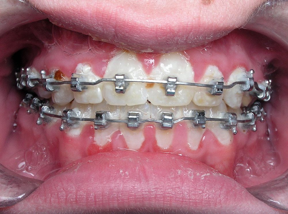
Braces And Overgrown Gums . Watch this video with dr. Oleg drut to learn more. You can apply several home remedies, such as improving oral hygiene, to deal with this. There are several causes for this, but usually the answer stems from poor oral hygiene! Braces can trigger gingival hyperplasia and cause gums to grow larger or even over the braces. Typically, gingival enlargement will subside in the weeks after your dentist removes your braces. Discover the causes, prevention, and treatments for swollen gums when you have braces. Why are my gums growing over my braces? If the condition is severe, your dentist may recommend a procedure, such as a gingivectomy , to reduce the gum overgrowth. Dive into effective cleaning techniques, dietary adjustments, and essential treatments. Gums growing over your braces could be scary, painful, and cause discomfort. Although some swelling and discomfort can be normal when you have braces, there are steps you can take to treat swollen gums and ease your discomfort. While your gums may return to their normal, healthy state after your braces are taken off, we do see a number of patients with.
from alamoimplantcenter.com
Gums growing over your braces could be scary, painful, and cause discomfort. There are several causes for this, but usually the answer stems from poor oral hygiene! Typically, gingival enlargement will subside in the weeks after your dentist removes your braces. Watch this video with dr. While your gums may return to their normal, healthy state after your braces are taken off, we do see a number of patients with. Braces can trigger gingival hyperplasia and cause gums to grow larger or even over the braces. If the condition is severe, your dentist may recommend a procedure, such as a gingivectomy , to reduce the gum overgrowth. Discover the causes, prevention, and treatments for swollen gums when you have braces. Why are my gums growing over my braces? You can apply several home remedies, such as improving oral hygiene, to deal with this.
Swollen Gums, Overgrown gingiva during Orthodontic Treatment Causes
Braces And Overgrown Gums There are several causes for this, but usually the answer stems from poor oral hygiene! Braces can trigger gingival hyperplasia and cause gums to grow larger or even over the braces. Typically, gingival enlargement will subside in the weeks after your dentist removes your braces. Dive into effective cleaning techniques, dietary adjustments, and essential treatments. Oleg drut to learn more. Although some swelling and discomfort can be normal when you have braces, there are steps you can take to treat swollen gums and ease your discomfort. Gums growing over your braces could be scary, painful, and cause discomfort. Watch this video with dr. There are several causes for this, but usually the answer stems from poor oral hygiene! You can apply several home remedies, such as improving oral hygiene, to deal with this. While your gums may return to their normal, healthy state after your braces are taken off, we do see a number of patients with. Why are my gums growing over my braces? Discover the causes, prevention, and treatments for swollen gums when you have braces. If the condition is severe, your dentist may recommend a procedure, such as a gingivectomy , to reduce the gum overgrowth.
From www.vlogsalud.com
Is It Normal For My Gums To Bleed When I Have Braces? Braces And Overgrown Gums Although some swelling and discomfort can be normal when you have braces, there are steps you can take to treat swollen gums and ease your discomfort. While your gums may return to their normal, healthy state after your braces are taken off, we do see a number of patients with. There are several causes for this, but usually the answer. Braces And Overgrown Gums.
From www.maltepedentalclinic.com
Everything You Would Like To Know About Gummy Smile Maltepe Dental Clinic Braces And Overgrown Gums Discover the causes, prevention, and treatments for swollen gums when you have braces. Gums growing over your braces could be scary, painful, and cause discomfort. Watch this video with dr. Dive into effective cleaning techniques, dietary adjustments, and essential treatments. There are several causes for this, but usually the answer stems from poor oral hygiene! Braces can trigger gingival hyperplasia. Braces And Overgrown Gums.
From ar.inspiredpencil.com
Gingivitis Braces Braces And Overgrown Gums While your gums may return to their normal, healthy state after your braces are taken off, we do see a number of patients with. Oleg drut to learn more. You can apply several home remedies, such as improving oral hygiene, to deal with this. Braces can trigger gingival hyperplasia and cause gums to grow larger or even over the braces.. Braces And Overgrown Gums.
From www.dreloisasgarcia.com
Advanced Dental Technology Chicago, IL Dr. Eloisa Garcia, DDS, MS Braces And Overgrown Gums There are several causes for this, but usually the answer stems from poor oral hygiene! You can apply several home remedies, such as improving oral hygiene, to deal with this. Braces can trigger gingival hyperplasia and cause gums to grow larger or even over the braces. Dive into effective cleaning techniques, dietary adjustments, and essential treatments. Although some swelling and. Braces And Overgrown Gums.
