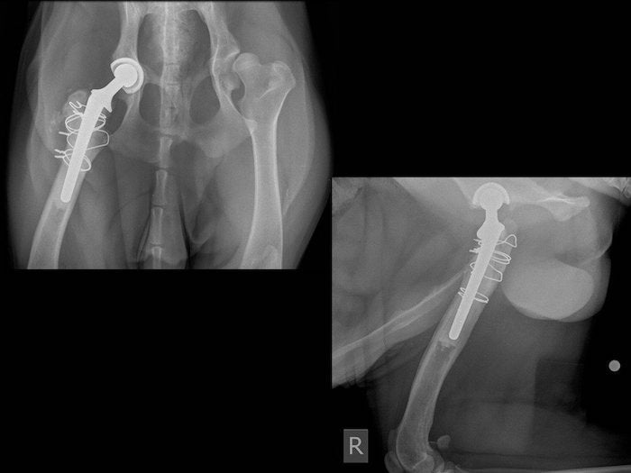
Dog Hip Replacement Melbourne . For these dogs, the best choice may be to simply replace the hip or hips with a prosthetic hip (figure 6). However, in most cases, the hip will re. Fho can be a beneficial treatment for dogs who do not meet the criteria for specific treatments or are part of group 2. Call surgery nurse coordinator skye 24/7 on: Manual hip replacement under general anaesthesia is the quickest and cheapest option; This procedure is for dogs with established degenerative hip changes. Reconstructive surgeries include juvenile pubic symphysiodesis (jps), triple pelvic osteotomy (tpo), both done in growing dogs. We offer a comprehensive range of joint surgeries, including arthroscopy, tibial plateau leveling osteotomy (tplo), joint stabilization,. Orthopaedic surgery is performed on bone, joints and supporting structures (tendons and ligaments). We are a boutique business offering orthopaedic surgery at. If candidates are not fit for the procedure, they should be medically managed until they are able to have a total hip replacement (thr) or a femoral head ostectomy (fho).
from www.researchgate.net
Manual hip replacement under general anaesthesia is the quickest and cheapest option; If candidates are not fit for the procedure, they should be medically managed until they are able to have a total hip replacement (thr) or a femoral head ostectomy (fho). For these dogs, the best choice may be to simply replace the hip or hips with a prosthetic hip (figure 6). We offer a comprehensive range of joint surgeries, including arthroscopy, tibial plateau leveling osteotomy (tplo), joint stabilization,. Reconstructive surgeries include juvenile pubic symphysiodesis (jps), triple pelvic osteotomy (tpo), both done in growing dogs. This procedure is for dogs with established degenerative hip changes. We are a boutique business offering orthopaedic surgery at. However, in most cases, the hip will re. Orthopaedic surgery is performed on bone, joints and supporting structures (tendons and ligaments). Fho can be a beneficial treatment for dogs who do not meet the criteria for specific treatments or are part of group 2.
(PDF) Comparison of Results of Total Hip Replacement (THR) with Femoral Head Ostectomy (FHO) in
Dog Hip Replacement Melbourne Fho can be a beneficial treatment for dogs who do not meet the criteria for specific treatments or are part of group 2. Fho can be a beneficial treatment for dogs who do not meet the criteria for specific treatments or are part of group 2. Manual hip replacement under general anaesthesia is the quickest and cheapest option; This procedure is for dogs with established degenerative hip changes. Call surgery nurse coordinator skye 24/7 on: If candidates are not fit for the procedure, they should be medically managed until they are able to have a total hip replacement (thr) or a femoral head ostectomy (fho). However, in most cases, the hip will re. Orthopaedic surgery is performed on bone, joints and supporting structures (tendons and ligaments). We are a boutique business offering orthopaedic surgery at. We offer a comprehensive range of joint surgeries, including arthroscopy, tibial plateau leveling osteotomy (tplo), joint stabilization,. Reconstructive surgeries include juvenile pubic symphysiodesis (jps), triple pelvic osteotomy (tpo), both done in growing dogs. For these dogs, the best choice may be to simply replace the hip or hips with a prosthetic hip (figure 6).
From blog.vetbloom.com
Indications and candidate screening for total hip replacement in the dog VetBloom blog Dog Hip Replacement Melbourne Manual hip replacement under general anaesthesia is the quickest and cheapest option; Call surgery nurse coordinator skye 24/7 on: We offer a comprehensive range of joint surgeries, including arthroscopy, tibial plateau leveling osteotomy (tplo), joint stabilization,. We are a boutique business offering orthopaedic surgery at. This procedure is for dogs with established degenerative hip changes. Reconstructive surgeries include juvenile pubic. Dog Hip Replacement Melbourne.
