Type Iv Endoleak Treatment . Treatment of a type v endoleak is controversial because how it occurs is so poorly understood. Some types are associated with ongoing risk of aneurysm. Type iv endoleak is a very rare complication observed after implantation of aortobiiliac stent grafts. The type of endoleak, classified as type i through type iv, determines its clinical significance and treatment. Direct endoleaks (type i and iii) have higher risk of aneurysm rupture due to rapid sac expansion, and require immediate correction. Treatment is suggested for ongoing aneurysm expansion even in the absence of a visible endoleak, referred to as endotension or a type v endoleak (grade 2c evidence level). Indirect endoleaks (type ii, iv, v) may have a more benign course and should be treated only under the presence of aneurysm growth. Endoleaks represent the most common complication after evar.
        
        from www.annalsofvascularsurgery.com 
     
        
        Type iv endoleak is a very rare complication observed after implantation of aortobiiliac stent grafts. Endoleaks represent the most common complication after evar. Treatment is suggested for ongoing aneurysm expansion even in the absence of a visible endoleak, referred to as endotension or a type v endoleak (grade 2c evidence level). Some types are associated with ongoing risk of aneurysm. Direct endoleaks (type i and iii) have higher risk of aneurysm rupture due to rapid sac expansion, and require immediate correction. The type of endoleak, classified as type i through type iv, determines its clinical significance and treatment. Indirect endoleaks (type ii, iv, v) may have a more benign course and should be treated only under the presence of aneurysm growth. Treatment of a type v endoleak is controversial because how it occurs is so poorly understood.
    
    	
            
	
		 
         
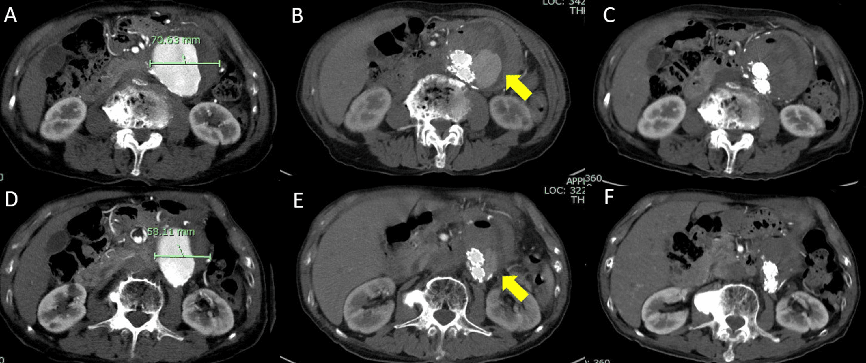
    Management of Concealed Type IV Endoleak and Aortic Sac Hygroma by Prone ContrASt EnHancement 
    Type Iv Endoleak Treatment  Indirect endoleaks (type ii, iv, v) may have a more benign course and should be treated only under the presence of aneurysm growth. The type of endoleak, classified as type i through type iv, determines its clinical significance and treatment. Type iv endoleak is a very rare complication observed after implantation of aortobiiliac stent grafts. Some types are associated with ongoing risk of aneurysm. Direct endoleaks (type i and iii) have higher risk of aneurysm rupture due to rapid sac expansion, and require immediate correction. Indirect endoleaks (type ii, iv, v) may have a more benign course and should be treated only under the presence of aneurysm growth. Treatment is suggested for ongoing aneurysm expansion even in the absence of a visible endoleak, referred to as endotension or a type v endoleak (grade 2c evidence level). Treatment of a type v endoleak is controversial because how it occurs is so poorly understood. Endoleaks represent the most common complication after evar.
            
	
		 
         
 
    
        From www.semanticscholar.org 
                    [PDF] Endoleaks after endovascular abdominal aortic aneurysm repair Semantic Scholar Type Iv Endoleak Treatment  Some types are associated with ongoing risk of aneurysm. Indirect endoleaks (type ii, iv, v) may have a more benign course and should be treated only under the presence of aneurysm growth. The type of endoleak, classified as type i through type iv, determines its clinical significance and treatment. Endoleaks represent the most common complication after evar. Treatment is suggested. Type Iv Endoleak Treatment.
     