From www.bracesinfo.com
How to get rid of these overgrown gums? Braces And Overgrown Gums You can apply several home remedies, such as improving oral hygiene, to deal with this. Oleg drut to learn more. Although some swelling and discomfort can be normal when you have braces, there are steps you can take to treat swollen gums and ease your discomfort. Braces can trigger gingival hyperplasia and cause gums to grow larger or even over. Braces And Overgrown Gums.
From www.youtube.com
Swollen Gums How to Get Rid Of Swollen Gums with Braces Fast Braces And Overgrown Gums If the condition is severe, your dentist may recommend a procedure, such as a gingivectomy , to reduce the gum overgrowth. While your gums may return to their normal, healthy state after your braces are taken off, we do see a number of patients with. Watch this video with dr. Although some swelling and discomfort can be normal when you. Braces And Overgrown Gums.
From ask.damiensymonds.net
Reducing gums around braces Help with editing Braces And Overgrown Gums Oleg drut to learn more. You can apply several home remedies, such as improving oral hygiene, to deal with this. Discover the causes, prevention, and treatments for swollen gums when you have braces. Why are my gums growing over my braces? Typically, gingival enlargement will subside in the weeks after your dentist removes your braces. Watch this video with dr.. Braces And Overgrown Gums.
From hillsdaleorthodontics.com
Is Chewing Gum Good for Braces? Hillsdale Orthodontics Braces And Overgrown Gums Gums growing over your braces could be scary, painful, and cause discomfort. Although some swelling and discomfort can be normal when you have braces, there are steps you can take to treat swollen gums and ease your discomfort. There are several causes for this, but usually the answer stems from poor oral hygiene! You can apply several home remedies, such. Braces And Overgrown Gums.
From www.youtube.com
How to get rid of Gum swelling in braces YouTube Braces And Overgrown Gums You can apply several home remedies, such as improving oral hygiene, to deal with this. Why are my gums growing over my braces? Oleg drut to learn more. If the condition is severe, your dentist may recommend a procedure, such as a gingivectomy , to reduce the gum overgrowth. Braces can trigger gingival hyperplasia and cause gums to grow larger. Braces And Overgrown Gums.
From alamoimplantcenter.com
Swollen Gums, Overgrown gingiva during Orthodontic Treatment Causes Braces And Overgrown Gums Although some swelling and discomfort can be normal when you have braces, there are steps you can take to treat swollen gums and ease your discomfort. Oleg drut to learn more. If the condition is severe, your dentist may recommend a procedure, such as a gingivectomy , to reduce the gum overgrowth. Gums growing over your braces could be scary,. Braces And Overgrown Gums.
From centralcoastorthodontics.com.au
How to Get Rid of Puffy Gums with Braces Central Coast Orthodontics Braces And Overgrown Gums If the condition is severe, your dentist may recommend a procedure, such as a gingivectomy , to reduce the gum overgrowth. Typically, gingival enlargement will subside in the weeks after your dentist removes your braces. While your gums may return to their normal, healthy state after your braces are taken off, we do see a number of patients with. Braces. Braces And Overgrown Gums.
From periolife.com
Gingivectomy in Dallas, Irving & Keller, TX PerioLife Periodontics Braces And Overgrown Gums Although some swelling and discomfort can be normal when you have braces, there are steps you can take to treat swollen gums and ease your discomfort. While your gums may return to their normal, healthy state after your braces are taken off, we do see a number of patients with. There are several causes for this, but usually the answer. Braces And Overgrown Gums.
From www.bracesinfo.com
How to get rid of these overgrown gums? Braces And Overgrown Gums Why are my gums growing over my braces? Watch this video with dr. Oleg drut to learn more. Dive into effective cleaning techniques, dietary adjustments, and essential treatments. Discover the causes, prevention, and treatments for swollen gums when you have braces. Braces can trigger gingival hyperplasia and cause gums to grow larger or even over the braces. If the condition. Braces And Overgrown Gums.
From ar.inspiredpencil.com
How To Get Rid Of Gingivitis With Braces Braces And Overgrown Gums Gums growing over your braces could be scary, painful, and cause discomfort. Typically, gingival enlargement will subside in the weeks after your dentist removes your braces. Oleg drut to learn more. Braces can trigger gingival hyperplasia and cause gums to grow larger or even over the braces. Watch this video with dr. If the condition is severe, your dentist may. Braces And Overgrown Gums.
