How Long Do Dental Sutures Stay In . The workhorse for dissolvable sutures after dental surgeries is the chromic gut suture. Depending on the procedure and the number of stitches required will determine how long they will take to dissolve. Wondering how long it takes for stitches to dissolve after dental implant surgery? “recovery can vary widely from procedure to procedure, but for routine wisdom teeth, you’ll want to take it easy and rest for the first two to three days,” says dr. “the soft tissue will take one to two weeks to heal,. Generally, dissolvable stitches take anywhere from 7 to 14. During the first 24 hours after surgery, your surgeon will likely advise you to rest, not engage in any physical activity, and stay. Here’s a breakdown of the average dissolving timelines: But how long do you have to wait? With conventional wisdom teeth removal, stitches had to be removed by hand a. Learn about the timeline for stitches dissolve and how to care for them.
from www.pinterest.com
Depending on the procedure and the number of stitches required will determine how long they will take to dissolve. With conventional wisdom teeth removal, stitches had to be removed by hand a. Wondering how long it takes for stitches to dissolve after dental implant surgery? But how long do you have to wait? The workhorse for dissolvable sutures after dental surgeries is the chromic gut suture. Here’s a breakdown of the average dissolving timelines: Learn about the timeline for stitches dissolve and how to care for them. Generally, dissolvable stitches take anywhere from 7 to 14. During the first 24 hours after surgery, your surgeon will likely advise you to rest, not engage in any physical activity, and stay. “recovery can vary widely from procedure to procedure, but for routine wisdom teeth, you’ll want to take it easy and rest for the first two to three days,” says dr.
Types of Sutures, Stitches, and Staples Medical Wound Care Suturing Techniques Removing Stitches
How Long Do Dental Sutures Stay In “the soft tissue will take one to two weeks to heal,. Learn about the timeline for stitches dissolve and how to care for them. With conventional wisdom teeth removal, stitches had to be removed by hand a. Here’s a breakdown of the average dissolving timelines: During the first 24 hours after surgery, your surgeon will likely advise you to rest, not engage in any physical activity, and stay. “the soft tissue will take one to two weeks to heal,. But how long do you have to wait? Wondering how long it takes for stitches to dissolve after dental implant surgery? The workhorse for dissolvable sutures after dental surgeries is the chromic gut suture. Depending on the procedure and the number of stitches required will determine how long they will take to dissolve. “recovery can vary widely from procedure to procedure, but for routine wisdom teeth, you’ll want to take it easy and rest for the first two to three days,” says dr. Generally, dissolvable stitches take anywhere from 7 to 14.
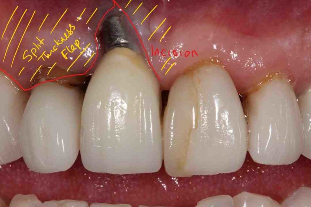
From www.semanticscholar.org
A review of dental suturing for optimal softtissue management. Semantic Scholar How Long Do Dental Sutures Stay In During the first 24 hours after surgery, your surgeon will likely advise you to rest, not engage in any physical activity, and stay. Here’s a breakdown of the average dissolving timelines: Wondering how long it takes for stitches to dissolve after dental implant surgery? The workhorse for dissolvable sutures after dental surgeries is the chromic gut suture. Learn about the. How Long Do Dental Sutures Stay In.
From www.boztibbi.com
Dental Suture Techniques and Materials in Oral Surgery Boz Medical How Long Do Dental Sutures Stay In But how long do you have to wait? During the first 24 hours after surgery, your surgeon will likely advise you to rest, not engage in any physical activity, and stay. “recovery can vary widely from procedure to procedure, but for routine wisdom teeth, you’ll want to take it easy and rest for the first two to three days,” says. How Long Do Dental Sutures Stay In.
