What Is Psp Brain Disease . progressive supranuclear palsy (psp) is a complex condition that affects the brain. Progressive means that symptoms will keep. progressive supranuclear palsy (psp) is a rare and chronic neurodegenerative disorder that damages certain areas of your brain. progressive supranuclear palsy (psp) is a rare neurological condition that can cause problems with balance, movement, vision, speech and. progressive supranuclear palsy (psp) is a rare neurological disorder that affects body movements, walking and. psp is a rare neurodegenerative disease caused by the progressive death of nerve cells in certain parts of the brain. progressive supranuclear palsy can cause changes in your brain that make you feel anxious or laugh or cry for no reason. Specifically, psp is associated with the.
from www.youtube.com
progressive supranuclear palsy (psp) is a rare neurological disorder that affects body movements, walking and. progressive supranuclear palsy (psp) is a rare and chronic neurodegenerative disorder that damages certain areas of your brain. progressive supranuclear palsy (psp) is a complex condition that affects the brain. Progressive means that symptoms will keep. progressive supranuclear palsy can cause changes in your brain that make you feel anxious or laugh or cry for no reason. psp is a rare neurodegenerative disease caused by the progressive death of nerve cells in certain parts of the brain. progressive supranuclear palsy (psp) is a rare neurological condition that can cause problems with balance, movement, vision, speech and. Specifically, psp is associated with the.
PSP, CBD, MSA, and the Brain YouTube
What Is Psp Brain Disease progressive supranuclear palsy (psp) is a complex condition that affects the brain. Specifically, psp is associated with the. progressive supranuclear palsy (psp) is a rare and chronic neurodegenerative disorder that damages certain areas of your brain. progressive supranuclear palsy (psp) is a complex condition that affects the brain. psp is a rare neurodegenerative disease caused by the progressive death of nerve cells in certain parts of the brain. progressive supranuclear palsy can cause changes in your brain that make you feel anxious or laugh or cry for no reason. Progressive means that symptoms will keep. progressive supranuclear palsy (psp) is a rare neurological condition that can cause problems with balance, movement, vision, speech and. progressive supranuclear palsy (psp) is a rare neurological disorder that affects body movements, walking and.
From www.slideserve.com
PPT Progressive Supranuclear Palsy and Cortico Basal Degeneration What Is Psp Brain Disease psp is a rare neurodegenerative disease caused by the progressive death of nerve cells in certain parts of the brain. Progressive means that symptoms will keep. progressive supranuclear palsy (psp) is a rare neurological disorder that affects body movements, walking and. progressive supranuclear palsy (psp) is a rare neurological condition that can cause problems with balance, movement,. What Is Psp Brain Disease.
From abcnews.go.com
After losing husband to rare neurological disease PSP, widow tries to What Is Psp Brain Disease progressive supranuclear palsy (psp) is a rare neurological condition that can cause problems with balance, movement, vision, speech and. progressive supranuclear palsy can cause changes in your brain that make you feel anxious or laugh or cry for no reason. progressive supranuclear palsy (psp) is a rare and chronic neurodegenerative disorder that damages certain areas of your. What Is Psp Brain Disease.
From cartoondealer.com
Parkinson`s Disease. Symptoms, Treatment. Line Icons Set. Vector Signs What Is Psp Brain Disease progressive supranuclear palsy (psp) is a complex condition that affects the brain. progressive supranuclear palsy (psp) is a rare and chronic neurodegenerative disorder that damages certain areas of your brain. psp is a rare neurodegenerative disease caused by the progressive death of nerve cells in certain parts of the brain. Progressive means that symptoms will keep. Specifically,. What Is Psp Brain Disease.
From www.jneurology.com
Neuroradiology and Its Role in Neurodegenerative Diseases What Is Psp Brain Disease progressive supranuclear palsy (psp) is a rare neurological disorder that affects body movements, walking and. psp is a rare neurodegenerative disease caused by the progressive death of nerve cells in certain parts of the brain. Specifically, psp is associated with the. progressive supranuclear palsy (psp) is a complex condition that affects the brain. Progressive means that symptoms. What Is Psp Brain Disease.