From www.arizonacanineorthopedics.com
Total Hip Replacement ACOSM Arizona Canine Orthopedics & Sports Medicine Dog Hip Replacement Melbourne Fho can be a beneficial treatment for dogs who do not meet the criteria for specific treatments or are part of group 2. This procedure is for dogs with established degenerative hip changes. For these dogs, the best choice may be to simply replace the hip or hips with a prosthetic hip (figure 6). Orthopaedic surgery is performed on bone,. Dog Hip Replacement Melbourne.
From www.arizonacanineorthopedics.com
Total Hip Replacement Arizona Canine Orthopedics & Sports Medicine Dog Hip Replacement Melbourne Fho can be a beneficial treatment for dogs who do not meet the criteria for specific treatments or are part of group 2. Reconstructive surgeries include juvenile pubic symphysiodesis (jps), triple pelvic osteotomy (tpo), both done in growing dogs. We offer a comprehensive range of joint surgeries, including arthroscopy, tibial plateau leveling osteotomy (tplo), joint stabilization,. However, in most cases,. Dog Hip Replacement Melbourne.
From www.veterinary-practice.com
What’s hip in orthopaedics? Unilateral total hip replacement in a dog Veterinary Practice Dog Hip Replacement Melbourne For these dogs, the best choice may be to simply replace the hip or hips with a prosthetic hip (figure 6). Orthopaedic surgery is performed on bone, joints and supporting structures (tendons and ligaments). Manual hip replacement under general anaesthesia is the quickest and cheapest option; However, in most cases, the hip will re. Reconstructive surgeries include juvenile pubic symphysiodesis. Dog Hip Replacement Melbourne.
From www.vetmed.ucdavis.edu
Total Hip Replacement Gives Young Husky Bright Future School of Veterinary Medicine Dog Hip Replacement Melbourne We are a boutique business offering orthopaedic surgery at. This procedure is for dogs with established degenerative hip changes. Reconstructive surgeries include juvenile pubic symphysiodesis (jps), triple pelvic osteotomy (tpo), both done in growing dogs. For these dogs, the best choice may be to simply replace the hip or hips with a prosthetic hip (figure 6). Fho can be a. Dog Hip Replacement Melbourne.
From vetbloom.com
Indications and candidate screening for total hip replacement in the dog VetBloom Dog Hip Replacement Melbourne We are a boutique business offering orthopaedic surgery at. This procedure is for dogs with established degenerative hip changes. Orthopaedic surgery is performed on bone, joints and supporting structures (tendons and ligaments). If candidates are not fit for the procedure, they should be medically managed until they are able to have a total hip replacement (thr) or a femoral head. Dog Hip Replacement Melbourne.
From www.rvc.ac.uk
Joint Replacement in Dogs Dog Hip Replacement Melbourne For these dogs, the best choice may be to simply replace the hip or hips with a prosthetic hip (figure 6). However, in most cases, the hip will re. Manual hip replacement under general anaesthesia is the quickest and cheapest option; Orthopaedic surgery is performed on bone, joints and supporting structures (tendons and ligaments). Reconstructive surgeries include juvenile pubic symphysiodesis. Dog Hip Replacement Melbourne.
From animalia-life.club
Is My Dog Too Old For Hip Replacement Dog Hip Replacement Melbourne We offer a comprehensive range of joint surgeries, including arthroscopy, tibial plateau leveling osteotomy (tplo), joint stabilization,. This procedure is for dogs with established degenerative hip changes. Fho can be a beneficial treatment for dogs who do not meet the criteria for specific treatments or are part of group 2. However, in most cases, the hip will re. Call surgery. Dog Hip Replacement Melbourne.
From orthodog.com
Dog Hip Brace for Dysplasia and Arthritis Ortho Dog Hip Hound Dog Hip Replacement Melbourne We are a boutique business offering orthopaedic surgery at. For these dogs, the best choice may be to simply replace the hip or hips with a prosthetic hip (figure 6). However, in most cases, the hip will re. We offer a comprehensive range of joint surgeries, including arthroscopy, tibial plateau leveling osteotomy (tplo), joint stabilization,. Reconstructive surgeries include juvenile pubic. Dog Hip Replacement Melbourne.