From www.dreamstime.com
Closeup on Suture after Dental Implant Surgery Stock Image Image of denture, implantology How Long Do Dental Sutures Stay In Here’s a breakdown of the average dissolving timelines: “recovery can vary widely from procedure to procedure, but for routine wisdom teeth, you’ll want to take it easy and rest for the first two to three days,” says dr. Wondering how long it takes for stitches to dissolve after dental implant surgery? Learn about the timeline for stitches dissolve and how. How Long Do Dental Sutures Stay In.
From sandiegoinvisaligndentist.org
When can sutures be removed in a dental implant Dental News Network How Long Do Dental Sutures Stay In Here’s a breakdown of the average dissolving timelines: Depending on the procedure and the number of stitches required will determine how long they will take to dissolve. With conventional wisdom teeth removal, stitches had to be removed by hand a. During the first 24 hours after surgery, your surgeon will likely advise you to rest, not engage in any physical. How Long Do Dental Sutures Stay In.
From fyoltrxao.blob.core.windows.net
How Long Do Oral Stitches Stay In at Lana Tracy blog How Long Do Dental Sutures Stay In “the soft tissue will take one to two weeks to heal,. Generally, dissolvable stitches take anywhere from 7 to 14. The workhorse for dissolvable sutures after dental surgeries is the chromic gut suture. Here’s a breakdown of the average dissolving timelines: But how long do you have to wait? Depending on the procedure and the number of stitches required will. How Long Do Dental Sutures Stay In.
From www.rnpedia.com
Surgical Suture Commonly Use MaterialsSize and Techniques RNpedia How Long Do Dental Sutures Stay In But how long do you have to wait? Depending on the procedure and the number of stitches required will determine how long they will take to dissolve. “recovery can vary widely from procedure to procedure, but for routine wisdom teeth, you’ll want to take it easy and rest for the first two to three days,” says dr. Learn about the. How Long Do Dental Sutures Stay In.
From www.semanticscholar.org
Figure 17 from Dental Suturing Materials and Techniques Semantic Scholar How Long Do Dental Sutures Stay In But how long do you have to wait? The workhorse for dissolvable sutures after dental surgeries is the chromic gut suture. During the first 24 hours after surgery, your surgeon will likely advise you to rest, not engage in any physical activity, and stay. Depending on the procedure and the number of stitches required will determine how long they will. How Long Do Dental Sutures Stay In.
From diagramlibraryludo.z5.web.core.windows.net
How To Do Sutures Surgical How Long Do Dental Sutures Stay In With conventional wisdom teeth removal, stitches had to be removed by hand a. Learn about the timeline for stitches dissolve and how to care for them. Generally, dissolvable stitches take anywhere from 7 to 14. Wondering how long it takes for stitches to dissolve after dental implant surgery? “the soft tissue will take one to two weeks to heal,. But. How Long Do Dental Sutures Stay In.
From fyoltrxao.blob.core.windows.net
How Long Do Oral Stitches Stay In at Lana Tracy blog How Long Do Dental Sutures Stay In The workhorse for dissolvable sutures after dental surgeries is the chromic gut suture. Here’s a breakdown of the average dissolving timelines: “the soft tissue will take one to two weeks to heal,. Generally, dissolvable stitches take anywhere from 7 to 14. Wondering how long it takes for stitches to dissolve after dental implant surgery? “recovery can vary widely from procedure. How Long Do Dental Sutures Stay In.
From www.semanticscholar.org
[PDF] Dental Suturing Materials and Techniques Semantic Scholar How Long Do Dental Sutures Stay In Here’s a breakdown of the average dissolving timelines: Learn about the timeline for stitches dissolve and how to care for them. “the soft tissue will take one to two weeks to heal,. Generally, dissolvable stitches take anywhere from 7 to 14. With conventional wisdom teeth removal, stitches had to be removed by hand a. During the first 24 hours after. How Long Do Dental Sutures Stay In.