From www.researchgate.net
PSP neuropathology in antiIgLON5 disease (patient 1). Neuropathology What Is Psp Brain Disease progressive supranuclear palsy (psp) is a complex condition that affects the brain. progressive supranuclear palsy (psp) is a rare and chronic neurodegenerative disorder that damages certain areas of your brain. Progressive means that symptoms will keep. Specifically, psp is associated with the. psp is a rare neurodegenerative disease caused by the progressive death of nerve cells in. What Is Psp Brain Disease.
From www.mdsabstracts.org
Methylphenidate in Progressive Supranuclear Palsy [PSP] Old drug, New What Is Psp Brain Disease progressive supranuclear palsy (psp) is a complex condition that affects the brain. progressive supranuclear palsy (psp) is a rare neurological condition that can cause problems with balance, movement, vision, speech and. progressive supranuclear palsy (psp) is a rare neurological disorder that affects body movements, walking and. psp is a rare neurodegenerative disease caused by the progressive. What Is Psp Brain Disease.
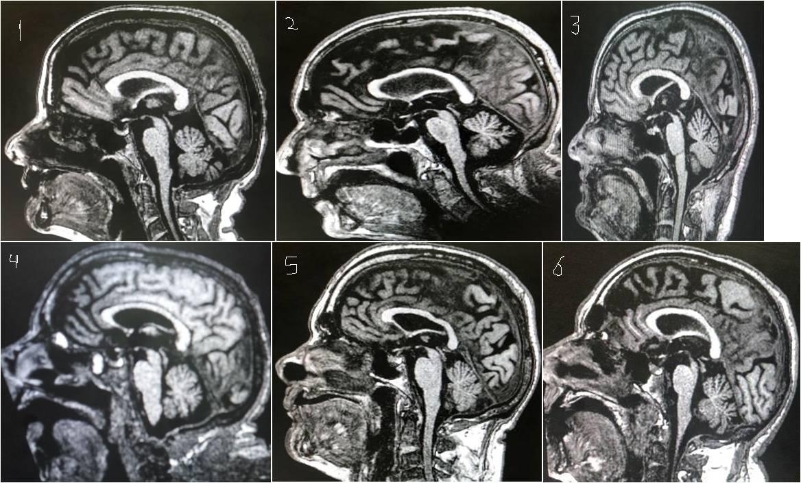
From www.mdpi.com
JCM Free FullText Is MRPI 2.0 More Useful than MRPI and M/P Ratio What Is Psp Brain Disease psp is a rare neurodegenerative disease caused by the progressive death of nerve cells in certain parts of the brain. Progressive means that symptoms will keep. Specifically, psp is associated with the. progressive supranuclear palsy (psp) is a complex condition that affects the brain. progressive supranuclear palsy can cause changes in your brain that make you feel. What Is Psp Brain Disease.
From www.pc-mobile.net
A Comprehensive Guide to Understanding PSP Disease The Riddle Review What Is Psp Brain Disease progressive supranuclear palsy (psp) is a complex condition that affects the brain. Specifically, psp is associated with the. progressive supranuclear palsy can cause changes in your brain that make you feel anxious or laugh or cry for no reason. Progressive means that symptoms will keep. progressive supranuclear palsy (psp) is a rare and chronic neurodegenerative disorder that. What Is Psp Brain Disease.
From www.download.thelancet.com
Progressive supranuclear palsy clinicopathological concepts and What Is Psp Brain Disease Specifically, psp is associated with the. progressive supranuclear palsy can cause changes in your brain that make you feel anxious or laugh or cry for no reason. progressive supranuclear palsy (psp) is a complex condition that affects the brain. psp is a rare neurodegenerative disease caused by the progressive death of nerve cells in certain parts of. What Is Psp Brain Disease.
