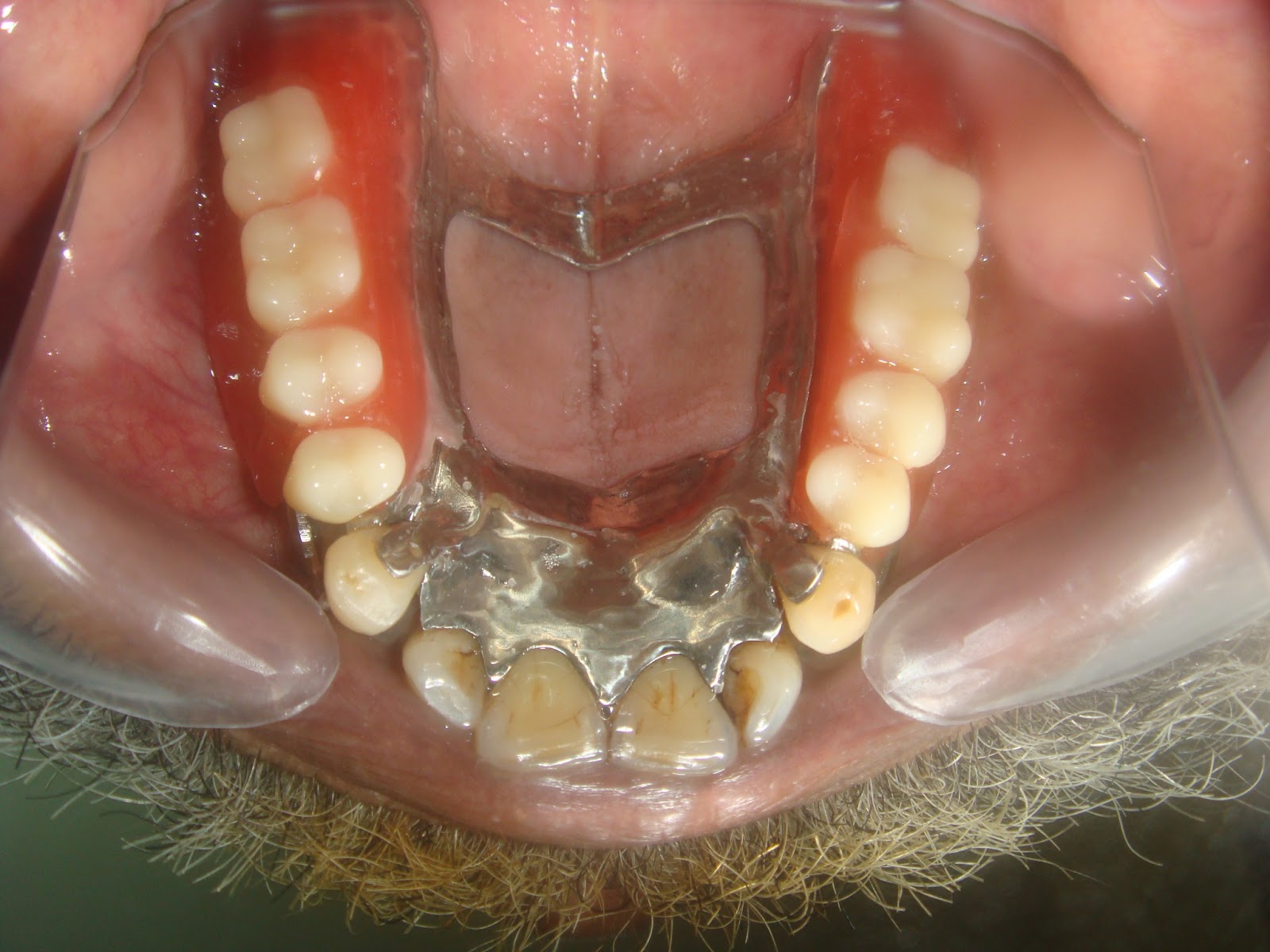
Lower Partial Denture Cast . a cast partial denture (cpd) is defined as a removable partial denture consisting of a cast metal framework that contains artificial teeth set in an. partial dentures, also known as removable partial dentures (rpd) or removable prostheses, are used to replace missing teeth in. cast metal partial dentures are the most common type of removable partial. the strategy of selecting component parts for a partial denture to help control movement of the prosthesis under. anyone who is missing some of their teeth, but not all of their teeth is eligible for a partial denture. That means that you can get partial. a cast metal partial denture replaces missing teeth and is fitted with the remaining teeth using metal clasps. while less sturdy than cast metal partial dentures, flexible partial dentures are valued for their comfort and flexibility.
from
while less sturdy than cast metal partial dentures, flexible partial dentures are valued for their comfort and flexibility. partial dentures, also known as removable partial dentures (rpd) or removable prostheses, are used to replace missing teeth in. the strategy of selecting component parts for a partial denture to help control movement of the prosthesis under. a cast partial denture (cpd) is defined as a removable partial denture consisting of a cast metal framework that contains artificial teeth set in an. cast metal partial dentures are the most common type of removable partial. a cast metal partial denture replaces missing teeth and is fitted with the remaining teeth using metal clasps. anyone who is missing some of their teeth, but not all of their teeth is eligible for a partial denture. That means that you can get partial.