    
        From www.hkmj.org 
                    Effectiveness of proximal intraoperative salvage Palmaz stent placement for endoleak during Type Iv Endoleak Treatment  Some types are associated with ongoing risk of aneurysm. Direct endoleaks (type i and iii) have higher risk of aneurysm rupture due to rapid sac expansion, and require immediate correction. Endoleaks represent the most common complication after evar. Treatment of a type v endoleak is controversial because how it occurs is so poorly understood. Indirect endoleaks (type ii, iv, v). Type Iv Endoleak Treatment.
     
    
        From www.researchgate.net 
                    Classification of endoleaks of fenestratedbranched endovascular aortic... Download Scientific Type Iv Endoleak Treatment  Treatment is suggested for ongoing aneurysm expansion even in the absence of a visible endoleak, referred to as endotension or a type v endoleak (grade 2c evidence level). Some types are associated with ongoing risk of aneurysm. Direct endoleaks (type i and iii) have higher risk of aneurysm rupture due to rapid sac expansion, and require immediate correction. Endoleaks represent. Type Iv Endoleak Treatment.
     
    
        From www.mdpi.com 
                    Biomedicines Free FullText Embolization for Type Ia Endoleak after EVAR for Abdominal Type Iv Endoleak Treatment  Treatment is suggested for ongoing aneurysm expansion even in the absence of a visible endoleak, referred to as endotension or a type v endoleak (grade 2c evidence level). Treatment of a type v endoleak is controversial because how it occurs is so poorly understood. Some types are associated with ongoing risk of aneurysm. Direct endoleaks (type i and iii) have. Type Iv Endoleak Treatment.
     
    
        From www.annalsofvascularsurgery.com 
                    Management of Concealed Type IV Endoleak and Aortic Sac Hygroma by Prone ContrASt EnHancement Type Iv Endoleak Treatment  Endoleaks represent the most common complication after evar. Treatment is suggested for ongoing aneurysm expansion even in the absence of a visible endoleak, referred to as endotension or a type v endoleak (grade 2c evidence level). Treatment of a type v endoleak is controversial because how it occurs is so poorly understood. Some types are associated with ongoing risk of. Type Iv Endoleak Treatment.
     
    
        From www.semanticscholar.org 
                    Figure 1 from ENDOLEAK EVALUATION AFTER ENDOVASCULAR REPAIR OF ABDOMINAL AORTIC ANEURYSM Type Iv Endoleak Treatment  Some types are associated with ongoing risk of aneurysm. The type of endoleak, classified as type i through type iv, determines its clinical significance and treatment. Direct endoleaks (type i and iii) have higher risk of aneurysm rupture due to rapid sac expansion, and require immediate correction. Indirect endoleaks (type ii, iv, v) may have a more benign course and. Type Iv Endoleak Treatment.
     
    
        From www.annalsofvascularsurgery.com 
                    Management of Concealed Type IV Endoleak and Aortic Sac Hygroma by Prone ContrASt EnHancement Type Iv Endoleak Treatment  Endoleaks represent the most common complication after evar. Treatment is suggested for ongoing aneurysm expansion even in the absence of a visible endoleak, referred to as endotension or a type v endoleak (grade 2c evidence level). Some types are associated with ongoing risk of aneurysm. Treatment of a type v endoleak is controversial because how it occurs is so poorly. Type Iv Endoleak Treatment.
     
    
        From www.annalsofvascularsurgery.com 
                    Management of Concealed Type IV Endoleak and Aortic Sac Hygroma by Prone ContrASt EnHancement Type Iv Endoleak Treatment  Treatment is suggested for ongoing aneurysm expansion even in the absence of a visible endoleak, referred to as endotension or a type v endoleak (grade 2c evidence level). Endoleaks represent the most common complication after evar. The type of endoleak, classified as type i through type iv, determines its clinical significance and treatment. Direct endoleaks (type i and iii) have. Type Iv Endoleak Treatment.
     
    
        From www.jvir.org 
                    Use of the EndoleaktoAortic Density Ratio to Distinguish Direct Endoleaks from Indirect Type Iv Endoleak Treatment  Endoleaks represent the most common complication after evar. Some types are associated with ongoing risk of aneurysm. The type of endoleak, classified as type i through type iv, determines its clinical significance and treatment. Treatment of a type v endoleak is controversial because how it occurs is so poorly understood. Indirect endoleaks (type ii, iv, v) may have a more. Type Iv Endoleak Treatment.
     