From www.premilife.com
here is the Premilife's Progressive Supranuclear Palsy treatment What Is Psp Brain Disease progressive supranuclear palsy (psp) is a rare and chronic neurodegenerative disorder that damages certain areas of your brain. progressive supranuclear palsy can cause changes in your brain that make you feel anxious or laugh or cry for no reason. progressive supranuclear palsy (psp) is a rare neurological condition that can cause problems with balance, movement, vision, speech. What Is Psp Brain Disease.
From healthcare-in-europe.com
The birth of psychoradiology • What Is Psp Brain Disease progressive supranuclear palsy (psp) is a rare and chronic neurodegenerative disorder that damages certain areas of your brain. progressive supranuclear palsy can cause changes in your brain that make you feel anxious or laugh or cry for no reason. Specifically, psp is associated with the. progressive supranuclear palsy (psp) is a rare neurological disorder that affects body. What Is Psp Brain Disease.
From www.pinterest.com
Corticobasal Degeneration (CBD) is a degenerative brain disease What Is Psp Brain Disease Progressive means that symptoms will keep. psp is a rare neurodegenerative disease caused by the progressive death of nerve cells in certain parts of the brain. Specifically, psp is associated with the. progressive supranuclear palsy (psp) is a complex condition that affects the brain. progressive supranuclear palsy (psp) is a rare neurological disorder that affects body movements,. What Is Psp Brain Disease.
From www.pinterest.com
Is the cerebral cortex damaged in Progressive Supranuclear Palsy? PSP What Is Psp Brain Disease progressive supranuclear palsy can cause changes in your brain that make you feel anxious or laugh or cry for no reason. Specifically, psp is associated with the. psp is a rare neurodegenerative disease caused by the progressive death of nerve cells in certain parts of the brain. progressive supranuclear palsy (psp) is a rare and chronic neurodegenerative. What Is Psp Brain Disease.
From www.pc-mobile.net
A Comprehensive Guide to Understanding PSP Disease The Riddle Review What Is Psp Brain Disease Progressive means that symptoms will keep. progressive supranuclear palsy (psp) is a rare neurological condition that can cause problems with balance, movement, vision, speech and. progressive supranuclear palsy (psp) is a rare and chronic neurodegenerative disorder that damages certain areas of your brain. Specifically, psp is associated with the. progressive supranuclear palsy (psp) is a complex condition. What Is Psp Brain Disease.
From healthjade.com
Progressive Supranuclear Palsy Causes, Symptoms, Stages, Treatment What Is Psp Brain Disease progressive supranuclear palsy can cause changes in your brain that make you feel anxious or laugh or cry for no reason. progressive supranuclear palsy (psp) is a rare and chronic neurodegenerative disorder that damages certain areas of your brain. progressive supranuclear palsy (psp) is a rare neurological condition that can cause problems with balance, movement, vision, speech. What Is Psp Brain Disease.
From healthpulls.com
Parkinson's Disease Symptoms, Causes, Diagnosis & Treatment HealthPulls What Is Psp Brain Disease Progressive means that symptoms will keep. Specifically, psp is associated with the. progressive supranuclear palsy (psp) is a complex condition that affects the brain. psp is a rare neurodegenerative disease caused by the progressive death of nerve cells in certain parts of the brain. progressive supranuclear palsy (psp) is a rare neurological condition that can cause problems. What Is Psp Brain Disease.
From www.youtube.com
PSP, CBD, MSA, and the Brain YouTube What Is Psp Brain Disease psp is a rare neurodegenerative disease caused by the progressive death of nerve cells in certain parts of the brain. progressive supranuclear palsy (psp) is a complex condition that affects the brain. progressive supranuclear palsy (psp) is a rare neurological disorder that affects body movements, walking and. progressive supranuclear palsy (psp) is a rare neurological condition. What Is Psp Brain Disease.
From jnnp.bmj.com
Tracking brain damage in progressive supranuclear palsy a longitudinal What Is Psp Brain Disease progressive supranuclear palsy can cause changes in your brain that make you feel anxious or laugh or cry for no reason. progressive supranuclear palsy (psp) is a rare neurological disorder that affects body movements, walking and. psp is a rare neurodegenerative disease caused by the progressive death of nerve cells in certain parts of the brain. Specifically,. What Is Psp Brain Disease.