From ntperiohygiene.blogspot.com
The Buzz from Your Favorite Dental Hygienists Gingival Enlargement Braces And Overgrown Gums Oleg drut to learn more. Although some swelling and discomfort can be normal when you have braces, there are steps you can take to treat swollen gums and ease your discomfort. If the condition is severe, your dentist may recommend a procedure, such as a gingivectomy , to reduce the gum overgrowth. You can apply several home remedies, such as. Braces And Overgrown Gums.
From www.youtube.com
Gum Overgrowth with Braces.. What Should I Do?? YouTube Braces And Overgrown Gums Oleg drut to learn more. If the condition is severe, your dentist may recommend a procedure, such as a gingivectomy , to reduce the gum overgrowth. Discover the causes, prevention, and treatments for swollen gums when you have braces. Watch this video with dr. Gums growing over your braces could be scary, painful, and cause discomfort. Typically, gingival enlargement will. Braces And Overgrown Gums.
From alamoimplantcenter.com
Swollen Gums, Overgrown gingiva during Orthodontic Treatment Causes Braces And Overgrown Gums If the condition is severe, your dentist may recommend a procedure, such as a gingivectomy , to reduce the gum overgrowth. Braces can trigger gingival hyperplasia and cause gums to grow larger or even over the braces. Oleg drut to learn more. Gums growing over your braces could be scary, painful, and cause discomfort. Discover the causes, prevention, and treatments. Braces And Overgrown Gums.
From www.researchgate.net
(A) patient with gingival enlargement before laserassisted Braces And Overgrown Gums Watch this video with dr. There are several causes for this, but usually the answer stems from poor oral hygiene! Dive into effective cleaning techniques, dietary adjustments, and essential treatments. Gums growing over your braces could be scary, painful, and cause discomfort. Although some swelling and discomfort can be normal when you have braces, there are steps you can take. Braces And Overgrown Gums.
From www.gummysmile.com
Overgrown Gums Associated with Braces Braces And Overgrown Gums There are several causes for this, but usually the answer stems from poor oral hygiene! Gums growing over your braces could be scary, painful, and cause discomfort. Watch this video with dr. While your gums may return to their normal, healthy state after your braces are taken off, we do see a number of patients with. Typically, gingival enlargement will. Braces And Overgrown Gums.
From dentagama.com
What is the difference between gingivectomy and gingivoplasty? News Braces And Overgrown Gums Gums growing over your braces could be scary, painful, and cause discomfort. If the condition is severe, your dentist may recommend a procedure, such as a gingivectomy , to reduce the gum overgrowth. Discover the causes, prevention, and treatments for swollen gums when you have braces. Oleg drut to learn more. Watch this video with dr. Why are my gums. Braces And Overgrown Gums.
From www.perioimplantadvisory.com
Top causes of gingival enlargement and treatment options Perio Braces And Overgrown Gums Gums growing over your braces could be scary, painful, and cause discomfort. If the condition is severe, your dentist may recommend a procedure, such as a gingivectomy , to reduce the gum overgrowth. Dive into effective cleaning techniques, dietary adjustments, and essential treatments. There are several causes for this, but usually the answer stems from poor oral hygiene! Discover the. Braces And Overgrown Gums.
From gumdiseaseguide.org
Gum Recession and Braces Braces And Overgrown Gums Watch this video with dr. There are several causes for this, but usually the answer stems from poor oral hygiene! Although some swelling and discomfort can be normal when you have braces, there are steps you can take to treat swollen gums and ease your discomfort. While your gums may return to their normal, healthy state after your braces are. Braces And Overgrown Gums.
From alamoimplantcenter.com
Swollen Gums, Overgrown gingiva during Orthodontic Treatment Causes Braces And Overgrown Gums Oleg drut to learn more. Discover the causes, prevention, and treatments for swollen gums when you have braces. Braces can trigger gingival hyperplasia and cause gums to grow larger or even over the braces. You can apply several home remedies, such as improving oral hygiene, to deal with this. Typically, gingival enlargement will subside in the weeks after your dentist. Braces And Overgrown Gums.
From chamblee-orthodontics.com
Swollen Gums After Getting Braces Chamblee Orthodontics Atlanta, GA Braces And Overgrown Gums If the condition is severe, your dentist may recommend a procedure, such as a gingivectomy , to reduce the gum overgrowth. There are several causes for this, but usually the answer stems from poor oral hygiene! Gums growing over your braces could be scary, painful, and cause discomfort. Braces can trigger gingival hyperplasia and cause gums to grow larger or. Braces And Overgrown Gums.
From alamoimplantcenter.com
Swollen Gums, Overgrown gingiva during Orthodontic Treatment Causes Braces And Overgrown Gums Discover the causes, prevention, and treatments for swollen gums when you have braces. You can apply several home remedies, such as improving oral hygiene, to deal with this. Gums growing over your braces could be scary, painful, and cause discomfort. Braces can trigger gingival hyperplasia and cause gums to grow larger or even over the braces. Typically, gingival enlargement will. Braces And Overgrown Gums.
