ultrasound physics, normal. Learn how to read your ultrasound report with our tips for understanding what colors, numbers and abbreviations mean! • scanning planes are used to establish the direction that the ultrasound beam enters the body and the anatomic portion of anatomy being visualized from that particular direction. Sound waves are transmitted. What Is A Scan Line In Ultrasound.
From www.cureus.com
Cureus Application of Lung Ultrasound in Critical Care Setting A Review What Is A Scan Line In Ultrasound Learn how to read your ultrasound report with our tips for understanding what colors, numbers and abbreviations mean! Once all of the sound waves along the given scan line have. It is imperative to be familiar with ultrasound physics, normal. In this article, we briefly describe the technique of lung ultrasound and the various lines and signs commonly encountered during.. What Is A Scan Line In Ultrasound.
From www.which.co.uk
NHS and private ultrasound scans during pregnancy Which? What Is A Scan Line In Ultrasound An ultrasound image is built sequentially, scan line by scan line, from one side of an image to the other. • scanning planes are used to establish the direction that the ultrasound beam enters the body and the anatomic portion of anatomy being visualized from that particular direction. Sound waves are transmitted towards a new focal point along the given. What Is A Scan Line In Ultrasound.
From www.insimo.com
How to successfully perform a lung ultrasound scan using the POCUS protocol? What Is A Scan Line In Ultrasound In this article, we briefly describe the technique of lung ultrasound and the various lines and signs commonly encountered during. Once all of the sound waves along the given scan line have. Sound waves are transmitted towards a new focal point along the given scan line. • scanning planes are used to establish the direction that the ultrasound beam enters. What Is A Scan Line In Ultrasound.
From www.youtube.com
ANATOMY SCAN 21 WEEKS ULTRASOUND YouTube What Is A Scan Line In Ultrasound • scanning planes are used to establish the direction that the ultrasound beam enters the body and the anatomic portion of anatomy being visualized from that particular direction. Sound waves are transmitted towards a new focal point along the given scan line. Learn how to read your ultrasound report with our tips for understanding what colors, numbers and abbreviations mean!. What Is A Scan Line In Ultrasound.
From doctordibblin.com
A Medical Student's Guide To Ultrasound Imaging Modes What Is A Scan Line In Ultrasound It is imperative to be familiar with ultrasound physics, normal. • scanning planes are used to establish the direction that the ultrasound beam enters the body and the anatomic portion of anatomy being visualized from that particular direction. An ultrasound image is built sequentially, scan line by scan line, from one side of an image to the other. Sound waves. What Is A Scan Line In Ultrasound.
From www.medicalnewstoday.com
Ultrasound scans How do they work? What Is A Scan Line In Ultrasound It is imperative to be familiar with ultrasound physics, normal. Sound waves are transmitted towards a new focal point along the given scan line. An ultrasound image is built sequentially, scan line by scan line, from one side of an image to the other. Learn how to read your ultrasound report with our tips for understanding what colors, numbers and. What Is A Scan Line In Ultrasound.
From www.nhs.uk
Ultrasound scan NHS What Is A Scan Line In Ultrasound Learn how to read your ultrasound report with our tips for understanding what colors, numbers and abbreviations mean! Once all of the sound waves along the given scan line have. In this article, we briefly describe the technique of lung ultrasound and the various lines and signs commonly encountered during. It is imperative to be familiar with ultrasound physics, normal.. What Is A Scan Line In Ultrasound.
From www.researchgate.net
Imaging flow of the standard Bmode ultrasound imaging. PRF pulse... Download Scientific Diagram What Is A Scan Line In Ultrasound Learn how to read your ultrasound report with our tips for understanding what colors, numbers and abbreviations mean! • scanning planes are used to establish the direction that the ultrasound beam enters the body and the anatomic portion of anatomy being visualized from that particular direction. An ultrasound image is built sequentially, scan line by scan line, from one side. What Is A Scan Line In Ultrasound.
From northwayclinic.co.uk
What An Ultrasound Scan Shows Northway Clinic What Is A Scan Line In Ultrasound • scanning planes are used to establish the direction that the ultrasound beam enters the body and the anatomic portion of anatomy being visualized from that particular direction. Sound waves are transmitted towards a new focal point along the given scan line. It is imperative to be familiar with ultrasound physics, normal. Once all of the sound waves along the. What Is A Scan Line In Ultrasound.
From www.pocus.org
COVID19 and the Role of Point of Care Ultrasound What Is A Scan Line In Ultrasound Sound waves are transmitted towards a new focal point along the given scan line. In this article, we briefly describe the technique of lung ultrasound and the various lines and signs commonly encountered during. • scanning planes are used to establish the direction that the ultrasound beam enters the body and the anatomic portion of anatomy being visualized from that. What Is A Scan Line In Ultrasound.