From diseasesvoschen.blogspot.com
Diseases Psp Disease What Is Psp Brain Disease Progressive means that symptoms will keep. progressive supranuclear palsy (psp) is a rare neurological condition that can cause problems with balance, movement, vision, speech and. progressive supranuclear palsy can cause changes in your brain that make you feel anxious or laugh or cry for no reason. progressive supranuclear palsy (psp) is a rare neurological disorder that affects. What Is Psp Brain Disease.
From www.frontiersin.org
Frontiers Association of MRI Measures With Disease Severity and What Is Psp Brain Disease progressive supranuclear palsy (psp) is a rare neurological condition that can cause problems with balance, movement, vision, speech and. psp is a rare neurodegenerative disease caused by the progressive death of nerve cells in certain parts of the brain. Progressive means that symptoms will keep. Specifically, psp is associated with the. progressive supranuclear palsy (psp) is a. What Is Psp Brain Disease.
From www.pinterest.com
Pin on PSP This is Our Lifr What Is Psp Brain Disease progressive supranuclear palsy (psp) is a rare neurological disorder that affects body movements, walking and. progressive supranuclear palsy (psp) is a complex condition that affects the brain. progressive supranuclear palsy can cause changes in your brain that make you feel anxious or laugh or cry for no reason. psp is a rare neurodegenerative disease caused by. What Is Psp Brain Disease.
From www.researchgate.net
PSP brain sections labeled with T22 and PHF13 display characteristic What Is Psp Brain Disease Progressive means that symptoms will keep. progressive supranuclear palsy (psp) is a complex condition that affects the brain. psp is a rare neurodegenerative disease caused by the progressive death of nerve cells in certain parts of the brain. progressive supranuclear palsy can cause changes in your brain that make you feel anxious or laugh or cry for. What Is Psp Brain Disease.
From fixel.ufhealth.org
Tracking the progression of Parkinson’s disease, MSA and PSP with What Is Psp Brain Disease progressive supranuclear palsy (psp) is a complex condition that affects the brain. psp is a rare neurodegenerative disease caused by the progressive death of nerve cells in certain parts of the brain. progressive supranuclear palsy (psp) is a rare neurological condition that can cause problems with balance, movement, vision, speech and. progressive supranuclear palsy (psp) is. What Is Psp Brain Disease.
From www.psychdb.com
Progressive Supranuclear Palsy (PSP) PsychDB What Is Psp Brain Disease progressive supranuclear palsy (psp) is a rare and chronic neurodegenerative disorder that damages certain areas of your brain. progressive supranuclear palsy (psp) is a rare neurological condition that can cause problems with balance, movement, vision, speech and. progressive supranuclear palsy (psp) is a rare neurological disorder that affects body movements, walking and. Specifically, psp is associated with. What Is Psp Brain Disease.
From www.frontiersin.org
Frontiers Progressive Supranuclear Palsy—Parkinsonism Predominant What Is Psp Brain Disease progressive supranuclear palsy (psp) is a rare neurological disorder that affects body movements, walking and. progressive supranuclear palsy (psp) is a rare neurological condition that can cause problems with balance, movement, vision, speech and. progressive supranuclear palsy (psp) is a complex condition that affects the brain. Specifically, psp is associated with the. Progressive means that symptoms will. What Is Psp Brain Disease.
From www.annsaudimed.net
Hummingbird sign in progressive supranuclear palsy Annals of Saudi What Is Psp Brain Disease Specifically, psp is associated with the. progressive supranuclear palsy (psp) is a rare neurological condition that can cause problems with balance, movement, vision, speech and. psp is a rare neurodegenerative disease caused by the progressive death of nerve cells in certain parts of the brain. progressive supranuclear palsy can cause changes in your brain that make you. What Is Psp Brain Disease.