Lower Partial Denture Cast anyone who is missing some of their teeth, but not all of their teeth is eligible for a partial denture. anyone who is missing some of their teeth, but not all of their teeth is eligible for a partial denture. cast metal partial dentures are the most common type of removable partial. while less sturdy than cast metal partial dentures, flexible partial dentures are valued for their comfort and flexibility. the strategy of selecting component parts for a partial denture to help control movement of the prosthesis under. partial dentures, also known as removable partial dentures (rpd) or removable prostheses, are used to replace missing teeth in. a cast partial denture (cpd) is defined as a removable partial denture consisting of a cast metal framework that contains artificial teeth set in an. That means that you can get partial. a cast metal partial denture replaces missing teeth and is fitted with the remaining teeth using metal clasps.
From
Lower Partial Denture Cast That means that you can get partial. while less sturdy than cast metal partial dentures, flexible partial dentures are valued for their comfort and flexibility. a cast partial denture (cpd) is defined as a removable partial denture consisting of a cast metal framework that contains artificial teeth set in an. anyone who is missing some of their. Lower Partial Denture Cast.
From www.raberdental.com
Removable Partial Dentures Smile Gallery Raber Dental, Kidron Dentist Lower Partial Denture Cast the strategy of selecting component parts for a partial denture to help control movement of the prosthesis under. a cast metal partial denture replaces missing teeth and is fitted with the remaining teeth using metal clasps. while less sturdy than cast metal partial dentures, flexible partial dentures are valued for their comfort and flexibility. a cast. Lower Partial Denture Cast.
From
Lower Partial Denture Cast cast metal partial dentures are the most common type of removable partial. a cast partial denture (cpd) is defined as a removable partial denture consisting of a cast metal framework that contains artificial teeth set in an. anyone who is missing some of their teeth, but not all of their teeth is eligible for a partial denture.. Lower Partial Denture Cast.
From
Lower Partial Denture Cast cast metal partial dentures are the most common type of removable partial. while less sturdy than cast metal partial dentures, flexible partial dentures are valued for their comfort and flexibility. anyone who is missing some of their teeth, but not all of their teeth is eligible for a partial denture. a cast partial denture (cpd) is. Lower Partial Denture Cast.
From
Lower Partial Denture Cast cast metal partial dentures are the most common type of removable partial. a cast metal partial denture replaces missing teeth and is fitted with the remaining teeth using metal clasps. the strategy of selecting component parts for a partial denture to help control movement of the prosthesis under. That means that you can get partial. anyone. Lower Partial Denture Cast.
From
Lower Partial Denture Cast while less sturdy than cast metal partial dentures, flexible partial dentures are valued for their comfort and flexibility. anyone who is missing some of their teeth, but not all of their teeth is eligible for a partial denture. a cast metal partial denture replaces missing teeth and is fitted with the remaining teeth using metal clasps. . Lower Partial Denture Cast.
From www.sarasotadentistry.com
What Are Flexible Partial Dentures? Sarasota Dentistry Lower Partial Denture Cast the strategy of selecting component parts for a partial denture to help control movement of the prosthesis under. anyone who is missing some of their teeth, but not all of their teeth is eligible for a partial denture. partial dentures, also known as removable partial dentures (rpd) or removable prostheses, are used to replace missing teeth in.. Lower Partial Denture Cast.
From fixmachineoppression.z22.web.core.windows.net
Metal Partial Denture Repair Lower Partial Denture Cast the strategy of selecting component parts for a partial denture to help control movement of the prosthesis under. anyone who is missing some of their teeth, but not all of their teeth is eligible for a partial denture. a cast partial denture (cpd) is defined as a removable partial denture consisting of a cast metal framework that. Lower Partial Denture Cast.
From
Lower Partial Denture Cast the strategy of selecting component parts for a partial denture to help control movement of the prosthesis under. a cast metal partial denture replaces missing teeth and is fitted with the remaining teeth using metal clasps. cast metal partial dentures are the most common type of removable partial. partial dentures, also known as removable partial dentures. Lower Partial Denture Cast.