From www.dawoodandtanneracademy.co.uk
Dental Nurses Suture Removal and Postoperative Care Course How Long Do Dental Sutures Stay In Learn about the timeline for stitches dissolve and how to care for them. “the soft tissue will take one to two weeks to heal,. Depending on the procedure and the number of stitches required will determine how long they will take to dissolve. The workhorse for dissolvable sutures after dental surgeries is the chromic gut suture. But how long do. How Long Do Dental Sutures Stay In.
From diagramlibraryludo.z5.web.core.windows.net
How To Do Sutures Surgical How Long Do Dental Sutures Stay In Wondering how long it takes for stitches to dissolve after dental implant surgery? Learn about the timeline for stitches dissolve and how to care for them. The workhorse for dissolvable sutures after dental surgeries is the chromic gut suture. During the first 24 hours after surgery, your surgeon will likely advise you to rest, not engage in any physical activity,. How Long Do Dental Sutures Stay In.
From www.dreamstime.com
Stitches After Dental Extraction Stock Image Image 32450121 How Long Do Dental Sutures Stay In Depending on the procedure and the number of stitches required will determine how long they will take to dissolve. “recovery can vary widely from procedure to procedure, but for routine wisdom teeth, you’ll want to take it easy and rest for the first two to three days,” says dr. Generally, dissolvable stitches take anywhere from 7 to 14. Wondering how. How Long Do Dental Sutures Stay In.
From healthjade.com
Surgical suture, types of sutures, sizes, how to suture & suture removal times How Long Do Dental Sutures Stay In Here’s a breakdown of the average dissolving timelines: “recovery can vary widely from procedure to procedure, but for routine wisdom teeth, you’ll want to take it easy and rest for the first two to three days,” says dr. Learn about the timeline for stitches dissolve and how to care for them. The workhorse for dissolvable sutures after dental surgeries is. How Long Do Dental Sutures Stay In.
From www.researchgate.net
Steps for placing modified stay sutures to expand the view of the... Download Scientific Diagram How Long Do Dental Sutures Stay In Generally, dissolvable stitches take anywhere from 7 to 14. With conventional wisdom teeth removal, stitches had to be removed by hand a. “the soft tissue will take one to two weeks to heal,. Wondering how long it takes for stitches to dissolve after dental implant surgery? Learn about the timeline for stitches dissolve and how to care for them. Depending. How Long Do Dental Sutures Stay In.
From www.dentalnewspk.com
Dental Sutures Application, Care and Removal How Long Do Dental Sutures Stay In Generally, dissolvable stitches take anywhere from 7 to 14. “the soft tissue will take one to two weeks to heal,. Learn about the timeline for stitches dissolve and how to care for them. With conventional wisdom teeth removal, stitches had to be removed by hand a. “recovery can vary widely from procedure to procedure, but for routine wisdom teeth, you’ll. How Long Do Dental Sutures Stay In.
From www.boztibbi.com
Dental Suture Techniques and Materials in Oral Surgery Boz Medical How Long Do Dental Sutures Stay In Here’s a breakdown of the average dissolving timelines: Learn about the timeline for stitches dissolve and how to care for them. “recovery can vary widely from procedure to procedure, but for routine wisdom teeth, you’ll want to take it easy and rest for the first two to three days,” says dr. Wondering how long it takes for stitches to dissolve. How Long Do Dental Sutures Stay In.
From www.tamingthesru.com
Closing the Gap Deep Sutures — Taming the SRU How Long Do Dental Sutures Stay In “the soft tissue will take one to two weeks to heal,. Wondering how long it takes for stitches to dissolve after dental implant surgery? Learn about the timeline for stitches dissolve and how to care for them. With conventional wisdom teeth removal, stitches had to be removed by hand a. The workhorse for dissolvable sutures after dental surgeries is the. How Long Do Dental Sutures Stay In.