From www.qldvetspecialists.com.au
Total Hip Replacement — Queensland Veterinary Specialists Dog Hip Replacement Melbourne We offer a comprehensive range of joint surgeries, including arthroscopy, tibial plateau leveling osteotomy (tplo), joint stabilization,. Call surgery nurse coordinator skye 24/7 on: We are a boutique business offering orthopaedic surgery at. Manual hip replacement under general anaesthesia is the quickest and cheapest option; If candidates are not fit for the procedure, they should be medically managed until they. Dog Hip Replacement Melbourne.
From vetbloom.com
Indications and candidate screening for total hip replacement in the dog VetBloom Dog Hip Replacement Melbourne We are a boutique business offering orthopaedic surgery at. Fho can be a beneficial treatment for dogs who do not meet the criteria for specific treatments or are part of group 2. For these dogs, the best choice may be to simply replace the hip or hips with a prosthetic hip (figure 6). However, in most cases, the hip will. Dog Hip Replacement Melbourne.
From animalia-life.club
How Long Does It Take For A Dog To Recover From Hip Surgery Dog Hip Replacement Melbourne Orthopaedic surgery is performed on bone, joints and supporting structures (tendons and ligaments). If candidates are not fit for the procedure, they should be medically managed until they are able to have a total hip replacement (thr) or a femoral head ostectomy (fho). For these dogs, the best choice may be to simply replace the hip or hips with a. Dog Hip Replacement Melbourne.
From www.crawlpaw.com
LISPOO Dog Hip Dysplasia Brace with Handle Crawlpaw Dog Hip Replacement Melbourne For these dogs, the best choice may be to simply replace the hip or hips with a prosthetic hip (figure 6). Orthopaedic surgery is performed on bone, joints and supporting structures (tendons and ligaments). Manual hip replacement under general anaesthesia is the quickest and cheapest option; We are a boutique business offering orthopaedic surgery at. Call surgery nurse coordinator skye. Dog Hip Replacement Melbourne.
From www.kyon.ch
Veterinary THR Total Hip Replacement Implant KYON Dog Hip Replacement Melbourne Reconstructive surgeries include juvenile pubic symphysiodesis (jps), triple pelvic osteotomy (tpo), both done in growing dogs. We offer a comprehensive range of joint surgeries, including arthroscopy, tibial plateau leveling osteotomy (tplo), joint stabilization,. For these dogs, the best choice may be to simply replace the hip or hips with a prosthetic hip (figure 6). We are a boutique business offering. Dog Hip Replacement Melbourne.
From www.qldvetspecialists.com.au
Total Hip Replacement — Queensland Veterinary Specialists Dog Hip Replacement Melbourne This procedure is for dogs with established degenerative hip changes. Fho can be a beneficial treatment for dogs who do not meet the criteria for specific treatments or are part of group 2. Call surgery nurse coordinator skye 24/7 on: For these dogs, the best choice may be to simply replace the hip or hips with a prosthetic hip (figure. Dog Hip Replacement Melbourne.
From blog.vetbloom.com
Indications and candidate screening for total hip replacement in the dog VetBloom blog Dog Hip Replacement Melbourne Fho can be a beneficial treatment for dogs who do not meet the criteria for specific treatments or are part of group 2. This procedure is for dogs with established degenerative hip changes. Manual hip replacement under general anaesthesia is the quickest and cheapest option; We are a boutique business offering orthopaedic surgery at. Call surgery nurse coordinator skye 24/7. Dog Hip Replacement Melbourne.
From www.animalclinicofbillings.com
Orthopedic Surgery for Dogs Animal Clinic of Billings Dog Hip Replacement Melbourne This procedure is for dogs with established degenerative hip changes. If candidates are not fit for the procedure, they should be medically managed until they are able to have a total hip replacement (thr) or a femoral head ostectomy (fho). Manual hip replacement under general anaesthesia is the quickest and cheapest option; However, in most cases, the hip will re.. Dog Hip Replacement Melbourne.
From www.kyon.ch
Veterinary THR Total Hip Replacement Implant KYON Dog Hip Replacement Melbourne Fho can be a beneficial treatment for dogs who do not meet the criteria for specific treatments or are part of group 2. Reconstructive surgeries include juvenile pubic symphysiodesis (jps), triple pelvic osteotomy (tpo), both done in growing dogs. We are a boutique business offering orthopaedic surgery at. Orthopaedic surgery is performed on bone, joints and supporting structures (tendons and. Dog Hip Replacement Melbourne.