From
Lower Partial Denture Cast a cast partial denture (cpd) is defined as a removable partial denture consisting of a cast metal framework that contains artificial teeth set in an. while less sturdy than cast metal partial dentures, flexible partial dentures are valued for their comfort and flexibility. a cast metal partial denture replaces missing teeth and is fitted with the remaining. Lower Partial Denture Cast.
From jujamass.weebly.com
Digital techniques for creating partial dentures jujamass Lower Partial Denture Cast a cast partial denture (cpd) is defined as a removable partial denture consisting of a cast metal framework that contains artificial teeth set in an. the strategy of selecting component parts for a partial denture to help control movement of the prosthesis under. while less sturdy than cast metal partial dentures, flexible partial dentures are valued for. Lower Partial Denture Cast.
From
Lower Partial Denture Cast partial dentures, also known as removable partial dentures (rpd) or removable prostheses, are used to replace missing teeth in. while less sturdy than cast metal partial dentures, flexible partial dentures are valued for their comfort and flexibility. anyone who is missing some of their teeth, but not all of their teeth is eligible for a partial denture.. Lower Partial Denture Cast.
From
Lower Partial Denture Cast the strategy of selecting component parts for a partial denture to help control movement of the prosthesis under. anyone who is missing some of their teeth, but not all of their teeth is eligible for a partial denture. That means that you can get partial. partial dentures, also known as removable partial dentures (rpd) or removable prostheses,. Lower Partial Denture Cast.
From
Lower Partial Denture Cast cast metal partial dentures are the most common type of removable partial. a cast metal partial denture replaces missing teeth and is fitted with the remaining teeth using metal clasps. anyone who is missing some of their teeth, but not all of their teeth is eligible for a partial denture. the strategy of selecting component parts. Lower Partial Denture Cast.
From
Lower Partial Denture Cast a cast metal partial denture replaces missing teeth and is fitted with the remaining teeth using metal clasps. partial dentures, also known as removable partial dentures (rpd) or removable prostheses, are used to replace missing teeth in. cast metal partial dentures are the most common type of removable partial. the strategy of selecting component parts for. Lower Partial Denture Cast.
From
Lower Partial Denture Cast cast metal partial dentures are the most common type of removable partial. anyone who is missing some of their teeth, but not all of their teeth is eligible for a partial denture. a cast metal partial denture replaces missing teeth and is fitted with the remaining teeth using metal clasps. a cast partial denture (cpd) is. Lower Partial Denture Cast.
From
Lower Partial Denture Cast partial dentures, also known as removable partial dentures (rpd) or removable prostheses, are used to replace missing teeth in. a cast metal partial denture replaces missing teeth and is fitted with the remaining teeth using metal clasps. a cast partial denture (cpd) is defined as a removable partial denture consisting of a cast metal framework that contains. Lower Partial Denture Cast.
From mungfali.com
Lower Partial Denture Design Lower Partial Denture Cast anyone who is missing some of their teeth, but not all of their teeth is eligible for a partial denture. partial dentures, also known as removable partial dentures (rpd) or removable prostheses, are used to replace missing teeth in. the strategy of selecting component parts for a partial denture to help control movement of the prosthesis under.. Lower Partial Denture Cast.
From classicdenture.ca
Cast Partial Dentures in Waterloo, fergus, Kitchener, Cambridge Lower Partial Denture Cast anyone who is missing some of their teeth, but not all of their teeth is eligible for a partial denture. partial dentures, also known as removable partial dentures (rpd) or removable prostheses, are used to replace missing teeth in. the strategy of selecting component parts for a partial denture to help control movement of the prosthesis under.. Lower Partial Denture Cast.
From
Lower Partial Denture Cast a cast metal partial denture replaces missing teeth and is fitted with the remaining teeth using metal clasps. the strategy of selecting component parts for a partial denture to help control movement of the prosthesis under. anyone who is missing some of their teeth, but not all of their teeth is eligible for a partial denture. . Lower Partial Denture Cast.
From
Lower Partial Denture Cast That means that you can get partial. partial dentures, also known as removable partial dentures (rpd) or removable prostheses, are used to replace missing teeth in. anyone who is missing some of their teeth, but not all of their teeth is eligible for a partial denture. cast metal partial dentures are the most common type of removable. Lower Partial Denture Cast.
From
Lower Partial Denture Cast a cast partial denture (cpd) is defined as a removable partial denture consisting of a cast metal framework that contains artificial teeth set in an. That means that you can get partial. the strategy of selecting component parts for a partial denture to help control movement of the prosthesis under. a cast metal partial denture replaces missing. Lower Partial Denture Cast.