From pronorthmedical.ca
Dental Sutures Procedure, Care And Benefits ProNorth Medical How Long Do Dental Sutures Stay In The workhorse for dissolvable sutures after dental surgeries is the chromic gut suture. Learn about the timeline for stitches dissolve and how to care for them. But how long do you have to wait? Here’s a breakdown of the average dissolving timelines: “the soft tissue will take one to two weeks to heal,. Wondering how long it takes for stitches. How Long Do Dental Sutures Stay In.
From www.youtube.com
Dental suture practice kit dentist dental dentistry sutures YouTube How Long Do Dental Sutures Stay In But how long do you have to wait? During the first 24 hours after surgery, your surgeon will likely advise you to rest, not engage in any physical activity, and stay. Wondering how long it takes for stitches to dissolve after dental implant surgery? With conventional wisdom teeth removal, stitches had to be removed by hand a. Generally, dissolvable stitches. How Long Do Dental Sutures Stay In.
From www.endogynecology.com
Suture Materials Suture Size, Absorption Time, Suture Needles and Clinical Significance How Long Do Dental Sutures Stay In “recovery can vary widely from procedure to procedure, but for routine wisdom teeth, you’ll want to take it easy and rest for the first two to three days,” says dr. But how long do you have to wait? Here’s a breakdown of the average dissolving timelines: Learn about the timeline for stitches dissolve and how to care for them. Wondering. How Long Do Dental Sutures Stay In.
From sandiegoinvisaligndentist.org
How long does it take for dental implant stitches to dissolve Dental News Network How Long Do Dental Sutures Stay In During the first 24 hours after surgery, your surgeon will likely advise you to rest, not engage in any physical activity, and stay. The workhorse for dissolvable sutures after dental surgeries is the chromic gut suture. Here’s a breakdown of the average dissolving timelines: Depending on the procedure and the number of stitches required will determine how long they will. How Long Do Dental Sutures Stay In.
From www.dolphinsutures.com
Sutures Knowledgebase Learn About The 16 Types Of Sutures How Long Do Dental Sutures Stay In Depending on the procedure and the number of stitches required will determine how long they will take to dissolve. Wondering how long it takes for stitches to dissolve after dental implant surgery? During the first 24 hours after surgery, your surgeon will likely advise you to rest, not engage in any physical activity, and stay. But how long do you. How Long Do Dental Sutures Stay In.
From cosmetocity.com
How long do dental implant stitches stay in? Cosmetocity How Long Do Dental Sutures Stay In “the soft tissue will take one to two weeks to heal,. With conventional wisdom teeth removal, stitches had to be removed by hand a. Generally, dissolvable stitches take anywhere from 7 to 14. Wondering how long it takes for stitches to dissolve after dental implant surgery? But how long do you have to wait? Depending on the procedure and the. How Long Do Dental Sutures Stay In.
From www.singhsmilecare.com
How Long Do Dental Stitches Take To Dissolve How Long Do Dental Sutures Stay In Generally, dissolvable stitches take anywhere from 7 to 14. During the first 24 hours after surgery, your surgeon will likely advise you to rest, not engage in any physical activity, and stay. With conventional wisdom teeth removal, stitches had to be removed by hand a. But how long do you have to wait? Here’s a breakdown of the average dissolving. How Long Do Dental Sutures Stay In.
From www.endogynecology.com
Common Suture Patterns and Suture Techniques EndoGynecology How Long Do Dental Sutures Stay In During the first 24 hours after surgery, your surgeon will likely advise you to rest, not engage in any physical activity, and stay. Here’s a breakdown of the average dissolving timelines: “the soft tissue will take one to two weeks to heal,. But how long do you have to wait? Generally, dissolvable stitches take anywhere from 7 to 14. “recovery. How Long Do Dental Sutures Stay In.
From www.youtube.com
How do stitches dissolve in the mouth after wisdom teeth are removed? YouTube How Long Do Dental Sutures Stay In The workhorse for dissolvable sutures after dental surgeries is the chromic gut suture. “the soft tissue will take one to two weeks to heal,. “recovery can vary widely from procedure to procedure, but for routine wisdom teeth, you’ll want to take it easy and rest for the first two to three days,” says dr. Here’s a breakdown of the average. How Long Do Dental Sutures Stay In.