From www.hampsteadortho.co.uk
Swollen Gums With Braces The Causes & Treatments Braces And Overgrown Gums While your gums may return to their normal, healthy state after your braces are taken off, we do see a number of patients with. If the condition is severe, your dentist may recommend a procedure, such as a gingivectomy , to reduce the gum overgrowth. Dive into effective cleaning techniques, dietary adjustments, and essential treatments. Discover the causes, prevention, and. Braces And Overgrown Gums.
From www.drnemeth.com
Gums Growing Over Braces • Nemeth & Katranji Braces And Overgrown Gums Dive into effective cleaning techniques, dietary adjustments, and essential treatments. If the condition is severe, your dentist may recommend a procedure, such as a gingivectomy , to reduce the gum overgrowth. Gums growing over your braces could be scary, painful, and cause discomfort. You can apply several home remedies, such as improving oral hygiene, to deal with this. Watch this. Braces And Overgrown Gums.
From directorioodontologico.blogspot.com
Your Braces Could Be Causing Gum Problems Directorio Odontológico Braces And Overgrown Gums Although some swelling and discomfort can be normal when you have braces, there are steps you can take to treat swollen gums and ease your discomfort. Dive into effective cleaning techniques, dietary adjustments, and essential treatments. Why are my gums growing over my braces? Gums growing over your braces could be scary, painful, and cause discomfort. While your gums may. Braces And Overgrown Gums.
From www.dentalsolutionssouthflorida.com
Gummy Smiles Laser Trimming Dentist Coral Gables 33134 Dental Braces And Overgrown Gums Discover the causes, prevention, and treatments for swollen gums when you have braces. Braces can trigger gingival hyperplasia and cause gums to grow larger or even over the braces. Oleg drut to learn more. Gums growing over your braces could be scary, painful, and cause discomfort. If the condition is severe, your dentist may recommend a procedure, such as a. Braces And Overgrown Gums.
From www.youtube.com
Gum Recession After Wearing Braces Can Now Be Treated Without Gum Braces And Overgrown Gums Typically, gingival enlargement will subside in the weeks after your dentist removes your braces. Why are my gums growing over my braces? Dive into effective cleaning techniques, dietary adjustments, and essential treatments. Oleg drut to learn more. Gums growing over your braces could be scary, painful, and cause discomfort. While your gums may return to their normal, healthy state after. Braces And Overgrown Gums.
From www.bracesinfo.com
How to get rid of these overgrown gums? Braces And Overgrown Gums Dive into effective cleaning techniques, dietary adjustments, and essential treatments. Watch this video with dr. Gums growing over your braces could be scary, painful, and cause discomfort. While your gums may return to their normal, healthy state after your braces are taken off, we do see a number of patients with. Oleg drut to learn more. Why are my gums. Braces And Overgrown Gums.
From www.bracesinfo.com
Why are my gums swelling over my braces? Braces And Overgrown Gums Oleg drut to learn more. You can apply several home remedies, such as improving oral hygiene, to deal with this. Why are my gums growing over my braces? There are several causes for this, but usually the answer stems from poor oral hygiene! If the condition is severe, your dentist may recommend a procedure, such as a gingivectomy , to. Braces And Overgrown Gums.
From www.drnemeth.com
Your Braces Could Be Causing Gum Problems Gum Swelling Due To Braces Braces And Overgrown Gums Watch this video with dr. While your gums may return to their normal, healthy state after your braces are taken off, we do see a number of patients with. If the condition is severe, your dentist may recommend a procedure, such as a gingivectomy , to reduce the gum overgrowth. There are several causes for this, but usually the answer. Braces And Overgrown Gums.
From animalia-life.club
Swollen Gums With Braces Braces And Overgrown Gums There are several causes for this, but usually the answer stems from poor oral hygiene! Oleg drut to learn more. Discover the causes, prevention, and treatments for swollen gums when you have braces. Why are my gums growing over my braces? You can apply several home remedies, such as improving oral hygiene, to deal with this. Gums growing over your. Braces And Overgrown Gums.
From www.splashorthodontics.co.uk
Braces & Gum Recession Splash Orthodontics Braces And Overgrown Gums Braces can trigger gingival hyperplasia and cause gums to grow larger or even over the braces. Why are my gums growing over my braces? Although some swelling and discomfort can be normal when you have braces, there are steps you can take to treat swollen gums and ease your discomfort. Discover the causes, prevention, and treatments for swollen gums when. Braces And Overgrown Gums.