From www.intechopen.com
FDG PET Imaging in Neurodegenerative Brain Diseases IntechOpen What Is Psp Brain Disease Specifically, psp is associated with the. progressive supranuclear palsy (psp) is a rare neurological disorder that affects body movements, walking and. Progressive means that symptoms will keep. progressive supranuclear palsy (psp) is a rare and chronic neurodegenerative disorder that damages certain areas of your brain. progressive supranuclear palsy (psp) is a rare neurological condition that can cause. What Is Psp Brain Disease.
From blogs.bmj.com
The cerebellum in neurodegeneration more than just balance control What Is Psp Brain Disease Specifically, psp is associated with the. Progressive means that symptoms will keep. progressive supranuclear palsy (psp) is a rare neurological condition that can cause problems with balance, movement, vision, speech and. progressive supranuclear palsy (psp) is a rare neurological disorder that affects body movements, walking and. progressive supranuclear palsy can cause changes in your brain that make. What Is Psp Brain Disease.
From www.cleverlysmart.com
Progressive Supranuclear Palsy (PSP) Rare Brain Disorder What Is Psp Brain Disease progressive supranuclear palsy (psp) is a rare neurological disorder that affects body movements, walking and. psp is a rare neurodegenerative disease caused by the progressive death of nerve cells in certain parts of the brain. progressive supranuclear palsy can cause changes in your brain that make you feel anxious or laugh or cry for no reason. . What Is Psp Brain Disease.
From alzheimersnewstoday.com
AntiTau Clinical Trials for PSP May Shed Light on Alzheimer's, Other What Is Psp Brain Disease progressive supranuclear palsy (psp) is a rare and chronic neurodegenerative disorder that damages certain areas of your brain. Specifically, psp is associated with the. progressive supranuclear palsy (psp) is a rare neurological condition that can cause problems with balance, movement, vision, speech and. progressive supranuclear palsy (psp) is a rare neurological disorder that affects body movements, walking. What Is Psp Brain Disease.
From www.progressivecare.in
Progressive supranuclear palsy Progressive care What Is Psp Brain Disease progressive supranuclear palsy (psp) is a rare and chronic neurodegenerative disorder that damages certain areas of your brain. psp is a rare neurodegenerative disease caused by the progressive death of nerve cells in certain parts of the brain. progressive supranuclear palsy can cause changes in your brain that make you feel anxious or laugh or cry for. What Is Psp Brain Disease.
From debuglies.com
Progressive supranuclear palsy (PSP) and corticobasal syndrome (CBS What Is Psp Brain Disease progressive supranuclear palsy (psp) is a rare and chronic neurodegenerative disorder that damages certain areas of your brain. progressive supranuclear palsy (psp) is a rare neurological disorder that affects body movements, walking and. psp is a rare neurodegenerative disease caused by the progressive death of nerve cells in certain parts of the brain. Progressive means that symptoms. What Is Psp Brain Disease.
From www.researchgate.net
Tauopathies. Upper row PSP (a) medial view of the left cerebral What Is Psp Brain Disease psp is a rare neurodegenerative disease caused by the progressive death of nerve cells in certain parts of the brain. progressive supranuclear palsy (psp) is a rare neurological condition that can cause problems with balance, movement, vision, speech and. progressive supranuclear palsy can cause changes in your brain that make you feel anxious or laugh or cry. What Is Psp Brain Disease.
From www.mdsabstracts.org
Automated Quantitative MRI Biomarkers in Differentiation of Progressive What Is Psp Brain Disease psp is a rare neurodegenerative disease caused by the progressive death of nerve cells in certain parts of the brain. Progressive means that symptoms will keep. progressive supranuclear palsy (psp) is a rare neurological disorder that affects body movements, walking and. progressive supranuclear palsy (psp) is a rare neurological condition that can cause problems with balance, movement,. What Is Psp Brain Disease.
From mavink.com
Psp Mri Brain What Is Psp Brain Disease progressive supranuclear palsy can cause changes in your brain that make you feel anxious or laugh or cry for no reason. progressive supranuclear palsy (psp) is a rare neurological condition that can cause problems with balance, movement, vision, speech and. Progressive means that symptoms will keep. progressive supranuclear palsy (psp) is a rare and chronic neurodegenerative disorder. What Is Psp Brain Disease.