    
        From www.jacc.org 
                    Type I Endoleak PostEndovascular Aneurysm Repair, Successfully Treated With Excluder Cuff and Type Iv Endoleak Treatment  The type of endoleak, classified as type i through type iv, determines its clinical significance and treatment. Treatment is suggested for ongoing aneurysm expansion even in the absence of a visible endoleak, referred to as endotension or a type v endoleak (grade 2c evidence level). Treatment of a type v endoleak is controversial because how it occurs is so poorly. Type Iv Endoleak Treatment.
     
    
        From www.cureus.com 
                    Cureus Diagnosis of Type IV Endoleak After Endovascular Aneurysm Repair Using Visualization Type Iv Endoleak Treatment  Treatment of a type v endoleak is controversial because how it occurs is so poorly understood. The type of endoleak, classified as type i through type iv, determines its clinical significance and treatment. Direct endoleaks (type i and iii) have higher risk of aneurysm rupture due to rapid sac expansion, and require immediate correction. Type iv endoleak is a very. Type Iv Endoleak Treatment.
     
    
        From vascsurg.me 
                    Type IV endoleak A Surgeon's Notes Type Iv Endoleak Treatment  Type iv endoleak is a very rare complication observed after implantation of aortobiiliac stent grafts. Endoleaks represent the most common complication after evar. Some types are associated with ongoing risk of aneurysm. Treatment is suggested for ongoing aneurysm expansion even in the absence of a visible endoleak, referred to as endotension or a type v endoleak (grade 2c evidence level).. Type Iv Endoleak Treatment.
     
    
        From www.jvscit.org 
                    Successful treatment of a persistent type IA endoleak with endoanchors following chimney Type Iv Endoleak Treatment  Type iv endoleak is a very rare complication observed after implantation of aortobiiliac stent grafts. Treatment of a type v endoleak is controversial because how it occurs is so poorly understood. Treatment is suggested for ongoing aneurysm expansion even in the absence of a visible endoleak, referred to as endotension or a type v endoleak (grade 2c evidence level). Direct. Type Iv Endoleak Treatment.
     
    
        From evtoday.com 
                    EVAR Versus the Endoleak Endovascular Today Type Iv Endoleak Treatment  Some types are associated with ongoing risk of aneurysm. Indirect endoleaks (type ii, iv, v) may have a more benign course and should be treated only under the presence of aneurysm growth. Treatment of a type v endoleak is controversial because how it occurs is so poorly understood. Treatment is suggested for ongoing aneurysm expansion even in the absence of. Type Iv Endoleak Treatment.
     
    
        From pacs.de 
                    endoleak types pacs Type Iv Endoleak Treatment  Type iv endoleak is a very rare complication observed after implantation of aortobiiliac stent grafts. Indirect endoleaks (type ii, iv, v) may have a more benign course and should be treated only under the presence of aneurysm growth. Endoleaks represent the most common complication after evar. The type of endoleak, classified as type i through type iv, determines its clinical. Type Iv Endoleak Treatment.
     
    
        From www.cureus.com 
                    Cureus Type III Endoleak Leading to Aortic Rupture After Endovascular Repair Type Iv Endoleak Treatment  Direct endoleaks (type i and iii) have higher risk of aneurysm rupture due to rapid sac expansion, and require immediate correction. Some types are associated with ongoing risk of aneurysm. Endoleaks represent the most common complication after evar. Treatment is suggested for ongoing aneurysm expansion even in the absence of a visible endoleak, referred to as endotension or a type. Type Iv Endoleak Treatment.
     
    
        From www.ajronline.org 
                    Best Practice Guidelines Imaging Surveillance After Endovascular Aneurysm Repair AJR Type Iv Endoleak Treatment  Indirect endoleaks (type ii, iv, v) may have a more benign course and should be treated only under the presence of aneurysm growth. Treatment is suggested for ongoing aneurysm expansion even in the absence of a visible endoleak, referred to as endotension or a type v endoleak (grade 2c evidence level). Type iv endoleak is a very rare complication observed. Type Iv Endoleak Treatment.
     
    
        From pubs.rsna.org 
                    Contrastenhanced US Evaluation of Endoleaks after Endovascular Stent Repair of Abdominal Aortic Type Iv Endoleak Treatment  Indirect endoleaks (type ii, iv, v) may have a more benign course and should be treated only under the presence of aneurysm growth. Treatment is suggested for ongoing aneurysm expansion even in the absence of a visible endoleak, referred to as endotension or a type v endoleak (grade 2c evidence level). The type of endoleak, classified as type i through. Type Iv Endoleak Treatment.
     