From www.pinterest.com
Types of Sutures, Stitches, and Staples Medical Wound Care Suturing Techniques Removing Stitches How Long Do Dental Sutures Stay In Depending on the procedure and the number of stitches required will determine how long they will take to dissolve. But how long do you have to wait? “the soft tissue will take one to two weeks to heal,. The workhorse for dissolvable sutures after dental surgeries is the chromic gut suture. Generally, dissolvable stitches take anywhere from 7 to 14.. How Long Do Dental Sutures Stay In.
From www.youtube.com
figure of 8 suture technique of suturing dental procedure YouTube How Long Do Dental Sutures Stay In With conventional wisdom teeth removal, stitches had to be removed by hand a. “recovery can vary widely from procedure to procedure, but for routine wisdom teeth, you’ll want to take it easy and rest for the first two to three days,” says dr. But how long do you have to wait? During the first 24 hours after surgery, your surgeon. How Long Do Dental Sutures Stay In.
From medilogic.com.au
Dental Sutures In 2023 What To Consider How Long Do Dental Sutures Stay In Learn about the timeline for stitches dissolve and how to care for them. Wondering how long it takes for stitches to dissolve after dental implant surgery? Generally, dissolvable stitches take anywhere from 7 to 14. But how long do you have to wait? The workhorse for dissolvable sutures after dental surgeries is the chromic gut suture. “the soft tissue will. How Long Do Dental Sutures Stay In.
From www.medicalkidunya.com
Timing of Suture Removel and Removing Procedure medicalkidunya How Long Do Dental Sutures Stay In Wondering how long it takes for stitches to dissolve after dental implant surgery? Learn about the timeline for stitches dissolve and how to care for them. During the first 24 hours after surgery, your surgeon will likely advise you to rest, not engage in any physical activity, and stay. But how long do you have to wait? “recovery can vary. How Long Do Dental Sutures Stay In.
From www.youtube.com
Dental Suture Types which one to choose? YouTube How Long Do Dental Sutures Stay In During the first 24 hours after surgery, your surgeon will likely advise you to rest, not engage in any physical activity, and stay. “the soft tissue will take one to two weeks to heal,. “recovery can vary widely from procedure to procedure, but for routine wisdom teeth, you’ll want to take it easy and rest for the first two to. How Long Do Dental Sutures Stay In.
From healthandwillness.org
How to Suture Simple Laceration Repair Health And Willness How Long Do Dental Sutures Stay In During the first 24 hours after surgery, your surgeon will likely advise you to rest, not engage in any physical activity, and stay. The workhorse for dissolvable sutures after dental surgeries is the chromic gut suture. “recovery can vary widely from procedure to procedure, but for routine wisdom teeth, you’ll want to take it easy and rest for the first. How Long Do Dental Sutures Stay In.
From sandiegoinvisaligndentist.org
When can sutures be removed in a dental implant Dental News Network How Long Do Dental Sutures Stay In During the first 24 hours after surgery, your surgeon will likely advise you to rest, not engage in any physical activity, and stay. Learn about the timeline for stitches dissolve and how to care for them. “the soft tissue will take one to two weeks to heal,. Here’s a breakdown of the average dissolving timelines: The workhorse for dissolvable sutures. How Long Do Dental Sutures Stay In.
From fyoltrxao.blob.core.windows.net
How Long Do Oral Stitches Stay In at Lana Tracy blog How Long Do Dental Sutures Stay In With conventional wisdom teeth removal, stitches had to be removed by hand a. But how long do you have to wait? “the soft tissue will take one to two weeks to heal,. Wondering how long it takes for stitches to dissolve after dental implant surgery? Here’s a breakdown of the average dissolving timelines: Depending on the procedure and the number. How Long Do Dental Sutures Stay In.