From
Lower Partial Denture Cast while less sturdy than cast metal partial dentures, flexible partial dentures are valued for their comfort and flexibility. cast metal partial dentures are the most common type of removable partial. the strategy of selecting component parts for a partial denture to help control movement of the prosthesis under. a cast partial denture (cpd) is defined as. Lower Partial Denture Cast.
From
Lower Partial Denture Cast That means that you can get partial. a cast partial denture (cpd) is defined as a removable partial denture consisting of a cast metal framework that contains artificial teeth set in an. while less sturdy than cast metal partial dentures, flexible partial dentures are valued for their comfort and flexibility. partial dentures, also known as removable partial. Lower Partial Denture Cast.
From
Lower Partial Denture Cast the strategy of selecting component parts for a partial denture to help control movement of the prosthesis under. a cast metal partial denture replaces missing teeth and is fitted with the remaining teeth using metal clasps. That means that you can get partial. cast metal partial dentures are the most common type of removable partial. while. Lower Partial Denture Cast.
From elitedentallabnj.com
Cast Partial Denture Elite Dental Lab Lower Partial Denture Cast the strategy of selecting component parts for a partial denture to help control movement of the prosthesis under. a cast partial denture (cpd) is defined as a removable partial denture consisting of a cast metal framework that contains artificial teeth set in an. a cast metal partial denture replaces missing teeth and is fitted with the remaining. Lower Partial Denture Cast.
From
Lower Partial Denture Cast That means that you can get partial. a cast metal partial denture replaces missing teeth and is fitted with the remaining teeth using metal clasps. cast metal partial dentures are the most common type of removable partial. partial dentures, also known as removable partial dentures (rpd) or removable prostheses, are used to replace missing teeth in. . Lower Partial Denture Cast.
From northernriversdentureclinic.com.au
Partial Dentures Gold Coast How much do partial dentures cost? Lower Partial Denture Cast while less sturdy than cast metal partial dentures, flexible partial dentures are valued for their comfort and flexibility. the strategy of selecting component parts for a partial denture to help control movement of the prosthesis under. That means that you can get partial. a cast metal partial denture replaces missing teeth and is fitted with the remaining. Lower Partial Denture Cast.
From
Lower Partial Denture Cast anyone who is missing some of their teeth, but not all of their teeth is eligible for a partial denture. cast metal partial dentures are the most common type of removable partial. the strategy of selecting component parts for a partial denture to help control movement of the prosthesis under. a cast partial denture (cpd) is. Lower Partial Denture Cast.
From northlandprosthodontics.co.nz
Partial Dentures (plates) Northland Prosthodontics Northland Lower Partial Denture Cast That means that you can get partial. a cast metal partial denture replaces missing teeth and is fitted with the remaining teeth using metal clasps. partial dentures, also known as removable partial dentures (rpd) or removable prostheses, are used to replace missing teeth in. anyone who is missing some of their teeth, but not all of their. Lower Partial Denture Cast.
From
Lower Partial Denture Cast anyone who is missing some of their teeth, but not all of their teeth is eligible for a partial denture. the strategy of selecting component parts for a partial denture to help control movement of the prosthesis under. cast metal partial dentures are the most common type of removable partial. a cast metal partial denture replaces. Lower Partial Denture Cast.
From
Lower Partial Denture Cast partial dentures, also known as removable partial dentures (rpd) or removable prostheses, are used to replace missing teeth in. while less sturdy than cast metal partial dentures, flexible partial dentures are valued for their comfort and flexibility. cast metal partial dentures are the most common type of removable partial. anyone who is missing some of their. Lower Partial Denture Cast.
From www.pinterest.com
Lower Cast Metal Partial Denture with Valplast Invisible Clasps Lower Partial Denture Cast a cast metal partial denture replaces missing teeth and is fitted with the remaining teeth using metal clasps. anyone who is missing some of their teeth, but not all of their teeth is eligible for a partial denture. partial dentures, also known as removable partial dentures (rpd) or removable prostheses, are used to replace missing teeth in.. Lower Partial Denture Cast.
From
Lower Partial Denture Cast while less sturdy than cast metal partial dentures, flexible partial dentures are valued for their comfort and flexibility. cast metal partial dentures are the most common type of removable partial. anyone who is missing some of their teeth, but not all of their teeth is eligible for a partial denture. the strategy of selecting component parts. Lower Partial Denture Cast.
From
Lower Partial Denture Cast cast metal partial dentures are the most common type of removable partial. That means that you can get partial. the strategy of selecting component parts for a partial denture to help control movement of the prosthesis under. a cast metal partial denture replaces missing teeth and is fitted with the remaining teeth using metal clasps. partial. Lower Partial Denture Cast.