    
        From www.cureus.com 
                    Cureus Diagnosis of Type IV Endoleak After Endovascular Aneurysm Repair Using Visualization Type Iv Endoleak Treatment  Treatment of a type v endoleak is controversial because how it occurs is so poorly understood. Treatment is suggested for ongoing aneurysm expansion even in the absence of a visible endoleak, referred to as endotension or a type v endoleak (grade 2c evidence level). Endoleaks represent the most common complication after evar. The type of endoleak, classified as type i. Type Iv Endoleak Treatment.
     
    
        From evtoday.com 
                    Endoleak and the Role of Embolization Endovascular Today Type Iv Endoleak Treatment  Type iv endoleak is a very rare complication observed after implantation of aortobiiliac stent grafts. Direct endoleaks (type i and iii) have higher risk of aneurysm rupture due to rapid sac expansion, and require immediate correction. Treatment of a type v endoleak is controversial because how it occurs is so poorly understood. Some types are associated with ongoing risk of. Type Iv Endoleak Treatment.
     
    
        From www.techvir.com 
                    Endoleak Treatment Options Techniques in Vascular & Interventional Radiology Type Iv Endoleak Treatment  The type of endoleak, classified as type i through type iv, determines its clinical significance and treatment. Endoleaks represent the most common complication after evar. Some types are associated with ongoing risk of aneurysm. Indirect endoleaks (type ii, iv, v) may have a more benign course and should be treated only under the presence of aneurysm growth. Treatment of a. Type Iv Endoleak Treatment.
     
    
        From tuttointerventistica.it 
                    Endoleak TuttoInterventistica Type Iv Endoleak Treatment  Endoleaks represent the most common complication after evar. Type iv endoleak is a very rare complication observed after implantation of aortobiiliac stent grafts. The type of endoleak, classified as type i through type iv, determines its clinical significance and treatment. Direct endoleaks (type i and iii) have higher risk of aneurysm rupture due to rapid sac expansion, and require immediate. Type Iv Endoleak Treatment.
     
    
        From www.jvascsurg.org 
                    Society for Vascular Surgery implementation of clinical practice guidelines for patients with an Type Iv Endoleak Treatment  Treatment of a type v endoleak is controversial because how it occurs is so poorly understood. Indirect endoleaks (type ii, iv, v) may have a more benign course and should be treated only under the presence of aneurysm growth. The type of endoleak, classified as type i through type iv, determines its clinical significance and treatment. Direct endoleaks (type i. Type Iv Endoleak Treatment.
     
    
        From www.annalsofvascularsurgery.com 
                    A Technique for Endograft Relining of a Type IV Endoleak Using a SurgeonModified Internal Gate Type Iv Endoleak Treatment  Endoleaks represent the most common complication after evar. Direct endoleaks (type i and iii) have higher risk of aneurysm rupture due to rapid sac expansion, and require immediate correction. Treatment is suggested for ongoing aneurysm expansion even in the absence of a visible endoleak, referred to as endotension or a type v endoleak (grade 2c evidence level). Type iv endoleak. Type Iv Endoleak Treatment.
     
    
        From www.cureus.com 
                    Cureus The Challenge of Endoleaks in Endovascular Aneurysm Repair (EVAR) A Review of Their Type Iv Endoleak Treatment  Treatment is suggested for ongoing aneurysm expansion even in the absence of a visible endoleak, referred to as endotension or a type v endoleak (grade 2c evidence level). Direct endoleaks (type i and iii) have higher risk of aneurysm rupture due to rapid sac expansion, and require immediate correction. Type iv endoleak is a very rare complication observed after implantation. Type Iv Endoleak Treatment.
     
    
        From www.intechopen.com 
                    Endovascular Treatment of Endoleaks Following EVAR IntechOpen Type Iv Endoleak Treatment  Indirect endoleaks (type ii, iv, v) may have a more benign course and should be treated only under the presence of aneurysm growth. Direct endoleaks (type i and iii) have higher risk of aneurysm rupture due to rapid sac expansion, and require immediate correction. Endoleaks represent the most common complication after evar. The type of endoleak, classified as type i. Type Iv Endoleak Treatment.
     
    
        From angiologist.com 
                    Endoleak Diagnosis, Types and Treatment Options Type Iv Endoleak Treatment  Type iv endoleak is a very rare complication observed after implantation of aortobiiliac stent grafts. Direct endoleaks (type i and iii) have higher risk of aneurysm rupture due to rapid sac expansion, and require immediate correction. The type of endoleak, classified as type i through type iv, determines its clinical significance and treatment. Endoleaks represent the most common complication after. Type Iv Endoleak Treatment.
     