From www.researchgate.net
(PDF) Comparison of Results of Total Hip Replacement (THR) with Femoral Head Ostectomy (FHO) in Dog Hip Replacement Melbourne We are a boutique business offering orthopaedic surgery at. Fho can be a beneficial treatment for dogs who do not meet the criteria for specific treatments or are part of group 2. This procedure is for dogs with established degenerative hip changes. Manual hip replacement under general anaesthesia is the quickest and cheapest option; Orthopaedic surgery is performed on bone,. Dog Hip Replacement Melbourne.
From blog.vetbloom.com
Indications and candidate screening for total hip replacement in the dog VetBloom blog Dog Hip Replacement Melbourne Call surgery nurse coordinator skye 24/7 on: Fho can be a beneficial treatment for dogs who do not meet the criteria for specific treatments or are part of group 2. For these dogs, the best choice may be to simply replace the hip or hips with a prosthetic hip (figure 6). Orthopaedic surgery is performed on bone, joints and supporting. Dog Hip Replacement Melbourne.
From www.lovepluspet.com
Best Dog Hip Dysplasia Support Brace For Sale LOVEPLUSPET Dog Hip Replacement Melbourne Orthopaedic surgery is performed on bone, joints and supporting structures (tendons and ligaments). Manual hip replacement under general anaesthesia is the quickest and cheapest option; For these dogs, the best choice may be to simply replace the hip or hips with a prosthetic hip (figure 6). If candidates are not fit for the procedure, they should be medically managed until. Dog Hip Replacement Melbourne.
From www.kyon.ch
PHR Canine Partial Hip Replacement KYON Dog Hip Replacement Melbourne This procedure is for dogs with established degenerative hip changes. For these dogs, the best choice may be to simply replace the hip or hips with a prosthetic hip (figure 6). Call surgery nurse coordinator skye 24/7 on: However, in most cases, the hip will re. Orthopaedic surgery is performed on bone, joints and supporting structures (tendons and ligaments). If. Dog Hip Replacement Melbourne.
From avmajournals.avma.org
Centerline canine cementless total hip arthroplasty as an alternative implant system; results in Dog Hip Replacement Melbourne We offer a comprehensive range of joint surgeries, including arthroscopy, tibial plateau leveling osteotomy (tplo), joint stabilization,. If candidates are not fit for the procedure, they should be medically managed until they are able to have a total hip replacement (thr) or a femoral head ostectomy (fho). Reconstructive surgeries include juvenile pubic symphysiodesis (jps), triple pelvic osteotomy (tpo), both done. Dog Hip Replacement Melbourne.
From www.geniusvets.com
Treatment & Prevention of Canine Hip Dysplasia Dog Hip Replacement Melbourne We are a boutique business offering orthopaedic surgery at. Reconstructive surgeries include juvenile pubic symphysiodesis (jps), triple pelvic osteotomy (tpo), both done in growing dogs. For these dogs, the best choice may be to simply replace the hip or hips with a prosthetic hip (figure 6). This procedure is for dogs with established degenerative hip changes. However, in most cases,. Dog Hip Replacement Melbourne.
From granitevetspecialists.com
Total Hip Replacement Granite Veterinary Specialists Dog Hip Replacement Melbourne Call surgery nurse coordinator skye 24/7 on: Reconstructive surgeries include juvenile pubic symphysiodesis (jps), triple pelvic osteotomy (tpo), both done in growing dogs. Manual hip replacement under general anaesthesia is the quickest and cheapest option; For these dogs, the best choice may be to simply replace the hip or hips with a prosthetic hip (figure 6). If candidates are not. Dog Hip Replacement Melbourne.
From orthodog.com
Dog Hip Brace for Dysplasia and Arthritis Ortho Dog Hip Hound Dog Hip Replacement Melbourne Call surgery nurse coordinator skye 24/7 on: If candidates are not fit for the procedure, they should be medically managed until they are able to have a total hip replacement (thr) or a femoral head ostectomy (fho). Reconstructive surgeries include juvenile pubic symphysiodesis (jps), triple pelvic osteotomy (tpo), both done in growing dogs. This procedure is for dogs with established. Dog Hip Replacement Melbourne.