    
        From www.annalsofvascularsurgery.com 
                    A Technique for Endograft Relining of a Type IV Endoleak Using a SurgeonModified Internal Gate Type Iv Endoleak Treatment  Some types are associated with ongoing risk of aneurysm. Type iv endoleak is a very rare complication observed after implantation of aortobiiliac stent grafts. Treatment of a type v endoleak is controversial because how it occurs is so poorly understood. Endoleaks represent the most common complication after evar. The type of endoleak, classified as type i through type iv, determines. Type Iv Endoleak Treatment.
     
    
        From rk.md 
                    Types Of Endoleaks RK.MD Type Iv Endoleak Treatment  Direct endoleaks (type i and iii) have higher risk of aneurysm rupture due to rapid sac expansion, and require immediate correction. Some types are associated with ongoing risk of aneurysm. Indirect endoleaks (type ii, iv, v) may have a more benign course and should be treated only under the presence of aneurysm growth. Treatment of a type v endoleak is. Type Iv Endoleak Treatment.
     
    
        From www.annalsofvascularsurgery.com 
                    A Technique for Endograft Relining of a Type IV Endoleak Using a SurgeonModified Internal Gate Type Iv Endoleak Treatment  Treatment of a type v endoleak is controversial because how it occurs is so poorly understood. The type of endoleak, classified as type i through type iv, determines its clinical significance and treatment. Treatment is suggested for ongoing aneurysm expansion even in the absence of a visible endoleak, referred to as endotension or a type v endoleak (grade 2c evidence. Type Iv Endoleak Treatment.
     
    
        From lookfordiagnosis.com 
                    Endoleak; Endofuga; Endovazamento; Escape Endovascular; Fuga Endovascular; Fuga Vascular Interna Type Iv Endoleak Treatment  Some types are associated with ongoing risk of aneurysm. Indirect endoleaks (type ii, iv, v) may have a more benign course and should be treated only under the presence of aneurysm growth. Type iv endoleak is a very rare complication observed after implantation of aortobiiliac stent grafts. Endoleaks represent the most common complication after evar. Direct endoleaks (type i and. Type Iv Endoleak Treatment.
     
    
        From www.slideserve.com 
                    PPT Endovascular aneurysm repair ( EVAR) PowerPoint Presentation ID2206456 Type Iv Endoleak Treatment  Type iv endoleak is a very rare complication observed after implantation of aortobiiliac stent grafts. Indirect endoleaks (type ii, iv, v) may have a more benign course and should be treated only under the presence of aneurysm growth. Treatment of a type v endoleak is controversial because how it occurs is so poorly understood. The type of endoleak, classified as. Type Iv Endoleak Treatment.
     
    
        From www.techvir.com 
                    Endoleak Treatment Options Techniques in Vascular & Interventional Radiology Type Iv Endoleak Treatment  Endoleaks represent the most common complication after evar. Treatment is suggested for ongoing aneurysm expansion even in the absence of a visible endoleak, referred to as endotension or a type v endoleak (grade 2c evidence level). Indirect endoleaks (type ii, iv, v) may have a more benign course and should be treated only under the presence of aneurysm growth. Some. Type Iv Endoleak Treatment.
     
    
        From www.touchcardio.com 
                    Endoleak after Endovascular Abdominal Aortic Aneurysm Repair Treated by Bilateral Transradial Type Iv Endoleak Treatment  Endoleaks represent the most common complication after evar. Type iv endoleak is a very rare complication observed after implantation of aortobiiliac stent grafts. The type of endoleak, classified as type i through type iv, determines its clinical significance and treatment. Direct endoleaks (type i and iii) have higher risk of aneurysm rupture due to rapid sac expansion, and require immediate. Type Iv Endoleak Treatment.
     
    
        From www.annalsofvascularsurgery.com 
                    Management of Concealed Type IV Endoleak and Aortic Sac Hygroma by Prone ContrASt EnHancement Type Iv Endoleak Treatment  Indirect endoleaks (type ii, iv, v) may have a more benign course and should be treated only under the presence of aneurysm growth. Type iv endoleak is a very rare complication observed after implantation of aortobiiliac stent grafts. Some types are associated with ongoing risk of aneurysm. Treatment of a type v endoleak is controversial because how it occurs is. Type Iv Endoleak Treatment.