From www.qldvetspecialists.com.au
Hip dislocation — Queensland Veterinary Specialists Dog Hip Replacement Melbourne Fho can be a beneficial treatment for dogs who do not meet the criteria for specific treatments or are part of group 2. We offer a comprehensive range of joint surgeries, including arthroscopy, tibial plateau leveling osteotomy (tplo), joint stabilization,. We are a boutique business offering orthopaedic surgery at. This procedure is for dogs with established degenerative hip changes. Reconstructive. Dog Hip Replacement Melbourne.
From gallery.kingsnake.com
photo gallery > Dogs > Total Hip Replacement Dog Hip Replacement Melbourne We are a boutique business offering orthopaedic surgery at. We offer a comprehensive range of joint surgeries, including arthroscopy, tibial plateau leveling osteotomy (tplo), joint stabilization,. Manual hip replacement under general anaesthesia is the quickest and cheapest option; If candidates are not fit for the procedure, they should be medically managed until they are able to have a total hip. Dog Hip Replacement Melbourne.
From www.researchgate.net
(PDF) Diagnosis, prevention, and management of canine hip dysplasia a review Dog Hip Replacement Melbourne For these dogs, the best choice may be to simply replace the hip or hips with a prosthetic hip (figure 6). If candidates are not fit for the procedure, they should be medically managed until they are able to have a total hip replacement (thr) or a femoral head ostectomy (fho). We are a boutique business offering orthopaedic surgery at.. Dog Hip Replacement Melbourne.
From www.youtube.com
Dog Total Hip Replacement THR Cost & Recovery YouTube Dog Hip Replacement Melbourne Manual hip replacement under general anaesthesia is the quickest and cheapest option; Orthopaedic surgery is performed on bone, joints and supporting structures (tendons and ligaments). We are a boutique business offering orthopaedic surgery at. Call surgery nurse coordinator skye 24/7 on: If candidates are not fit for the procedure, they should be medically managed until they are able to have. Dog Hip Replacement Melbourne.
From www.greencrossvets.com.au
Total hip replacements for dogs Greencross Vets Dog Hip Replacement Melbourne Reconstructive surgeries include juvenile pubic symphysiodesis (jps), triple pelvic osteotomy (tpo), both done in growing dogs. We offer a comprehensive range of joint surgeries, including arthroscopy, tibial plateau leveling osteotomy (tplo), joint stabilization,. If candidates are not fit for the procedure, they should be medically managed until they are able to have a total hip replacement (thr) or a femoral. Dog Hip Replacement Melbourne.
From www.globalvetspecialists.org
An Overview of Canine Hip Replacement Global Vet Blog Dog Hip Replacement Melbourne If candidates are not fit for the procedure, they should be medically managed until they are able to have a total hip replacement (thr) or a femoral head ostectomy (fho). We offer a comprehensive range of joint surgeries, including arthroscopy, tibial plateau leveling osteotomy (tplo), joint stabilization,. Orthopaedic surgery is performed on bone, joints and supporting structures (tendons and ligaments).. Dog Hip Replacement Melbourne.
From www.animalsurgicalcenter.com
Animal Surgical Center of Michigan Veterinarian in Flint, MI Dog Hip Replacement Melbourne Call surgery nurse coordinator skye 24/7 on: Reconstructive surgeries include juvenile pubic symphysiodesis (jps), triple pelvic osteotomy (tpo), both done in growing dogs. For these dogs, the best choice may be to simply replace the hip or hips with a prosthetic hip (figure 6). However, in most cases, the hip will re. Orthopaedic surgery is performed on bone, joints and. Dog Hip Replacement Melbourne.
From atelier-yuwa.ciao.jp
Hip Surgery For Dogs atelieryuwa.ciao.jp Dog Hip Replacement Melbourne Fho can be a beneficial treatment for dogs who do not meet the criteria for specific treatments or are part of group 2. For these dogs, the best choice may be to simply replace the hip or hips with a prosthetic hip (figure 6). Reconstructive surgeries include juvenile pubic symphysiodesis (jps), triple pelvic osteotomy (tpo), both done in growing dogs.. Dog Hip Replacement Melbourne.
From www.youtube.com
Dog's Total Hip Replacement Day 12 YouTube Dog Hip Replacement Melbourne This procedure is for dogs with established degenerative hip changes. If candidates are not fit for the procedure, they should be medically managed until they are able to have a total hip replacement (thr) or a femoral head ostectomy (fho). Reconstructive surgeries include juvenile pubic symphysiodesis (jps), triple pelvic osteotomy (tpo), both done in growing dogs. For these dogs, the. Dog Hip Replacement Melbourne.